Um den aktuellen Wissensstand mit neuen Diagnostiken und Indikationsstellungen gerecht zu werden, wurde die S2k-Leitlinie „Operative Entfernung von Weisheitszähnen“ im August 2019 erneut aktualisiert. Die Aktualisierung der Leitlinie fand unter der Federführung der DGMKG und DGZMK statt und wurde mit 7 weiteren beteiligten Fachgesellschaften und Institutionen, darunter der Bundeszahnärztekammer und der Kassenzahnärztliche Bundesvereinigung, erstellt.
Aktuelle Leitlinie
Das Update der Leitlinie behandelt selbstverständlich alle relevanten Punkte der Weisheitszahnentfernung, jedoch wurden insbesondere folgende Aspekte konkret aktualisiert und mit neuesten wissenschaftlichen Erkenntnissen und Studien hinterlegt [1]:
- Indikationen zur Entfernung und zum Belassen von Weisheitszähnen
- Stellenwert der DVT-Diagnostik
- Bedeutung der perioperativen antibiotischen Prophylaxe
- Bedeutung der Piezochirurgie
- Bedeutung der Koronektomie
- Zeitwahl bei der Zahnentfernung
Symptome
Klinische und radiologische Symptome bei Patienten, die im Zusammenhang mit Weisheitszähnen auftreten können, sind:
- Perikoronare Infektionen; diese können sich in manchen Fällen bis zu einem ausgeprägten Abszessgeschehen ausbilden.
- Erweiterung des radiologischen Perikoronarraums sowie perikoronare Auftreibung. Hier ist zum Beispiel die Zystenbildung zu nennen (follikuläre Zyste).
- Schmerzen, Spannungs- und Druckgefühl im Kieferbereich; diese Schmerzen können bis zum M. temporalis ausstrahlen und manchmal als CMD-Ursache missinterpretiert werden.
- Parodontale Schäden der Nachbarzähne, insbesondere distal an den 12-Jahr-Molaren
- Resorption an den Wurzeln der Nachbarzähne
- Kariöse Zerstörung oder pulpitische Beschwerden
Entscheidungsfindung zum operativen Vorgehen/Risikoeinschätzung
Zur Indikationsstellung, ob ein Weisheitszahn entfernt werden oder belassen werden sollte, unterscheidet die Leitlinie die Unterpunkte „Risikofaktoren beim Belassen der Zähne“ sowie „Risikofaktoren, die eine Zahnentfernung erschweren können“ [2].
Wenn also zum Beispiel eine Teilretention bei Weisheitszähnen vorliegt oder die Zähne inkliniert sind, eine abgelaufene Perikoronitis schon vorhanden war, ein erweiterter Perikoronarraum zu erkennen ist oder die Zähne mesial/distal inkliniert sind, dann würde ein Belassen des Weisheitszahnes erwartbar zu späteren Risiken führen. Andererseits zeigen folgende Befunde eine wahrscheinlich komplizierte Weisheitszahnentfernung: Wurzelanomalien, Zahnankylose, chronische oder akute Infektionen im Operationsgebiet, abnorme Lage des Zahnes oder des N. alveolaris inf. – mit eventueller fehlender Projektion am Zahn oder direkter Überlagerung am Zahn als typische lokale Risikofaktoren und Therapie mit Antiresorptiva bzw. andere Co-Morbiditäten des Patienten.
Indikationsfindung
Unter Berücksichtigung der oben genannten Punkte lassen sich also Empfehlungen zur Indikationsstellung ableiten. Hierzu führt die rezente Leitlinie wörtlich aus: „Bei der Indikation zur Therapie wurde traditionell [also in der vorherigen Leitlinie] zwischen klinisch bzw. radiologisch symptomlosen und symptomatischen Zähnen unterschieden. Während die Entfernung klinisch oder radiologisch symptomatischer Zähne in der Literatur weitgehend einheitlich befürwortet wird, konnte eine generelle Empfehlung zur Entfernung klinisch symptomloser Weisheitszähne nicht wissenschaftlich belegt werden.“
Diese strikte Einteilung nach klinischer Symptomatik kann aber nach neueren Untersuchungen nicht ohne Weiteres aufrechterhalten werden. Unabhängig von einer klinisch erkennbaren Perikoronitis und radiologisch nachweisbaren perikoronaren Aufhellungen zeigen Weisheitszähne zu einem relevanten Anteil (20 bis 60%) pathologische Veränderungen, die sich auch auf die parodontale Situation der angrenzenden Molaren und darüber hinaus auswirken können.
