„Wird der 3D-Drucker unser neuer Freund?“. Mit dieser Ankündigung eröffnete Dr. Andreas Kurbad, Viersen, seinen Vortrag zur Entwicklung der 3D-Drucker, deren Leistung und Nutzen für die niedergelassene Praxis und das zahntechnische Labor. Grundsätzlich für dentale Zwecke sind Systeme wie Digital Light Processing (DLP), Stereolithografie (SLA), selektives Laserschmelzen (SLM) und Polyjet geeignet.
Dreidimensional-gedruckte Werkstücke bieten die Möglichkeit, einen volldigitalisierten Workflow umzusetzen. Der additive Druck erlaubt eine materialsparende Fertigung von komplexen Strukturen in Kleinserien. Bestehende Limitierungen bei der Formgestaltung entfallen.
Grundlage ist eine Oberflächendatei, die im CAD/CAM-Verfahren entworfen oder per Scanner generiert wurde. Standardschnittstelle ist das STL-Dateiformat für die Übergabe von CAD-Daten an additiv arbeitende Fertigungssysteme.
Die Druckschichten liegen zwischen 25 und 100 ?m. Nach dem Drucken erfolgt eine Isopropanol-Reinigung des Werkstücks von Restmonomer, die Aushärtung im Lichtpolymerisationsgerät und das Abtrennen der Stützstrukturen.
Befestigungsstellen werden final geschliffen und poliert. Gedruckte Modelle sind reproduzierbar und können bei Bedarf nachgedruckt werden.
Kurbad
Kurbad
Kurbad
Kurbad
Kurbad
Bei der Gestaltung der Modelle hat der Anwender eine Vielzahl an Möglichkeiten, z.B. unterschiedliche Wandstärken, herausnehmbare Stümpfe, Attachments oder eine Beschriftung. Um die Modelle noch besser an die individuellen Gegebenheiten anzupassen, stehen auch elastische Materialien für den Druck von Zahnfleischmasken zur Verfügung.
Die Ausgabe der Druckdaten im Cerec-System erfolgt zur Zeit noch über differenzierte Wege. Druckdaten im STL-Format mit geschlossener Geometrie werden laut Kurbad mit der Software Connect 5.2 ausgegeben. Gesockelte Modelle werden mit der Cerec Ortho SW bereitgestellt.
Für die Ausgabe von Restaurationsdaten ist die inLab SW erforderlich. Ein digitales Mock-up kann im STL-Format mit DXD Software ausgedruckt werden. Mit einer Implantat-Software kann auf Basis eines Intra-oralscans die geplante chirurgische Bohrschablone unmittelbar gefertigt werden (Systeme Sicat, SprintRay).
Erfahrungen mit Langzeitprovisorieren zeigen, dass der 3D-Druck das Potential hat, Restaurationen als zusätzliche Option zu drucken. Dafür sind mittlerweile zahnfarbige Materialien verfügbar, die für Kronen geeignet sind. Diese sind, abhängig vom Hersteller und der Zusammensetzung des Materials, für temporäre oder sogar permanente Versorgungen einsetzbar.
Limitierend sind in der Regel Materialstärke sowie die mögliche Spannweite von Brückenkonstruktionen. Für implantatprothetische Versorgungen kann im Vorfeld bereits ein passgenaues Provisorium gedruckt werden, das nach der Enossal-Insertion direkt eingesetzt wird.
Gemäß einer Studie der Charité Zahnmedizin bietet der 3D-Druck künftig die Option, Kompositaufbauten aus Keramikpartikeln gefüllten Kunststoffen und Okklusal-Veneers für die Bisserhöhung mit Mindestwandstärke von 1,0 mm zu fertigen. Auch an-geborene Schmelzdefekte (MIH) können mit gedruckten Full-Veneers versorgt wer-den (Prause, Beuer; 2021).
Allerdings werden 3D-gedruckte Versorgungen aus Polymeren die Ästhetik, Festigkeit, Funktion und Langlebigkeit der Dentalkeramiken in naher Zukunft nicht ersetzen können. Als rudimentäre Sofortlösung können gedruckte Restaurationen jedoch eine brauchbare Alternative sein.
Die additive Fertigungstechnologie und 3D-Druckmaterialien werden künftig in herausfordernden Situationen, die bisher nur mit einem hohen zahntechnischen Aufwand oder mit umfangreichen, zahnärztlich invasiven Maßnahmen lösbar waren, erfolgreich eingesetzt werden können. Daraus ergibt sich fortlaufend ein immer größer werdendes Indikationsspektrum (Beuer; 2021).
