„Unsere Mitglieder der ESCI haben ganz konkret auch für zweiteilige Behandlungskonzepte mit Keramikimplantaten um eine wissenschaftlich untermauerte Argumentationshilfe gebeten. Diese soll zum Beispiel bei der privaten Krankenversicherung eingesetzt werden können, wenn es um die Erstattungspflicht geht“, spricht Privatdozent Dr. Röhling einen konkreten Anlass der Fachgesellschaft an, Fragestellungen zu zweiteiligen Zirkonoxidimplantaten evidenzbasiert diskutiert, Daten analysiert und die Ergebnisse schließlich in einer neuen Stellungnahme zusammengeführt zu haben. „Wir haben die Erfahrung gemacht, dass der Behandlung mit einteiligen Keramikimplantaten zugestimmt wurde und die Kosten übernommen worden sind, es aber bei zweiteiligen Keramikimplantaten immer wieder zu ablehnenden Bescheiden gekommen ist mit der Begründung, es seien zu wenig Daten vorhanden.“
Die aktuelle Stellungnahme, der die relevanten Literaturstellen angefügt sind, gibt objektiv und unabhängig die Datenlage zu ein- und zweiteiligen Keramikimplantaten wieder. „Wir wollen unsere Kolleginnen und Kollegen in die Lage versetzen, ihr Konzept argumentativ auf wissenschaftlich gesicherte Basis zu stellen und auch vor der Versicherung plausibel begründen zu können.“
Überlebensraten von 95 Prozent
Bereits im Oktober 2018 war es der in demselben Jahr in der Schweiz gegründeten Fachgesellschaft erstmals gelungen, ein gemeinsames offizielles Statement von Wissenschaft und Industrie zum aktuellen Stand der dentalen Implantologie mit Keramikimplantaten zu verabschieden. „Das erste offizielle Statement von Wissenschaft und Industrie gilt als besonderer Erfolg des 1. ESCI Councils, bei dem zum ersten Mal Spezialisten mit höchster Expertise in der Keramikimplantologie mit Repräsentanten der führenden Hersteller am ‚runden Tisch‘ zusammenkamen“, führt der Vizepräsident der ESCI, die ein europaweites Netzwerk aus wissenschaftlich anerkannten Fachleuten aus Praxis, Hochschule und qualitätsorientierten Anbietern im Bereich der dentalen Implantologie und Keramikimplantologie bildet, aus und ergänzt: „Grundsätzlich gehört es zu den erklärten Aufgaben der ESCI, Themen anzustoßen und Konzepte zu entwickeln, mit denen sie ihre Mitglieder im Umgang mit Keramikimplantaten in der täglichen Praxis unterstützen kann.“
Auch wenn die deutliche Mehrheit der bisher veröffentlichten Daten Bezug auf einteilige Implantatsysteme aus der Hochleistungskeramik Zirkonoxid nimmt und bislang wissenschaftliche Daten zu Zirkonoxidimplantaten mit zweiteiligem Implantatdesign noch limitiert sind, so lässt sich festhalten: „Eine von unserer Studiengruppe durchgeführte Meta-Analyse, in die klinische Studien integriert wurden, hat gezeigt, dass das Implantatdesign einteilig gegenüber zweiteilig keinen Einfluss auf die Überlebensraten hat“, betont Dr. Röhling. „Auch wenn sich Meta-Analysen zur Schätzung der Gesamtüberlebensraten derzeit auf 1- und 2-Jahres-Daten beschränken, berichteten einzelne Studien über längere klinische Nachbeobachtungszeiträume.
Für kommerziell erhältliche Zirkonoxid-Implantate liegen inzwischen klinische Daten für Nachuntersuchungszeiträume von bis zu fünf Jahren funktioneller Belastung mit Überlebensraten von 95 Prozent vor. Es gibt genug Daten und aus unserer Sicht genug klinische Erfahrung, dass zweiteilige Konzepte mit Zirkonoxidimplantaten empfohlen werden können.“
Die Oberflächen sind sehr gut untersucht und bei einteiligen und zweiteiligen Implantaten gleich, „das heißt, einteilige und zweiteilige Zirkonoxidimplantate weisen den gleichen Grad an Osseointegration und biologischer Integrität auf“, erklärt der Fachmann. Auch zweiteilige Keramikimplantat-Verbindungen von führenden Herstellern seien mittlerweile wissenschaftlich untersucht und für die klinische Anwendung als geeignet eingestuft, so dass sich schlussfolgern lässt: „Zweiteilige Behandlungskonzepte sind ebenso praxistauglich und der Expertenkonsens lautet, dass das zweiteilige Zirkonoxidimplantatkonzept nach korrekter Indikationsstellung und entsprechender Patientenaufklärung für die klinische Anwendung geeignet ist.“ Kritisch merkt Dr. Röhling an, dass es von Seiten der Industrie unterschiedliche Produktionsstandards und Qualitätskontrollen gibt, was wiederum direkten Einfluss auf die Verlässlichkeit der Keramikimplantate und der prothetischen Verbindung hat („Das ist in diesem Zusammenhang problematisch“).