Daneben ist auch an benachbarten 12-Jahr-Molaren mit einer hohen Rate (bis rund 50%) an distaler Karies als Folge einer engen Lagebeziehung zum Weisheitszahn zu rechnen. Insofern erscheint eine grundsätzliche Unterscheidung zwischen prophylaktischer und therapeutischer Weisheitszahnentfernung nicht mehr gerechtfertigt.
Untersuchungen haben gezeigt, dass sich rund 30% der um das 18. Lebensjahr zur Entfernung vorgesehenen Weisheitszähne im weiteren Verlauf bis zum 30. Lebensjahr regulär in die Zahnreihe einstellen. Somit stellt sich zum einen die Frage, ob nicht eher zurückhaltender die Indikation zur Entfernung gestellt werden sollte. Zum anderen jedoch ergeben sich mit zunehmendem Alter vermehrt Komplikationen bei der operativen Zahnentfernung.
Ebenfalls ist zu bedenken, dass die Häufigkeit von inflammatorischen Komplikationen in der Altersgruppe zwischen 18 und 35 Jahren ein Maximum hat und danach mit zunehmendem Lebensalter abnimmt [2]. Kontrovers diskutiert wird die Frage nach dem Nutzen einer Weisheitszahnentfernung zur Vermeidung eines tertiären Engstandes der Unterkieferfrontzähne nach Abschluss der kieferorthopädischen Therapie.
„In einer prospektiven, randomisierten Studie war ein signifikanter Einfluss auf einen tertiären Engstand nicht dargestellt worden, allerdings ergaben sich beim Belassen der Weisheitszähne deutlich stärkere Verkürzungen der vorderen Zahnbogenlänge [3]. Da bei dieser Studie allerdings bei über 50% der Teilnehmer eine Entfernung von Prämolaren vorangegangen war, sind die Ergebnisse auf Patienten mit einer vollständigen Dentition nicht übertragbar.“ [2] Somit ist diese kontroverse Diskussion nicht abschließend geklärt.
Eine Indikation zur Entfernung von Weisheitszähnen besteht [2]
- bei akuten oder chronischen Infektionen (Dentitio difficilis)
- bei nicht restaurierfähigen, kariös zerstörten Zähnen oder nicht behandelbarer Pulpitis
- wenn sich bei Patienten mit unklarem Gesichtsschmerz Hinweise ergeben, dass der Weisheitszahn eine relevante Schmerzursache darstellt
- bei nicht behandelbaren periapikalen Veränderungen
- bei manifesten pathologischen Strukturen im Zusammenhang mit Zahnfollikeln (z.B. Zyste, Tumor) oder dem Verdacht auf derartige Veränderungen
- im Zusammenhang mit der Behandlung und Begrenzung des Fortschreitens von parodontalen Erkrankungen
- bei Zähnen, die bei der kieferorthopädischen und/oder rekonstruktiven Chirurgie stören
- bei Zähnen im Bruchspalt, die eine Frakturbehandlung erschweren
- bei der Verwendung des Zahnes zur Transplantation
Eine mögliche Indikation zur Entfernung von Weisheitszähnen besteht [2]
- zur Vereinfachung der kieferorthopädischen Zahnbewegungen und/oder zur Erleichterung der kieferorthopädischen Retention oder Sicherung einer abgeschlossenen KFO-Behandlung
- zur prophylaktische Zahnentfernung aus übergeordneten, der Lebensführung zuzuordnenden Gesichtspunkten (z.B. fehlende Verfügbarkeit medizinischer Versorgung etc.)
