Seit den ersten dentalen Implantaten aus Titan in 1965 [1] folgte eine konsequente Weiterentwicklung in Material und Oberflächengestaltung sowie eine Konsolidierung der Systeme hin zum 2-teilig verschraubten Implantat mit entsprechend hohen Erfolgsraten [2].
Auch die ersten Keramikimplantate wurden fast zur selben Zeit von Prof. Sami Sandhaus 1967 vorgestellt [3]. Bedingt durch den damaligen Werkstoff Aluminiumoxid und einer fehlenden Oberflächenstrukturierung, unterlagen sie jedoch lange Zeit niedrigen Erfolgsraten [4], wie sie heute nicht mehr vertretbar sind. Als Kompromiss für Metallfreiheit waren Keramikimplantate daher eher der ganzheitlichen Zahnmedizin vorbehalten. Mit der Einführung von Zirkondioxid als zuverlässiges Implantatmaterial begann sich dies zu ändern.
Heute jedoch verlieren Keramikimplantate zunehmend ihren Ruf als Nischenprodukt und finden vermehrt ihren Weg auch in die „konventionell“-implantologische Praxis. Nicht zuletzt ist dies bedingt durch ein in der Bevölkerung gestiegenes Gesundheitsbewusstsein und eine damit gestiegene Nachfrage nach metallfreien Restaurationen [5]. Ein wesentlicher Grund für diese Entwicklung dürfte jedoch auch die vermehrte Akzeptanz seitens der implantologisch tätigen Zahnärzte sein. Denn die rasante technologische Weiterentwicklung in Material, Oberflächengestaltung und restaurativen Konzepten ermöglicht es heute, die klinischen Vorteile von Zirkondioxid in der täglichen Praxis umzusetzen. Denn unter Beachtung der mit Evidenz gesicherten Indikationen „Einzelzahnrestauration“ und „3-gliedrige Brücke“ [6] befinden sich für die meisten Keramiksysteme die Überlebensraten heute bereits auf Augenhöhe mit Titanimplantaten [7]. Langfristige Daten müssen jedoch die kurz- und mittelfristig guten Ergebnisse bestätigen.
Warum Keramikimplantate?
Dr. Jens Tartsch
Das Material Zirkondioxid
Diese Faktoren sind gute Argumente dafür, sich in der implantologischen Praxis vermehrt mit dem Thema Keramikimplantate auseinanderzusetzen. Vor allem in den Bereichen Implantatmaterial [20], Design der Implantatoberflächen [21] und der restaurativen Konzepte hat eine rasante Weiterentwicklung stattgefunden, wodurch sich die Erfolgsraten je nach Implantatsystem und Studiendesign bei bis zu 98% im Bereich von Titanimplantaten befinden [22,23]. Auch die früher noch recht hohen Frakturraten konnten sowohl in statischen als auch in dynamischen Bruchfestigkeitstests nach ISO 14801 revidiert werden. Damit können solche modernen Systeme in Hinsicht auf die Bruchfestigkeit als für einen klinischen Einsatz geeignet eingestuft werden [24,25]. Wie auch aus der Zahntechnik bekannt, ist hierbei jedoch zu beachten: Zirkondioxid ist nicht gleich Zirkondioxid. Nach wie vor gibt es große Unterschiede in Herstellungsprozess, Materialauswahl, Oberflächengestaltung, restaurativen Konzepten und Handhabung, was entsprechende Hintergrundkenntnisse für den Umgang mit Keramikimplantaten unabdingbar macht.
Zusammensetzung und Eigenschaften
Moderne Keramikimplantate bestehen aus TZP-Keramik (tetragonale Zirkondioxid-Polykristalle) mit einer mittleren Biegefestigkeit von 1.100 MPa. Um die Biegefestigkeit auf 1.200 MPa zu erhöhen und um den Alterungsprozess (hydrothermale Degradation) positiv zu beeinflussen, wurde bis zu 0,5 Vol.-% Aluminiumoxid hinzugegeben (TZP-A). Erhöht man den Volumenanteil von Aluminiumoxid auf 20%, entstehen neue Hybridkeramiken, welche eine Biegefestigkeit von bis zu 2.000 MPa erreichen [26]. Diese ATZ-Keramik („alumina toughened zirconia“: Aluminiumoxidverstärktes Zirkondioxid) lässt das Frakturrisiko neben dem bereits hochbeständigen TZP-A nochmals deutlich schrumpfen. Der Alterungsprozess durch hydrothermale Degradation besitzt durch diese Verfahren kaum mehr klinische Relevanz [27,28].
