Anhand von 4 ausgewählten Fällen werden balkonförmige Zirkoniumdioxidimplantate mit zweiteiligen Implantaten verglichen und deren Potenzial für die Osseointegration und die Verbesserung der prothetischen Versorgung zugunsten der Gesundheit des periimplantären Gewebes untersucht.
Implantate auf Gewebeniveau und die dazugehörigen Pfosten oder Abutments sind bewusst so gestaltet, dass sie den Einfluss des Mikrospalts zwischen Implantat und Abutment auf das periimplantäre Knochenniveau verringern. Es gibt Hinweise darauf, dass die Bewegung dieses Mikrospaltes und die daraus resultierende Mikroleckage möglicherweise eine marginale Knochenrezession auslösen können. Solche Vorkommnisse tragen erheblich zu Komplikationen im periimplantären Gewebe bei, einschließlich periimplantärer Mukositis, Periimplantitis und eines möglichen Implantatversagens.
Schoenbaums Übersichtsarbeit aus dem Jahr 2023 zeigt, dass Abutments auf Gewebeniveau und Implantate auf Knochenniveau mit internen schmalen Konuskonfigurationen unter 45° ähnliche Trends bei der Erhaltung des marginalen Knochenniveaus im Lauf der Zeit aufweisen. Beide Konfigurationen weisen insbesondere eine verbesserte Stabilität bei längeren Untersuchungen auf, was ihre Effektivität bei der Minimierung des marginalen Knochenverlustes unterstreicht [2].
Nach der Auswahl des richtigen Implantattyps ist die optimale Positionierung des Implantats entscheidend für eine ausgewogene Kraftverteilung beim Kauen und eine harmonische Anpassung an die natürlichen Zähne [3]. Durch die Beachtung des Austrittswinkels und der Zahnfleischkontur können die natürlichen Zähne nachgeahmt werden und Probleme wie „schwarze Dreiecke“ oder unregelmäßige Zahnfleischränder verhindert werden. Eine umfassende Diagnostik ermöglicht eine präzise Platzierung für optimale Ergebnisse [4].
Patientenfälle
Die Daten von 4 Patienten (2 Frauen und 2 Männer, Durchschnittsalter 42,5 Jahre), bei denen zwischen Mai 2019 und Februar 2022 Sofortimplantate aus Zirkoniumdioxid eingesetzt wurden, einschließlich der Röntgenbilder und Krankenakten wurden retrospektiv analysiert. Alle Implantate wurden suprakrestal in den Oberkiefer eingesetzt. Unter den Gründen für die benötigte Implantatinsertion waren periapikale Läsionen an wurzelkanalbehandelten Zähnen, Fehlpassungen von Kronen/Brücken oder Prothesen sowie parodontale Schäden. Die Patienten/-innen wurden mindestens 1 Jahr lang nach der Implantation überwacht. Die Ein- und Ausschlusskriterien sind in Tabelle 1 aufgeführt.
Kriterien | |
Einschlusskriterien | Notwendigkeit einer Sofortimplantation nach einer Zahnextraktion im Bereich der Oberkiefermolaren Alveolarknochenhöhe Grad A (ABH > 8,0 mm) oder B (ABH 6,0 mm ≤ ABH ≤ 8,0 mm) und Interseptus-Typ (I–III)* |
Implantation vor 1 Jahr | |
Verfügbarkeit vollständiger Follow-up-Daten in den Krankenakten | |
Verfügbarkeit von postoperativen Röntgenbildern und periapikalen Nachuntersuchungen | |
Ausschlusskriterien | Vorgeschichte einer Bisphosphonattherapie |
Unbehandelte systemische Krankheiten, wie Diabetes mellitus | |
Immunschwächende Krankheiten | |
Bestrahlung von Kopf und Hals in der Vergangenheit |
* Report of the sinus consensus conference of 1996. Alveoläre Knochenhöhe (ABH) [25].