- bei Resorptionen an benachbarten Zähnen
- bei Pulpaexposition durch Zahnkaries
- bei Zähnen, die bei einer geplanten prothetischen Versorgung stören, wenn beispielsweise ein sekundärer Durchbruch aufgrund der weiteren Atrophie des Alveolarkammes bzw. aufgrund der Druckbelastung durch herausnehmbaren Zahnersatz zu erwarten ist
- wenn andere Maßnahmen unter Narkose vorgenommen werden und eine erneute Narkose zur Entfernung eines Weisheitszahnes durchgeführt werden müsste
- wenn der elongierte/gekippte Weisheitszahn eine Störung der dynamischen Okklusion darstellt
- wenn der Weisheitszahn die Ursache einer behandlungsbedürftigen Halitosis darstellt und andere, zahnerhaltende Therapiemaßnahmen nicht erfolgreich waren
Eine interessante Veränderung zur vorherigen Leitlinie ist bei „Pulpaexposition durch Karies“ zu finden. Dieser Punkt wurde aus der Gruppe der „Indikationen zur Weisheitszahnentfernung“ entfernt und den „Möglichen Indikationen zur Weisheitszahnentfernung“ zugeordnet. Damit wurde die Möglichkeit der Zahnerhaltung durch endodontische Behandlung an Weisheitszähnen eingeräumt.
Eine Indikation zum Belassen von Weisheitszähnen besteht [2]
- wenn eine kieferorthopädische Einordnung des Zahnes geplant ist
- wenn sie für eine prothetische Versorgung genutzt werden sollen
Eine Indikation zum Belassen von Weisheitszähnen kann bestehen [2]
- wenn eine spontane, regelrechte Einstellung der Weisheitszähne in die Zahnreihe zu erwarten ist
- wenn bei tief impaktierten und verlagerten Zähnen ohne klinische bzw. radiologisch nachweisbare pathologische Befunde ein hohes Risiko operativer Komplikationen besteht
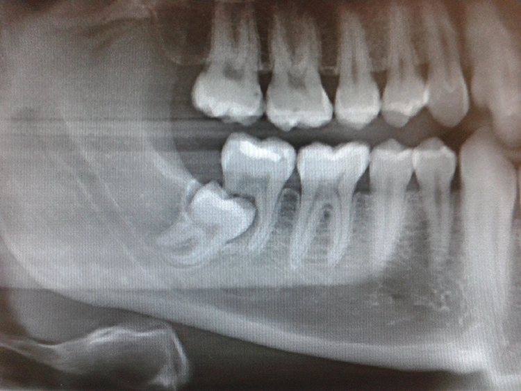
Zahnresorptionen
Zahnresorptionen an der distalen Radix der 2. Molaren stellen einen äußerst schwierigen Befund dar. Zum einen wird versucht, jeden Zahn zu erhalten, jedoch kann es selbst mit den neuesten endodontischen Mitteln manchmal nicht möglich sein. In der konventionellen Panoramaschichtaufnahme ist die Bewertung einer Resorption an den Nachbarzähnen ausgesprochen unsicher (Abb. 1 bis 4).
Dr. Wolff
Dr. Wolff
Dr. Wolff
Dr. Wolff
„Mit der Ausweitung der DVT-Bildgebung ist zu erwarten, dass Resorptionen an 12-Jahr-Molaren zukünftig häufiger erkannt und in die Entscheidung über eine Weisheitszahnentfernung einbezogen werden müssen. Epidemiologische Daten zur Häufigkeit stehen zwar noch aus, Patientenserien mit einer Prävalenz um 20% bei horizontal und mesioangulär inklinierten 3. Molaren lassen aber erwarten, dass der Problematik externer Resorptionen zukünftig ein relevanter Stellenwert in der Therapie entscheidung zukommen wird.“ [2] Falls möglich und der Patient sich in kieferorthopädischer Therapie befindet, stellt die kieferorthopädische Einstellung des Weisheitszahnes nach Entfernung des zerstörten bzw. anresorbierten 2. Molaren eine gut prognostizierbare und zufriedenstellende Therapielösung dar.
