In diesem Beitrag wird die restaurative Behandlung mit einer Lithium-Disilikat-Glaskeramik beschrieben. Das Material verfügt über sehr gute langfristige klinische Eigenschaften. Um effizient vorzugehen, wurde die CAD/CAM-Fertigung gewählt. Nach einer Einprobe im blauen (nicht kristallisierten) Zustand erfolgten im Labor die manuelle Ausarbeitung und Individualisierung zu einer Restauration mit exzellenten ästhetischen Eigenschaften.
Fragestellungen
- Wie kann die CAD/CAM-Technologie mit manuellen Fertigkeiten kombiniert werden, um herausragende restaurative Ergebnisse zu erzielen?
- Wie werden passende Materialien zum Maskieren verfärbter Substrukturen ausgewählt und die Vorteile der intelligenten Shade Navigation App (SNA) zur Auswahl von Farbe sowie Transluzenz genutzt?
- Wie werden stark verfärbte Zahnstümpfe abgedeckt und den Nachbarzähnen farblich angepasst?
Ausgangssituation
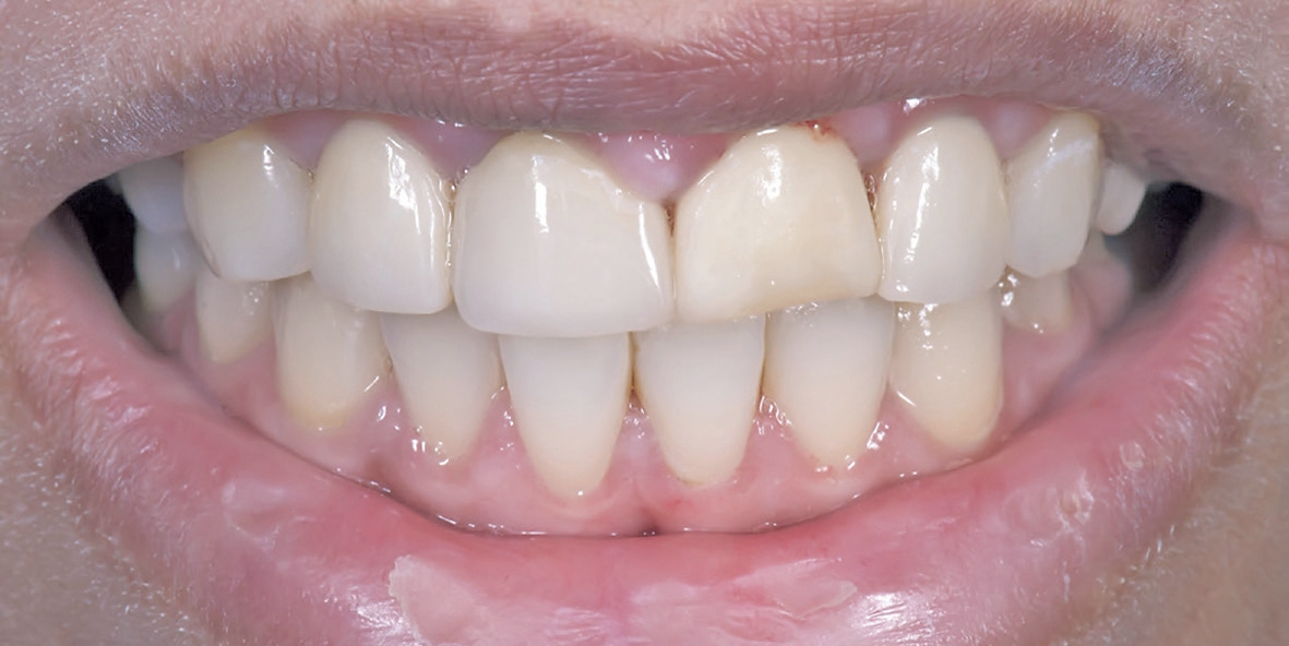
Eine 29-jährige Patientin konsultierte die Praxis mit dem Wunsch nach einem natürlich schönen Lächeln. Sie war mit ihren Frontzahnversorgungen im Oberkiefer und dem Erscheinungsbild des umliegenden Zahnfleischs nicht zufrieden und wünschte eine funktionelle und ästhetische Lösung (Abb. 1).