Ob TZP, TZP-A oder ATZ – von Bedeutung ist die Weiterverarbeitung des Ausgangsmaterials. Korngröße, Reinheit und Dichte beeinflussen maßgeblich die Härte und Qualität. Zwei grundlegende Verfahren sind beim Herstellungsprozess zu unterscheiden: Im 1. Verfahren (CIM – Ceramic Injektion Mold, CIP – Cold Isostatic Pressing) erfolgt zunächst die Formgebung durch Spritzgussverfahren oder Grünlingsbearbeitung und im 2. Schritt die Veredelung durch den Sinterprozess. Im anderen Verfahren (hard machining) ist der Ablauf umgekehrt: Zunächst wird ein Block im HIP-Verfahren (Hot Isostatic Post Compaction) unter hohem Druck von bis zu 2.000 bar und Temperaturen von bis zu 2.000 °C verdichtet und damit veredelt. Erst dann wird unter hohem industriellem Aufwand die Form aus dem fertigen Blank geschliffen. In beiden Verfahren können sehr hochwertige und präzise Ergebnisse erzielt werden.
Oberflächendesign
Kamen in der Anfangsphase der Keramikimplantate lediglich glatte, maschinierte Oberflächen zum Einsatz, sorgen heute unterschiedlich modifizierte, moderne Bearbeitungsmethoden für rauere Implantatoberflächen. Edelkorundstrahlung, thermische Säureätzung, Lasermodulation oder Vorab-Strukturierung der Pressform stehen für einen den Titanimplantaten nahezu gleichwertigen Bone-Implant-Contact (BIC) und zeigen gleichwertige Osseointegration [29,30].
Renaissance der Keramikimplantate
Die hier beschriebene Entwicklung der Keramikimplantologie und deren zunehmende Relevanz wurden auch von der Industrie erkannt. Fast alle renommierten Implantatanbieter haben derzeit auch Keramikimplantate in ihr Produktportfolio aufgenommen, was durch hohen Forschungsaufwand zu qualitativ immer hochwertigeren Produkten und damit zu einer „Renaissance“ der Keramikimplantate führte.
1-teilige Keramikimplantate
Derzeit verfügen 1-teilige Keramikimplantate noch über eine höhere Evidenz als 2-teilige Systeme, da sich aufgrund der längeren Verfügbarkeit die meisten Studien auf 1-teilige Systeme beziehen. Abutment und Implantat bestehen bei 1-teiligen Systemen aus „einem Stück“ (Monoblock), womit sie als hermetisch dicht gelten (kein Abutment notwendig, keine separate Abutmentverbindung, kein Implantat-Interface). Sie haben den Vorteil, dass sie in der Versorgung der gewohnten Tätigkeit des Zahnarztes mit Abformung und Zementierung der Kronenrestauration eines natürlichen Zahnes sehr nahekommen. Es handelt sich jedoch nicht um einen natürlichen Zahn, sondern um ein Implantat mit seinen im Vergleich zum natürlichen Zahn doch unterschiedlichen Aspekten wie Flexibilität, Emergenzprofil, Durchmesserrelation Krone-Wurzel/ Implantat oder der Anatomie im gingivalen/mukosalen Sulkus. Die restaurative Versorgung auf 1-teiligen Implantaten erfolgt ausschließlich durch Zementieren der Restauration. Die Lage der Implantatschulter definiert hierbei die Lage des Kronenrandes und entspricht der Zementfuge. Nachdem die Zemententfernung 1,0 bis 1,5 mm subgingival nicht mehr zuverlässig gewährleistet werden kann [31], sollte die Implantatschulter und damit der Kronenrand möglichst epigingival (tissue level) platziert werden. Im Frontzahnbereich ist eine epigingivale Platzierung der Implantatschulter jedoch aus ästhetischen Gründen nur in seltenen Fällen vorhersehbar möglich. Kommt es zu supragingival liegender Implantatschulter oder ist die Implantatachse für die prothetische Restauration falsch ausgerichtet, kann dies im geringen Umfang durch das Beschleifen des Implantats korrigiert werden. Das birgt jedoch das Risiko einer möglichen Verletzung der Materialstruktur (Phasentransformation durch Microcracks) und damit folglich des gesamten Implantatkörpers.