Frontzahn-Ästhetik im Chairside-Visier
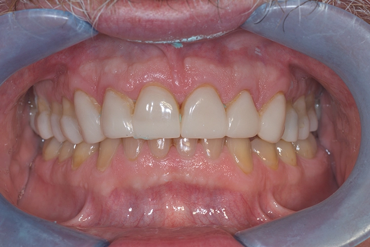
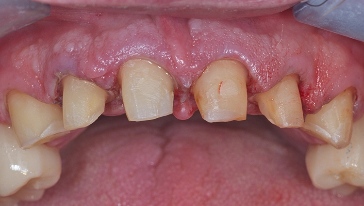
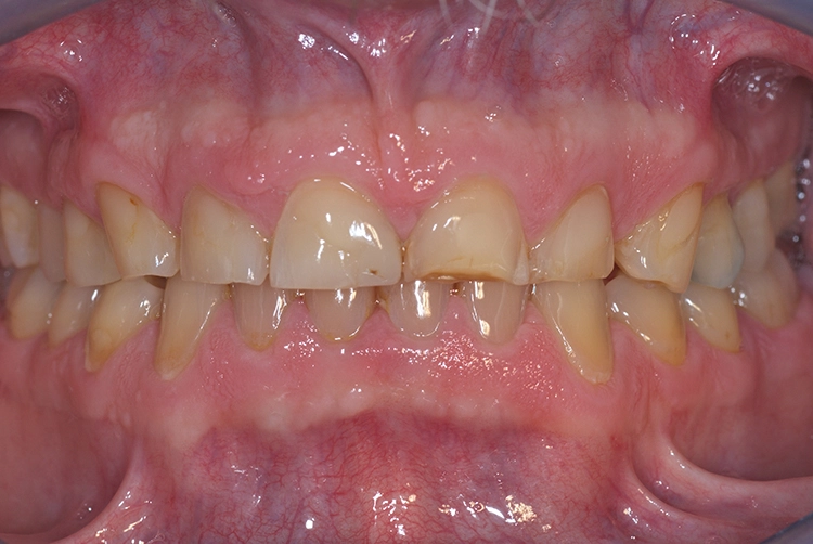
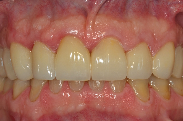
Die „Köngisdisziplin“ in der Zahnheilkunde nahm Dipl.-Stom. Oliver Schneider, Zwickau, mit dem Thema „Möglichkeiten und Grenzen ästhetischer Versorgungen in einer Sitzung“ in den Fokus. Die Therapie im Frontzahnbereich mit Kronen, Teilkronen und Veneers zielt neben der Defektbehandlung auf die Schaffung von harmonischen Zahnformen, von treffsicheren Farbverläufen und Transluzenz im Schmelzbereich, mit individuellen Texturen, Perikymatien und Mamelons – und nicht zu vergessen, mit einer gesunden Gingivagirlande als wichtige Ergänzung für die „Rot-Weiß-Ästhetik“. Ergänzt werden soll dieses Pflichtenheft mit einem guten Kaukomfort für den Patienten.
Voraussetzung für Frontzahnbehandlungen ist die Analyse der habituellen Funktion, die Erfassung der Ästhetiksituation, die auch die prospektiven Wünsche des Patienten berücksichtigt. Für das klinische Vorgehen wird der Aufbau zerstörter Zahnhartsubstanz mit Komposit geplant.
Das anvisierte Ergebnis der Behandlung wird mit einem Wax-up oder besser mit einem Mock-up visualisiert, das ausgefräst und dem Patienten provisorisch eingegliedert werden kann (Abb. 6-11). In anderen Fällen wird das geplante Behandlungsziel unter Einsatz der SmileDesign-Software mit dem Patienten besprochen.
Schneider
Schneider
Schneider
Schneider
Schneider
Schneider
Die parodontale Vorbereitung umfasst eine professionelle Zahnreinigung, die Beseitigung von Knochentaschen (GBR / GTR) sowie in angezeigten Fällen mucogingivale Eingriffe, um eine Langzeitstabilität der keratinisierten Gingiva zu erlangen. Die Präparationstiefe für die keramische Versorgung mit Kronen oder Veneers wird mit Hilfe eines Silikonschlüssel vorbereitet.
Veneers werden weitgehend im Schmelz präpariert. Falls eine Überkuppelung erforderlich ist, wird die Inzisalkante um 1,5 mm gekürzt. Lithiumdisilikat-Kronen (LS2) erhalten eine Hohlkehle, Leuzitsilikat-Kronen (Empress) eher eine Schulterpräparation.
