Statistische Prognosen auf Basis der demografischen Entwicklungen der letzten 2 Jahrhunderte zeigen mit hoher Wahrscheinlichkeit, dass die Hälfte aller Personen, die nach dem Jahr 2000 in Deutschland geboren wurden, das 100. Lebensjahr erreichen werden [1]. Insbesondere die Gruppe der über 85-Jährigen wächst vergleichsweise stark: Von 1991 bis 2018 hat sich ihre Zahl in Deutschland verdoppelt [2]. Gerade in einer alternden Bevölkerung treten chronische orale Erkrankungen wie beispielsweise Parodontitis vermehrt auf.
Im Vergleich zu anderen europäischen Ländern ist die Parodontitisprävalenz in Deutschland hoch [3,4]. Die Prävalenz chronischer moderater Parodontitis bei Seniorinnen und Senioren, welche in den deutschen Mundgesundheitsstudien (DMS IV und V) erhoben wurde, lag 2005 (DMS IV) in der Gruppe der 65- bis 74-Jährigen bei 47,9% und war 2014 (DMS V) in der gleichen Altersgruppe mit 44,8% etwas geringer.
Für schwere chronische Parodontitis lag die Prävalenz in dieser Altersgruppe hingegen bei 41,9% (DMS IV, 2005) respektive 19,8% (DMS V, 2014). Epidemiologische Daten zu oralen Erkrankungen in höheren Altersgruppen (> 75 Jahre) wurden erst in der DMS V im Jahr 2014 mit der Gruppe von 75 bis 100 Jahren untersucht [5,6].
Hier lag die Prävalenz moderater Parodontitis bei 45,7% und die Prävalenz schwerer Parodontitis bei 44,3%. Klinische Daten zur Mundgesundheit von Menschen über 100 Jahren wurden bis zum Jahr 2020 weltweit noch nicht erhoben.
Die hier vorliegende Untersuchung wurde als Pilotstudie durchgeführt, um erstmals die Mundgesundheit in einer Population von 100-Jährigen in Südwestdeutschland zu untersuchen. Auszüge der publizierten Ergebnisse zur Prävalenz parodontaler und periimplantärer Erkrankungen werden im Folgenden vorgestellt [7–9].
Pilotstudie zur Mundgesundheit von 100-Jährigen
In Anlehnung an die Heidelberger 100-Jährigen-Studien des Instituts für Gerontologie der Universität Heidelberg (HD-100-I, HD-100-II) [10] wurden die 100-Jährigen über die jeweiligen Meldeämter im Umkreis von 60 km um Heidelberg rekrutiert. Um ein möglichst repräsentatives Kollektiv zu erhalten, wurden von April bis September 2019 insgesamt 477 Personen schriftlich kontaktiert, welche 1919 oder früher geboren wurden.
Insgesamt konnten 55 100-Jährige klinisch untersucht werden: 54 im Rahmen von Hausbesuchen, eine Teilnehmerin kam zur Studienuntersuchung in Begleitung ihres Sohnes in die Poliklinik für Zahnerhaltungskunde nach Heidelberg. Parodontale und periimplantäre Parameter konnten bei einer Subgruppe von 33 bezahnten 100-Jährigen erhoben werden sowie zusätzlich bei 2 zahnlosen 100-Jährigen, die mit Implantaten versorgt waren (Subpopulation gesamt n = 35).
Die parodontale Befunderhebung erfolgte an 6 Messpunkten pro Zahn (6-Punkt-Full-Mouth-Recording) [11,12]. Als diagnostische Kriterien wurden neben Sondierungstiefen und dem klinischen Attachmentlevel auch Bluten auf Sondieren (BOP), Rezessionen, Lockerungsgrade und [11,12] Furkationsbeteiligungen erhoben. Aus Gründen der internationalen Vergleichbarkeit wurden die Daten analog der CDC/AAP-Klassifikation zur Überwachung der Parodontitis (Centers for Disease Control and Prevention & American Academy of Periodontology, Tab. 1) [13] und dem Community Periodontal Index [14] zu epidemiologischen Kennziffern verrechnet.
E. Langowski et al.
Letzterer ist der von der WHO favorisierte Index zum Screening von Parodontalerkrankungen, der ebenfalls häufig zur Erhebung der Krankheitslast in epidemiologischen Studien Verwendung findet. Das Gebiss wird für die Codierung des CPI in Sextanten unterteilt und der höchste Wert je Sextant notiert (Tab. 2).
