Anzeige

Ästhetik

Ästhetisches Potenzial minimalinvasiv ausschöpfen

Endlich wieder ein natürlich schönes Lächeln – mit diesem nachvollziehbaren Wunsch stellte sich die Patientin (34 J.) im hier vorgestellten Fallbeispiel bei den Drs. Johan Figueira und John Monges vor. Eine minimalinvasive Behandlung war ihr dabei sehr wichtig. Die Herausforderung bestand somit darin, einerseits möglichst viel Zahnsubstanz zu erhalten, andererseits ausreichend „Spielraum“ für die ästhetische Ausgestaltung zu generieren. Die Lösung war die Kombination eines per se hochästhetischen Materials, das die Transluzenz der Zähne optimal adaptiert, und einer speziellen Technik zur Charakterisierung.

. Ivoclar
.
.

Die Lithium-Disilikat-Glaskeramik IPS e.max Press für die Presstechnik ist für ihre exzellente Lichtdurchlässigkeit bzw. Lichtleitfähigkeit bekannt. Je nach Patientensituation und Verarbeitungstechnik kann ein abgestimmter Rohling ausgewählt werden, hier der IPS e.max Press MT mit ausgewogener Transluzenz und vergleichsweise hoher Helligkeit. Darauf aufbauend sorgt die Scoop-Technik für weitergehende optische Effekte bei den grazil konstruierten Veneers: Unter Nutzung des IPS e.max Ceram-Sortiments wurden sowohl externe als auch interne Akzente gesetzt, um Oberflächendetails und eine natürliche Tiefenwirkung zu schaffen.

