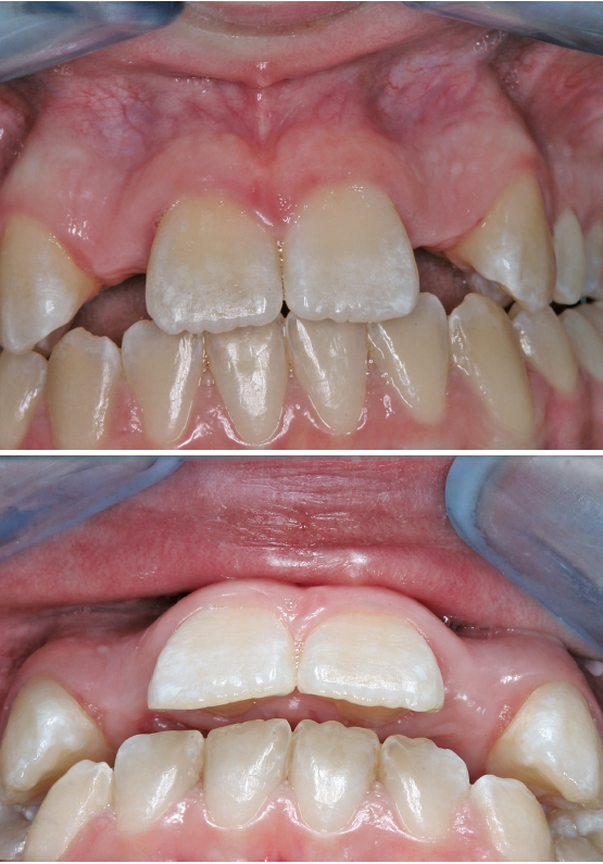
Eine 17-jährige Patientin wurde an unsere Praxis mit dem Wunsch nach einer festsitzenden implantatprothetischen Versorgung der lateralen Schneidezähne 12 und 22 überwiesen. Nach entsprechender Aufklärung und intensiver Beratung wurde zunächst ein DVT erstellt, um das genaue Ausmaß der dreidimensionalen Knochenresorption in regio der fehlenden lateralen Schneidezähne regio 12 und 22 beurteilen zu können. Die röntgenlogische Auswertung ergab eine hochgradige horizontale Alveolarfortsatzbreite von knapp 3 mm in regio 12 respektive von knapp 2,5 mm in regio 22 mit stark ausgeprägter konkaver Kontur der bukkalen Lamelle (Abb. 1). Allein das klinische Bild (Abb. 2 und 3) zeigte eine ausgeprägte horizontale Alveolarfortsatzatrophie in regio 12 und 22 mit ausgeprägten Konkavitäten in der bukkalen Lamelle.
Dr. Plöger
Dr. Plöger
Bei einer hochgradigen dreidimensionalen Alveolarfortsatzatrophie (Alveolarfortsatzbreite weniger als 3 mm) mit einer entsprechenden konkaven Alveolarfortsatzkontur müssen in der Regel autologe kortikospongiöse Knochenblocktransplantate respektive die Schalentechnik nach Professor Khoury et al. oder humane allogene Knochenblocktransplantate (humaner Knochenblock-P nach Plöger) auf den Restalveolarfortsatz aufgelagert werden, um ein entsprechendes Implantatlager zur konsekutiven Implantation zu erhalten.
Zunächst wurde ein intensives Beratungsgespräch mit dem behandelnden Kieferorthopäden durchgeführt, wo die Patientin aufgrund eines seitlich offenen Bisses und zur Etablierung einer eugnathen Okklusion mit Hilfe einer MB-Technik bereits in Behandlung war. Die kieferorthopädische Auswertung ergab ein mesiofaziales Wachstum mit dolichofazialer Tendenz. Bei diesem Wachstumstyp entwickelt sich das Mittelgesicht bei den Adoleszenten nach kausal und vestibulär, wobei die hier dolichofaziale Wachstumstendenz eher ein schmales Gesicht mit höher Gesichtshöhe ausbildet.
