Adhäsiv befestigte vollkeramische Restaurationen erlauben in vielen Situationen eine defektbezogene und additiv ausgerichtete Präparationstechnik. Dadurch können klassische mechanische Verankerungskonzepte umgangen und weniger invasive Versorgungsmöglichkeiten verwirklicht werden. Allerdings ist die Beachtung spezifischer mechanischer Eigenschaften dieser Materialgruppe entscheidend für den klinischen Langzeiterfolg. Grundsätzlich handelt es sich bei Keramiken um Werkstoffe mit einem Sprödbruchverhalten. Gegenüber den ersten klinisch eingesetzten Materialen sind die heutigen Vollkeramiken erheblich fester und zuverlässiger geworden. Im Vergleich zu Metallen weisen sie dennoch eine weitaus geringere Festigkeit gegenüber Zugspannungen auf [1]. Druckbelastungen werden dagegen von Keramiken sehr gut toleriert. Diese spezifischen Eigenschaften haben direkte Auswirkungen auf die Präparationsgestaltung, die Materialauswahl beim Aufbau des Pfeilerzahns wie auch auf die Gestaltung der inneren Passung und des Okklusionskonzeptes. Präparationen sollten abgerundet gestaltet werden, da sich diese Abrundungen direkt auf die Innengeometrien vollkeramischer Restaurationen auswirken und damit der Zugang für die Schleifkörper während der CAD/CAM-Bearbeitung vereinfacht wird sowie Spannungskonzentrationen reduziert werden. Zudem sollte keine primäre Friktion (aktive Passform) im Sinne einer zu engen Passung vorliegen. Um Zugspannungen auf der Innenseite von Restaurationen zu vermeiden, sollte eine passive Passform angestrebt werden. Das Fehlen einer primären Retention (Friktion) erfordert allerdings in den meisten Fällen eine adhäsive Befestigung, um das Risiko eines vorzeitigen Retentionsverlustes zu reduzieren. Vor diesem Hintergrund sollte ein Probetragen von vollkeramischen Restaurationen generell nicht durchgeführt werden. Eine signifikante Festigkeitssteigerung infolge einer adhäsiven Befestigung erscheint bei Keramiken mit Biegefestigkeiten von über 350 MPa unwahrscheinlich [2,3]. Beim Okklusionskonzept kann eine Front-Eckzahn-geschützte dynamische Okklusion helfen, Scherbelastungen (Zugspannungen) innerhalb der keramischen Kauflächen von Seitenzähnen zu reduzieren und damit den langfristigen klinischen Erfolg zu erhöhen [4]. Die Einhaltung dieser Richtlinien trägt wesentlich zu einem klinischen Langzeiterfolg vollkeramischer Restaurationen bei.
Vollkeramische Veneers
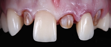
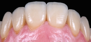
Adhäsiv befestigte vollkeramische Veneers stellen in vielen Indikationen eine zahnhartsubstanzschonende und langzeitstabile Alternative zu einer Versorgung mit Einzelkronen dar. Silikatbasierte Keramiken gelten aufgrund der günstigen optischen und mechanischen Eigenschaften als Material der Wahl zum Ersatz verloren gegangenen Zahnschmelzes. Der Erhalt von Zahnschmelzanteilen ist bei der Veneer-Präparation ein wesentlicher, den Erfolg bestimmender Faktor [5,6]. Für Veneer-Präparationen gelten klare Prinzipien, dennoch können sie, abhängig von der individuellen klinischen Situation (Zahnposition, Grad der Destruktion, Okklusionsverhältnisse, parodontales Umfeld etc.), äußerst flexibel in der Gestaltung sein (Abb. 1a und b). Dies gilt sowohl für die inzisale Gestaltung als auch für die interproximale Ausdehnung.
