Grundsätzlich kann man beim graphischen 3D-Druck die 3 Teilbereiche des 3D-Scan, der Datenverarbeitung und der Datenausgabe mittels 3D-Drucker unterscheiden [1]. Eine Reihe von intraoralen 3D-Scannern bietet mittlerweile die Möglichkeit, neben den Oberflächendaten auch die Farbinformationen digital zu erfassen. Dateiformate sind beispielsweise PLY-, OBJ- oder VRML-Dateien.
Mittels Polyjet-Technologie ist es möglich, diese Daten in physische Modelle umzusetzen. Die Farbinformation ist dabei geometriebezogen, das heißt, die zweidimensionale Farbinformation ist der 3D-Oberfläche eindeutig zugeordnet. Mittels Software wird ein virtuelles Farbmodell generiert, welches anschließend mittels Multimaterial-3D-Druck (Polyjet-Technologie, Stratasys, Rheinmünster) in ein physisches Farbmodell umgesetzt wird.
Da die Übertragung von Farbinformationen mittels analoger Abformung nicht möglich ist, bilden graphische 3D-Modelle eine wirkliche „Killerapplikation“. Die Datengenerierung und die Herstellung der Modelle sind nur im digitalen Workflow möglich. Es werden hier zukünftig neue Möglichkeiten entstehen, die bei der Herstellung von hochästhetischem Zahnersatz, insbesondere aber auch bei der Anfertigung monolithischer Restaurationen, enorme Verbesserungen und Erleichterungen bringen können [2].
Grundlagen
Die ersten intraoralen 3D-Scanner erfassten die räumlichen Daten von Ober- und Unterkiefer und deren räumliche Lagebeziehung. Es konnten keine weiteren Informationen durch den IO-Scan (IO = intraoral) gewonnen werden. Durch die kontinuierliche Weiterentwicklung der Intraoralscanner war es mit dem TRIOS Color (3Shape, Kopenhagen) im Jahr 2013 erstmals möglich, auch die Farbinformationen zu erfassen und diese weiterzugeben [3].
Das Ziel der Entwicklung war es, dem Anwender neben den geometrischen Daten eine Unterstützung bei der Farbbestimmung zu geben, beispielsweise für die Anfertigung von zahnfarbenem Zahnersatz. Weitergehende Nutzungen der Farbinformationen waren zum damaligen Zeitpunkt nicht vorgesehen. Dreidimensionale Geometrieinformationen und Farbinformationen haben verschiedene Dateiformate.
Dreidimensionale geometrische Daten mit Farbinformation
Die 3D-Daten der Mundsituation werden mittels Intraoralscannern erfasst, welche entweder nach dem Triangulationsprinzip oder nach dem konfokalen Laserstrahlprinzip arbeiten. Das Ergebnis ist eine dreidimensionale Punktewolke, aus der ein Oberflächendatensatz generiert werden kann, der beispielsweise mittels Dreiecksfacetten gebildet wird (= STL-File). Beide Scannervarianten bieten auch die Möglichkeit, mittels Kamera die geometriebezogenen Farbinformationen im Mund zu erfassen.
Die Kodierung des optischen Gesamteindruckes basiert derzeit in der Regel auf RGB-Farbwerten, die über ein Pixelbild jedem Punkt der dreidimensionalen Oberfläche ein RGB-Tripel zuweisen (Abb. 1). Diese Art der Codierung ist in den für den 3D-Druck gängigen Dateiformaten ähnlich, wie beispielsweise beim OBJ- oder PLY-Format.
Josef Schweiger
Im allgemeinen Sprachgebrauch wird der Begriff „optische Gesamterscheinung“ meist auf die Farbe reduziert. In der dentalen Anwendung sind es jedoch 6 wesentliche Faktoren, die die optische Gesamterscheinung eines Objektes beeinflussen [4]:
- Farbe
- Transluzenz
- Glanz
- Oberflächentextur
- Fluoreszenz
- Opaleszenz
Beim aktuellen Stand der Technik werden jedoch nur die geometriebezogenen Farbinformationen für den 3D-Druck von graphischen 3D-Dentalmodellen verwendet.
Vollfarb-3D-Drucktechnologien – Multimaterial-3D-Druck
Ein 3D-Farbdrucker kann dreidimensionale Objekte mit verschiedenen Farben und Farbverläufen erstellen. Derzeit gibt es 3 verschiedene 3D-Drucktechnologien, die die Herstellung von graphischen 3D-Modellen ermöglichen. Die erste dazu geeignete Technik war das sogenannte Pulverbett-Druckverfahren (Binder-Jetting), bei dem unterschiedlich eingefärbte Binderflüssigkeiten in ein Pulverbett gespritzt werden und so einerseits das Bauteil verfestigt und andererseits die Farbe des gedruckten Objektes definiert wird.
