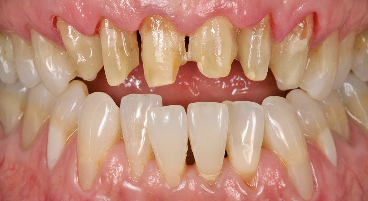
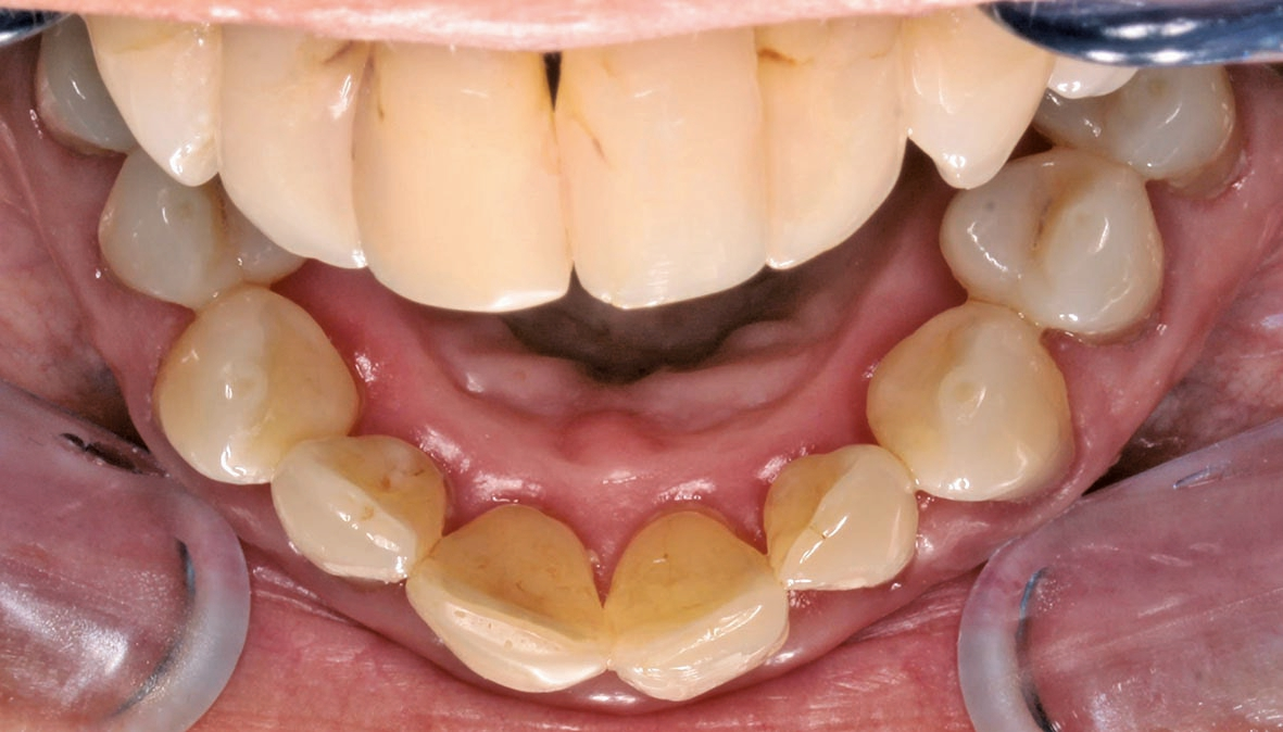
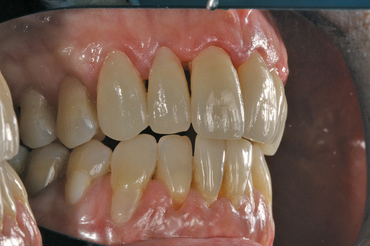
Unsere Patientin stellte sich mit einer starken Parodontitis (Abb. 1a–c) und einer schlechten Mundhygiene in der Praxis von Zahnarzt Andreas Klinkisch (Weidenberg und Bischofsgrün) vor. Am Anfang standen zunächst die Motivation zur besseren Mundhygiene, dann die konkrete Anleitung zum gründlichen Zähneputzen und schließlich die Begleitung der Maßnahmen. Nach diesem Prozess, der fast ein Jahr beanspruchte, stellte sich die 67 Jahre alte Patientin bei mir mit dem großen Wunsch vor, wieder natürliche, ästhetische und etwas hellere Frontzähne mit geschlossenen interdentalen Bereichen zu haben.