E. Langowski et al.
Sozialwissenschaftliche Daten wurden anhand eines erprobten Fragebogens der 5. Deutschen Mundgesundheitsstudie (DMS V) erhoben, welcher Aufschluss über die Versorgungssituation im häuslichen Umfeld der 100-Jährigen geben sollte. Für weitere Details der Methodik sei auf die Originalpublikationen der Arbeitsgruppe verwiesen [4,7].
Ergebnisse
Das Durchschnittsalter der Subgruppe der bezahnten 100-Jährigen (n = 35) lag bei 101 ± 1,32 Jahren, wobei die Altersspanne von 100 bis 105 reichte. In dieser Subpopulation waren 74,3% der Studienteilnehmerinnen weiblich. Abgesehen von einigen wenigen Ausnahmen waren fast alle 100-Jährigen pflegebedürftig (87%) und etwa die Hälfte schwerbehindert (Grad der Behinderung ? 50%).
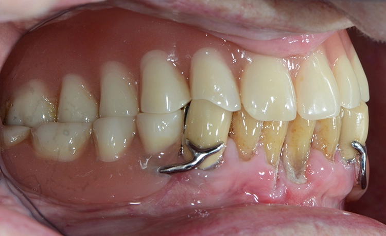
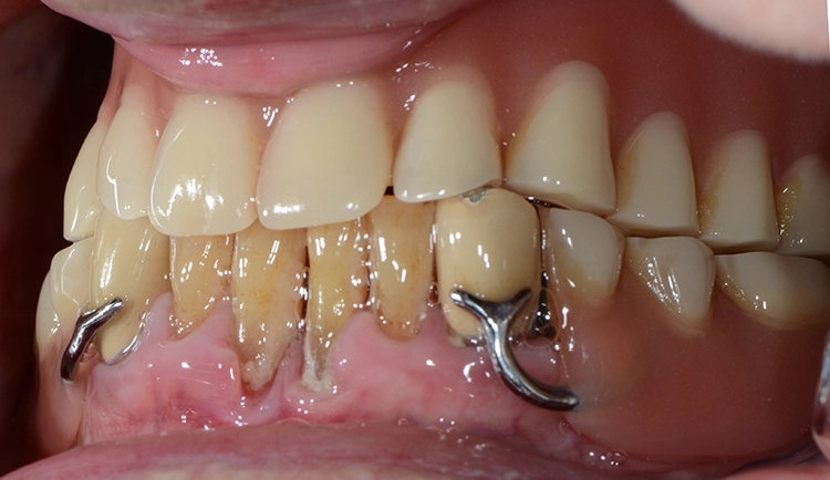
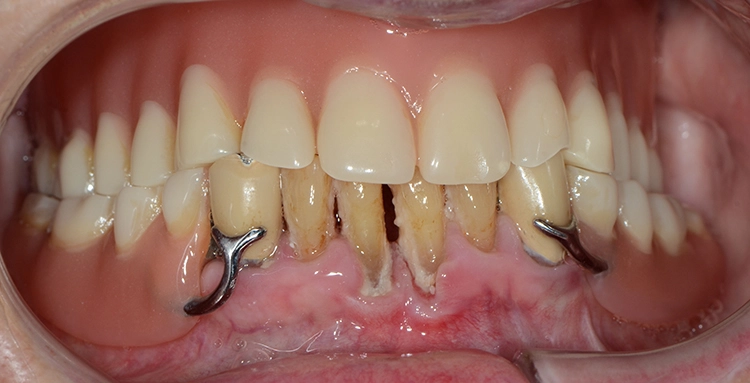
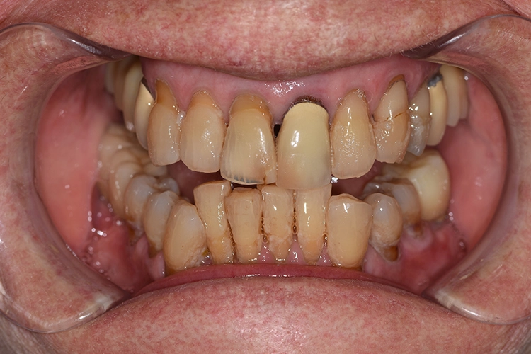
Bei den meisten alltäglichen Tätigkeiten wie Körperpflege und Kochen gaben die 100-Jährigen an, Hilfe zu benötigen. Obwohl offensichtliche Defizite in der häuslichen Mundhygiene vorlagen, wie generalisiert harte und weiche Beläge, schlecht gereinigter herausnehmbarer Zahnersatz, Druckstellen usw., gaben nur 7 (12,7%) der 100-Jährigen an, hierbei Hilfe zu benötigen. Die Abbildungen 1 bis 3 zeigen beispielhaft die klinische intraorale Situation von 3 100-Jährigen, die an der Untersuchung teilgenommen haben.
