Die obstruktive Schlafapnoe (OSA) zählt zu den schlafbezogenen Atmungsstörungen. Noch 2008 ging man davon aus, dass unter Erwachsenen lediglich 3–7% der Männer und 2–5% der Frauen betroffen sind [1]. Eine Studie von 2015 kam mit einer Prävalenz von 49,7% bei den Männern und 23,4% bei den Frauen zu deutlich höheren Zahlen [2].
Als behandlungsbedürftig eingestuft werden dabei etwa 15%, wobei dies mit zunehmendem Alter an Wahrscheinlichkeit gewinnt [2.1]. Doch wie kommt es zu einer OSA? Während des Schlafes erschlafft die Muskulatur wie auch das Gaumensegel. Dabei kann der gesamte Unterkiefer bzw. die Zunge nach retral fallen, wodurch sich der Atemweg verengt. Das Atmen durch diese engere Passage führt zur Vibration des umliegenden Weichgewebes, was akustisch als Schnarchgeräusch wahrgenommen wird. Schließt sich die enge Passage weiter und verringert sich die Atemtiefe um mehr als 50% so spricht man von einer Hypopnoe.
Wenn sich der Rachenraum ganz verschließt und kein „Luftholen“ mehr möglich ist, kennzeichnet dies eine obstruktive Apnoe. Der resultierende Sauerstoffabfall initiiert eine Weckreaktion. Diese wird von den Patienten zwar nicht immer bewusst wahrgenommen, dennoch verschlechtert sich die Schlafqualität je nach Häufigkeit und Dauer der Apnoen enorm.
Dies kann vielfältige Begleitsymptome bedingen: angefangen bei Mundtrockenheit, häufigem Räuspern, Tagesmüdigkeit und Antriebslosigkeit bis hin zur Depression, unfreiwilligem Einschlafen bei monotonen Tätigkeiten, Nachtschweiß, nächtlichem Wasserlassen (Nykturie), morgendlichem Kopfschmerz und Bluthochdruck. Zudem tritt Diabetes Typ 2 verstärkt in Zusammenhang mit einer OSA auf und auch Herzinfarkte, Herzinsuffizienz und Schlaganfälle werden häufig mit unbehandelter obstruktiver Schlafapnoe in Verbindung gebracht [6].
OSA – Therapieformen
Die Therapieform hängt vom Schweregrad der OSA ab. Die wohl am weitesten verbreitete Form ist die Überdruckbeatmung mittels PAP (positive airway pressure). Durch eine nasale Beatmungsmaske wird die Atemluft mit Druck zugeführt. Die Wirkungsweise der PAP-Therapie basiert also auf dem „Schienen der Atemwege“ durch Überdruck.
Diese Therapie wird gerne als „Goldstandard“ bezeichnet und bietet vor allem bei mittel- bis schwergradigen Befunden eine gute Therapievariante. Es besteht auch die Möglichkeit unterschiedlicher operativer Verfahren von der Korrektur der Nasenmuscheln bzw. -scheidewand bei behinderter Nasenatmung über die Vorverlagerung des Ober- als auch Unterkiefers bis hin zum Hypoglossusschrittmacher. Gewichtsabnahme, Reduktion des Alkoholkonsums und eine veränderte Schlaflage können außerdem bei entsprechender Anamnese geeignete Therapieempfehlungen sein. Bei einer leichten bis mittelgradigen obstruktiven Apnoe kann die Therapie mit einer Unterkieferprotrusionsschiene (UKPS) eingeleitet werden (Abb. 1).
Julia Polz
Diese Schiene hält den Unterkiefer während des Schlafens in einer definierten Position und verhindert somit ein Zurückfallen desselben sowie der Zunge. Ob die Therapie mit einer UKPS im Einzelfall erfolgreich ist, lässt sich nicht eindeutig prognostizieren. Es gibt allerdings einige Prädiktoren, die auf ein gutes Therapieergebnis hindeuten. Dazu zählen ein im Normalbereich verorteter BMI (Body Mass Index), ein rückenlagebetonter Befund, Retrognathie, ein AHI <30 (AHI: Apnoe-Hypopnoe-Index, durchschnittliche Anzahl von Apnoe- und Hypopnoe-Episoden pro Stunde Schlaf) sowie eine ausreichende Bezahnung mit parodontal gesunden Zähnen [6.1].