Wir sehen uns in derart gelagerten Fällen stets mit mehreren Herausforderungen konfrontiert, vor allem mit diesen: Zum einen müssen die Materialien zuverlässig und robust sein, zum anderen sollen mir die Materialien erlauben, feinste altersspezifische und individuelle Merkmale zu berücksichtigen und „nachzubauen“. Bei dieser Patientin waren die Zähne leicht fluoreszierend, das inzisale Drittel transparent und in der Schneidekante leicht opaleszent. Das Dentin und der Zahnhalsbereich hingegen wirkten stark chromatisch. Auch wollten wir, dass sich das Zahnfleisch bestmöglich an das Material adaptiert. Auch das würde helfen, die schwarzen Dreiecke im Frontbereich zu schließen.
Schreyer
Schreyer
Entscheidungsfindung
Die Entscheidung fiel für einen Zirkoniumdioxid-Gerüstwerkstoff und abgestimmte Verblendkeramik aus einer Hand (Hera Zirkonia 750 und dima HTE; Kulzer). Diese Materialien sind in vitro und auch klinisch gut erforscht und auch nach unserer eigenen Erfahrung verlässlich. Sie erfüllen für mich gleichermaßen die Anforderungen an die Funktionalität eines Werkstoffs, die ästhetischen Gestaltungsmöglichkeiten und die Verarbeitungseffizienz im Labor. Im vorliegenden Fall habe ich wegen der bei der Patientin gefundenen Transluzenz in Einklang mit dem Indikationsbereich als Gerüstwerkstoff ein Y5-Zirkoniumdioxid verwendet.
Schreyer
Präparation und Fertigung der Veneerschalen
Nach der Farbbestimmung unter Zuhilfenahme eines Kreuzpolfilters und individueller Farbmusterplättchen wurden die Frontzähne minimalinvasiv präpariert (Abb. 3a–c, Abb. 4).
Schreyer
Schreyer
Schreyer
Schreyer
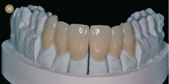
Die Veneerschalen wurden virtuell konstruiert (Abb. 5) und nach dem Nesten (Abb. 6) aus ultratransparentem dima HTE-Material in einer Wandstärke von 0,4 mm gefräst. Für das CAM steht uns unsere Cara DS mill 3.5 zur Verfügung (Kulzer). Die noch nicht gesinterten Zirkoniumdioxidkäppchen arbeiteten wir nach dem Heraustrennen nur noch mit einem speziellen Hochleistungsbohrer aus.
Schreyer
Schreyer
Nach dem Sintern wurden die Gerüste auf Passung kontrolliert und wir dünnten die Ränder unter dem Mikroskop aus. Im Anschluss wurden die Objekte unter 2 bar Druck mit 120 ?m Aluminiumoxid vorsichtig abgestrahlt.
Das Verblenden
Als einzigen schwerwiegenden Nachteil von Zirkoniumdioxid sehen wir die meist nicht vorhandene Fluoreszenz des Werkstoffs an. Diese sollte man aber nicht außer Acht lassen. Die Fluoreszenz und eine Streureflexion sind für mich ein wichtiger Teil, um Leben in die Keramik zu bringen. Ich bezeichne sie gerne als die Taschenlampe im Zahn. Fehlt die Fluoreszenz, wirken Verblendungen oft grau und leblos. Deshalb wurde auf unsere Gerüstschalen als Erstes farbiges Adhäsiv mit Fluoreszenzfaktor dünn mit einem Pinsel aufgetragen, im Anschluss streute ich HM-Schultermasse auf das pastöse Adhäsiv.
Das Adhäsiv schafft mit dem Brennvorgang einen mechanischen Verbund und verleiht der Verblendung aus der Tiefe heraus die gewünschte Fluoreszenz, gleichzeitig ist für die nötige Lichtreflexion und Lichtbrechung gesorgt.
Nun begannen wir mit dem eigentlichen Verblenden der Veneerschalen, indem wir Chroma-Dentin aufbrachten.
Dann folgten die anatomische Schichtung, das Cut-back und das weitere Schichten.
