Dr. Manfred Nilius
Der allogene Knochenblock als Alternative zum autologen Transplantat
Die Verwendung von Eigenknochen für den Aufbau des Kieferkammes bei hochgradiger Atrophie gilt als Goldstandard. Allerdings gibt es einige Nachteile, z. B. die erhöhte operative Belastung durch den Eingriff an der Entnahmestelle. Als Alternative rücken allogene Transplantate in den Fokus [1,8] und werden vom Autor seit mehr als zehn Jahren angewandt. Vorteile sind die verringerte Morbidität (keine Entnahmestelle) und die reduzierte Gefahr von Komplikationen durch den Zweiteingriff. Zudem sind allogene Ersatzmaterialien unbegrenzt verfügbar. Eingeteilt werden allogene Knochenersatzmaterialien hinsichtlich der Herstellungsverfahren, z. B. gefriergetrockneter Knochen, frisch gefrorener Knochen oder mineralisierter, prozessierter Knochen (MPBA). In der dentalen Implantologie wird hauptsächlich MPBA verwendet.
Allogene CAD/CAM-gefertigte Blöcke als Transplantat
Seit einigen Jahren werden Blockaugmentate aus allogenem Material individuell CAD/CAM-gestützt für die Defektsituation gefertigt [7]. Vorteile, die sich aus diesen Transplantaten ergeben, sind:
- verringerte Operationszeit im Vergleich zu Chairsideangepassten Blöcken
- verringerte Kontaminationsgefahr
- erhöhte Passgenauigkeit
- verbesserter Patientenkomfort.
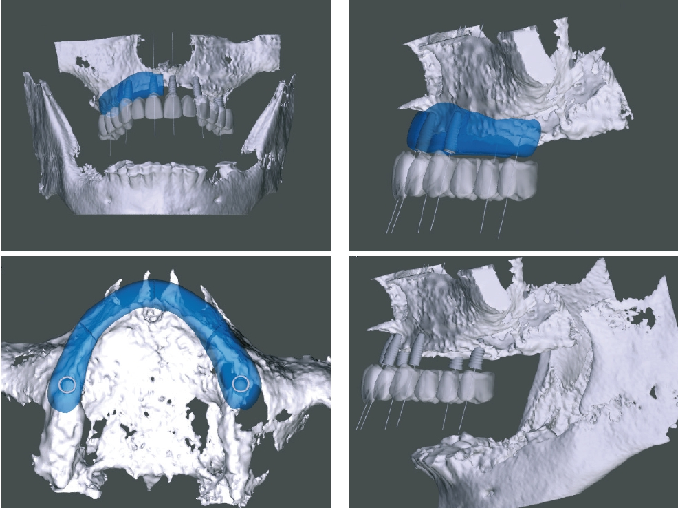
3D-Bonebuilder-Technologie
Die Transplantate werden, basierend auf einem dreidimensionalen Bild (CT/DVT), in der CAD-Software konstruiert und mittels CAM-Frästechnologie nach hohen Qualitätsstandards hergestellt. Die so gefertigten Knochenblöcke werden vom Autor seit mehr als zehn Jahren verwendet. Der maxgraft bonebuilder (Botiss, Berlin) ermöglicht u. a. komplexe horizontale und vertikale Augmentationen, ohne den Patienten durch Entnahme von Eigenknochen zu belasten. Zudem kann eine maximale Kontaktfläche mit dem ortsständigen Knochen erreicht werden. Da eine manuelle Anpassung während des chirurgischen Eingriffs wegfällt, verkürzt sich die Operationszeit deutlich. Diese signifikant reduzierte Operationszeit, die Schmerzreduktion und die zu erwartende verbesserte Wundheilung sprachen auch im vorliegenden Fall für diese Option.
Patientenfall: Chirurgische Umsetzung
Aufgrund der hochgradigen Atrophie des Kieferknochens war für die geplante implantatprothetische Versorgung eine absolute Kieferkammerhöhung notwendig. Nach gründlicher Anamnese und Patientenaufklärung begann die Behandlung.
