Hierbei stellt sich die zentrale Frage, welche Art der Verbindung zwischen Implantat und Suprakonstruktion und welche Art der Versorgung (festsitzend vs. herausnehmbar, bzw. bedingt herausnehmbar) in Abhängigkeit von der jeweiligen Patientensituation geeignet ist, um ein – aus zahnärztlicher Sicht – vorhersehbares Behandlungsergebnis und einen langfristigen Behandlungserfolg zu erzielen. Behandlungserfolg definiert sich dabei nicht nur aus Sicht des Zahnarztes. Auch die Zufriedenheit des Patienten, die Handhabbarkeit bzw. Pflegefähigkeit des neuen Zahnersatzes sowie wirtschaftliche Aspekte müssen beim angestrebten Behandlungsergebnis berücksichtigt werden [10]. Dabei ist der Erfolg einer Behandlung offensichtlich in höherem Maße davon abhängig, wie der Patient das Behandlungsergebnis aus seiner Sicht empfindet und nicht wie der Erfolg der Therapie durch den Behandler definiert und wahrgenommen wird [11].
Ein minimal-invasives Vorgehen ohne umfangreiche Augmentationsmaßnahmen ist in diesem Zusammenhang eine Behandlungsoption, die von der Mehrzahl der Patienten favorisiert wird [4, 12]. Dabei ist von Interesse, inwieweit eine Implantatversorgung bei Patienten mit einer Resorption des knöchernen Alveolarfortsatzes ohne eine Knochenaugmentation tatsächlich möglich ist und wie viele Implantate nötig sind, um eine zufriedenstellende Rehabilitation der Patienten zu erzielen.
Im Fokus der Implantatbehandlung stehen daher sowohl objektive funktionelle Parameter, wie die langfristige Rehabilitation der Kau- und/oder Sprechfähigkeit, als auch patientenspezifische, psychosoziale Faktoren, wie der Rückgewinn an Lebensqualität und eine Verbesserung der Ästhetik [13]. Um die Präferenzen des Patienten zu berücksichtigen und gleichzeitig den Behandlungserfolg nicht aufs Spiel zu setzen, ist eine funktionierende Kommunikation zwischen Zahnarzt und Patient grundlegend notwendig [14, 15].
Trotz einer guten Kommunikation zwischen Patient und Behandler ist nicht immer auszuschließen, dass die Erwartungen des Patienten hinsichtlich seiner prothetischen Rehabilitation nicht erfüllt werden können [16-18]. Daher bietet es sich an, Implantatsysteme zu verwenden, die mehrere Versorgungsoptionen gleichzeitig zulassen und die somit unabhängig von der letztendlichen Entscheidung über das Design der Suprastruktur und die Art der Befestigung sind und die eine Umplanung der prothetischen Versorgung während der laufenden Therapie zulassen [18]. Patienten können im Falle eines reduzierten Budgets zunächst herausnehmbar und somit günstiger versorgt werden. Sofern es die ökonomische Situation des Patienten zulässt, kann die herausnehmbare Lösung sehr einfach in eine hochwertigere, festsitzende prothetische Option umgewandelt werden. Umgekehrt bietet diese Herangehensweise gleichzeitig den Vorteil, dass Patienten mit zunehmendem Alter und potenziell zunehmendem Verlust der Hygienefähigkeit wieder mit einer herausnehmbaren implantatgestützten Prothese versorgt werden können.
Dieser Umstand ist von Herstellerseite bereits erkannt worden. So bietet beispielsweise die Firma BEGO Implant Systems (Bremen, Deutschland) Implantatsysteme an, die flexibel mit unterschiedlichen prothetischen Aufbau- und Verbindungssystemen bestückt werden können.
Eine Flexibilität ist vor allem auch vor dem Hintergrund wichtig, dass aus den derzeit verfügbaren Aussagen in der Literatur keine allgemeingültigen Empfehlungen ausgesprochen werden können, welche Therapieoption bei Versorgung mit implantatgetragenem Zahnersatz die Behandlung der Wahl darstellt.
Die Anzahl der Implantate oder die Art der Verbindung zwischen dem Implantat und der Suprakonstruktion scheinen offensichtlich keinen Einfluss auf die orale Lebensqualität zu haben, wie eine retrospektive klinische Vergleichsstudie ergab [19].
Dass dieses Ergebnis in Bezug auf die Art der prothetischen Verbindung jedoch keine Allgemeingültigkeit hat, zeigten die Ergebnisse einer anderen klinischen Studie. Dort führten mittels Stegen verbundene, interforaminal platzierte Implantate im Unterkiefer zu einer signifikant besser empfundenen oralen Lebensqualität als Implantate ohne Stegverbindungen [20].
Auf die Patientenzufriedenheit wiederum hatten die Anzahl Implantate und die Art des prothetischen Attachments auch hier keinen Einfluss.