Bei dem hier vorherrschenden Counterclockwise-Wachstum muss die Implantatposition entsprechend den von Buser aufgestellten Winkeln der optimalen Implantatpositionierung (vestibulär, oral, apicocoronal, mesiodistal) mehr nach vestibulär modifiziert werden, da ansonsten die Unterkieferfrontzähne nach abgeschlossenem Wachstum möglicherweise in der prothetischen Versorgungslinie respektive sogar vestibulär vor dem inserierten Implantat stehen.
Eine prothetische Versorgung in einer eugnathen Bisssituation wäre somit nicht mehr durchführbar. Implantiert man bei dem dolichofazialen Wachstumstyp vor dem eigentlichen Wachstumsschub des Adoleszenten, dann besteht die Gefahr, dass das Implantat aufgrund des fehlenden vertikalen Wachstums in dieser Region nicht mitwächst und somit das Implantat respektive die prothetische Versorgung zu einer extrem langen unästhetischen Zahnkrone führt bei entsprechend hoher Lachlinie.
Es müsste dann mit einer aufwendigen Segmentosteotomie oder einer Distraktionsosteogenese die vertikale Position des Implantates chirurgisch kompensiert werden, was bei osteointegrierten Implantaten eine erhebliche Belastung und Komplikationsmöglichkeit für den adoleszenten Patienten darstellt. So wurde gemäß Absprache mit dem Kieferorthopäden neben der klassischen FRS-Auswertung und der Handröntgenaufnahme insbesondere eine Halswirbelkörper- Röntgenaufnahme zur Bestimmung des skelettalen Wachstums angefertigt. Sowohl nach der HWS-Methode nach San Roman (Konkavität und Form der Wirbelkörper) als auch nach der HWS-Methode nach Lamparski wurde entsprechend das skelettale Wachstum bestimmt.
Letztendlich bestand aus kieferorthopädischer Sicht keine Kontraindikation für eine unverzügliche chirurgische Intervention mit nachfolgender implantatprothetischer Versorgung bei derart fortgeschrittener horizontaler Atrophie in regio 12 und 22 (2,5 mm mit großer Konkavität). Insofern wurde nach erneuter intensiver dokumentierter Beratung und Aufklärung wie auch wirtschaftlicher Aufklärung nach entsprechender beidseitiger Leitungsanästhesie am Foramen infraorbitale und zusätzliche intraoralen und vestibulären Infiltrationsanästhesien zunächst ein breiter Mukoperiostlappen von regio 14 bis 24 gebildet (Abb. 4) und zur Förderung der Durchblutung des allogenen Transplantates wurden entsprechende Bleeding-Points (entsprechende Perforation der bukkalen Kortikalis) gesetzt (Abb. 5). Die mit Hilfe von CAD/CAM durch das Labor ProDent (Zahntechnikermeister Thomas Blaschke) hergestellten kortikospongiösen Blöcke nach DVT-Auswertung wurden mit entsprechenden Osteosyntheseschrauben fixiert (Abb. 6) und mögliche Restspalträume mit allogener Spongiosa abgedichtet und lateral auskonturiert.
Dr. Plöger
Dr. Plöger
Dr. Plöger
Die nach der Technik von Choukroun et al. (A-PRFTM) hergestellten Fibrinmembrane wurden oberhalb der Augmentate regio 12 und 22 als autologe Fibrinmembran platziert und die Wunde nach entsprechender Split-Flap-Technik und nach entsprechender Periostschlitzung speichel- und wunddicht vernäht (Abb. 7). Direkt postoperativ wurde die Patientin mit Amoxicillin 1000 mg 2 x1 täglich wie auch Arilin 500 mg 3×1 täglich antibiotisch abgeschirmt zur Verhinderung einer aeroben/ anaeroben postoperativen Infektion. Die Wundheilung verlief komplikationslos. Die Nähte konnten nach 10 Tagen entfernt werden (Abb. 8).