DVT-Indikation
Die 3D-Bildgebung mittels der digitalen Volumentomographie (DVT) ermöglicht in der Zahnmedizin meist eine niedrigere Strahlendosis im Vergleich zur Computertomographie (CT), eine detailgetreuere Auflösung und weniger metallische Artefakte. Damit erlangte die DVT einen wichtigen Stellenwert in der Zahnmedizin.
„In mehreren Studien wurde gezeigt, dass die DVT dazu geeignet ist, morphologische Besonderheiten, Lageanomalien und insbesondere auch die fehlende Abgrenzung zwischen Zahnfach und Nervkanal darzustellen und damit die Einschätzung des Risikos einer Nervschädigung zulässt. Aus der Tatsache, dass diese Merkmale in der 3D-Bildgebung gut dargestellt werden können, leiten die Autoren dann jeweils die Indikation einer präoperativen 3D-Bildgebung ab. Daneben gibt es erste Hinweise, dass die chirurgische Vorgehensweise durch die Einbeziehung der DVT-Informationen im Einzelfall verändert werden kann.“
„Allerdings konnte bislang nicht gezeigt werden, dass der Gewinn an Informationen über die Wurzelmorphologie und Topografie durch die 3D-Diagnostik tatsächlich zu einer anderen operativen Vorgehensweise geführt hat, und dass diese dann auch in einer verminderten Nervschädigungsrate resultiert.“
Die Autoren möchten hierbei anmerken, dass es in manchen Fällen sehr wohl zu einer Änderung der chirurgischen Vorgehensweise kommt. Um einen retinierten und verlagerten Weisheitszahn zu entfernen, wird meistens die Führung der Osteotomielinie vestibulär des Zahnes, an der Linea obliqua nach lateral, gewählt.
Falls hier jedoch der N. alveolaris inf. vestibulär liegt, ist das Risiko der Schädigung des Nervs als sehr hoch einzuschätzen. Eine präoperativ durchgeführte DVT kann die Nervlage identifizieren und eine andersartige Osteotomie zur Folge haben.
Somit erschließt sich [2]:
- Eine 3D-Bildgebung ist vor einer Weisheitszahnentfernung nicht erforderlich, wenn in der konventionell 2D-Bildgebung keine Hinweise auf eine besondere Risikosituation vorliegen.
- Eine 3D-Bildgebung (beispielsweise DVT/CT) kann indiziert sein, wenn in der konventionellen 2D-Bildgebung Hinweise auf eine unmittelbare Lagebeziehung zu Risikostrukturen oder pathologischen Veränderungen vorhanden sind und gleichzeitig aus Sicht des Behandlers weitere räumliche Informationen entweder für die Risikoaufklärung des Patienten, Eingriffsplanung der auch für die intraoperative Orientierung erforderlich sind.
Operative Durchführung
Koronektomie
Koronektomie bedeutet, dass bei hohem Risiko einer Verletzung des N. alveolaris inf. oder anderer Strukturen auf die vollständige Zahnentfernung intentionell verzichten wird. Allein die Zahnkrone und das Follikelgewebe des Weisheitszahnes (als Ursache der Perikoronitis) sollen beseitigt werden und Anteile der Wurzel, welche direkten Kontakt zu gefährdetem Gewebe haben, bleiben in situ. Diese Methode der sogenannten selektiven Kronenentfernung ist in den letzten Jahren neu aufgegriffen worden.