Die Erkenntnis, dass objektive Parameter, wie die Erfolgs- bzw. Überlebensraten von Implantaten und prothetischer Suprakonstruktionen ebenfalls nicht von der Anzahl Implantate abhängig zu sein scheinen, kann in den meisten Patientenfällen die Fixierung implantatgetragener Suprakonstruktionen im Unterkiefer durchaus auf minimal zwei [21] bzw. maximal vier bis sechs Implantaten als eine geeignete und vorhersehbare Behandlungsoption betrachtet werden [22-25].
In implantatprothetischer und labortechnischer Hinsicht hat die Versorgung mit weniger Implantaten dabei den Vorteil, dass eine parallele Insertion am Patienten und die Parallelisierung im Labor sowie die Herstellung der Suprakonstruktion erleichtert werden.
Das Prinzip des Einsatzes einer reduzierten Anzahl Implantate wurde im All-on-4® Konzept umgesetzt, das von Paolo Maló bereits Ende der 1990er Jahre entwickelt wurde. Dieses Verfahren ermöglicht eine minimalinvasive Vorgehensweise zur Sofortversorgung mit festsitzendem provisorischem oder auch definitivem Zahnersatz auf einer reduzierten Anzahl Implantate. Im Unterkiefer kommt bei dieser Art der Versorgung der interforaminale Bereich als Insertionsort infrage, da dort in der Regel das größte Knochenangebot vorhanden ist und beim Setzen der Implantate kein Risiko für die Verletzung des N. alveolaris inferior besteht. Die beiden proximalen Implantate werden dabei gerade eingesetzt, während die distalen Implantate geneigt inseriert werden, um ein möglichst großes Unterstützungspolygon für die prothetische Suprakonstruktion zu erhalten. Die Neigung der distalen Implantate wird anschließend mit speziell dafür entwickelten Abutments ausgeglichen.
Der offensichtlich geringe Einfluss der Implantatanzahl und die Art der Verbindung zur Suprakonstruktion auf funktionelle und psychosoziale Parameter werden ebenfalls in zwei randomisierten klinischen Untersuchungen um Krennmair et al. beschrieben. Dort konnte eine Verbesserung der Patientenzufriedenheit auch bei der Stabilisierung von Unterkiefer-Prothesen auf nur zwei Implantaten erzielt werden. Nach einem bzw. nach fünf Jahren unter Funktion waren keine Implantatverluste zu beobachten [26, 27]. In den gleichen Untersuchungen hatte die Art der Verbindung zwischen Implantat und prothetischer Suprakonstruktion (Kugelkopfverbindung vs. Locator) ebenfalls keinen Einfluss auf die von subjektiven Empfindungen geleitete Patientenpräferenz oder auf objektive implantatbezogene klinische und röntgenologische Parameter [26].
Zielstellung des Fallberichts
Die Zielsetzung des vorliegenden Fallberichts war, unterschiedliche prothetische Versorgungskonzepte bei Implantatinsertion ohne augmentative Maßnahmen an einem Patienten auszutesten. Anhand dieses Vorgehens sollte eruiert werden, inwieweit Attachment-Systeme tatsächlich ohne viel Aufwand gegeneinander austauschbar sind. Hierzu wurden Locator®-ähnliche Aufbauten (PS Easy-Con, BEGO Implant Systems, Bremen, Deutschland) und Kugelkopfanker (PS BA, BEGO Implant Systems) für eine herausnehmbare prothetische Versorgung verwendet. Als bedingt herausnehmbare Option wurde eine mittels Komposit verblendete Brücke auf einem mittels Laser melting hergestellten Kobalt-Chrom-Gerüst auf Abutments des MultiPlus-Systems (BEGO Implant Systems) hergestellt und fixiert.
Ausgangssituation

Grundsätzlich wird davon ausgegangen, dass bei einem Restknochen von weniger als 5,0 mm Breite im Zusammenhang mit Implantatbehandlungen Knochenaufbaumaßnahmen erfolgen müssen, um ein ausreichend dimensioniertes Knochenlager für die Implantate zu erhalten [28]. Im vorliegenden Fall erfüllte der Alveolarfortsatz im Bereich der Insertionsstellen der Implantate knapp die Voraussetzungen einer Implantation ohne zusätzliche Augmentationsmaßnahmen. Wir entschlossen uns in Absprache mit dem Patienten für die Extraktion des Zahnes 33 und für eine anschließende implantatgestützte prothetische Versorgung des Unterkiefers auf vier Implantaten im Eckzahn- und Molarenbereich beidseits ohne zusätzliche Augmentationsmaßnahmen.