Farah/Aloum
Farah/Aloum
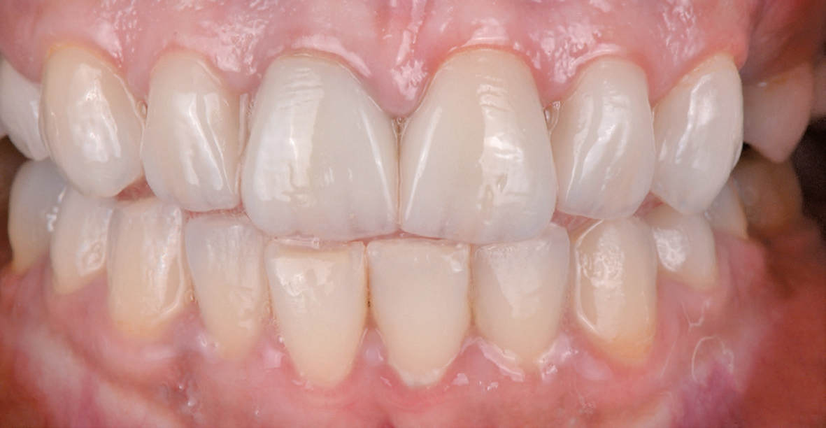
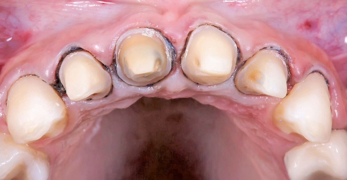
Bei der Anamnese wurden die Situation fotografiert und die Erwartungen der Patientin besprochen. Die intraorale Untersuchung zeigte starke Verfärbungen, devitale Zähne sowie eine unzureichende Ästhetik. Zusätzlich zur ungünstigen Zahnfarbe führten die überproportional gestalteten Kronen und Veneers an den oberen Frontzähnen zu einer unharmonischen Lachlinie (Abb. 2). Eine Röntgenaufnahme bestätigte die suffiziente endodontische Versorgung der beiden mittleren Schneidezähne. Die seitlichen Schneidezähne wiesen große Komposit-Füllungen auf. Aufgrund der unpassenden Konturierung der darunterliegenden Komposit-Versorgungen litt die Patientin unter einer deutlichen Parodontitis im Bereich aller vier Frontzähne.
Farah/Aloum
Provisorische Phase
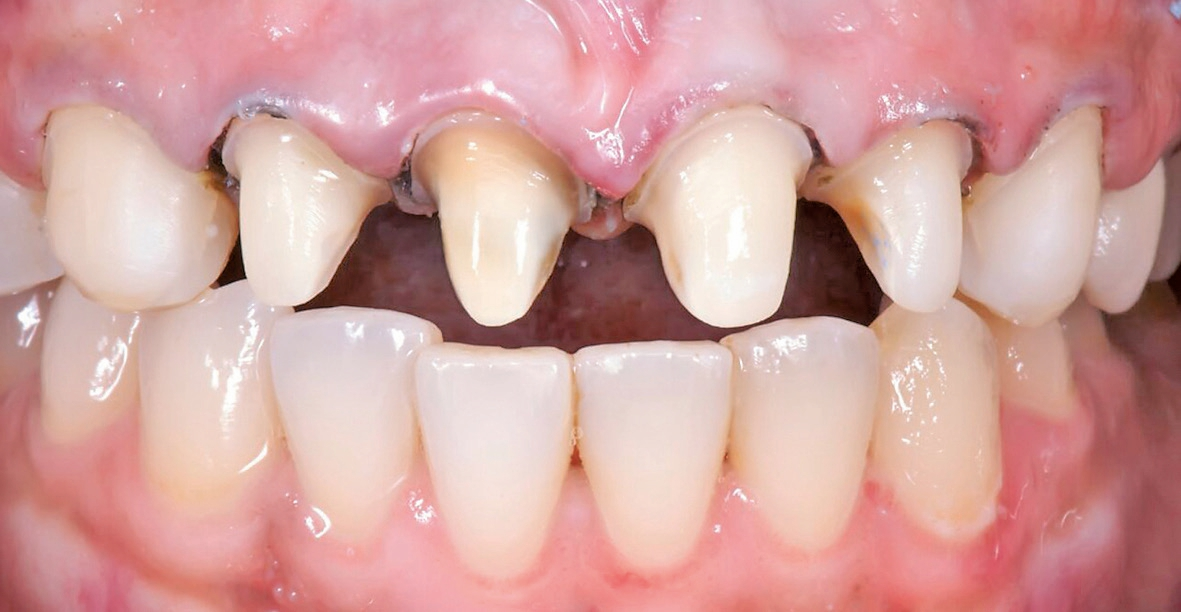
Die Restaurationen im Oberkieferfrontzahnbereich wurden entfernt und die Zähne 12 bis 22 gemäß den Präparationsrichtlinien für Vollkeramikkronen mit einer abgerundeten äquigingivalen Schulter von 1–1,2 mm präpariert. Die Präparationstiefe variierte aufgrund der Stumpffarbe und des Verfärbungsgrades etwas. Die dunkle Verfärbung im Dentin des rechten mittleren Schneidezahns machte eine tiefere Präparation notwendig, um die Stumpffarbe kaschieren zu können (Abb. 4). Die Zähne 13 und 23 wurden für die Aufnahme von Veneers mit einer äquigingivalen Hohlkehle, einer bukkalen Reduktion von 0,5 mm (Abb. 5) und einer inzisalen Reduktion von 1 mm präpariert. Nach dem Abformen der Situation mit einem A-Silikon konnten mithilfe des Silikonschlüssels direkte Provisorien angefertigt werden (Abb. 6). Während der nächsten beiden Wochen wurde die parodontale Situation überwacht. Der Heilungsprozess des gingivalen Gewebes gestaltete sich unkritisch. Zugleich ermöglichten die provisorischen Restaurationen einen Ausblick auf das definitive Ergebnis. In dieser Phase können intraorale Anpassungen vorgenommen werden, um ein harmonisches Aussehen von Lippen, Lächeln und Gesicht zu erzielen.