Chirurgischer Eingriff
Nach der klinischen Untersuchung wurde jeweils eine digitale Volumentomografie (DVT) durchgeführt, um den darunter liegenden Knochen zu beurteilen und die Diagnose zu vervollständigen. Die Einnahme von Mineralien und Vitaminen wurde sowohl prä- als auch postoperativ für 4 Wochen verordnet (Tab. 2). Besonderes Augenmerk wurde auf die Plasmakonzentration von Vitamin D und sein Verhältnis zu Vitamin K2/MK-7 gelegt (Vitamin D 10.000 IU zu 100 μg Vitamin K2/MK-7). Nur Patienten mit Vitamin-D-Spiegeln > 40 ng/ml wurden operiert, um geeignete systemische Bedingungen für die Knochenheilung nach der Operation sicherzustellen [5].
Nährstoff | Pro-Beutel | % NRV* |
Vitamin C | 450 mg | 563 |
Vitamin D3 | 25 µg (1000 I.E.) # | 500 |
Vitamin K2 | 12 µg | 16 |
Magnesium | 250 mg | 67 |
Omega-3-Fettsäuren | 250 mg | ** |
Eicosapentaensäure-Ethylester | 140 mg | ** |
Docosahexaensäure-Ethylester | 60 mg | ** |
Andere | Calciumascorbat, Cholecalciferol, Menachinon-7, Gelatine, mikrokristalline Cellulose, Ethylcellulose, Fruchtaroma | ** |
*NRV: Nutrient Reference Value. Reference values according to VO (EU) Nr. 1169/2011
** keine Referenzmenge verfügbar
# Internationale Einheit
Quelle: Hersteller (Swiss Dental Solutions GmbH, Germany)
Das Infusionsprotokoll am Operationstag umfasste 2,4 g Co-Amoxicillin in 50–100 ml NaCl und 8 mg Dexamethason. In den ersten 72 Stunden postoperativ erhielt der Patient tägliche Infusionen von 15 g Vitamin C (2 × 7,5 g Ascorbinsäure), Procain (2 ml, 2% in 500 ml Ringer-B.-Braun-Lösung), Magnesiumsulfat (20%, 8 mmol; Bichsel), Natriumbicarbonat (8,4%; Sintetica) und Vitamin B12 (1 ml/mg; Sintetica) [6,7]. Die Schmerzen wurden bei Bedarf mit 1 g Paracetamol kontrolliert.
Die Implantate wurden mit einer minimalinvasiven Technik ohne vertikale Entlastungsschnitte unter Lokalanästhesie (Articain 40 mg/ml mit Epinephrin 10 µg/ml; Sanofi) und von dem gleichen Chirurgen gesetzt. Eine gründliche Inspektion und Kürettage der Operationsstellen wurden durchgeführt. Advanced Platelet-Rich-Fibrin (A-PRF und i-PRF), hergestellt mit dem Low-Speed-Zentrifugationskonzept (Mectron), wurde an der Eingriffsstelle über und um das Implantat herum platziert [8]. In das Vestibül der Eingriffsstelle und zur Befeuchtung des Kollagenblocks wurde i-PRF injiziert.
Die Augmentation des Alveolarkamms richtete sich nach der Größe des Defekts. Der Kollagenblock (Condress 5 x 5 cm, Smith & Nephew) wurde auf die erforderliche Größe zugeschnitten und am Alveolarkamm sowie um das Implantat herum verdichtet. Zur Stabilisierung der A-PRF-Matrizen und des Kollagenblocks sowie zur Repositionierung des Lappens wurde eine nicht resorbierbare monofile Naht (Atramat® 5-0, Mednaht) verwendet. Vor der prothetischen Belastung mussten die Implantate 4–8 Wochen einheilen.
