|
Getting your Trinity Audio player ready...
|
Der folgende Fall zeigt auf, wie etwas speziellere Patientenwünsche berücksichtigt und umgesetzt wurden. Auch bisweilen besondere Vorstellungen, wie die dieser Patientin, können und sollten in die Arbeit einfließen, solange sie lege artis sind.
Die Patientin
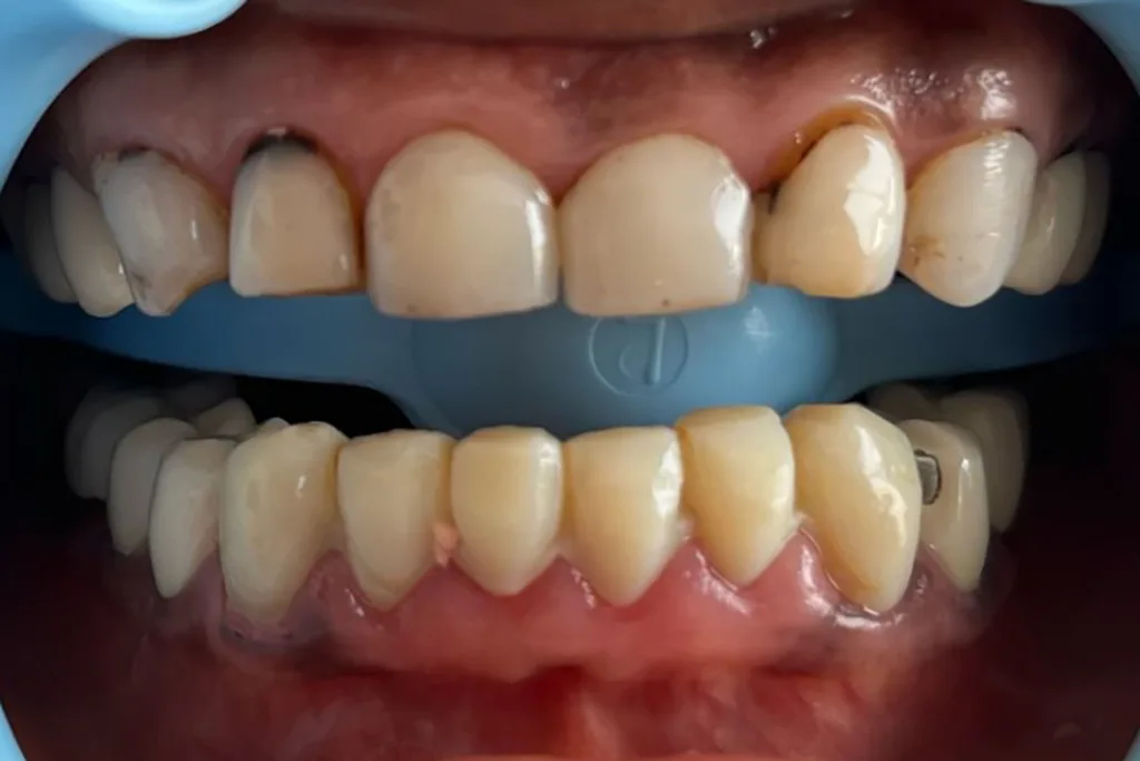
In der Zahnarztpraxis wurde eine 45-jährige Patientin vorstellig, die mit ihrem oralen ästhetischen Erscheinungsbild unzufrieden war (Abb. 1 bis 3): Sowohl an Kronen als auch an den Zähnen waren mehr oder weniger starke unästhetische Defekte zu sehen. Anamnese und Aufklärung wurden durchgeführt und der Kostenvoranschlag erstellt. Nach der Präparation waren 26 Einzelkronen und eine 3-gliedrige Brücke anzufertigen. Es wurde eine vertikale Bisshebung um 2,5 mm durchgeführt, die schon mit den Provisorien umgesetzt wurde. Hierfür wurden klassische direkte Provisorien durch den Behandler angefertigt.
Konstruktion der Gerüste
Die Konstruktion der Gerüste wurde mit dem CAD-Tool des E4 Scanners (3 Shape) ausgeführt. Für das CAM kam die Zenotec Mini Fräsmaschine (Wieland) zum Einsatz, die wie gewohnt sehr gute Fräsergebnisse erzielte und deren Kommunikation mit dem Scanner hervorragend funktioniert (Abb. 4 und 5). Als Fräsronde wurde eine Vita HT in der Farbe A2 verwendet (Abb. 6). Nach dem Aufpassen und der Feinjustierung der Ränder war das Gerüst fertig zur Anprobe. Bei der Anprobe, die bei allen Kronen sehr gute Ergebnisse zeigte, wurde erneut eine zweite Bissnahme mit den Gerüsten durchgeführt, um nochmals die korrekte horizontale und vertikale Bisslage zu überprüfen. Dieses Prozedere wurde früher auch gerne als Check-Biss bezeichnet. Diese finale Situation wurde dann einartikuliert (Abb. 7).
