Die Diagnostik in der Zahnmedizin wurde in den vergangenen Jahren durch die Einführung der dentalen Volumentomographie (DVT) erweitert. Dabei hat sich die Indikationsstellung in den letzten Jahren der Weiterentwicklung dieser Technologie angepasst und an Bedeutung zugenommen (Abb. 1). Die dreidimensionale Darstellung der Mund-, Kiefer- und Gesichtsregion visualisiert Informationen, die bei einer konventionellen Projektionsaufnahme aufnahmebedingt nicht dargestellt werden können. Nichtsdestotrotz sind die konventionellen, digitalen Aufnahmeverfahren der Standard in der radiologischen Diagnostik der Zahn-, Mund- und Kieferheilkunde. Die genaue präoperative Diagnostik ist jedoch besonders bei der Detektion und Behandlungsplanung von Tumoren im Kopf-Hals-Bereich von entscheidender Bedeutung. Tumoren in diesem Bereich unterscheiden sich von denen anderer Regionen, da es sich hier um eine hochfunktionale Region mit besonders wichtigen anatomischen Strukturen handelt. Diese Strukturen erlauben in der Regel keine ausgedehnten Resektionen, da diese physiologische Vorgänge extrem beeinflussen würden.
Ca. 5 % aller bösartigen Neubildungen finden sich in der Mundhöhle. Die Inzidenz beträgt ca. 600.000 Neuerkrankungen pro Jahr. In ca. 12 bis 56 % aller Patientenfälle mit Mundhöhlenkarzinom liegt eine Infiltration der Kieferknochen vor. Der Ausbreitungsgrad des Tumors wird anhand der Stadienbestimmung („Staging“) mithilfe der TNM-Klassifikation definiert: Primärtumor (T), lokoregionäre Lymphknoten (N), Metastasen (M) (hier: UICC Stage, Union internationale contre le cancer). Diese Klassifikation, als ein Teil der primären Diagnostik, ist für die Therapie von entscheidender Bedeutung. Studien konnten zeigen, dass z. B. eine Knocheninfiltration mit einem aggressiven Tumorwachstum und einer schlechten Prognose korreliert. Die präoperative bildgebende Diagnostik, die neben der allgemeinen Untersuchung durchzuführen ist, hat vier wesentliche Ziele: das Erkennen des Tumors, die Beurteilung des Tumorausmaßes, die Detektion von regionalen Lymphknotenmetastasen und das Erkennen einer möglichen Knocheninfiltration.
Die zur Verfügung stehenden radiologischen Untersuchungstechniken wie Panoramaschichtaufnahme (OPG)/intraorale Aufnahmen, Computertomographie (CT), Positronenemissionstomographie (PET), PET/CT, dentale Volumentomographie (DVT) und Magnetresonanztomographie (MRT) werden durch nicht radiologische Verfahren wie Ultraschall sowie Knochenszintigraphie ergänzt, können aber die klinische und histologische Untersuchung als wichtigste diagnostische Maßnahmen nicht ersetzen.


