Patientenfall
Ein 50-jähriger Patient, der seit fast einem Jahrzehnt Totalprothesenträger war, wünschte sich einen höheren Kaukomfort durch eine verbesserte Retention. Die Stabilität seiner schleimhautgetragenen OK-Totalprothese war zufriedenstellend. Der Kieferkamm wies ausreichend Knochenvolumen auf.
Die größere Herausforderung bestand darin, bei dem erheblichen Knochenverlust im Unterkiefer in Zusammenhang mit den natürlichen Unterkieferbewegungen einen adäquaten Halt der UK-Totalprothese zu erreichen. Angesichts der Tatsache, dass mehrere Implantate und eine Knochentransplantation hohe Kosten verursachen und eine umfangreichere medizinische Betreuung erfordern würden, fiel die Wahl auf eine implantatgetragene UK-Totalprothese. Zum Einsatz kam hierbei das Quick Up-System der VOCO GmbH – eine Komplettlösung für das Einkleben von konfektionierten Verankerungselementen in Teil- und Totalprothesen im Dentallabor oder der Zahnarztpraxis.
Behandlungsplanung
Aufgrund des geschwächten Allgemeinzustandes des Patienten war die UK-Versorgung – im Gegensatz zur klassischen implantatprothetischen Lösung – mit einer weniger invasiven und zudem erschwinglicheren implantat-getragenen Deckprothese indiziert. Von zusätzlichen chirurgischen Eingriffen, z.B. einer Knochenaugmentation vor Implantatinsertion, wurde abgeraten.
Stattdessen sollten an Stellen mit günstigem Knochenangebot 4 Implantate für die Deckprothese eingebracht werden. Die notwendigen prothetischen Schritte für die Anfertigung der Totalprothesen wurden geplant.
Behandlungsschritte
Zur Befestigung kam das für Attachments und Sekundärelemente in Prothesen auf Acrylharzbasis ausgelegte „Quick Up“-Set von VOCO zum Einsatz. Die Positionierung der Retentionselemente für die Totalprothese wurde intraoral am Behandlungsstuhl durchgeführt.
Die Verankerungspositionen für die Prothese sind abhängig von den zuvor gesetzten Implantaten und somit ein kritischer Punkt: Eine noch so kleine Fehlpositionierung führt zu schlechter Passung und damit zu einem schlechten Sitz der Prothese. Der Informationsaustausch zwischen Zahnarzt oder Zahnärztin und Zahntechniker/-in ist daher enorm wichtig.
Kommentar des Chefredakteurs zum Quick Up-System (Voco)
Der vorliegende Beitrag zum Quick Up-System zeigt eine Lösung auf, mit der gut und gezielt nachträglich Sekundärteile in eine bereits vorhandene Prothese eingearbeitet werden können. Obwohl der Hersteller dieses System für eine reine Chairside-Anwendung propagiert, die im Notfall sicher eine gute Lösung ist, ist es doch auch eine optimale Möglichkeit für eine laborgestützte Vorgehensweise im Team Praxis/Labor. Oftmals fehlen den Behandler/-innen doch Zeit und Muße für die rein zahntechnische Nacharbeit nach der intraoralen Fixierung der Matrizen. Dies kann bei guter Koordination der Arbeitsabläufe noch am selben Tag auch im Labor erfolgen, damit der Patient oder die Patientin nicht zu lange auf die Ergänzung warten muss. So kann aber auch noch einmal den Patientinnen und Patienten klar werden, dass auch bei einer preiswerteren Lösung Zahnarzt oder – ärztin und Zahntechniker/-in notwendig sind, um hochwertigen Zahnersatz zu liefern. – Prof. Dr. Peter Pospiech
Passformprüfung der Attachmentbestandteile
6 Monate nach der Implantation wurde die Totalprothese angefertigt. Die UK-Implantate waren eingeheilt. Die Primärteile, d.h. die Kugelkopfanker, konnten eingesetzt werden (Abb. 1).
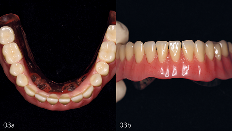
Danach wurden die entsprechenden Sekundärteile aufgesetzt und auf Passgenauigkeit geprüft (Abb. 2a und b). Die weiteren Abbildungen (Abb. 3a und b) zeigen die Totalprothese in Okklusalund Frontansicht.
Übertragung der Implantatpositionen auf die Prothesenbasis
Mit Artikulationspapier oder einem geeigneten Filzstift, Okklusionsspray, Zahnpasta o.Ä. kann die Position der Patrizen auf der Prothese angezeichnet werden. Wird beispielsweise Zahnpasta auf die Kugelkopf-Patrizen aufgetragen, die mit der Prothese in Kontakt gebracht werden, lassen sich Abklatsch-Markierungen auf der Prothesenbasis erzeugen. Somit ist feststellbar, wo genau an der Prothesenbasis Platz geschaffen werden soll.