Zahntechnik: Oliver Brix, Bad Homburg
Prof. Dr. med. dent. Daniel Edelhoff
In einer retrospektiv angelegten Studie wurde für silikatkeramische Veneers eine klinische Überlebenswahrscheinlichkeit von 93,5% nach 10 Jahren und von 83% nach 20 Jahren festgestellt [7]. Die klinischen Zwischenergebnisse einer prospektiv angelegten klinischen Studie zu Veneers im Long-wrap-Design unter Auflösung des approximalen Kontaktpunktes sind vielversprechend. Allerdings ist die Datenlage wie auch zu Full-wrap-Veneers mit zirkulärer Präparation derzeit noch unzureichend (Abb. 1a und b, [8]). Als wesentliche Risikofaktoren für Veneers gelten Bruxismus, unzureichende Schmelzpräsenz sowie wurzelkanalbehandelte Zähne [5–7]. Die verfügbaren klinischen Langzeitdaten beziehen sich meistens auf Veneers aus konventionellen Glaskeramiken. Als häufigste Komplikationen konnten bei Feldspatkeramiken und konventionellen Glaskeramiken Frakturen und Abplatzungen festgestellt werden [9]. Da die Festigkeitswerte von Veneers aus Lithiumdisilikatkeramik (LS2) wie IPS e.max Press/CAD erheblich über denen von konventionellen Glaskeramiken angesiedelt sind und sie sich gleichermaßen zuverlässig adhäsiv befestigen lassen, können sehr hohe Überlebensraten angenommen werden [10–12].
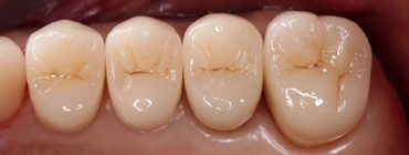
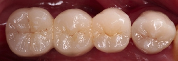
Vollkeramische Onlays und Teilkronen
Auch im Seitenzahnbereich stellen adhäsiv befestigte vollkeramische Teilrestaurationen eine gesicherte Therapieform dar [13,14]. Während sich die meisten klinischen Langzeitstudien auf leuzitverstärkte Glaskeramiken beziehen, werden heute vornehmlich wesentlich festere Varianten auf der Basis monolithischer LS2- Keramik verwendet [15,16]. Durch eine defektorientierte Präparation und die Umgehung retentiver Präparationsgeometrien bieten vollkeramische Onlays einen sinnvollen Weg zur Vermeidung zahnhartsubstanzfordernder traditioneller prothetischer Maßnahmen [15,16]. Auch wenn einerseits in aktuellen Statistiken in Deutschland eine stark rückläufige Kariesinzidenz auszumachen ist, häufen sich andererseits Hinweise auf die Gefahren erheblicher Zahnhartsubstanzschädigungen infolge von Biokorrosion, Attrition und Abrasion [17,18]. Mit zunehmender Inzidenz biokorrosiver Defekte, auch in generalisierter Ausprägung, treten veränderte Defektmorphologien der Zahnhartsubstanz in den Vordergrund. Damit richtet sich der Fokus restaurativer Maßnahmen heute im Seitenzahnbereich häufiger auf kauflächenorientierte Defekte, um eine angemessene Funktion, Ästhetik und Biomechanik zu rekonstruieren und weiterem pathologischem Verschleiß entgegenzuwirken.
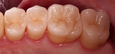
Im Hinblick auf die zum Teil extremen Veränderungen des okklusalen Reliefs durch Zahnverschleiß sind adhäsiv befestigte Okklusionsonlays aus hochfester Glaskeramik eine besser geeignete Restaurationsform als die doppelt so invasiven klassischen Vollkronen [19]. Durch die Einführung von LS2 (IPS e.max Press oder CAD), die gegenüber klassischen Silikatkeramiken eine höhere Biegefestigkeit und Risszähigkeit aufweist, haben sich die Richtlinien für die Abtragsraten glaskeramischer Onlays erheblich reduziert. Heute gelten hierfür okklusale Mindestschichtstärken von 1,0 mm für monolithische Restaurationen (Maltechnik) (Abb. 2a und b, [16]). Eine weitere Reduzierung dieser Schichtstärke bei Schmelzpräsenz wird zurzeit bei entsprechender Unterstützung durch Zahnschmelz diskutiert [20,21]. Glaskeramische Onlayschalen erscheinen aufgrund der schmelzähnlichen Eigenschaften und des optimalen Grenzflächenverhaltens sehr gut geeignet, abradierte und biokorrodierte Seitenzähne zu rekonstruieren [22]. Sie sind besonders zahnhartsubstanzschonend, solange man es vermeidet, über den Äquator hinaus in die Infrawölbung des Zahnes zu präparieren [19]. Für die Ausformung der Okklusalfläche stehen mit dem „OccluShaper“ (Komet Dental) neu eingeführte Schleifkörpergeometrien zur Verfügung, die eine anatoforme, konvexe Höckerunterstützung für das spätere Okklusionsonlay gewährleisten und gleichzeitig in der Zentralfissur genügend Freiraum für die Umsetzung eines „immediate side shift“ (ISS) durch den Zahntechniker schaffen [16].