Chirurgische Phase
Die Implantatinsertion wurde unter Lokalanästhesie und unter direkter Sicht mit Bildung eines Mukoperiostlappens durchgeführt. Das offene Vorgehen wurde gewählt, da eine fortgeschrittene Resorption des knöchernen Alveolarfortsatzes in oro-vestibulärer Richtung vorlag und auf diese Weise eine sehr gute Beurteilung der Knochenkonturen und der Qualität des Knochens sowie eine Implantatpositionierung unter direkter Sicht ermöglicht wurden [33-35]. Es wurden BEGO Semados® RSX Implantate (BEGO Implant Systems) mit den Standarddurchmessern 3,75 mm (regio 036 und 043) und 4,10 mm (regio 046 und 033) verwendet. Die Implantation erfolgte freihändig nach dem Standardprotokoll des Herstellers. Alle Implantate wurden, mit Ausnahme des Implantats in regio 043, epikrestal am bukkalen Aspekt eingesetzt (Abb. 4). Da der Alveolarkamm sattelförmig gestaltet war, lag der Implantathals bei allen Implantaten approximal jeweils etwa 1,0 mm subkrestal. Das Implantat in regio 043 wurde nach lingual hin ca. 2,0 mm subkrestal inseriert.

Aufgrund des guten vertikalen Knochenangebotes konnten im Eckzahnbereich 11,5 mm lange Implantate und im Seitenzahnbereich Implantate mit der Länge von 10 mm verwendet werden. Dabei war eine Abwinkelung der Implantate im Seitenzahnbereich – wie sonst bei der klassischen All-on-4® Methode üblich – nicht notwendig (Abb. 5).
Die Schleimhaut wurde über den Implantaten spannungsfrei vernäht und der Patient wurde angewiesen, die Prothese eine Woche lang nicht zu tragen. Die einwöchige Prothesenkarenz wurde verordnet, um das Risiko einer Schleimhautperforation im Bereich der Implantate und einer nachfolgenden Infektion zu reduzieren [36]. Eine Woche nach Implantation stellte sich der Patient erneut zur Nahtentfernung vor. Die Schleimhaut im OP-Bereich war reizlos und zeigte keinerlei Anzeichen einer Infektion (Abb. 6).

Prothetische Phase
Nach einer weiteren siebenwöchigen Einheilungszeit wurden die Implantate freigelegt und mit Gingivaformern mit Platform Switch Ausführung (PS HP, BEGO Implant Systems) versorgt (Abb. 7).
Zwei Wochen später wurde die Abformung der Implantate durchgeführt. Nach weiteren zwei Wochen erfolgte die definitive prothetische Versorgung des Patienten.
Prothetische Verbindungselemente bei herausnehmbaren Rekonstruktionen
Zur Befestigung herausnehmbarer, totalprothetischer Rekonstruktionen wurden in unserem Fallbericht Kugelkopfanker (PS BA, BEGO Implant Systems) und Locator®- ähnliche Easy-Con Aufbauten (PS Easy-Con, BEGO Implant Systems) verwendet. Kugelkopf-Attachments bestehen aus einer kugelförmigen metallischen Patrize (Abb. 8). Die Matrize wird in die Prothese eingearbeitet und kann aus Metall oder aus Kunststoff bestehen (Abb. 9). Die Vorteile des Kugelkopf-Attachments bestehen in der guten Hygienefähigkeit, den geringen Kosten und einer reduzierten Behandlungsdauer [7].

Eine relativ hohe Reparaturanfälligkeit aufgrund von Retentionsverlusten wird dadurch wieder ausgeglichen, dass Reparaturen bei diesem System sehr schnell und einfach durchgeführt werden können.
Allerdings erfordern Kugelkopfanker aufgrund ihrer Höhe einen ausreichenden intermaxillären Abstand, was die Konstruktion der prothetischen Restauration erschweren kann, da der Anker einen entsprechend hohen vertikalen Platzbedarf hat und das Attachment weit in die Mundhöhle hineinreicht. Ein weiterer Nachteil ist, dass Kugelkopfanker nur auf axial und parallel eingebrachten Implantaten verwendet werden können. Die Retention ist auf nicht parallel inserierten Implantaten ab einer Angulation > 15 Grad signifikant reduziert [7].
In unserem Patientenfall waren die Implantate annähernd parallel positioniert worden, so dass keine großen Abweichungen der Implantatachsen bestanden (Abb. 10). Es war ausreichend intermaxillärer Raum vorhanden und wir konnten den Patienten mit einer auf Kugelkopf-Attachments fixierten Unterkiefer-Cover denture Prothese versorgen. Das klinische Ergebnis war für Behandler und Patient gleichermaßen in optischer und funktioneller Hinsicht sehr zufriedenstellend (Abb. 11 und 12).