Farah/Aloum
Farah/Aloum
Farah/Aloum
Farbwahl anhand der Ausgangssituation
Die gewünschte Zahnfarbe sowie die bestehende Stumpffarbe wurden bei Tageslicht validiert. Beim Fotografieren der Situation wurden Farbplättchen mit einer helleren und einer dunkleren Farbe an die natürlichen Zähne gehalten und alle Bilder aus einem ähnlichen Winkel und ohne Blitzlicht aufgenommen. Diese Fotografien sind auch für die Herstellung der Restaurationen im Labor sehr hilfreich (Abb. 7a u. b).
Farah/Aloum
Farah/Aloum
Materialauswahl anhand klinisch bewährter Kriterien
Farah/Aloum
Blockauswahl mit einer App
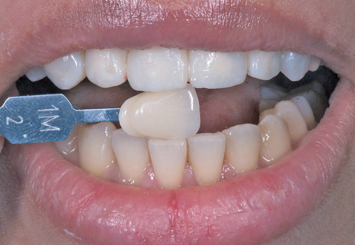
In Bezug auf die Farbsättigung war die Farbe 1M2 (Vita 3D-Master) ideal, was einer A1 (A-D-Farbschlüssel) am ehesten entspricht. Allerdings war die Helligkeit höher als jene des IPS e.max CAD LT-Blocks in der Farbe A1, insbesondere im mittleren Drittel. Mit einem helleren Block (z. B. LT BL4) wäre die Farbsättigung für die Verblendung zu hoch gewesen. Die IPS e.max CAD HT-Blöcke (High Translucency) in Bleach-Farben wären eine Option gewesen. Jedoch besteht bei Restaurationen mit einer etwas größeren Wandstärke bei Verwendung hochtransluzenter Materialien die Gefahr einer zu niedrigen Helligkeit und eines höheren Chromas im Vergleich zur eigentlichen Zahnfarbe. Für die Kronen auf den Zähnen 12 bis 22 war das HT-Material also nicht die optimale Lösung.
Um den am besten passenden Block zu bestimmen, kam die IPS e.max Shade Navigation App (SNA) zum Einsatz. Unter Einbezug aller Einflussfaktoren wird der am besten zum Erreichen einer bestimmten Farbe geeignete Block definiert – schnell und einfach. Es werden nur die notwendigen Daten eingegeben. Die App liefert eine ausgezeichnete Lösung.
