Die implantologische Versorgung von Patienten mit lange zahnlosem Kiefer sowie mit parodontologischer Vorgeschichte stellt eine große Herausforderung dar. Zum einen muss klinisch mit großen Knochendefekten gerechnet werden, zum anderen besteht eine Prädisposition der Patienten zur Entwicklung einer Periimplantitis, da die eine Parodontopathie auslösenden Keime auch ursächlich für die Ausbildung einer Periimplantitis sein können [1,10–12].
Die Prävention einer möglichen Periimplantitis nach vorausgegangener Parodontitis besteht zunächst in der Beseitigung sämtlicher Konkremente und der Schaffung einer optimalen Hygienefähigkeit der verbleibenden Restzähne und des vorhandenen Zahnersatzes. Darüber hinaus muss in einer ausreichend langen Vorbehandlungszeit die Compliance zur adäquaten Mundhygiene des Patienten sichergestellt werden. Dies ist eine Conditio sine qua non zur Entscheidung für eine festsitzende prothetische implantatgetragene Versorgung. Sind diese Voraussetzungen nicht erfüllbar, sollte auf eine herausnehmbare Implantatversorgung ausgewichen werden, da sie eine bessere Reinigungsmöglichkeit bietet. Unter Umständen muss gänzlich auf eine implantatprothetische Versorgung verzichtet werden [4] – nicht aber im hier besprochenen Fall.
Zur Schaffung eines ausreichend dimensionierten Implantatlagers können Knochendefekte z. B. mit autologen Knochenblöcken, Knochenersatzmaterial oder mithilfe einer Kombination der beiden Verfahren ausgeglichen werden. Im vorliegenden Beispiel erfolgte die chirurgische Vorbehandlung unter Berücksichtigung des „biologischen Konzepts“ nach Khoury: einer chirurgischen Kombination von autologen Knochenblöcken und der Applikation partikulierter autologer Knochenspäne [6,7]. Bei einer ungenügenden Restknochenhöhe im Oberkiefer-Seitenzahnbereich ist außerdem häufig eine Sinusbodenelevation mit Knochenersatzmaterial indiziert, um die Implantate primärstabil und sicher im Knochen zu verankern [3,9], so auch hier. Der folgende Bericht beschreibt die Möglichkeit der Herstellung einer „bedingt herausnehmbaren Brücke“ in Form einer Steg-Riegel-Konstruktion auf sechs Implantaten. Ein Vorteil dieser Versorgungsform liegt, abgesehen von der ausgezeichneten Hygienefähigkeit, in einer guten Phonetik – ein Punkt, der häufig erst Beachtung findet, wenn die Lautbildung nach Eingliederung des definitiven Zahnersatzes eingeschränkt ist. Ziel war ein langzeitstabiles und ästhetisch zufriedenstellendes Ergebnis, wobei das Gefühl „fester Zähne“ erreicht werden sollte.
Anamnese und Ausgangssituation
Der vorliegende Fall legt die Oberkiefer- Rehabilitation einer 66 Jahre alten Patientin dar (Abb. 1 u. 2). Diese wünschte sich eine hochwertige Lösung auf Implantaten. Die Versorgung des Unterkiefers wurde im Rahmen der ganzheitlichen Sanierung von uns ebenfalls geplant. Allerdings entschied sich die Patientin aufgrund der noch ausreichenden Passung der bestehenden Prothetik und auch aus Kostengründen, diese Versorgung zunächst noch zurückzustellen.
Dr. Zastrow
Dr. Zastrow
Planung und Vorbehandlung
Dr. Zastrow
Um dem Wunsch der Patientin nach einem Gefühl „fester Zähne“ dennoch zu genügen und eine – gerade wegen der vorangegangenen Parodontitis – besonders wichtige Hygienefähigkeit bei bestmöglichem ästhetischem Ergebnis anzustreben, entschieden wir uns für eine implantatgetragene bedingt herausnehmbare Steg-Riegel-Konstruktion mit vorherigen umfangreichen Augmentationsmaßnahmen in horizontaler und vertikaler Dimension. Alternativ wäre auch eine Teleskopversorgung in Betracht gekommen, mit der ebenfalls eine gute Hygienefähigkeit zu erreichen ist. In Verbindung mit umfangreichen Knochenaugmentationen sehen wir bei der primären Verblockung einer Stegversorgung, gegenüber der sekundären Verblockung mit Teleskopen, langzeitprognostische Vorteile aufgrund der günstigeren Kraftverteilung. Die Primärverblockung der Implantate führt zur optimalen funktionellen Kraftübertragung. Die Verriegelung der „herausnehmbaren Brücke“ gibt Patienten ein sicheres Gefühl und verhindert Abzugskräfte bei eckzahngeführtem Zahnersatz und damit Mikrobewegungen, die später zu einem Friktionsverlust der Arbeit führen könnten. Außerdem kann der psychologischen Herausforderung, einen „herausnehmbaren Zahnersatz“ zu tragen, durch die in die Arbeit integrierten Riegel begegnet werden [8].