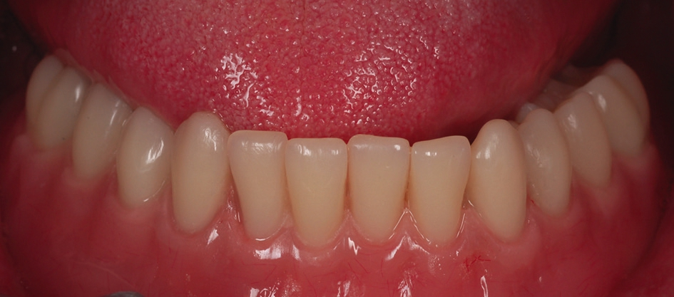
Auch das Easy-Con-System (PS Easy-Con) ist reparaturanfällig, da aufgrund von Retentionsverlusten der Austausch der Polyamid-Inserts erfolgen muss [26]. Da die Restaurationshöhe deutlich geringer ausfällt als bei den Kugelkopfankern, können die Easy-Con Aufbauten sehr gut bei einem geringen intermaxillären Abstand als Attachments verwendet werden. Easy-Con Aufbauten bestehen aus einer im Abutment integrierten Matrize aus Metall. Diese besteht aus einem erhöhten, ringförmigen Rand. Die aus Polyamid (Nylon) bestehende Patrize wird auf das ringförmige Abutment aufgesteckt und erhält ihre Retention sowohl über die Außenflächen als auch über die Innenflächen des Metallrings (Abb. 13). In die Prothesenbasis sind ebenfalls aus Polyamid gefertigte Einsätze eingearbeitet (Abb. 14). Durch die materialbedingte Elastizität der Easy-Con-Bestandteile verfügt das System über eine gute Elastizität/Resilienz (self-aligning) und ist in der Lage, sich den Bewegungen der Suprakonstruktion bei funktioneller Belastung gut anzugleichen [7]. Im Vergleich zum Kugelkopf-System können durch unterschiedlich konstruierte Patrizen axiale Disparallelitäten zwischen Implantaten bis zu einem Abweichungswinkel von 40 Grad ausgeglichen werden, ohne dass Retentionsverluste auftreten [37]. Auch mittels des Easy-Con-Systems konnte der Patient mit einer funktionell und optisch ansprechenden Cover denture- Prothese versorgt werden (Abb. 15).


Zwischen Locator® ähnlichen Aufbauten und Kugelkopfankern konnten in einer klinischen Untersuchung auch nach einem Fünfjahreszeitraum unter funktioneller Belastung keine signifikanten Unterschiede in Bezug auf klinische oder röntgenologische Parameter ermittelt werden [27]. Bei Kugelkopfankern waren im Vergleich zum Locator® ähnlichen Aufbauten anfänglich zwar häufigere prothetische Nachsorgemaßnahmen notwendig, die jedoch mit zunehmender Beobachtungsdauer abnahmen und sich in der Häufigkeit von selbstjustierbaren (self-aligning) -Systemen nicht mehr unterschieden.
In einer neueren in-vitro Untersuchung konnten statistisch signifikante Unterschiede im Retentionsverhalten und der Stabilität eines auf zwei Implantaten fixierten Prothesengerüsts aus Kobalt-Chrom in Abhängigkeit vom jeweiligen prothetischen Attachmentsystem, der Krafteinwirkung und der Verteilung der Implantate/der Implantatpositionierung ermittelt werden. Die höchsten Retentions- und Stabilitätswerte waren bei Kugelkopfankern messbar, gefolgt von self-aligning-Systemen [38]. Je weiter distal Implantate gesetzt wurden, desto höhere Retentions- und Stabilitätswerte waren in anterior- posteriorer Richtung zu ermitteln. Wenn Locator®- ähnliche Aufbauten auf vier Implantaten im Unterkiefer mittels Stegen miteinander verbunden wurden, konnten geringere krestale Knochenverlustraten und weniger Nachsorgemaßnahmen im Vergleich zu einfachen Locator®-Systemverbindungen auf zwei Implantaten ermittelt werden [39]. Die unterschiedlichen Effekte auf die krestale Knochenresorption wurden in dieser Studie eher auf den Stabilisierungseffekt durch die Stege und weniger auf die Art der prothetischen Verbindung zurückgeführt. Eine ältere in-vitro Untersuchung jedoch ergab im Gegensatz dazu, dass Kugelkopfanker auf Implantaten zu einer besseren Kraftverteilung im Unterkiefer- Seitenzahnbereich führen, als Stegverbindungen [40]. In einer klinischen Vergleichsstudie bei der Versorgung zahnloser Patienten im Unterkiefer mittels zwei Implantaten und Locatoren vs. Magnet-Attachments konnten signifikant höhere periimplantäre Knochenverluste bei den Locator-Attachments ermittelt werden [41].
Auf Grundlage der verfügbaren Evidenz sind eindeutige Aussagen zum Einfluss der unterschiedlichen prothetischen Verbindungen bei implantatgestütztem, herausnehmbarem Zahnersatz auf das Remodellierungsverhalten des krestalen Knochens derzeit noch nicht möglich.