Der Patient der nachfolgend beschriebenen Kasuistik ist 66 Jahre alt, sportlich, leidet gelegentlich unter morgendlicher Mundtrockenheit, berichtet aber ansonsten über keine Beschwerden. Die Diagnostik erfolgt nach den Leitlinien [3] durch eine Polygrafie. Für diese Mehrkanalmessung dürfen die Patienten zu Hause im gewohnten Umfeld schlafen. Das dafür verwendete Gerät kann unkompliziert selbst angelegt werden. Es misst Puls und Sauerstoffsättigung (Pulsoximeter), während 2 Brustgurte (Thorax, Abdomen) Aufschluss über die Atemtätigkeit geben. Eine angegliederte Nasenbrille lässt auf den Atemfluss schließen (Abb. 2). Schnarchgeräusch und Körperlage werden aufgezeichnet.
Julia Polz
Zur genaueren Verifizierung verbringen die Patienten 1–2 Diagnosenächte im Schlaflabor zur Polysomnografie. Die Messungen ergaben 16,5 respiratorische – also die Atmung betreffende – Ereignisse pro Stunde (AHI 16,5). Demnach liegt eine mittelgradige Schlafapnoe vor. Der Patient lehnte die Therapie durch Überdruckbeatmung ab und wurde daher bezüglich der Behandlungsmöglichkeit per Unterkieferprotrusionsschiene in der Zahnarztpraxis vorstellig. Da er alle Anforderungen für die Therapie erfüllt, stand der Anfertigung einer entsprechenden Schiene nichts im Wege.
Voraussetzungen für die Therapie mit einer Unterkieferprotrusionsschiene sind:
• Eine ausreichende Bezahnung mit parodontal gesunden Zähnen
• Ein intaktes Kiefergelenk
• Ausreichende Mundöffnungsfähigkeit
• Ausreichend aktive Protrusionsbewegung
• Leichte bis mittelgradige OSA (AHI < 30)
UKPS – Herstellung
Es gibt unterschiedliche Systeme von Unterkieferprotrusionsschienen, unter denen je nach Zahnstatus unter Berücksichtigung eventueller Materialunverträglichkeiten gewählt werden kann. Wir haben uns in diesem Fall für die Schiene Silensor SL von Erkodent entschieden. Das System ist metallfrei und kann sehr grazil gearbeitet werden. Auch gibt es bei der Auswahl der Materialien zur Herstellung unterschiedlichste Kombinationsmöglichkeiten. Tiefziehfolien als auch MMA-freie Kunststoffe zum Aufbau der Aufbisse können hier zum Einsatz kommen.
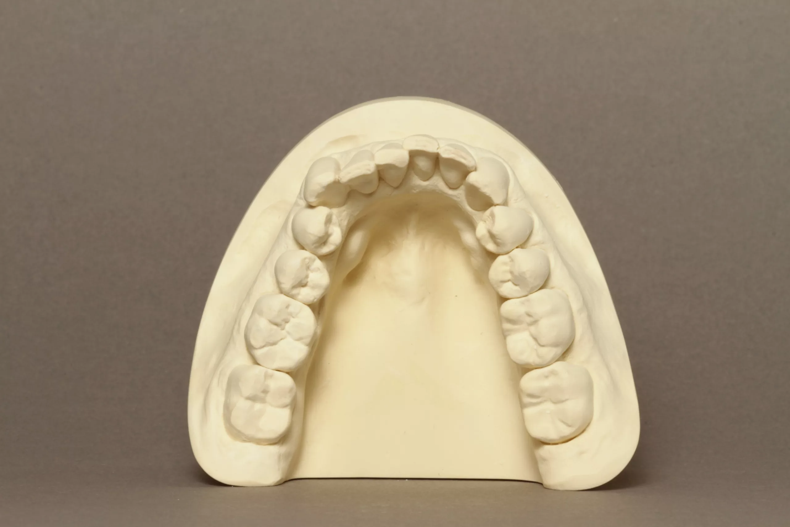
Nach der Abformung des Ober- und Unterkiefers durch den Behandler wurden Modelle hergestellt (Abb. 3 und 4). Das Oberkiefermodell wurde schädelbezüglich mithilfe des Gesichtsbogens in den Artikulator eingestellt (Abb. 5). Zur Herstellung der Silensor-Schiene wird hier der Artikulator von KaVo verwendet, da er die Protrusionseinstellung in mm-Schritten erlaubt. Falls später ein Nachjustieren (Titrieren) der Silensor-Schiene nötig sein sollte, wird diese ebenfalls in mm-Schritten vorgenommen. So kann ein mögliches Einschleifen von Störkontakten bei weiterer Protrusion im Artikulator erfolgen. Das spart dem Behandler Zeit, denn das Einschleifen der Schienen im Mund ist sehr diffizil. Das Unterkiefermodell wird mit dem Protrusionsregistrat montiert (Abb. 6).