Der erfahrene Implantologe empfiehlt Anwendern, bei den auf dem Markt verfügbaren Produkten unbedingt zu hinterfragen, ob konkrete auf das Produkt bezogene wissenschaftliche Daten verfügbar sind. „Zum Beispiel können die Bruchfestigkeit und mechanische Stabilität von zweiteiligen Zirkonoxidimplantaten in Abhängigkeit von unterschiedlichen Herstellungsverfahren, Materialeigenschaften, Implantatgeometrien und prothetischen Verbindungskonzepten variieren.“
Indikationen für zweiteilige Zirkonoxidimplantate
Die Entscheidung über die Therapie-Option und das Medizinprodukt, das verwendet werden soll, obliege laut Dr. Röhling dem Behandler, nachdem er seinen Patienten über die Optionen aufgeklärt hat. „Und es gibt Indikationen, in denen die Verwendung eines zweiteiligen Zirkonoxidimplantatkonzepts ein zuverlässigeres klinisches Ergebnis im Vergleich zu einem einteiligen Design bietet.“
Sie bieten Vorteile, „wenn gleichzeitig eine Knochenaugmentation geplant ist und das Implantat nicht mit einer hohen Primärstabilität inseriert werden kann. Das kann im Frontzahnbereich sein, wenn eine laterale Knochenaugmentation erfolgen soll. Das gilt aber ebenso für den Seitenzahnbereich, wenn gleichzeitig ein Sinuslift durchgeführt wird, wo wir Höhe aufbauen und wir eine unerwartete Überbelastung verhindern wollen“, beschreibt der erfahrene Oralchirurg und erklärt: „Dann sind zweiteilige Implantate einfacher in der Anwendung, weil das Abutment nicht in die Mundhöhle hineinragt und daher eine ungewollte frühzeitige Belastung verhindert werden kann. Außerdem stellen zweiteilige Implantate bei zahnlosen Patienten eine verlässliche Option dar.“
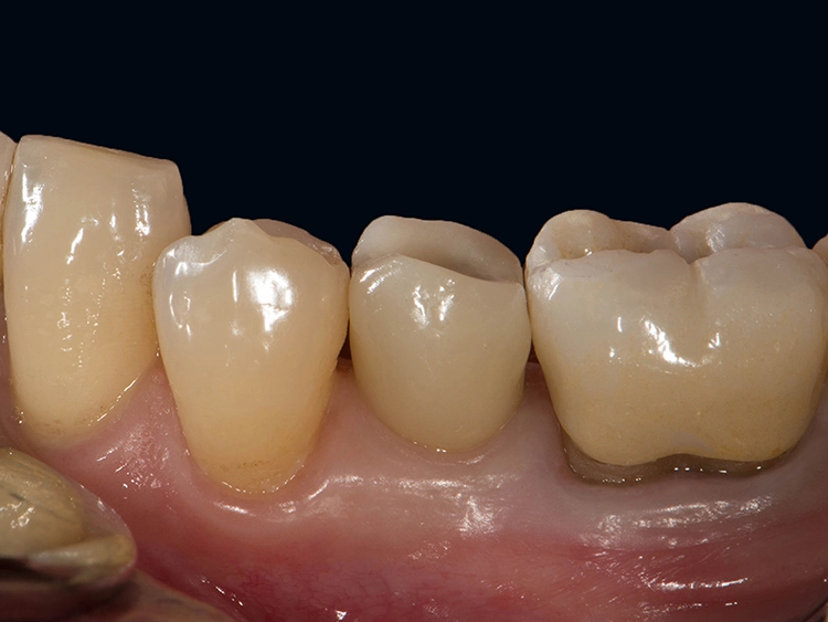
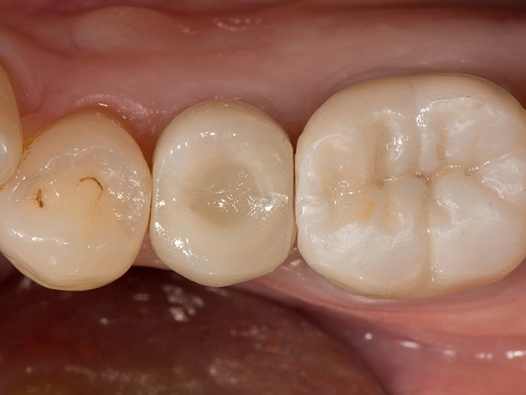
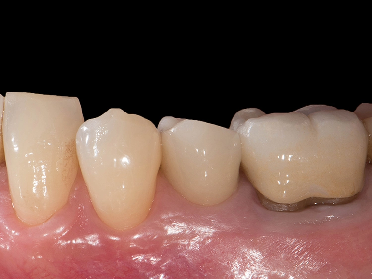
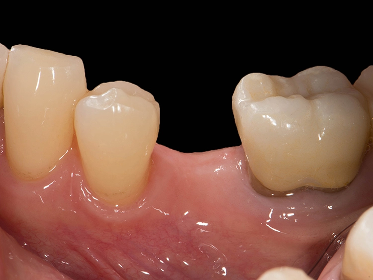
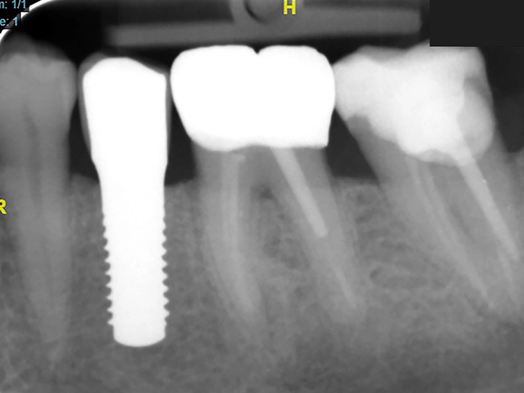
Zweiteilige Implantatsysteme würden darüber hinaus mit einer höheren prothetischen Flexibilität punkten, weil die Aufbauten individueller gestaltet werden können. Dr. Röhling: „Das kann ein Vorteil sein, wenn etwa die prothetische Achse korrigiert werden muss.“ Hinzu kommt, dass bei Anwendung von zweiteiligen Systemen eine Zementierung, die für Fehlerquelle anfällig gesehen wird, entfällt, da sie eine reversibel verschraubte Befestigung erlauben, während bei einteiligen Implantaten die Suprakonstruktion nur zementiert gestaltet werden kann (siehe Fallbeispiel, Abbildungen 1 bis 10).
Priv.-Doz. Dr. Stefan Röhling
