Aufgrund eines Unfalls in ihrer Kindheit hatte die im Folgenden vorgestellte Patientin ihren mittleren Schneidezahn 11 verloren. Sie trug lange eine Modellgussprothese, bevor sie sich nun, in ihrem 20. Lebensjahr, mit dem Wunsch nach einer dauerhaften Lösung an die Zahnarztpraxis von Dr. Heiko Jakob wandte. Mir fiel es zu, die Patientin diese „Lücke in ihrem Leben“ vergessen zu lassen. Der Patientin war es ein wichtiges Anliegen, den fehlenden Zahn im Oberkiefer so unauffällig und naturgetreu wie möglich zu ersetzen. Der Gesamteindruck ihres Lächelns war eher trist, geschuldet dem warmen Farbton ihrer Zähne und dem unbefriedigenden Ersatz, den sie für den Übergang erhalten hatte. Daher wurde über eine Aufhellung der Zähne diskutiert und diese beschlossen. Dies stellte mich vor eine besondere Herausforderung, da sich die Zähne in ihrer Farbe immer wieder verändern werden. Eine einzelne Krone im Oberkieferfrontzahnbereich ist per se ein Balanceakt, zumal auf Implantat. Um eine Implantatkrone wie natürlich gewachsen wirken zu lassen, ist es außerordentlich wichtig, den richtigen Druck mithilfe des Abutments auf das Zahnfleisch zu bringen und das Emergenzprofil zu definieren.
Anhand ausgewählter Bilder möchte ich den Arbeitsablauf darstellen. Der Weg führt vom Studienmodell über das Wax-up und Provisorium bis zur Integration der definitiven Krone und den Blick darauf nach einem Jahr.
Der Patientenfall in Bildern
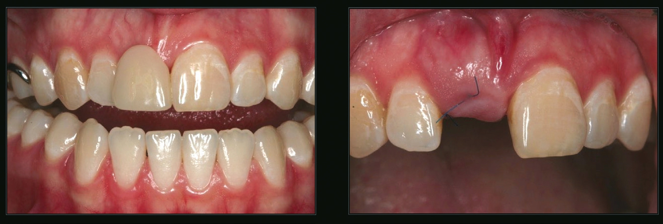
Links in Abbildung 1 ist ein Bild aus dem Erstgespräch mit der Patientin zu sehen. Sie trug in ihrer kompletten Jugendphase eine Modellgussprothese. Damit fühlte sie sich sichtlich unwohl: Der warme Ton ihrer Zähne gefiel ihr nicht. Dieser wurde nach und nach durch Bleaching verändert.
Housein
Housein
Rechts das Bild sofort nach der Implantation mit Wundverschluss. Abbildung 2 zeigt das Meistermodell als Ausgangsbasis für die Restauration. Den Anfang der konkreten Arbeit macht das Wax-up (Abb. 3a).
Housein
Housein
Housein
Bevor es an die endgültige Versorgung geht, wird anhand des Wax-ups simuliert, wie die finale Restauration in Ausdehnung, Form und Oberfläche wirken kann. Abbildung 3b zeigt das fertiggestellte herausnehmbare Wax-up. Die zervikale Kontur wird mithilfe einer Anzeichnung deutlich (vgl. auch Abb. 5). Jetzt kann man den Gips effizient bearbeiten und den Sulkus definieren. In Abbildung 4a ist das Wax-up aus verschiedenen Blickwinkeln zu sehen. Es zeigt die naturgetreue Modellation des fehlenden mittleren Schneidezahnes auf dem unbehandelten Meistermodell. Ein Wax-up halte ich für unabdingbar. Es dient mir bis zum Ende der Arbeit als Richtlinie. So kann ich das Emergenzprofil definieren und mir eine Vorstellung von der finalen Situation des Zahnes machen, besonders die Stellung und Form betreffend. Die erarbeiteten Informationen fließen auch in den Scan- und Fräsprozess ein.
Die Früherkennung von gestalterischen Limits, die eventuell zu Kompromissen im finalen Resultat führen könnten, ist durch das Wax-up einfach möglich. Auf seiner Grundlage können die nächsten Schritte (und Maßnahmen) mit dem Patienten und Behandler besprochen werden.