E. Langowski et al.
E. Langowski et al.
E. Langowski et al.
E. Langowski et al.
E. Langowski et al.
E. Langowski et al.
Parodontitis
Es konnten parodontale Daten an n = 332 Zähnen erhoben werden. Die parodontologischen Ergebnisse sind in Abbildung 4 dargestellt und werden zum Vergleich den Daten der Altersgruppen > 75 Jahre aus der DMS V gegenübergestellt.
E. Langowski et al.
Gemäß CDC/AAPKlassifikation hatten 74% der bezahnten 100-Jährigen (n = 23) eine chronische Parodontitis. Eine moderate Parodontitis wiesen 54,8% der bezahnten 100-Jährigen auf. Die Prävalenz einer schweren Parodontitis lag bei rund 20%. Im Vergleich zu den 75- bis 100-Jährigen der DMS V war die Krankheitslast damit weniger als halb so hoch.
CPI Code 0, 1, und 2 deuten darauf hin, dass keine pathologischen Parodontalbefunde vorhanden sind. Lediglich Bleeding on Probing (BOP) und supra- oder subgingivale Beläge oder Zahnstein finden sich in dieser Kategorie. 27,3% der 100-jährigen Studienteilnehmer fielen in diese Gruppen.
Bei 39,4% der bezahnten 100-Jährigen wurden Sondierungstiefen zwischen 3,5 und 5,5 mm gemessen. Ein Drittel hatte mindestens 1 Zahn mit einer Sondierungstiefe von > 5,5 mm. 33,3% der 100-Jährigen wiesen an einem oder mehr Zähnen einen erhöhten Lockerungsgrad auf. Von allen untersuchten Zähnen (n = 332) hatten 3,9% einen Lockerungsgrad I, 2,7% Grad II und 0,6% Grad III.
Von insgesamt 59 mehrwurzeligen Zähnen (Furkationsbeteiligung möglich) hatten nur 2 Zähne einen Furkationsbefall I. Grades. Furkationsbeteiligungen II. oder III. Grades wurden bei keinem der 100-Jährigen detektiert (Tab. 3).
E. Langowski et al.
Periimplantitis
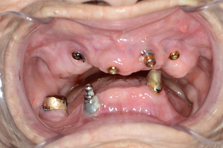
Es konnten Daten zur Periimplantitis an n = 27 Implantaten erhoben werden. Die Ergebnisse sind in Tabelle 4 dargestellt. 7 100-Jährige hatten Implantate, entweder in Kombination mit herausnehmbarem Zahnersatz (n = 3, von denen 2 zahnlos waren) oder mit festsitzendem Zahnersatz (n = 4).
E. Langowski et al.
Die mittlere Anzahl der Implantate betrug 4,3 ± 3,5. Tabelle 4 zeigt die periimplantären Ergebnisse. Von 27 untersuchten Implantaten wurde die Mehrheit als gesund eingestuft, 29,6% hatten eine periimplantäre Mukositis und 11,1% hatten eine Periimplantitis.
Zusammenfassung
In dieser Pilotstudie wurde in Deutschland erstmals die Mundgesundheit von 100-Jährigen klinisch untersucht, in Auszügen wird hier auf die Prävalenz parodontaler und periimplantärer Erkrankungen eingegangen. Regelmäßige Zahnarztbesuche und Prophylaxe, wie wir sie heute kennen, spielten in der Kindheit und Jugend der heute 100-Jährigen keine große Rolle. Trotzdem präsentierten sich einige von ihnen noch mit einer Vielzahl eigener Zähne und guter parodontaler und periimplantärer Gesundheit.
Die Mehrheit der bezahnten 100-Jährigen hatte eine moderate Parodontitis und gut ein Viertel zeigte keinen oder einen milden Befall. Zahnlockerungen und Furkationsbeteiligungen waren selten und nur jeder 5. 100-Jährige hatte eine schwere Parodontitis.
