Diese Voraussetzungen ermöglichen nicht nur den Erhalt bzw. die Rekonstruktion der rot-weißen Ästhetik, sondern sie können auch zu einem langzeitstabilen Ergebnis der implantatprothetischen Versorgung führen. Nach Zahnextraktion stehen dem Behandelnden zahlreiche Möglichkeiten zur Verfügung, um den Alveolarfortsatz in horizontaler und vertikaler Richtung mittels einer Ridge bzw. Socket Preservation weitestgehend zu erhalten. Ein minimal-invasives Vorgehen ohne umfangreiche Augmentationsmaßnahmen wird dabei von der Mehrzahl der Patienten offensichtlich bevorzugt [1,2].
Neben der Versorgung der Extraktionsalveole mit autologem, allogenem oder xenogenem Knochen, kann ein Kammerhalt minimal-invasiv u.a. auch mittels einer Weichgewebsaugmentation oder einer Sofortimplantation erfolgen. Eine Sofortimplantation (immediate implant placement, Type 1) erfolgt gemäß den ITI-Konsensuskonferenzen aus 2003 und 2008 unmittelbar nach Zahnextraktion [3,4] und kann im ästhetisch sichtbaren Bereich zu einem guten hart- und weichgeweblichen Kammerhalt und zu einem ästhetischen Weichteilprofil beitragen [5-7]. Allerdings scheint das Risiko für eine Rezessionsbildung bei der Typ 1-Implantatversorgung erhöht zu sein [5,8].
Als mitentscheidend für die Rezessionsprävention und für den Implantaterfolg gelten u. a. der Phänotyp des Patienten und der Zustand der bukkalen Knochenlamelle der Extraktionsalveole [7,9]. Ein dicker Phänotyp und eine intakte bukkale Knochenwand scheinen sich dabei positiv auf die Vermeidung einer Rezessionsbildung auszuwirken [5]. Auch bei infolge einer Parodontitis kompromittierten Extraktionsalveolen scheint eine Ridge Preservation zu guten kurzfristigen Ergebnissen zu führen, wie in einem aktuellen systematischen Review festgestellt wurde [10].
Neben dem primären Erhalt des Alveolarkamms ist von hohem Interesse, zu welchen Langzeitergebnissen die implantatprothetische Versorgung führt. Die Gestaltung des Implantat-Abutment Interface scheint dabei einen positiven Einfluss für den Erhalt des krestalen periimplantären Knochens zu haben [11-13]. Ein so genannter „Platform- Switch“ bzw. „Platform Shift“ führt dazu, dass der Mikrospalt zwischen Abutment und Implantat nach innen und somit weiter von der periimplantären Weichgewebsmanschette entfernt zu liegen kommt.
Diese Positionierung des Mikrospalts soll dazu führen, dass Belastungs- und Biegemomente zwischen Implantat und Abutment nicht direkt auf den krestalen Knochen wirken können und es somit zu einem knochenprotektiven Effekt kommt [14,15]. Als weitere knochenprotektive Effekte werden eine geringere Belastung des periimplantären Weich- und Hartgewebes mit Entzündungszellen [13,16] oder/und Titanpartikeln aus dem Mikrospalt angenommen. Letztere können infolge einer so genannten „Tribokorrosion“ entstehen, die in der Folge zu Fremdkörperreaktionen führt, die sich ebenfalls negativ auf den periimplantären Knochen auswirken können [17,18].
Monolithische Zirkonoxidrestaurationen haben in den letzten Jahren an Bedeutung gewonnen. Waren diese zu Beginn ihrer Markteinführung noch aufgrund der fehlenden Transluzenz noch nicht als Restaurationsmaterial im ästhetisch sichtbaren Bereich geeignet, hat die Entwicklung der Yttrium-tetragonalen Phase (YTZ-P) im Zirkonoxid zu einer erheblichen Verbesserung der Ästhetik [19,20] sowie zu einer gleichzeitigen Verbesserung der mechanischen Eigenschaften geführt, da eine Verblendung des Materials nicht mehr notwendig ist, wodurch häufig beobachtete mechanische Komplikationen wie ein Chipping der Verblendkeramik, vermieden werden [21]. Im vorliegenden Patientenfall wird die Versorgung eines Patienten mit einer chronischen Parodontitis mittels Titanimplantaten und Abutments nach dem Platform Shift-Konzept und verschraubten monolithischen Zirkonoxidbrücken im Ober- und Unterkiefer-Frontzahnbereich vorgestellt.
