Die Implantologie stellt heutzutage in der Zahnmedizin eine sehr zuverlässige Methode dar, um teilbezahnte oder zahnlose Patienten in Funktion und Ästhetik ihres Kausystems erfolgreich zu rehabilitieren [1,2]. Dabei erreichen die langfristigen Implantatüberlebensraten über 90 % [3].
Um den Erfolg einer durchzuführenden Implantation zu erhöhen, wurden unter anderem Positionierungskriterien eingeführt, um das Risko möglicher Komplikationen zu minimieren [4]. So lassen sich unter bestmöglicher Ausnutzung der knöchernen Situation neurovaskuläre Strukturen des Sinus maxillaris schonen und eine sichere Rehabilitation ermöglichen [4]. Mit dem Fortschritt in der oralen Chirurgie konnten Verfahren zur Kieferkammaugmentation entwickelt werden, die Kieferbereiche mit ungenügendem Knochenangebot aufbauen und somit eine suffiziente Implantation möglich machen können [5- 8]. Gerade um dem Patientenwunsch einer frühestmöglichen Versorgung nachzukommen, wurden in den letzten Jahren neue Methoden entwickelt und erfolgreich klinisch umgesetzt.
Material und Methode
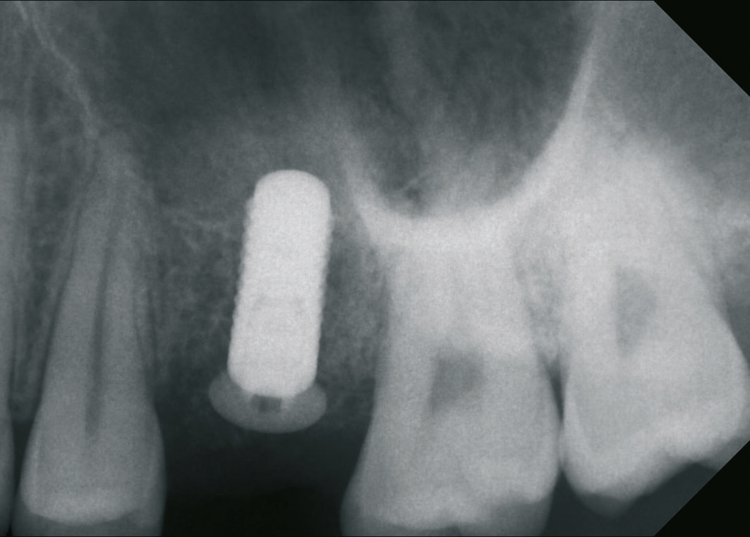
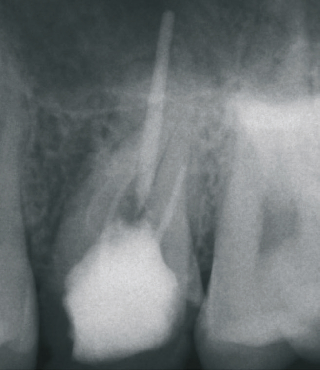
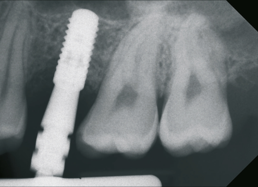
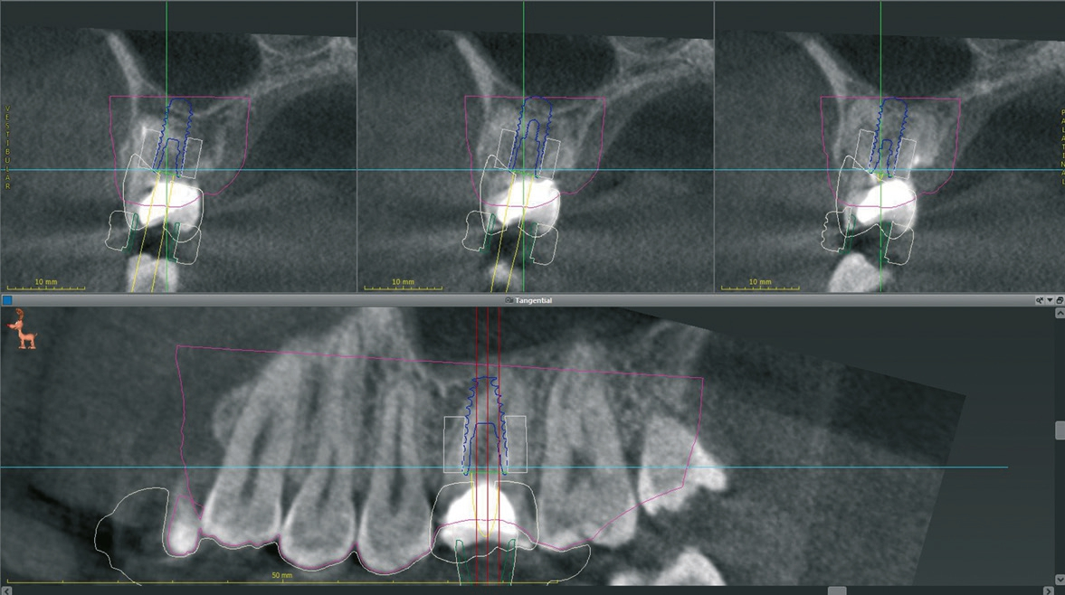
Ein 21-jähriger Patient stellte sich mit einer Perkussionsempfindlichkeit in regio 26 vor. Die klinische Untersuchung zeigte einen tiefzerstörten Zahn 26, dessen gesamte palatinale Wand tief fraktruiert war. Die Frakturgrenze verlief dabei weit unter dem palatinalen Zahnfleischrand (Abb. 1). Nach Erstellung eines Orthopantomogramms und einer radiologischen Einzelzahnbildaufnahme war eine längliche Verschattung am Apex der palatinalen Wurzel des Zahn 26 zu erkennen (Abb. 2), die den Verdacht einer überinstrumentierten Wurzelkanalaufbereitung der palatinalen Wurzel und einer Überstopfung des Füllmaterials bestätigte (Abb. 3). Nach konservierender Theapie wurde die Indikationsstellung für die Extraktion des Zahnes 26 mit einer Sofortimplantation gestellt. Der Periodontal-Screening-Index wies in allen Sextanten Grad 2 auf. Es folgte die Erstellung einer dreidimensionalen Röntgenaufnahme (Orthophos XG 3D, Dentsply Sirona, Bensheim) zur virtuellen Planung der Implantatposition. Die operative Planung erfolgte in der Planungssoftware coDiagnostiX 9.5 (dental wings, Montreal, Kanada) (Abb. 4).
