Zur implantatgetragenen prothetischen Versorgung zahnloser Patienten stehen dem Behandlungsteam verschiedene Konzepte zur Verfügung. Die Bemühungen nach möglichst einfachen Behandlungsmethoden führten in den vergangenen Jahren zur Modifikation klassischer Protokolle. So kann beispielsweise mit dem Konzept der Sofortversorgung die Behandlungszeit signifikant reduziert werden. Die Arbeitsgruppe um Prof. Dr. P. Maló hat das Konzept der schräg in den Kiefer inserierten Implantate zur festsitzenden Therapie des zahnlosen Ober- und Unterkiefers – unter Vermeidung von Sinusbodenelevation und Nervlateralisation – etabliert [3-5]. Die Untersuchungen der Arbeitsgruppe zeigen eine kumulative Überlebensrate von 97,6 Prozent [8]. Grundsätzlich erfordert das in seinem Aufwand reduzierte Therapiekonzept eine exakte präoperative Diagnostik sowie abgestimmte, für die Indikation konzipierte Implantatbauteile [1,6,7]. Ein seit Jahren bewährtes System basierend auf dem Protokoll ist SKY fast & fixed (bredent medical, Senden). Zusätzlich zur Möglichkeit der sofortigen temporären Versorgung liegen die Vorteile in der flexiblen Umsetzung der finalen Restauration. Aufgrund der hohen Patientenakzeptanz der temporären Brücke wird bis zur Herstellung der definitiven Versorgung ein großes Zeitfenster geboten, in welchem u. a. die Patientenbedürfnisse evaluiert werden können. In der Regel kann nach drei bis vier Monaten mit der Umsetzung der definitiven Versorgung begonnen werden [1].
Unter anderem beruht die Akzeptanz des Konzeptes darauf, den vorhandenen Knochen bestmöglich zu nutzen und knochenaufbauende Maßnahmen weitestgehend zu minimieren. Dadurch können sich jedoch unter Umständen ungünstige Implantataustrittstellen ergeben, was bei der Gestaltung der Suprakonstruktion limitierend ist, z.B. wenn der Schraubenkanal im sichtbaren Bereich platziert werden müsste. Um in diesen Situationen entsprechend Spielraum für die ästhetische Gestaltung zu schaffen, kann die transversale Verschraubung (Verbolzung) des Zahnersatzes mit den Implantaten eine adäquate Möglichkeit sein. Hierfür werden Prothetikkappen angeboten (bredent medical), die eine transversale Verschraubung – selbstzentrierende Transversalverschraubung – ermöglichen. Die Schraubenkanäle werden in den nicht sichtbaren Bereich positioniert. Die industriell vorgefertigten Bauteile vereinfachen die Arbeit und stellen eine hohe Präzision sicher. Das Vorgehen wird anhand eines Patientenfalles beschrieben. Es wird gezeigt, dass mit der transversalen Verschraubung selbst schwierige Ausgangsverhältnisse sicher und zuverlässig gelöst werden können.
Fallbeispiel
Dr. Spurzem und ZTM Dietz
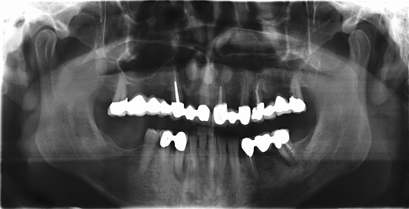
Chirurgischer Eingriff und Sofortversorgung
Dr. Spurzem und ZTM Dietz
Definitive Versorgung
Der Patient konsultierte während der kommenden Wochen regelmäßig die Praxis. Der postoperative Verlauf gestaltete sich problemlos. Nach vier Monaten zeigten sich osseointegrierte Implantate sowie stabile Hart- und Weichgewebeverhältnisse. Für die Herstellung der definitiven Brücke sind unterschiedliche Konzepte möglich. In diesem Fall sollte eine verschraubte Versorgung gefertigt, das Gerüst mit Komposit verblendet sowie die Restauration farblich individualisiert werden. Da schon bei der Herstellung der temporären Brücke festgestellt worden ist, dass die okklusale Verschraubung aufgrund der sichtbaren Schraubenkanäle zu ästhetischen Problemen führt, war eine transversale Verschraubung (Verbolzung) des Zahnersatzes auf den Implantaten angedacht.
Transversale Verschraubung (Verbolzung)
Dr. Spurzem und ZTM Dietz
Nach einer Überabformung wurde die provisorische Versorgung entnommen und die Situation abgeformt. Für die Evaluation der ästhetischen und funktionellen Parameter des Zahnersatzes war eine Ästhetikeinprobe indiziert. Das Set-up dafür wurde auf einer verschraubten Basis aus lichthärtendem Kunststoff angefertigt. Im Labor erfolgte die Herstellung des Gerüstes unter Berücksichtigung der transversalen Verschraubung. Die Verbindungselemente wurden in das Gerüst eingearbeitet. Grundsätzlich stellt die auf Implantaten verschraubte Restauration eine hohe Anforderung an die Gerüstpassung, da aufgrund der starren Verbindung der Implantate mit dem Knochen ein geringer Krafteinsatz eine hohe Auslenkung zur Folge haben kann. Eine Gerüsteinprobe im Mund bestätigte die spannungsfreie Passung. Es folgte die Verblendung des Gerüstes nach bekanntem Vorgehen. Mehrschichtige Verblendschalen aus einem High-Impact PMMA-Komposit (novo.lign, bredent) und lichthärtende Komposite unterstützten die einfache ästhetische Charakterisierung.