Radiologische Diagnostik
Die drei bekanntesten dreidimensionalen Bildgebungen imponieren dabei mit unterschiedlichen Vor- und Nachteilen:
- Die Computertomographie (CT) ist nach wie vor das am häufigsten angewendete Verfahren. Die Vorteile liegen in einer guten Darstellung der Tumorläsion, des umgebenden Weichgewebes und der möglichen Knocheninfiltration. Andrle et al. konnten feststellen, dass die Computertomographie eine hohe Spezifität in der Erkennung von Knocheninfiltration aufweist (Quellenangabe). Ebenso weist die CT eine hohe Sensitivität in der Erkennung von besonders kleinen Arealen der Knocheninfiltration auf [7]. Nachteile der CT sind die geringere Auflösung, die hohe Strahlenbelastung sowie die ausgeprägten Metallartefakte, wie z. B. bei metallischen Restaurationen.
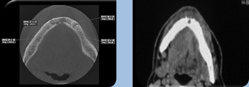
- Die digitale Volumentomographie (DVT) liefert die höchste Auflösung von knöchernen Strukturen, die Darstellung und/oder Differenzierung von Weichgewebe ist jedoch nicht möglich. Vorteile sind die geringen Kosten und die im Vergleich zur CT reduzierten Metallartefakte. Nachteilig hingegen sind der geringe Weichteilkontrast und die Gewebedifferenzierung (Abb. 2 u. 3).
- Die Magnetresonanztomographie (MRT) liefert den besten Weichgewebekontrast. Dies macht sie besonders sensitiv in der Detektion von kleinen, im Frühstadium befindlichen Mundhöhlenkarzinomen. Die MRT weist eine hohe Spezifität und geringe Sensitivität in der Beurteilung der Knocheninfiltration auf. Vorteile sind die fehlende Strahlenbelastung sowie die geringe Ausprägung von Metallartefakten. Nachteile sind der Geräuschpegel, die lange Scandauer und die damit verbundene Gefahr von Bewegungsartefakten (Abb. 4 u. 5).
Prinzip der DVT
Das Rekonstruktionskonzept beruht, ähnlich wie bei der CT, meist auf einer Rückprojektion von Bildinformationen in eine vorgegebene Matrix. Das Röntgenröhren- Detektorsystem rotiert um das zu untersuchende Objekt und erfasst, hervorgerufen durch oftmals gepulste Röntgenstrahlung, sogenannte Fluoroskopien. Während einer einzigen Untersuchung werden so, je nach Hersteller und Gerätetyp, ca. 200 bis 800 einzelne Durchleuchtungen erzeugt. In einem Rechenprozess, der heute dank der immer schneller werdenden Rechnerleistung nur noch wenige Minuten dauert, werden diese Daten zu einem Volumen verarbeitet – der Primärrekonstruktion. Wesentliche Unterschiede zur CT sind zum einen das kegelförmige (engl.: cone beam) Strahlenbündel sowie die fehlende Bewegung des Patienten entlang der Körperlängsachse durch die Gantry, d.h also der der Ringtunnel, durch den der Patient bzw. ein Körperteil während der Untersuchung bei der CT hindurchgefahren wird.
Qualität der DVT-Aufnahmen
Es ist allgemein bekannt, dass bei der Akquisition einer digitalen Volumentomographie (DVT) mit Artefakten wie Aufhärtungen und Abschwächungen gerechnet werden muss. Obgleich die Rekonstruktionszeit erheblich reduziert wurde, die Auflösung der Aufnahmen immer höher wird und die Bildqualität ständig zunimmt, stellen Artefakte ein stets präsentes Problem in der Verfahrenskette dar. In manchen Fällen machen diese Artefakte gerade für den Ungeübten eine Bildanalyse unmöglich. In der Literatur werden Artefakte wie z. B. Auslöschungs- und Aufhärtungsartefakte beschrieben (Abb.6 u. 7). Sie sind technisch bedingt, während eine andere, sehr wichtige Ursache dieser Artefakte im Patienten selbst zu sehen ist. Da die Belichtung in der Regel mehr als ein paar Sekunden dauert und der Patient im Gegensatz zu der entwicklungsbezogenen These kein statisches Objekt darstellt, kann es passieren, dass er seinen Kopf während der Aufnahme bewegt. In diesem Fall findet man im rekonstruierten Datensatz sogenannte Bewegungsartefakte, die die Bildqualität erheblich beeinflussen können (Abb. 8).

Das Grundgerüst der fertig rekonstruierten Datensätze sind die Voxel (engl.: volumetric element). Sie stellen zugleich die kleinste Baueinheit dar und sind bei der DVT in aller Regel isotrop, also würfelförmig. Die CT hingegen liefert oftmals – abhängig von der selektierten Schichtdicke – anisotrope Voxel.
Bildbearbeitung/Software
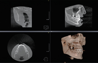
Durch weitere Rechenprozesse können die Daten auf verschiedenste Weise dargestellt werden. Die multiplanaren Rekonstruktionen (MPR) stellen die sinnigste Weiterverarbeitung der Daten dar. Hierbei wird das Volumen durch senkrecht zueinander stehende Ebenen zerlegt, wodurch die Ansichten axial, sagittal und koronal erzeugt werden, ergänzt durch die oberflächengerenderte Ansicht (Abb. 9). Das Angebot entsprechender Bildbearbeitungsprogramme ist vielfältig, zumeist wird das DVT-Gerät mit einer adäquaten Software installiert und eingerichtet – ab diesem Zeitpunkt ist nun der/die Anwender/-in gefordert. In Deutschland ist die Absolvierung eines DVT-Kurses vor Inbetriebnahme eines DVT-Gerätes gesetzlich vorgeschrieben.