Eine Studie von Kassebaum et al. (2014), welche die globale Krankheitslast der schweren chronischen Parodontitis untersuchte, kam zum Ergebnis, dass es im 3. und 4. Lebensjahrzehnt einen Höhepunkt der Prävalenz gibt, welche sich im höheren Lebensalter auf einem Plateau stabilisiert [15,16]. Diese Ergebnisse sind mit der Population der 100-Jährigen nicht vergleichbar, da die Prävalenz der schweren Parodontitis im extrem hohen Alter niedriger zu sein scheint. Eine mögliche Verzerrung und Positivselektion hierbei liegt in der relativ guten Allgemeingesundheit der untersuchten 100-Jährigen, ohne welche sie dieses hohe Alter nicht erreicht und die meisten ihrer Geburtskohorte überlebt hätten.
96,8% waren Nichtraucher oder ehemalige Raucher, womit dieser Hauptrisikofaktor für Parodontalerkrankungen keine bedeutende Rolle spielte [17,18]. Eine Diabetesprävalenz von 20% könnte hier möglicherweise bedeutender sein, allerdings wurden tagesaktuelle Blutzuckerwerte am Untersuchungstag nicht explizit erhoben, sodass dies nicht in eine belastbare statistische Analyse gefasst werden konnte [19,20].
Eine Periimplantitisprävalenz von 11,1% bei 100-Jährigen ist mit früheren Studien vergleichbar, die Implantate 5 bis 10 Jahre nach Implantation untersuchten [21]. Die Zeitpunkte der Implantationen konnten in der vorliegenden Studie nicht detailgenau erfasst werden, es ist aber davon auszugehen, dass diese länger zurückliegen.
Die meisten 100-Jährigen gaben an, in den letzten Jahren nicht mehr in der Lage gewesen zu sein, längere zahnärztliche Behandlungen durchzustehen. Daher ist anzunehmen, dass der langfristige Erfolg von Implantationen auch im sehr hohen Alter möglich sein kann. Es ist allerdings zu beachten, dass trotz geringer Periimplantitisrate die Prävalenz periimplantärer Mukositis mit 29,6% moderat ist.
Limitationen der 100-Jährigen-Studie im Hinblick auf die parodontalen Befunde liegen in der kleinen Stichprobengröße der bezahnten 100-Jährigen (n = 35). Aufgrund der Vielzahl an Parodontitis-Klassifikationen und Untersuchungsprotokollen wurde in der hier vorliegenden Studie die Klassifikation des Centers for Disease Control and Prevention (CDC) und der American Association of Periodontology (AAP) von 2007 gewählt. Diese Klassifikation ist zwar vereinfacht, jedoch für vergleichende epidemiologische Untersuchungen gut geeignet und wurde in vorangegangenen Studien bereits validiert [13,22].
Als Stärke ist dagegen die klinische Untersuchung mit Full-Mouth-Protokoll und 6 gemessenen Sondierungstiefen pro Zahn zu werten, welche in dieser Hinsicht als Goldstandard anerkannt wird [11]. Zudem wurde diese in der DMS V ebenfalls als Untersuchungsmethode gewählt, womit eine gute Vergleichbarkeit gegeben ist.
Ausblick
Parodontitis und periimplantäre Mukositis sind bei vielen bezahnten 100-Jährigen in moderatem Maße vorhanden. Der Attachmentverlust war im Vergleich zu jüngeren Altersgruppen ebenfalls als moderat anzusehen. Dies zeigt, dass parodontale Destruktion vorhanden ist, jedoch in höherem Alter nicht linear ansteigt.
Der Erhalt eigener Zähne mit einem Zustand parodontaler Gesundheit könnte aus heutiger Sicht für den Zeitraum eines Jahrhunderts als möglich angesehen werden. Die Wahrnehmung des Stellenwerts der Mundhygiene im Umgang mit pflegebedürftigen Senioren ist zureit noch als gering einzustufen.
Deutlicher Handlungsbedarf besteht daher unter anderem darin, das Bewusstsein für die Relevanz guter Mundhygiene von Senioren und Pflegenden zu schärfen. Außerdem sollten Informationen und Hilfestellungen zu präventiven Interventionen, einschließlich der Mundhygiene, bei geriatrischen Patienten bei Bedarf leicht zugänglich sein, damit stabile parodontale Verhältnisse auch bis ins hohe Alter gehalten werden können, wenn die sensomotorischen und kognitiven Fähigkeiten der hochbetagten Menschen abnehmen.
Bildquellen sofern nicht anders deklariert: Unternehmen, Quelle oder Autor/-in des Artikels
Entdecke CME Artikel






Keine Kommentare.