Wissenschaftlicher Hintergrund zu präprothetischer Extrusion
Die präprothetische Extrusion von Zähnen dient der Wiederherstellung des Ferrule-Effekts, sodass für eine spätere Restauration ausreichend Abstützung in natürlicher Zahnhartsubstanz im Bereich der Restaurationsränder hergestellt werden kann. In der Literatur werden zu diesem Therapiekonzept verschiedene Herangehensweisen beschrieben, in jedem Fall ist aber darauf zu achten, dass es bei der Kraftübertragung auf die anderen Zähne bei Verankerung nicht zu einer übermäßigen extraaxialen Belastung kommt, die eventuelle parodontale Schäden, Kippung oder gar traumatische Veränderungen zur Folge hätte [1,5]. Aus diesen Gründen ist eine genaue Planung unter Berücksichtigung der Wurzeloberfläche des zu extrudierenden Zahnes in Relation zu den Zähnen der Verankerung vorab durchzuführen.
Um Fehler zu vermeiden, ist eine Verankerung an möglichst vielen benachbarten Zähne in aller Regel vorzuziehen. Dies kann durch eine Multi-Bracket- oder Multi-Band-Apparatur, aber auch durch eine Umschlingung an einer Schiene oder einem Aligner erfolgen, sodass die Kraft gleichmäßig verteilt wird. Auch wird in der Literatur die Verwendung eines Gegenlagers in Form von Implantaten oder temporären kieferorthopädischen Implantaten beschrieben [4,13].
Die Schwierigkeit hierbei ist, wie auch in den obigen Beispielen, die möglichst axiale Belastung aller beteiligten Komponenten. Bei Implantaten, die im Nachbarzahngebiet dann zur späteren Versorgung dienen sollen, wäre zudem die zeitgerechte Belastung in Abhängigkeit von der Einheilphase zu berücksichtigen, da eine zu frühe Belastung in einer Dehiszenz der Hart- und Weichgewebe im Bereich der Implantatschulter oder gar einer Nicht-Osseointegration des Implantates resultieren könnte [3,20].
Bei der Durchführung der forcierten Extrusion muss der Zahn gezwungenermaßen vorab wurzelkanalbehandelt werden und das Retentionselement, das dazu dient, den Zahn zu bewegen, sollte möglichst adhäsiv eingesetzt werden. Das Risiko, das dabei bestehen kann, ist die Dezementierung bzw. das Debonding des Retentionselementes [4]. Aus diesem Grund ist es nicht zu empfehlen, den definitiven Wurzelstiftkernaufbau zu verwenden, da dieser dadurch geschwächt werden kann und dies infolgedessen zu einer niedrigeren Überlebenswahrscheinlichkeit der Restauration führen könnte.
Wissenschaftlicher Hintergrund zu Glasfaserstiftkernaufbauten
Verlust von Zahnhartsubstanz
Die Schwächung des zu versorgenden Zahnes durch den Verlust von Zahnhartsubstanz beginnt bereits zum Zeitpunkt der Kariesexkavation. Da einer Wurzelstiftversorgung immer eine Wurzelkanalbehandlung vorausgeht, muss in diesem Fall die Karies so gut wie möglich entfernt werden, um eine Reinfizierung von koronal zu verhindern [17].
Bei der Wurzelkanalbehandlung selbst wird durch den Abtrag im Wurzelkanal weiter Zahnhartsubstanz entfernt. Bei der späteren Stiftbohrung vor Insertion muss zudem erneut neben Guttapercha-Resten an den Wurzelkanalwänden unter Umständen auch Dentin exkaviert werden, damit ein möglichst guter Verbund zwischen Faserstift und Wurzeldentin erzeugt werden kann. Auch das Verhältnis von Zahndurchmesser zur Größe des Wurzelstiftes spielt hierbei eine entscheidende Rolle, wobei die Wahl der Stiftgröße am Kanaldurchmesser und dessen Beschaffenheit festgemacht wird [8,16].
Bei der späteren Präparation für die Suprakonstruktion muss gegebenenfalls erneut Zahnhartsubstanz geopfert werden, um einen bestmöglichen Ferrule-Effekt zu erzielen, damit extraaxiale Belastungen nicht nur über den Stiftkernaufbau getragen werden, sondern gleichmäßig auf den Zahnstumpf und den Kompositaufbau verteilt werden [10,12,16].