Wichtig sind bei dieser Art der Versorgung die exakte Planung der Behandlungsschritte und eine ideale Zusammenarbeit zwischen dem Oralchirurgen/Implantologen, dem behandelnden Zahnarzt und dem Labor. Im vorliegenden Fall fiel die Wahl auf einen im CAD/CAM-Verfahren industriell gefrästen Steg, da das Materialgefüge homogen ist und ein Steg bei sorgfältiger Übertragung der Mundsituation auf die Arbeitsmodelle mittels Abformung und Bissregistrierung eine präzise Passung sowie einen spannungsfreien Sitz sicherzustellen vermag. Mithilfe der CAD/CAM-Technologie haben wir die Möglichkeit, den Patienten eine äußerst präzise und langzeitstabile prothetische Lösung anzubieten und dennoch die Kosten in einem überschaubaren Rahmen zu halten. Die präimplantologische Behandlung bestand in der Sanierung insuffizienter konservierender UK-Versorgungen und einer Parodontalbehandlung, um mögliche Infektionsquellen am Restzahnbestand zu entfernen. Während der gesamten Behandlungsdauer trug die Patientin die alte Totalprothese weiter, unterbrochen von entsprechenden Karenzzeiten während der Heilungszeiten.
Chirurgische Maßnahmen
Der chirurgische Behandlungsteil bestand aus drei Eingriffen im Abstand von jeweils drei bis vier Monaten. Im ersten Eingriff wurden die augmentativen Maßnahmen im atrophierten Oberkiefer nach retromolarer Knochenentnahme aus dem rechten Unterkiefer in horizontaler und vertikaler Dimension vorgenommen (Abb. 4). Dazu wurde der Empfängerkiefer durch das Anbringen von autologen Knochenblöcken nach dem biologischen Konzept lateral verbreitert. Mittels der Schalentechnik wurden dabei die Blöcke auf Distanz gesetzt und der Zwischenraum mit autologen Knochenpartikeln gefüllt (Abb. 5a u. b). Durch die Partikulierung des Knochens wird die Oberfläche vergrößert und es kann eine bessere Revaskularisierung des augmentierten Bereichs erfolgen [5].
Dr. Zastrow
Dr. Zastrow
Dr. Zastrow
Hinzu kam die beidseitige Sinusbodenelevation. In einer sogenannten Schichttechnik werden hierbei im kaudalen Bereich autologe Knochenpartikel eingebracht, sodass die Implantate später circa 10 mm im Eigenknochen stehen werden. Im kranialen Bereich wird langsam resorbierendes Knochenersatzmaterial pflanzlichen Ursprungs (FRIOS® Algipore, Dentsply Sirona Implants, Mannheim) eingebracht. Diese dünne Schicht Biomaterial schützt vor Resorptionen durch den Druck in der Kieferhöhle. Das Konzept dient der Verkürzung der Behandlungszeit, sodass die Implantate schon nach einem früheren Zeitpunkt als sonst üblich belastet werden können: Die Belastung der Implantate ist nach dem hier vorgestellten Konzept bereits nach drei bis vier Monaten möglich – im Vergleich zu 7 bis 8,5 Monaten beim Einsatz von reinem Biomaterial und gleichzeitiger geringer Restknochenhöhe [13]. Die Abdeckung des Sinusfensters (Abb. 6) erfolgte mit einer nicht resorbierbaren Membran aus Reintitan (FRIOS® BoneShield, Dentsply Sirona Implants, Mannheim), bevor der augmentierte Bereich durch den Mukoperiostlappen verschlossen wurde.
Dr. Zastrow
Dr. Zastrow
Dr. Zastrow
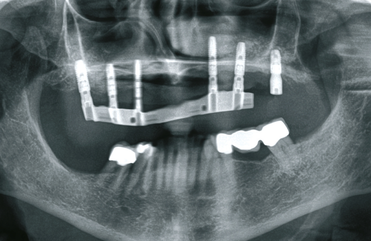
Vor dem zweiten OP-Eingriff nach 4 Monaten wurde im Labor eine Bohrschablone hergestellt. Zudem wurde ein DVT angefertigt, um im Sinne eines backward planning die idealen Implantatpositionen zu ermitteln. Bei Eröffnung des augmentierten Kieferbereiches zeigte sich eine gute Regeneration und Revaskularisierung des Knochens. Sechs Implantate konnten mit ausreichender Länge und passendem Durchmesser so in den augmentierten Bereich (Astratech EV®, Dentsply Sirona Implants, Mannheim) inseriert werden, dass sich eine gleichmäßige Pfeilerverteilung ergab (Abb. 7 u. 8).
