Zur Vermeidung von augmentativen Verfahren können heute durchmesserreduzierte, ultrakurze oder anguliert inserierte Implantate verwendet werden [1]. Neben der spezifischen Lernkurve für den chirurgischen Behandlungsablauf sind auch die besonderen prothetischen Aspekte bei der Planung und Herstellung der Versorgung zu beachten. Neben der genauen Definition der Implantatposition ist es auch wichtig, die Anzahl der Implantate festzulegen, damit eine erfolgreiche prothetische Versorgung erreicht werden kann [2].
Einzelzahnversorgung
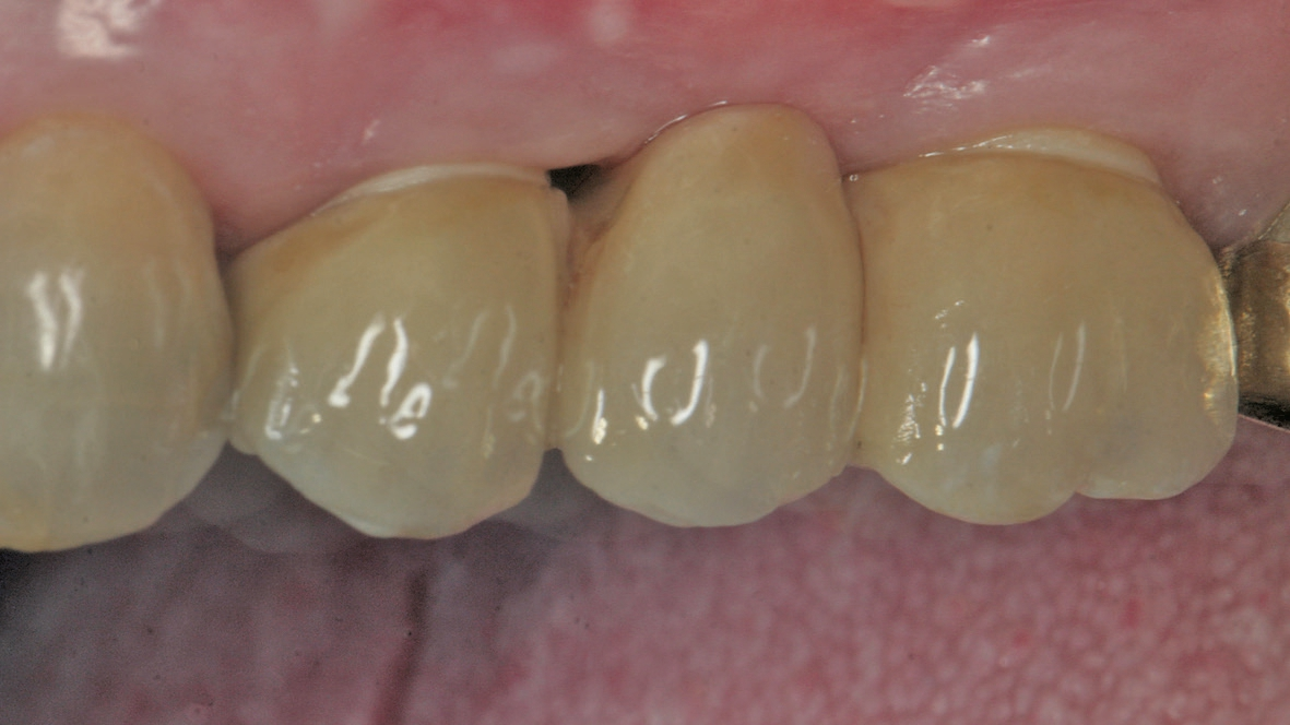
Eine der häufigsten Indikationen für Implantate überhaupt stellt die Einzelzahnlücke nach Verlust eines ersten Molaren dar. Bei den meisten Fällen liegt ein stabiles vertikales Knochenangebot an den Nachbarzähne vor, sodass in der Regel nach Ausheilung des apikalen Granulationsgewebes von einer guten Knochenregeneration auszugehen ist, so dass keine Notwendigkeit der Insertion von kurzen oder ultrakurzen Implantaten gegeben ist. Im Oberkiefer kann bei einer weiten Divergenz der Wurzeln des extrahierten Zahnes es zu einer ausgeprägten Pneumatisation der Kieferhöhle kommen. Daher werden gerade beim jugendlichen Patienten dort dann kurze Implantate eingesetzt, um auf eine Sinusbodenelevation mit einem lateralen Zugang verzichten zu können [3]. Die Implantate können mit oder ohne eine Navigationsschablone gesetzt werden [4]. Da die Lücke begrenzende Nachbarzähne eine gute Orientierung in der mesio-distalen Dimension ermöglichen, kann oftmals auch auf eine Orientierungsschablone verzichtet werden. In der oro-vestibulären Richtung muss der Anwendung des größeren Durchmessers Rechnung getragen werden. Dies kann mit einfachen Positionierungshilfen erfolgen, damit die Implantatachse möglichst zentral in der Kaufläche zu liegen kommt (Abb. 1-8). Die Einzelzahnlücke kann mit einer integrierten verschraubbaren Abutment-Hybrid-Krone oder mit einem Abutment und einer zementierten Krone versorgt werden [5].