Erweitertes Backward Planning
Dr. Manfred Nilius
Chirurgischer Eingriff
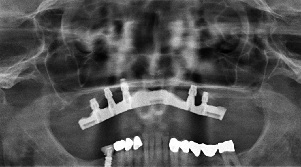
Die Transplantation erfolgte unter Vollnarkose (Abb. 7 bis 11). Für einen erfolgversprechenden Eingriff sind eine großzügige Mobilisierung des Weichgewebes, eine präzise Schnittführung und die richtige Nahttechnik wichtig. Das Freilegen des ortsständigen Knochens erfolgte über eine marginale Schnittführung von vestibulär. Danach wurde der allogene Knochenblock kurz in einer Einwegspritze unter Vakuum in steriler isotoner Kochsalzlösung rehydriert, um die Passage der einwandernden, azellulären Matrix durch Osmose zu verbessern. Die palatinale Gingiva wurde bis zur Raphe Median-Ebene deperiostiert. Das Fixieren der Blöcke erfolgte mit Osteosyntheseschrauben (Screw fixation 1.2, Stoma-System). Diese wurden schräg in das Transplantat bzw. den Knochen eingebracht, was vor allem bei einem dünnen basalen Knochen für eine sichere Fixierung wichtig ist (Criss-Cross-Technik). Idealerweise wählt man eine Schraubenposition, welche die spätere Implantatachse annähernd wiedergibt. Dies vereinfacht z. B. das Vorgehen bei der Schraubenentfernung.
Dr. Manfred Nilius
Dr. Manfred Nilius
Dr. Manfred Nilius
Dr. Manfred Nilius
Dr. Manfred Nilius
Gesteuerte Knochenregeneration
Dr. Manfred Nilius
Die trabekuläre Struktur des spongiösen allogenen Knochens erlaubt eine vergleichsweise schnelle Revaskularisierung. Dem Patienten wurde eine Prothesenkarenz angeordnet, was im Vorfeld mit ihm besprochen worden war. Die ersten Wochen der Einheilphase verliefen komplikationslos. Der Knochenblock aus mineralisiertem Kollagen lieferte eine stabile, osteokonduktive Leitstruktur für die Revaskularisierung und Osteoblastenmigration.
Einheilphase und Re-Entry
Dr. Manfred Nilius
Dr. Manfred Nilius
Implantattherapie: Kurze Implantate als Ausweg
Dr. Manfred Nilius
Die Implantatpositionierung war eine Herausforderung. Die Knochenblöcke haben eine durchschnittliche Höhe von 1 cm. Normalerweise wird versucht, die Implantate so zu inserieren, dass der unter dem Transplantat befindliche, ortsständige Knochen eingebunden wird. Aufgrund der relativ lockeren Verbindung des Transplantates mit dem Knochen bestand die Gefahr eines Abhebens des Knochenblockes bei der Insertion. Zudem müssen die unvermeidbaren Resorptionen am allogenen Block – vergleichbar mit natürlichem Knochen – bedacht werden, die nach Erfahrung des Autors zirka 10 bis 15 Prozent betragen [Nilius, M. in process]. Dieser Verlust ist bei der Überlegung zum Implantatsystem einzubeziehen.
Kurze Implantate
Dr. Manfred Nilius
Dr. Manfred Nilius
Dr. Manfred Nilius
Dr. Manfred Nilius
Studienlage und Diskussion
CAD/CAM-gestützte, individuell auf die Defektsituation angefertigte Blockaugmentate aus allogenem Material werden vom Autoren seit dem Jahr 2007 eingesetzt.
Die Wirksamkeit prozessierter Allografts erfolgt vergleichbar zum autogenen/autologen Knochentransplantat. Allerdings sind prozessierte Allografts den Knochenersatzmaterialien (KME) zuzuordnen, weshalb ein Vergleich mit anderen Knochenersatzmaterialien xenogenen oder synthetischen Ursprungs sinnvoll ist. Tierexperimentelle Untersuchungen sind für Allografts eingeschränkt, da die humanen prozessierten Knochenersatzmaterialien im Tier als xenogenes Transplantat zu werten sind (i. d. R. immunologische Reaktionen durch verbliebene Kollagene) [5]. Eine Studie von Schmitt et. al. vergleicht verschiedene KMEs [6]. Bei der Sinusbodenelevation unterschieden sich die Knochenneubildungsraten nach der Augmentation mit allogenem Material (35,4 ± 2,8 %) und mit Eigenknochen (42,7 ± 2,1%) nicht signifikant. Im Vergleich zu anderen Knochenersatzmaterialien waren beide Augmentationsvarianten einer bovinen demineralisierten Knochenmatrix (24,9 ± 5,67 %) überlegen. Gegenüber einem biphasischen synthetischen Knochenersatzmaterial (30,3 ± 2,2 %) zeigte der Eigenknochen ebenfalls höhere Knochenneubildungsraten. Die Überlegenheit von mineralisierten Allografts gegenüber einer deproteinierten xenogenen Knochenmatrix bestätigt eine Untersuchung von Froum et. al. [3]. 26 bis 32 Wochen nach der Sinusbodenelevation zeigten sich deutliche Unterschiede bei den Knochenneubildungsraten von 28,3 % (Allograft) zu 12,4 % (Xenograft). Auch der Restanteil an nicht vitalisiertem Knochenersatzmaterial war mit 7,7 % versus 33,0 % aufseiten der Allografts besser. Das Autorenteam Lezzi et. al. schlussfolgert, dass aufgrund der ausbleibenden Entnahmemorbidität und der geringeren Invasivität den Alloblöcken der Vorzug gegeben werden sollte [4]. In ihrer Untersuchung fanden sich für die Sandwich-Osteotomien des lateralen Unterkiefers bei 19 Patienten keine nennenswerten Unterschiede zwischen entzellularisierten Alloblöcken (30,6 ± 3,7 %) und autogenen Kinnblöcken (31,47 ± 2,2 %). Im Vergleich zwischen Sandwich- Osteotomien und Onlay-Augmentationen mit allogenen Knochenblöcken zeigte eine weitere Untersuchung eine höhere Dehiszenzrate für die Auflagerungsplastik. Bei komplikationsloser Wundheilung kann ein 2 mm höheres vertikales Augmentationsergebnis nach sieben Monaten bei der Auflagerungsplastik erzielt werden. Dies bestätigen positive Einzelfallberichte [9-12].