Dr. Plöger
Dr. Plöger
Nach viereinhalbmonatiger Einheilung der allogenen Knochenblöcke wurde wiederum ein Mukoperiostlappen mit einseitigem vertikalen Entlastungsschnitt gebildet und die Implantate prothetisch nach korrekter prothetischer Planung mit Hilfe einer Schablone in regio 12 und 22 inseriert (Abb. 9 und 10). Zur erneuten Auskonturierung wurden allogene Knochenspäne bukkal unter den Mukoperiostlappen geschoben und zur Weichgewebsaugmentation eine erneute autologe L-PRF-Membran nach Choukroun appliziert (Abb. 11 und 12). Abbildung 13 zeigt das postoperative OPG nach Insertion der beiden Implantate. Zur provisorischen Versorgung erhielt die Patientin wiederum beidseitig eine palatinal verklebte Maryland-Brücke regio 12 und 22.
Dr. Plöger
Dr. Plöger
Dr. Plöger
Dr. Plöger
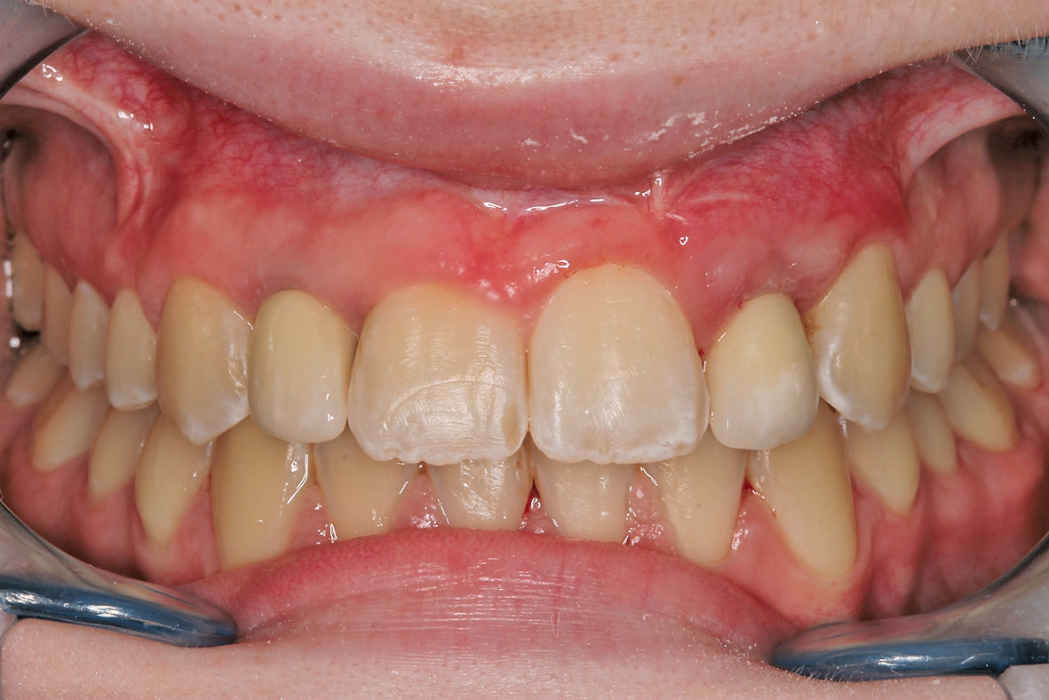
Nach Aufschraubung des Smartpegs konnte mit dem Ostell Festigkeitswerte von 72 respektive 75 für die beiden Implantate regio 12 und 22 nach vier Monaten festgestellt werden, sodass die prothetische Versorgung zunächst mit Hilfe langzeitprovisorischer Kronen (Zirkonzahn Multistratum Flex) durchgeführt wurde (Abb. 14 und 15).
