Während sich die Mukositis in Analogie zur Gingivitis als reversible Entzündung der periimplantären Schleimhaut definiert, zeichnet sich die Periimplantitis durch einen irreversibel-progressiven Entzündungsprozess aus, bei dem nicht nur das periimplantäre Weichgewebe, sondern auch der umgebende Knochen durch Destruktion betroffen ist [1]. Auf der mikroskopisch- molekularen Ebene unterscheiden sich periimplantäre Gewebe und physiologisches Parodont. Die periimplantären Gewebestrukturen begünstigen durch geringere Vaskularisation und verändertem, parallelen Kollagenfaserverlauf den Entzündungsverlauf.
Da die periimplantäre Osseointegration als eine immunologisch modulierte Interaktion mit dem implantären Fremdmaterial gesehen wird, bedeutet der marginale Knochenabbau den Verlust des „foreign body equilibrium“, d.h. Verlust einer ausgeglichenen, balancierten Fremdkörperreaktion [2]. Die Angaben über Prävalenzen differieren in der Literatur erheblich: für die periimplantäre Mukositis von bis zu 40-80 % der Implantatpatienten und 20-50 % der Implantate und für die Periimplantitis von 10-56 % resp. 10-40 % [3]. Patienten mit einer Parodontitisanamnese und nicht dauerhaft erfolgreicher Therapie sind mit einem höheren Entzündungsrisiko und konsekutivem Implantatverlust behaftet. Bisher wurde der Fokus vorwiegend auf die Biofilm-assoziierten Risiken gelegt, in den letzten Jahren wurden zunehmend weitere kompromittierende immunologische und genetische Aspekte beschrieben.
Dr. Jacobi-Gresser
Dr. Jacobi-Gresser
Genetische Risikofaktoren für die Periimplantitis
Die enge Assoziation genetischer Varianten zum Schweregrad der Parodontitis konnte durch eine Vielzahl von Studien belegt werden. Aufgrund einer umfassenden Datenlage liegen inzwischen auch Meta-Analysen vor, die die Bedeutung dieser Zytokinpolymorphismen an großen Patientenkollektiven auch für die Periimplantitis und den Implantatverlust bestätigt haben [4]. Bei Patienten ohne oder mit nur einem Polymorphismus auf den zytokinproduzierenden Genen liegt eine normale Entzündungskapazität vor. Bei Patienten, die hingegen mehr als zwei dieser genetischen Varianten tragen, spricht man von High-Respondern, denn bei ihnen ist eine stark erhöhte Entzündungsbereitschaft genetisch determiniert.
Analog zur Parodontitis wird das Ausmaß und der Verlauf der Entzündungsantwort auch bei der Periimplantitis durch das Verhältnis der pro- und antientzündlichen Zytokine IL-1? und IL-1?, TNF-? und IL-1RN mitbestimmt. Die klinische Relevanz dieser Polymorphismen zeigt sich auch darin, dass Patienten mit High-Responder-Polymorphismen für TNF-? und IL-1 neben der erhöhten Assoziation zur Parodontitis auch eine erhöhte Empfindlichkeit für einen periimplantären Knochenverlust aufweisen [5- 9]. Die Konzentration der Entzündungszytokine IL-1 und TNF-? im betroffenen Parodont korreliert zum Schweregrad einer Parodontitis [10]. Das Ausmaß des Gewebeverlustes ist bei Rauchern mit genetisch erhöhtem Risiko verstärkt [11]. Polymorphismen im proentzündlichen IL-6-Gen und im antientzündlich wirkenden IL-10-Gen können ebenfalls ursächlich sein für eine überschießende Entzündungsantwort. Der Polymorphismus –174G/C im IL-6-Gen geht mit einer erhöhten IL-6-Sekretion einher. In Studien zur Parodontitis wurde diese genetische Variante mit chronischen und auch aggressiven Krankheitsverläufen assoziiert [12].
Die gesteigerte IL-6-Expression korreliert nachweislich auch mit einem Implantatverlust [13]. Interleukin-10 (IL-10) ist neben IL-1-RA ein weiteres antiinflammatorisches Zytokin. Der Polymorphismus -592C/A im IL-10- Gen geht mit einer verminderten IL-10-Synthese einher. Die dadurch verminderte Entzündungshemmung erklärt, warum diese genetische Variante in einer Vielzahl von Studien mit der Parodontitis assoziiert wurde und in einer Meta-Analyse als Prädispositionsfaktor für chronische Parodontitisverläufe bestätigt wurde [14]. Es konnte nachgewiesen werden, dass bei betroffenen Patienten die verminderte IL-10-Freisetzung eine deutlich erhöhte Knochenresorption und eine gesteigerte Gewebedestruktion zur Folge hat [15].