Diese Technologie findet im Dentalbereich keine Anwendung. Mit der Einführung des Multimaterial-3D-Druckes im Material-Jetting-Verfahren ergaben sich ganz neue Möglichkeiten bei der Anfertigung von dentalen Bauteilen. Verschiedene Hersteller bieten dieses Verfahren inzwischen an, wie beispielsweise Stratasys (Eden Prairie, MN), Mimaki (Nagano, JP), Hewlett Packard (Palo Alto, CA, USA) und 3D-Systems (Rock Hill, SC, USA). Auch mittels Material-Extrusion (FDM, FFF) und Schicht-Laminat-Verfahren von Papier ist die Herstellung von Vollfarben-3D-Modellen möglich [5].
Im Dentalbereich findet derzeit jedoch vor allem das Material-Jetting-Verfahren bei der Herstellung von graphischen 3D-Modellen Anwendung.
Fallbeispiel
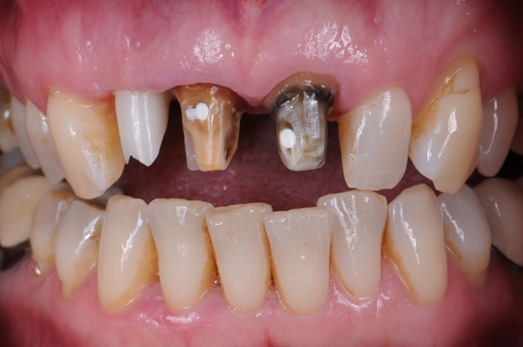
Im Rahmen der Versorgung eines Patienten mit Inlays, Onlays und Teilkronen wurde zusätzlich zur analogen Abformung ein intraoraler 3D-Scan gemacht. Die Herstellung der Restaurationen erfolgte einerseits im klassisch analogen Workflow mit manuell modellierten Presskeramik-Restaurationen und andererseits im digitalen Workflow mit 3D-Druck der Restaurationen und Umsetzung in Presskeramik sowie additiv gefertigten Vollfarb-3D-Modellen. Das Ziel war es, zu überprüfen, ob ein eventueller Mehrwert der additiv gefertigten Farbmodelle besteht.
Intraoralscan
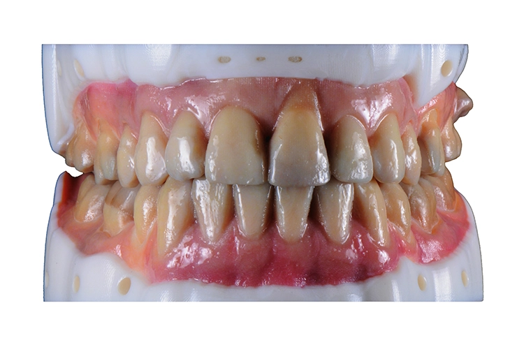
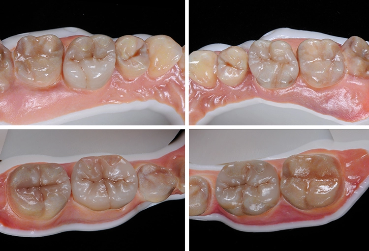
Der Intraoralscan erfolgte mit dem TRIOS 4 Scanner (3Shape, Kopenhagen, DNK), der sowohl die Oberflächengeometrie als auch die Farbinformationen der Zähne und der Gingiva erfasst [6] (Abb. 2). Nach dem Scannen der beiden Kiefer wurde anschließend je Kieferseite eine bukkale Aufnahme in habitueller Schlussbissposition gemacht, um damit die Kieferrelation zu bestimmen (Abb. 3).
Josef Schweiger
Josef Schweiger
Datenaufbereitung
Josef Schweiger
Josef Schweiger
Josef Schweiger
3D-Druck der Vollfarbmodelle
Der Vollfarb-3D-Druck der Meistermodelle erfolgte auf einer Stratasys J850 Pro bei der 3D Medical Print KG (Lenzing, A). Mit diesem Multimaterial-3D-Drucker können im Polyjetverfahren bis zu 500.000 Farben mit insgesamt neun verschiedenen Grundmaterialien verdruckt werden [7].
Durch die Anwendung des sogenannten „Glossy Modus“ konnte auf der Okklusalseite eine sehr glatte Oberfläche erreicht werden. Nicht glänzende Teile der Modelle wurden mittels Pinsel und dem lichthärtenden Versiegelungslack Palaseal (Kulzer, Hanau) bestrichen und anschließend im Hochleistungs-Lichpolymerisationsgerät Uni XS (Kulzer, Hanau) ausgehärtet (Abb. 7).
Josef Schweiger
Fertigstellung der Restaurationen auf den Vollfarb-3D-Modellen
Die Konstruktion der Inlays und Teilkronen erfolgte mit der CAD-Software Modellier (Version v.6173_6843_x64) (Zirkonzahn, Gais, I) (Abb. 8 bis 10). Die STL-Daten der fertig konstruierten Restaurationen wurden im nächsten Schritt in die Dekema trix™CAD-Software importiert. Diese Software positioniert automatisch das komplette Wax-up inklusive der Platzhalter für bis zu 3 Stempel auf dem Muffelformer (Abb. 11).