Dr. Plöger
Dr. Plöger
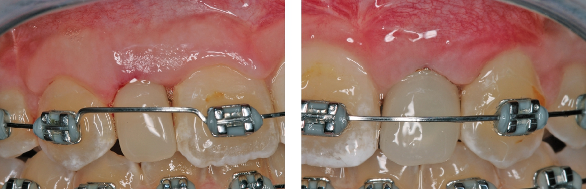
Nach weiterer mehrmonatiger Weichgewebsausformung durch die beiden Langzeitprovisorien 12 und 22 wurden dann reine Zirkoniumkronen zunächst provisorisch eingesetzt und die Patientin in die hauszahnärztliche Versorgung zurücküberwiesen (Abb. 16).
Diskussion
Grundsätzlich ist die Implantatversorgung bei Kindern, Jugendlichen oder jungen Erwachsenen ein sehr komplexes zahnärztliches Gebiet, weil laut einer Studie von Terheyden et. al es bei Adoleszenten (12-18 Jahre) eine durchschnittliche Infraokklusion von 3 mm (max. 8 mm) resultieren kann und die Implantatprognose sich auf zirka 93% beläuft (gegenüber durchschnittlichen Implantaterfolgsquoten von 98-99%). Insofern fordert Terheyden et. al, dass bei „Adoleszenten, die bis jetzt tradierte harte Grenze des 18. Lebensjahres eher einer differenzierten Betrachtung weichen und ersetzt werden sollte durch das Abwarten des pubertären Wachstumsspurts“. Des Weiteren fordert Terheyden et. al, dass eine möglich auftretende Infraokklusion therapeutisch antizipiert und die etwas reduzierte Implantatprognose den Patienten und Eltern mitgeteilt werden sollte. Die Kommunikation mit der Patientin respektive der Eltern der Patientin kommt eine ganz entscheidende Bedeutung zu, insbesondere da möglicherweise erneute Zirkoniumkronen bei vorausgesetzt richtiger Implantatpositionierung im Laufe der Phase des jungen Erwachsenen (18-31 Jahre) angefertigt werden müssen zum Ausgleich einer sich entwickelnden Infraokklusion. Auf der anderen Seite ist bei zu langem Warten des chirurgischen Behandlungsbeginns die Gefahr, dass die sowieso bestehende laterale/vertikale Atrophie soweit voranschreitet, dass eine Nutrition des aufzulagernden Blockes (autolog/allogen) aufgrund fehlender Spongiosa nicht mehr gegeben ist. Gerade bei hochgradiger Atrophie ist der eingeschmolzene Spongiosa-Anteil sowohl im Oberkiefer als auch im Unterkiefer aufgrund der Schrumpfung in der Horizontalen so ausgedünnt, dass letztendlich nur noch eine bukkal-palatinale oder bukkal-linguale Kompakta als Empfängergebiet für das Transplantat zur Verfügung steht mit entsprechender Mangelversorgung des Transplantates. Die Spongiosa ist von entscheidender Bedeutung, damit die Transplantate (autologe/allogene) entsprechend einheilen und durch eigene Knochenzellen ersetzt werden können. Nach Festlegung des richtigen Implantationszeitpunktes respektive Zeitpunkt der präoperativen Augmentation sollte berücksichtigt werden, dass die skelettale Entwicklung junger Mädchen zwei Jahre dem skelettalen Wachstum von Jungen voraus ist. Nach Björg und Helm 1967 tritt der erste Wachstumsspurt bei Jungen gemäß mit 13 Jahren und bei Mädchen mit 11 Jahren auf. Bezüglich des Augmentationsprotokolls und der verwendeten Techniken findet in den letzten Jahren ein Paradigmenwechsel von Seiten des autologen Knochentransfers (Goldstandard) zu minimalinvasiveren Alternativtechniken (allogene Schalentechnik nach Esser et. al., techniksensitiv) respektive bei guter Auflagemöglichkeit mit Hilfe von CAD/CAM erstellten kortikospongiösen Blocktransplantaten. Der Autor arbeitet seit 2005 mit den humanen allogenen Knochenblockimplantaten, die mittlerweile von mehreren Firmen (Argon, Osteograft, DIZG, Zimmer, Tutoplast, Botiss, Straumann, etc.) nach verschiedenen Herstellermethoden Tutoplast-prozessiert, ?-Sterilisierung, Peressigsäure etc. hergestellt werden und seitens des Autors bis dato 702 Mal verwendet wurden. Dabei wurden bei der Erfolgsrate Werte von 95,42% im Oberkiefer und 89,19% im Unterkiefer erzielt, was einer Gesamterfolgsquote von 93,45% entspricht.
