Einzigartiger Chamäleon-Effekt
Der Chamäleon-Effekt
Ivoclar Vivadent GmbH
Dünne Randbereiche
Ivoclar Vivadent GmbH
Einfache und effiziente Anwendung
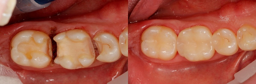
Restaurationen aus Tetric CAD lassen sich schnell im CEREC MCXL-Gerät mit den üblichen diamantierten Schleifern bearbeiten. Die Oberflächen werden mit handelsüblichen Composite-Polieren, z.B. OptraPol in sehr kurzer Zeit auf Hochglanz poliert.
Nachträgliche Korrektur
Ivoclar Vivadent GmbH
Befestigung von Tetric CAD
Hochleistungs-Composite werden lege artis nach dem bewährten adhäsiven Befestungsprotokoll auf Schmelz und Dentin verklebt. Zur Konditionierung der Composite-Oberfläche wird diese zuvor mit 50 mµ AlO2 angestrahlt. Nach dem Konditionieren mit Adhese® Universal werden sie z. B. mit Variolink® Esthetic adhäsiv eingegliedert.
Ivoclar Vivadent GmbH
| "Tetric CAD for CEREC" testen Fordern Sie hier Ihre kostenlose Test-Packung an! Sie erhalten diesen Testblock in Kombination mit einer persönlichen Beratung über die klinische Anwendung von Tetric CAD in Ihrer CEREC-Praxis. |
Bildquellen sofern nicht anders deklariert: Unternehmen, Quelle oder Autor/-in des Artikels
Entdecke CME Artikel





Keine Kommentare.