Festsitzende implantatgestützte Rekonstruktionen
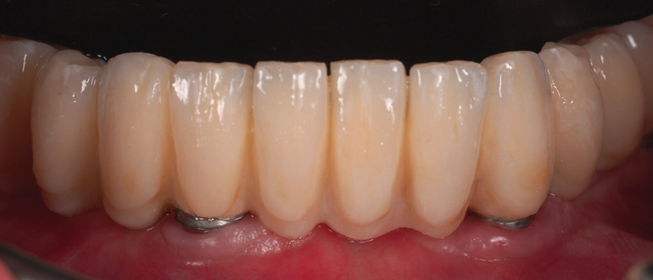
Als dritte Behandlungsoption wurde eine bedingt herausnehmbare Rekonstruktion gewählt, die auf den systemeigenen PS MultiPlus-Abutments befestigt wurde (Abb. 16 und 17). Grundlage für die bedingt herausnehmbare Brücke war ein mittels Selective Laser Melting hergestelltes Kobalt-Chrom Gerüst (EOS; Electro Optical Systems München, Deutschland). In unserem Patientenfall konnte eine sehr gute, passgenaue Herstellung des Metallgerüsts erfolgen (Abb. 18). Das Gerüst wurde mittels Komposit (anaxblend big block dentin und big block enamel, anaxdent GmbH, Stuttgart, Deutschland) verblendet (Abb. 19a und b). Die Schraubenkanäle wurden nach Einsetzen der Suprakonstruktion mit Komposite (EcuSphere-Carat, DMG Chemisch- Pharmazeutische Fabrik GmbH, Hamburg, Deutschland) verschlossen (Abb. 20). Das klinische Endergebnis war für den Patienten sehr zufriedenstellend, da die Rekonstruktion sehr natürlich und ästhetisch gestaltet war (Abb. 21).






Wichtig ist, dass der Patient intensiv bei der Mundhygiene und Reinigung des Zahnersatzes angeleitet wird, um den Langzeiterfolg der Rekonstruktion nicht zu gefährden. Dies ist insofern von großer Wichtigkeit, da Patienten offensichtlich häufig nicht berücksichtigen, dass Implantate eine höhere Pflegeintensität benötigen als natürliche Zähne [42]. Stellt sich heraus, dass eine ausreichende Mundpflege nicht möglich ist, können in Absprache mit dem Patienten andere Attachments eingesetzt und der Zahnersatz wieder herausnehmbar gestaltet werden.
Herausnehmbare, vollprothetische Cover denture- Versorgungen auf Implantaten werden von Patienten offensichtlich weniger gut akzeptiert, als fester implantatgestützter Zahnersatz [11, 43, 44]. Die erhöhte Akzeptanz fest eingesetzter implantatgetragener Suprakonstruktionen kann auf das veränderte Design des prothetischen Ersatzes zurückgeführt werden, da dieser als Brücke mit Verblendungen aus Keramik oder Komposit und ohne die bei der Cover denture-Lösung notwendigen Kunststoffschürzen gestaltet wird. Die verbesserte Ästhetik und der Tragekomfort von Brücken im Vergleich zu Cover denture-Prothesen führen offensichtlich auch zu einer erhöhten Zufriedenheit der Patienten [11, 43, 44]. Allerdings sind Mundhygienemaßnahmen bei festsitzenden Rekonstruktionen schwieriger durch den Patienten durchführbar, als dies bei herausnehmbaren Prothesen der Fall ist. Herausnehmbare Rekonstruktionen scheinen jedoch reparaturanfälliger zu sein, als festsitzender Zahnersatz [45]. In Bezug auf die Implantat-Überlebensraten scheint sowohl bei festsitzenden als auch bei herausnehmbaren Suprakonstruktionen – im Gegensatz zu den Ergebnissen der in den vorherigen Abschnitten aufgeführten Untersuchungen – eine signifikante Abhängigkeit von der Anzahl Implantate zu bestehen. Ein aktueller systematischer Review einschließlich einer Metaanalyse ergaben, dass die Fixierung festsitzender Rekonstruktionen auf vier Implantaten und herausnehmbarer Prothesen auf zwei Implantaten im Unterkiefer zu höheren Implantatverlustraten führen, als wenn mehr Implantate zur Stabilisierung der Suprakonstruktionen herangezogen werden [46].