Behandlungsergebnisse und klinische Relevanz
Insgesamt wurden 4 Implantate gesetzt. Die Wundheilung verlief normal, es wurden keine Infektionen, Nekrosen oder unerwünschten Reaktionen beobachtet. Während der Einheilung kam es weder zu Materialverlusten noch zu abnormalen Eingriffen. Alle Patienten/-innen unterzogen sich einer oralen Rehabilitation, einschließlich Prothetik. Ein Jahr nach der Implantation lag die Überlebensrate der Implantate bei 100%.
Bei dem balkonförmigen Implantat blieben die Alveolarkämme und der Kronenansatz erhalten (Abb. 4c und d). Der Spalt zwischen dem Implantat und der bukkalen Lamelle wurde mit A-PRF und einem Kollagenblock aufgefüllt, so dass keine zusätzliche Knochenaugmentation erforderlich war. Zusätzlich wurden PRF-Matrizen um, über, unter und neben dem Implantat im Knochen-Implantat-Raum positioniert (Abb. 1 bis 4b). Außerdem kam eine optionale Einheilscheibe (6 x 8 mm) zum Einsatz, um das Kollagen und die PRF zu sichern (Abb. 3b). Die Implantate zeigten bei einem Drehmoment von 35 Ncm Stabilität, welche mit dem Periotest-Gerät von Medizintechnik Gulden getestet wurde. Die Werte des Implantatstabilitätstests, die im Bereich von –8 bis 0 lagen, wurden als ideal für die Belastung angesehen (Tab. 3).
Durchmesser / Länge (mm) | Knochenaugmentation | Grad des Knochen-Alveolarkamms (ABH)/ Typ des Septums (*) | Periotest (PTV-Scale) vor der Zementierung der Krone | Knochenverlust (MBL mm) 1 Jahr nach der Implantation |
4,6/11 | Interner Sinuslift: Collagen Block (Condress) i-PRF, A-PRF (apikal, um das Implantat herum) | B/Type I | –6,3 | 0,6 |
4,6/11 | Interner Sinuslift: Collagen Block (Condress) i-PRF, A-PRF (apikal, um und über dem Implantat) | B/Type II | –5,8 | –0,35 |
5,4/14 (Healing disc 6×8 mm) | Interner Sinuslift: Collagen Block (Condress) i-PRF, A-PRF (apikal, um und unter der Bandscheibe) | A/Type I | –6,7 | –1,02 |
4,6/14 | Interner Sinuslift: Collagen Block (Condress) i-PRF, A-PRF (apikal, um und unter der Implantattulpe) | A/Type III | –8 | 0,06 |
