Frau W., 55-jährig, ist verheiratet und von Beruf kaufmännische Angestellte. Die Familienanamnese war bezüglich Hinweisen auf parodontale Erkrankungen unauffällig. Sie ist Nichtraucherin, es erfolgte keine regelmäßige Medikamenteneinnahme.
Dr. Mauro Amato & Prof. Clemens Walter
Befunde
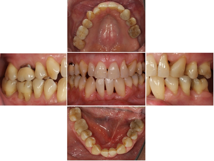
Der extraorale Befund war unauffällig. Der intraorale Befund (Abb. 2) zeigte eine lückenlose Dentition und eine verbesserungsbedürftige Mundhygiene (PI: 37%, BI: 2%) auf. Die Zähne 14 und 23 fehlten aufgrund einer Nichtanlage.
Dr. Mauro Amato & Prof. Clemens Walter
Dr. Mauro Amato & Prof. Clemens Walter
Einige Zähne waren konservierend suffizient versorgt (Abb. 3). In der Unterkieferfront bestand ein ausgeprägter Engstand mit Verschachtelung (Crowding).
Dr. Mauro Amato & Prof. Clemens Walter
| 4* | 4* | 4* |
| 1 | 2 | 3 |
| 6 | 5 | 4 |
| 4* | 4* | 4* |
Tabelle 1: Der Parodontale Screening-Index zeigte in allen Sextanten eine fortgeschrittene parodontale Symptomatik. Basierend auf diesem Befund wurde die Patientin aufgenommen, systematisch diagnostiziert und in der Folge synoptisch therapiert.
Im Seitenzahnbereich bestanden an zahlreichen Zähnen Furkationsbeteiligungen. Die Zahnbeweglichkeit war an 2 Zähnen deutlich erhöht. An mehreren Zähnen lagen zudem gingivale Rezessionen vor.
Dr. Mauro Amato & Prof. Clemens Walter
- Generalisierter horizontaler Knochenabbau
- Lokalisierte vertikale Knochendefekte bei den Zähnen 22, 35, 32 und 42
- Radioluzenz im Furkationsbereich der Zähne 36, 46
Es wurde die Diagnose einer generalisierten Parodontitis Stadium 4 Grad C (generalisierte chronische Parodontitis nach alter Klassifikation) gestellt [1,6]. Die genaue Diagnosefindung im Rahmen der aktuellen Klassifikation ist in Abbildung 6 dargestellt (Abb. 6a und 6b). Es wurde eine prätherapeutische prognostische Einschätzung der Einzelzähne vorgenommen (Tab. 2).
Dr. Mauro Amato & Prof. Clemens Walter
Dr. Mauro Amato & Prof. Clemens Walter
| x | x | x | ||||||||||||||
| x | x | x | x | x | x | x | x | x | ||||||||
| 8 | 7 | 6 | 5 | 4 | 3 | 2 | 1 | 1 | 2 | 3 | 4 | 5 | 6 | 7 | 8 | |
| x | x | x | x | x | x | x | x | x | x | x | x | x | ||||
| x | ||||||||||||||||
Tabelle 2: Die prätherapeutische Einzelzahnprognose erfolgte entsprechend dem Ampelschema mit den Kriterien „grün“ – sicher, „gelb“ – fraglich und „rot“ – hoffnungslos/bzw. „irrational to treat“. Der überwiegenden Mehrzahl der Zähne konnte eine sichere Prognose bei Ausnutzung der verfügbaren Therapieoptionen gegeben werden. Bei den Zähnen 16, 26, 27 und 37 lagen Befunde (Furkationbeteiligungen, Lockerungsgrad, Wurzelmorphologie) vor, die keine sichere Prognose erlaubten. Hier sollte das Ergebnis der nichtchirurgischen Therapie abgewartet und erneut evaluiert werden.
Behandlungsplanung
Die Patientin wünschte einen maximalen Zahnerhalt und die Behandlung der Parodontitis. Darüber hinaus bat sie um eine Verbesserung der Ästhetik durch Aufhebung der ungünstigen Zahnstellungen in der Unterkieferfront.
Ablaufplanung
- Stufe 1: Mundhygieneinstruktion, professionelle Zahnreinigung; vollständige dentale, parodontale und radiologische Diagnostik; Aufklärung der Patientin über die Diagnosen, Prognosen und die Behandlungsplanung, parodontale Vorbehandlung
- Stufe 2: Quadrantenweise subgingivale Instrumentierung unter Lokalanästhesie ohne adjuvante systemische Antibiotika
- Stufe 3: Reevaluation nach 3 und 6 Monaten und ggf. (Stufe 3) Entscheid über weitere parodontalchirurgische Therapie und/oder synoptische Therapie
- Kieferorthopädische Therapie und ästhetische Rehabilitation bei stabilen parodontalen Verhältnissen
- Stufe 4: Unterstützende Parodontitistherapie (UPT) 3-monatlich
Behandlungsablauf
Nach der Mundhygieneinstruktion und Etablierung einer guten supragingivalen Plaquekontrolle (PI: 9%, BI: 1%) erfolgte eine subgingivale Instrumentierung. Es wurde ein quadrantenweises Vorgehen gewählt. Zunächst erfolgte die Applikation einer Lokalanästhesie.
