Befund
S. Reitz
Intraoral wurde eine Infraposition von Zahn 21 um 0,5 bis 1 mm gegenüber den Nachbarzähnen festgestellt, dazu eine erhöhte Mobilität von 21,22,31,32 mit Lockerungsgrad 1, Perkussionsempfindlichkeit von 21 (++). Das Zungenbändchen war minimal eingerissen und in der Unterkieferfront zeigten sich Hypersensibiliäten.
An der Unterlippe waren Riss- und Quetschwunden medial Regio 11,21/31,41 zu sehen. Das mitgebrachte Zahnfragment wurde zur schnellstmöglichen Remineralisation in eine Zahnrettungsbox gelegt.
Behandlungsablauf und interdisziplinäre Maßnahmen
Die behandelnde Zahnärztin klärte ein eventuell vorliegendes Schädel-Hirn-Trauma sowie den Tetanusschutz ab. Es folgten eine ausführliche Anamnese und Diagnostik; unter anderem mit Hilfe von Röntgenbildern sowie eines Befundbogens für Frontzahntraumata. Dazu gehörte auch eine Vitalitätsprüfung aller Frontzähne.
Therapie
Nach Infiltrationsanästhesie und Desinfektion konnte eine direkte Überkappung der Pulpaöffnung mit MTA-Zement erfolgen. Die Passgenauigkeit des Zahnfragmentes wurde geprüft; die Oberflächen an den jeweiligen Bruchstellen geätzt, gespült und getrocknet. Mit Hilfe von Primer, Bonding und fließfähigem Komposit (Flow) konnte das Bruchstück befestigt werden.
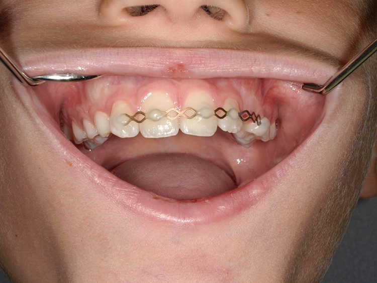
Anschließend wurde zur Sicherung eine TTS-Schiene (Titanium Trauma Splint) mit Hilfe von Flow angebracht (Abb. 2). Die Nachkontrollen am Folgetag und eine Woche darauf ergaben eine korrekte Schienenposition, dazu Vitalität und Perkussion des verletzten Zahns. Die Schiene wurde nach 14 Tagen entfernt (Abb. 3).
S. Reitz
S. Reitz
S. Reitz
Fazit
Bei einer Kronenfraktur im Frontzahnbereich bietet sich als minimalinvasive Therapie ein Reattachment des mitgebrachten Fragments an. Dadurch lässt sich eine stärker invasive Versorgung mit einer Krone vermeiden.
Es ist sinnvoll, substanzerhaltend und ästhetisch mit Bonding und Flow zu arbeiten. Eine Überkappung der kleinflächigen Pulpaexposition war in diesem Fall möglich, da die Maßnahme innerhalb kurzer Zeit nach Trauma erfolgte.
Ohne endodontische Behandlung blieb der verletzte Zahn vital und musste lediglich vorübergehend durch eine flexible Titanschiene fixiert werden. Die Prognose für Zahn 21 und das umgebende Parodont ist sehr gut. Neben dem rein therapeutischen Nutzen kann diese Art der „Sofortreparatur“ mit dem Bruchstück des eigenen Zahns auch psychologisch entlastend wirken.
Bildquellen sofern nicht anders deklariert: Unternehmen, Quelle oder Autor/-in des Artikels
Entdecke CME Artikel






Keine Kommentare.