Befestigungsmöglichkeiten der Suprakonstruktion
Festsitzender Zahnersatz kann entweder mittels Zement auf den Implantaten befestigt oder als bedingt herausnehmbarer Zahnersatz auf den Implantaten verschraubt werden. Während der zementierte Zahnersatz nicht mehr entfernt werden kann, ist die Entfernung bedingt abnehmbarer prothetischer Suprakonstruktionen durch den Zahnarzt möglich. Beide Befestigungsprinzipien werden kontrovers diskutiert und sind Bestandteil vieler klinischer Studien und systematischer Übersichtsarbeiten, deren Ergebnisse zudem nicht einheitlich sind. In einem systematischen Review waren keine Unterschiede bei den Remodellierungsraten krestalen Knochens in Abhängigkeit von der Befestigungsart erkennbar [47]. Auch hinsichtlich der Implantatüberlebensraten und prothetischer Verlustraten konnten in einem aktuellen Review keine Unterschiede festgestellt werden [48]. Ergebnisse eines älteren Reviews weisen auf die Überlegenheit zementierter Suprakonstruktionen in biologischer und klinischer Hinsicht hin [49]. Bei zementierten Totalversorgungen wurden im Gegensatz dazu in einem aktuellen systematischen Review biologische und/oder technische Komplikationen häufiger beobachtet, als bei verschraubten Totalrekonstruktionen [50]. Allerdings wiesen verschraubte keramische Suprakonstruktionen höhere Chippingraten der Verblendungen auf. In anderen systematischen Übersichtsarbeiten konnten keine Unterschiede in Bezug auf die Überlebensraten der Implantate und der Suprakonstruktionen in Abhängigkeit von der Befestigungsart ermittelt werden [48, 51]. Dabei muss berücksichtigt werden, dass aufgrund der teilweise sehr unterschiedlichen Studiendesigns und insbesondere der verschiedenen Definitionen von Erfolgsparametern ein direkter Vergleich der beiden Befestigungsarten und evidenzbasierte Aussagen dazu derzeit nicht möglich sind [52].
Fazit
Kugelkopfanker (PS BA), Locator®-ähnliche Aufbauten (PS Easy-Con) und MultiPlus-Attachments ermöglichen eine gute und vorhersehbare prothetische Versorgung auf vier Implantaten. Die Tatsache, dass im vorliegenden Patientenfall ein minimal-invasives Vorgehen bei der Implantatinsertion gewählt wurde, erhöhte die Akzeptanz des Patienten für die vorgeschlagene Implantattherapie. Die Möglichkeit, dass mit einer reduzierten Anzahl Implantate in Abhängigkeit von patientenspezifischen Faktoren unterschiedliche prothetische Lösungen angestrebt werden können, erleichtert die Umsetzung von Patientenwünschen und es ermöglicht eine Neukonzipierung der prothetischen Lösung sogar während der laufenden Therapie.
Literatur:
- Gerritsen A. E., Allen P. F., Witter D. J., Bronkhorst E. M., Creugers N. H.: Tooth loss and oral health-related quality of life: a systematic review and meta-analysis. Health Qual Life Outcomes 8, 126 (2010).
- Nordenram G., Davidson T., Gynther G., Helgesson G., Hultin M., Jemt T., Lekholm U., Nilner K., Norlund A., Rohlin M., Sunnegardh-Gronberg K., Tranaeus S.: Qualitative studies of patients‘ perceptions of loss of teeth, the edentulous state and prosthetic rehabilitation: a systematic review with meta-synthesis. Acta Odontol Scand 71, 937-51 (2013).
- Armellini D. B., Heydecke G., Witter D. J., Creugers N. H.: Effect of removable partial dentures on oral health-related quality of life in subjects with shortened dental arches: a 2-center cross-sectional study. Int J Prosthodont 21, 524-30 (2008).
- De Bruyn H., Raes S., Matthys C., Cosyn J.: The current use of patient-centered/reported outcomes in implant dentistry: a systematic review. Clin Oral Implants Res 26 Suppl 11, 45-56 (2015).
- Emami E., Heydecke G., Rompre P. H., de Grandmont P., Feine J. S.: Impact of implant support for mandibular dentures on satisfaction, oral and general health-related quality of life: a meta-analysis of randomized-controlled trials. Clin Oral Implants Res 20, 533-44 (2009).
- Chen P., Yu S., Zhu G.: The psychosocial impacts of implantation on the dental aesthetics of missing anterior teeth patients. Br Dent J 213, E20 (2012).
- Warreth A., Alkadhimi A. F., Sultan A., Byrne C., Woods E.: Mandibular implant-supported overdentures: attachment systems, and number and locations of implants–Part I. J Ir Dent Assoc 61, 93-7 (2015).
- Johannsen A., Westergren A., Johannsen G.: Dental implants from the patients perspective: transition from tooth loss, through amputation to implants – negative and positive trajectories. J Clin Periodontol 39, 681-7 (2012).
- Trulsson U., Engstrand P., Berggren U., Nannmark U., Branemark P. I.: Edentulousness and oral rehabilitation: experiences from the patients‘ perspective. Eur J Oral Sci 110, 417-24 (2002).
- Teofilo L. T., Leles C. R.: Patients‘ self-perceived impacts and prosthodontic needs at the time and after tooth loss. Braz Dent J 18, 91-6 (2007).
- Brennan M., Houston F., O’Sullivan M., O’Connell B.: Patient satisfaction and oral health-related quality of life outcomes of implant overdentures and fixed complete dentures. Int J Oral Maxillofac Implants 25, 791-800 (2010).
- Pommer B., Mailath-Pokorny G., Haas R., Busenlechner D., Furhauser R., Watzek G.: Patients‘ preferences towards minimally invasive treatment alternatives for implant rehabilitation of edentulous jaws. Eur J Oral Implantol 7 Suppl 2, S91-109 (2014).