Den dritten und letzten chirurgischen Behandlungsschritt stellte die Freilegung der Implantate und Versorgung mit Gingivaformern dar (Abb. 9–11). In diesem Fall wurde ein apikaler Verschiebelappen [5] präpariert, um den ursprünglichen anatomischen Verlauf der mukogingivalen Grenze wieder herzustellen und einstrahlende Bänder im periimplantären Bereich zu vermeiden.
Dr. Zastrow
Dr. Zastrow
Dr. Zastrow
Abformung und Modellherstellung
Nach der Einheilzeit wurden die Repositions-Übertragungsaufbauten angebracht und die Implantate konnten im Sinne einer Primärabformung mittels eines konfektionierten Löffels geschlossen abgeformt werden (Abb. 12). Darüber hinaus wurde eine Vorbissnahme durchgeführt, sodass basierend auf diesen Unterlagen im Labor die Sekundärabformung als Pick-up-Abformung vorbereitet werden konnte. Hierzu erfolgte die Verbindung der Abformpfosten auf dem ersten Arbeitsmodell mit starrem Kunststoffmaterial (Pattern Resin, GC Germany, Bad Homburg). Der so entstandene Index wurde anschließend wieder zwischen den Implantatpfeilern getrennt. Intraoral wurde dieser Trennspalt erneut durch Pattern Resin verbunden (Abb. 13), sodass eine hohe Präzision der Abformung durch die Versteifung zwischen den Implantatpfeilern sichergestellt werden konnte.
Dr. Zastrow
Dr. Zastrow
Dr. Zastrow
Zudem erfolgte die Herstellung einer verschraubten Bissnahme (Abb. 14). Diese hilft gerade bei großspannigen Arbeiten, ein späteres Einschleifen der Arbeit zu verhindern.
Die Abformung wurde mit einem Polyethermaterial (Impregum, 3M ESPE, Seefeld) ausgeführt, welches sich durch eine sehr gute Formstabilität und gute Rückstellfähigkeit bei kurzer Abbindezeit auszeichnet. Im Labor wurde aus diesen Unterlagen ein Meistermodell mit Gingivamaske hergestellt und eine erste Zahnaufstellung angefertigt.
Ästhetikanprobe und Stegherstellung
Dr. Zastrow
Die zum Fräsen des Steges benötigten Daten wurden zusammen mit dem Meistermodell, dem Gegenbiss und der für die Ästhetikanprobe verwendeten Zahnschablone an ein zentrales Fräszentrum (ATLANTIS™ ISUS, Dentsply Sirona Implants) übermittelt. Das Stegdesign wurde in Absprache zwischen dem CAD/CAM-Fräszentrum und dem Zahntechniker geplant (Abb. 15). Dabei erhielt das Labor den Designvorschlag per E-Mail, zusammen mit der erforderlichen Software (ATLANTIS ™ ISUS Viewer, Dentsply Sirona Implants). So konnte die Suprakonstruktion dreidimensional am Computerbildschirm dargestellt werden.
Im vorgestellten Fall wurde der Steg aus Titan gefertigt; eine Lösung aus Kobalt-Chrom wäre auch denkbar gewesen. Funktionell bieten beide Materialvarianten vergleichbare Ergebnisse.
Zurück im Labor wurde der fertige Steg bei perfekter Passung auf dem Meistermodell verschraubt und in der nächsten Sitzung anprobiert (Abb. 16a u. b).