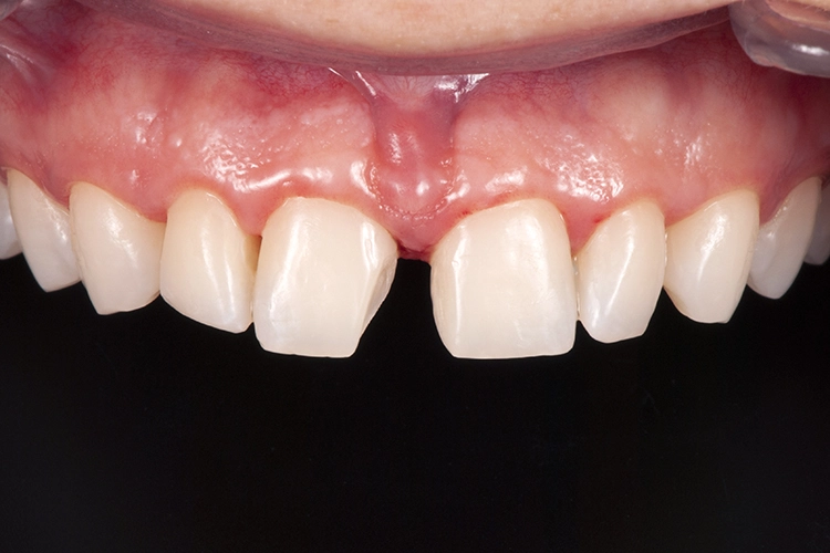
Abb. 1: Die unbefriedigende Ausgangssituation mit Komposit-Restaurationen in Regio 13–23: Die zentralen Schneidezähne im Oberkiefer sind asymmetrisch, die seitlichen Schneidezähne leicht rotiert, das Weichgewebe ist infolge einer Überkonturierung gereizt. Sechs Vollkeramik-Veneers sollen der Patientin wieder zu einem selbstbewussten Lächeln verhelfen. Ivoclar
Abb. 1: Die unbefriedigende Ausgangssituation mit Komposit-Restaurationen in Regio 13–23: Die zentralen Schneidezähne im Oberkiefer sind asymmetrisch, die seitlichen Schneidezähne leicht rotiert, das Weichgewebe ist infolge einer Überkonturierung gereizt. Sechs Vollkeramik-Veneers sollen der Patientin wieder zu einem selbstbewussten Lächeln verhelfen.
Abb. 2: Nach Entfernung der Komposit-Restaurationen werden die Zahnstümpfe gereinigt und desinfiziert. Ivoclar
Abb. 2: Nach Entfernung der Komposit-Restaurationen werden die Zahnstümpfe gereinigt und desinfiziert.
Abb. 3: Im Sinne einer konservierenden Zahnheilkunde und als optimale Grundlage für eine adhäsive Befestigung der geplanten Veneers wird bei der Präparation möglichst viel Zahnschmelz erhalten. Ivoclar
Abb. 3: Im Sinne einer konservierenden Zahnheilkunde und als optimale Grundlage für eine adhäsive Befestigung der geplanten Veneers wird bei der Präparation möglichst viel Zahnschmelz erhalten.
Abb. 4: Der Behandler bestimmt die Grundfarben der Stümpfe – entspricht den IPS Natural Die-Farbstufen ND 1 bzw. ND 2 – und legt die Zielfarben für die finalen Restaurationen fest. Ivoclar
Abb. 4: Der Behandler bestimmt die Grundfarben der Stümpfe – entspricht den IPS Natural Die-Farbstufen ND 1 bzw. ND 2 – und legt die Zielfarben für die finalen Restaurationen fest.
Abb. 5: Im nächsten Schritt erfolgt das diagnostische Wax-up. Dieses wird dupliziert und als Vorlage für die Anfertigung des Provisoriums genutzt. Ivoclar
Abb. 5: Im nächsten Schritt erfolgt das diagnostische Wax-up. Dieses wird dupliziert und als Vorlage für die Anfertigung des Provisoriums genutzt.
Abb. 6: Die temporäre Versorgung bietet der Patientin eine Vorschau auf das Behandlungsergebnis und ihr künftiges Lächeln. Ivoclar
Abb. 6: Die temporäre Versorgung bietet der Patientin eine Vorschau auf das Behandlungsergebnis und ihr künftiges Lächeln.
Abb. 7: Die Veneers werden aus IPS e.max Press-Rohlingen der Farbe MT BL4 gepresst, auf dem Modell aufgepasst und von der verbliebenen Reaktionsschicht befreit. Dann erfolgt eine natürliche Charakterisierung mittels Scoop-Technik: Form, Konturen und Textur der Restaurationen werden verfeinert und kleine Wölbungen – Scoops – in den palatinalen/inzisalen Bereichen angelegt. Ivoclar
Abb. 7: Die Veneers werden aus IPS e.max Press-Rohlingen der Farbe MT BL4 gepresst, auf dem Modell aufgepasst und von der verbliebenen Reaktionsschicht befreit. Dann erfolgt eine natürliche Charakterisierung mittels Scoop-Technik: Form, Konturen und Textur der Restaurationen werden verfeinert und kleine Wölbungen – Scoops – in den palatinalen/inzisalen Bereichen angelegt.
Abb. 8: Die gesamte Oberfläche der Veneers wird mit IPS e.max Ceram Glaze Powder FLUO sowie IPS e.max Ceram Glaze and Stain Liquid allround glasiert. Für die internen Charakterisierungen in Scoop-Technik kommen in diesem Fall IPS Ivocolor Essence-Pulver (E 14 profundo, E 15 ocean, E 02 creme, E 01 white, E 05 copper) zum Einsatz. Die Abbildung zeigt die für eine natürliche Erscheinung palatinal/inzisal platzierten Effekte. Ivoclar
Abb. 8: Die gesamte Oberfläche der Veneers wird mit IPS e.max Ceram Glaze Powder FLUO sowie IPS e.max Ceram Glaze and Stain Liquid allround glasiert. Für die internen Charakterisierungen in Scoop-Technik kommen in diesem Fall IPS Ivocolor Essence-Pulver (E 14 profundo, E 15 ocean, E 02 creme, E 01 white, E 05 copper) zum Einsatz. Die Abbildung zeigt die für eine natürliche Erscheinung palatinal/inzisal platzierten Effekte.
Abb. 9: Die äußeren Oberflächen wurden mit Schmelz- und Opaleffekt-Massen charakterisiert: IPS e.max Ceram Impulse Transparent (T blue), IPS Ivocolor Essence (E 01 white, E 04 sunset), IPS e.max Ceram Mamelon (MM yellow-orange) und IPS e.max Ceram Transpa Incisal (TI 1) zur Abdeckung der palatinalen „Wölbungen“. Ivoclar
Abb. 9: Die äußeren Oberflächen wurden mit Schmelz- und Opaleffekt-Massen charakterisiert: IPS e.max Ceram Impulse Transparent (T blue), IPS Ivocolor Essence (E 01 white, E 04 sunset), IPS e.max Ceram Mamelon (MM yellow-orange) und IPS e.max Ceram Transpa Incisal (TI 1) zur Abdeckung der palatinalen „Wölbungen“.
Abb. 10: Nach einer letzten Schicht Transpa Incisal-Masse (TI 1) wird gebrannt und schließlich poliert. Ivoclar
Abb. 10: Nach einer letzten Schicht Transpa Incisal-Masse (TI 1) wird gebrannt und schließlich poliert.
Abb. 11a u. b: Die fertiggestellten Veneers auf dem Modell überzeugen mit einem natürlich wirkenden Zusammenspiel von Textur und Transluzenz sowie einer harmonischen Gestaltung der Schneidekanten inklusive Halo-Effekt ebenso wie der Zervikalbereiche und Randleisten, wodurch die Interdentalräume besonders plastisch erscheinen. Die Vitalität, welche die Restaurationen ausstrahlen, ist dabei nicht zuletzt auf die Keramik IPS e.max Press MT zurückzuführen. Ivoclar
Abb. 11a u. b: Die fertiggestellten Veneers auf dem Modell überzeugen mit einem natürlich wirkenden Zusammenspiel von Textur und Transluzenz sowie einer harmonischen Gestaltung der Schneidekanten inklusive Halo-Effekt ebenso wie der Zervikalbereiche und Randleisten, wodurch die Interdentalräume besonders plastisch erscheinen. Die Vitalität, welche die Restaurationen ausstrahlen, ist dabei nicht zuletzt auf die Keramik IPS e.max Press MT zurückzuführen.
Abb. 11b. Ivoclar
Abb. 11b.
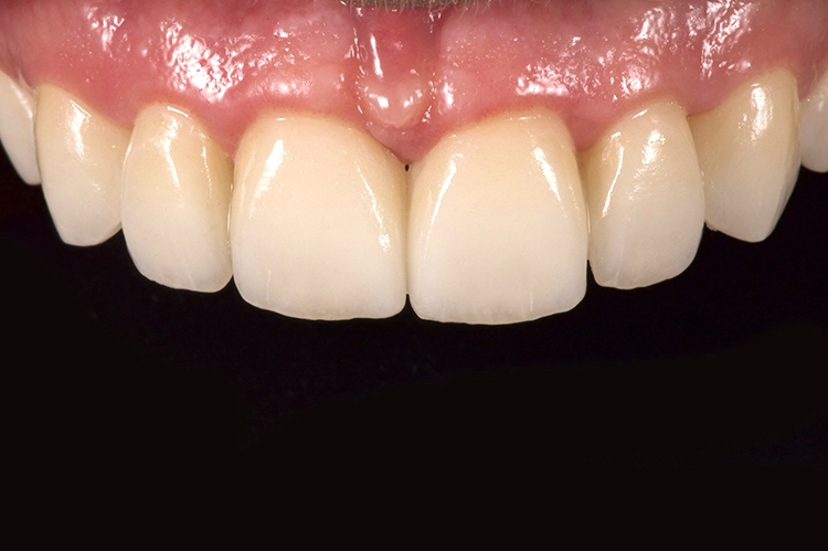
Abb. 12: Die final befestigten Restaurationen verschmelzen mit den natürlichen Zähnen zu einem harmonischen Gesamtbild. Das Behandlungsergebnis zeichnet sich durch verbesserte Proportionen und einen idealen Papillenverlauf aus. Ivoclar
Abb. 12: Die final befestigten Restaurationen verschmelzen mit den natürlichen Zähnen zu einem harmonischen Gesamtbild. Das Behandlungsergebnis zeichnet sich durch verbesserte Proportionen und einen idealen Papillenverlauf aus.
Abb. 13: Ein kreatives Fotoshooting, bei dem das neue Lächeln der Patientin gebührend in Szene gesetzt wird, bildet das perfekte Finale dieser erfolgreichen Behandlung. Ivoclar
Abb. 13: Ein kreatives Fotoshooting, bei dem das neue Lächeln der Patientin gebührend in Szene gesetzt wird, bildet das perfekte Finale dieser erfolgreichen Behandlung.

