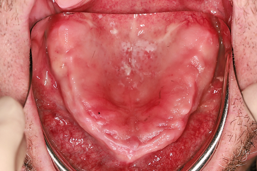
Der 49-jährige Patient trägt im Oberkiefer eine Prothese. Die Prothese im Unterkiefer hat ihn immer gestört, weswegen er diese schon länger nicht mehr getragen hat. Die Abbildungen 1 bis 3 zeigen den Ausgangsbefund. Während der Oberkiefer klinisch noch gut für Implantate geeignet erscheint, können im Unterkiefer schon Zweifel aufkommen. Bei genauerer Betrachtung des Oberkiefers in der Schichtaufnahme (OPG) kommt jedoch die Vermutung auf, dass der Knochen dünn sein könnte. Das war der Grund, warum wir vor der Implantation ein DVT erstellt haben.


Grundsätzlich macht es heute Sinn, vor einer Behandlung eine ausführliche Planung als Grundlage für die navigierte Implantation zu machen. In vorgestellten Patientenfall wurde der endgültige Zahnersatz auf Basis vorliegender Informationen zunächst provisorisch erstellt und im Anschluss digital weiter verarbeitet. Das bedeutet, dass alle relevanten Informationen, wie Biss, Zahnstellung, Farbe etc. in den provisorischen Zahnersatz eingepflegt wurden. Der finale Zahnersatz und die Position der Implantate werden im Anschluss final geplant bzw. angefertigt.
Provisorischer Zahnersatz