Die Prothesenbasis wird anschließend im Bereich der Sekundärteile oval hohlgeschliffen (Abb. 4a). Dabei werden in der Prothese ovale Vertiefungen angefertigt, die groß genug sind, um die Retentionselemente vollständig und spannungsfrei aufzunehmen.
Platzkontrolle für die Aufnahme der Verankerungselemente
Um zu kontrollieren, ob die Prothesenbasis im Bereich der Sekundärteile ausreichend hohlgeschliffen wurde, werden die Vertiefungen mit dem Kontrollsilikon Fit Test C & B (VOCO) gefüllt (Abb. 4b und 5). Die Prothese wird im Mund des Patienten eingesetzt und dort durch mäßiges Zusammenbeißen für 2 Minuten fixiert. Anschließend wird die Prothese entnommen, um das Ergebnis zu kontrollieren.
Die Sekundärteile der Kugelverankerungselemente und das Fit Test C & B werden mit geeigneten Instrumenten (z.B. Scaler oder Kürette) vollständig aus der Prothese entfernt. Eine gleichmäßige Silikonmenge um die Sekundärteile spricht für ausreichenden Platz für deren Aufnahme in der Prothesenbasis.
Bei ungleichmäßigen Silikonschichten oder bei Kontakt des Attachments mit der Prothesenbasis müssen die Aufnahmeboxen in der Prothese erweitert (Abb. 6) und ggf. der Test wiederholt werden. Ziel ist, dass ringsum ca. 2 mm Raum für Quick Up erzielt wird.
Marcelo BalsamoVorbereitung und Kontrolle
Attachments und andere Sekundärteile müssen mechanische Retentionen aufweisen oder bei fehlenden Retentionen vor dem Einkleben mechanisch, z.B. durch Sandstrahlen, vorbereitet werden: Die Sekundärteile werden mechanisch durch Anrauen mit rotierenden Instrumenten oder durch Sandstrahlen nach Herstellerangaben vorbereitet.
Nach der Kontrolle werden die Sekundärteile wieder im Mund auf die Kugelkopfanker gesetzt. Um das unbeabsichtigte und irreversible Verkleben der Prothese auf den Implantaten zu verhindern, müssen die „kritischen“ Fugen zwischen dem Übergang des Implantats in die Schleimhaut und den Sekundärteilen mit einem geeigneten standfesten Material wie Silikon oder Wachs ausgeblockt werden. Zur Kontrolle der Passgenauigkeit und zum Ausblocken kann das im Set enthaltene Fit Test C & B verwendet werden (Abb. 7).
Marcelo BalsamoEinkleben der Halteelemente
Zur Verbesserung der Composite-Haftung in der Prothese werden einige Tropfen von Quick Up Adhesive (VOCO) in einer Mischpalette vorgelegt. Mit dem beiliegenden Applikationspinsel Single Tim (VOCO) wird der Haftvermittler auf die zu verklebenden, vorbereiteten Vertiefungen auf der Unterseite der Prothesenbasis aufgetragen (Abb. 8). Die Adhäsivschicht wird anschließend mit sanftem Luftstrom verblasen für 30 s an der Luft getrocknet.
Die Vertiefungen werden dann zu höchstens zwei Dritteln mit dem selbsthärtenden Composite Quick Up aufgefüllt (Abb. 9a und b). Nun wird die Prothese eingegliedert und man lässt den Patienten mit mäßigem Druck zubeißen (Abb. 10).
Falls überschüssiges Material entfernt werden muss, ist darauf zu achten, dass geeignete Instrumente verwendet werden. Die Attachments dürfen nicht mit rotierenden Instrumenten in Kontakt kommen.
Korrektur mit „Quick Up LC“
Nach der Entnahme aus dem Mund werden noch verbliebene leichte Unterschüsse oder oberflächliche Defekte mit dem beiliegenden lichthärtenden Quick Up LC (VOCO) aufgefüllt und das Ganze bei Bedarf poliert (Abb. 11a und b). Dazu werden die betroffenen Flächen gereinigt und das Quick Up Adhesive appliziert.
Die adhäsive Schicht wird im sanften Luftstrom verblasen oder für 30 s an der Luft getrocknet. Zur punktgenauen Korrektur kleinerer Oberflächendefekte der Prothesenbasis wird mit Quick Up LC aufgefüllt (Abb. 12).
Die Lichtpolymerisation erfolgt mit der Hochleistungs-LED-Lampe Celalux 3 von VOCO. Zu beachten ist dabei, dass Quick Up LC in Schichten aufgetragen und ausgehärtet werden muss, wenn Korrekturen von mehr als 1 mm Dicke erforderlich sind. Pro Schicht sind 20 s Lichthärtung erforderlich (Abb. 13).
Ausarbeitung, Politur und Endkontrolle
Nach Einkleben der Sekundärteile muss das zum Ausblocken verwendete Material, Fit Test C & B, von den Primärteilen entfernt werden. Die Flächen werden mit einer Hartmetallfräse ausgearbeitet und anschließend poliert (Abb. 14). Die Prothese mit eingeklebten Sekundärteilen wird dann beim Patienten unter Überprüfung des Sitzes und der Okklusion eingegliedert (Abb. 15 und 16).
