|
Getting your Trinity Audio player ready...
|
Die Sicherung der Implantatversorgung beginnt mit der Extraktion, Vorbehandlung und Planung. Sie bezieht sich auf die vier folgenden Grundbausteine: frühzeitige Entscheidungsfindung zur Sicherung des Knochenlagers mit begrenzter Implantatzahl, schonende Zahnentfernung unter Vermeidung von Knochenverlust durch intraalveoläre Wurzelteilung, Sicherung der Implantatdiagnostik und nachfolgenden Implantation über das OPG hinaus durch 3D-Darstellung des OP-Gebiets (DVT) sowie minimale chirurgische Realisation unter Einbeziehung dimensionsreduzierter Implantate mit Limitation der chirurgischen Augmentation auf prothetisch relevante Indikationen.
Planung
Frühzeitige Indikationsstellung
Die frühzeitige Implantationsempfehlung hat anatomische, funktionelle und wirtschaftliche Aspekte:
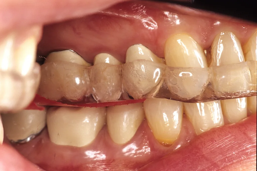
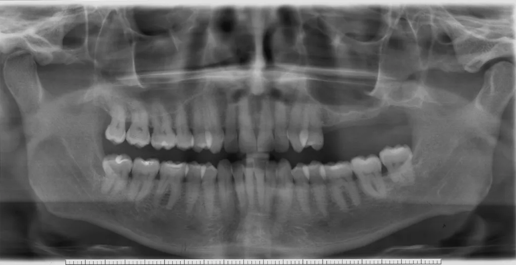
- Anatomie: Behandelte fortgeschrittene Parodontalerkrankungen sind klinisch stabil, zeigen aber in den implantatrelevanten anatomischen Knochenabschnitten (bukkale Lamellen, interapproximales Septum) weitere Abbauvorgänge durch Entzündung (Abb. 1 und 2) [1].
- Funktion: Durch Zahnverlust oder Parodontitis entstehen funktionsbedingt Zahnwanderungen, die häufig mit Verlust der Front-Eckzahn-Führung einhergehen und in einer Gruppenführung mit alters- und gebrauchsbezogener Bisssenkung resultieren [2].
- Kosten: Eine langjährige Parodontalbehandlung prognostisch ungünstiger Restzähne (Knochenabbau > 50%) mit später Implantatentscheidung sollte aufgrund der wirtschaftlichen Doppelbelastung vermieden werden.
- Komfort: Kaufestigkeit, Pflegefähigkeit und Ästhetik werden durch eine rechtzeitige Implantattherapie und optimierte Implantatprothetik gefördert.