Priv.-Doz. Dr. Stefan Röhling
Priv.-Doz. Dr. Stefan Röhling
Priv.-Doz. Dr. Stefan Röhling
Priv.-Doz. Dr. Stefan Röhling
Priv.-Doz. Dr. Stefan Röhling
Priv.-Doz. Dr. Stefan Röhling
Priv.-Doz. Dr. Stefan Röhling
Priv.-Doz. Dr. Stefan Röhling
Priv.-Doz. Dr. Stefan Röhling
„Unsere Aufgabe als Mediziner und mit der ESCI als evidenzbasierte Interessensvertretung ist es, auch weiterhin Behandlungsergebnisse in einen wissenschaftlich gesicherten Kenntnisstand zu überführen, damit auch eine vertragsrechtliche Anerkennung stattfinden kann“, hebt der ESCI-Vizepräsident hervor.
Auf dem Weg zur vertragsrechtlichen Anerkennung
Auch wenn weder Leitlinien einer Fachgesellschaft noch Stellungnahmen rechtlich bindend sind, im Unterschied zu so genannten Richtlinien, die auf einer gesetzlichen Grundlage beruhen, so sind Stellungnahmen anerkannter wissenschaftlicher Gesellschaften ein Mosaikstein und ein sehr wichtiges Tool auf dem Weg zur vertragsrechtlichen Anerkennung eines medizinischen Konzepts. „Mit der aktuellen Stellungnahme hat unsere international aufgestellte unabhängige Fachgesellschaft aktuelle evidenzbasierte Daten zusammengetragen und auf dieser Basis den Standpunkt der Experten zum Thema zweiteiliger Behandlungskonzepte mit Zirkonoxidimplantaten nachvollziehbar und plausibel ausgeführt. Wir wollen diesen Kenntnisstand an Kliniker vermitteln und sie sowohl bei der Entscheidungsfindung für eine angemessene Therapieoption unterstützen als auch in der Argumentation vor den privaten Versicherungen.
Aus unserer Sicht haben die Versicherungen zumindest in Deutschland in Zukunft keine Chance mehr, sich aus der Verantwortung zu ziehen, wenn es darum geht, die Kosten für zweiteilige Keramik-Implantate zu übernehmen!“ Außerdem ist es der Fachgesellschaft ein deutliches Anliegen, „Klinikern zusätzlich Sicherheit zu geben, ihre mögliche Skepsis gegenüber zweiteiligen Zirkonoxidimplantaten zu nehmen, damit sie in zweiteiligen Zirkonoxidimplantaten ein praxistaugliches und zukunftsträchtiges Konzept erkennen. Das soll nicht bedeuten, Produkte blind und unbedacht zu verwenden.“
Grundsätzlich müssten für den klinischen Erfolg die Richtlinien des jeweiligen Herstellers für die Anwendung des jeweiligen zweiteiligen Zirkonoxidimplantatsystems beachtet werden. Darüber hinaus seien natürlich weiterhin viele klinische Studien erforderlich, die zweiteilige Behandlungskonzepte untersuchen und zeigen, dass sie klinisch verlässlich angewandt werden können.