Im Rahmen der neuen Grundnorm 2013/59/Euratom, welche von allen EU-Mitgliedsländern bis 2018 umgesetzt werden muss, wird sich hier auch vom Gesetzgeber noch einiges ändern. Die nach § 28 RöV verpflichtende Erhebung und Aufzeichnung eines Befundes (Bundesregierung BRD, 2002) gilt für das gesamte dargestellte Volumen (S2k-Leitlinie Dentale digitale Volumentomographie Version Nr. 9 vom 5. August 2013). Und hier liegt das Hauptproblem. Der Zeitmangel, sich im täglichen Praxisablauf mit den Daten auseinanderzusetzen (die Zeitspanne für die komplette Bearbeitung eines Datensatzes reicht je nach Größe des Datensatzes von 10 bis 45 Minuten), das Aufkommen von Besonderheiten und vor allem die limitierte Erfahrung des Befunders können über kurz oder lang zu fehlenden oder fehlerhaften Befunden führen (Abb. 10). Ein weiteres Problem ist die fehlende Aus- und Weiterbildung. So ist bis zum heutigen Zeitpunkt, mehr als zehn Jahre nach Einführung der Volumentomographie, keine Notwendigkeit gesehen worden, eine Spezialisierung oder geschweige denn einen Facharzt auf dem Gebiet der bildgebenden Diagnostik in der Zahnmedizin in Deutschland einzuführen. Man benötigt lediglich den sogenannten „DVT Sach- und Fachkundekurs“.
Indikationen der Volumentomographie
Die klinischen Indikationen der DVT haben im Laufe der Jahre zugenommen und sind nicht mehr allein auf das Fachgebiet der Zahn-, Mund- und Kieferheilkunde begrenzt. Fachübergreifende Indikationen, wie z. B. die Tumordiagnostik, involvieren die HNO, die plastische Kieferchirurgie und die allgemeine Chirurgie in die Diagnostik und Behandlungsplanung.
Empfehlungen und Leitlinien
Die Deutsche Gesellschaft für Mund-, Kiefer- und Gesichtschirurgie empfiehlt in ihrer S3-Leitlinie die Durchführung einer CT oder MRT zur Beurteilung des Tumorausmaßes und der Knocheninfiltration. Dabei gibt es keine Daten für den Vorteil von MRT oder CT. Ebenso sieht die Leitlinie keine gesicherte Evidenz in der Anfertigung einer DVT zur Beurteilung der Knocheninfiltration [3].
Medizinische Leitlinien stellen keine Rechtsnormen dar, die die Judikative binden. Sie können von Fall zu Fall die im Verkehr erforderliche Sorgfalt gemäß § 276 BGB konkretisieren, wenn sie die Anschauung der Verkehrskreise in einer Art und Weise definieren, die ein Abweichen als unvernünftig und gefahrerhöhend erscheinen lässt. Betreffen Leitlinien den Kern ärztlicher Tätigkeit, stellen sie lediglich Anhaltspunkte dar. In keinem Fall ersetzt ihre kritiklose Befolgung den individuellen Entscheidungsprozess im jeweiligen Einzelfall. Die europäischen Guidelines (Radiation Protection No 172, Cone beam CT for dental and maxillofacial radiology [Evidence-based guidelines]) ISSN 1681-6803 empfehlen ebenfalls den Einsatz einer DVT sorgfältig abzuwägen, so die konventionellen Verfahren unbefriedigende Ergebnisse liefern. Mehr Infos gibt es im Netz*
Tumorklassifikation und -Diagnostik
Die Tumoren werden histologisch klassifiziert und sind in gutartige und bösartige unterteilt. Zu nennen sind hierbei 1. die Neoplasien und andere Tumoren des odonotogenen Apparates (gutartige und bösartige Läsionen), 2. Neoplasien und andere Knochenläsionen der Kiefer und 3. epitheliale Zysten. Eine Aufstellung der verschiedenen Tumoren und deren Klassifizierung finden Sie ganz unten als PDF zum Download.
Odontogene Tumoren
Odontogene Tumoren entwickeln sich vorwiegend aus embryonalen Geweberesten der Zahnanlage und entsprechen unterschiedlichen Stadien der Zahnentwicklung. Die meisten odontogenen Tumoren sind benigne (gutartige), hamartomatöse (geschwulstartige) Fehlbildungen.
Nichtodontogene Tumoren des Kieferknochens