Dr. Jacobi-Gresser
Dr. Jacobi-Gresser
Dr. Jacobi-Gresser
Dr. Jacobi-Gresser
Dr. Jacobi-Gresser
Dr. Jacobi-Gresser
Dr. Jacobi-Gresser
Das individuelle Risiko für eine Titanimplantat-assoziierte Periimplantitis beruht ebenfalls auf einer genetisch bedingten Suszeptibilität. Die klinischen Effekte einzelner Genvarianten sind hierbei moderat, sodass ? ähnlich wie bei anderen komplexen Krankheiten ? ein Vorliegen von Polymorphismen mehrerer funktioneller Gene an einer Periimplantitisentwicklung bzw. einem Implantatverlust beteiligt sind [16].
Defizienz der Schleimhautresistenz und Granulozytenfunktion
Bei etwa 10 Prozent der Patienten mit chronischer Parodontitis liegt eine ineffiziente Erregerabwehr bei gestörter Schleimhautimmunität ? aber keine genetisch bedingte erhöhte Entzündungsneigung ? vor. Hier können Defekte der Schleimhautresistenz sowohl für Aphthen aber auch für Parodontitis und Mukositis verantwortlich sein. Im Rahmen der immunologischen Abwehr werden die parodontopathogenen Bakterien von Granulozyten phagozytiert und abgetötet. In seltenen Fällen angeboren, häufiger aber bedingt durch Stoffwechselerkrankungen (z.B. Diabetes) kann die Granulozytenfunktion gestört sein (Phagozytosedefekt). Eine zusätzliche Reduktion der Granulozytenfunktion kann bei einem Mangel an IgA-Antikörpern oder am Mannose-bindenden Lektin (MBL) vorliegen, welche die für eine effektive Elimination erforderliche Bindung zwischen Granulozyten und Bakterien verbessern (Opsonierung). Diese Parameter sollten vor allem dann abgeklärt werden, wenn die entsprechende Entzündungsgenetik keine überschießende Entzündungsneigung anzeigt und somit die chronische Entzündungstendenz nicht genetisch erklärt werden kann.
Titanpartikelfreisetzung durch Korrosion
Wissenschaftliche Untersuchungen nehmen allerdings nun immer mehr die besonderen Eigenschaften des Implantatmaterials und seiner Oberflächenmorphologie in die Betrachtung. Als ein sehr oxidationsfreudiges Metall bildet Titan im physiologischen Milieu Oxidschichten auf seiner Oberfläche aus, die zur Passivierung führen und vor Korrosion schützen [17]. Einerseits fördert die Rauigkeit der Oberfläche die Osseointegration, anderseits begünstigt sie aber auch einen Partikelabrieb [18]. Seit zwei Jahrzehnten ist der wissenschaftliche Fokus auf die Auswirkungen von Titanpartikeln gelenkt, die sich durch mechanischen Abrieb beim Einbringen und durch korrosive Ereignisse (Bio-Tribocorrosion) von der Implantatoberfläche ablösen und als Mikro- und Nanopartikel immunologische Effekte im Organismus verursachen [19,20]. Titanoxidpartikel zeigen im Vergleich mit anderen Oxidpartikeln aus Aluminium- oder Zirkonkeramik eine deutlich höhere immunstimulative Potenz [21]. Makrophagen reagieren nach Kontakt mit Titanoxidpartikeln mit einer Ausschüttung der proentzündlichen Zytokine TNF-? und IL-1, was u.a. analog zur Pathogenese der Parodontitis eine Osteoklastenaktivierung und damit einhergehend eine Osteolyse zur Folge hat [22].