Zahntechnik: Oliver Brix, Bad Homburg
Prof. Dr. med. dent. Daniel Edelhoff
Silikatkeramische Onlays zeigten in einer kontrollierten prospektiven klinischen Studie nach 12 Jahren zufriedenstellende Langzeitergebnisse und können auch bei ausgedehnten Zahnhartsubstanzdefekten eingesetzt werden [4]. In einer weiteren klinischen Studie mit Teilrestaurationen aus leuzitverstärkter Glaskeramik wurde nach einer Beobachtungsdauer von 12,6 Jahren an pulpavitalen Zähnen eine Misserfolgsquote von 20,9% ermittelt. An wurzelkanalbehandelten Pfeilerzähnen stieg die Quote jedoch auf 39% [14]. Vollkeramische Teilkronen aus IPS e.max Press erzielten in einer prospektiv angelegten klinischen Studie nach 7 Jahren eine Überlebensrate von 100% [15].
Vollkeramische Kronen
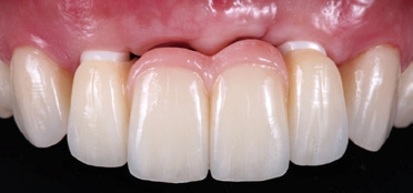
Vollkeramische Kronen im Frontzahnbereich stellen heutzutage eine ästhetisch hochwertige und zuverlässige Alternative zu metallkeramischen Kronen dar, sofern die korrekte Materialauswahl getroffen wird (Abb. 3a bis c). Kronen aus LS2 sind sehr gut in mehreren klinischen Langzeitstudien dokumentiert. Es liegen klinische Studien mit Beobachtungszeiten von bis zu 15 Jahren vor [23,24].
Zahntechnik: Oliver Brix, Bad Homburg
Prof. Dr. med. dent. Daniel Edelhoff
Prof. Dr. med. dent. Daniel Edelhoff
Für Frontzahnkronen aus LS2 mit Verblendung werden nach Beobachtungszeiträumen von 5, 8 und 10 Jahren Überlebensraten zwischen 93,8 und 96,8% dokumentiert [25–28]. Für verblendete Frontzahnkronen auf Basis von Zirkoniumoxidkeramik werden Überlebensraten zwischen 88,3 und 99,4% nach einer 5-jährigen Beobachtungsdauer berichtet [29–31]. Damit erreichen die dargestellten Systeme für vollkeramische Kronen im Frontzahnbereich vergleichbare Überlebensraten, wie sie auch für metallkeramische Kronen dokumentiert werden [32–34]. Die Eingliederung sollte abhängig vom Material und der klinischen Situation voll- oder semiadhäsiv mit Befestigungsmaterialien mit chemischer Aushärtung erfolgen. Bei ausreichender Stumpfhöhe (? 4 mm) und optimaler Präparationsform (6° bis 15° Konvergenzwinkel) scheint in ausgewählten Fällen auch eine konventionelle Befestigung mit Glasionomerzement möglich [2,25].
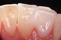
Auch vollkeramische Kronen im Seitenzahnbereich können vergleichbare Überlebensraten zu den als Goldstandard definierten metallkeramischen Varianten erzielen. Für Kronen aus LS2 mit Verblendung werden Überlebensraten von 95,8% nach einer Beobachtungszeit von 10 Jahren angegeben [25–28]. Die Überlebensraten für verblendete Seitenzahnkronen auf Basis von Zirkoniumoxidkeramik variieren stark und werden zwischen 79 und 98% angegeben [29,35]. Diese Bandbreite der Überlebensraten ist vornehmlich durch unterschiedlich hohe Frakturraten der Verblendkeramik, sog. Chipping, zu erklären. Monolithische Kronen auf Basis von LS2 zeigen höhere Festigkeiten als die verblendeten Varianten und erreichen im Seitenzahnbereich eine zufriedenstellende Ästhetik. Sie können auch auf Implantaten verwendet werden (Abb. 4a und c) [36,37].