Nichtodontogener, benigner Tumor des Bindegewebes
Granuloma gigantocellulare (tumorähnliche Läsion).
Zentrales Riesenzellgranulom
Das zentrale Riesenzellgranulom ist die häufigste riesenzellhaltige tumorähnliche Veränderung des Kiefers. Die Ätiologie ist unbekannt, diskutiert werden Blutungen oder Traumatisierung. Es kommt nur im Kiefer, nicht im übrigen Skelettsystem vor. Der Unterkiefer ist häufiger betroffen als der Oberkiefer. Es tritt bei jungen Patienten (10 bis 25 Jahre) und häufiger beim weiblichen Geschlecht auf***. Es verändert sich benigne reaktiv, daher metastasiert es nie (im Gegensatz zu den echten Riesenzelltumoren). Beim radiologischen Befund findet man scharf begrenzte, manchmal polyzystische Osteolysen, gelegentlich Resorptionen der Zahnwurzeln, Verdrängung von Zähnen und Zahnkeimen sowie Verschattungen der Nebenhöhlen (Abb. 12–14).


Odontogener, benigner Tumor des odontogenen Epitheliums
Unizystisches Ameloblastom
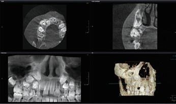
Das Ameloblastom**** ist der häufigste odontogene Tumor (18 %). Es entsteht aus Epithelresten der Zahnleiste und des Malassez‘schen Epithels sowie des Schmelzorgans. Es kann sich auch auf dem Boden einer odontogenen Zyste (follikuläre Zyste, kalzifizierende odontogene Zyste oder Keratozyste) bilden. Der Häufigkeitsgipfel liegt in der 3. und 4. Lebensdekade, vor dem 18. Lebensjahr kommt es äußerst selten vor. Das Ameloblastom ist in mehr als 75 % der Fälle im Unterkiefer lokalisiert, davon ca. 50 % in der Molarenund Prämolarenregion. Radiologisch gibt es keine beweisenden Kennzeichen. Typisch ist eine uni- oder multilokuläre, seifenblasen- bis honigwabenartige Osteolyse. Zahnwurzelresorptionen, Zahnverdrängung oder eingeschlossener Zahn sind möglich (Abb. 15 u. 16).

Odontom
Das Odontom stellt die letzte Stufe der hamartomatösen Entwicklungsreihe der odontogenen Tumoren dar*****.
Komplexes