2-teilig verklebte Keramikimplantate
In der allgemeinen „Titan“-Implantologie sind 2-teilige Systeme „State of the Art“. Sie decken fast alle Indikationen ab, ermöglichen unbelastete Einheilphasen, primären Wundverschluss, einzeitige, augmentative Verfahren und sind reversibel und flexibel. Nach wie vor stellt jedoch bei Keramikimplantaten die Verbindung von hartem, nicht elastischem Zirkonabutment mit einem harten, nicht elastischen Zirkonimplantat eine der größten Herausforderungen für die „Zweiteiligkeit“ der Systeme dar. Wie bei den ersten 2-teiligen Systemen ist auch heute noch das Verkleben des Abutments mit dem Implantat weit verbreitet. Hierbei sollten acrylatbasierte Zemente wie z.B. Panavia v5 (Kuraray), Multilink (Ivoclar Vivadent), oder RelyX Unicem (3M), zur Anwendung kommen. Das Zementieren mit Glasionomer- oder Phosphatzementen ist wegen der Gefahr einer möglichen Lockerung des Abutments abzulehnen. Die Abformung kann nach dem Verkleben des Abutments oder bereits vorher erfolgen, was eine extraorale Anpassung des Abutments durch Beschleifen ermöglicht. In beiden Fällen wird das 2-teilige Implantat nach dem Verkleben des Abutments zum 1-teiligen Implantat. Folglich kann die Restauration ebenfalls nur zementiert werden und ist im Falle einer eventuell notwendigen Anpassung nicht mehr reversibel oder flexibel. Flexibel und reversibel ist einzig die Verschraubung von Abutment und Implantat wie bei Titanimplantaten. Die Vorteile liegen auf der Hand: kein Risiko für Zementüberschüsse, einfaches Weichgewebsmanagement, Ausformung des Emergenzprofils sowie einfache Reparatur- und Reentry-Optionen.
2-teilig verschraubte Keramikimplantate
Die Verschraubung 2-teiliger Keramikimplantate mittels der auch bei Titanimplantaten bisher üblichen Metallschrauben aus Gold oder Titan bringt wiederum neue Herausforderungen mit sich. Keramik ist auf Druck bekanntermaßen stärker belastbar als auf Zug. Eine Verschraubung kann jedoch solche für den Werkstoff Keramik ungünstigen Zugkräfte in das Implantat einbringen und folglich zu internen Spannungsspitzen führen. Durch Mikrobewegung der im Vergleich zur Keramik weicheren Schraube im harten Implantat-Innengewinde kann es zum zusätzlichen Verschleiß und Abrieb an der Schraube kommen. Entscheidend dürften die Präzision der Herstellung des Implantat-Abutment-Interfaces und die Schraubenpassung sein; weitere Untersuchungen müssen folgen. Ein vom Hersteller vorgesehener Anzugstorque sollte in jedem Fall beachtet werden.
2-teilig metallfrei verschraubte Keramikimplantate
Dr. Jens Tartsch
Über dieses 2-teilige Konzept können sowohl in der Zahnarztpraxis als auch im Dentallabor die von Titanimplantaten gewohnten Arbeitsabläufe nun auch für den Umgang mit Keramikimplantaten beibehalten werden: unbelastete und gedeckte Einheilung, offene oder geschlossene Abformung, präzise Modellherstellung, Individualisierung der Abutments sowie metallfreie und reversible Verschraubung für ein breites Indikationsspektrum. Hierzu gehört auch eine der heute am meisten verbreiteten Restaurationsvarianten in der Implantologie, nämlich die Versorgung mit einer zementfreien, verschraubten Klebebasis. Mit dem Konzept der Vicarbo-Schraube ist dies nun auch mit Keramikimplantaten metallfrei möglich. Dies soll im Folgenden anhand einer Versorgung mit dem NobelPearl-Implantatsystem dargestellt werden.
