Mittlerweile scheint ein Erkenntnisstand im chirurgischen Part der Implantologie erreicht zu sein, der relativ sichere Prognosen selbst bei komplexen knöchernen Voraussetzungen für eine Osseointegration ermöglicht. Der ohnehin schon sehr günstigen Langzeitverweildauer von Implantaten und dem periimplantären Weichgewebe kommen eine immer größer werdende Bedeutung zu. Seit Jahrzehnten (Berglund, Gargiola, Krekeler u.a.) ist der Unterschied wissenschaftlich belegt zwischen dem abwehrstarken, gut durchbluteten, hochkomplexen und widerstandsfähigen parodontalen Gewebe und dem minderwertigen, schlecht durchbluteten, narbigen, anfälligen und empfindlichen, wenig regenerationsfähigen Mukosagewebe im Bereich der Implantatdurchtrittsstelle.
Aktuelle Studien belegen, dass eine Missachtung der bekannten natürlichen biologischen Werte eine meist irreversible Verletzung der Mukosa und entzündliche Prozesse mit häufigem Knochenabbau nach sich ziehen. Als logische Konsequenz muss die Behandlungsfolge diesem evidenzbasierten Wissen entsprechend angepasst werden.
Das beinhaltet, dass bei Beachtung der biologischen Breite des Implantats von ca. 3 mm die Abutmentgeometrie und die abschließende Prothetik entsprechend zu erfolgen haben. Auch das häufige Wechseln von (Aufbau-)Komponenten mit der dadurch wiederkehrenden Manipulation des Gewebes sollte möglichst reduziert oder vermieden werden.
Das Konzept der Sofortversorgung kann dabei diese Forderungen erfüllen, um der Natur möglichst gerecht zu werden. Darüber hinaus können Kosten eingespart, die Behandlungszeit verkürzt, postoperative Beschwerden minimiert und mit der bereits von Beginn an vorhandenen funktionellen Belastung ein möglicherweise besserer BIC (Bone Implant Contact) erzielt werden. Auch die Patientenwünsche nach wenigen Sitzungen werden hierbei erfüllt.
Ein nicht zu unterschätzender Nachteil mit einem Komplikationsrisiko stellt die üblicherweise angefertigte temporäre Implantatprothetik dar. Wir wollen ein Vorgehen zeigen, bei dem das endgültige prothetische Gerüst aus Metall oder Zirkon nach 24 Stunden, also im Sinne der uneingeschränkten Sofortversorgung, vorliegt und trotzdem ein Progressive Boneloading mit sukzessiver Belastungseinleitung auf die Implantate im Knochen gewährleistet wird. In der abschließenden Fallvorstellung soll das digitale Behandlungsprotokoll dargestellt werden.
Biologische Grundlagen
Ohne Zweifel sollte ein häufiges Wechseln von Gingivaformern, Scanbodies bzw. Abdruckpfosten und provisorischen Elementen bei der Implantatversorgung vermieden werden. Bekannte Nachteile sind:
- Schädigung des Innengewindes des Implantats,
- Manipulation/Schwächung des periimplantären Weichgewebes,
- Epithelisation der Sulkusinnenwände (Tab. 1),
- Zeitverlust bei Behandelnden und Patienten/-innen,
- Kosten.
Dres. Petschelt
Dres. Petschelt
Anders ausgedrückt besitzt ein sofortiges Einbringen, idealerweise schon bei der Implantation im Sinne einer transgingivalen Vorgehensweise viele Vorteile:
- keine Schwächung/Verletzung der Mukosa,
- ungestörte Regeneration der Mukosa,
- keine weiteren Investitionen,
- Progressive Boneloading,
- Zeitersparnis,
- Komfort für Patienten (und Behandler) (Tab. 2).
Mukosamanschette
Das parodontale Gewebe um die Zähne bildet bei guter Durchblutung mit einstrahlenden Desmodontalligamenten auf die Wurzeloberfläche der Zähne eine natürliche Barriere gegen den Bakterienstrom in Richtung des krestalen Knochens. Dieser Zustand kann bei der periimplantären Situation, wenn überhaupt, nur minderwertig erreicht werden.
Dres. Petschelt
Bei mehrmaligem Wechseln von Aufbaukomponenten und damit verbundenem Zeitverlust setzt unweigerlich eine Epithelisation im Sulkus ein. Hat diese stattgefunden, kann keine Faserbildung mehr generiert werden.