Fallbeschreibung
Dr. Manolakis
Dr. Manolakis
Beide Zähne wurden im Zuge der notwendigen parodontalen Vorbehandlung und der prothetischen Reevaluation extrahiert. Alle anderen Zähne wurden als erhaltungswürdig eingestuft und im Kiefer belassen. Auf Wunsch des Patienten und weil ein Durchbruch der verlagerten und impaktierten Weisheitszähne 28 und 38 nicht zu erwarten war, wurde von einer chirurgischen Entfernung der beiden Zähne Abstand genommen.
Der Patient hatte keine chronischen Allgemeinerkrankungen und nahm keine Medikamente ein. Er gab an, pro Tag drei Zigarillos zu rauchen.
Chirurgisches Vorgehen
Nach Abschluss der Vorbehandlungsmaßnahmen erfolgte die Implantatinsertion in Lokalanästhesie (Artikamine 1:100.000, Adipharm, Griechenland) im Ober- und Unterkiefer-Frontzahnbereich in zwei getrennten Sitzungen. Im vorliegenden Fall war eine Sofortimplantation vorgesehen. Im Oberkiefer sollten drei Implantate inseriert werden, während im Unterkiefer aufgrund der eingeschränkten Platzverhältnisse zwei Implantate verwendet werden sollten.
Die Implantatinsertion erfolgte freihändig ohne vorherige digitale Planung oder Einsatz einer Bohrschablone. Im Oberkiefer wurden in die Extraktionsalveolen der Zähne 12, 21 und 22 drei BEGO Semados RS-Implantate (BEGO Implant Systems GmbH & Co. KG, Bremen, Deutschland) mit einer Länge/einem Durchmesser von 4,1/10,0 mm (regio 12), 4,1/11,5 mm (regio 21) und 4,5/10,0 mm (regio 22) eingesetzt. Die Insertion der beiden Implantate im Unterkiefer (BEGO Semados RS 4,1/10,0 mm) erfolgte nicht exakt in die Extraktionsalveolen der nicht erhaltungswürdigen Zähne, sondern in einem Abstand von 4,0 mm zueinander und zu den natürlichen Zähnen 33 und 43.
Die BEGO Implantate der RS-Linie sind aus Titan Grad IV gefertigt, haben ein selbstschneidendes Gewinde und eine konische Innensechskantverbindung. Durch diese Verbindungsform wird eine Versorgung nach dem Platform Shift-Konzept ermöglicht. Die Implantatinsertion erfolgte minimal-invasiv ohne Bildung eines Mukoperiostlappens.
Im Oberkiefer wurde nach einer Tunnelpräparation der vestibulären Schleimhaut nach der Implantatinsertion zusätzlich mittels BEGO Oss (BEGO Implant Systems GmbH & Co. KG) im Sinne einer Auflagerungsosteoplastik bukkal augmentiert. Alle Implantate konnten ausreichend primärstabil mit einem Drehmoment von 45,0 Ncm verankert werden.
Dr. Manolakis
Prothetische Versorgung
Als Interimsversorgung wurden herausnehmbare, klammerverankerte Prothesen aus Methylmethacrylat verwendet. Nach der dreimonatigen Einheilzeit erfolgten die Implantatfreilegung und die Versorgung mit Einheilkäppchen. Bei der Freilegung der Implantate und der Versorgung mit Einheilkäppchen sowie zum Zeitpunkt der Abformung mit den Abutments in situ lag eine reizlose klinische Situation ohne Anzeichen einer Entzündung im Implantatbereich vor (Abb. 4 und 5).