Dr. Mauro Amato & Prof. Clemens Walter
Die Zähne 27 und 37 wurden zu diesem Zeitpunkt als nichterhaltungswürdig (ST > 7 mm, Furkationsbeteiligung, ungünstige Wurzelmorphologie, Lockerungsgrad > 1 bzw. > 2, geringe funktionelle Bedeutung) eingestuft und extrahiert. Bei Sondierungstiefen ≥ 6 mm wurden resektive oder regenerative parodontalchirurgische Operationen geplant. Zunächst sollten die resektiven Eingriffe durchgeführt werden.
Dr. Mauro Amato & Prof. Clemens Walter
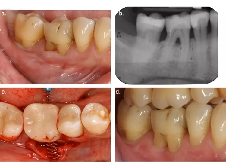
Auch im 1. Quadranten bestanden erhöhte residuale Sondierungstiefen. Zunächst wurde die Situation mit einer DVT-Aufnahme radiologisch dargestellt und das genaue Vorgehen geplant.
Entsprechend den ermittelten Befunden und insbesondere dem zirkulären Restattachment der bukkalen Wurzeln des Zahnes 16 wurden die Entfernung lediglich der palatinalen Wurzel sowie eine distale Keilexzision an Zahn 17 geplant [2]. Vor der Operation wurde der Zahn 16 wurzelkanalbehandelt und mit Komposit provisorisch versorgt. Nach marginaler Schnittführung, Degranulierung und Defektdarstellung konnte die palatinale Wurzel entfernt werden.
Dr. Mauro Amato & Prof. Clemens Walter
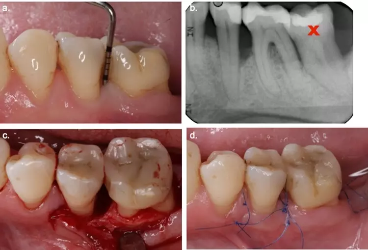
Aufgrund mehrerer lokalisierter, vertikaler Einbrüche im 2. (Zahn 22 und 25) und 3. Quadranten (Zahn 35) wurden jetzt regenerative parodontalchirurgische Operationen mit Schmelz-Matrix-Proteinen (Zahn 25) und synthetischem Knochenersatzmaterial (Emdogain Plus, Zähne 22 und 35) durchgeführt. Es konnten lokalisierte dreiwandige Knochendefekte dargestellt werden. Die gewählte Schnittführung im Sinne eines Papillenerhaltungslappens ermöglichte einen dichten Wundverschluss und strebte den Erhalt der roten Ästhetik an (Abb. 10 und 11).
Dr. Mauro Amato & Prof. Clemens Walter
Dr. Mauro Amato & Prof. Clemens Walter
In der Unterkieferfront konnte die Mundhygiene wegen des Engstandes und der Verschachtelung nur eingeschränkt durchgeführt werden. Distal der Zähne 32 und 42 zeigten sich zudem persistierende erhöhte Sondierungswerte.
Die weitere Planung erfolgte mit der Klinik für Kieferorthopädie und Kinderzahnmedizin der Universitätszahnkliniken [5]. Es wurde entschieden, die Zähne 32 und 42 zu extrahieren und einen möglichst weitgehenden Lückschluss durch eine kieferorthopädische Therapie zu erzielen.
In einem ersten Schritt erfolgte nach Bildung eines Mukoperiostlappens die schonende Extraktion der Zähne 32 und 42. Die intraoperativ detektierten vertikalen Defekte an den Zähnen 33 und 43 wurden mit Schmelz-Matrix-Proteinen behandelt und primär chirurgisch verschlossen.