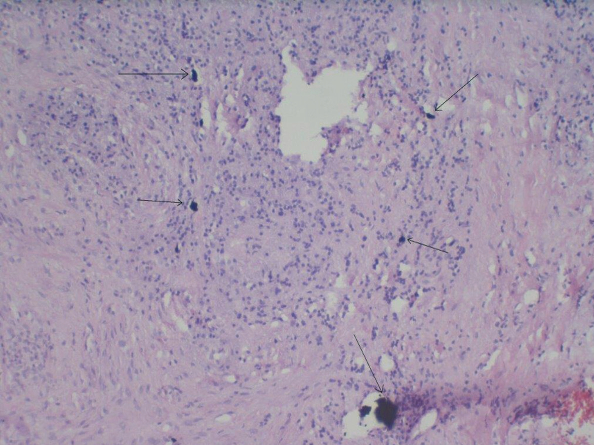
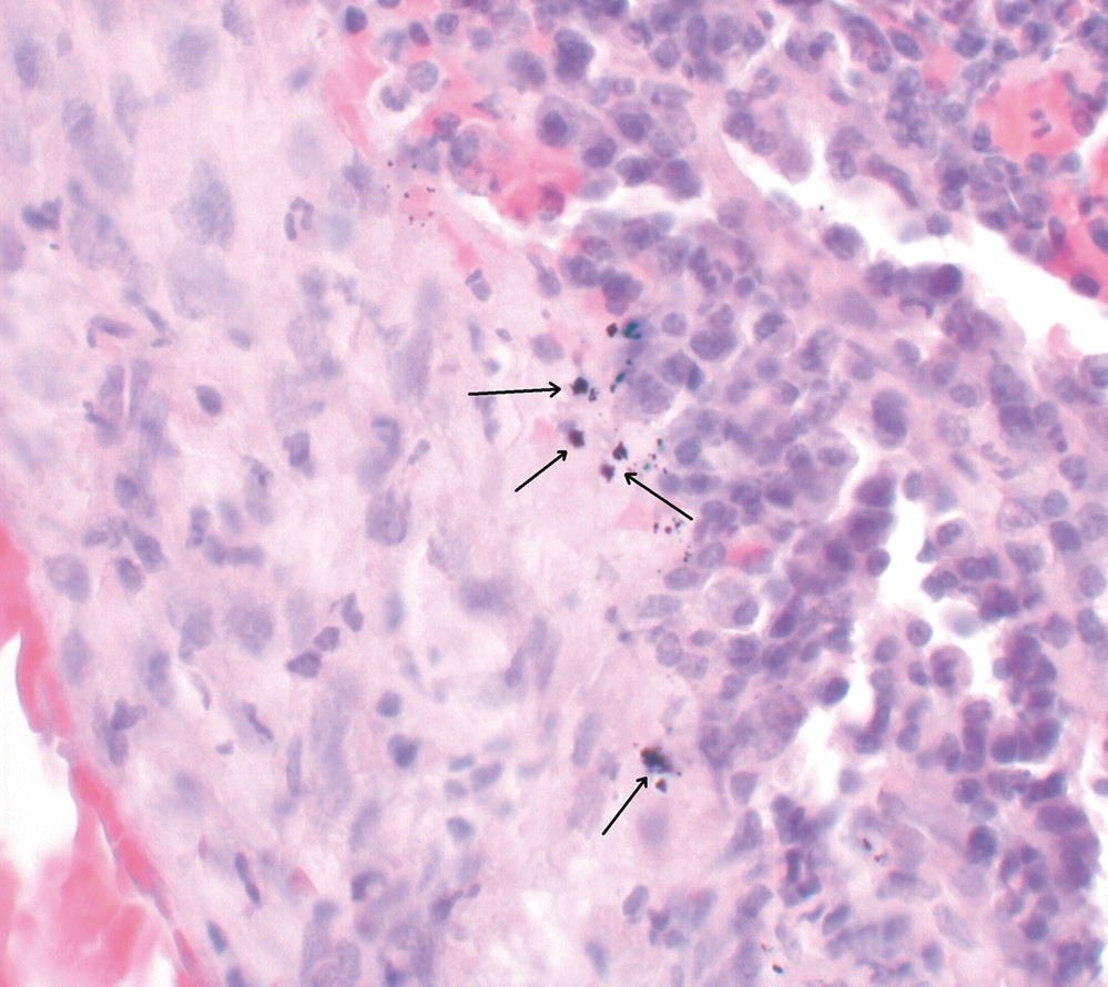
Korrosionsfördernde Faktoren sind mechanischer, chemischer und elektrolytischer Natur (Tribokorrosion). Bereits die mechanische Reibung beim Inserieren eines Implantates als auch Mikrobewegungen bei der Belastung führen zum Partikelabrieb, der im Nanometerbereich liegenden dünnen Oxidschicht am Implantat-Knochen-Interface und am Implantat-Abutment-Interface [23-25]. Im Vergleich von Implantatsystemen mit und ohne „platform-switching“ zeigten die letzteren eine höhere Partikelbeladung im periimplantären Gewebe. Die Ausprägung der ausgeschütteten Zytokin-Spiegel war proportional zur Gewebepartikellast. In radiologischen Kontrolluntersuchungen erwies sich deshalb das crestale Knochenniveau um Implantate mit „platform-switching“ im Verlauf als stabiler [26]. Erhöhte Partikelbeladung des Implantat umgebenden Gewebes findet sich auch nach Scaling-Maßnahmen an der Implantatoberfläche [27]. Die genannten Faktoren führen alle zu einer Partikeldissemination in umliegende und auf dem Blut- und Lymphweg in entferntere Gewebe und Organe. Mechanischer Abrieb und korrosive Prozesse verstärken sich dabei gegenseitig. Mit der elektronenmikroskopischen Spektroskopie (scanning electron microscopy-energy dispersive spectroscopy, SEM-EDS) gelang der Nachweis von Titannanopartikeln (NP) im periimplantären Knochen von Minischweinen. Der Vergleich verschiedener Implantatoberflächen ergab eine unterschiedliche Gewebebelastung in Abhängigkeit von Merkmalen wie Rauigkeit und mechanischer Verbundstabilität der aufgebrachten Oberfläche. Bereits am Tag nach der Implantatinsertion in den Kieferknochen der Versuchstiere waren Partikel im periimplantären Gewebe nachweisbar. Die Autoren schlussfolgern, dass mit der Zeit eine kritische Partikelbeladung im periimplantären Gewebe erfolgen könne, die eine Schädigung der Osteoblasten zur Folge habe [28].