Da die Lücke zwischen 12 und 21 etwas zu klein war, stand die distale Leiste von 11 vor dem Zahn 12. Um diesen Versatz etwas weicher zu gestalten, wurde die distale Fläche labial etwas stärker nach oral definiert. Von inzisal betrachtet, wird dies deutlich (Abb. 4b) und dieser „Kniff“ schwächte den Versatz zwischen 12 und 21 etwas ab. Mit diesem Vorschlag zeigte sich die Patientin einverstanden.
Housein
Housein
Auf Abbildung 5 ist das erarbeitete Emergenzprofil nach dem herausnehmbaren Wax-up zu sehen. Das Drittel am Implantatkopf wurde belassen und das mittlere Drittel dezent bearbeitet. Zur eingezeichneten Grenze hin wurde etwas mehr Gips weggenommen. Ob die gewählte Form die günstigste für das Emergenzprofil ist, wird sich später bei der Abutment-Anprobe zeigen. Aus der Form des erarbeiteten Wax-ups wird das Provisorium auf einem konfektioniertem Titanaufbau und Kunststoff (New Outline, Anaxdent) hergestellt (Abb. 6).
Housein
Housein
Abbildung 7 ist der bisherige Verlauf zu entnehmen. Nun wird die neue Situation mit individuellem Abformpfosten abgeformt. Das Wax-up und die provisorische Krone dienten hier wieder als Vorlage. Auf dem rechten Bild ist die Aufhellung der natürlichen Zähne deutlich zu erkennen. Dies geschah dem Wunsch der Patientin entsprechend.
In Abbildung 8 ist die Patientin mit eingegliedertem Provisorium auf Zahn 11 zu sehen. Für das Provisorium wurden nur Dentin- und Schneidemassen verwendet. Hier ging es um eine Lösung für ca. drei bis vier Monate. In dieser Phase gab es weitere Bleachingvorgänge.
Housein
Housein
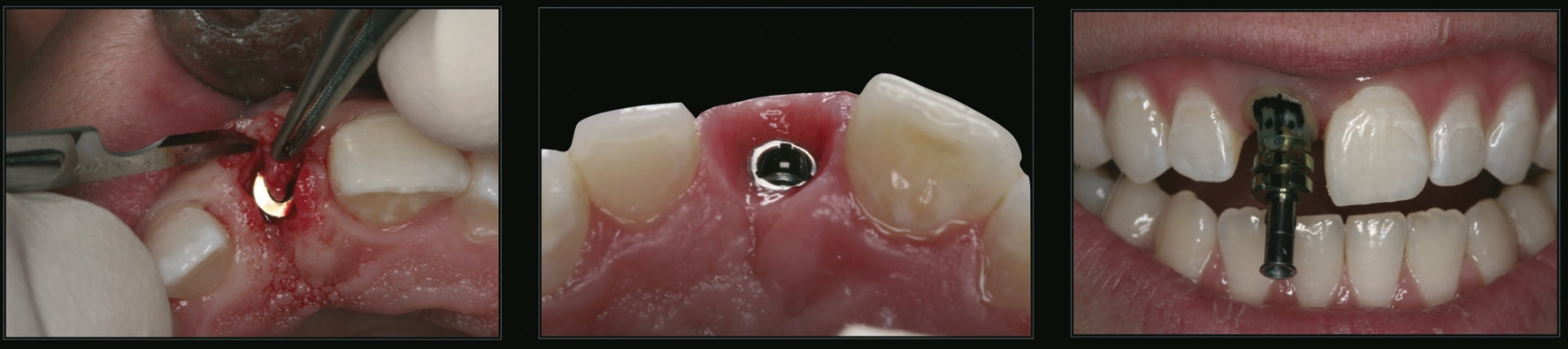
Abbildung 9 zeigt: Der Implantataufbau aus Zirkoniumdioxid wurde auf einer Titan-Klebebasis aufgeklebt. Wir probieren den Aufbau immer an, um seinen Grenzverlauf zu kontrollieren – und ebenso den Druck auf das Zahnfleisch (siehe oben im Bild). Falls dieser zu hoch ist und die weißliche Verfärbung des Zahnfleisches (Anämie) nicht zeitig wieder durchblutet ist, kann man noch Korrekturen am Abutment vornehmen. Da dieser Arbeitsschritt eine wichtige Information darstellt, wird das zu verblendende Zirkoniumdioxid- Käppchen erst dann hergestellt. Bei einem palatinal verschraubten Implantat ist man da klar im Vorteil! Das Emergenzprofil und der Zahnfleischverlauf müssen klar definiert werden, bevor die Kappe gefräst wird.