Um die Mamelonstrukturen einzulegen, wurden gezielt Value-Massen aufgetragen. Meine Mamelons habe ich in diesem Fall mit MD1 und MD2 ganz dezent eingeschichtet. Dabei finde ich es sehr wichtig, immer vorher mit den Patienten zu klären, ob diese überhaupt Mamelons, Schmelzrisse oder Fissurenkaries möchten.
Um der Keramik eine starke Tiefenwirkung zu verleihen, arbeitete ich mit den MA Shadow-Masken, die ich dünn am unteren Drittel der Verblendung auftrug. Eine dünne Schicht Clear und Opaltranspa OT Ice gaben der Mamelonstruktur einen natürlichen Lichteffekt. Beide Massen wurden vorsichtig über die Mamelonstruktur gelegt. Auch träufle ich immer einen Tropfen OT Amber für eine wärmere Lichtbrechung auf die Opaltranspa-Massen.
Die distalen Lichtleisten schichtete ich mit der Schneidemasse S2. Diese verleiht der Restauration im Vergleich zur Opalschneide mehr Farbstabilität. Die restliche Form schichtete ich mit einer Wechselschichtung aus Schneide und Opalschneide. Dann übergab ich die Arbeit zum ersten Mal dem Keramikofen. Wenn man die vom Hersteller mitentwickelte Anmischflüssigkeit verwendet hat, wird man erstaunt sein, wie wenig diese Keramik schrumpft.
Nach dem leichten Überarbeiten des ersten Keramikbrandes komme ich meist mit einem leichten zweiten Keramikbrand aus. Für die auch in diesem Fall nur kleinen Korrekturen wählte ich die Opaltranspa-Massen OT5 und OT2.
Jetzt wurden die Veneers unter morphologischen Kriterien ausgearbeitet und angepasst, bis ich die gewünschte Oberflächentextur erarbeitet hatte. Ich strebte zum Abschluss nur noch einen Malfarbenbrand an, ohne eine Glasurmasse zu benutzen.
Nach dem Abkühlen wurde die Keramikoberfläche dann per Hand noch einmal individuell poliert und der Glanzgrad eingestellt.
