Die Nutzung von digitalen Technologien in der zahnärztlichen Praxis kann auf verschiedenen Stufen erfolgen [11,15]. Dies erfordert oftmals einen hohen Investitionsbedarf und eine intensive Schulung und Lernkurve mit der spezifischen Software [12]. Gerade wenn eine Software nicht regelmäßig verwendet wird, kann die Anwendung zeitlich sehr aufwändig werden und es können sich Fehler einschleichen.
Prof. Dr. Neugebauer
Prof. Dr. Neugebauer
Daher haben sich in der Vergangenheit zum Beispiel Zentren für die Durchführung der Implantatplanung etabliert [6]. Für die prothetisch orientierte Planung benötigt das Planungszentrum neben den Informationen über die gewünschte Position und Anzahl der Implantate und die Unterlagen über das Knochenangebot, die anatomische Struktur und die Bißlage. Diese Daten können über konventionelle Abdrücke oder intraorale Scans der Kiefer, sowie mittels dreidimensionaler Röntgenaufnahmen zur Verfügung gestellt werden (Abb. 1-3). Mit diesen Unterlagen kann dann die Implantatplanung mit Umsetzung einer Navigationsschablone sowie die Herstellung eines Provisoriums erfolgen [4].
Prof. Dr. Neugebauer
Problem: Kommunikation
Nachdem der Behandlungsplan mit dem Patienten definiert wurde, kann im Rahmen einer Vorbereitungssitzung die klinische Situation durch Abdrücke oder einen digitalen Scan erreicht werden. Beim digitalen Scan bieten die Aufnahmeeinheiten neben einem Abspeichern des Datensatzes im STL-Format auch die direkte Versendung über ein Portal an.
Diese Portale sind aber lediglich zum Dateitransfer konzipiert und erlauben nicht eine weitere Angabe von Behandlungsschritten oder die integrative Weitergabe der dreidimensionalen Röntgendaten oder zusätzlicher klinischer Abbildungen. Somit erfordert die Kommunikation mit dem Zahntechniker in einem Planungs- und Fertigungszentrum weitere Datentransferportale, wie zum Beispiel Cryptshare zum verschlüsselten Übertragen von Röntgendaten. Für das implantologische Behandlungsmanagement bieten sich daher systemspezifische Kommunikationsplattformen an, bei denen der implantologisch tätige Zahnarzt das für den jeweiligen Fall notwendige Know-How aus einem spezialisierten Dentallabor abrufen kann.
Sofern diese Plattform noch mit einem Hersteller zusammenarbeitet, können neben den individuell für den Patienten hergestellten Werkstücken, wie Bohrschablone und Provisorium für eine Sofortversorgung, auch die benötigen Systemkomponenten fallbezogen zusammengestellt und geliefert werden. Eine dieser Plattformen zwischen Zahnarzt, zahntechnischem Fertigungszentrum und Implantathersteller ist das System ReadyForUse von Bredent Medical.
Vorgehensweise
Zunächst ist es wie bei der Nutzung jeder webbasierten Plattform notwendig, sich zu registrieren und seine Versand- und Rechnungsadresse zu hinterlegen. Dies ermöglicht dann die Nutzung der Plattform für unterschiedliche Auftragspakete (Abb. 4).
Prof. Dr. Neugebauer
Diese bestehen aus:
• lediglich einer Implantatplanung,
• der Herstellung eines individuellen CAD/CAM-Abutments,
• einer Einzelzahnversorgung mit provisorischer Krone oder
• einem Komplettpaket zur Versorgung eines Kiefers mit einer temporären Sofortversorgung nach dem SKY fast & fixed Protokoll.
Obwohl es sich um ein geschlossenes und geschütztes System handelt, wird empfohlen keine patientenspezifischen Daten beim Hochladen von Daten anzugeben. Im nächsten Schritt wird für den Auftrag eine ID angelegt, damit in der Praxis die Zuordenbarkeit gewährleistet bleibt. Hier empfiehlt es sich zum Beispiel die Patientennummer aus der Praxisverwaltungssoftware anzugeben. Auf dieser Seite werden auch eventuelle Allergien abgefragt, die für den Zahntechniker bei der Auswahl des Materials relevant sein können. Zuletzt muss der gewünschte OP-Termin angeben werden, damit alle Unterlagen rechtzeitig versandt werden können.