* Bericht der Sinus-Konsensuskonferenz von 1996. Alveoläre Knochenhöhe (ABH) [25].
































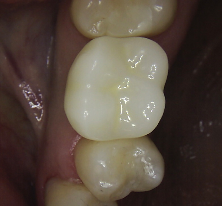
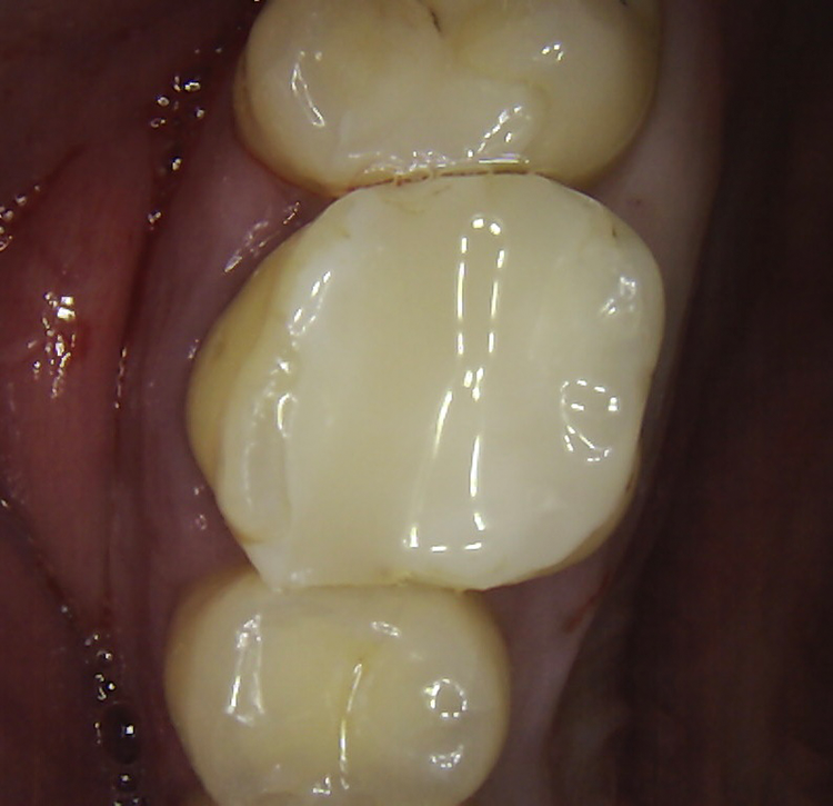
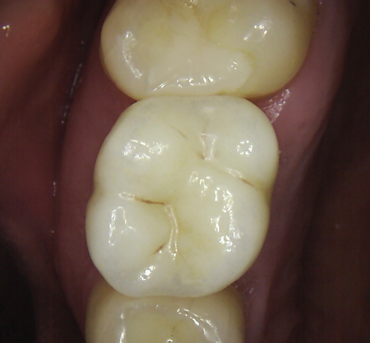
Abb. 2: Repräsentativer Fall von ABH Grad B Septus Typ II. a) Ansichten vor der Installation. Röntgenaufnahme der periapikalen Läsion an einem wurzelkanalbehandelten Molaren und klinische Ansicht der Typ-II-Socket nach der Extraktion. b) Die Ansichten nach der Installation zeigen das Implantat innerhalb des interradikulären Septums und das über dem Implantat platzierte A-PRF. c) Nachuntersuchungen nach 10 Tagen bzw. 2,1 Monaten. Die Röntgenaufnahme zeigt die Knochenbildung zwischen der Sinusmembran und dem apikalen Teil des Implantats. d) Jüngste Nachuntersuchung nach Einsetzen der Prothese.
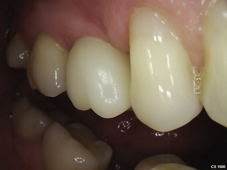
Abb. 3: Repräsentativer Fall von Grad A Typ I. a) Präoperative Ansicht. Röntgenbild der periapikalen Läsion an einem wurzelkanalbehandelten Molaren. Die Höhe des Alveolarknochens zeigt Grad A an. b) Klinische und radiographische Ansicht der Implantatinsertion unter Verwendung einer Einheilscheibe mit großem Durchmesser (6×8 mm). A-PRF wurde um das Implantat und unter der Scheibe platziert. c) Nachuntersuchung nach 5,9 Monaten vor und nach der Zementierung und Aufbereitung. d) Jüngste Nachuntersuchung nach Einsetzen der Prothese
Abb. 4: Repräsentativer Fall von Grad A Typ III. a) Ansichten vor der Implantation. Röntgenbild der periapikalen Läsion an einem wurzelkanalbehandelten Molaren. b) Die Extraktionsalveole zeigt ein interradikuläres Septum vom Typ III (B).
Der Erfolg der Implantate wurde nach den Kriterien des Pisa-Konsensus von 2008 bewertet [9]. Alle Implantate wurden als Gruppe I mit einem durchschnittlichen marginalen Knochenverlust von –0,1775 + 0,68 mm nach 1 Jahr Implantation eingestuft, die einen Knochenverlust von < 2 mm und keine Empfindlichkeit, Beweglichkeit oder Exsudat aufwiesen.