„Für mich sind zweiteilige Zirkonoxidimplantate generell eine verlässliche Behandlungsoption“, legt sich Dr. Röhling fest und greift einen weiteren Aspekt heraus: „Es ist auch wichtig, dass viele Anwender von Titanimplantaten zweiteilige Implantatdesigns in der klinischen Handhabung vertrauter sind und sie so an Sicherheit in der Anwendung der Keramikimplantate gewinnen.“ Von Patientenseite werde die Nachfrage nach Keramikimplantaten weiterhin steigen.
„In einer in München und Basel durchgeführten demografischen Untersuchung konnten wir zeigen, dass sich knapp 40 Prozent der befragten Patienten für ein Keramikimplantat und nur knapp 10 Prozent für ein Titanimplantat entscheiden würden. Wir sehen der Zukunft von Keramikimplantaten sehr, sehr positiv entgegen, weil es sehr durchdachte und sehr gute Produkte sind“, ist Dr. Röhling überzeugt. So könne das Spektrum der Behandlungsoptionen durch zweiteilige Implantatdesigns ganz klar erweitert werden.
ESCI-Projekte 2022
„Die ESCI hat sich zum Ziel gesetzt, eine starke Lobby in der Keramikimplantologie zu bilden“, so Dr. Röhling. Ein wesentlicher Beitrag hierzu ist, „als starke Gemeinschaft, weiterhin die Verbindung zwischen Wissenschaft und Praxis zu fördern, denn viele Anwender wollen eine wissenschaftlich fundierte und klinisch anerkannte Orientierung im Bereich der Keramikimplantologie.“
In diesem Sinne verfolgte die Fachgesellschaft mit einer aktuellen wissenschaftlichen Umfrage der ESCI zur klinischen Anwendung von Keramikimplantaten das Ziel, einen tieferen Einblick in den allgemeinen täglichen Umgang mit Keramikimplantaten zu erhalten und Fragen zur Keramikimplantologie zu beantworten (siehe hierzu auch den Bericht zu den ersten Ergebnissen der Umfrage ab Seite 222).
„Außerdem arbeiten wir gerade intensiv an den Trainingszentren mit Kursmöglichkeiten und Hospitationsmöglichkeit für unsere Mitglieder“, erklärt der Vizepräsident. Ausgewählt und zertifiziert wurden die Trainingszentren durch den wissenschaftlichen Beirat der ESCI, und sie ermöglichen es Anwendern, sich mit dem Material Zirkonoxid vertraut zu machen und den Umgang mit Keramikimplantaten auf wissenschaftlicher und klinischer Basis grundlegend und umfassend zu erlernen.
Dr. Röhling: „Das von uns erarbeitete einheitliche Fortbildungskonzept ist ein großer Benefit: Ziel ist es, bei individueller Umsetzung einen einheitlichen Wissenstand der Teilnehmer nach Absolvieren der Kurse in den verschiedenen Zentren zu gewährleisten.“ Die Präsenzveranstaltungen werden durch Internet-basierende Fortbildungen im Sinne von „Blended Learning“ ergänzt.
Ein weiteres Glanzlicht in 2022 will die ESCI mit ihrem Jahreskongress setzen, der aufgrund der Pandemie zuletzt 2019 durchgeführt wurde. Dr. Röhling: „Auch wenn die Zeiten noch unsicher sind, planen wir konkret und es haben die ersten international hochstehenden Referenten bereits zugesagt.“ Der Kongress wird wieder in der Schweiz stattfinden, und zwar vom 21. bis 22. Oktober 2022 in Horgen bei Zürich, möglichst in Präsenz.
„Wie bereits bei unserem ersten sehr erfolgreichen European Congress for Ceramic Implant Dentistry im Oktober 2019, bei dem mehr als 170 Teilnehmer aus 23 Ländern an den Zürichsee gereist waren, erwarten wir auch jetzt Teilnehmer aus mehr als 20 Ländern. Schon bei dieser ersten Durchführung war der ESCI-Jahreskongress eine der weltweit größten und relevantesten Veranstaltungen zum Thema Keramikimplantologie“, freut sich Dr. Röhling. „Daran wollen wir anknüpfen und den Teilnehmern ein hervorragendes wissenschaftliches Programm mit spannenden Vorträgen bieten.“
Bildquellen sofern nicht anders deklariert: Unternehmen, Quelle oder Autor/-in des Artikels
Entdecke CME Artikel






Keine Kommentare.