Auf der nächsten Seite werden dann nach Auswahl des präferierten Implantatsystems über das Zahnschema die Implantatpositionen und bei einer Sofortimplantation die zu extrahierenden Zähne angeben (Abb. 5). Nach Festlegung der Therapie werden im nächsten Fenster die Daten bereitgestellt. Hier kann gewählt werden, ob physische Modelle und eine CD mit den Röntgendaten versendet werden sollen, oder ob alle Daten digital übermittelt werden. Auch größere Datenmengen, wie zum Beispiel ein kompletter DVT-Datensatz, können über eine Zip-Datei hochgeladen werden. Auch bei einer langsamen Internetverbindung erfolgt das Hochladen kontinuierlich. Die für die jeweilige Konstruktion benötigen Oberflächenscans können dann hochgeladen werden. Sofern für die Behandlung weitere Zusatzprodukte benötigt werden, besteht die Möglichkeit diese unabhängig vom geplanten Paket optional zu bestellen.
Prof. Dr. Neugebauer
Nachdem alle Behandlungsparameter und Unterlagen hochgeladen wurden, erfolgt als letzter Schritt die Auswahl des Referenzlabors. Hier kann zwischen unterschiedlichen Anbieter ausgewählt werden, sodass die Plattform international genutzt werden kann. Wie bei jeder Online-Bestellung kann der Warenkorb vor der verbindlichen Bestellung noch einmal überprüft werden. Danach erhält der Auftraggeber die Bestätigung im Portal und zusätzlich bei der hinterlegten E-Mail-Adresse.
Die weitere Kommunikation erfolgt dann über das Nachrichtenfenster im Kommunikationsportal (Abb. 6). Hier können erste Entwürfe als Screenshots gesendet oder Fragen beantwortet werden. Nach Abschluss aller Fragen erfolgt dann der finale Vorschlag für die Implantatplanung, die in einem mehrseitigen PDF, die räumliche Darstellung der Implantate im Planungsprogramm, zeigt (Abb. 7).
Prof. Dr. Neugebauer
Prof. Dr. Neugebauer
Zur genauen Abstimmung kann die Planung über einen Online-Zugriff auf den Planungscomputer mittels eines Screen-Sharingsprogramms zwischen Behandler und Zahntechniker diskutiert werden. Sofern die Planung den Erwartungen des chirurgisch tätigen Zahnarztes entspricht, kann der Vorschlag angenommen und für die Produktion freigegeben werden (Abb. 8). Die Produktion der Bohrschablone und des Provisoriums erfolgt dann im Fertigungszentrum. Nach Fertigstellung werden alle benötigen Systemkomponenten mit den zahntechnischen Werkstücken versandt.
Prof. Dr. Neugebauer
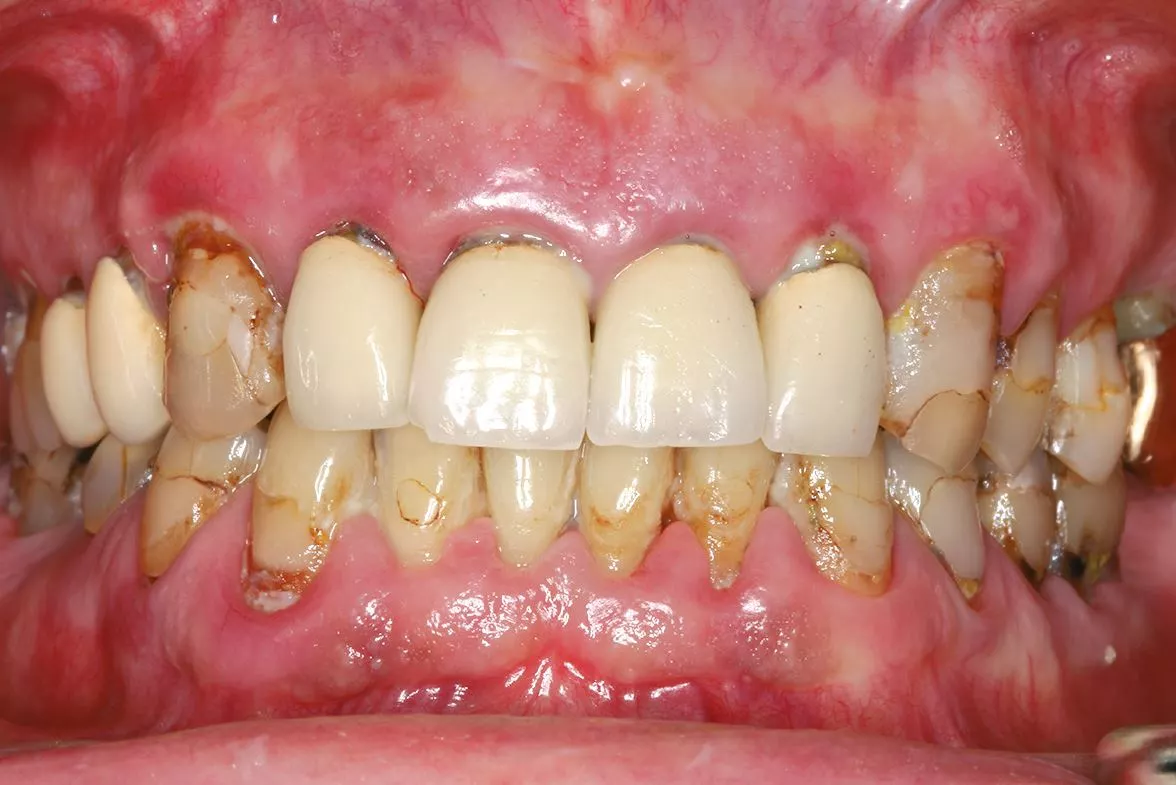