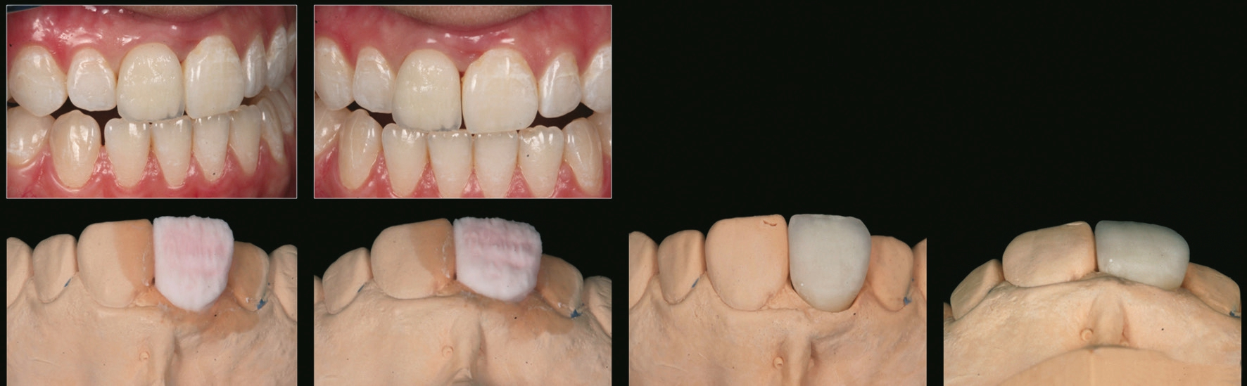
Auf Abbildung 10 sehen Sie den inneren Schichtaufbau der Krone. Der Dentinaufbau wurde in drei Zonen aufgeteilt. Im zervikalen Bereich wurde eine chromatische Mischung mit einem reduzierten Helligkeitswert angewandt. Im mittleren Bereich wurden die Opazität und der Helligkeitswert erhöht, während sich dieser im inzisalen Drittel wieder etwas reduzierte. Stattdessen wurden die Massen in diesem Fall etwas transparenter abgemischt und inzisal mit dem Schneideteller komplettiert (Keramikmassen: Hochschmelzende Keramik Zi-CT, Creation Willi Geller).
Housein
Housein
Es folgte die Kontrolle des Farb- und Helligkeitswertes nach dem ersten Dentinbrand (Abb. 11). In dieser Ansicht (vier Bilder links) muss man bedenken, dass das Resultat das Innere der Krone darstellt! Es ist noch genügend Platz für die nächste Schicht vorhanden. Hier habe ich mich entschieden, den Dentinaufbau mit Schneideteller und die horizontalen Aufhellungen im mittleren Bereich erst einmal zu brennen. Die horizontalen Aufhellungen im natürlichen Zahn liegen auf verschiedenen Tiefenebenen. Diese zu kopieren, war mir nur mit einer Kombination aus Zwischenmalbrand („internal staining“) und Schichteffekten möglich. Auf den beiden Bildern unten rechts: die komplettierte Krone, fertig zum Glasurbrand.
Abbildung 12 zeigt die Implantatkrone unmittelbar nach dem Einsetzen: natürlich wirkendes Emergenzprofil durch die gute Vorarbeit und Kontrolle. Zu erwähnen ist, dass für dieses Ergebnis in der provisorischen Phase noch ein Weichgewebetransplantat eingesetzt wurde (vgl. Abb. 7 links).