Zusammengesetztes Odontom (Synonyme: Verbund- Odontom, Compound-Odontom)*****

Mundhöhlenkarzinom
Der Begriff Mundhöhlenkarzinom umschließt alle bösartigen Tumoren der Mundhöhle und Zunge, hierbei handelt es sich in 80 bis 90 % der Fälle um Plattenepithelkarzinome. Andere Tumorarten, wie das von den seromukösen Schleimhautdrüsen ausgehende Adenokarzinom, sind selten. Mundhöhlenkarzinome gehören zur Klasse der Kopf-Hals-Tumoren. Hauptrisikofaktoren für das Auftreten eines Mundhöhlenkarzinoms sind chronischer Tabak- oder Alkoholmissbrauch; andere Faktoren sind wesentlich seltener. Weiterhin ist der Gebrauch von Kautabak ein prädisponierender Faktor für die Entstehung eines Mundhöhlenkarzinoms. Neben dem Konsum von Tabak oder Alkohol kann auch eine einseitige Ernährung, wie ein übermäßiger Konsum von Fleisch oder gebratenem Essen, die Gefahr einer Karzinomentstehung in der Mundhöhle erhöhen. Die Karzinome der Mundhöhle treten überwiegend nach der 5. Lebensdekade auf und haben einen Gipfel zwischen dem 60. und 70. Lebensjahr. Männer sind doppelt so häufig betroffen wie Frauen.
Pathologie/Entstehung
Das Entstehen eines Mundhöhlenkarzinoms vollzieht sich in den seltensten Fällen ohne Präkanzerosen, welche – abhängig von der Wahrscheinlichkeit einer Entartung – in fakultative (geringe Wahrscheinlichkeit) und obligate (Wahrscheinlichkeit ? 30 %) Präkanzerosen unterteilt werden. Eine fakultative Präkanzerose des Mundhöhlenkarzinoms ist die Leukoplakie, die sich am häufigsten auf der Wangenschleimhaut und im Mundwinkel findet. Die obligaten Präkanzerosen sind insgesamt seltener als Leukoplakien und häufig schon zum Zeitpunkt der Diagnose bösartig (maligne) entartet.
Nach einer Studie des DÖSAK (Deutsch-Österreichisch- Schweizerischer Arbeitskreis für Tumoren im Kiefer- und Gesichtsbereich) sind etwa 45 % aller Mundhöhlenkarzinome am Mundboden lokalisiert. Die Tumoren an der Zunge (Zungenkrebs) folgen mit ca. 20 %. Weitere Lokalisationen, jedoch deutlich seltener, sind in der Reihenfolge ihrer Häufigkeit Gingiva, Oberlippe und Wangenschleimhaut. Der Mundhöhlenkrebs entsteht oft multifokal, was die hohe Rezidivquote erklärt.
Morphologie
Die beiden Formen des Wachstums des Mundhöhlenkarzinoms unterscheiden sich prognostisch voneinander. Ulzeröse (chronische) Form: Diese nach innen (endophytisch) wachsende Form besitzt in der Regel einen Zerfallskrater und ihre Prognose ist abhängig von der Lokalisation – so ist sie z. B. an der Lippe besser als am Mundboden oder an der Zunge. Die ulzeröse Form macht etwa 99 % aus. Histologisch handelt es sich hier um ein geringgradig differenziertes Plattenepithelkarzinom. Verruköse (warzenartige) Form: Diese nach außen (exophytisch) wachsende Form macht etwa 1 % aus. Der Tumor wächst langsam und metastasiert später. In der Histologie handelt es sich um hochdifferenzierte Plattenepithelkarzinome.
Differenzialdiagnosen
Nicht selten werden orale Karzinome als Prothesendruckstellen fehlgedeutet und über einen längeren Zeitraum nicht adäquat behandelt. Die meisten Mundhöhlenkarzinome können durch Inspektion diagnostiziert werden. Grundsätzlich bedürfen alle suspekten Befunde der Mundschleimhaut, die nicht sicher als nicht maligne einzuordnen sind, einer histologischen Abklärung. Die meisten bösartigen Tumoren der Mundhöhle sind Plattenepithelkarzinome.
Therapeutische Konzepte
Für die Frage nach der besten Therapie des Mundhöhlenkarzinoms konnten keine verwertbaren Studien gefunden werden. Die einzige publizierte prospektive randomisierte Studie, welche die Überlebensraten nach chirurgischer Therapie in Kombination mit adjuvanter Strahlentherapie mit der alleinigen Radiochemotherapie verglich, war wegen zu geringer Fallzahlen statistisch nicht aussagekräftig. Eine Vielzahl nicht randomisierter retrospektiver oder monozentrischer Studien beschreibt Überlebensraten oder die Lebensqualität sowohl nach chirurgischer Therapie als auch nach Strahlentherapie. Wegen ist aus ihnen jedoch keine Empfehlung bezüglich der besten Therapiemodalität abzuleiten (S3-Leitlinie, Mundhöhlenkarzinom, S. 35f). Postoperativ spielt die orale Rehabilitation eine bedeutende Rolle, da diese großen Einfluss nicht nur auf die Wiederherstellung der physiologischen Vorgänge, sondern auch auf die Lebensqualität des Patienten hat. Dieser wichtige psychosoziale Effekt hat, meiner Erfahrung nach, eine nicht zu unterschätzende Auswirkung auf die Lebenseinstellung und Regenerationsfähigkeit und -willigkeit der Patienten.
* http://www.awmf.org/leitlinien/detail/ll/007-100OL.html, www.sedentexct.eu.
**https://radiopaedia.org/articles/paranasal-sinus-osteoma
*** http://www.med-college.hu/de/wiki/artikel.php?id=36&lan=1&s=zentrales%20riesenzellgranulom
**** https://radiopaedia.org/articles/ameloblastoma, http://www.med-college.hu/de/wiki/artikel.php?id=26&lan=1&s=ameloblastom
*****http://www.med-college.hu/de/wiki/artikel.php?id=27&lan=1&s=odontom#4, https://radiopaedia.org/articles/odontoma
DanksagungDiese Publikation entstand in Zusammenarbeit mit Dr. Daniel |
|---|
Weiterführende Links
Bildquellen sofern nicht anders deklariert: Unternehmen, Quelle oder Autor/-in des Artikels
Entdecke CME Artikel





Keine Kommentare.