Ist diese Region jedoch noch nicht epithelisiert bzw. abgeheilt, kann die erwünschte Anheftung von bindegewebigen Fasern an die Abutmentregion im Bereich des Implantathalses bzw. des Knochenniveaus einsetzen. Das Remodelling der Mukosamanschette kann unter Berücksichtigung der biologischen Breite ungestört stattfinden und nebenbei noch Zeit eingespart werden – vielleicht ein oder derzeit der wichtigste Effekt zur Periimplantitisprophylaxe.
„Bioblock“
Um dieses anzustrebende Ergebnis zu erreichen, ist nicht nur die vertikale Dimension entscheidend, sondern auch die sagittale/transversale, also die „Dicke“ der Mukosa. Eine möglicherweise mit chirurgischem Aufwand erzielte „Dicke“ des Weichgewebes wird bei Einsatz von voluminösen bzw. breiten Abutmentformen bei entsprechendem Quetscheffekt ausgedünnt und damit irreversibel geschädigt. Damit die folgende Resorption des Weichgewebes verhindert wird, streben wir eine dünne Abutmentform im Bereich der Durchtrittsstelle an, um dann im Bereich der Sulkusspitze ein ästhetisch anspruchsvolles Emergence Profile zu erreichen.
Mit dieser Vorgehensweise kann das periimplantäre Weichgewebe stabil erhalten und damit auch ein Knochenverlust verhindert werden. Dieser Effekt wird von manchen Autoren aktuell als „Bioblock“ bezeichnet.
Berglund hat dies bereits in den 1990er-Jahren als „bindegewebige Integration“ bezeichnet. Dieser Begriff, der den angestrebten Effekt treffend beschreibt, hat sich jedoch nicht durchgesetzt.
Klinisches Vorgehen
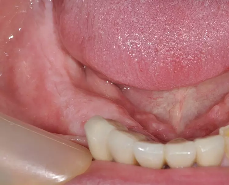
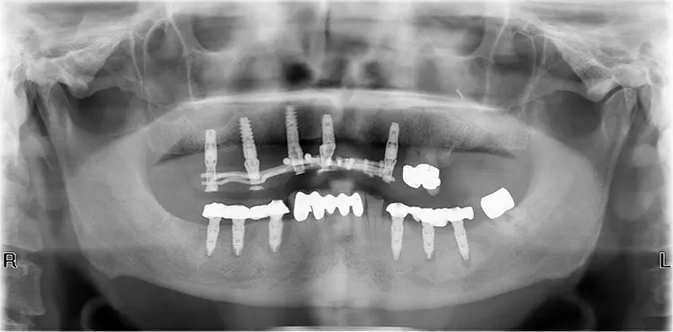
Für das Umsetzen unter Berücksichtigung der genannten Ziele im klinischen Alltag stellen wir einen exemplarischen Behandlungsfall vor. Bei dem 71-jährigen Patienten gilt es, die 2 entstandenen Unterkieferseitenzahnlücken bei guten knöchernen Voraussetzungen implantologisch zu versorgen (Abb. 2 und 3).
Dres. Petschelt
Dres. Petschelt
Der Patient ist Nichtraucher mit unauffälliger allgemeinmedizinischer Anamnese. Der Oberkiefer ist bereits seit vielen Jahren mit Implantaten und einem festsitzenden WeldOne Schweißgerüst (Dentsply Sirona) versorgt und bildet ein sicheres antagonistisches Widerlager für die geplante Unterkieferarbeit.
Dres. Petschelt
Besonders hervorzuheben sind hier die von der Firma BTI vorgestellten Multi IM Abutments, die aufgrund der schmaleren Gestaltung einen Druck bzw. eine ungewünschte Manipulation auf die Mukosaanteile vermeiden. Die goldfarbene Oberfläche aus Titannitrit, die als positiven Effekt auch eine natürliche, warme Zahnfleischästhetik mit sich bringt, begünstigt aufgrund der erhöhten Gewebeaffinität ein Andocken von Bindegewebe bzw. hemidesmosomalen Fasern – für Bakterien eine Barriere, die wir wie oben beschrieben, anstreben und erreichen sollten.