Josef Schweiger
Josef Schweiger
Josef Schweiger
Josef Schweiger
Nach dem Berechnen der einzelnen Schichten wurden die Daten an den DEKEMA trix™print 3D-Drucker gesendet und die geslicten Schichtdaten aus einem druckbaren Burnout-Material auf die Grundplatte des trixpress™-Muffelsystems gedruckt. Im Anschluss an den 3D-Druckprozess erfolgte das Reinigen und Härten der Bauteile sowie das Einbetten (Abb. 12).
Josef Schweiger
Nach dem Aufheizen im Vorwärmofen und dem rückstandsfreien Ausbrennen wurde die Presskeramik in die Muffel eingesetzt und mit den trixpress™-Stempeln verpresst (Abb. 13). Das projektspezifische Pressprogramm wurde dafür bereits vom trix™CAM zum AUSTROMAT™ 654i™ gesendet. Alternativ können die Daten auch per USB-Stick übertragen werden.
Josef Schweiger
Nach dem Pressvorgang wurden die Teilkronen mit den bekannten Schritten finalisiert. Es gibt hierbei keinerlei Unterschied zu den Verfahrensschritten des analogen Workflows. Wird im komplett digitalen Workflow gearbeitet, so ist es empfehlenswert, die Scandaten der Kiefer mittels eines 3D-gedruckten Modells abzubilden, sodass man damit sowohl die Passung als auch die approximale und okklusale Kontaktsituation überprüfen kann.
Zur Farbkontrolle beim Malfarben- und Glasurmassebrand wurden Vollfarb-3D-Modelle verwendet, sodass die Bemalung in idealerweise an die Farbsituation des Modells und somit an die Mundsituation angepasst werden konnte (Abb. 14 bis 17).
Josef Schweiger
Josef Schweiger
Josef Schweiger
Josef Schweiger
Fazit und Ausblick
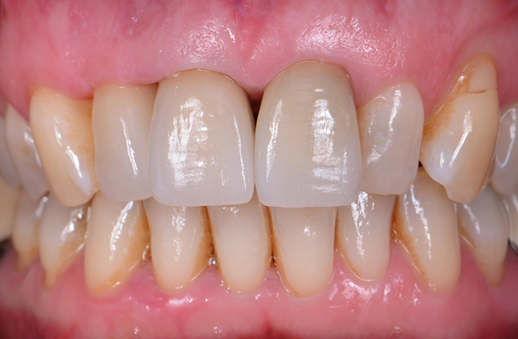
Die Verwendung von graphischen Vollfarb-3D-Modellen für die Herstellung von ästhetischem Zahnersatz zeigt eine Reihe von Vorteilen bei der farblichen Adaptation der Restaurationen. Dies ist insbesondere deshalb interessant, weil die Farbe der Zahnstümpfe die farbliche Gesamterscheinung wesentlich beeinflusst und es mit farbrealistischen Stumpfmodellen für den Zahntechniker leichter ist, die richtige Materialauswahl zu treffen sowie die farbliche Erscheinung zu überprüfen und zu optimieren (Abb. 18 bis 23).
Josef Schweiger
Josef Schweiger
Josef Schweiger
Josef Schweiger
Josef Schweiger
Josef Schweiger
Allerdings zeigt sich in der praktischen Anwendung, dass der Farbabgleich der Meistermodelle mit der Mundsituation oftmals noch nicht perfekt ist. Dabei sind 2 Einzelschritte in der Farbkalibrierung von wesentlicher Bedeutung.
Zum einen muss der Introralscanner bei der Erfassung der Daten optimal auf die Mundsituation farbkalibriert sein, zum anderen ist es ebenso entscheidend, dass der Vollfarb-3D-Drucker die Modelle in einer hohen Farbtreue ausgibt. Diese Aufgaben sind bis zum jetzigen Zeitpunkt nicht hinreichend gelöst. Ebenso wird aktuell beim Vollfarb-3D-Druck von Dentalmodellen die Transluzenz nicht bzw. nur ungenügend abgebildet.
Einen Lösungsansatz für dieses Problem könnten Zahnstrukturdaten liefern, welche nicht nur die Zahnoberfläche, sondern auch innere Zahnstrukturen, wie beispielsweise den Dentinkern und die Pulpa abbilden und dann als Datensätze für die digitale Weiterverarbeitung zur Verfügung stehen. Introrale 3D-Scanner werden zukünftig in der Lage sein, mittels NIRI-Technologie (NIRI = Nahinfrarot) diese inneren Strukturen zu erfassen und als Datensätze auszugeben. Ein weiterer Diskussionspunkt auf dem Weg zum perfekten fotorealistischen 3D-Dentalmodell ist die Fluoreszenz von natürlichen Zähnen.
Hierzu gibt es aktuell noch keinen Lösungsansatz. Erst wenn all diese Vorgaben erfüllt sind, können Vollfarb-3D-Modelle ihr ganzes Potenzial ausspielen.
Näheres zu den Autoren des Fachbeitrages: Prof. Dr. Daniel Edelhoff, Prof. Dr. Jan-Frederik GüthBildquellen sofern nicht anders deklariert: Unternehmen, Quelle oder Autor/-in des Artikels
Entdecke CME Artikel






Keine Kommentare.