- Al-Omiri M. K., Hammad O. A., Lynch E., Lamey P. J., Clifford T. J.: Impacts of implant treatment on daily living. Int J Oral Maxillofac Implants 26, 877-86 (2011).
- Walia K., Belludi S. A., Kulkarni P., Darak P., Swamy S.: A Comparative and a Qualitative Analysis of Patient’s Motivations, Expectations and Satisfaction with Dental Implants. J Clin Diagn Res 10, ZC23-6 (2016).
- Yao J., Li M., Tang H., Wang P. L., Zhao Y. X., McGrath C., Mattheos N.: What do patients expect from treatment with Dental Implants? Perceptions, expectations and misconceptions: a multicenter study. Clin Oral Implants Res, (2016).
- da Cunha M. C., Santos J. F., Santos M. B., Marchini L.: Patients‘ Expectation Before and Satisfaction After Full-Arch Fixed Implant-Prosthesis Rehabilitation. J Oral Implantol 41, 235-9 (2015).
- de Siqueira G. P., dos Santos M. B., dos Santos J. F., Marchini L.: Patients‘ expectation and satisfaction with removable dental prosthesis therapy and correlation with patients‘ evaluation of the dentists. Acta Odontol Scand 71, 210-4 (2013).
- de Souza F. I., de Souza Costa A., Dos Santos Pereira R., Dos Santos P. H., de Brito R. B., Jr., Rocha E. P.: Assessment of Satisfaction Level of Edentulous Patients Rehabilitated with Implant-Supported Prostheses. Int J Oral Maxillofac Implants 31, 884-90 (2016).
- Kuoppala R., Napankangas R., Raustia A.: Quality of Life of Patients Treated With Implant-Supported Mandibular Overdentures Evaluated With the Oral Health Impact Profile (OHIP-14): a Survey of 58 Patients. J Oral Maxillofac Res 4, e4 (2013).
- Mumcu E., Bilhan H., Geckili O.: The effect of attachment type and implant number on satisfaction and quality of life of mandibular implant-retained overdenture wearers. Gerodontology 29, e618-23 (2012).
- Thomason J. M., Feine J., Exley C., Moynihan P., Muller F., Naert I., Ellis J. S., Barclay C., Butterworth C., Scott B., Lynch C., Stewardson D., Smith P., Welfare R., Hyde P., McAndrew R., Fenlon M., Barclay S., Barker D.: Mandibular two implant-supported overdentures as the first choice standard of care for edentulous patients–the York Consensus Statement. Br Dent J 207, 185-6 (2009).
- Mericske-Stern R., Worni A.: Optimal number of oral implants for fixed reconstructions: a review of the literature. Eur J Oral Implantol 7 Suppl 2, S133-53 (2014).
- Foundation for Oral Rehabilitation (FOR): Patient-centred rehabilitation of edentulism with an optimal number of implants. A Foundation for Oral Rehabilitation (FOR) consensus conference. Eur J Oral Implantol 7 Suppl 2, S235-8 (2014).
- Roccuzzo M., Bonino F., Gaudioso L., Zwahlen M., Meijer H. J.: What is the optimal number of implants for removable reconstructions? A systematic review on implant-supported overdentures. Clin Oral Implants Res 23 Suppl 6, 229-37 (2012).
- Pomares C.: A retrospective study of edentulous patients rehabilitated according to the ‚all-on-four‘ or the ‚all-on-six‘ immediate function concept using flapless computer-guided implant surgery. Eur J Oral Implantol 3, 155-63 (2010).
- Krennmair G., Seemann R., Fazekas A., Ewers R., Piehslinger E.: Patient preference and satisfaction with implant-supported mandibular overdentures retained with ball or locator attachments: a crossover clinical trial. Int J Oral Maxillofac Implants 27, 1560-8 (2012).
- Krennmair G., Seemann R., Weinlander M., Piehslinger E.: Comparison of ball and telescopic crown attachments in implant-retained mandibular overdentures: a 5-year prospective study. Int J Oral Maxillofac Implants 26, 598-606 (2011).
- Chiapasco M., Zaniboni M., Rimondini L.: Dental implants placed in grafted maxillary sinuses: a retrospective analysis of clinical outcome according to the initial clinical situation and a proposal of defect classification. Clin Oral Implants Res 19, 416-28 (2008).
- Misch C. E.: Divisions of available bone in implant dentistry. Int J Oral Implantol 7, 9-17 (1990).
- Misch C. E.: Density of bone: effect on treatment plans, surgical approach, healing, and progressive boen loading. Int J Oral Implantol 6, 23-31 (1990).
- Gambia. The World in Figures. London: Palgrave Macmillan UK; 1978. p. 69-.
- Alsaadi G., Quirynen M., Komarek A., van Steenberghe D.: Impact of local and systemic factors on the incidence of oral implant failures, up to abutment connection. J Clin Periodontol 34, 610-7 (2007).
