Ab wann ist man alt? Dafür gibt es keine allgemein gültige Regel, denn dies ist schon fast eine philosophische Frage, bei der auch medizinische, soziale und psychologische Faktoren eine Rolle spielen [1]. Der natürliche Alterungsprozess ist progredient und irreversibel; und auch pathologische Veränderungen können zur Pflegebedürftigkeit führen. Die Menschen werden immer älter. Die Lebenserwartung steigt Jahr für Jahr um einige Monate.

„Weiche“ Faktoren im Umgang mit dem Patienten
Es ist selbstverständlich, dass der Zahntechniker mit den Grundlagen der Teil- und Totalprothetik, der Statik sowie der Phonetik vertraut ist. Ebenso wichtig sind „weiche“ Faktoren im Umgang mit dem Patienten, was in vielen Fällen den persönlichen Kontakt mehr als angeraten erscheinen lässt, ja: geradezu obligatorisch. Hierbei sind die Besonderheiten des Alters zu bedenken. Dazu gehören etwaige Lebenskrisen nach dem Verlust des Partners, körperliche und psychische Erkrankungen, Medikamenteneinnahme, Ernährungsverhalten oder veränderte Anpassungs- und Reaktionsfähigkeit. Der Umgang mit dem (älteren) Menschen bedarf der Empathie und des Verständnisses für seine Situation. Hier sollte sich der Zahntechniker hin und wieder für die Grundaufgaben natürlicher Zähne sensibilisieren [7]:
- Zähne ermöglichen eine gute Kaufunktion und sind wichtig für den Schluckvorgang,
- Zähne sind wichtig für die Phonetik sowie Artikulation und damit für das Kommunikationsvermögen,
- Zähne bestimmen das ästhetische Bild und das Aussehen entscheidend und
- Zähne sind ein wichtiger Faktor für die Lebensqualität.
Mit dem Verlust der Zähne kommt es zu anatomischen und morphologischen Veränderungen, mit denen viele Patienten schwer klarkommen. Nur mit einem funktionierenden und den individuellen Bedürfnissen angepassten Zahnersatz kann die Lebensqualität wiederhergestellt werden.
Chefsache: Hohe Erwartungen an den Zahnersatz

Leider werden abnehmbare Prothetik und Totalprothetik im Dentallabor häufig stiefmütterlich behandelt. Was Zahntechniker in vielen anderen Disziplinen – z. B. Einzelzahnversorgung – mit Perfektion machen, sollte auch selbstverständlich bei abnehmbarem Zahnersatz angewendet werden. Hier lautet der Ruf: „Chefsache!“. Es bedarf hochqualifizierter Zahntechniker, um gemeinsam im Behandlungsteam den zahnlosen oder teilbezahnten Kiefer zu therapieren und aus der Vielfalt der Versorgungsmöglichkeiten den individuell optimalen Weg zu wählen. Dies wird in absehbarer Zeit keine Maschine übernehmen können. Die Totalprothetik beim hochalten Patienten ist sicher eines der anspruchsvollsten Felder in der rekonstruktiven Zahnmedizin. Da die Versorgungen immer komplexer werden, wird im Therapieprozess ein „Leader“ benötigt, der die Gesamtübersicht hat. Hierbei verändert sich die Kommunikation respektive der Austausch zwischen Zahnärzten, Patienten und Zahntechnikern. Digitale Kommunikationsmittel spielen zunehmend eine Rolle.
Aspekte für die Wahl des Versorgungskonzeptes
Versorgungen auf Implantaten