Man bekommt so die Möglichkeit zu beurteilen, ob die Zahnposition wirklich sinnvoll ist oder ob sie eventuell Probleme bei den Implantatpositionen erzeugt. Wenn es eine Möglichkeit gibt, die Implantate direkt in den Knochen zu bekommen ? ohne die Notwendigkeit einer Augmentation und eine nur geringe Veränderung des Zahnersatzes ? dann macht es Sinn, dies nun digital nochmals zu korrigieren. Eine erneute Überprüfung gemeinsam mit dem Patienten bietet sich an.
Die Möglichkeit, sowohl die Implantation als auch den Zahnersatz vorher zu planen und zu optimieren, ist ein Riesenvorteil. Es ist möglich, die Vorteile der navigierten Implantation vollständig zu nutzen oder genau an dieser Stelle im Ablauf festzustellen, dass es nicht notwendig ist und man nur eine Prothetikschablone benötigt.
Die digitale Planung
Die digitale Planung der Implantatposition hat sich als vorteilhaft herausgestellt. Denn meistens geht mit der digitalen Planung der Implantatposition eine geringere Augmentationsnotwendigkeit einher. Die Implantate werden optimaler in den vorhandenen Knochen gesetzt, da alle Informationen über den Knochenbedarf als auch die Positionierung in Bezug auf den Zahnersatz bekannt sind. Auch werden die Implantate nicht einzeln, sondern alle gemeinsam zueinander im Kiefer ausgerichtet.
Bei der Planung kann es durchaus vorkommen, dass alle Implantate nochmals neu ausgerichtet werden, weil eines nicht optimal steht und durch einen Kompromiss der Fall besser gelöst werden kann.
Wenn die Implantate in vorhandenen Knochen gesetzt werden können, bedeutet dies, dass sie auch früher belastet werden können. Die Behandlungszeit verkürzt sich und der Schwierigkeitsgrad nimmt deutlich ab.
In Hinblick auf die Implantationsdauer bei komplexen Fällen ist auffällig, dass die Durchführung mittels einer Navigationsschablone schneller und auch stressfreier erfolgen kann. Dies betrifft jedoch nur die reine Implantationszeit. Für die Vermeidung von Planungsfehlern ist es optimal, wenn vor der Implantation schon mit allen Beteiligten – Chirurg, Zahntechniker und Patient ? das Endergebnis besprochen werden kann. So werden Probleme extrem früh erkannt und können rechtzeitig gelöst werden.
Diese Planungsgespräche gehen sehr viel schneller und exakter, da digitale Modelle oder Provisorien als anschauliche Hilfsmittel dienen. So ist die Kommunikation für alle Beteiligten klarer strukturiert und leichter nachvollziehbar. Dies gilt insbesondere für den Patienten.
Stressfreier mit Bohrschablone
Viele Fallstricke werden bei der Umsetzung vermieden und der gesamte Behandlungsverlauf wird für alle Beteiligten viel angenehmer. Abweichungen von der Planung werden sofort als solche erkannt. Mit einer Bohrschablone bereitet man sich und seinem Team und vor allem dem Patienten ein stressfreieres Gelingen der Arbeit.
Indikation definieren
Es gibt verschiedene Indikationen für eine Bohrschablone. Die Indikation stellt grundsätzlich der Behandler. Die Anzahl der zu setzenden Implantate ist kein Maß für die Notwendigkeit einer Planung mittels Bohrschablonen. Bei Einzelimplantaten kann es sinnvoll sein – oder auch nicht.
Ablauf
Gerade bei stark reduziertem Restgebiss, vor allem aber bei zahnlosen Kiefern, hat es sich als deutlich vorteilhaft herausgestellt, in der Vorplanung den Aufwand zu erhöhen. Das bedeutet, dass man nicht einfach nur Situationsmodelle anfertigt, sondern auf diesem auch eine Kopie des endgültigen Zahnersatzes aufbringt. Dies lässt sich mit einer provisorischen Prothese beim Zahnlosen lösen, oder bei Restbezahnung mit entsprechender provisorischer Brücke oder ähnlichem.
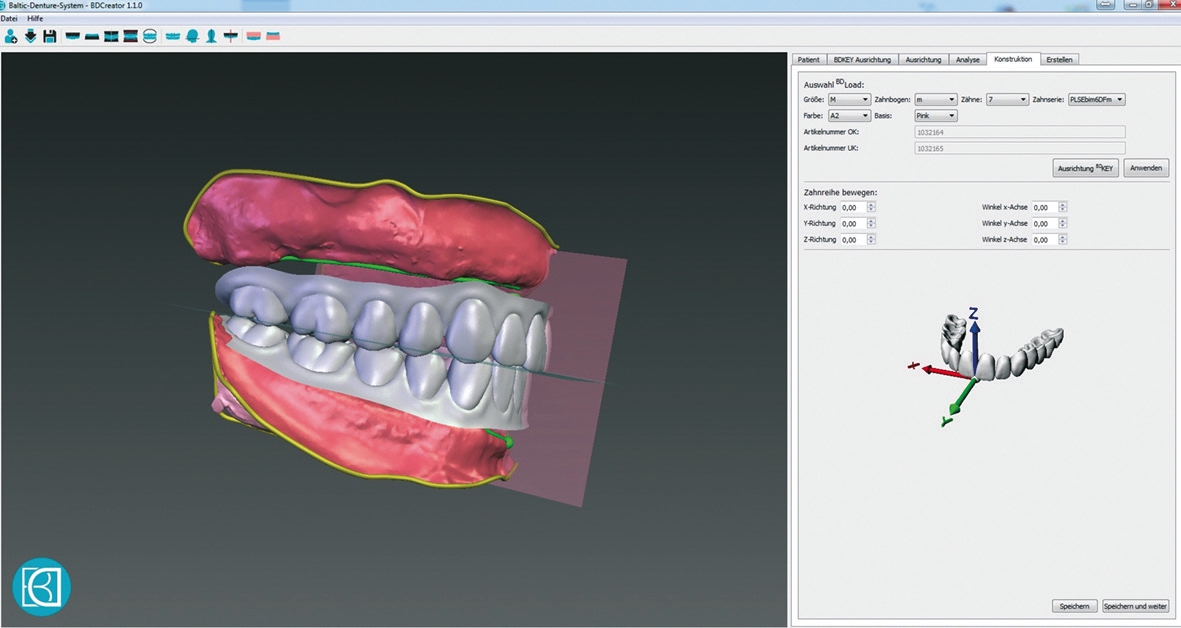
Planung in der Software
Nachdem alle Unterlagen erzeugt wurden, kann die Planung in der Software beginnen. Die finale Implantatplanung betrifft die Position und Tiefe aller Implantate. Außerdem wird die Gesamtoberfläche der Implantate für den geplanten Zahnersatz festgelegt. Sollten später Stege angefertigt werden, so kann es sein, dass auch hier die Implantate etwas anders gesetzt werden können oder müssen. So sollte nun auch die Art der Suprakonstruktion definitiv festgelegt werden.
Nicht jeder Zahnarzt will sich mit viel Software beschäftigen. So besteht die Option, dass der Zahnarzt selbst entscheidet, ob er alles selber macht, oder ob er die Vorplanung dem Labor überlässt und diese dann per Viewer abstimmt. Es ist völlig ausreichend, die Planung jeweils zu überprüfen und frei zu geben. Das muss allerdings sein, denn nur der Zahnarzt hat den Patienten gesehen und kennt den vollständigen Patientenfall.
Im vorgestellten Fall wurde die Planung über eine externe Software durchgeführt, die dann von der Firma C-Tech (Italien) übernommen wurde. Für den Patienten wurden im Vorfeld Prothesen hergestellt, welche im DVT mit eingebracht wurden, um eine entsprechende Planung der Soll-Position durchführen zu können.
Bei allen Implantatplanungen sollte nach Möglichkeit die finale Zahnposition vorher bestimmt werden. Gerade bei verschraubten Arbeiten möchte man die Schraubenöffnungen immer nur zentral in der Zahnkronenmitte der jeweiligen Zähne haben. Dies lässt sich digital sehr schön planen, setzt aber voraus, dass die Zähne nicht mehr verschoben werden.
Durch dieses Vorgehen steigt natürlich der Aufwand der betrieben werden muss, um implantieren zu können. Außer Planungsmodellen werden nun tatsächlich schon Arbeiten hergestellt. Diese legen die Ausführung der endgültigen Arbeit fest ? besonders in Hinblick auf die Position und den Biss. Welche Arbeit später final ausgeführt wird, eine Totale mit Steg oder Brücke aus Metall oder Keramik, das spielt im ersten Moment noch keine Rolle.
Patientenfall
Die Abbildungen 1 bis 3 zeigen die Ausgangssituation. Zuerst wurde nach der Herstellung einer Prothese eine Implantatplanung gemacht. In den Abbildungen 5 bis 7 zeigt sich die Herausforderung in diesem Fall: Geringe Platzverhältnisse für die Implantate im Knochen. Nachdem die erstellten Daten verschickt wurden, bekommen wir die Schablonen zurück (Abb. 8).