Makrophagenaktivierung durch Partikelfreisetzung
Titan hat aufgrund seiner im Gegensatz zu anderen Metallen herausragenden Oxidationsfähigkeit in der Regel kein allergisierendes Potenzial, da es nicht als Ion, sondern als partikuläre Struktur in Geweben vorliegt und damit unter physiologischen Bedingungen primär keine T-lymphozytäre Reaktion auslöst. Stattdessen wird aufgrund des Partikelreizes das monozytäre Abwehrsystem aktiviert [29,30]. Dieser Vorgang führt zur Ausschüttung von proentzündlichen Zytokinen wie Tumornekrosefaktor- (TNF-?) und Interleukin-1? (IL-1?) durch Aktivierung der Monozyten/Makrophagen. Grundsätzlich aber führt die Partikelaufnahme durch die Makrophagen zu deren Aktivierung. Durch die permanente Partikelfreisetzung besteht der Entzündungs-initiierende Reiz fort, sodass ein empfindlicher Organismus dauerhaft proentzündlich getriggert wird. Der Pathomechanismus des Knochenabbaus durch die proinflammatorischen Zytokine TNF-? und IL-6 aufgrund von Makrophagenaktivierung durch Titanpartikel (MP, NP) aus Implantaten ist beschrieben [31]. Das Ausmaß der Aktivierung humaner Makrophagen wurde in-vitro gemessen und korreliert zum Ausmaß der gefundenen Zytokinausschüttung.
Die Bildung der Zytokine TNF-a und IL-1 hat nicht nur lokale, sondern auch systemische Auswirkungen. Als proentzündliche „Alarmzytokine“ lösen sie komplexe Immunreaktionen aus.
Die gesteigerte Abwehrreaktion von Gewebemakrophagen auf Partikel ist der zugrundeliegende Pathomechanismus für eine Titanpartikel-induzierte Entzündungsreaktion.
