Anzeige

Ein innovatives Konzept zur minimalinvasiven Implantatversorgung vom zahnlosen Unterkiefer

SOS ? Sliwowski Overdenture System

Das „SOS ? Sliwowski Overdenture System“ ermöglicht eine minimalinvasive Sofortversorgung im zahnlosen Unterkiefer mit präfabrizierten Teilen, wie Abutments, Steg und Steggehäuse. Die Implantation erfolgt transgingival mit Hilfe einer anhand einer DVT-Aufnahme vorbereiteten 3D-Schablone.

Insertion der Implantate.
Insertion der Implantate.
Insertion der Implantate.

Die Implantation ist ein minimalinvasiver chirurgischer Eingriff von etwa 15 Minuten mit kaum Schwellung und postoperativen Schmerzen. Der gesamte Behandlungsablauf ist an einem Tag möglich. Die präfabrizierten Teile bieten eine hohe Qualität und präzise Passung, die in der traditionellen Prothetik kaum zu erreichen sind. Im Vergleich zu konventionellen Verfahren ist die gesamte Behandlung deutlich schneller und günstiger. Die Verriegelung der Prothese auf dem Steg garantiert einen hohen Tragekomfort und bietet Absicherung gegen einen unerwünschten Stabilitätsverlust.

In dem Beobachtungszeitraum von 11 Jahren bei über 300 Patienten, die von dem Autor behandelt worden sind, sind nur wenige mechanische oder biologische Komplikationen zu beobachten.