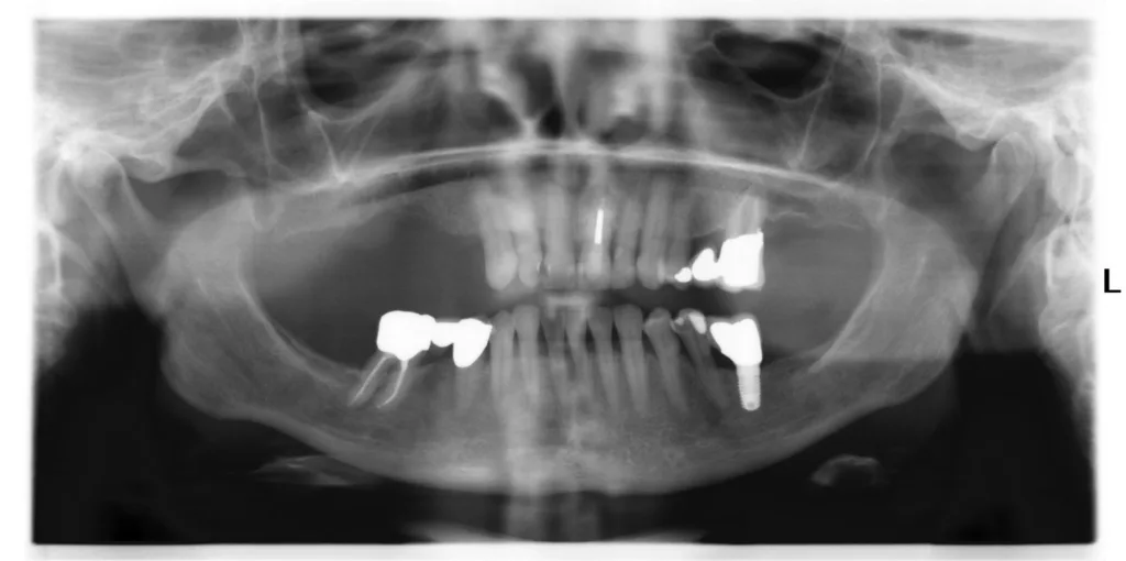
Daraus resultiert ein zweizeitiges Vorgehen mit (i) Entfernung prognostisch unsicherer Zähne, (ii) parodontaler Zieltherapie zur Sicherung des Restzahnbestandes, ergänzt durch (iii) mikrochirurgische Revision tiefer Resttaschen vor Implantation zum weiteren Entzündungsschutz (Abb. 3 und 4). Die Implantatplanung bleibt vorläufig. Ein definitiver Kostenvoranschlag wird erst nach funktioneller Entlastung und digitaler Beurteilung der Implantatknochenanatomie erstellt.
Funktionelle Entlastung
Bei voll- und teilbezahnten Patienten/-innen kommt es häufig zu einer gebrauchsbezogenen Bisssenkung (Abnutzung) unter Verlust der Front-Eckzahn-Führung mit resultierender Gruppenführung bei Rechts- und Linkslateralbewegung [3]. Fehlfunktionen und Habits (Pressen, Knirschen etc.) sind zusätzliche Schadensfaktoren. Bei fortgeschrittener Parodontitis beschleunigt die Gruppenführung die Progression der Erkrankung, behindert die Ausheilung nach der Behandlung und schwächt das Knochenlager für nachfolgende Implantationen. Daher sollten bereits in der frühen Planungsphase folgende Maßnahmen erfolgen:
- Im Rahmen des stomatologischen Befunds Beurteilung der Kaumuskulatur (M. temporalis, M. masseter) und der Kiefergelenke (M. pterygoideus medialis und lateralis) auf Verspannung, Verhärtung und Druckschmerzhaftigkeit (GOZ 8000 ff.).
- Zum Ausschluss somatischer Ursachen osteopathische Untersuchung auf craniocaudale Dysfunktion, verursacht durch Körperstatik (Schiefstellung), (Fehl-)Haltung, Gang (Motorik) u.a., ggfs. unterstützende Mitbehandlung [4], (ca. 80 Euro pro Stunde).
- Vorsichtige Reduktion prominenter Protrusionskontakte (Front) und Gleithindernisse in der Laterotrusion auf der Arbeitsseite durch Einschleifen (Bema Teil 4, Geb-Nr. 108; GOZ 4000 ff.).