Patientenfall
Eine 54-jährige Patientin stellte sich mit dem Wunsch nach metallfreier Versorgung der Zähne 15 und 25 in unserer Praxis vor. Die Entfernung der Zähne war 6 Monate zuvor alio loco erfolgt. Das horizontale und vertikale Knochenangebot an der vorgesehenen Implantatposition stellte sich als ausreichend dar. Präoperative Planung Die Auswahl des Implantats erfolgte mittels der 3D-Planungssoftware SMOP der Swissmeda AG, Zürich (Abb. 3). Auch wenn – wie in diesem Fall – kein schablonennavigierter Eingriff vorgesehen war, erlaubt SMOP eine sichere präoperative Planung. Zwar entspricht die Implantatgeometrie des Straumann Bone Level Tapered-Implantats nicht exakt der Geometrie des NobelPearl-Implantats, jedoch lassen sich durch Verwendung der Bone Level Tapered-Schablone annähernd analog genug Länge, Durchmesser und Position des NobelPearl auswählen. Auch die 1. Pilotbohrung kann auf diese Weise schablonengeführt angelegt werden. Für die Zukunft wäre eine direkte Aufnahme der NobelPearl-Implantatgeometrien in die Planungssoftware wünschenswert.
Dr. Jens Tartsch
Dr. Jens Tartsch
In diesem Fall konnten 2 NobelPearl-Implantate mit je einem Durchmesser von 4,2 mm und der Länge 10 mm für die Implantatpositionen 15 und 25 vorgesehen werden. Die angegebene Länge entspricht dabei dem enossalen Anteil des Implantats. Zu beachten ist, dass zum enossalen Anteil noch ein auslaufend geätzter Halsbereich mit 1,6 mm Höhe hinzukommt, welcher der biologischen Breite Rechnung tragen soll. Folglich weist ein 10-mm-Implantat eine Gesamtlänge von 11,6 mm auf. Die untere Schulter des Profilbohrers entspricht hierbei der enossalen Länge des Implantats ohne den Halsbereich (Abb. 4). Bei einer geringen Mukosadicke kann das Implantat jedoch bis zu 1 mm tiefer platziert werden, sodass nur noch ein Halsbereich von 0,6 mm suprakrestal verbleibt und der enossale Anteil nun 11 mm beträgt.
Chirurgische Phase
Unter Lokalanästhesie erfolgte nach krestaler Schnittführung die Aufklappung (Abb. 5) und die Aufbereitung des Implantatbettes gemäß dem chirurgischen Protokoll für NobelPearl mit den Bohrern des NobelPearl Surgical Tray. Nach Ankörnung mit dem Rosenbohrer wurde unter Beachtung der korrekten Implantatachse die 1. Bohrung mit dem zylindrischen Pilotbohrer Ø 2,3 mm auf die geplante Länge von 10 mm angelegt. Für die unterschiedlichen Längen stehen in der Folge formkongruente Profilbohrer zu Verfügung. So wird für die weitere Aufbereitung zunächst der Profilbohrer „small“, Länge 10 mm, Ø 3,3 mm (Farbcodierung violett), und danach der Profilbohrer „regular“, Länge 10 mm, Ø 4,2 mm (Farbcodierung gelb, hier mit Tiefenstopp), ausgewählt (Abb. 6).Da das NobelPearl-Implantat nicht selbstschneidend ist und beim Eindrehen des Implantats der Werkstoff Keramik keine Temperatur wie ein Titanimplantat ableitet, muss als letztes Instrument der Gewindeschneider auf die gesamte Implantatlänge eingesetzt werden.
Dr. Jens Tartsch
Dr. Jens Tartsch
Dr. Jens Tartsch
Dr. Jens Tartsch
Dr. Jens Tartsch
Dr. Jens Tartsch
Dr. Jens Tartsch
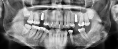
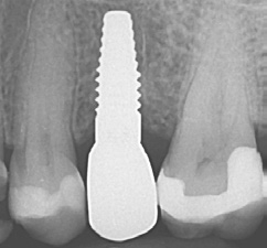
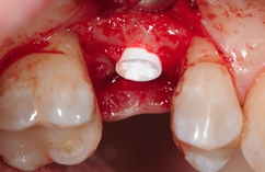
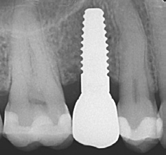
Die Implantate wurden im Anschluss mit einer ausreichenden Primärstabilität von 30 Ncm und einem suprakrestalen Anteil 0,6 mm platziert. Diese suprakrestale Positionierung wird durch einen gegebenenfalls am Profilbohrer anbringbaren Tiefenstopp (Abb. 7) vereinfacht. Für das Einbringen der Implantate steht ein neues, zur „Inter-X“-Innenverbindung formschlüssiges Eindrehinstrument (Abb. 8) zu Verfügung, wodurch eine optimale Kraftübertragung während des Inserierens des Implantats gewährleistet wird (Abb. 9). Die Einheilkappen sind deutlich abgeflacht und ermöglichen einen einfachen primären Wundverschluss (Abb. 10 und 11). Im vorliegenden Fall verlief die Wundheilung komplikationslos. Nach einer auch für Keramikimplantate heute üblichen Einheilungszeit von 3 Monaten zeigten sich die Implantate in der Röntgenkontrollaufnahme stabil osseointegriert (Abb. 12). Es fanden sich an beiden Implantat-Loci entzündungsfreie Weichgewebsverhältnisse, woraufhin mit der prothetischen Versorgung des Implantats begonnen werden konnte.