Es stellt sich die wichtige Frage: eine festsitzende oder abnehmbare Lösung wählen? Zusätzlich zum Tragekomfort ist bei dieser Entscheidung die Möglichkeit einer guten Mundhygiene zu bedenken. Der abnehmbare, auf Implantaten verankerte Zahnersatz bietet eine einfache Hygienefähigkeit, wenn man die entsprechenden Prinzipien berücksichtigt (Abb. 3a). Wird ein festsitzender Zahnersatz hergestellt, muss unbedingt auf die hygienefähige Gestaltung geachtet werden (Abb. 3b u. c).
Klammerprothesen
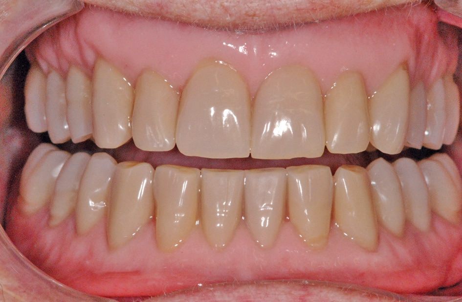
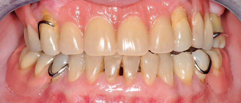
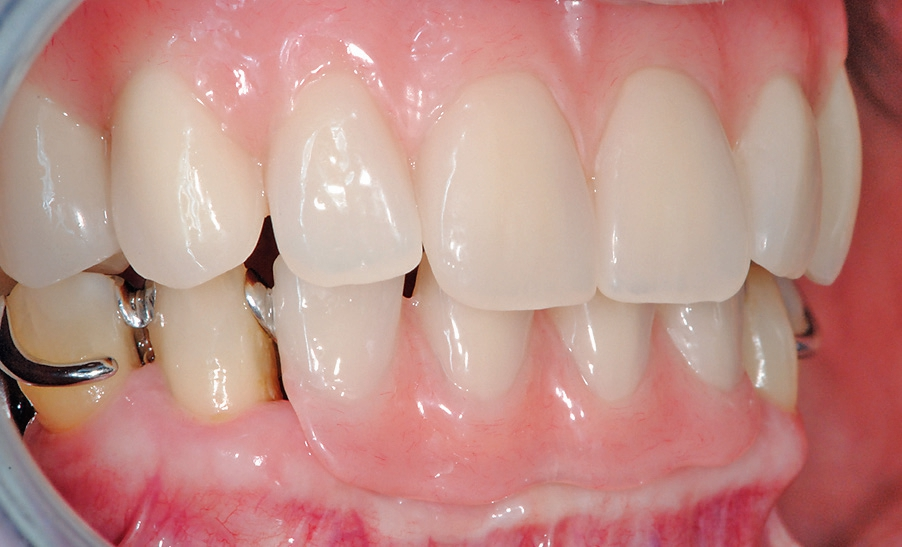
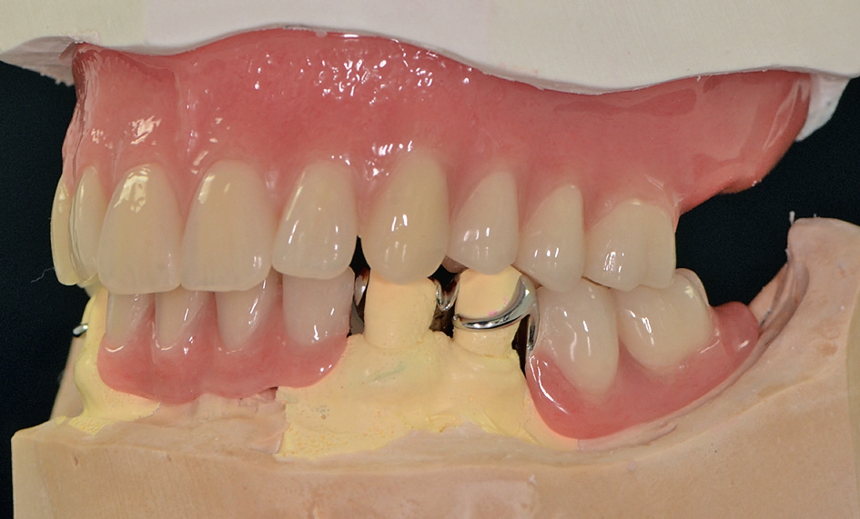
Zusätzlich zu klassischen Kronen- und Brückenrestaurationen kommen bei Patienten im dritten oder vierten Lebensabschnitt häufig die abnehmbaren Rekonstruktionen zum Einsatz. Bei teilbezahnten Patienten sind Klammerprothesen oft die erste Wahl, häufig aus Kostengründen. Angestrebt werden so wenig Klammern wie möglich und so viele wie nötig; z. B. sind bei günstiger Pfeilerverteilung und dementsprechender Abstützung zwei Klammern ausreichend [10] (Abb. 4). Das Gerüst sollte derart gestaltet werden, dass bei einem weiteren Zahnverlust ohne großen Aufwand Zähne angesetzt werden können. Vollplatten haben gegenüber den skelettierten Platten Vorzüge bei der Kraftverteilung und beim Übergang zur Totalprothese, werden aber manchmal vom Patienten nicht toleriert. Auch hier rückt die parodontal und interdental offene Gestaltung des Gerüstes in den Vordergrund, damit auch im hohen Alter eine gute Mundhygiene sichergestellt ist [11] (Abb. 5 u. 6).