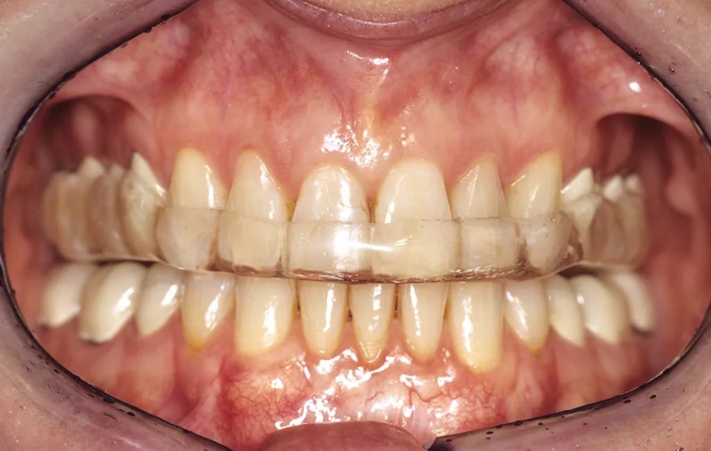
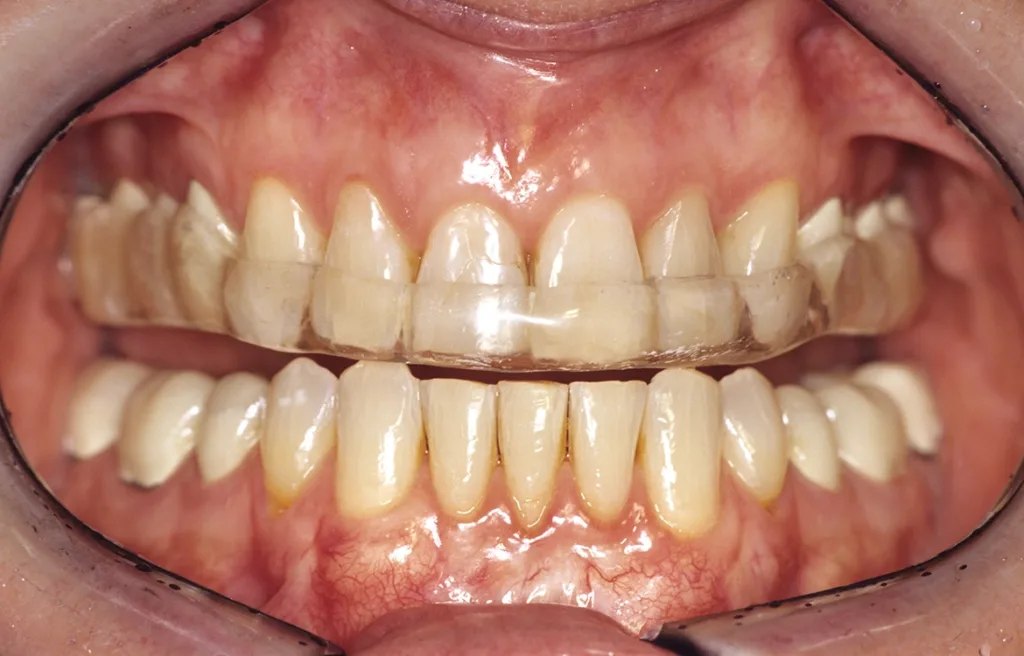
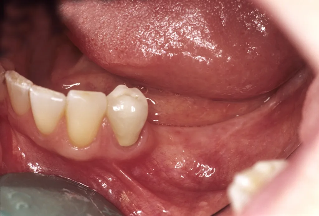
- Anfertigung einer Relaxierungsschiene im OK (bei Deck- oder Tiefbiss im UK) zur funktionellen Dekompensation mit frontalem Aufbiss und temporärer Entlastung im Molarenbereich durch vertikale Freistellung von 1 mm (GOZ 7000 ff.) (Abb. 5 bis 7).
Ziel ist die Dekompensation gewohnheitsbedingter Fehlfunktionen zur Entlastung, Revaskularisierung und Mineralisation des Alveolarknochens vor Implantation. Nach Durchführung der genannten Maßnahmen erfolgt bereits nach einer Tragezeit von vier bis sechs Wochen eine Entlastung von habituellen Gebrauchsmustern. Aus Hygiene- und Stabilitätsgründen werden die Schienen als Streuschienen in einer Stärke von ca. 1,5 mm gefertigt. Sie reichen jeweils bis zum Sechsjahrmolaren (Abb. 8).
Digitale Bildgebung 3D
Digitalisierung bedeutet Information und Sicherheit. Die Erstellung eines DVTs in der frühen Implantatplanung hat drei Kernvorteile:
- Patientenbindung: Die Entscheidung des/der Patienten/-in zur Anfertigung eines DVTs während der Implantatberatung (zeitintensiv) mit Zahlung der Kosten von 120 bis 180 Euro je nach Aufnahmeumfang, Bildfenster und Institut ist Motivationsfaktor und sichert die Zusage an die Behandlung. Junge Patienten/-innen und im IT-Bereich Beschäftigte sind sich des Mehrwerts einer 3D-Bildgebung zur Therapiesicherung durchaus bewusst und fragen danach.