Dr. Jörg Neugebauer
Dr. Jörg Neugebauer
Dr. Jörg Neugebauer
Dr. Jörg Neugebauer
Dr. Jörg Neugebauer
Dr. Jörg Neugebauer
Dr. Jörg Neugebauer
Dr. Jörg Neugebauer
Zahnlose Kieferabschnitte
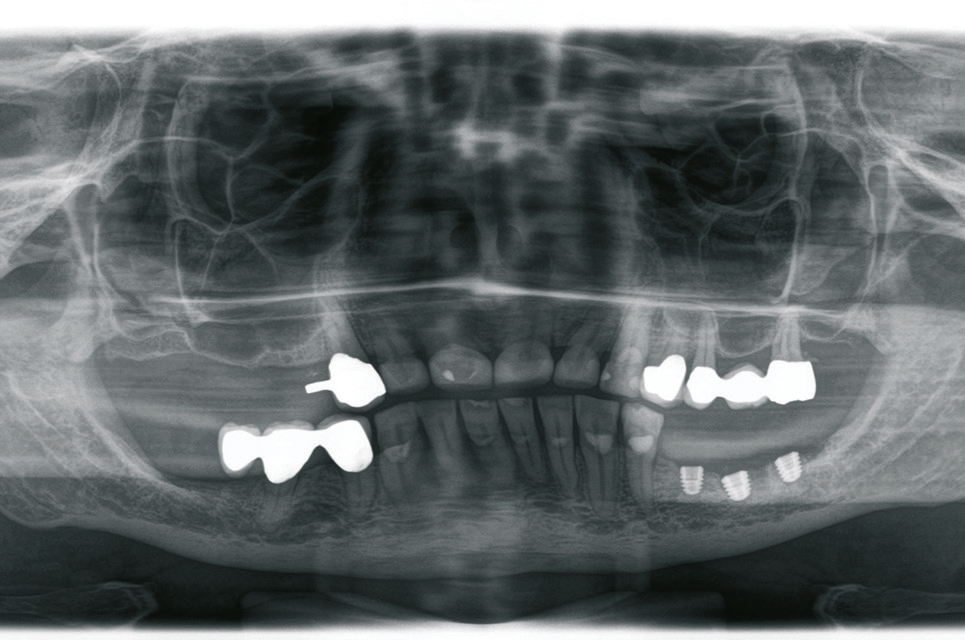
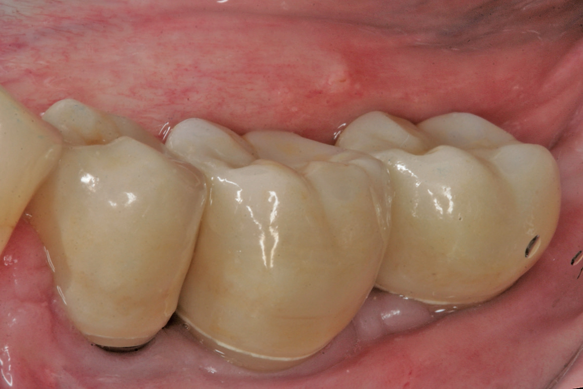
Beim Fehlen von mehreren Zähnen können unterschiedliche Planungs- und Versorgungskonzepte zur Anwendung kommen. Zur Kompensation der geringeren Verankerungsfläche von kurzen Implantaten im Knochen wird neben der Zahn-für-Zahn-Versorgung eine Verblockung von multiplen Implantaten empfohlen [6]. Die Empfehlungen sind aber im Kontext der jeweiligen Implantat- Aufbau-Verbindung, die bei der Versorgung von kurzen Implantaten zur Anwendung gekommen ist, zu berücksichtigen. Aus dem Anwendungsbereich der Implantate mit einer externen Implantataufbauverbindung wird eine Verblockung angeraten, um eine ausreichende Stabilität besonders bei einer hohen Aufbauhöhe des Zahnersatzes sicher zu stellen [6]. Die Erfahrung bei der Anwendung von Implantaten mit einer konischen Implantataufbauverbindung hat gezeigt, dass sich multiple Einzelkronen langzeitstabil eingliedern lassen [2] (Abb. 9-14). Besonders in Hinblick auf das periimplantäre Knochenniveau wird davon ausgegangen, dass sich bei der Einzelversorgung keine Spannungen auf Grund einer unzureichenden zahntechnischen Herstellungsgenauigkeit ergeben können.