Prothetische Phase
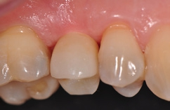
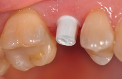
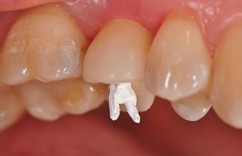
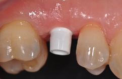
Für den Reentry wurde für das Einbringen des Gingivaformers eine minimale krestale Inzision angelegt (Abb. 13). Nach Abheilung der Weichgewebe (Abb. 14) konnte 2 Wochen später mit Reposition des Abformpfostens geschlossen abgeformt (Abb. 15) und das Meistermodel erstellt werden Da es sich um ein 2-teiliges Implantatsystem handelt und die Abutments ebenfalls aus hochfester ATZ-Keramik bestehen, lassen sich diese – falls nötig – entweder in der Praxis oder im Dentallabor durch Beschleifen individualisieren (Abb. 16). Für NobelPearl stehen sowohl gerade als auch 15° abgewinkelte Abutments mit 1 mm und 3 mm Gingivahöhe zu Verfügung. Im CAD/CAMVerfahren wurde eine monolithische Zirkonkrone aus Zolid FX (Amman Girrbach) mit okklusalem Zugang zum Schraubenkanal gefertigt (Dentallabor Studio für Zahntechnik, Dirk Tartsch).
Dr. Jens Tartsch
Dr. Jens Tartsch
Dr. Jens Tartsch
Dr. Jens Tartsch
Dr. Jens Tartsch
Wäre es gewünscht, die Schraube komplett entfernen zu können, muss die okklusale Zugangskavität der Krone den Durchmesser des Schraubenkopfes von 2,8 mm aufweisen. Bei einem Molaren ist diese Dimension meist unproblematisch, für einen schmaleren Prämolaren ist sie jedoch oftmals zu groß. In dem Fall wird die Schraube durch das Verkleben in die Konstruktion eingearbeitet. Es genügt dann eine Durchtrittsöffnung von 2,2 mm, die gerade noch den Zugang für den Schraubendreher ermöglicht (Abb. 17). Hierbei ist im Falle einer keramischen Verblendung auf eine Gerüstunterstützung der Überhänge zu achten. Sollte die eingearbeitete Schraube ausgetauscht werden müssen, kann die Abutment-Kronen-Verklebung durch Erwärmung im Ofen bei 120 °C einfach gelöst und in der Folge nach dem Auswechseln der Schraube neu geschaffen werden.
Verklebung der Krone
Nach der Einprobe von Abutment und Krone (Abb. 18 und 19) erfolgt ihre Verklebung analog einer Titanklebebasis entweder extraoral im Dentallabor oder, wie in diesem Fall, intraoral. Der Vorteil des Verklebens im Patientenmund liegt darin, dass eventuell auftretende Spannungen zwischen Abutment und Implantat abgefangen werden können. Solche Spannungen können bereits durch nicht ganz korrekte Reposition des Abformpfostens bei einer geschlossenen Abdrucknahme ausgelöst werden, durch kleine Ungenauigkeiten bei der Gestaltung der Kontaktpunkte oder aber auch durch das – wie bei jedem Implantatsystem mehr oder weniger vorhandene – „Spiel“ zwischen Implantat, Abformpfosten, Laborimplantat und Abutment. Dabei kann Titan als elastisches Metall solche „Mikrospannungen“ eher ausgleichen als die harte, nicht elastische Keramik.