Dr. Zastrow
Dr. Zastrow
Unvorhergesehene Modifizierung des Steges
Bei der Eingliederung des Steges wurde festgestellt, dass das Implantat regio 27 nicht osseointegriert war. Möglicherweise war dies auf eine ungenügende Regeneration des in dieser Region verwendeten Knochenersatzmaterials im Rahmen des Sinuslifts zurückzuführen. Das nicht osseointegrierte Implantat wurde folglich entfernt, ebenso das nicht umgewandelte Knochenersatzmaterial (Abb. 17). Daraufhin wurden mit der Luerzange autologe Knochenpartikel aus dem Tuber entnommen und in Region 27 appliziert. Der Zahntechniker kürzte die Stegarbeit ein (Abb. 18), die nun nur auf den 5 gut osseointegrierten Implantaten ruhte. Während der kompletten Ausheilungsphase im Bereich des entfernten Implantates regio 27 konnte die Patientin die angepasste Stegarbeit weitertragen. Nach 3 Monaten erfolgte der Re-entry in dieser Region. Der Situs zeigte sich gut verheilt (Abb. 19a u. b), der Knochen war gut regeneriert und die Nachimplantation regio 27 wurde vorgenommen (Abb. 20). Nach weiteren 4 Monaten Einheilphase erfolgte die Freilegung des neuen Implantats regio 27. Dieses zeigte sich diesmal gut regeneriert und konnte nun wie geplant der Stegarbeit als sechster Pfeiler dienen.
Dr. Zastrow
Dr. Zastrow
Dr. Zastrow
Dr. Zastrow
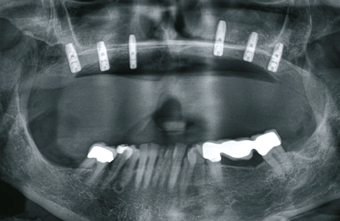
Die besondere zahntechnische Herausforderung bestand nun darin, das Implantat über ein Abutment in die vorhandene Stegversorgung einzubeziehen. Die genaue Position wurde über eine Abformung mit Laboranalogen bestimmt, kontrolliert durch ein OPG (Abb. 21). Wieder wurde in situ mit einem Übertragungsschlüssel aus Pattern gearbeitet, um das neu zu fertigende Stegstück spannungsfrei anschließen zu können. Nach ausgiebigen Prüfungen wurde die Ergänzung gegossen und nach der Patientenanprobe an den bestehenden Stegbogen angelasert (Abb. 22a u. b, Abb. 23). Es folgte die Herstellung der endgültigen Sekundär- und Tertiärstruktur (Abb. 24). Bei dem hier vorgestellten Patientenfall wurde das Sekundärgerüst herkömmlich gegossen (Brealloy, Bredent, Senden). Lichthärtender Kunststoff sowie Konfektionszähne komplettierten die Arbeit, wobei die Ästhetikanprobe unverändert übernommen wurde.
Dr. Zastrow
Dr. Zastrow
Dr. Zastrow
Dr. Zastrow
Dr. Zastrow
Eingliederung der fertigen Arbeit
Die Passung der definitiven Restauration wurde – wie schon etliche Monate zuvor auch – im Mund der Patientin mithilfe des Sheffield-Testes kontrolliert, mit dem die Passgenauigkeit einer primär verblockten Mesiostruktur überprüft werden kann. Hierbei wird nach Aufsetzen der Mesiostruktur jede einzelne Halteschraube separat angezogen, ohne die jeweils anderen zu aktivieren. Dies ist ein wirksamer Test, da bei ungenügender Passgenauigkeit mit Anziehen nur einer Schraube eine Kippung und Spaltbildung am Gerüst auftreten würde, welche röntgenologisch zu erkennen ist.