Alters- und funktionsabhängiges Versorgungskonzept

Folgende funktionelle Einteilung der implantatprothetischen Konzepte begleitet unsere Arbeit (Abb. 7):
- bei „jungen“ Alten: maximale Rigidität durch eine Stegversorgung;
- bei vertikal reduziertem Platzangebot und potenziellen Schwierigkeiten, eine Stegversorgung zu reinigen: retentive Verankerung (Novaloc, Straumann, Basel/Schweiz) oder CM Loc (Cendres+Métaux, Biel/Schweiz);
- bei Pflegebedürftigkeit und stark reduzierter Geschicklichkeit: Magnete (z. B. Titanmagnetics K-Line, steco, Hamburg).
Beispiele für zahn- und implantatgetragene Versorgungen
Uns steht eine weite Palette an Verankerungsmöglichkeiten zur Verfügung. Wir wählen hieraus je nach Patientenfall aus (Abb. 8).

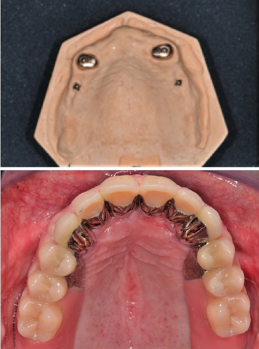
Verankerung über Kugelkopfanker bei Restzahnbestand (abnehmbar)
In der Schweiz ist nach wie vor die Versorgung von wurzelbehandelten Zähnen mit Wurzelstiftkappen und einer Kugelkopfverankerung eine häufig angewandte Methode. In Kombination mit Implantaten kann dem Patienten eine festsitzend-abnehmbare Restauration angeboten werden (Abb. 9a u. b). Die Verankerung des Zahnersatzes erfolgt über Kugelpatrizen (Zähne, Implantate) und Matrizen. Der Zahnersatz kann gaumenfrei gestaltet werden. Diese Variante ist eine vergleichsweise einfache Art der implantatprothetischen Versorgung, insbesondere auch für die Nachsorge. Mit einfachen Handgriffen kann die Haltekraft (z. B. Dalbo Plus Matrize von Cendres+Métaux) erhöht oder die Matrize ausgewechselt werden. Im Falle einer Erweiterung ist eine zusätzliche Verankerung problemlos in den bestehenden Zahnersatz integrierbar.
Verankerung über nietenförmige Retentionskappen (abnehmbar)

Verankerung über einen Steg (abnehmbar)
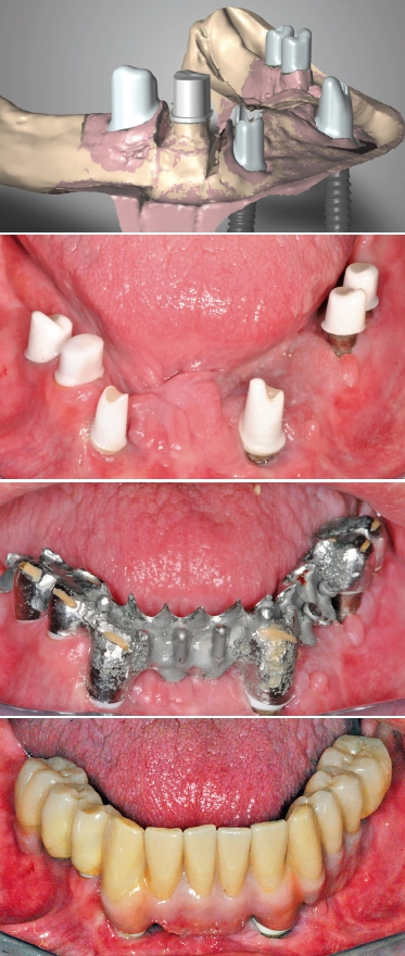
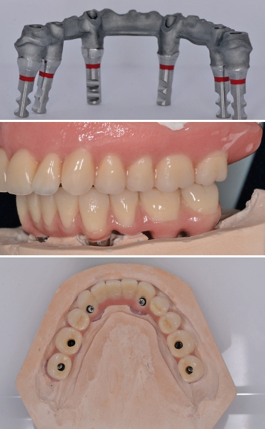
Manchmal ist weniger mehr. Natürlich können wir im Zeitalter der CAD/CAM-Technologie individuelle Stege fräsen und mittels Galvanotechnik den Stegreiter konzipieren. Betrachten wir aber die Zunahme der Lebenserwartung und die Befindlichkeitsänderung mit zunehmendem Alter, sollte das Ziel die Einfachheit sein. Wir haben mit CAD/CAM-gefertigten Steggeschieben nach Dolder (Abb. 11a) (CM) gute Erfahrungen gemacht [17]. Als Verankerungselement bevorzugen wir die passenden Goldmatrizen (Abb. 11b). Diese können einfach aktiviert oder deaktiviert werden und verlieren während der Tragedauer nicht ihre Haltekraft. Es sind mindestens zwei Implantate im Unterkiefer und vier Implantate im Oberkiefer notwendig, wobei vier und sechs Implantate zu bevorzugen sind [14]. Mittels parallel gefrästem Steg werden die Implantate verblockt und eine Deckprothese (gaumenfrei) hergestellt (Abb. 11c u. d). Je nach Wunsch und Anspruch kann sowohl die rote als auch die weiße Ästhetik individualisiert werden. Dieser Therapieweg hat viele Vorzüge und wird von den Patienten sehr gut angenommen. Dank der CAD/ CAM-Technologie kann ein optimaler passiver Sitz erzielt werden.