Julia Polz
Julia Polz
Julia Polz
Julia Polz
Doch wieviel Protrusion sollte das Registrat aufweisen? Und welche passenden Registrate gibt es? Denn je nach Schienentyp kommen unterschiedliche Protrusionsregistrate zum Einsatz, die den Anforderungen des jeweiligen Schienensystems an z.B. vertikale Sperrung Rechnung tragen. Hier wurde das Protrusionsregistrat nach George Gauge verwendet. Dieses Registrat ist auch im Frontzahnbereich des Unterkiefers verstellbar. So generiert es selbst bei stark verschachtelter Front keine zusätzliche vertikale Höhe.
Der Bissgabelträger ist mit einer Millimeterskala versehen. Durch das Anzeichnen des jeweiligen Wertes auf der Skala lässt sich der Protrusionsweg bestimmen. Die Einstellung des Protrusionsgrades erfolgt erfahrungsgemäß auch unter Berücksichtigung des Befundes der Polygraphie bzw. Polysomnographie. Ausgehend von einer Vorverlagerung von minimal 50% der maximal möglichen Unterkieferprotrusion. Je nach Schweregrad des Befundes bzw. der Anzahl der respiratorischen Ereignisse (AHI) (Abb. 7 bis 10).
Julia Polz
Julia Polz
Julia Polz
Julia Polz
Mit genau diesem Protrusionsregistrat wird der Unterkiefer nachfolgend in den Artikulator eingestellt. Nach dem Einartikulieren erfolgt das Anbringen der Ankerpunkte als Aufhängung für die späteren Verbinderteile. Die Verankerungen sollten im Oberkiefer im Eckzahnbereich und im Unterkiefer im Bereich der Molaren angebracht werden. Hierbei ist darauf zu achten, dass die Ankerplatten parallel zueinander verbaut werden (Abb. 11). Auch das Entfernen eventueller Wachsreste in den Nuten ist für den späteren Sitz der Ankerplatten in der Schiene wichtig (Abb. 12). Nach dem Vermessen (Abb. 13) und Ausblocken erfolgt das Tiefziehen der Folien (Abb. 14).
Julia Polz
Julia Polz
Julia Polz
Julia Polz
Hierfür stehen unterschiedlichste Folien zur Verfügung. Harte Folien, Folien mit einer weichen Innenschicht, mit und ohne Platzhalterfolie usw., sodass nach Wunsch des Behandlers agiert werden kann. Nach dem Tiefziehen wird die überschüssige Folie entfernt und die Modelle in den Artikulator reponiert, um eventuelle Störkontakte zu identifizieren (Abb. 15). Diese werden entfernt und im Seiten- und Frontzahnbereich Kunststoffaufbisse angebracht (Abb. 16). Das Ausarbeiten erfolgt, je nach Materialwahl, in gewohnter Weise. Zuletzt werden die Ankerknöpfchen von basal in die Schiene gedrückt und rasten mit einem hörbaren Klicklaut ein (Abb. 17).
Julia Polz
Julia Polz