Abb. 1: Ein ausreichend dimensionierter, breiter Kieferkamm ist vorteilhaft für die Behandlung.
Abb. 1: Ein ausreichend dimensionierter, breiter Kieferkamm ist vorteilhaft für die Behandlung.
Abb. 2: An die vorhandene Kunststoffprothese werden vorübergehend für die DVT-Aufnahme die radiologischen Marker mit Wachs angeklebt.
Abb. 2: An die vorhandene Kunststoffprothese werden vorübergehend für die DVT-Aufnahme die radiologischen Marker mit Wachs angeklebt.
Abb. 3: Die Planung der Position der Implantate und der Befestigungpins für die SOS-Schablone erfolgt anhand einer DVT-Aufnahme, z. B. im SimPlant oder Magellan Programm.
Abb. 3: Die Planung der Position der Implantate und der Befestigungpins für die SOS-Schablone erfolgt anhand einer DVT-Aufnahme, z. B. im SimPlant oder Magellan Programm.
Abb. 4: Die fertige SOS-Schablone wird nach der Online-Bestellung von Medentis oder Dentsply geliefert.
Abb. 4: Die fertige SOS-Schablone wird nach der Online-Bestellung von Medentis oder Dentsply geliefert.
Abb. 5: Das Instrumentarium für das SOS beinhaltet unter anderem eine Sequenz von Bohrern mit den korrespondierenden Doppelbohrhülsen, sowie vertikale Pins.
Abb. 5: Das Instrumentarium für das SOS beinhaltet unter anderem eine Sequenz von Bohrern mit den korrespondierenden Doppelbohrhülsen, sowie vertikale Pins.
Abb. 6: Die SOS-Schablone wird durch die Gegenbezahnung (hier OK-Totalprothese) in zugebissenem Zustand auf dem Unterkiefer stabilisiert, bevor sie mit den Pins befestigt wird.
Abb. 6: Die SOS-Schablone wird durch die Gegenbezahnung (hier OK-Totalprothese) in zugebissenem Zustand auf dem Unterkiefer stabilisiert, bevor sie mit den Pins befestigt wird.
Abb. 7: Die für die präzise Präparation der Implantatbetten notwendige Doppelbohrhülse ist kongruent zur Gehäusereplika (in der Schablone integriert) und wird zusätzlich auf der Schablone verschraubt.
Abb. 7: Die für die präzise Präparation der Implantatbetten notwendige Doppelbohrhülse ist kongruent zur Gehäusereplika (in der Schablone integriert) und wird zusätzlich auf der Schablone verschraubt.
Abb. 8: Die Präparation des Implantatbettes wird durch die Doppelbohrhülse durchgeführt, die zusätzlich mit einem vertikalen Pin auf dem Kiefer stabilisiert wird.
Abb. 8: Die Präparation des Implantatbettes wird durch die Doppelbohrhülse durchgeführt, die zusätzlich mit einem vertikalen Pin auf dem Kiefer stabilisiert wird.
Abb. 9: Die Insertion der Implantate erfolgt ebenfalls durch die Schablone bis zum Anschlag der Einbringpfosten.
Abb. 9: Die Insertion der Implantate erfolgt ebenfalls durch die Schablone bis zum Anschlag der Einbringpfosten.
Abb. 10: Die Implantate sollten nach Abnahme der Schablone bündig oder ca. 0,5 mm subgingival sitzen.
Abb. 10: Die Implantate sollten nach Abnahme der Schablone bündig oder ca. 0,5 mm subgingival sitzen.
Abb. 11: Die Insertionstiefe kann mit dem Steg und eingesteckten Abutments kontrolliert werden.
Abb. 11: Die Insertionstiefe kann mit dem Steg und eingesteckten Abutments kontrolliert werden.
Abb. 12: Diskrepanzen zu dem benötigten Abstand von 18 mm zwischen den Implantaten können durch die dezentrischen „EBF (Eccentric Bar Fixation)“-Abutments kompensiert werden.
Abb. 12: Diskrepanzen zu dem benötigten Abstand von 18 mm zwischen den Implantaten können durch die dezentrischen „EBF (Eccentric Bar Fixation)“-Abutments kompensiert werden.
Abb. 13: Direkt nach der Implantation wird der Steg definitiv montiert und die Schrauben mit 30 N/cm festgezogen.
Abb. 13: Direkt nach der Implantation wird der Steg definitiv montiert und die Schrauben mit 30 N/cm festgezogen.
Abb. 14: Die Prothese wird im Stegbereich für die Abformung so weit ausgefräst, dass sie keinen Kontakt zu dem Steg hat.
Abb. 14: Die Prothese wird im Stegbereich für die Abformung so weit ausgefräst, dass sie keinen Kontakt zu dem Steg hat.
Abb. 15: Die Abformung erfolgt auf der Prothese im leicht zugebissenen Zustand bei geschlossenem Mund.
Abb. 15: Die Abformung erfolgt auf der Prothese im leicht zugebissenen Zustand bei geschlossenem Mund.
Abb. 16: Im Labor wird das Gehäuse mit dem MK-1 Riegel in die Prothese eingearbeitet.
Abb. 16: Im Labor wird das Gehäuse mit dem MK-1 Riegel in die Prothese eingearbeitet.
Abb. 17: Fertige Prothese mit dem integrierten Gehäuse.
Abb. 17: Fertige Prothese mit dem integrierten Gehäuse.
Abb. 18: Klinische Situation am Tag nach der Implantation. Sowohl die Schwellung als auch die Operationswunden sind minimal.
Abb. 18: Klinische Situation am Tag nach der Implantation. Sowohl die Schwellung als auch die Operationswunden sind minimal.
Abb. 19: Wenn der Riegel geschlossen ist, ist die Prothese fest auf dem Kiefer verankert. Der Bereich um den Riegel muss für die Zunge glatt sein.
Abb. 19: Wenn der Riegel geschlossen ist, ist die Prothese fest auf dem Kiefer verankert. Der Bereich um den Riegel muss für die Zunge glatt sein.
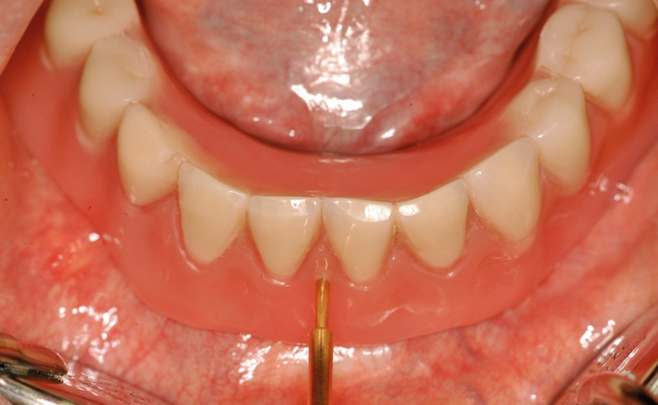
Abb. 20: Der Riegel wird durch Drücken mit dem Schlüssel nach lingual geöffnet.
Abb. 20: Der Riegel wird durch Drücken mit dem Schlüssel nach lingual geöffnet.
Abb. 21: Der Riegel ist geöffnet und die Prothese kann herausgenommen werden.
Abb. 21: Der Riegel ist geöffnet und die Prothese kann herausgenommen werden.
Abb. 22: Die Patientin hat am Tag nach der OP keine Schmerzen oder Schwellungen und ist schon jetzt von der Behandlung begeistert.
Abb. 22: Die Patientin hat am Tag nach der OP keine Schmerzen oder Schwellungen und ist schon jetzt von der Behandlung begeistert.
Abb. 23: Klinische Situation nach sechs Jahren in Funktion.
Abb. 23: Klinische Situation nach sechs Jahren in Funktion.
Abb. 24: Patientin ist nach sechs Jahren nach wie vor begeistert und macht Werbung für das Buch und das SOS.
Abb. 24: Patientin ist nach sechs Jahren nach wie vor begeistert und macht Werbung für das Buch und das SOS.
Abb. 25: Alle Komponenten im Überblick.
Abb. 25: Alle Komponenten im Überblick.

Näheres zu den Autoren des Fachbeitrages: ,

Bildquellen sofern nicht anders deklariert: Unternehmen, Quelle oder Autor/-in des Artikels

Anzeige

Kommentare

Keine Kommentare.

Anzeige