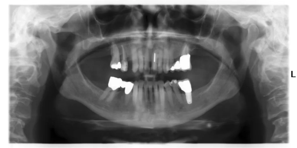
- Anatomische Information: Mehrinformationen sind die Nähe zum N. alveolaris, die Ausdehnung der Kieferhöhle und ihrer Septen, der Verlauf (insbesondere transversal) und die Mineralisation des Implantatknochens (nach Zahnextraktion) sowie die Positionierung des/r Implantate/s in Relation zu Nachbarzähnen (Abb. 9 und 10). Durch Schrägmessungen resultieren auch im DVT-Messfehler von bis zu 1 mm [5,6].
- Präzision: Die 3D-Beurteilung des Implantatgebietes bedeutet einen erhöhten Zeitaufwand in der Planung, die im Regelfall auch zu einer präziseren, schonenden und risikoärmeren OP-Planung und Implantatinsertion führt. Auch bei langjähriger klinischer Erfahrung sollte dieser Vorteil genutzt werden.
Die Abrechnung des DVTs erfolgt durch die in der GOÄ für Zahnärzte/-innen geöffneten GOÄ-Pos. 5370 und 5377. Besitzt man kein eigenes DVT, sind chirurgisch tätige Kollegen/-innen (Überweisende) oder speziell ausgerüstete Radiologiepraxen Ansprechpartner/-innen. Achtung: DVT-Aufnahme (Region, Ausschnitt, Viewer etc.) immer individuell anweisen. Der Mehraufwand der 3D-Analyse und Auswertung wird mittels Analogposition (GOZ 9000a) berechnet.
Implantatabstände
Wird ein Implantat neben einen natürlichen Zahn gesetzt, hat dies keine Auswirkungen auf die Interdentalpapille. Setzt man zwei Implantate nebeneinander, geht unabhängig vom verwendeten Implantattyp die suprakrestale biologische Breite und damit die Papille verloren [7]. Die Effekte von Implantaten mit Platform-Switching, konkavem Abutment, mikromaschiniertem Hals oder von Mikrobewegungen des Implantat-Abutments auf die Stabilität von krestalem Knochen und Weichgewebe beschränken sich auf subklinische Effekte [8,9]. Die chirurgischen Implantatabstände folgen daher primär den prothetischen Erfordernissen, insbesondere der Gegenbezahnung [10].
Im Idealfall gelten folgende Gesetze:
- Mindestabstand bei einwurzeligen Zähnen einschl. Prämolaren: 7 mm.
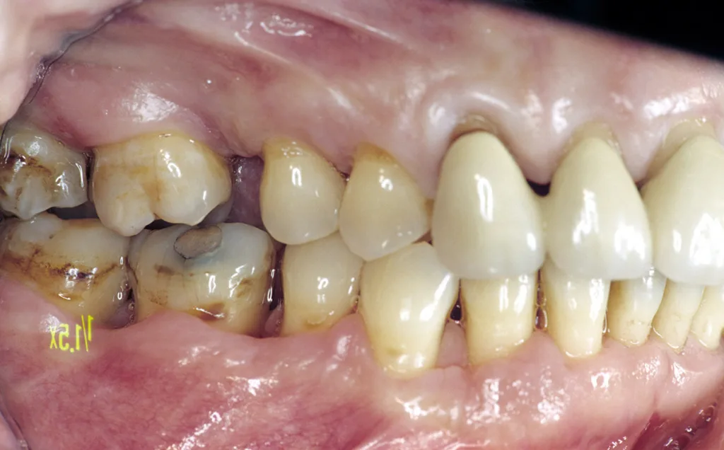
- Im Molarenbereich Implantatabstände von mindestens 11 mm (Abb. 11).
Häufig ist für die prothetisch ideale Implantatposition die lokale Knochenanatomie unzureichend, insbesondere bei Kreuzbiss oder langjährigen parodontalen Schäden usw. (Abb. 12 bis 14). Bestätigt die klinische Untersuchung diesen Verdacht, erfolgt eine 3D-Beurteilung der Knochenbreite mit individualisierter Implantatposition, ggfs. auch unter Verwendung durchmesserreduzierter Implantate. Alternativen Aufwand, Umfang und Kosten von Augmentation, Knochenentnahme oder Fremdmaterial mit Lappenmobilisation und möglicher Infektion vorab kalkulieren.