Julia Polz
Julia Polz
Julia Polz
Julia Polz
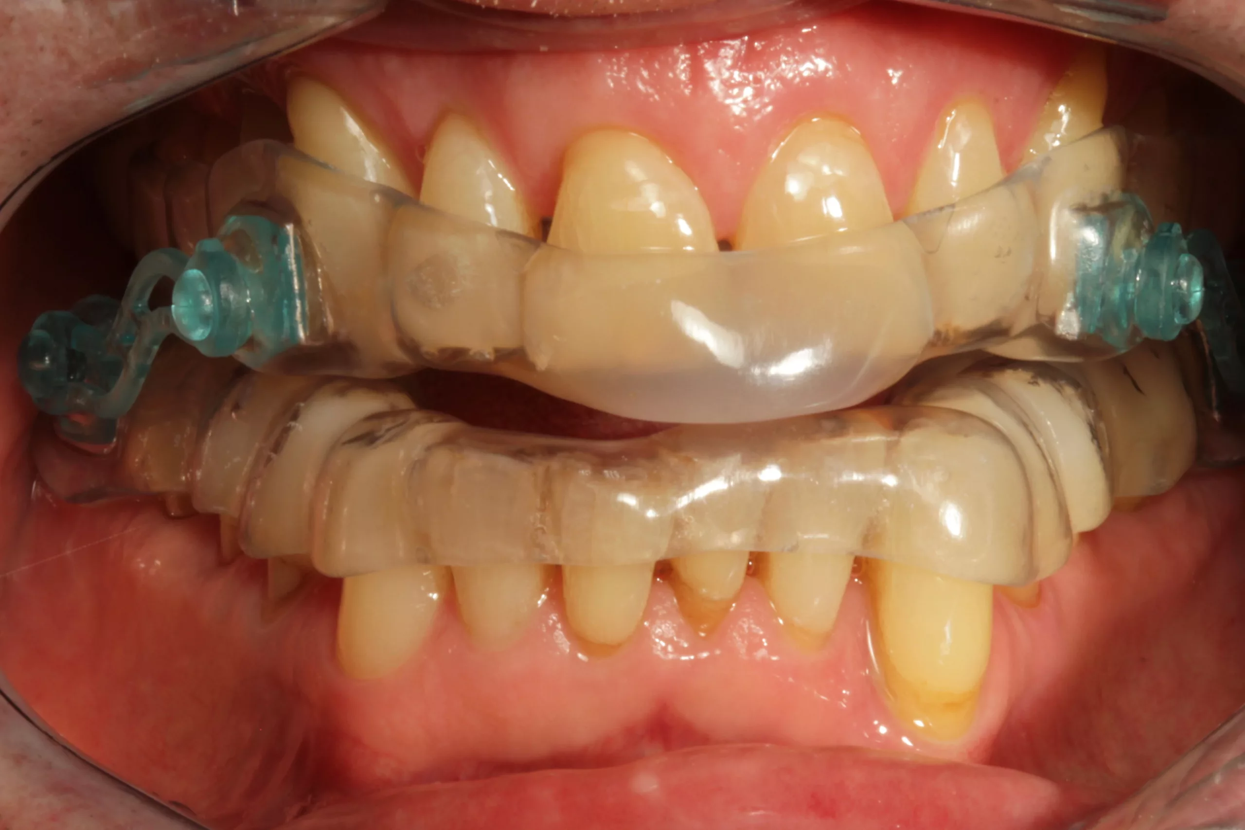
Die Abbildungen 21 und 22 zeigen, dass ein Lippenschluss möglich ist. So kann Mundtrockenheit verhindert werden, und die Schiene lässt sich angenehm tragen. Nachdem sich der Patient an das Tragen der Schiene gewöhnt hatte, wurde der Erfolg der Schienentherapie im Schlaflabor nochmals validiert. Der Befund des behandelnden Schlafmediziners lautete: „PSG AHI 0/h […] in der Diagnosenacht mit UKPS zeigten sich keine obstruktiven Ereignisse mehr. Wenig Schnarchen in Rückenlage. Therapie mit UKPS sehr erfolgreich.“
Julia Polz
Julia Polz
Fazit
Die Therapie von Schnarchen und Schlafapnoe mittels Unterkieferprotrusionsschienen ist bei leichten bis mittelschweren Verläufen effektiv und für zahlreiche Patienten ein guter Weg, ihre Vitalität und Lebensfreude zurückzugewinnen.
Literatur
[1] Naresh M, Punjabi: The epidemiology of adult obstructive sleep apnea. Division of pulmonary and critical care medicine, Johns Hopkins University.
[2] Heinzer R, Vat S, Marques-Vidal P, et al.: Prevalence of sleepdisordered breathing in the general population: The hypno study. Lancet Respir Med 2015.
[2.1] Benjafield AV, Ayas NT, Eastwood PR et al (2019) Estimination oft the global prevalence and burdon of obstructive sleep apnea:a literature-based analyse. Lancet Respir Med 7:687-698.
[3] Stuck BA, Arzt M, Fieze I et al. 2020 Teilweises update der S3d Leitlinie DGSM.
[4] Verarbeitungsanleitung Silensor SL Erkodent.
[5] Originalpublikation: mhplus-Krankenkasse.de Schlafstudie: Corona lässt die Deutschen schlechter schlafen.
[6] S3 Leitlinie Nicht erholsamer Schlaf / Schlafstörungen Kapitel 5.10-5.12.
[6.1] S3 Leitlinie Nicht erholsamer Schlaf / Schlafstörungen (DGSM) 5.20.4 Gba Behandlungsrichtlinie Unterkieferprotrusionsschiene bei obstruktiver Schlafapnoe.
Fortbildung:
Therapie obstruktiver Schlafapnoe mittels Unterkieferprotrusionsschienen
09. Juli 2022, 9:30–13:30 Uhr sowie
22. Oktober 2022, 9:30–13:30 Uhr
Veranstaltungsort: Praxis für Pneumologie
Dr. Jürgen Herold & Armin Kaa in Nürnberg
Referenten: Dr. Jürgen Herold (Internist/Pneumologe/Schlafmediziner)
Julia Polz (Zahntechnikerin mit Tätigkeitsschwerpunkt Schienentherapie für „Schnarchpatienten“)
Kosten: 250,00 Euro zzgl. MwSt.
Anmeldung bitte per Mail an: info@polz-europe.com
Bildquellen sofern nicht anders deklariert: Unternehmen, Quelle oder Autor/-in des Artikels
Entdecke CME Artikel





Keine Kommentare.