Gründe für Frakturierung und Verlust
Bereits Howe et al. konnten nachweisen, dass die mechanische Belastbarkeit bei avitalen, endodontisch behandelten Zähnen mit Vergrößerung der Zugangskavität von durchschnittlich 341,4 N bei intaktem Zahn über 225,5 N mit Trepanationsbohrung und 121,7 N bei erweiterter Zugangskavität im Sinne einer mod-Kavität sinkt [9,18]. Daraus resultiert, dass Zähne mit einer solch großen Füllungspräparation nachfolgend zur Wurzelkanalbehandlung höckerüberkuppelnd versorgt werden sollen, um dem Zahn so durch die Suprakonstruktion wieder eine ausreichende Stabilität von koronal zu verleihen.
Wird dies nicht vorgenommen, erhöht sich das Risiko für Längsfrakturen, da Scherkräfte so leichter auf die beiden verbliebenen Zahnhartsubstanzwände des Zahnes einwirken können. Auch Dezementierungen seien so häufiger zu beobachten. Dies konnten Reeh et al. (1989) in ihrer Untersuchung zur Abhängigkeit der Steifigkeit von 39 OK-Prämolaren zur Versorgungsart der mod-Kavität belegen. Dabei wurden Versorgungsarten aus Amalgam, Komposit und höckerüberkuppelnden Teilkronen mit intakten Zähnen verglichen [15]. Fragou et al. wiesen in ihrer Studie nach, dass unter Einhaltung des Präparationsstandards mit Ferrule-Design die Möglichkeit zur Reparatur und Ausbesserung der Wurzelstiftkonstruktion nach Fraktur bei 25% im Vergleich zur Präparation ohne Ferrule bei 15% (p < 0,05) lag.
Die Wahrscheinlichkeit einer Fraktur unterhalb der Präparationsgrenze der Suprakonstruktion oder einer Längsfraktur konnte somit um ebenfalls 10% gesenkt werden [7]. In der breit angelegten klinischen Studie zum Einfluss der Ausgangssituation auf das Überleben von faserverstärkten Wurzelstiften konnten Ferrari et al. keinen signifikanten Einfluss des Ferrule-Effekts auf das Überleben des Zahnes und der Versorgung belegen.
Zähne mit mehr intakten Wänden aus gesunder Zahnhartsubstanz, welchen im Rahmen dieser Studie ein Wurzelstift gesetzt wurde, hatten über 6 Jahre eine 100%ige Überlebensrate, wohingegen Zähne, die nicht mit Wurzelstiften versorgt wurden, schon ab einem Verlust von 2 koronalen Wänden eine Verlustrate von 94,1% aufzeigten. Der direkte Vergleich des Einflusses des Ferrule-Effektes auf Zähne ohne Wurzelstiftversorgung liefert eine etwa 13%ige Überlebenschance bei Einhaltung dieser Präparationsvorgabe [6,11,19].
Fallbeispiel und Step-by-Step-Vorgehensweise
Der 56-jährige Patient stellte sich mit einer dezementierten Krone an Zahn 22 und insuffizientem Zahnersatz an Zahn 21 vor. Die koronale Leakage bestand schon mehrere Tage, bevor der Patient die Praxis aufsuchte. Die Ausgangssituation zeigte, dass beide Zähne zuvor wurzelkanalbehandelt waren (Abb. 1). Nach eingehender Röntgendiagnostik wurde entschieden, die defekte Krone an Zahn 21 zu entfernen und zunächst ein adäquates Kariesmanagement zu betreiben (Abb. 2).
Dr. Dobbertin
Dr. Dobbertin
Nachfolgend wurde die Wurzelkanalbehandlung an beiden Zähnen 21 und 22 revidiert und der Zahn 21 mit einem Glasfaserstiftkernaufbau wiederaufgebaut. Zahn 22 wurde im Wurzelkanal oberhalb der Guttapercha-Wurzelfüllung adhäsiv verschlossen und eine Gummiligatur darin vorerst spannungsfrei mit einem adhäsiv haftenden Glasionomerzement, zur farblichen Kontrastierung, eingeklebt. Anschließend wurde ein verblocktes Provisorium der Zähne 21 und 22 auf dem Zahn 21 adhäsiv befestigt und das Brückenteil 22 außer Kontakt geschliffen und nach basal zur Wurzel frei gelassen (Abb. 3). Durch die adhäsive Befestigung wurde das Risiko einer Dezementierung der provisorischen Versorgung möglichst geringgehalten.