Housein
Housein
Housein
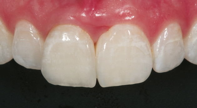
In Abbildung 13 sehen Sie die fertige Krone in situ sowie rechts das darunter sitzende Abutment. Abbildung 14 entstand ohne Blitzzunahme. Dies zeigt die Wirkung der Krone im Raum unter künstlichem Deckenlicht (leicht unscharf). Zusätzlich sollte man die Restauration unter verschiedenen Lichtverhältnissen prüfen. Aufnahmen mit Blitz oder Softboxen können den Eindruck ungemein verfälschen. Es spricht aber nichts dagegen, für Abschlussaufnahmen Blitze oder Softboxen einzusetzen.
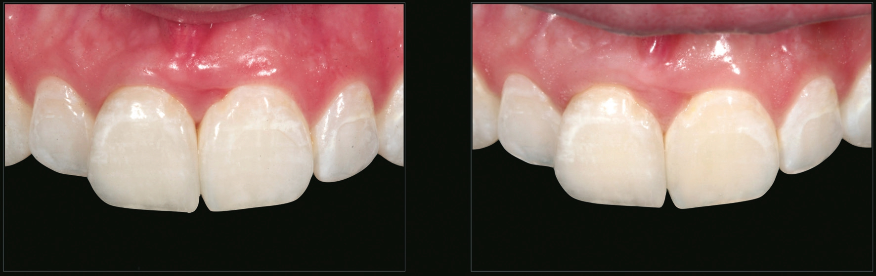
Die fertige Arbeit ist in Abbildung 15 u. 16 wiedergegeben: mit Lippenbild und Close-up.
Housein
Housein
Housein
In Abbildung 17 sieht man das schöne Emergenzprofil und die feinen Details an der Implantatkrone 11.
Zusammenfassung und Fazit
Housein
Bereits vor und auch während der provisorischen Phase waren die Zähne der Patientin aufgehellt worden. Dadurch war die Aufgabe für mich als Zahntechniker noch etwas schwieriger geworden, als sie sich eh schon darstellte. Bieten einzelne Frontzahnrestaurationen in der ästhetischen Zone an sich schon besondere Aufgaben, stellte hier die Umsetzung auf einem Implantat eine weitere Herausforderung dar.
Die Patientin war sehr zufrieden mit dieser Arbeit und ich konnte es auch sein.
Die Entwicklung der Farbe des Zahnes 21 wird ein Schwachpunkt bleiben. Die natürlichen Zähne werden immer wieder nachdunkeln und so wird ein ständiges Bleaching notwendig sein – aber darüber wurde die Patientin aufgeklärt.
Ich hoffe, dass ich Ihnen einen guten Einblick in meinen Alltag geben konnte. Die Umsetzung einer einzelnen Frontzahnkrone ist und bleibt eine der schwierigsten Aufgaben in der Zahntechnik/Zahnmedizin. Es sind die Erwartungen an sich selbst, aber auch die Erwartungen des Patienten zu erfüllen. Einfach einen Zahn kopieren und die Ästhetik wiederherstellen: Das trifft es nicht. Es muss viel analysiert, geplant, abgeklärt, abgesprochen werden, das ganze Wissen, das ganze Können ist gefordert. Bei allem ist das Zusammenspiel Patient-Zahnarzt-Zahntechniker gefragt. Und schließlich: Was man sieht und das Gehirn möchte, muss man „auf die Hände bekommen“.
Solche Aufgaben zeigen, dass das analoge Handeln und Denken ausschlaggebend ist. Die digitalen Technologien sind nur Werkzeuge oder Mittel zum Zweck, die wohl genutzt werden, aber mit Bedacht. Der weit überwiegende Anteil am Erfolg besteht aus den Gesprächen zwischen Techniker, Patient und Behandler, aus der Steuerung und Kontrolle und aus der Beurteilung des jeweils letzten Schrittes, bevor man den nächsten geht.
Mein Dank gilt dem Behandler Dr. Heiko Jakob, Krefeld, für das entgegengebrachte Vertrauen, seine Akribie und Leidenschaft, die er an den Tag legt, sowie dem gesamten Team für die außerordentlich gute Zusammenarbeit. Es macht Spaß!
Bildquellen sofern nicht anders deklariert: Unternehmen, Quelle oder Autor/-in des Artikels
Entdecke CME Artikel






Keine Kommentare.