Dr. Manolakis
Dr. Manolakis
Nach weiteren vier Wochen wurden PS MultiPlus Abutments (BEGO Implant Systems GmbH & Co. KG) mit einem Platform Shift eingesetzt. Die MultiPlus Abutments wurden nach dem Prinzip „One Abutment, One Time“ direkt am Patienten verschraubt und nicht mehr entfernt. Die Interimsversorgung erfolgte über einen Zeitraum von weiteren zwei Monaten mittels verschraubter Provisorien aus metallverstärktem Komposit (LuxaCrown, DMG-Dental, Hamburg, Deutschland) (Abb. 6 und 7).
Dr. Manolakis
Dr. Manolakis
Dr. Manolakis
Dr. Manolakis
Dr. Manolakis
Dr. Manolakis
Dr. Manolakis
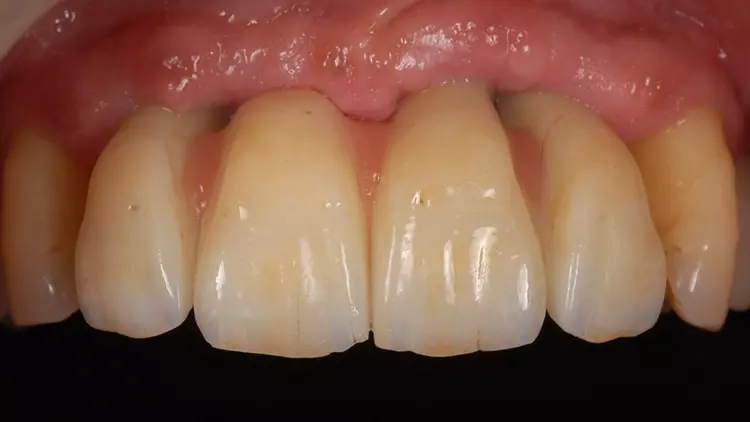
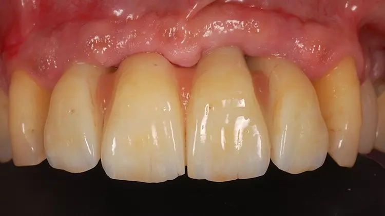
Die Restaurationen fügten sich sowohl klinisch als auch ästhetisch durch ihre spezielle Charakterisierung in die bestehende Patientensituation ein (Abb. 13-15). Auch röntgenologisch konnte eine gute Passform ermittelt werden (Abb. 16).
Dr. Manolakis
Dr. Manolakis
Dr. Manolakis
Dr. Manolakis
Der fehlende Zahn 24 wurde ebenfalls mittels eines Semados RS Implantats (BEGO Implant Systems GmbH & Co. KG) mit einer Länge/einem Durchmesser von 4,1/10,0 mm und einer monolithischen Zirkonoxidkrone ersetzt (3D Pro). Die klinische Situation konnte im Rahmen einer Nachuntersuchung im September 2022, fast zweieinhalb Jahre nach der Versorgung im Mai 2020 als sehr gut bezeichnet werden (Abb. 17-20).
Dr. Manolakis
Dr. Manolakis
Dr. Manolakis
Dr. Manolakis
Diskussion
Der vorliegende Patientenfall beschreibt die Implantatversorgung im Ober- und Unterkiefer-Frontzahnbereich eines älteren Patienten mit einer chronischen Parodontitis und ohne systemische Erkrankungen bzw. ohne eine regelmäßige Einnahme von Medikamenten. Infolge des Attachmentverlusts konnte trotz einer Ridge Preservation mittels Sofortimplantation und einer bukkalen Auflagerung von xenogenem Knochenersatzmaterial insbesondere im Bereich der Interdentalpapillen des Oberkiefers kein ausreichender Weichgewebserhalt in vertikaler Richtung erzielt werden, was auf den Attachmentverlust infolge der Parodontitis zurückgeführt werden kann. Daher war es notwendig, die fehlenden Papillen mittels rosa eingefärbten Zirkonoxids in die Restauration zu integrieren (Abb. 13 und 14).