Kein Implantat fiel in die Gruppen II, III oder IV. Zur Gruppe II, die als „zufriedenstellendes Überleben“ bezeichnet wurde, gehören nicht bewegliche Implantate ohne Schmerzen oder Druckempfindlichkeit mit einem radiografischen Knochenverlust von 2 bis 4 mm. Gruppe III umfasst nicht bewegliche Implantate mit einem radiografischem Knochenverlust von mehr als 4 mm, aber weniger als der Hälfte der Implantatlänge oder mit Exsudat in der Vorgeschichte. Gruppe IV umfasst Implantatversagen, eingeschlossen bewegliche Implantate, Belastungsschmerzen, unkontrolliertes Exsudat oder radiografischem Knochenverlust von mehr als der Hälfte der Implantatlänge. Die Insertion der Implantate auf Gewebeebene und die koronale Form unterstützten das Weichgewebe.
Die SDS-Zirkoniumdioxidimplantate wurden mit zementierten Pfosten weiter aufbereitet (Abb. 1d, 3 und 4c) und nach 4,74 + 0,95 Monaten Einheilzeit mit endgültigen Kronen versorgt. Die Balkonform ermöglichte ein natürliches Emergenzprofil, das die definitiven Kronen wie die Standardform ausrichtete sowie die Gesundheit des Weichgewebes und die Osseointegration förderte. Bei jeder Nachuntersuchung wurden Stabilität des Implantats, Zustand des umgebenden Gewebes und Vorhandensein von Zahnstein beurteilt.





Diskussion
Das Setzen von Sofortimplantaten im oberen Molarenbereich ist aufgrund von Biomechanik und Anatomie, einschließlich breiter Alveolen, geringerer Knochenqualität sowie der Nähe zur Kieferhöhle eine Herausforderung [10 bis 12]. Die Überlebensraten sind zwar hoch, aber die Zuverlässigkeit ist umstritten, vor allem wegen Risiken in der anfänglichen Stabilität der Implantate und möglicher Gründe für ein Versagen [13 bis 15]. Diese Fallbeobachtung unterstreicht, wie wichtig es ist, die anatomischen Eigenschaften rund um die oberen Molaren zu verstehen, um die richtige Technik und Materialauswahl zu treffen.
Zahnimplantate aus Zirkoniumdioxid stellen eine vielversprechende Option zur Verbesserung der Mundgesundheit dar, insbesondere in Fällen, in denen sich Patienten aufgrund von Kontraindikationen oder einer Präferenz für nicht metallische Alternativen nicht für Titanimplantate entscheiden können [16]. Studien haben vergleichbare Osseointegrationsraten zwischen Zirkoniumdioxid- und Titanimplantaten gezeigt, was dafürspricht, dass Zirkoniumdioxid Titan wirksam ersetzen kann [17].
Einige Meta-Analysen weisen jedoch auf eine etwas höhere frühe Verlustrate bei Zirkoniumdioxidimplantaten im Vergleich zu Titan hin [1]. Diese Unterschiede hängen häufig mit der Art der in den verschiedenen Studien verwendeten Versorgungen zusammen, z.B. Deckprothesen [18] oder Einzelkronen [19,20]. Die abweichenden Erfolgsraten in diesen Studien könnten auf das unterschiedliche Verhalten dieser verschiedenen Rehabilitationsmethoden zurückzuführen sein, was möglicherweise zu einer Verzerrung der Interpretation führen könnte.
Ein weiterer wichtiger Aspekt der Ergebnisse betrifft das Potenzial für einen vorzeitigen Implantatverlust während der Osseointegration, was möglicherweise auf die besonderen Oberflächeneigenschaften von Zirkoniumdioxidimplantaten und ihre Insertionseigenschaften zurückzuführen ist [21,22]. Im Gegensatz zu Titanimplantaten ist bei Zirkoniumdioxidimplantaten das Erreichen einer apikalen Primärstabilität wichtiger als die Fähigkeit, während der Implantation mit einem hohen Drehmoment fest verankert zu werden [23]. Um dieser Einschränkung zu begegnen, wenden wir bei der Sofortimplantation von SDS-Implantaten den Ansatz der Implantataufbereitung an. Bei dieser Technik wird ein gut angepasstes Implantatbett geschaffen, das eine Kompression des lamellären oder kortikalen Knochens während der Implantatinsertion vermeidet.