Ergebnis
Die Übertragung der Position und die Befestigung der Sekundärteile in die Prothesenbasis direkt im Mund des Patienten liefert für die skizzierte Situation gute Ergebnisse. Alle Schritte zur Anpassung der Deckprothese konnten in einer einzigen klinischen Sitzung schnell und sicher durchgeführt werden.
Diskussion
Die in diesem Fallbericht vorgestellte Versorgung mithilfe des Quick Up-Systems führte deshalb zu einem guten Ergebnis, weil die Zähne in korrekter Okklusionsbeziehung aufgestellt waren; damit waren die Prothesen schon über die Okklusion stabilisiert und somit wurde eine aufwendige Knochentransplantation nicht erforderlich [1–4]. Natürlich gibt es eine ganze Reihe von hochwertigen, aber auch kostspieligen prothetischen Lösungen auf Implantaten, bei denen z.B. jeweils jeder einzelne Zahn durch ein Implantat ersetzt und für jeden fehlenden Zahn eine individuelle Krone angefertigt wird. Es gibt aber auch kostengünstigere prothetische Ansätze, bei denen die Implantate an strategischen Punkten oder in Bereichen mit ausreichendem Knochenvolumen gesetzt werden, um dann mit herausnehmbaren Prothesen und Verankerungselementen versorgt zu werden [5,6].
Diese Ansätze haben sich bei Patientinnen und Patienten bewährt, bei denen nur wenige Bereiche des Kiefers für Implantate geeignet sind, oder wenn die Behandlungskosten reduziert werden sollen. Verschiedene Implantathersteller produzieren eigene Verankerungssysteme für implantatgetragene Deckprothesen und schleimhautgetragene herausnehmbare Totalprothesen [7,8]. Wie bei der Totalprothese erfolgen auch bei der Deckprothese in einem zahntechnischen Labor die entsprechenden Arbeitsgänge: das Gießen des Gipses in die Abformung, die Aufstellung der Prothesenzähne, die Kontrolle der Prothesenbasis und der Okklusion usw.
Das Hauptproblem für die meisten Zahnärzte/-innen besteht darin, dem oder der Labortechniker/-in die ideale Position an der Kunststoffbasis anzugeben, wo die Sekundärteile eingebettet werden sollen [9,10]. Deshalb haben eine Reihe von Autoren und Autorinnen unterschiedliche Möglichkeiten vorgeschlagen, die Kommunikation zwischen Praxis und Dentallabor zu vereinfachen: Wenn beide Partner/-innen nicht räumlich eng beieinander liegen, können klare und eindeutige Lösungen wie die hier skizzierte verwendet werden.
Schlussfolgerung
Die Abbildungen 15 und 16 zeigen, dass dies im dargestellten Fall gut gelungen ist: Die Prothesen wiesen im Mund eine gute Passung mit perfekter Okklusion und ausgezeichneter Retention sowohl im gewebegestützten als auch im implantatgetragenen Bereich auf.
Fazit
Bei der Umwandlung einer alten Prothese in eine herausnehmbare implantatgetragene Deckprothese verbessert das Quick Up-System den Arbeitsablauf und die Effizienz am Behandlungsstuhl. In der Tat zeigt das Material Quick Up exzellente Fließeigenschaften und lässt sich aufgrund der kleinen Applikationsspritze einfach und gezielt intraoral handhaben. Außerdem hat es eine identische Farbe wie der Prothesenkunststoff und kann sparsam verwendet werden.
In Kombination mit dem beiliegenden Korrekturmaterial können stabile und ästhetische Ergebnisse erzielt werden. Der Aufwand, um eine alte Prothese in eine herausnehmbare implantatgetragene Deckprothese umzuwandeln, beträgt rein zahntechnisch nach der Implantatfreilegung maximal eine Stunde. Früher hat man Verankerungselemente und Sekundärteile intraoral direkt mit Prothesenkunststoff befestigt.
Die Risiken bestanden allerdings in einer ungewollten Veränderung der Prothesenbasis durch Materialüberschuss. Mit Quick Up werden die Verankerungselemente chairside an der Prothese durch die Zahnärzte/-innen adhäsiv befestigt. Die Anwendung ohne Überschuss ermöglicht eine wesentlich stressfreiere Methode als bisherige Verfahren, da kein mühsames Entfernen von Überschussmaterial oder aufwendige Korrektur- und Polierschritte nötig sind.
Für die Anwendung von Quick Up ist es wichtig zu beachten, dass es ohne Überschuss angewendet wird, was durch die Kombination von selbsthärtendem Quick Up und Quick Up LC ermöglicht wird. Dadurch wird der Aufwand drastisch reduziert und die Methode ist wesentlich stressfreier als bisherige Verfahren.
Bildquellen sofern nicht anders deklariert: Unternehmen, Quelle oder Autor/-in des Artikels
Entdecke CME Artikel

















Keine Kommentare.