Prof. Dr. med. dent. Daniel Edelhoff
Prof. Dr. med. dent. Daniel Edelhoff
Prof. Dr. med. dent. Daniel Edelhoff
Vollkeramische Adhäsivbrücken im Frontzahnbereich
Adhäsivbrücken können heute als Alternative zu einer Implantatversorgung für den Ersatz von Einzelzähnen im Frontzahnbereich eingesetzt werden, wenn Kontraindikationen für eine Implantation vorliegen, aufwendige chirurgische Verfahren umgangen werden sollen, ungünstige Platzverhältnisse für Implantate bestehen, das Patientenalter nicht adäquat oder ein Implantat nicht erwünscht ist [38]. Adhäsivbrücken werden heute vornehmlich auf der Basis von Gerüsten mit einem hohen EModul wie Nichtedelmetalllegierung oder Zirkoniumoxidkeramik hergestellt. Die empfohlenen Abtragsraten für Klebeflügel aus Keramik bewegen sich zwischen 0,5 und 0,7 mm [39]. Als weitere Voraussetzungen gelten pulpavitale, überwiegend karies- und füllungsfreie Pfeilerzähne ohne parodontale Lockerung, ausreichende Platzverhältnisse zum Antagonisten (ca. 0,8 mm) sowie die Präsenz eines ausreichenden Zahnschmelzareals [38].
In den 1990er-Jahren führte die Verfügbarkeit einer infiltrierten Aluminiumoxidkeramik zum ersten Einsatz 2-flügeliger vollkeramischer Adhäsivbrücken in einer klinischen Studie, in der sich im weiteren Verlauf das Konzept der 1-flügeligen Adhäsivbrücke auf Zirkoniumoxidbasis als vorteilhaft erwies [38,39]. Daten aus einer klinischen Studie zeigen für 1-flügelige Adhäsivbrücken auf Zirkoniumoxidbasis, dass nach über 4 Jahren Liegedauer noch 100% der 15 Versorgungen in Funktion standen [40]. Diese Ergebnisse konnten durch eine klinische Langzeitstudie mit 108 1-flügeligen Adhäsivbrücken auf Zirkoniumoxidbasis und einer Liegedauer von 10 Jahren bestätigt werden, in der eine Überlebensrate von 98,2% und eine Erfolgsrate von 92% ermittelt werden konnten [41]. In ausgewählten Fällen können 1-flügelige Adhäsivbrücken auch auf Basis von Lithiumdisilikatkeramik angefertigt werden (Abb. 5a und b) [42]. Die Eingliederung sollte immer volladhäsiv unter Schmelzätzung durchgeführt werden. Bei Adhäsivbrücken auf Zirkoniumoxidbasis sollte die Flügeloberfläche unter moderatem Korundstrahlen sowie anschließender Verwendung eines MDP-haltigen Befestigungssystems erfolgen [43,44].
Zahntechnik: Oliver Brix, Bad Homburg
Prof. Dr. med. dent. Daniel Edelhoff
Konventionelle Brücken aus Vollkeramik
Vollkeramische Brücken im Frontzahnbereich stellen eine ästhetisch hochwertige und zuverlässige Alternative zu metallkeramischen Brücken dar. Voraussetzung sind allerdings eine adäquate Indikationsstellung und eine korrekte Materialauswahl (Abb. 6a und b). Zu 3-gliedrigen Frontzahnbrücken aus Zirkoniumoxidkeramik mit Verblendung werden Überlebensraten von 88,9 bis 100% nach einer Beobachtungsdauer von bis zu 6 Jahren angegeben [29,45–47]. Monolithische 3-gliedrige Brücken aus LS2 lieferten nach 10 Jahren ebenfalls hohe Überlebensraten [48]. Das ästhetische Erscheinungsbild ist jedoch gegenüber verblendeten Varianten eingeschränkt. In Studien mit weitspannigen Brücken aus Zirkoniumoxidkeramik mit Verblendung zeigten sich erhöhte Misserfolgsraten, die weniger häufig die Gerüststruktur als vielmehr die Verblendkeramik betrafen [49,50]. Die Überlebensraten 3-gliedriger vollkeramischer Frontzahnbrücken aus den aufgeführten Materialien sind vergleichbar mit solchen aus Metallkeramik [32,51].
Zahntechnik: Oliver Brix, Bad Homburg
Prof. Dr. med. dent. Daniel Edelhoff
Vollkeramische Brücken im Seitenzahnbereich stellen aufgrund der Datenlage nur eingeschränkt eine ästhetisch hochwertige und zuverlässige Alternative zu metallkeramischen Brücken dar. 3-gliedrige Brücken aus monolithischer LS2 sollten nur zum Ersatz des 1. Prämolaren eingesetzt werden [48,52]. Sie bieten gegenüber den verblendeten Varianten den Vorteil, dass die festere Gerüstkeramik bis an die Außenkontur der Brücke ausgedehnt und durch den Verzicht der Verblendkeramik der geforderte Verbinderquerschnitt zwischen Brückenanker und Brückenzwischenglied häufiger umgesetzt werden kann. 3-gliedrige Seitenzahnbrücken aus Zirkoniumoxidkeramik mit Verblendung zeigten in klinischen Studien nach 10 Jahren zufriedenstellende Langzeitergebnisse [53,54]. Die Überlebenswahrscheinlichkeit wurde für 3- bis 5-gliedrigen Seitenzahnbrücken aus Zirkoniumoxidkeramik mit Verblendung mit 91,3% und für die metallkeramischen Varianten mit 100% berechnet [54].