Implantation
Perfusion (Blutung)
Zum Erhalt eines vaskularisierten Implantatknochens und zur Vermeidung periimplantärer Folgeerkrankungen als Folge von Gefäßschäden der Spongiosa (frühe Implantatmisserfolge) sollte neben ausreichenden Implantatabständen auf eine Knochenblutung während der Implantatinsertion geachtet werden [11] (Abb. 15). Dies erzielt man durch folgendes Step-by-Step-Vorgehen:
- Verwendung scharfer Pilot- und Mehrwegbohrer (frühzeitig erneuern, sonst zu hoher Druck und Gefahr der fehlerhaften Achsenrichtung).
- Dosierte Implantatbettaufbereitung (intermittierend) unter ständiger NaCl-Kühlung.
- Vor Implantatinsertion Auffüllung des Implantatbetts mit Blut abwarten.
- Benetzung der Implantatoberfläche mit Blut beim Einbringen.
- Begrenzte Drehzahl < 800 nm während der Implantation, ggfs. auch Einbringen von Hand mit Drehmomentschlüssel, max.10 bis 30 Nm (Abb. 16).
Als Endposition hat sich eine geringfügige subkrestale Positionierung des Implantates bewährt [12]. Zur Einheilung ist unabhängig vom Implantattyp (zylindrisch, wurzelförmig etc.), Knochenqualität und Lokalisation eine primär stabile Fixierung erforderlich. Von einer weiteren „Verschraubung“ mit Verletzung des Implantat-Knochen-Verbundes ist abzuraten [13].
Weichgewebsschutz (Volumen)
Aufgrund bestehender Knochendefizite nach Extraktion, Parodontitis oder bei Fehlfunktion sind die Voraussetzungen an eine ausreichend breite Zone an keratinisierter Gingiva um Implantate häufig nicht ideal [14]. Zur Planung und Sicherung des chirurgischen Vorgehens sollten bereits bei der Erstellung des KVs die GOÄ-Positionen ä 2382, ä2386 und ä2677 mit den entsprechenden GOZ-Zuschlägen berücksichtigt werden. Folgendes Vorgehen hat sich bewährt:
Verbreiterung:
- Zunächst Planung (Modelle) und Implantation durchführen.
- Bei ortsständiger Implantation Verbreiterung der periimplantären Gingiva durch leicht oralwärts verlagerte Inzision (reicht meist aus).
- Bei lateraler Augmentation ist eine Verbreiterung aufgrund der Lappenmobilisation zur Defektdeckung absehbar. In der Einheilungsphase vor Freilegung separater Behandlungstermin mit Vestibulumplastik und freier Schleimhauttransplantation (Gaumen) (Abb. 17 bis 19).
- In Einzelfällen und bei Zahnlosigkeit im Unterkiefer Verbreiterung durch Edlan-Mejchar-Vestibulumplastik mit Schaffung einer attached Mukosa als gestielte Lappenplastik mit gutem ästhetischem Resultat vor Implantation. Sie kann auch zur Kompensation nach Implantation erfolgen (Abb. 20 bis 22).
Verdickung:
Zur funktionellen Sicherung und zum Schutz vor periimplantären Erkrankungen ist eine ausreichende periimplantäre Breite weitaus wichtiger als die Schleimhautdicke. Die alleinige Verdickung mittels freiem Bindegewebstransplantat (Gaumen) oder Rolllappen geht häufig mit periimplantärem Höhenverlust einher. Sie ist auf ästhetisch wichtige Indikationen (Oberkieferfront) beschränkt. Probleme in der Einheilung, Narbenbildungen, natürliche biologische Resorptionen und die nachlassende Dauerstabilität werden prothetisch ausgeglichen.