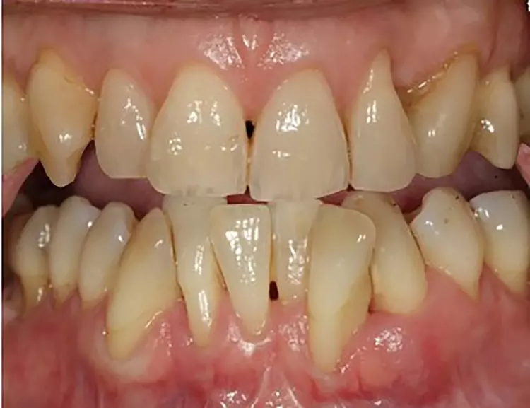
In der 6-monatigen Heilungsphase wurde ein Interimsersatz mit handgebogenen Klammern erstellt, um die Lücken in der Unterkieferfront prothetisch zu schließen. Danach erfolgte die kieferorthopädische Ausformung des Unterkieferzahnbogens mit festsitzenden Apparaturen. Die definitive ästhetische Rehabilitation erfolgte im Anschluss an diese Therapie und wurde durch kleine approximale Kompositfüllungen erreicht (Abb. 12 und 15).
Dr. Mauro Amato & Prof. Clemens Walter
Dr. Mauro Amato & Prof. Clemens Walter
Dr. Mauro Amato & Prof. Clemens Walter
Epikrise
Es lag eine fortgeschrittene parodontale Erkrankung mit ästhetischen Einschränkungen vor. Im Rahmen einer parodontologischen Therapie wurde die notwendige Invasivität stufenweise angepasst. Nach der Etablierung stabiler parodontaler Verhältnisse erfolgte eine Korrektur der Zahnfehlstellungen durch kieferorthopädische und restaurative Maßnahmen.
Diese synoptische Therapie konnte mit einem ansprechenden ästhetischen Ergebnis abgeschlossen werden. Die parodontalchirurgischen Eingriffe erfolgten nach der systematischen nicht-chirurgischen Therapie sowie nach Evaluation der parodontalen Entzündungsparameter und der Wundheilung.
Es kamen unterschiedliche Verfahren zum Einsatz. Dieses Vorgehen ist gut vergleichbar mit den aktuellen Leitlinien der DGParo [7]. Resektive Maßnahmen erfolgten zu Beginn und wurden in erster Linie bei mehrwurzligen Zähnen vorgenommen.
Regenerative Eingriffe fanden Anwendung bei einwurzeligen Zähnen, die eine günstige Defektmorphologie im Sinne von lokalisierten dreiwandigen Defekten aufwiesen [3]. Dieses defektorientierte Vorgehen ermöglichte eine effiziente Taschenreduktion an den jeweiligen Zähnen und eine Verbesserung der Mundhygienezugänglichkeit, insbesondere bei Zähnen mit erhöhtem Furkationsbefall [1]. Nach dem Erreichen des parodontalen Behandlungsziels – geschlossene parodontale Taschen, also Sondierungstiefen bis maximal 4 mm und keine Blutung auf Sondierung – erfolgte eine kieferorthopädische Therapie zur Verbesserung der kompromittierenden ästhetischen Situation im Unterkiefer [5].
Frau W. zeigte eine ausgesprochen gute Mitarbeit und nimmt die 3-monatigen Recallintervalle sehr diszipliniert wahr. Der Erfolg spiegelt sich in den seit über 2 Jahren stabilen parodontalen Verhältnissen wider (Abb. 13 bis 15, Tab. 3).
| initial | + 6 Monate | + 48 Monate | |
|---|---|---|---|
| Anzahl Zähne | 26 | 26 | 24 |
| ST>5mm | 26 | 24 | 2 |
Tabelle 3: Analyse Zahnverlust und Sondierungstiefen. Die verbliebenen Zähne reagierten auf die parodontale Therapie mit einer deutlichen Reduktion der Sondierungstiefen. Kritische Werte >5mm lagen bei einigen UPT-Sitzungen an Zahn 25 vor.
Distal des Zahnes 25 zeigte sich im Behandlungsverlauf eine erhöhte Sondierungstiefe von 9 mm. Die Läsion wurde durch eine erneute subgingivale Instrumentierung und dem Einbringen lokaler Antiseptika konservativ behandelt.
Im Rahmen der unterstützenden parodontalen Therapie wird diese Läsion weiter beobachtet und ggf. nach einer der nächsten Reevaluationen auch chirurgisch therapiert. Dies unterstreicht einmal mehr, dass nach der aktiven Parodontitistherapie die Behandlung keinesfalls abgeschlossen ist, sondern eine parodontale Nachsorge zur Detektion etwaiger lokaler Rezidive lebenslang andauern sollte [4]. Im vorliegenden Fall konnten die biologischen, funktionellen und ästhetischen Anforderungen erfüllt und damit die mundbezogene Lebensqualität der Patientin gesteigert werden.
Näheres zu den Autoren des Fachbeitrages:Bildquellen sofern nicht anders deklariert: Unternehmen, Quelle oder Autor/-in des Artikels
Entdecke CME Artikel





Keine Kommentare.