Dr. Dobbertin
Dr. Dobbertin
Die Aufnahme von palatinal zeigt dabei die Kontaktpunktverteilung und auch das Platzverhältnis zwischen Stumpf und basaler Gestaltung des Brückenglieds (Abb. 4). Eine regelmäßige Kontrolle des Patienten im Abstand von jeweils 1 Woche für eine Gesamtdauer der Extrusion von 3 Wochen wurde in diesem Fall in Abhängigkeit von der Zahnbeweglichkeit als angemessen empfunden. Es musste hierbei ein zusätzlicher Ferrule-Effekt von ca. 1,5 mm generiert werden.
Damit der Zahn schneller in die bewegliche Phase kommt, wurde die forcierte Extrusion von einer chirurgischen Kronenverlängerung und marginalen Lockerung des Faserapparates begleitet. Dazu wurde zur Reduktion der Narbenbildung im ästhetischen Frontzahnbereich eine alleinig sulkuläre Schnittführung gewählt (Abb. 5). Nach Bildung des Mukoperiostlappens wurde die Wurzeloberfläche mit einer feinen Hartmetallfräse geglättet (Abb. 6).
Dr. Dobbertin
Dr. Dobbertin
Für eine kontrollierte Heilung und gezielte Formgebung des Weichgewebes ist eine gleichmäßige Ausformung der koronalen Knochenkante zwingend herzustellen. Um dabei die Wurzeloberfläche nicht zu beschädigen und den Substanzabtrag möglichst gering zu halten, empfiehlt es sich, Schleifkörper zu verwenden, die nur stirnseitig in der Spitze des Arbeitsendes mit einer diamantierten Struktur oder Hartmetall-Schneiden belegt sind. So konnte ein kontrollierter Abtrag des überschüssigen Gewebes erzielt werden (Abb. 7).
Dr. Dobbertin
Dr. Dobbertin
Nachträglich wurde die dadurch entstehende Knochenkante mit einer knospenförmigen Hartmetallfräse abgerundet, um eine traumatische Belastung der Gingiva zu verhindern (Abb. 8). Die Wurzeloberfläche wurde in einem Bereich von ca. 3 mm ab der Präparationsgrenze von Sharpey‘schen Fasern und Knochen befreit, sodass die biologische Breite für die spätere Versorgung gewahrt werden konnte (Abb. 9).
Dr. Dobbertin
Dr. Dobbertin
Nach der chirurgischen Kronenverlängerung und einer Heilungsphase von 2 Wochen, bei der der Zahn 22 zum Ende der letzten Woche ohne extrudierende Kräfte war, konnte der Mobilitätsgrad des Zahnes überprüft werden (Abb. 10). Dies zeigte keine Lockerung und es war durch das Vorgehen genügend supragingivale Stumpfhöhe für die weitere Versorgung erzielt worden. Abbildung 10 zeigt die Situation nach dem Herunterschleifen des zu Beginn adhäsiv eingesetzten Provisoriums. Dazu wurde die Präparation an Zahn 21 verfeinert und leicht nach subgingival verlegt.
Dr. Dobbertin
Der Vorteil dieses Adhäsivsystems ist die universelle Verwendung. Bei dem 2-Flaschen-System ist eine Komponente für die Konditionierung des Zahnes und die andere für die Komponente des restaurativen Werkstücks jeglicher Art – von Glasfaserstift bis hin zur Krone – geeignet und kann durch den Zusatz von MDP für alle Materialien genutzt werden.
Für den Versorgungsweg wurde entschieden, einen chairside analogen Workflow zu nutzen, der nachträglich im Labor digitalisiert wurde. Die provisorische Versorgung erfolgte, wie auch schon zu Beginn beim 1. Provisorium zur Extrusionstherapie, mit Visalys® Temp (Kettenbach Dental) und konnte dem Patienten die geplante Endsituation aufgrund der leichten Poliereigenschaften gut visualisieren (Abb. 12). Zur analogen Präzisionsabformung wurde das A-Silikon Panasil® in der Doppelmisch-Abformung gewählt (Abb. 13), um durch die Kombination von Heavy-Phase und Light-Phase genügend Staudruck für die subgingivalen Areale der Präparation aufwenden zu können.