Verblendung
Dann erfolgte der analoge Teil der Arbeit. Die Patientin hatte sich eine hellere Farbe ihrer Kronen gewünscht, was aus ihrer Sicht durchaus verständlich ist, da sowieso alle Zähne überkront werden. Hier ist der Beratungstermin extrem wichtig, der der Patientin die Vorteile einer natürlichen Zahnfarbe noch einmal vor Augen führt. Dass dieser Termin unbedingt vor der Gerüstanprobe stattfindet, ist essenziell, um die richtige Zirkon-Ronde in Bezug auf die spätere Farbgestaltung festzulegen. Zu dem Beratungstermin fanden sich Patientin, Behandler und Zahntechniker ein. So konnten im konstruktiven Gespräch die Details zur Arbeit besprochen werden, was zu einer für alle Beteiligten guten Lösung führte. Natürlich wurden hierbei auch die Vorstellungen der Patientin berücksichtigt.
Eine uniforme Farbe in gefräster Vollanatomie, die dann „angemalt“ wird, kann sicher nicht als „natürlich wirkend“ bezeichnet werden. Sicherlich wird immer wieder versucht zu vermitteln, dass angemalte Vollzirkonkronen sehr ästhetisch aussehen – ob das tatsächlich der Fall ist, sei dahingestellt. Leider können diese Kronen nicht mit einer klassisch geschichteten Keramik konkurrieren. Daher stellen sie eher eine Alternative dar für Patienten, die eine kostengünstige Variante wünschen.
In diesem Fall wurden die Verblendungen alle mit der Feldspatkeramik VITA VM 9 geschichtet. Diese Keramik mit dem WAK 9 zeichnet sich durch ihr sehr brillantes Erscheinungsbild aus und bietet dem ambitionierten Anwender ein weites Spektrum von Zusatzmassen, um schöne Tiefeneffekte zu erzielen. Hier kam die EE10 zum Einsatz, die eine intensive blaue Farbe hat, zudem die EE11 im inzisalen Bereich, mit der man sehr schöne graue Effekte erzeugen kann. Außerdem konnten mit EE1 im inzisalen Bereich schöne helle Effekte simuliert werden.
Die VM 9-Massen sind sehr gutmütig und zeigen ausgesprochen konstante Brennergebnisse bei einem minimierten Schrumpfungsverhalten (Abb. 8). Nach dem Schichtaufbau wurden die Kronen und die 3-gliedrige Brücke nach Herstellervorgaben bei 910°C gebrannt.
Das Ausarbeiten der Verblendungen führen wir mit den in den Abbildungen 9 und 10 zu sehenden Schleifsets durch. Mit den Tokyo Sinterdiamanten lässt sich eine sehr präzise Oberflächenstruktur generieren. Es folgten der Glanzbrand und die Politur.
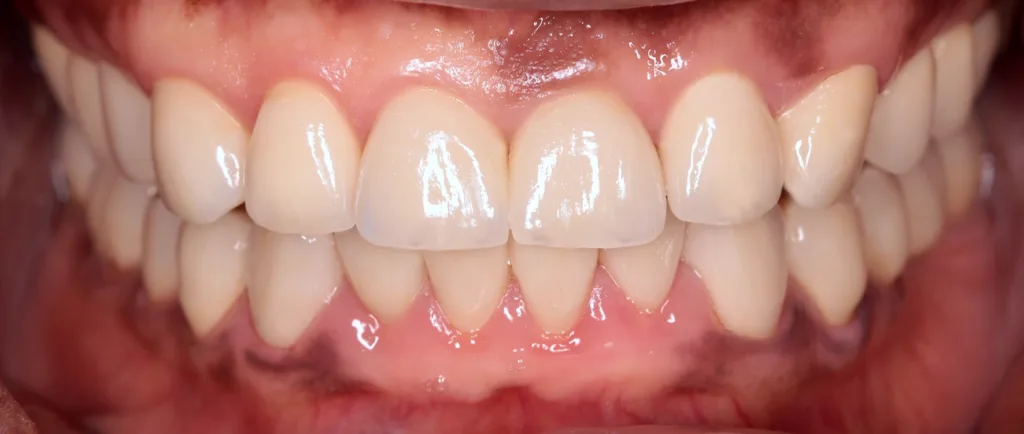
Die Patientin war mit dem Resultat mehr als zufrieden (Abb. 11 bis 16). Diesem Anspruch stets zu genügen, haben wir uns in unserem Team von Zahnarztpraxis und Zahntechniklabor auf die Fahnen geschrieben.
Entdecke CME Artikel






















Keine Kommentare.