Dr. Jacobi-Gresser
Dr. Jacobi-Gresser
Dr. Jacobi-Gresser
Mikrobielle und partikuläre Inflammasomaktivierung
Es ist nachgewiesen, dass sowohl parodontopathogene Keime als auch Titanoxidpartikel unabhängig voneinander die Inflammasom-Kaskade in den Makrophagen aktivieren können und somit die Zytokinproduktion anregen [32]. Die Aktivierung dieser Inflammasome führt zur Bildung des proentzündlichen Zytokins IL-1?. Darüber hinaus fördert eine Biofilmadhäsion an der Titanimplantatoberfläche wiederum deren Korrosionsprozesse [33]. Eine Untersuchung zur Assoziation proinflammatorischer Synergismen von Titan-NP/MP und Porphyromonas gingivalis (Pg) konnte zeigen, dass Titannanopartikel ohne LPS (Lipopolysaccharide) von Pg eine stärkere Entzündungsreaktion initiieren als im Kombination mit diesen Bakterien aufgrund ihrer blockierenden Einflussnahme auf eine physiologische Osteoblastenfunktion [34,35]. In einer aktuellen Longitudinalstudie konnte die taxonomisch unterschiedliche Biofilmzusammensetzung an Implantaten im Vergleich zu gesunden Zähnen, aber auch bei Periimplantitis und chronisch-aggressiver Parodontitis mittels hochauflösenden Gensequenzierungsverfahren (NGS) dargestellt werden. Es konnte gezeigt werden, dass sich das periimplantäre Mikrobiom bei Patienten mit chronisch-aggressiver Parodontitis wesentlich in seiner Zusammensetzung von dem an parodontitischen Zähnen dieser parodontal erkrankten Patienten unterscheidet. Daraus wird abgeleitet, dass eine tradierte Parodontaltherapie bei Periimplantitis nicht die gleichen Erfolge erwarten lässt, zumal weitere komplexe immunologische Mechanismen involviert sind [36]. Staphylococcus aureus steht u.a. im Verdacht, eine ätiologisch wesentliche Rolle bei der Periimplantitis zu spielen, zumal dieser Keim eine hohe Bindungsaffinität zu Titanoberflächen besitzt und über die Hälfte aller untersuchten Implantate besiedelt waren [37]. Titan-Nanopartikel haben zudem weitreichende Auswirkungen auf das Bakterienwachstum durch Schädigung ihrer DNA-Struktur [38]. Es konnte nachgewiesen werden, dass im Vergleich von Zirkonpartikeln mit Titanpartikeln gleicher Größenordnung und Konzentration letztere ein deutlich höheres proinflammatorisches Potenzial besitzen [39,40]. Einige Autoren sehen in der Verwendung von Zirkon als Implantatmaterial die Prävention einer Periimplantitis durch die materialbedingt geringere Biofilmadhäsion. In-vivo- und in-vitro-Studien belegen die verminderte Biofilmausprägung an der Zirkonoberfläche im Vergleich zu der des Titans [41-44]. Generell wird die Biofilmakkumulation beeinflusst durch Oberflächenmerkmale der eingebrachten Materialien, wie ihre chemische Zusammensetzung, Beschichtung und deren Rauigkeit sowie der freien Oberflächenenergie [45,46]. Da es sich bei der Reagibilität der Makrophagen um eine Reaktion des unspezifischen Immunsystem handelt, bedarf es keiner vorausgehenden Exposition mit dem Material wie bei einer erst nach einem Erstkontakt mit dem T-lymphozytären System sich entwickelnden Sensibilisierung. Allerdings beeinflussen auch andere stark entzündungsfördernde Einflüsse, wie akute Erkrankungen, Impfungen usw., die aktuelle Reagibilität des Immunsystems. Die Unverträglichkeit auf Titan ist somit keine Allergie, sondern eine unspezifische Entzündungsreaktion (Periimplantitis)!
Dr. Jacobi-Gresser
Fazit
Die Periimplantitis stellt ein pathogenetisch komplexes Krankheitsbild dar und hat in Abhängigkeit von der individuellen genetischen Suszeptibilität neben lokalen auch systemische Auswirkungen. Sie weist gewisse Ähnlichkeiten mit einer Parodontitis auf, unterscheidet sich allerdings in der taxonomischen Biofilmzusammensetzung und ist zusätzlich durch Fremdkörperreaktionen auf das Implantatmaterial mitbestimmt. Patienten mit einer Parodontitisanamnese tragen ein genetisch höheres Risiko auch an einer Periimplantitis zu erkranken. Eine präimplantologische Risikodiagnostik bei entsprechend disponierten Patienten ermöglicht ein differenziertes Implantat-prothetisches Vorgehen mit dem Ziel der Vermeidung einer Periimplantitisentwicklung. Für eine Frühdiagnostik und ein Therapiemonitoring stehen heute Labor-Biomarker wie Calprotectin oder die aMMP-8-Bestimmung aus dem Sulcusfluid zur Verfügung, um antientzündliche Maßnahmen frühzeitig einzuleiten und in ihrer Effizienz zu kontrollieren [48,49]. Eine an den Patienten angepasste Überwachung in definierten Zeitintervallen ist aufgrund individueller Risikobelastung unabdingbar.
Bildquellen sofern nicht anders deklariert: Unternehmen, Quelle oder Autor/-in des Artikels
Entdecke CME Artikel




Keine Kommentare.