Dr. Jörg Neugebauer
Dr. Jörg Neugebauer
Dr. Jörg Neugebauer
Dr. Jörg Neugebauer
Dr. Jörg Neugebauer
Dr. Jörg Neugebauer
Zeigt sich im Rahmen der Planung, dass das vertikale Knochenangebot nur in einem Bereich des zahnlosen Kieferkammabschnittes vorliegt, können kurze Implantate auch mit längeren Implantaten kombiniert werden. Dann kann anstelle der multiplen Einzelversorgung auch eine Brückenversorgung angegangen werden (Abb. 15-18). Bei der Verblockung von Implantaten mit einer konischen Implantataufbauverbindung muss auf eine genaue Übertragung der Implantatanschlussgeometrie geachtet werden, da es durch die Toleranzen bei der Herstellung des Konus zu einem vertikalen Versatz kommen kann. Im Vergleich zu Implantaten mit einer zylindrischen, parallelen Verbindung fehlt hier der Anschlag, der eine genaue Übertragung der vertikalen Position sicherstellt. Um diesen vertikalen Fehler zu vermeiden empfiehlt es sich auf Abutmentniveau abzuformen. In diesem Fall kann das Abutment auch in-situ verbleiben, so dass das periimplantäre Weichgewebe nicht mehrfach traumatisiert wird.
Dr. Jörg Neugebauer
Dr. Jörg Neugebauer
Dr. Jörg Neugebauer
Dr. Jörg Neugebauer
Materialauswahl
Durch die heute im zahntechnischen Arbeitsablauf nicht mehr zu vernachlässigenden digitalen Technologien stehen neben der gußtechnischen Herstellung verschiedene Alternativen zur Herstellung eines Gerüstes zur Verfügung. Die früher gerade für die Einzelzahnversorgung häufig verwendeten edelmetallhaltigen angußfähigen Systemkomponenten zeigen neben den hohen Materialkosten auch eine hohe Fehleranfälligkeit, die sich auf Grund des Ausbildens eines galvanischen Elementes in einer Korrosionsproblematik zum Titanimplantat zeigen kann [7]. Zudem ist die Herstellung einer solchen gegossenen Abutmentkrone sehr arbeitsintensiv. Für eine sichere Verankerung werden daher Hybridkronen mit einem Titaninsert verwendet, da es sich gezeigt hat, dass Versorgungen mit einem Anschluss ausschließlich aus Keramik auch bei hohen Materialfestigkeiten zu technischen Komplikationen geführt haben. Dabei war weniger das Frakturrisiko des Aufbaus innerhalb des Implantates relevant, als die Dimensionsveränderung durch Mikrobewegungen, die die hochpräzise Anschlussgeometrie beschädigt hat [8].