Dr. Manolakis
Dr. Manolakis
Der Patient wurde entsprechend instruiert, diese Bereiche täglich mittels Interdentalbürsten zu reinigen. Rezessionen wurden nicht beobachtet, was auf den dicken Phänotyp des Patienten zurückgeführt werden könnte [5]. Trotz der geringen Einschränkungen im Bereich der rot-weißen Ästhetik war der Patient mit dem ästhetischen Gesamtergebnis zufrieden.
Aus fachlicher Sicht konnte – trotz des Höhenverlusts im Papillenbereich – durch die Ridge Preservation nach Extraktion mittels Implantaten ein ausreichender horizontaler Kammerhalt erzielt werden. In wie weit sich die parodontale Vorerkrankung langfristig auf den Implantaterfolg auswirken wird, bleibt zum jetzigen Zeitpunkt abzuwarten. Erkenntnissen aus der Literatur zufolge ist das Risiko eines Implantatverlusts und der Entstehung einer Periimplantitis bzw. eines erhöhten krestalen Knochenverlusts bei Versorgung von Patienten mit einer parodontalen Vorerkrankung mit festsitzenden implantatprothetischen Versorgungen über einen Zeitraum von fünf bis zehn Jahren signifikant erhöht [23,24].
Eine intensive Nachsorge und die Versorgung nach dem Platform Shift-Konzept könnten im vorliegenden Patientenfall durchaus als protektive Faktoren in Frage kommen. Insbesondere bei Patienten mit einer Parodontitis kann das Risiko der Entstehung einer periimplantären Erkrankung effektiv gesenkt werden [25]. Krestale Knochenverluste hingegen können im kompromittierten Alveolarfortsatz mittels des Platform Shift-Konzepts der RS-Implantate signifikant im Vergleich zu einer Implantat-/Abutment-Kombination mit einem Platform Match-Design reduziert werden, wie eine aktuelle klinische Studie ergab [26].
Der gute klinische Zustand des periimplantären Weichgewebes über den gesamten Behandlungszeitraum und zum Zeitpunkt der Nachuntersuchung könnte – neben des Einsatzes des Platform Shift-Konzepts – auch auf den Verzicht einer wiederholten Entfernung/eines wiederholten Auswechselns der Abutments zurückgeführt werden [27]. Implantatprothetische Restaurationen aus monolithischem YTZ-P Zirkonoxid stellen mittlerweile aufgrund ihrer stark verbesserten ästhetischen und mechanischen Eigenschaften eine sehr gute Versorgungsalternative zu Restaurationen aus Verblendkeramik dar [28]. Insbesondere technische Komplikationen wie ein Chipping sind dadurch vermeidbar [21].
Sollten dennoch technische/biologische Komplikationen auftreten, ist eine Reparatur infolge der verschraubten Verbindung ohne großen Aufwand und unter Erhalt der Restauration möglich. Allerdings sollte sich das Behandlungsteam darüber im Klaren sein, dass technische Komplikationen wie Schraubenlockerungen/Schraubenfrakturen bei dieser Versorgungsform durchaus im Bereich des Möglichen liegen und sich signifikant auf die Patientenzufriedenheit auswirken können [26].
Fazit
Eine hochwertige Versorgung ist bei parodontal kompromittierten Patienten in ästhetischer und funktioneller Hinsicht mittels implantatprothetisch getragenen Zahnersatzes aus monolithischer Zirkonoxid-Keramik möglich. Der Einsatz von Implantaten/Abutments mit einem Platform Shift und ein engmaschiges, regelmäßiges Nachsorgeprotokoll sowie eine gute häusliche Mundhygiene seitens des Patienten könnten zu einem längerfristigen Erhalt des guten kurzfristigen klinischen Ergebnisses beitragen.
Bildquellen sofern nicht anders deklariert: Unternehmen, Quelle oder Autor/-in des Artikels
Entdecke CME Artikel





Keine Kommentare.