Durch den Versand aller für die Versorgung des Patienten benötigen Komponenten erleichtert sich die Logistik in der Praxis, da gerade bei komplexen Versorgungen, wie einer Sofortimplantation mit Sofortversorgung, keine weiteren Bestellungen oder Lagerzugriffe nötig werden. Bei der Verwendung von intraoralen Scans ist das Risiko von Passungenauigkeiten durch Verziehungen eines konventionellen Abdrucks oder bei Prozessschwankungen bei der Herstellung des Gipsmodells ausgeschlossen. Daher ist die Passung einer auf digitalen Daten hergestellten Navigationsschablone in der Regel sehr gut [3]. Für die Versorgung eines kompletten Kiefers stellt sich die Frage der Abstützung der Schablone. Im Oberkiefer ist dies in der Regel nach der Zahnextraktion durch die großflächige Auflage am Gaumen präzise möglich.
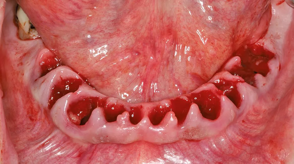
Dies erfordert aber gerade beim digitalen Scan eine vollständige Darstellung des Gaumendachs bis zur A-Linie. Im zahnlosen Unterkiefer ist eine Abstützung über den retromolaren Bereich möglich, dieser lässt sich aber je nach Intraoralscanner oftmals nicht vollständig abbilden. Bei einer Sofortimplantation können die Zähne, die nicht durch ein Implantat ersetzt werden zunächst für die Abstützung der Schablone belassen werden. Alternativ hat sich auch die Verwendung von Fixationspins etabliert, mit denen die Schablone auf der Schleimhaut abgestützt werden kann [13] (Abb. 9-10).
Prof. Dr. Neugebauer
Prof. Dr. Neugebauer
Dieses Vorgehen wird vor allem bei der sogenannten Flapless-Surgery verwendet, wo auf eine Mobilisation des Mukoperiostlappens verzichtet wird [10]. Bei der Auswahl des Aufbereitungsinstrumentariums kann für eine Navigationsschablone lediglich mit einer Pilotbohrung gearbeitet werden und es folgt die weitere Aufbereitung mit dem standardmäßigen Instrumentarium. Alternativ wird ein schaftgeführtes Instrumentarium über eine Masterhülse verwendet [2]. Die Vorteile der voll geführten Aufbereitung zeigen sich in einem geringeren Risiko von Verkippungen oder einer zu tiefen Aufbereitung der Kavitäten. Beim Einsetzen der Bohrschablone mit Fixationspins können diese
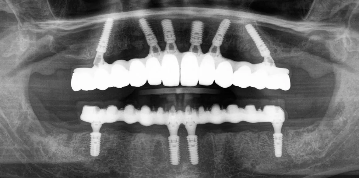
im Oberkiefer bei dünner Kortikalis oftmals durch ein festeres Einpressen positioniert werden. Im Unterkiefer wird über die Hülse für den Fixationspin in der Regel eine Vorbohrung notwendig. Nach der genauen Lagesicherung der Navigationsschablone kann dann die komplette Bohrerabfolge geführt bis zur Implantatinsertion angewendet werden. Im Anschluss werden die bei der Planung definierten geraden und angulierten Abutments eingesetzt und die Titanzylinder für das Einkleben des Provisoriums fixiert [1]. Nach dem Einkleben der Zylinder in das Provisorium muss diese nochmals ausgearbeitet werden und die Sofortversorgung ist abgeschlossen (Abb. 11-12).