Als eine der Hauptkomplikationen wurde in zahlreichen Studien die Abplatzung der Verblendkeramik identifiziert, und zwar unabhängig von der Verblendtechnik, Sinter- oder Überpresstechnik [55,56]. Zu Seitenzahnbrücken auf Basis der CAD-on-Technik, bei der eine LS2-Keramik als Verblendmaterial verwendet wird, existiert zurzeit noch keine ausreichende Anzahl an klinischen Studien (Abb. 7a bis c, [57]). In einer klinischen Studie konnte nach 12 Monaten für diese Verblendtechnik eine geringere Neigung zu größeren Abplatzungen der Verblendanteile nachgewiesen werden [58]. Konventionell verblendete Zirkoniumoxidbrücken auf Implantaten zeigten in mehreren klinischen Studien ein deutlich erhöhtes Risiko, von Abplatzungen betroffen zu sein [56]. Als Material für langspannige Brücken gilt aufgrund der heutigen Studienlage die Metallkeramik noch immer als der Goldstandard. Brücken aus monolithischer Zirkoniumoxidkeramik scheinen eine vielversprechende Alternative zu sein. Allerdings sind sie bislang in klinischen Studien noch nicht hinreichend untersucht [56].
Prof. Dr. med. dent. Daniel Edelhoff
Prof. Dr. med. dent. Daniel Edelhoff
ZT Josef Schweiger, LMU München
Die Eingliederung vollkeramischer Brücken kann abhängig vom Material und der klinischen Situation voll- (z.B. Multilink Automix) oder semiadhäsiv (z.B. SpeedCEM Plus) mit Befestigungsmaterialien mit chemischer Aushärtung erfolgen. Eine konventionelle Befestigung mit Zinkoxidphosphatzement oder Glasionomerzement birgt bei vollkeramischen Brücken aufgrund der geforderten passiven Passung das Risiko eines Retentionsverlustes an einem der Brückenanker. Daher wird eine konventionelle Befestigung, vor allem im Unterkieferseitenzahnbereich, aufgrund einer erhöhten Anzahl an Retentionsverlusten in einigen Langzeitstudien als kritisch eingestuft [49,50]. Generell sollte beachtet werden, dass der Platzbedarf für vollkeramische, aus Gerüst- und Verblendstruktur bestehende Brücken deutlich höher einzustufen ist als für metallunterstützte Systeme [60]. Die verfügbare vertikale Höhe des Pfeilerzahns (? 4 mm) unter Berücksichtigung der statischen und dynamischen Okklusion stellt damit ein Schlüsselelement für die Stabilität des Verbinders zwischen Brückenanker und Brückenzwischenglied vollkeramischer Brücken dar.
Schlussfolgerungen
- Für vollkeramische Einzelzahnrestaurationen aus Lithiumdisilikatkeramik sind mehrere klinische Langzeitstudien mit Beobachtungszeiträumen von weit mehr als 10 Jahren verfügbar, die ein zuverlässiges Langzeitverhalten belegen. Damit haben sie sich in vielen Bereichen der restaurativen Zahnheilkunde als Alternative zu metallkeramischen Restaurationen etabliert und erreichen indikations- und materialabhängig, verblendet oder monolithisch vergleichbare Überlebensraten.
- 3- bis 5-gliedrige Brücken mit Gerüststrukturen aus Zirkoniumoxid erzielten in Langzeitstudien ähnliche Überlebensraten wie metallkeramische Varianten.
- Das IPS e.max-Vollkeramiksystem deckt in einzigartiger Weise die aufgezeigten Indikationsbereiche ab und ist in klinischen Langzeitstudien hervorragend dokumentiert.
Bildquellen sofern nicht anders deklariert: Unternehmen, Quelle oder Autor/-in des Artikels
Entdecke CME Artikel




Keine Kommentare.