- Sclar A. G.: Guidelines for Flapless Surgery. Journal of Oral and Maxillofacial Surgery 65, 20-32 (2007).
- Allen F., Smith D. G.: An assessment of the accuracy of ridge-mapping in planning implant therapy for the anterior maxilla. Clin Oral Implants Res 11, 34-8 (2000).
- Wilson D. J.: Ridge mapping for determination of alveolar ridge width. Int J Oral Maxillofac Implants 4, 41-3 (1989).
- Esposito M., Hirsch J. M., Lekholm U., Thomsen P.: Biological factors contributing to failures of osseointegrated oral implants. (I). Success criteria and epidemiology. Eur J Oral Sci 106, 527-51 (1998).
- Uludag B., Polat S., Sahin V., Comut A. A.: Effects of implant angulations and attachment configurations on the retentive forces of locator attachment-retained overdentures. Int J Oral Maxillofac Implants 29, 1053-7 (2014).
- Scherer M. D., McGlumphy E. A., Seghi R. R., Campagni W. V.: Comparison of retention and stability of two implant-retained overdentures based on implant location. J Prosthet Dent 112, 515-21 (2014).
- Seo Y. H., Bae E. B., Kim J. W., Lee S. H., Yun M. J., Jeong C. M., Jeon Y. C., Huh J. B.: Clinical evaluation of mandibular implant overdentures via Locator implant attachment and Locator bar attachment. J Adv Prosthodont 8, 313-20 (2016).
- Ceruti P., Menicucci G., Schierano G., Mussano F., Preti G.: Mandibular implant-retained overdentures with 2 different prosthetic designs: a retrospective pilot study on maintenance interventions. Int J Prosthodont 19, 557-9 (2006).
- Elsyad M. A., Mahanna F. F., Elshahat M. A., Elshoukouki A. H.: Locators versus magnetic attachment effect on peri-implant tissue health of immediate loaded two implants retaining a mandibular overdenture: a 1-year randomised trial. J Oral Rehabil 43, 297-305 (2016).
- Grey E. B., Harcourt D., O’Sullivan D., Buchanan H., Kilpatrick N. M.: A qualitative study of patients‘ motivations and expectations for dental implants. Br Dent J 214, E1 (2013).
- Castillo-Oyague R., Suarez-Garcia M. J., Perea C., Rio J. D., Lynch C. D., Gonzalo E., Torres-Lagares D., Preciado A.: Validation of a new, specific, complete, and short OHRQoL scale (QoLFAST-10) for wearers of implant overdentures and fixed-detachable hybrid prostheses. J Dent 49, 22-32 (2016).
- Preciado A., Del Rio J., Lynch C. D., Castillo-Oyague R.: Impact of various screwed implant prostheses on oral health-related quality of life as measured with the QoLIP-10 and OHIP-14 scales: a cross-sectional study. J Dent 41, 1196-207 (2013).
- Rehmann P., Rudel K., Podhorsky A., Wostmann B.: Three-Year Analysis of Fixed and Removable Telescopic Attachment-Retained Implant-Supported Dental Prostheses: Survival and Need for Maintenance. Int J Oral Maxillofac Implants 30, 918-24 (2015).
- Kern J. S., Kern T., Wolfart S., Heussen N.: A systematic review and meta-analysis of removable and fixed implant-supported prostheses in edentulous jaws: post-loading implant loss. Clin Oral Implants Res 27, 174-95 (2016).
- de Brandao M. L., Vettore M. V., Vidigal Junior G. M.: Peri-implant bone loss in cement- and screw-retained prostheses: systematic review and meta-analysis. J Clin Periodontol 40, 287-95 (2013).
- Sherif S., Susarla H. K., Kapos T., Munoz D., Chang B. M., Wright R. F.: A systematic review of screw- versus cement-retained implant-supported fixed restorations. J Prosthodont 23, 1-9 (2014).
- Nissan J., Narobai D., Gross O., Ghelfan O., Chaushu G.: Long-term outcome of cemented versus screw-retained implant-supported partial restorations. Int J Oral Maxillofac Implants 26, 1102-7 (2011).
- Millen C., Bragger U., Wittneben J. G.: Influence of prosthesis type and retention mechanism on complications with fixed implant-supported prostheses: a systematic review applying multivariate analyses. Int J Oral Maxillofac Implants 30, 110-24 (2015).
- Wittneben J. G., Millen C., Bragger U.: Clinical performance of screw- versus cement-retained fixed implant-supported reconstructions–a systematic review. Int J Oral Maxillofac Implants 29 Suppl, 84-98 (2014).
- Ma S., Fenton A.: Screw- versus cement-retained implant prostheses: a systematic review of prosthodontic maintenance and complications. Int J Prosthodont 28, 127-45 (2015).
Bildquellen sofern nicht anders deklariert: Unternehmen, Quelle oder Autor/-in des Artikels
Entdecke CME Artikel




Keine Kommentare.