Fazit

Hochwertige Lithium-Disilikat-Materialien wie IPS e.max Press bieten dem Keramiker eine optimale Grundlage für die Anfertigung naturgetreuer Restaurationen. Ein herkömmliches Cut-back für umfassendes Aufschichten zur Erzielung der gewünschten Ästhetik ist jedoch nicht immer möglich bzw. nötig. Speziell bei der Versorgung mit minimalinvasiven Veneers wie bei dem hier gezeigten Fall ist die vorgestellte Scoop-Technik eine hervorragende Möglichkeit, um Helligkeit, Chroma und Transluzenz gezielt zu steuern und eine individuelle Charakterisierung, wie sie vor allem für die zentralen Schneidezähne erforderlich ist, zu realisieren.

IPS e.max Press MT um fünf Farben erweitert

Das IPS e.max Press MT-Produktangebot wurde nun um 5 Farben (A3.5, B2, C1, C2, D2) in den Größen small und large ergänzt. Die Rohlinge sind jetzt in 3 Bleach BL- und 9 A–D-Farben erhältlich.

Die Autoren:

Dr. Johan Figueira (US), Dr. John Monges (Venezuela), Rafael Santrich, Aventura (US)

Bildquellen sofern nicht anders deklariert: Unternehmen, Quelle oder Autor/-in des Artikels

Anzeige

Kommentare

Keine Kommentare.

Anzeige