Dr. Jens Tartsch
Dr. Jens Tartsch
Dr. Jens Tartsch
Dr. Jens Tartsch
Für das Verkleben wird das Abutment mit der Originalschraube bei nur leichtem Anzugstorque per Hand auf dem Implantat befestigt. In unserer Praxis hat es sich bewährt, das Abutment bzw. den Schraubenkanal mit Teflonband (Firma Rothenberger) zu verschließen (Abb. 20). Das Teflonband lässt sich fast schon plastisch modellieren und verschließt den Zugang zuverlässig. Überhänge oder Unterfüllung sind dabei zu vermeiden. Nach hersteller- und materialgemäßer Konditionierung wurden Abutment und Kronen mit geeigneten Kunststoffzementen (hier: RelyX unicem, 3M) verklebt. Das Vorgehen entspricht der Verklebung von keramischer Restauration mit einer Titanklebebasis. Nach dem Verkleben wird das Teflonband durch die Zugangskavität entfernt (Abb. 21).
Definitive Eingliederung
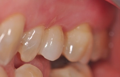
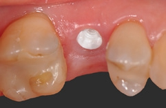
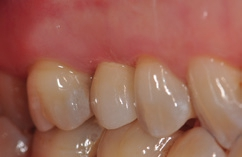
Die mit dem Abutment verklebten Restaurationen konnten nun entnommen, Zementüberschüsse (Abb. 22) sicher entfernt und die Übergänge von Krone zu Abutment poliert werden. Für die definitive Eingliederung ist der für die Abutmentschraube vorgegebene Anzugstorque von 25 Ncm einzuhalten. Nach erneutem Auffüllen der Schraubenkanäle wiederum mit Teflonband wurden die Zugangskavitäten in ebenfalls üblicher Weise mit Komposit verschlossen. Das Ergebnis sind im vorliegenden Fall 2 metall- und zementfreie, verschraubte und reversible Einzelzahnrestaurationen (Abb. 23). Bei dem routinemäßig durchgeführten Follow-up 6 Monate nach Eingliederung zeigte sich eine an beiden Implantatpositionen reizlose Weichgewebssituation (Abb. 24a und b) und in den radiologischen Kontrollaufnahmen stabile periimplantäre Knochenverhältnisse (Abb. 25a und b).
Dr. Jens Tartsch
Dr. Jens Tartsch
Dr. Jens Tartsch
Dr. Jens Tartsch
Dr. Jens Tartsch
Dr. Jens Tartsch
Reversibel und flexibel
Sollten in der Folge wider Erwarten Probleme wie Chipping auftreten oder nachträgliche Farbanpassungen nötig werden, können diese ebenso wie bei Titanimplantaten auf einfache Weise korrigiert und revidiert werden. Selbst der Weg in den digitalen Workflow ist bereits mit der DTX Studio-Software (Nobel Biocare) und dem NobelPearl Position Locator beschritten.
Fazit
Im Vergleich zu Titanimplantaten besitzen Keramikimplantate eine noch geringere Evidenz. Weitere Studien müssen folgen, um die vielversprechenden kurz- und mittelfristigen Ergebnisse zu bestätigen. Dennoch lässt sich im Rahmen der heute bereits verfügbaren Daten feststellen, dass Keramikimplantate sich neben den Erfolgsprognosen auch in der Handhabung den Titanimplantaten angenähert haben. Gewohnte chirurgische und prothetische Protokolle können nun weitestgehend übernommen werden – neben Evidenz und Zuverlässigkeit sicherlich ein wichtiges Argument für die zukünftige Akzeptanz von Keramikimplantaten in der zahnärztlichen Implantologie. Somit kann heute bereits festgehalten werden: Moderne Keramikimplantate stellen in der richtigen Indikationsstellung und im richtigen Umgang eine Ergänzung des Behandlungsspektrums in der zahnärztlichen Implantologie dar und werden auch künftig zunehmend an Bedeutung gewinnen.
Anmerkung: Es besteht kein Interessenskonflikt des Autors.
Zahntechnische Umsetzung:
Studio für Zahntechnik
ZT Dirk Tartsch
Kehlbrunnenweg 27
79774 Albbruck
studio-fuer-zahntechnik@gmx.de
Bildquellen sofern nicht anders deklariert: Unternehmen, Quelle oder Autor/-in des Artikels
Entdecke CME Artikel






Keine Kommentare.