Ausgangslage für die Kronen:
- gewünschte Zahnfarbe: 1M2 (= A1)
- Indikation: Kronen für 11, 12, 21, 22
- Stumpffarbe: ND2
- Schichtstärke: 1,2 mm
- Material: IPS e.max CAD
Basierend auf den eingegebenen Daten schlug die App als erste Wahl einen IPS e.max CAD-Block in der Farbe MT BL4 vor. Dieser Block war notwendig, um den kleinen Bereich der ND4-Verfärbung auf Zahn 11 zu überdecken und zugleich den leichten Rückgang des Farbwerts und der Sättigung auszugleichen, der durch die bukkale Reduktion sowie die Keramikschichtung entstanden war. Um den passenden Block für die Veneers auf den Zähnen 13 und 23 zu ermitteln, wurden in der App die Funktion „Neue Restauration hinzufügen“ aktiviert und folgende Daten eingegeben:
- gewünschte Zahnfarbe: 1M2 (= A1)
- Indikation: Veneers für 13 und 23
- Stumpffarbe: ND1
- Schichtstärke: 0,5 mm
- Material: IPS e. max CAD
Die Option „Freie Auswahl“ diente dem Vergleich der Farbe zu den Kronen. Es konnte beurteilt werden, ob MT BL4 für alle Versorgungen ideal ist. Dies war der Fall. MT BL4 wurde sowohl für die Kronen als auch für die Veneers verwendet.
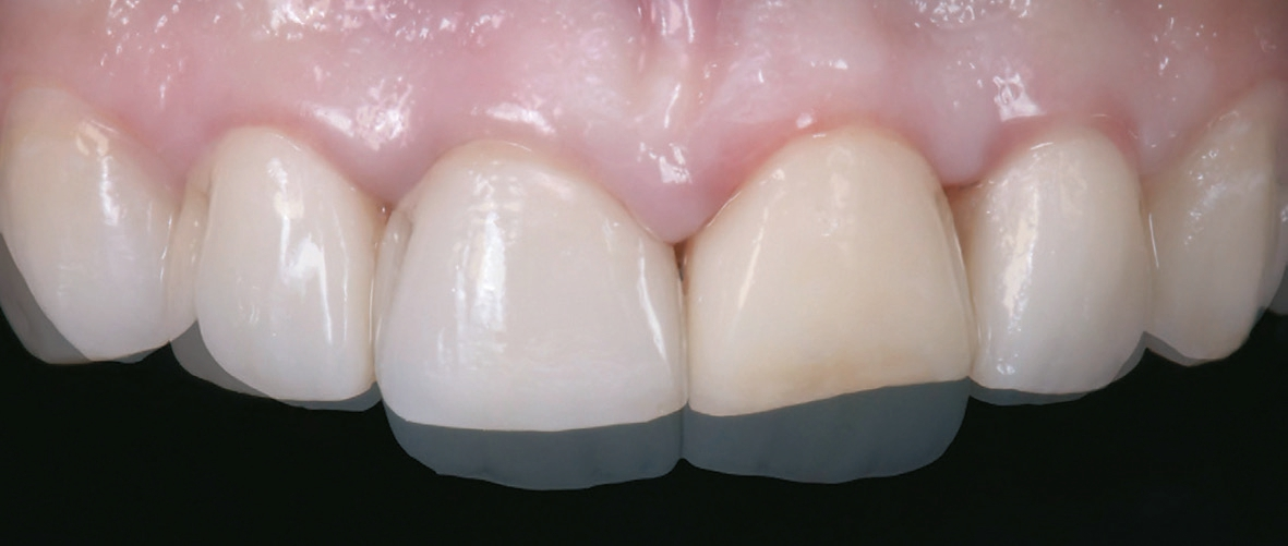
Einprobe und Eingliederung
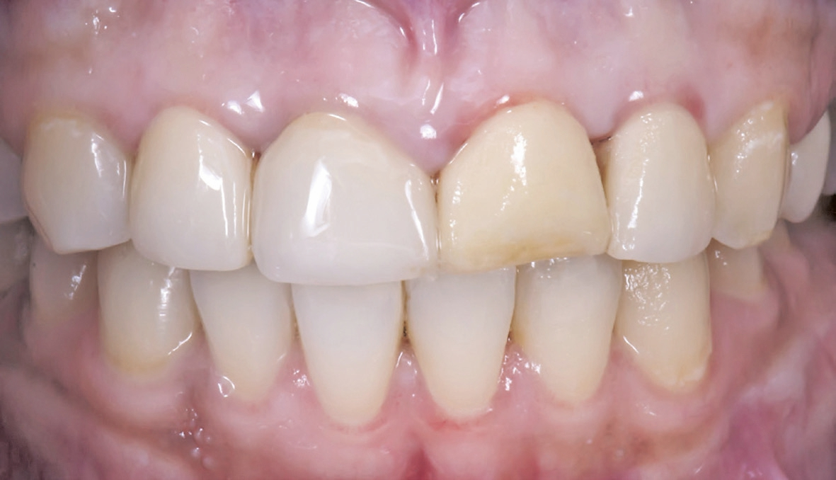
Nach dem Schleifen folgte eine klinische Einprobe mit den vorkristallisierten blauen Restaurationen (Abb. 9 u. 10). Dabei wurden die Notizen des Zahnarztes und die Wünsche der Patientin nochmals zurate gezogen. In diesem Zusammenhang spielen Fotografien der Lippen und des Gesichts des Patienten eine entscheidende Rolle für die Qualität der Arbeit des Zahntechnikers. Die nötigen Anpassungen können vorgenommen und die Bilder aus allen Blickwinkeln betrachtet werden.
Farah/Aloum
Farah/Aloum
Detaillierte Schichtung oder einfache Bemalung?