Abutment-Hybrid-Kronen
Für die Einzelkronen auf ultrakurzen Implantaten können bei achsgerechter Implantatposition daher verschraubbare Abutment- Hybrid-Kronen hergestellt werden. Eine klassische Verblendung mit Keramikmassen auf einen Titanrohling als Abutment zeigt sich jedoch sehr aufwändig und kann zu Veränderungen der Oberfläche im Bereich der Passung der Aufbauverbindung führen. Daher empfiehlt sich die Verwendung einer Klebebasis, die eine genormte Anschlussgeometrie für Keramikrohlinge zeigt oder ein Aufbau, der durch Beschleifen individualisiert zur Aufnahme einer Keramikkrone verwendet werden kann.
Bei der Verwendung einer Klebebasis kann ein mit der Anschlussgeometrie versehener CAD/CAM-Block verwendet werden [9]. Diese stehen als Grünling aus Zirkonoxid- oder Lithium-Disilikat- Glaskeramik (LS2) zur Verfügung, um den Zahnersatz zu fräsen [10]. Nach dem Sintern und dem Einfärben der Zirkonoxidkeramik (ZrO) steht ein korrosionsresistentes, aber in der Regel auch sehr hartes Werkstück zur Verfügung. Daher finden vermehrt LS2-Keramiken Verwendung, die zwar im Vergleich zur Zirkonoxidkeramik eine geringe Biegefestigkeit zeigen, aber für die Anwendung auch für den Seitenzahnbereich freigegeben sind. Klinisch zeigt sich eine geringe Komplikationsrate und vor allem eine hohe Patientenakzeptanz [11]. Neben dem physiologischen Kauverhalten durch die geringere Härte zeichnet sich die LS2-Keramik durch eine bessere Transparenz im Vergleich zu den ZrO-Keramiken aus, so dass besonders im sichtbaren Bereich ästhetisch ansprechende Versorgungen erreicht werden können.
Für die Versorgung von ultrakurzen Implantaten oder bei einem reduzierten Knochenlager mit reduzierter Knochenqualität kann ein Abutment mit einem niedrigeren Elastizitätsmodul verwendet werden, um eine physiologische Krafteinleitung zu erreichen [12]. Hierzu stehen Aufbauteile aus Hochleistungspolymer, wie zum Beispiel keramikgefüllte PEEK-Aufbauten zur Verfügung [13]. Diese können als präfabrizierte Hybridaufbauten verwendet werden, so dass eine Keramikkrone auf das Abutment geklebt wird, oder ein spezielles Titanabutment wird vom Zahntechniker mit dem keramikgefüllten Hochleistungskunststoff umspritzt, der abschließend mit einem PMMA-basierten Kunststoff verblendet wird.
Diskussion
Die Anwendung von ultrakurzen Implantaten wird auch aus prothetischer Sicht kontrovers diskutiert. Da das vertikale Knochenangebot nicht durch chirurgische Maßnahmen wieder hergestellt wird, liegt die Anschlussgeometrie von Implantat und Suprakonstruktion tiefer als bei einem erhaltenen Kieferkamm. Dies kann im Bereich des Mundbodens zu einer lingualen Periimplantitis führen. Daher ist es bei der Planung und chirurgischen Umsetzung wichtig, dass auch lingual zumindest ein schmaler Bereich fixierter Schleimhaut erhalten bleibt [14]. Dies kann bei der Freilegung positiv beeinflußt werden, indem das krestale Weichgewebe durch eine entsprechende Inzisionstechnik nach lingual verschoben wird.
Als weiterer Kritikpunkt wird die hohe Kronenhöhe besonders im Vergleich zur Implantatlänge gesehen. Die Forderung, dass eine Implantatkrone nicht höher als die Implantatlänge sein sollte, wurde in einer Zeit postuliert, als die Implantate im Sinne der Distanzosteogenese auf Grund einer weniger biologisch orientierten Implantatoberfläche eher mechanisch im Knochen verankert war [15]. Die heute zur Verfügung stehenden Implantatoberflächen mit einer bimodularen Mikrostrukturierung und das Implantatdesign mit einer voluminösen Raumgestaltung im Gewindeprofil ermöglicht eine tiefe Neubildung von Knochen, so dass eine biologische Implantatverankerung erreicht wird [2]. Daher zeigen verschiedene Studien und Metaanalysen selbst bei einem Implantat-Kronen-Verhältnis von größer als zwei keine erhöhten biologischen oder technischen Komplikationen auf [16,17].