Zu bedenken ist, dass die Mindestbauhöhe der Stege gerade im Oberkiefer starke Auswirkungen auf die Lautbildung haben kann. Für den vertikalen Platzbedarf werden mindestens 12 mm angegeben [18]. Es ist darauf zu achten, dass das anteriore Phonationsdrittel nicht zu stark eingeschränkt wird. Ist die Knochenresorption noch nicht stark fortgeschritten, muss entweder eine Osteoplastik bei der Implantatchirurgie erfolgen oder ein kleineres Verankerungselement verwendet werden.
Verankerung über Doppelkronen (abnehmbar)

Früher hauptsächlich aus hochgoldhaltigen Legierungen gefertigt, haben sich in den vergangenen Jahren auch NEM-Legierungen für die Doppelkronentechnik etabliert [19]. Nachteilig sind der hohe Herstellungsaufwand und die Kombination verschiedener Materialien, wobei die CAD/CAM-Technologie (vom Fräsen bis zum Selective Laser Melting) günstigere Wege in Aussicht stellt (Abb. 12a-d).
Einfache Rekonstruktionen auf Implantaten (bedingt abnehmbar)

Hygienefähigkeit
Oberste Prämisse bei der Gestaltung einer implantatprothetischen Therapie ist der Erhalt der Hygienefähigkeit. Hierbei bieten abnehmbare Versorgungen klare Vorteile gegenüber festsitzenden Brücken. Bei manuell eingeschränkten Patienten sind unverblockte Verankerungselemente (z. B. Kugelkopf, Novaloc) zu bevorzugen. Kann die Mundhygiene durch den Patienten, die Familie oder das Pflegepersonal sichergestellt werden, sind implantatgetragene Brücken oder steggetragene Deckprothesen ab vier Implantaten möglich. Bei festsitzenden Restaurationen sind entsprechende Putznischen zu gestalten (Abb. 14a u. b).

Materialkonzepte
Hinsichtlich der Materialien für prothetische Versorgungen hat sich in den vergangenen Jahren viel verändert. Die CAD/CAM-Technologie erlaubt die Verarbeitung zahlreicher innovativer Materialien (Abb. 15). Doch welche Materialien spielen hinsichtlich der prothetischen Versorgung des teibezahnten oder des zahnlosen Kiefers eine Rolle?
Gerüste aus Metall
VMK blickt auf die ausführlich dokumentierte Klinik zurück. Neben die Gusstechnik sind nun zur Gerüstherstellung das maschinelle Fräsen und additive Fertigen mittels Laserstrahl im Pulverbett getreten.
Metallfreie Gerüste
Als bewährt gelten mittlerweile auch vollkeramische Versorgungen auf hochfesten Zirkoniumdioxid-Gerüsten. Diese bieten durch die CAD/CAM-gestützte Fertigung eine hervorragende Passung.

Ästhetische Veredlung

„Digital Dentistry“ in der Alterszahnheilkunde
Wir können mit neuen Konzepten den Patienten im dritten oder vierten Lebensabschnitt zahleiche Therapieoptionen anbieten. Gerade im Bereich des zahnlosen Kiefers ermöglichen digitale Lösungsansätze patientenfreundliche Wege [24]; so können z. B. im digitalen Workflow je nach Umständen und System Behandlungssitzungen eingespart werden [25]. Ein Beispiel: Gerade „sehr alte“ Patienten haben oft Mühe, sich an eine komplett neue Versorgung zu gewöhnen. In diesen Fällen können wir beispielsweise mit dem Avadent-System (Global Dental Science Europe, Tilburg, Niederlande) einfach die „alte Prothese“ kopieren und auf dieser Basis neue Totalprothesen herstellen (Abb. 18a-c). Auch eine verlorengegangene Prothese, die bereits digital erfasst worden ist, kann innerhalb kurzer Zeit und ohne großen Aufwand neu angefertigt werden.