Durch Glasieren/Bemalen und Kristallisieren der blauen Restaurationen in einem Brand hätte ein einfaches und einheitliches Ergebnis erzielt werden können. Jedoch war dies eine ästhetisch anspruchsvolle Situation. Um eine naturidentische Rekonstruktion zu erreichen, die Lichtdurchlässigkeit zu erhöhen und eine Farbübereinstimmung hinsichtlich Tiefe, Chroma, Wert und Farbton zu erzielen, wurden die Kronen und Veneers zunächst kristallisiert und nachfolgend mit der Schichtkeramik IPS e.max Ceram verblendet. Während der Kristallisation können im zervikalen und interproximalen Bereich (z. B. mit IPS e.max CAD Crystall/Shades) bereits erste Charakterisierungen aufgebracht werden.
Situation des Stumpfes
Bevor das Schichtschema bzw. die keramischen Schichtmassen bestimmt werden konnten, musste die Dentinfarbe der Pfeilerzähne auf das Modell übertragen werden. Nur so wird die Farbübereinstimmung während des Herstellungsprozesses bis zur Eingliederung beibehalten. Es wurden Modellstümpfe aus IPS Natural Die-Material hergestellt. Selbst einige auf der Dentinoberfläche vorhandene orangene Punkte (z. B. im zervikalen Bereich des rechten mittleren Schneidezahnes) wurden auf die ND-Stümpfe übertragen (lichthärtenden Malfarbe von SR Nexco®).
Herstellen der Restaurationen
Nach einem einfachen Cut-back im inzisalen Drittel wurde mit IPS e.max Ceram (Mamelon- und Opal-Massen) sowie einer Auswahl an helleren Farben ein natürlicher Übergang zwischen den Schichten geschaffen (Abb. 11). Nach dem Brand wurde viel Aufmerksamkeit in Textur, Konturierung, Oberflächengestaltung und Ausarbeitung investiert (Abb. 12). Die Farbübereinstimmung konnte letztlich auf den ND-Stümpfen überprüft werden. Bei der Einprobe bzw. später bei der Eingliederung dienen unterschiedliche Try-in-Materialien dazu, den Helligkeitswert zwischen Verblendungen und Kronen zu optimieren. Ein naturgetreuer Glanz fügt sich harmonisch in die natürliche Umgebung im Patientenmund. Der Glasurbrand ist ein wichtiger und kritischer Brennzyklus, dessen Ergebnis ein Zusammenspiel zwischen manueller Politur, der Beschaffenheit des Glanzes und der Brennparameter sein muss (Abb. 13).