Mit dem Bohrerset (Abb. 20) wird implantiert. Nachdem die Bohrschablone fixiert wurde (Abb. 9) müssen nun gemäß Bohrprotokoll die Implantate vorgebohrt und danach inseriert werden. Abbildung 10 zeigt, dass die Bohrer aus dem Set sowohl die Größe richtig aufbereiten, wie auch die Tiefe berücksichtigen, d.h. bei exaktem Sitz der Schablone kann ganz präzise implantiert werden. Dies betrifft auch das Einbringen der Implantate; auch diese werden navigiert eingebracht (Abb. 11).


In Abbildung 12 ist die Einbringhilfe schön zu sehen. In Abbildung 13 kann man die relativ geringe Höhe der Schablone erkennen. Dadurch ist ein Implantieren auch im hinteren Bereich möglich. Gerne werden die Schablonen zu dick oder zu hoch gefertigt, so dass man schon ab dem 6er Bereich den Bohrer nicht mehr in die Schablone bekommt. Dann ist der Aufwand sehr groß, um damit zu implantieren. Aber hier ist dies erfreulicherweise möglich, da durch das C-Guide Konzept, eine ausreichende Führung der Bohrer gewährleistet ist. Trotz den niedrigen Hülsen ist eine Bohrführung gegeben! Nachdem nun alle Implantate eingebracht wurden, zeigt die klinische Kontrolle (Abb. 17) und auch das Abschlussbild im OPG (Abb. 18), dass die Implantate genau nach Planung gesetzt wurden (Abb. 19).








Bildquellen sofern nicht anders deklariert: Unternehmen, Quelle oder Autor/-in des Artikels
Entdecke CME Artikel






Keine Kommentare.