Die Werkstoffentscheidung orientiert sich an Gegebenheiten wie Verfärbung der Zahnstümpfe, Wandstärke der Restaurationen, Lage der Präparationsgrenzen, an der Gingivasituation, optischen Individualisierung mit Shadings, und letztlich an der Befestigungstechnik. Bei dünnen Wandstärken, besonders im Randbereich, sind die Werkstoffeigenschaften nach dem Ausschleifen zu beachten. So neigen Glaskeramiken eher zu Randausbrüchen als polymerhaltige Hybridmaterialien und erfordern eine Randverstärkung von 50-100 ?m.
Zirkonoxide und keramikdotierte CAD-Komposite (Enamic, Avencia, Tetric CAD) ermöglichen sehr exakte Ränder. Die Grundstimmung der Werkstoffe beeinflusst die Ästhetik der Restauration.
So verfügt laut Schneider Celtra Duo über einen rötlichen Grundton, Katana STML über einen leicht metallischen Glanz; Tetric CAD über eine helle Transluzenz. Verfärbte Zahnstümpfe können mit e.max CAD LT (LS2) maskiert werden.
Zur Individualisierung der Keramikoberflächen eignen sich laut Schneider e.max Shade- und Stains-Massen, die die Zahnfarben, Dentinkerne und Mamelons aktivieren. Für grazile Präparationsgrenzen mit sehr dünnen Wandstärken im UK-Frontzahnbereich lassen sich gut Zirkonoxide einsetzen. Die Befestigung der Restaurationen erfolgt mit adhäsiven Kompositen, Zirkonoxid mit selbstadhäsiven Resinzementen.
Schneider erinnerte daran, dass Ästhetik in der Zahnmedizin eng mit kreativer Gestaltung und Freude am Ergebnis verbunden ist – gemäß einem Bonmot von Albert Einstein: „Kreativität ist die Intelligenz, die Spaß macht“.
Der Kronenrand im Fokus
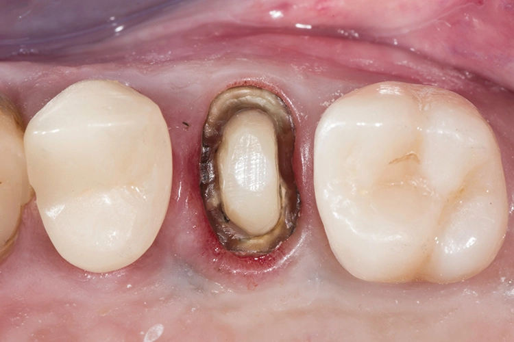
Eine erfolgreiche Chairside-Restauration bei der prothetischen Rekonstruktion beginnt laut PD Dr. Andreas Bindl, Zürich, mit einer sorgfältigen Präparation des Kronenrandes. Der Übergang zwischen der natürlichen Zahnkrone und dem Zahnhals ist oval oder triangulär, niemals rotationssymmetrisch (rund) wie bei Implantaten. Um für eine zahngetragene Krone mit subgingivaler Präparationsgrenze ein anatomisches Optimum und eine exakte Passung zu erzielen, ist die Erhaltung des Weichgewebes als Durchtrittsprofil unabdingbar.
Die Passgenauigkeit zwischen dem keramischen Kronenrand und dem präpariertem Stumpf hat direkte Auswirkungen auf den parodontalen Gesundheitszustand. Eine Überkonturierung der Restauration führt zu einer erhöhten Plaqueakkumulation. Deshalb muss schon in der Planungsphase die Art des Kronensystems, die Lage des Restaurationsrands und die Präparationsform aufeinander abgestimmt werden.
Bindl
Die Reduzierung von Weichgewebe zur Freilegung der Präparationsgrenzen ist besonders für den optoelektronischen Intraoralscan erforderlich. Sulcusgewebe, Blutungen und Speichel erschweren die digitale Erfassung der Zahnstrukturen und können lokal fehlerhafte Abformungen und Modellberechnungen auslösen.
Start-up 2022 der Cerec Masters – Präsenz und Online
Das nächste Symposium als Jahresauftakt für die „Cerec Family“ findet am 22. und 23. Januar 2022 als Präsenzveranstaltung und mit Livetream statt. Viele Themen, in-teressante Workshops, neue Erfahrungen, und natürlich Kollegenkontakte. Info unter Weitere Informationen erhalten Sie unter www.cerec.de.
Bildquellen sofern nicht anders deklariert: Unternehmen, Quelle oder Autor/-in des Artikels
Entdecke CME Artikel






Keine Kommentare.