Kurze, durchmesserreduzierte Implantate
Die Verwendung kurzer (< 9 mm) Implantate (Shorties) führt zu einer Minimalisierung des Eingriffs. Obwohl Implantation und klinische Einheilung patientenfreundlich sind, erfordert die minimale Chirurgie in ihrer praktischen Durchführung einen Mehraufwand durch 3D-Visualisierung in der Planung (DVT) und mikrochirurgisches Feingefühl in der Realisation. Evidenz-basierte klinische Daten sind uneinheitlich und industriegelenkt, biomechanische Studien unterschätzen die funktionelle Adaptation des Implantatknochens [15,16]. Bei vertikal fehlendem Knochenangebot öffnet die Erfahrung der klinischen Praxis gegenwärtig folgende Indikationsbereiche:
Unterkiefer:
- Fortgeschrittene Alveolarkammatrophie im Unterkiefermolarenbereich (häufig) (Abb. 23 bis 29)
- Nähe zum N. alveolaris
Oberkiefer:
- Anatomisch enge Lagebeziehung zur Kieferhöhle
- Atrophierter oder zahnloser Oberkiefer nach langjähriger Tragedauer von herausnehmbarem Zahnersatz
Transversale Implantatknochenplateaus werden während der Implantation chirurgisch korrigiert (GOÄ 2730), um periimplantäre Trichter und prothetisch lange Abutments mit infektanfälliger Gingiva zu vermeiden (Abb. 30). Die prothetische Versorgung des Unterkiefers erfolgt festsitzend unter Verwendung axial verschraubter, nicht zementierter, unverblockter Einzelkronen (Hygiene, Zementierungsschäden, Periimplantitis). Die Integration in den Praxisalltag gelingt nur mit Fokus auf die Gewebebiologie unter Abkehr von der rein mechanistischen Versorgungslehre und Verblockungstheorie.
Durchmesserreduzierte (< 4 mm), schmale Implantate mit transgingivaler Einheilung (Minis) sind aufgrund ihrer Materialeigenschaften (Bruch) und begrenzten prothetischen Versorgungsmöglichkeit und Kompatibilität auf Einzelindikationen bei multimorbiden Patienten/-innen mit zahnlosem Unterkiefer, erhöhtem OP-Risiko (fortgeschrittener Diabetes, Gerinnungserkrankungen etc.) und eingeschränkten Hygienemöglichkeiten limitiert [17].
Augmentation und Revision
Mit Ausnahme des Sinuslifts ist in der implantologischen Breitenversorgung die Zahl der chirurgischen Augmentationen rückläufig und beschränkt sich auf die Rekonstruktion nach Trauma und Tumorerkrankungen durch vertikale Distraktion oder auf individuelle prothetische oder ästhetische Indikationen [18]. Die Indikation zur Augmentation umfasst:
- den Zahnverlust bei Kreuzbiss,
- die Augmentation bei lateralem Knochenverlust (Seite) und
- die Ausformung des periimplantären Knochens (vestibuläre Emergenz) bei hohem ästhetischem Anspruch (Front).
Zur Verwendung autogenen Knochens bzw. Chips und ihrer synthetischen Alternativen im Zusammenhang mit Augmentationstechniken hat der Autor bereits ausführlich Stellung genommen [19]. Die rückläufigen Entwicklungen in der Augmentationspraxis haben unmittelbare Konsequenzen für die chirurgische Revision periimplantärer Schäden. Hier hat sich folgendes Vorgehen etabliert [20]
Periimplantäre Behandlung
Vier-Punkte-Programm (Privatleistung) zur Behandlung periimpläntärer Schäden, die durch eine sorgfältige Implantatplanung weitgehend vermieden werden können (Renvert et al. 2013):
| Schritt | Defekttiefe (PD in mm) | Vorgehen |
| A | ≤ 3 mm | Mundhygiene + IMP-Reinigung |
| B | ≤ 4-5 mm | CHX 0.2 %, Er:YAG |
| C | ≥ 6 mm | Systemische Antibiose |
| D | ≥ 8 mm | Explantation / Regenerative Therapie |
Mukositis
- Defekttiefe ≤ 3 mm: Mundhygiene und Implantatreinigung (ZMP, ZMF, DH)
- Defekttiefe ≤ 4 bis 5 mm: zusätzlich 0,2% CHX, ggfs. Laserdekontamination Er: YRG
- Defekttiefe ≥ 6 mm: periimpläntäre plus parodontale Reinigung, systemische Antibiose mit Amoxicillin 500 mg 20 Tabl. und Clont 400 mg 20 Tabl., je drei Tabletten für sieben Tage
Zusammen mit funktioneller Entlastung durch Einstellung der Front-Eckzahn-Führung, einer Dekompensation durch Schienentherapie (siehe oben), ggfs. auch mit Abnahme der Implantatkrone(n) stellt sich für die Patienten/-innen häufig eine zunächst klinisch akzeptable Lösung ein, die bei Bedarf wiederholt werden kann (Privatleistung, GOZ 4000 ff.). In der Therapie periimplantärer Schäden wird die Empfehlung, Implantatkronen axial zu verschrauben (nur Prämolaren und Molaren) und damit abnehmbar zu gestalten, besonders deutlich.
