Bakterielle Beläge bedrohen die parodontale Gesundheit
Bakterieller Biofilm kann entzündliche Prozesse auslösen und gefährdet damit die parodontale Gesundheit [2]. Er vermehrt sich bevorzugt an Stellen, die schwierig zu putzen sind und kaum bis gar nicht von Speichel umspült werden. Auch aufgeraute Oberflächen der Zahnhartsubstanz, von Füllungen oder prothetischen Versorgungen fördern die Haftung bakterieller Beläge [3]. Professionelle Zahnreinigung sowie die konsequente persönliche Zahn- und Mundpflege spielen eine Schlüsselrolle für die Gesundheit des Zahnhalteapparates, wobei die Reinigung der Interdentalräume besondere Aufmerksamkeit verdient [1].
Risikostellen kennen
Patienten können Notwendigkeit und Nutzen dieser Maßnahmen besser nachvollziehen, wenn sie potenzielle Risikostellen kennen. Hilfreich erweist sich in diesem Zusammenhang das Anfärben des Biofilms, z. B. mit der Indikatorflüssigkeit Plaque Test von Ivoclar Vivadent. Das Präparat markiert vor allem lebende Bakterien des Biofilms. Unter Blaulicht fluoresziert dieser gelb und unterscheidet sich klar von dunkelblauem Weichgewebe und blauer Zahnhartsubstanz (Abb. 1).


Schonende professionelle Zahnreinigung
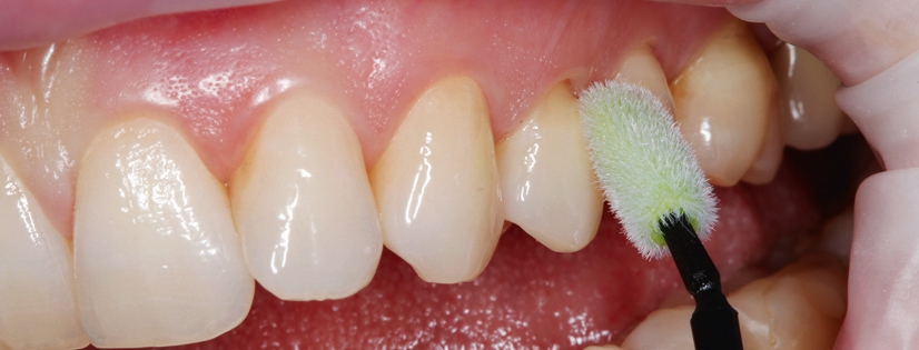
Als regelmäßig wiederkehrende Behandlung sollte die professionelle Zahnreinigung effektiv und schonend zugleich verlaufen. Ein Aufrauen der Zahnhartsubstanz oder von restaurativen Versorgungen ist möglichst zu vermeiden [3]. Mit einem weichen Kelch und einer bimssteinfreien Prophy-Paste wie der feinen Proxyt von Ivoclar Vivadent lassen sich bakterielle Beläge so entfernen, dass auch weniger widerstandsfähige Oberflächen glatt bleiben und die Gingiva geschont wird (Abb. 2) [4]. Die Applikation eines chlorhexidinhaltigen Schutzlackes oder eines Mundpflege-Gels kann die Behandlung vervollständigen (Abb. 3) [5,6].
Die persönliche Mundpflege

Bildquellen sofern nicht anders deklariert: Unternehmen, Quelle oder Autor/-in des Artikels
Entdecke CME Artikel





Keine Kommentare.