Eingliederung
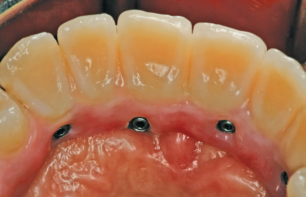
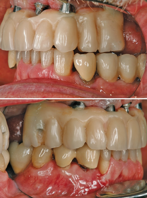
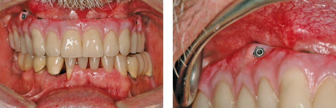
Das Aufschrauben der definitiven Brücke gestaltete sich problemlos. Nach Abnahme der temporären Versorgung ist die fertiggestellte Brücke über die Prothetikkappen bzw. die Verbolzungen auf den Implantaten befestigt worden (Abb. 5 und 6). Bei den posterioren Implantaten wurde der Schraubenzugang vom Zahntechniker nach vestibulär – außerhalb des sichtbaren Bereichs – gelegt (Abb. 7 und 8). Die anderen Implantate wurden im palatinalen Bereich verschraubt (Abb. 9). Aufgrund der Drei-Punkt-Fixierung ist ein Verkippen oder das Rotieren des Zahnersatzes ausgeschlossen. Da die Schraube in der Sekundärkonstruktion „gefangen“ ist, wird die Anwendung im Mund erleichtert. Ein lästiges Einfädeln entfällt. Bereits mit zwei bis drei Umdrehungen ist eine Schraube fixiert. Weder ästhetisch noch funktionell treten Beeinträchtigungen auf.
Dr. Spurzem und ZTM Dietz
Dr. Spurzem und ZTM Dietz
Dr. Spurzem und ZTM Dietz
Dr. Spurzem und ZTM Dietz
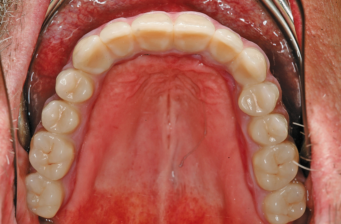
Abschließend wurden die funktionellen, ästhetischen und parodontal- hygienischen Faktoren überprüft und dem Patienten entsprechende Hinweise zur adäquaten Reinigung des Zahnersatzes gegeben (Abb. 10 und 11). Bei einem regelmäßigen Recall (idealerweise aller drei Monate) kann die Brücke aufgrund der transversalen Verschraubung sehr einfach gelöst und alle erforderlichen Mundhygienemaßnahmen vorgenommen werden.
Dr. Spurzem und ZTM Dietz
Dr. Spurzem und ZTM Dietz
Zusammenfassung
Die definitive prothetische Versorgung von Implantaten im zahnlosen Oberkiefer lässt unterschiedliche Wege zu. In erster Linie sollten die Wünsche des Patienten im Mittelpunkt stehen und Fragen gestellt werden. Was ist wichtig? Welche Kompromisse können eingegangen werden und welche Möglichkeiten stehen zur Verfügung, um die Anforderungen mit dem entsprechenden Budget in Einklang zu bringen? Ein großer Vorteil des beschriebenen Konzeptes (SKY fast & fixed) ist, dass der Patient über die temporäre Sofortversorgung ein Gefühl für den definitiven Zahnersatz bekommt. Dies erleichtert ihm, die Parameter zu bestimmen, die bei der finalen Umsetzung wichtig sind. Um die Patientenwünsche bestmöglich erfüllen zu können, werden prothetische Komponenten benötigt, die eine große Flexibilität bei einfacher Anwendung gewährleisten. Mit dem Fallbeispiel wurde ein Weg demonstriert, bei minimierter Implantatanzahl im zahnlosen Oberkiefer eine bedingt abnehmbare Brücke zu gestalten, ohne dass orthograde Schraubenkanäle zu ästhetischen Kompromisslösungen zwingen.
Ein weiterer wesentlicher Vorteil ist das einfache Handling beim Lösen und Befestigen der prothetischen Restauration in der Zahnarztpraxis. Im Idealfall erfolgt ein dreimonatiger Recall. Bei diesem Termin kann die geschulte zahnärztliche Assistenz die verschraubte Brücke einfach von den Implantaten lösen und in das Reinigungsbad legen. Bei einer okklusalen Verschraubung ist dies deutlich zeitaufwändiger, weswegen ein Abschrauben häufig nur einmal pro Jahr vorgenommen wird.
Ein Nachteil, der jedoch bei weitem nicht die vielen Vorteile überwiegt, ist das Austauschen der kleinen Madenschrauben. Dies erfolgt aufgrund des offenen konischen Schraubenkanals und dem direkten Einfluss des Mundmilieus öfter als bei okklusalen Verschraubungen, die in der Regel verschlossen sind.
Fazit
Die transversale Verschraubung innerhalb des SKY fast & fixed-Systems (bredent medical) bietet eine einfache und sichere Möglichkeit der Rehabilitation des zahnlosen Kiefers, ohne Einschränkungen – wie deutlich sichtbare Schraubenkanäle – in Kauf nehmen zu müssen. Je nach Implantataustritt kann durch die transversale Verschraubung der Schraubenzugang aus dem sichtbaren Bereich verlegt werden. Dem Zahnarzt ist ein einfacher Zugang zur Entnahme des Zahnersatzes möglich.
Näheres zu den Autoren des Fachbeitrages: Dr. Wilhelm Spurzem, ZTM Gunnar DietzBildquellen sofern nicht anders deklariert: Unternehmen, Quelle oder Autor/-in des Artikels
Entdecke CME Artikel





Keine Kommentare.