Periimplantitis
Zu den weit fortgeschrittenen Schäden mit zirkulärem trichterförmigem Implantatknochenabbau zählen Defekttiefen ≥ 8 mm: Explantation, ggfs. chirurgische Revision. Bei dieser Befundklasse umfassen die Empfehlungen zunehmend die Implantatentfernung mit Neuinsertion, ggfs. unter Augmentation und prothetischer Versorgung nach Ausheilung (bei Patientenwunsch). Der Vorteil einer rascheren Defektheilung bei Implantatknochenschäden nach Insertion dimensionsreduzierter Implantate liegt auf der Hand. Erfolgt im Einzelfall bei strategisch wichtigen Implantaten (Eckzahnbereich bei Zahnlosigkeit) die Entscheidung zur chirurgischen Revision, gilt folgender Behandlungsablauf [21]:
- Abnahme der Suprakonstruktion, wenn verschraubt
- horizontaler Kieferkammschnitt mit vertikaler Entlastung, Bildung eines Mukoperiostlappens
- Knochentaschenkürettage
- Spülung mit 0,2% CHX, ergänzend Er.YRG-Dekontamination
- Blutungsstimulation plus autogene Knochentransplantate zur Defektauffüllung und Rekonstruktion, ggfs. Abdeckung mit gestieltem und rotiertem Bindegewebslappen
- dichter, spannungsfreier Wundverschluss, keine funktionelle Belastung
- systemische Antibiose
Die chirurgische Revision trichterfömiger Implantatknochendefekte ist aufgrund ihres Zeitaufwands, Umfang und Kosten und begrenzter Indikationsstellung auf einzelne klinische Situationen begrenzt (Khoury und Buchmann 2001)
Fazit
Die Vermeidung periimplantärer Erkrankungen liegt in einer sorgfältigen Analyse, Beurteilung und Planung vor der Implantation. Eine parodontale Sanierung mit frühzeitiger Entfernung schlechter Prognosezähne bei Implantationswunsch und die funktionelle Entlastung (Dekompensation) mit Fokus auf eine gesicherte Front-Eckzahn-Führung sind die wichtigsten Grundbausteine. Zur Therapiesicherung bei enger anatomischer Lagebeziehung oder Verwendung durchmesserreduzierter Implantate wird die Implantatplanung durch ein präoperatives DVT unter Berücksichtigung der prothetisch erforderlichen Implantatabstände unterstützt.
Die Implantation erfolgt unter minimaler mechanischer Knochenbelastung und Beachtung der Gewebedurchblutung (Perfusion). Chirurgische Verbreiterungen werden nach Expektation und Implantateinheilung durchgeführt, entweder schleimhautunterstützt oder durch gestielte Lappenplastiken. Bei periimplantären Schäden wird die Hygienefähigkeit mit Notwendigkeit der axialen Verschraubung der prothetischen Versorgung deutlich. Erst die gemeinsame Realisation aller genannten Faktoren führt zu einer nachhaltigen Verminderung von Implantatschäden, sichert den implantologischen Langzeiterfolg und damit das Ansehen und Vertrauen der Zahnärzteschaft in der Bevölkerung.
Entdecke CME Artikel

































Keine Kommentare.