Das Vorgehen in Bildern
Schreyer
Schreyer
Schreyer
Schreyer
Schreyer
Schreyer
Schreyer
Schreyer
Schreyer
Schreyer
Schreyer
Schreyer
Schreyer
Schreyer
Schreyer
Schreyer
Schreyer
Schreyer
Schreyer
Schreyer
Schreyer
Schreyer
Schreyer
Schreyer
Schreyer
Schreyer
Schreyer
Schreyer
Schreyer
Schreyer
Schreyer
Schreyer
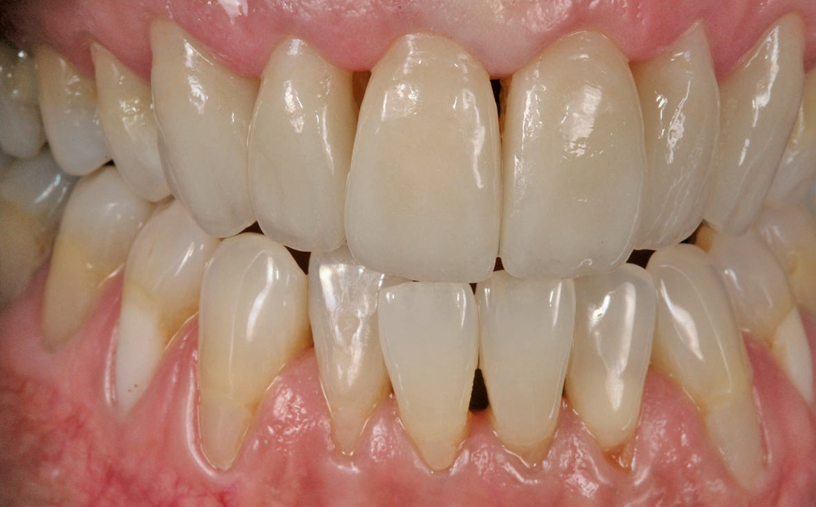
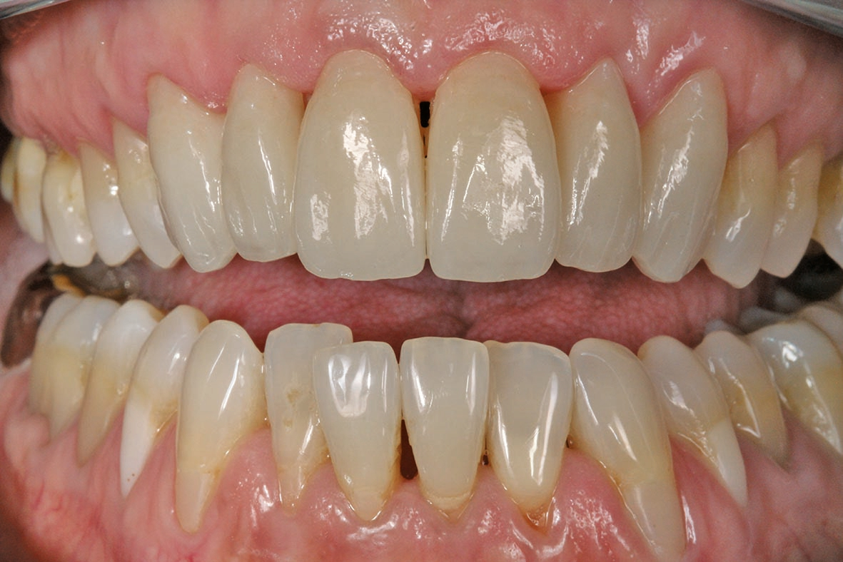
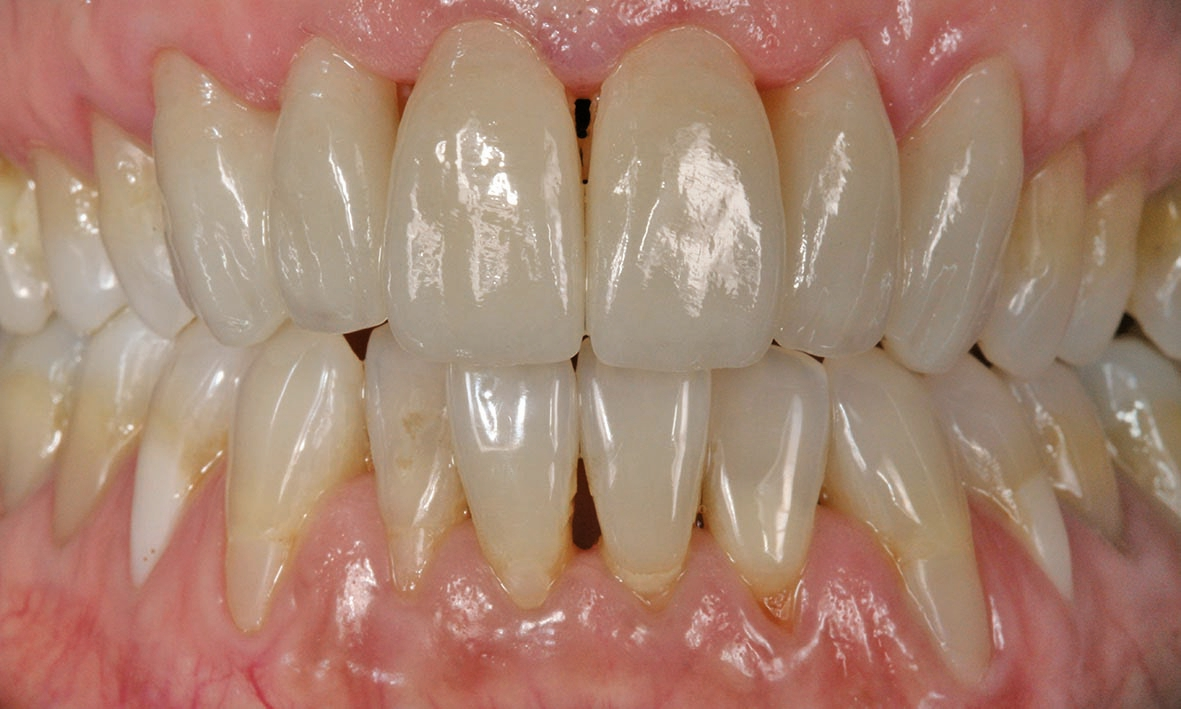
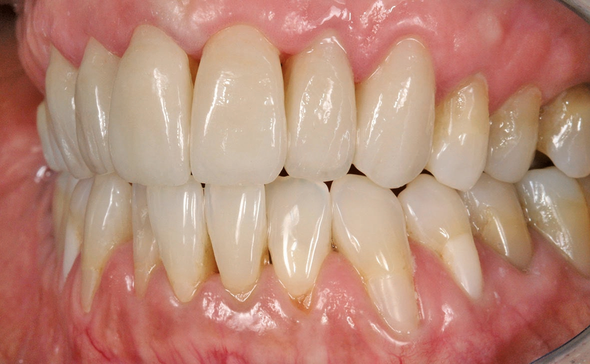
Die fertigen Veneers im Patientenmund
Schreyer
Schreyer
Schreyer
Schreyer
Schreyer
Schreyer
Schreyer
Persönliche Kommentierung
Das Materialpaar Zirkoniumdioxid und Verblendung Gibt es das ideale Materialgespann? Viele Zahntechniker sind in diesem Bereich experimentell unterwegs – leider, sage ich. Sie sammeln ihre Erfahrungen am Patienten und setzen auch viel Zeit ein. Ich vertraue hier auf starke Industriepartner, die ein für mich gutes zahntechnisches Spektrum anbieten. Die Hersteller testen ausgiebig und können außerdem unabhängige Universitätsstudien vorweisen, einerseits für jedes Material einzeln – wie Zirkoniumdioxid –, andererseits für eine Kombination – wie Zirkoniumdioxid und Keramikverblendung.
Die von mir bevorzugte Zirkoniumdioxid-Keramik ist stressresistent, sodass ich als Anwender weder Risswachstum noch Chipping zu befürchten habe. Im vorliegenden Fall wäre für die Veneergerüste grundsätzlich auch Lithium-Disilikat infrage gekommen. Für mich ist dieses Material durch die Weiterentwicklung der Y4- zu den Y5-Zirkoniumdioxiden aber etwas in den Hintergrund gerückt. In Sachen Lichtdynamik, Festigkeit und effiziente Abläufe hat sich bei