Querschnittsbilder aus dem DVT zeigen eine hohe Genauigkeit und Zuverlässigkeit bei linearen Knochenmessungen im Zusammenhang mit der Implantatbehandlung [2]. Marginale Knochenniveaus wurden am Schnittpunkt zwischen der Längsachse des Implantats und der mesiodistalen Linie gemessen, die durch den größten krestalen Knochen auf jeder Seite des Implantats markiert ist und als Referenzpunkt für die Messung des Knochenverlusts bei Nachuntersuchungen dient. Trotz der begrenzten Anzahl von Implantaten und der Beschränkungen der Studie wurde eine Überlebensrate von 100% erreicht.
Dieser Erfolg wurde in erster Linie auf die apikale Primärstabilität des Implantats und in zweiter Linie auf die kombinierte Verwendung von Kollagen und PRF-Matrizen zurückgeführt. Die Ergebnisse dieser Analyse stehen im Einklang mit der Konsensuskonferenz über Sinustransplantate aus dem Jahr 1996, durch welche die ABH-Klassifikation eingeführt wurde, die darauf abzielt, eine anfängliche Stabilität durch internes Anheben der Kieferhöhle zu erreichen [24]. Insbesondere der Sinusboden und die interradikuläre Kortikalschicht wurden als entscheidende Faktoren für die Verankerung des Implantatkörpers für eine robuste Primärstabilität identifiziert [25].
Im Zusammenhang mit der Augmentation des Alveolarkamms gibt es bei der Verwendung von Kollagen Übereinstimmungen mit der vorhandenen Literatur, die unterstreicht, wie wichtig es ist zu erkennen, dass diese klinische Anwendung techniksensibel ist [26]. Entsprechend muss eine Anpassung des chirurgischen Protokolls erfolgen, einschließlich der Formung des Kollagens mit runden Kanten, der Abflachung der Empfängerstelle zur Verbesserung des Transplantatkontakts sowie der vorübergehenden Abdeckung mit PRF und einem mobilisierten Lappen zur Erleichterung der Blutwechselwirkung. Die Umsetzung dieser Änderungen des chirurgischen Protokolls in der aktuellen Analyse führte zu einer deutlichen Verringerung der postoperativen Komplikationen.
Es ist bemerkenswert, dass die klinischen Ergebnisse der Kollagenaugmentation mit den berichteten Zunahmen der Kieferkammbreite übereinstimmen, die bei Verfahren zur lateralen Kieferkammaugmentation unter Verwendung verschiedener Arten von intraoralen Blocktransplantaten beobachtet wurden [27,28]. In künftigen Studien muss jedoch unbedingt untersucht werden, ob das restliche kollagenhaltige Knochenmineral eine Immunreaktion auslösen kann, die sich möglicherweise auf die Wundheilung des Weichgewebes und die strukturelle Organisation des Transplantats auswirken könnte.
Fazit
Innovative Techniken, wie die Verwendung einzigartiger Zirkoniumdioxidimplantatformen zusammen mit Kollagen und PRF-Matrizen, spielen eine entscheidende Rolle bei der Erhaltung der bukkalen und interimplantären Papillenintegrität und wirken gleichzeitig der Knochenresorption entgegen. Eine effiziente Sofortimplantation unter Verwendung von Zirkoniumdioxidimplantaten auf Gewebeniveau hängt auch von der Erreichung einer apikalen Primärstabilität ab. Diese Ergebnisse unterstreichen, wie wichtig es ist, die anatomischen Nuancen des oberen Molarenbereichs zu verstehen, um fundierte Entscheidungen über Technik und Material zu treffen.
Keine Kommentare.