Dres. Petschelt
Nach dem obligatorischen Nahtverschluss kann nunmehr in der gleichen Sitzung der Intraoralscan erfolgen (Abb. 6). Eingebrachte Heilungskäppchen, die die Multi IM Abutments verschließen, beenden die chirurgische Sitzung (Abb. 7).
Dres. Petschelt
Dres. Petschelt
Jetzt ist eine gut aufeinander abgestimmte Zusammenarbeit mit dem Zahntechniker nötig. Mit entsprechenden Designprogrammen (hier Exocad) entwirft der Techniker die endgültigen verschraubbaren Gerüste aus z.B. NEM oder Zirkon (Abb. 8 a und b, Abb. 9).
Dres. Petschelt
Dres. Petschelt
Dres. Petschelt
Dres. Petschelt
Während des (in aller Regel einige Stunden in Anspruch nehmenden) Fräsvorgangs wird das gedruckte Modell in Gips gesockelt und in einem physischen Artikulator einartikuliert. Mit dem vorhandenen Datensatz des Gerüsts können eine kunststoffbasierte Schalenverblendung sowie eine identische hochwertige Keramikschale ebenfalls im digitalem Workflow nach Fräsvorgang gefertigt werden (Abb. 10). Zunächst wird die PMMA-Verblendung laborseits mit dem vorliegenden endgültigen, in unserem Fall aus NEM hergestellten Gerüst verklebt und ausgearbeitet.
Diese Arbeitsschritte im Labor sind mit Hilfe der modernen CAD/CAM-Technik innerhalb eines Tages möglich, so dass der Patient bereits am nächsten Tag für die prothetische Weiterverarbeitung im Sinne der Sofortversorgung einbestellt werden kann. Bei Berücksichtigung der biologischen Parameter für Knochensituation und Weichgewebe sind symptomlose, regenerationsfähige Wundverhältnisse zu erwarten.
Es kann ein einfaches, unkompliziertes Einschrauben des endgültigen Gerüstes mit der nur ganz leicht auf okklusalem Kontakt gearbeiteten PMMA-Verblendung erfolgen (Abb. 11, 12). Dieses Vorgehen erlaubt die mit vielen Vorteilen verbundene Sofortversorgung innerhalb von 24 Stunden mit einem endgültigen Zahnersatzgerüst. Bei jeder prothetischen Maßnahme wird zudem immer auf Mukosaniveau gearbeitet und nicht mehr auf Knochenniveau – ein Komfort für den Patienten und ein Benefit für den krestalen Knochenanteil.
Dres. Petschelt
Dres. Petschelt
Es folgt die mehrwöchige Eingewöhnungszeit und Adaptation des Patienten und das Progressive Boneloading. Nach dieser Zeit, üblicherweise ca. 6 bis 8 Wochen, kann die Arbeit durch Lösen der Schrauben entnommen und ohne großen Aufwand die Kunststoffverblendung durch den Techniker entfernt werden.
Anschließend wird ebenfalls im Labor die bereits vorliegende Keramikschalenverblendung auf das Gerüst endgültig verklebt und insbesondere basal ausgearbeitet und poliert. Da dies nicht viel Zeit in Anspruch nimmt, kann in der gleichen Sitzung die keramikverblendete finale Rehabilitation bei sehr guter Prognose endgültig eingesetzt werden (Abb. 13 und 14).
Dres. Petschelt
Dres. Petschelt
Zusammenfassung
Die Periimplantitis ist nach wie vor eine leider häufige und gleichzeitig schwer zu beherrschende Komplikation in der Implantologie. Unser Fokus sollte sich nicht zuletzt deshalb darauf richten, eine Bakterienansammlung bis auf Knochenniveau durch eine bindegewebige, hemidesmosomale Barriere im Inneren des Implantatsulkus zu verhindern.
Durch eine dünne, die Mukosamanschette nicht aufdehnende Abutmentgestaltung wird dies gefördert. Auch die hier vorgestellte prothetische Vorgehensweise, bei der ein Wechsel von Aufbaukomponenten vermieden wird, kann für diese gewünschte biologische Interaktion äußerst hilfreich sein.
Näheres zu den Autoren des Fachbeitrages:Bildquellen sofern nicht anders deklariert: Unternehmen, Quelle oder Autor/-in des Artikels
Entdecke CME Artikel






Keine Kommentare.