Farah/Aloum
Farah/Aloum
Farah/Aloum
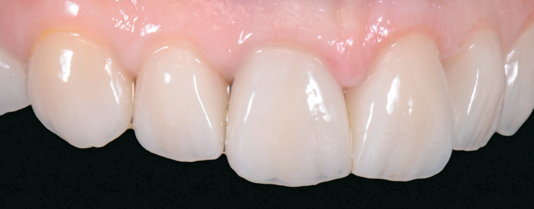
Zementierung und Nachuntersuchung
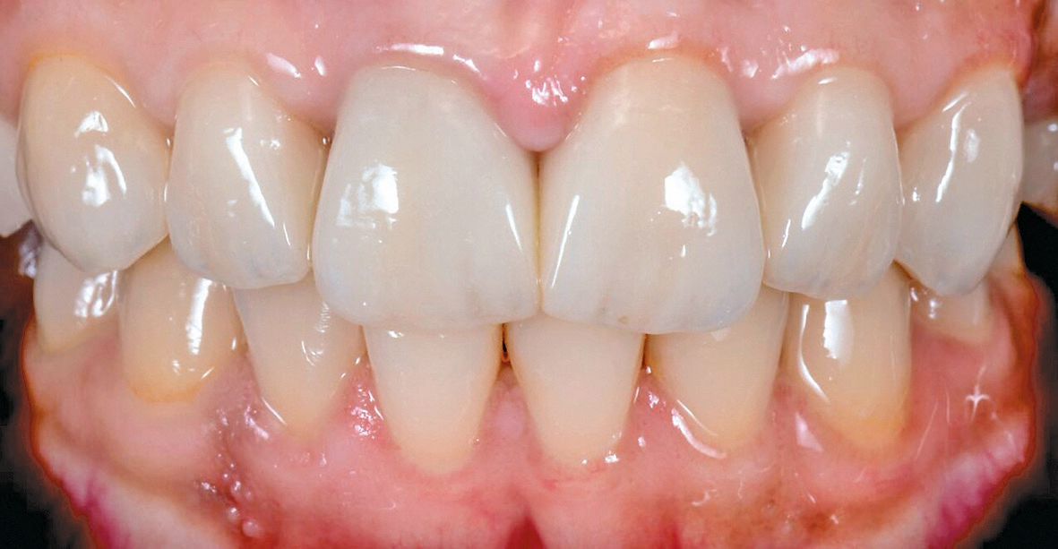
Die Kronen und Veneers wurden adhäsiv mit dem Befestigungscomposite Variolink® Esthetic eingegliedert. Dieses Material eignet sich ideal für die permanente Befestigung anspruchsvoller Keramikversorgungen. Mit feinen Diamantschleifern sowie Gummifinierern und -polierern konnten überschüssiges Komposit entfernt und okklusale Interferenzen eliminiert werden. Bei einer ersten Nachuntersuchung wurden die Restaurationen überprüft und letzte Modifikationen vorgenommen (Abb. 14).
Farah/Aloum
Farah/Aloum
Farah/Aloum
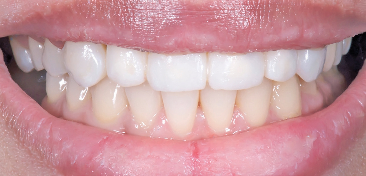
Schlussfolgerung In der kosmetischen Zahnheilkunde werden keramische Restaurationen seit mehr als drei Jahrzehnten eingesetzt. Die Erfahrungen der Vergangenheit zeigen, dass Qualität und Langlebigkeit zu einem großen Teil von der Erfahrung des Behandlungsteams abhängen. Moderne Materialien jedoch bieten zunehmend mehr Sicherheit und Flexibilität. Die im Artikel vorgestellten Restaurationen wurde nach ca. 4 ½ Jahren nachuntersucht (Abb. 15 u. 16). Die Ergebnisse sind noch immer äußerst zufriedenstellend. Sie reflektieren die Effizienz des Materials sowie des Herstellungsprozesses.
Nachdruck aus Reflect 02/2018, S.12 –17.
Näheres zu den Autoren des Fachbeitrages: Aiham Farah MDT, Anas Aloum BDS, FACPBildquellen sofern nicht anders deklariert: Unternehmen, Quelle oder Autor/-in des Artikels
Entdecke CME Artikel






Keine Kommentare.