Dr. Dobbertin
Dr. Dobbertin
Nach der Modellherstellung wurden die vollkeramischen Lithiumdisilikat-Kronen in Presstechnik aus e.max vollanatomisch hergestellt und anschließend in einer Kombination aus 3D-Microlayering-Technik und Staining-Technik individualisiert und farblich charakterisiert (Abb. 14). Beim Eingliederungstermin wurde die Anprobe der definitiven Versorgung vorgenommen und das Behandlungsergebnis vorab mit dem Patienten besprochen und auf Zufriedenheit geprüft (Abb. 15). Danach wurden beide Einzelzahnkronen an 21 und 22 adhäsiv am jeweiligen Zahn befestigt.
Dr. Dobbertin
Dr. Dobbertin
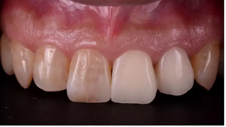
Für die Adhäsivtechnik wurden zuerst die Innenseiten der Kronen für 20 Sekunden mit 8%iger Flusssäure angeätzt, danach unter fließendem Wasser abgespült, dampfgestrahlt, getrocknet und am Behandlungsstuhl mit dem MDP-haltigen Restaurations-Primer (Visalys® Resto-rative Primer, Kettenbach Dental) des Adhäsivsystems eingepinselt. Parallel wurde die Oberfläche der Zahnstümpfe Aluminiumoxid-sandgestrahlt und die verbliebene Zahnhartsubstanz mit 36%iger Phosphorsäure konditioniert. Es folgte das Auftragen der Adhäsivkomponente für den Zahn (Visalys®Tooth Primer, Kettenbach Dental) und anschließendes Befestigen mit dem dualhärtenden Resinzement (Visalys® CemCore, Kettenbach Dental). Die Dokumentation des Behandlungsergebnisses erfolgte fotografisch (Abb. 16 und 17).
Dr. Dobbertin
Dr. Dobbertin
Diskussion der Therapiealternativen
Die einzige initiale Therapiealternative zum Zahnerhalt durch Revision der Wurzelkanalbehandlungen und Stiftkernaufbau mit neuer Kronenversorgung wäre die Zahnentfernung gewesen, die unter Umständen jedoch andere Komplikationen verursacht hätte. Aus dieser Therapiemöglichkeit wären dann 2 Versorgungskonzepte hervorgegangen, zum einen die Brückenkonstruktion vom Zahn 21 auf den Eckzahn 23 zum Ersatz des seitlichen Schneidezahnes, zum anderen die Implantation in regio 22 zur Versorgung des Gebietes mit einer Einzelzahnkrone. Das Vorgehen der Wahl wäre in einem solchen Fall die Einzelzahnversorgung mittels implantatgetragener Einzelzahnkrone.
Die meisten Studien geben an, dass nach einer Implantation, unabhängig vom Zeitpunkt der Insertion der Versorgung und der Belastung, mit einem leichten Geweberückgang zu rechnen ist, dies sich aber bei subkrestal gesetzten Bone-Level-Implantaten nicht maßgeblich auf das klinische Ergebnis auswirkt [2,14]. Um diese ästhetisch-funktionellen Risikofaktoren der Dehiszenz von Knochen und Weichgewebe zu vermeiden, wäre eine Bone-Level-Sofortimplantation die sinnvollste und reproduzierbarste Herangehensweise an die Lösung dieses Patientenfalls. Auch dann hätte der Patient mit einer provisorischen Freiendbrücke, befestigt am Zahn 21 wie im Fall der Extrusionstherapie, versorgt werden müssen, damit das Implantat frei von funktioneller Belastung einheilen kann.
Klinische Schlussfolgerung
Für den Patienten war diese Therapie im Rückblick auf den Behandlungsverlauf natürlich aufwendiger als in seiner Vorstellung, sicherlich jedoch der bestmögliche Behandlungsansatz im Hinblick auf den Zahnerhalt und das Sichern der Weichgewebssituation. Zudem liefert die gewählte Therapie auch für die Zukunft der Restauration eine bestmögliche Ausgangssituation, da man in der lebenslangen Therapieplanung mögliche zukünftige Reparaturoptionen oder Ersatz für Misserfolg beachten muss.
Bildquellen sofern nicht anders deklariert: Unternehmen, Quelle oder Autor/-in des Artikels
Entdecke CME Artikel





Keine Kommentare.