mir das Y5-Zirkoniumdioxid im Laboralltag durchgesetzt, wenn es indiziert ist: nämlich für kleinere Arbeiten. Auch seitdem wir durch die „Veredelung“ des Zirkoniumdioxids das Material anätzen können, wird es bei uns im Labor deutlich lieber benutzt, wenn Einzelzahnversorgungen angesagt sind. Wir haben zudem weniger Wareneinsatz und benötigen auch keine Säure zum Ansäuern der Reaktionsschicht. Y5 halten wir wegen der Hochtransluzenz für ein perfektes Gerüstmaterial im Frontzahnbereich bei nicht verfärbten Zahnstümpfen und wenn keine metallischen Stiftaufbauten vorliegen. Auf Lithium-Disilikat verzichten wir im Labor aber nicht grundsätzlich.
Wenn wir gerade von Alternativen sprechen: Im hier geschilderten Fall wäre ein Metallgerüst unterlegen gewesen, nicht nur wegen der Gefahr der Entblößung eines Metallrandes im Frontzahnbereich im Laufe der Zeit, sondern auch wegen der hohen Biokompatibilität von Zirkoniumdioxid: Die Wahrscheinlichkeit ist deutlich höher, dass sich die Gingiva wieder mehr an die Kronen anschmiegt. Hinzu kommt die geringe Plaqueanfälligkeit. Im Falle von Hera Zirkonia sehen wir darüber hinaus durch die niedrige Brenntemperatur bei Keramikbränden von nur 750 °C, dass die Farbstabilität des Gerüstmaterials ohne Chromaverlust erhalten bleibt. In Hinsicht auf die Ästhetik gefällt uns sehr, dass sich die Verblendkeramik beim Finish mechanisch gut auf Hochglanz polieren lässt.
Sind das Gerüstmaterial und die aufbrennbare Keramik (wie im hier gezeigten Fall dima HTE) aufeinander abgestimmt und kommen aus einer Hand, fühlen wir uns zudem anwendungstechnisch auf der sicheren Seite. Auch bei validierten Abläufen und Garantieübernahmen haben wir keine Probleme.