Bei einer tiefen Implantatposition ist darauf zu achten, dass die Form des Aufbaus und der basale Anteil der Abutmentkrone im Weichgewebsbereich zum Knochen eher konkav als konvex ausgebildet werden. Somit ist gewährleistet, dass das periimplantäre Weichgewebe sich ausreichend ausdehnen kann und für das periimplantäre Knochenlager und besonders bei einem breiten Plattformswitch die Knochenanlagerung auf der Implantatoberkante ausreichend ernährt wird [18].
Da kurze Implantate im Wesentlichen im posterioren Bereich eingesetzt werden, sind die ästhetischen Anforderungen geringer als im Frontzahnbereich. Sofern eine Positionierung des Implantates mit einer zentralen Position des Schraubkanals erfolgte, können verschraubte Abutmentkronen eingebracht werden. Daher kann ein Verschluß des Schraubkanals mit einem provisorischen Kunststoff oder einem lichtgehärteten Kunststoff erfolgen. Damit wird das Risiko des Ausbildens einer Periimplantitis auf Grund von überschüssigen Zementresten bei einer zementierten Verankerung eliminiert [19]. Da für die Anwendung von ultrakurzen Implantaten eine konische Aufbauverbindung favorisiert wird, ist auch von einem geringen Risiko von Schraubenlockerungen auszugehen.
Gerade bei der Eingliederung von Implantatkronen aus Zirkonoxidkeramik kann es zu einer geringen Akzeptanz unter kaufunktionellen Aspekten kommen, da die Versorgung des starr eingeheilten Implantates und der sehr festen Keramikkrone als sehr hart empfunden wird. Bei der Verwendung von LS2-Keramiken oder auch von PEEK mit einer Verblendung mit keramikgefüllten Kunststoffen oder industriell hergestellten Verblendschalen empfindet der Patient diese Versorgungen aufgrund des weicheren Materials als sehr angenehm, da eine natürliche Dämpfung wahrgenommen wird. Neben dem angenehmeren Kaugefühl ermöglicht auch die reduzierte Kraftübertragung eine frühere Belastung der Implantate und ein sukzessives Remodelling im Sinne des „progressive bone loadings“. Dadurch kann das periimplantäre Lager in den großen Lumina der Gewindeflanken weiter ausdifferenziert werden und es wird ein geringer periimplantärer Knochenabbau beobachtet, der gerade bei ultrakurzen Implantaten ein Risikofaktor darstellen kann [20].
Für die monolithischen Kunststoffkronen aus Kunststoff wird durch industriell hergestellte Verblendschalen gerade im Kauflächenbereich eine hochdichte Struktur erzeugt, die eine geringe Abrasion und somit Langzeitstabilität der Versorgung zeigt [4]. Diese hochdichten Strukturen sind nicht nur extrem abrasionsfest, sondern zeigen auch positive Eigenschaften gegenüber der Verfärbung. Im Vergleich zu klassischen Kunststoffen zeigen Belastungstests mit Kaffee, Tee, Tabak, Methylenblau und Rotwein mittlere Verfärbungsindizes im Vergleich zu Keramikmassen [21]. Zeigen sich extreme Belastungen mit einer Schädigung der Kunststoffanteile, kann der Kunststoff einfach im Vergleich zu keramisch verblendeten Versorgungen repariert werden, da keine zeitintensive Trocknung des Gerüstes notwendig wird und die Reparatur durchaus im Mund mit dem lichthärtenden System erreicht werden kann.
Klinische Relevanz
Bei der prothetischen Versorgung von ultrakurzen Implantaten können die vom jeweiligen Behandler favorisierten Behandlungsabläufe angewendet werden. Es sind aber die verschiedenen spezifischen Maßnahmen für die Anwendung von ultrakurzen Implantaten zu berücksichtigen, damit die Einschränkungen durch die prothetische Kompensation des reduzierten Knochenlagers nicht den Langzeiterfolg der Versorgung gefährden.
Näheres zu den Autoren des Fachbeitrages: Dr. Jörg Neugebauer, ZTM Stephan Adler, Dr. Frank Kistler, Dr. Steffen Kistler, Dr. Dr. Johannes MeierBildquellen sofern nicht anders deklariert: Unternehmen, Quelle oder Autor/-in des Artikels
Entdecke CME Artikel

Keine Kommentare.