Es zeigen zwar Fallserien und Studien, dass das Risiko der Schädigung des N. alveolaris inf. reduziert wird, jedoch sind Langzeitfolgen wie eine eventuelle spätere Radiatio, Antiresorptiva-Therapie oder auch eine therapeutische Immunsuppression bislang nicht untersucht und auch nicht als potenzielles Problem in die Diskussion aufgenommen worden. Selbst bei beschriebenen Modifikationen zur klassischen Koronektomie, wie einer geplanten 2-zeitigen Entfernung nach Teilentfernung der Zahnkrone, nach Teilentfernung des Knochens oder ergänzt durch kieferorthopädische Maßnahmen oder Guided Bone Regeneration [2], liegt für diese Maßnahmen nicht genügend Evidenz vor, als dass sie im Sinne einer verlässlichen Methode empfohlen werden könnten.
Piezo-Chirurgie
Die Piezo-Chirurgie hat sich in den letzten Jahren zu einer etablierten zusätzlichen Operationsmethode in der MKG- und zahnärztlichen Chirurgie entwickelt. Aufgrund des technischen Prinzips ist von einer Reduktion der Gefährdung von weichgeweblichen Nachbarstrukturen (insbesondere des N. alveolaris inf., der Schneiderschen Membran an der Kieferhöhlenwand und im Mundbodenbereich) auszugehen. Ein Blick auf die Literatur zeigt, dass in den Metaanalysen signifikante Vorteile der Piezochirurgie bei Schmerzbelastung, Mundöffnung, Schwellung, aber auch signifikant längere Operationszeiten gegenüber konventionellen Osteotomie-Techniken nachgewiesen werden konnten.
„Erste Bewertungen für den klinischen Endpunkt „Nervschädigung“ [4] deuten darauf hin, dass die Piezo-Chirurgie auch das Risiko von Nervschäden verringern könnte.“ [2] Eine abschließende Bewertung zum klinischen Nutzen insbesondere im Hinblick auf die Reduktion von Nervläsionen ist auf der Basis der verfügbaren Literaturevidenz allerdings bislang nicht möglich, sodass sie zurzeit auf empirischer Basis empfohlen werden kann.
Es gilt somit:
- Grundsätzlich sollen sämtliche Anteile des Zahnes entfernt werden.
- Als Alternative zur vollständigen Zahnentfernung kann bei enger Lagebeziehung zum N. alveolaris inf. mit erwartbar hohem Schädigungsrisiko eine Koronektomie vorgenommen werden.
- In Einzelfällen kann das primär nicht intendierte Belassen von minimalen Zahnanteilen auch bei der regulären Zahnentfernung nicht entzündlich veränderter Zähne zur Vermeidung schwerwiegender operationsbedingter Komplikationen (z.B. Nervläsionen oder unverhältnismäßige Knochendefekte) gerechtfertigt sein (Güterabwägung).
- Die Piezo-Osteotomie kann bei gefährdeten anatomischen Nachbarstrukturen als Alternative oder Ergänzung zur konventionellen Osteotomie für die Weisheitszahnentfernung eingesetzt werden“ [2].
- Empfohlener Zeitpunkt der Weisheitszahnentfernung liegt im Zeitraum bis zum 25. Lebensjahr.
- Der individuellen Indikation zuzuordnen: ambulante/stationäre Behandlung/Narkosebehandlung
Ambulante oder stationäre Behandlung
Die meisten operativen Weisheitszahnbehandlungen können unter Lokalanästhesie ambulant durchgeführt werden. Die Zahnentfernung kann dabei quadrantenweise erfolgen oder mehrere Zähne in einer Sitzung beinhalten. Häufig ist der Wunsch seitens des Patienten gegeben, dass die Entfernung der Weisheitszähne in Kombination mit weiteren Verfahren der Schmerzausschaltung durchgeführt wird.
„Der Einsatz weiterer Verfahren im Rahmen der Schmerzausschaltung (Analgosedierung/Narkose) orientiert sich am Gesamtumfang der chirurgischen Maßnahmen, an der Mitarbeit des Patienten, an bekannten Risikofaktoren und nach Berücksichtigung dieser und allgemeinmedizinischer Kriterien an der Präferenz des Patienten.“ [2] So kann eine stationäre Behandlung bei schwerwiegenden Allgemeinerkrankungen oder besonderen OP-Verläufen notwendig sein.