Aufbereitung und Sicherheit
Bei einer Risikobewertung von mineralisierten prozessierten Allografts (MPBA) ist zwischen den Aufbereitungsverfahren des Ursprungsmaterials zu unterscheiden. Die hohen Standards, die von den Herstellern eingehalten werden müssen, bieten Sicherheit gegenüber dem Patienten. Die industrielle Aufbereitung der Materialien hat das Ziel, allergene und infektiöse Anteile zu eliminieren. Es werden chemische Verfahren eingesetzt, z. B. Peressigsäure-Ethanol-Behandlung und die Thermodesinfektion (Beseitigung potenziell infektiöser Agenzien), Lyophilisation, osmotische Behandlungen mit Salzlösungen, die Behandlung mit Aceton und Sauerstoff (Entfernung zellulärer Bestandteile und Fette) und die Gamma- Sterilisierung. Durch die Aufbereitung werden Risiken (z. B. Infektionsübertragung, Antigenität) signifikant reduziert. Für MPBA sind keine vergleichbaren immunologischen Reaktionen nachgewiesen, wenngleich Fretwurst et al. in einer Untersuchung bei verschiedenen mineralisierten dezellularisierten Allografts (MPBA) in Blockform innerhalb der Matrixstruktur vereinzelt Zellreste und DNA-Anteile gefunden haben [2].
Fazit
Der vorgestellte Fall zeigt die Möglichkeiten einer kompletten absoluten Kieferkammerhöhung mit allogenen Blöcken. Der Umfang der knochenaufbauenden Maßnahmen im vorgestellten Patientenfall ist in dieser Art bisher nur selten vorgenommen worden. Die Verwendung patientenspezifischer allogener Knochenblöcke hat viele Vorteile gegenüber autologen Knochenblöcken, z. B. keine Entnahmestelle und verkürzte Operationszeit. Zudem spricht die genaue Passform von gefrästen Blöcken besonders bei komplexen Defekten für das Vorgehen. Grundsätzlich ist der Erfolg einer solchen Therapie von vielen Faktoren abhängig. Wichtig ist nicht nur die knöcherne Fixierung des allogenen Transplantates, sondern die Weichgewebedeckung. Diese besteht bei der Erstoperation zunächst in einer Dehnung und spannungsfreien Adaptation der mukogingivalen Reserven mit Unterstützung einer Membran bzw. geschützten Abdeckung des Augmentates. Ist dieses Ziel erreicht, besteht das sekundäre Ziel in einer Verdickung und Optimierung der Implantat umgebenden Weichgewebestruktur. Nur so kann nach der Einheilung ein Langzeiterfolg erzielt werden. Zudem muss nach Einheilung der Transplantate wohlüberlegt das passende Implantatsystem gewählt werden, um die knochenaufbauenden Maßnahmen nicht zu gefährden. Hier bieten kurze Implantate (SICmax kurze Implantate, SIC invent oder vergleichbare) eine gute Alternative und in vielen Situationen den Ausweg. Das Implantat verfügt über eine spezielle Struktur. Der krestale Microthread ist sehr gut für D2-D4 Knochendichte geeignet und komprimiert das Implantat auch im rekonstruierten Knochen.
Bildquellen sofern nicht anders deklariert: Unternehmen, Quelle oder Autor/-in des Artikels
Entdecke CME Artikel





Keine Kommentare.