Dr. Plöger
Während Chaushu und Nissan für den Anteil im Oberkiefer bei 60 rein spongiösen ftbm-Blöcken eine Transplantatverlustrate von 4,4 % mit einem Knochengewinn in horizontal und vertikaler Weise von durchschnittlich 5 mm und einer Implantatinsertionsrate von 95,6 % berichten, wiesen die spongiösen Blocktransplantate im Bereich des posterioren Unterkiefers mit einer hohen Verlustrate von 20,7 % und einer Resorptionsrate von 5 % auf. Auch Plöger und Schau haben eine Verlustrate im Bereich des posterioren Unterkiefers von 8,5 % beziehungsweise 9,5 %. Dagegen ist im Oberkieferbereich aufgrund der besseren anatomischen Ausgangssituation mit einer spongiöseren Struktur eine deutlich erhöhte Erfolgsquote laut neuester Statistik von 95,42 % laut Plöger et. al zu verzeichnen. Wobei die erneut höheren Erfolgsraten im Oberkiefer wie auch etwas verbesserter Erfolgsraten im Unterkiefer sicherlich der Tatsache geschuldet sind, dass durch mit CAD/CAM präfabrizierte humane Knochenblocktransplantate ein besserer spaltfreierer passgenauerer Sitz und somit eine bessere Einheilquote resultiert. Aufgrund differierender Empfänger- und Spenderregionen, sowie differierender Defektgeometrien, Knochenqualität/-quantität respektive der aufgeführten Techniken, Schalentechniken, Resorptionsschutz, Weichgewebsstatus, Timing der Implantation, Dicke und Durchblutung wird eine objektive vergleichende Betrachtung signifikant erschwert, welcher Methode (autolog, allogen, Block partikuliert vs. Block, GBR-Techniken/Splitting-Techniken) letztendlich der Vorzug gegeben werden sollte. Insofern muss vor jeder Augmentation/Implantation nach entsprechender kieferorthopädischer Auswertung ein individuelles Risikoprofil respektive individuelle Behandlungsmethode zur Erzielung eines erfolgreichen Abschlusses festgelegt werden.
In diesem Fall hätten alternative Techniken gemäß der Erfahrung des Autors bei einer Restbreite von ca. 2,5 mm im krestalen Bereich sowie einer extrem ausgeprägten Konkavität nicht den gewünschten Erfolg gebracht, wenn man mit GBR-Techniken/Splitting-Techniken gearbeitet hätte. Insofern blieb hier nur die Auswahl zwischen allogenen und autologen Knochenblock-Techniken, wobei sich die junge Patientin respektive die Eltern nach entsprechender Aufklärung aufgrund der Invasivität der autologen Knochenentnahme im Unterkiefer entschieden haben. Obwohl sich die Behandlung letztendlich in Kombination mit der kieferorthopädischen Behandlung bis zur definitiven Endversorgung mit Zirkoniumoxidkronen über einen Zeitraum von 1 1/2 Jahren erstreckte, war die Patientin mit der Vorgehensweise und dem erzielten Behandlungsergebnis sehr zufrieden.
Bildquellen sofern nicht anders deklariert: Unternehmen, Quelle oder Autor/-in des Artikels
Entdecke CME Artikel






Keine Kommentare.