Antibiotische Therapie
In der Leitlinie wird aufgeführt, dass zwar insgesamt die Studienlage und eine Mehrzahl methodisch hochwertiger systematischer Reviews den Nutzen der perioperativen antibiotischen Therapie sowohl für die Reduktion der Häufigkeit alveolärer Ostitiden als auch für die Reduktion von Wundinfektionen zeigen. Auf der anderen Seite jedoch verweisen andere Studien und Autoren auf die Problematik potenzieller Resistenzbildungen und Veränderungen im Mikrobiom auch bei kurzzeitiger Gabe von Antibiotika.
„Obwohl die Datenlage in ihrer Gesamtheit die Wirksamkeit einer Antibiotikaprophylaxe gut belegt und mittlerweile sogar eine methodisch akzeptable Kohorten-Studie zum Nutzen der Antibiotikaprophylaxe unter Praxisbedingungen vorliegt, lassen sich sowohl die Befürwortung als auch die Ablehnung einer antibiotischen Prophylaxe wissenschaftlich begründen.“ [2] Somit wird in der Leitlinie weder eine Gabe eines Antibiotikums direkt befürwortet noch abgelehnt. Es heißt weiter: „Eine perioperative antibiotische Prophylaxe kann bei der Weisheitszahnentfernung erfolgen.“ [2]
Aus diesem Grund schlagen die Autoren des Artikels Folgendes vor: Der Patient wird vor der operativen Weisheitszahnentfernung in ein Risikoprofil eingegliedert (Tab. 1). Es gilt, die operative Situation in eine präoperative prophylaktische Antibiotikagabe (PROPHYLAXE) und in eine therapeutische Antibiotikagabe (THERAPIE) zu unterscheiden.
| Patient „gesund“ | „Risiko-Patient“ | |
|---|---|---|
| lokal keine Infektion „Prophylaxe“ | (+) | ++ |
| lokale Infektion „Therapie“ | ++ | +++ |
Tab. 1: Notwendigkeit der Antibiose in Abhängigkeit vom individuellen Risikoprofil.
Nach der 4-Felder-Tafel kann jede Situation eingeschätzt und individuell entschieden werden, ob eine Antibiose notwendig erscheint:
- Ist der Patient systemisch gesund und liegt lokal an der Operationsstelle keine Infektion vor, ist in der Regel keine prä-/perioperative antibiotische Abschirmung notwendig.
- Sobald jedoch eine lokale Infektion an der Operationsstelle vorliegt, schwenkt die Antibiotikagabe in eine therapeutische Indikation um und erscheint sinnvoll.
- Da systemische Risikopatienten häufiger mit Wundheilungsstörungen o.Ä. zu rechnen haben, erscheint auch hier eine antibiotische Abschirmung sinnvoll, und zwar sowohl im Sinne der Antibiotikaprophylaxe ohne Vorliegen einer lokalen Infektion als auch (und zwar mit Nachdruck) als Antibiotikatherapie bei bestehender Perikoronitis.
Fazit
Die aktualisierte Leitlinie „Operative Entfernung von Weisheitszähnen“ gibt dem Behandler – mit Blick auf die neuesten Studien – eine Handlungsempfehlung zum Umgang sowohl mit dem Patienten und der Befundung als auch zur Therapiefindung und Indikationsstellung. Durch ein systematisches Vorgehen im Vorfeld der operativen Entfernung der Weisheitszähne kann mit Effizienz und Sicherheit jede Situation eingeschätzt werden, um den Patienten bestmöglich zu behandeln und die postoperativen Komplikationen auf ein Minimum zu begrenzen.
Bildquellen sofern nicht anders deklariert: Unternehmen, Quelle oder Autor/-in des Artikels
Entdecke CME Artikel

![Komplikationsrate bei der Lokalanästhesie nach Daubländer [6].](https://dentalwelt.spitta.de/wp-content/uploads/post_images/Tipp2_Komplikationsrate_LA_in_Prozent.png.webp)




Keine Kommentare.