Prof. Dr. Neugebauer
Prof. Dr. Neugebauer
Diskussion
Durch den Einsatz von modernen Technologien kann die Operationsdauer auch bei komplexen Fällen der Sofortversorgung gesamter Kiefer reduziert werden, da mit der Navigationsschablone und mit der vorbereiteten temporären Prothetik die wesentlichen Behandlungsunterlagen bereits zum OP-Beginn vorliegen [2]. Die Zeitersparnis während der Behandlungsphase erfordert eine intensive Vorbereitung mit unterschiedlicher Planungs- und Konstruktionssoftware [5, 9]. Hier werden auch neue Qualifikationen benötigt, z. B. die Herstellung einer provisorischen Versorgung auf Basis einer 3D-Implantatplanung.
Dazu ist es notwendig, sowohl das Implantat-Planungsprogramm als auch das CAD-Programm zu beherrschen und vor allem auch den korrekten Datentransfer zwischen beiden Programmen. Der chirurgisch tätige Zahnarzt muss dann überprüfen, ob die vorhandene Struktur diese Qualifikation aufweist und eine sachgerechte Versorgung möglich wird [14]. Daher ermöglicht die Auslagerung von einzelnen kosten- und/oder lernintensiven Anwendungen an ein darauf spezialisiertes Zentrum die effektive Nutzung von modernen Technologien. Damit der Transfer der für die Behandlung notwendigen Daten effektiv und nach den gesetzlichen Bestimmungen erfolgt, empfiehlt sich eine standardisierte Kommunikationsplattform, die zum einen die wesentlichen Parameter abfragt, aber auch nicht mit zu vielen, nur in Ausnahmefällen benötigen Informationsabfragen überladen ist.
Durch die Bereitstellung eines fallbezogenen Kommunikationskanals kann die von anderen Anwendungen bekannte Chatfunktion die offenen Punkte schnell klären. Dadurch ist auch die Dokumentation gesichert, damit die Verantwortung der Implantatpositionierung beim chirurgisch tätigen Behandler liegt und nicht eine zahnärztliche Verantwortung dem Zahntechniker überlassen wird [7, 8]. Wie auch bei der klassischen implantatprothetischen Versorgung ergibt sich auch bei der Nutzung der digitalen Techniken eine Lernkurve. Besonders wenn man sich mit Hilfe externer Unterstützung in diesen Bereich einarbeitet, sollte dies schrittweise erfolgen. Je nach eigener Erfahrung empfiehlt es sich zunächst mit Bohrschablonen die geführte Implantologie kennenzulernen.
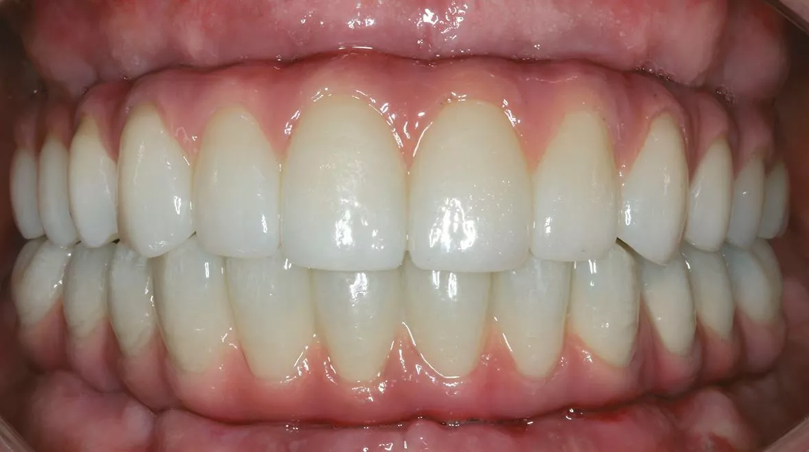
In einem nächsten Schritt kann man dann eine geführte Einzelzahnsofortversorgung durchführen. Der gezeigte Fall stellt den Abschluss einer solchen Entwicklung dar. Die Plattform erleichtert dem Anwender auch komplexe Versorgungen mit vertretbarem Aufwand sicher und mit einem geringen Komplikationsrisiko zu erreichen (Abb. 13-14). Nach einer Einarbeitung mit dem digitalen Workflow, können dann wieder je nach Investitionsvolumen Arbeitsschritte in der eigenen Praxisstruktur etabliert werden, um den Leistungsumfang wieder stärker in der praxiseigenen Prozesskette einzubinden.
Prof. Dr. Neugebauer
Prof. Dr. Neugebauer
Bildquellen sofern nicht anders deklariert: Unternehmen, Quelle oder Autor/-in des Artikels
Entdecke CME Artikel






Keine Kommentare.