Außerdem gilt es festzuhalten: Mittlerweile können wir implantatgetragenen Zahnersatz mit Stegen oder auf verschraubten Rekonstruktionen ohne Modell im komplett digitalen Workflow herstellen (Abb. 19a-c).
Zusammenfassung
Es gibt viele Möglichkeiten, den teilbezahnten oder zahnlosen Kiefer mit „neuen Zähnen“ zu versorgen. Der Zahntechniker sollte die Vor- und Nachteile der Versorgungskonzepte sowie der Materialien kennen, um im Team „Patient-Zahnarzt-Zahntechniker“ sein berufliches Können einbringen zu können. Es kommt hinzu: Bei der Planung des Zahnersatzes müssen u. a. wirtschaftliche Aspekte berücksichtigt werden. Moderner Zahnersatz kann dank CAD/CAM-Technologie individuell sowie preisspezifisch hergestellt und durch die Kombination von manuellen mit digitalen Fertigungstechniken wirtschaftlich produziert werden. Nicht zuletzt ist die Art der Versorgung von den finanziellen Möglichkeiten und den Bedürfnissen des Patienten abhängig.
Der kostengünstigste Weg bei Zahnlosigkeit ist sicher die Vollprothese, die auf digitalem Weg effizient gefertigt werden kann, aber oftmals das Adaptationsvermögen eines alten oder sehr alten Patienten überfordert. Für den zahnlosen Patienten sind die schleimhautgetragene Vollprothese im Oberkiefer und die Implantatdeckprothese auf zwei Implantaten die zu bevorzugende Versorgung [26, 27]. Bei höheren Ansprüchen seitens des Patienten sind aufwendigere implantatgetragene Lösungen möglich, müssen aber die manuelle Geschicklichkeit berücksichtigen. Solche Konzepte sind modifizierbar zu halten, um die Prothesen bei Bedarf an die progredienten Alterserscheinungen anpassen zu können. Im Bereich der bedingt abnehmbaren Versorgung gilt das Pro Arch-Konzept (Straumann) als hochwertige festsitzende Therapielösung mit vergleichsweise geringem Aufwand.
Fazit
Mit Blick auf die Zukunft stellen sich etliche Fragen. Können sich Patienten in Zukunft den Zahnersatz mit Implantaten leisten? Sind die „Boomjahre“ der gut finanzierten Renten bald vorbei? Was passiert bei steigender Lebenserwartung und einer derzeit problematisch diskutierten Rentenfinanzierung? Schon heute können viele ältere Patienten den für eine gute Lebensqualität unverzichtbaren Zahnersatz nur durch staatlich gestützte Zusatzleistungen finanzieren. Hier bedarf es kostengünstiger Möglichkeiten. Wie in jedem anderen Bereich der prothetischen Zahnmedizin sollte der Patient mit unbezahntem Kiefer die Möglichkeit haben, zwischen unterschiedlichen Versorgungsvarianten zu wählen, ohne dass bei der Qualität des Zahnersatzes bemerkenswerte Abstriche gemacht werden müssen. Ob abnehmbare Vollprothese, abnehmbare Implantatprothese oder bedingt festsitzender Zahnersatz – dieser Bereich ist wichtiger Bestandteil der Zahntechnik und sollte mit der nötigen Aufmerksamkeit bedacht werden. Der anspruchsvolle Patient mit teilbezahntem oder zahnlosem Kiefer wird in der Zukunft Praxis sowie Labor häufig konsultieren. Und hier gilt es, für jeden Anspruch ein passendes Konzept bieten zu können. Letztlich gibt es für einen Zahntechniker kaum ein schöneres Gefühl, als einem zahnlosen Patienten mit einer funktionierenden Versorgung wieder zu einer guten Lebensqualität zu verhelfen.
Näheres zu den Autoren des Fachbeitrages: Prof. Dr. Martin Schimmel, ZTM Patrick ZimmermannBildquellen sofern nicht anders deklariert: Unternehmen, Quelle oder Autor/-in des Artikels
Entdecke CME Artikel






Keine Kommentare.