Wax-up
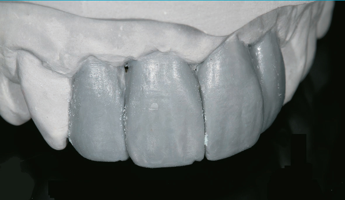
Es half der Patientin sehr, das Wax-up auf dem Gipsmodell anzuschauen. Gute Erfahrungen, in bestimmten Fällen ein Waxup zu fertigen und es mit dem Behandler zusammen mit den Patienten zu besprechen, machen wir immer wieder. Gerade bei Patienten mit einer hohen Erwartung ist es essenziell, sie in die Behandlungsplanung mit einzubeziehen und laienverständlich vorzugehen. So haben wir auch der Patientin genau dargelegt, wie wir zu ihrer neuen Zahnform kamen. Mithilfe des „Digital Smile Design“ nach Dr. Christian Coachman zeigten wir ihr unsere Vorstellung der bestmöglichen Versorgung. Dies ist für mich unerlässlich in der täglichen Arbeit geworden. Auch die Patienten lieben diese Art der Kommunikation zusätzlich zum Wax-up auf dem Gipsmodell.
Das Verblenden
Im ersten Schritt geht es um den Auftrag des Adhäsivs. Dieses und die Schultermasse können sowohl auf Lithium-Disilikat als auch auf Zirkoniumdioxidgerüsten aufgetragen werden. Die Brennparameter sind für beide Materialgruppen gleich. Auch die Adhäsive lassen sich also im Labor effizient handhaben. Zum Schichten ziehen wir das Matrix-Konzept von Paul Fiechter heran. Ich bin jedes Mal aufs Neue hochzufrieden, wenn ich sehe, welche Ergebnisse ich erzielen kann. Wichtig ist hierbei, dass ich auf eine Dentinwechselschichtung setze. Ich schichte mir mit Dentin erst einmal die anatomische Form der Frontzähne nach. Dann folgt das Cut-back, wobei ich nach dem Konzept von Thomas Kühn vorgehe. Im Anschluss kommt wieder Paul Fiechter zum Tragen.
Für das Verblenden sind vor einigen Jahren Chroma-Dentin- Massen neu hinzugekommen. Sie sind die perfekten Massen, wenn ich mit Y4 und Y5 oder Lithium-Disilikat und Lithium-Silikat als Gerüstwerkstoffen arbeite. Mit den Chroma- Dentinen erreiche ich ein tolles Farbchroma im Randbereich und an dünneren Stellen, an denen ich mehr Power brauche. Sollte ich im palatinalen Bereich einmal Farbeffekte einlegen wollen, mische ich mir die Chroma-Dentine mit einem Drittel Increaser ab (z. B. caramel, solaris oder mango).
Nach dem zweiten Brand sieht man dann, was die Kulzer-Keramik so besonders macht. Es wird hochreines synthetisches Quarzglas verwendet, das der Keramik ihr einzigartiges ästhetisches Potenzial verleiht. Man erreicht Opaleszenzen, die man nur aus der Natur so kennt.
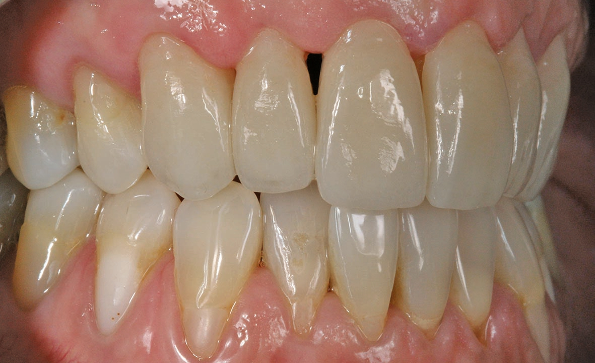
Das Ergebnis hat nicht nur dem Behandler und der Patientin, sondern auch deren privatem Umfeld sehr gut gefallen. Dank der sorgfältigen Analyse, geschickter Materialwahl und eines tollen Behandlungskonzeptes konnten wir die Patientin sehr glücklich machen.
Bildquellen sofern nicht anders deklariert: Unternehmen, Quelle oder Autor/-in des Artikels
Entdecke CME Artikel






Keine Kommentare.