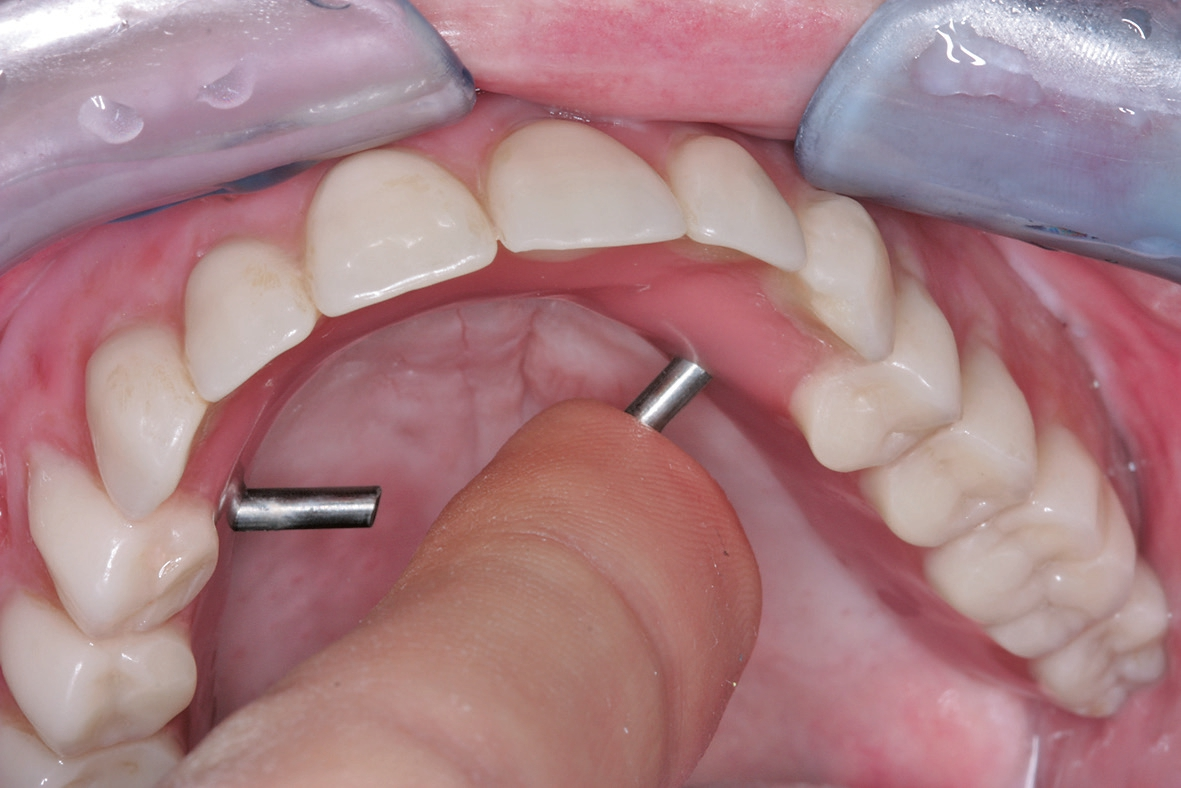
Nachdem die Passung und Ästhetik der fertigen Arbeit erneut von Behandler und Patientin überprüft worden waren, konnte die Arbeit definitiv eingesetzt werden (Abb. 25). Anschließend führte die Patientin vor, wie gut sie mit dem Gebrauch der Riegelvorrichtung zurechtkam (Abb. 26).
Dr. Zastrow
Dr. Zastrow
Auch wurde sie erneut auf die Mund- und Prothesenpflegemaßnahmen hingewiesen. Durch die Einbindung unserer Patienten in ein halbjährliches Recallprogramm können in regelmäßigen Abständen der Sitz der Konstruktion und der periimplantäre Zustand überprüft werden.
Rückblick
Großvolumige Knochendefekte stellen chirurgische und prothetische Herausforderungen an den implantologischen Behandler [2,14]. Im vorgestellten Fall erfolgte die Therapie der ausgedehnten Knochendefekte im Oberkiefer nach dem „biologischen Konzept“ nur mit autologem Knochen. Nach der Schaffung eines suffizienten Knochenangebotes wurden die Implantate in möglichst gleichmäßiger Verteilung inseriert, um ein gutes Unterstützungspolygon für die Prothetik und damit eine gute Kraftverteilung zu erreichen.
Durch die heute verfügbaren CAD/CAM-Techniken und die damit einhergehende Präzision ist die Steg-Riegel-Versorgung eine attraktive Lösung zur Rehabilitation des unbezahnten Oberkiefers auf Implantaten. Diese bedingt herausnehmbare Versorgung bietet gegenüber festsitzenden prothetischen Lösungen eine Reihe von Vorteilen. So ist die parodontale Hygienefähigkeit an allen Implantaten gegeben, was sich insbesondere bei nicht vollständig erhaltbarer Patientencompliance positiv auswirkt. Darüber hinaus ist eine einfache extraorale Reparaturmöglichkeit des Zahnersatzes gegeben.
Zahnarzt und Zahntechniker können bei zentral gefrästen CAD/CAM-Gerüsten oft oder mindestens zwischen Titan oder Kobalt- Chrom wählen. Bei der gewählten Konstruktion entfällt durch die Verschraubung des Zahnersatzes die Notwendigkeit einer Zementierung, was das klinische Risiko einer Periimplantitis minimiert, da es keine im periimplantären Bereich belassenen Zementreste gibt.
Mit reduziertem Material- und Zeitaufwand gegenüber dem herkömmlichen Gussverfahren ist es nach unserer Erfahrung möglich, bei gleichzeitig höherer Präzision passgenaue Ergebnisse selbst bei komplexen Arbeiten zu erzielen, die sich über den gesamten Kiefer erstrecken. Das Gefüge der industriell gefrästen Stege stellt sich als homogen dar; es entfällt die Lunker- und Korngrößenproblematik.
Bildquellen sofern nicht anders deklariert: Unternehmen, Quelle oder Autor/-in des Artikels
Entdecke CME Artikel





Keine Kommentare.