Dr. Alevizakos
Dr. Alevizakos
Dr. Alevizakos
Dr. Alevizakos
Operation
Der Patient begann 24 Stunden vor dem Eingriff mit der 7-tägigen Antibiose (1 g Augmentin; morgens und abends) und direkt vor dem Eingriff mit der 3-tägigen Schmerzmedikation (Ibuprofen 600 mg, morgens und abends), welche bei Schmerzfreiheit auch vorzeitig beendet werden kann.
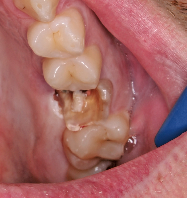
Die Operation erfolgte in Lokalanästhesie (Ultracain® D/S forte, Aventis, Frankfurt) in Form einer Infiltrationsanästhesie bukkal und palatinal der Region 26. Mittels der Instrumentenspitze EXP4-L (Piezosurgery, Mectron, I-Genua) wurden die dentogingivalen Fasern vorsichtig durchtrennt und der Desmodontalspalt geweitet (Abb. 5 und 6). Nach Durchtrennung der Wurzeln wurde der Zahn mit einer Extraktionszange aus dem gelockerten Zahnfach vollständig entfernt (Abb. 7 und 8).
Dr. Alevizakos
Dr. Alevizakos
Dr. Alevizakos
Dr. Alevizakos
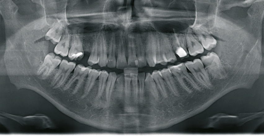
Nach der Präparation des Weichgewebes wurde ein Mukoperiostlappen mit Hilfe der Instrumentenspitze PR2 (Piezosurgery, Mectron, I-Genua) vorsichtig präpariert, um eine suffiziente Deckung der Wunde zu gewährleisten (Abb. 9 und 10). Nach Vorbereitung des Weichgewebes wurde die 3D-gedruckte Bohrschablone auf den Zahnbogen gesetzt und ein Führungsschlüssel mit 2 mm Durchmesser eingesetzt, durch den ein Osteotom einführt wurde, um eine Führung für den nachfolgenden Trepanbohrer in den Knochen kondensierend zu präparieren (Abb. 11). Entlang des Führungskanals wurde das Bett für den allogenen Knochenring (maxgraft bonering; botiss biomaterials GmbH, Berlin) trepaniert (Abb. 12). Der allogene Knochenring wurde extraoral passgenau zugeschnitten und anschließend in die Extrationsalveole platziert (Abb. 13 und 14). Mittels eines breiten Osteotoms wurde der Knochenring samt basalem Knochensegment schablonengestützt nach apikal in den Sinus maxillaris verschoben. Ein parallelwandiges Implantat (Bone Level Roxolid, SLActive, Straumann) mit einem Durchmesser von 4,1 mm und einer Länge von 10 mm wurde zentral in den positionsstabilen Knochenring primärstabil inseriert, mit einer Fixierungkappe (Durchmesser 5,5 mm) versehen und die umliegende Extrationsalveole mit granulärem bovinem Knochenersatzmaterial ausgefüllt (Abb. 15-17). Anschließend wurde die Wunde mit dem Mukoperiostallappen gedeckt und speicheldicht vernäht (Abb. 18). Zur postoperativen Kontrolle wurde ein Orthopantomogramm aufgenommen, auf dem keinerlei Verletzungen benachbarter anatomischer Strukturen zu erkennen sind (Abb. 19). Es folgten zwei radiologische Verlaufskontrollen, vier und sechs Monate nach dem Eingriff, ohne Besonderheiten (Abb. 20 und 21).
Dr. Alevizakos
Dr. Alevizakos
Dr. Alevizakos
Dr. Alevizakos
Dr. Alevizakos
Dr. Alevizakos
Dr. Alevizakos
Dr. Alevizakos
Dr. Alevizakos
Dr. Alevizakos
Dr. Alevizakos
Dr. Alevizakos
Dr. Alevizakos
Ergebnisse
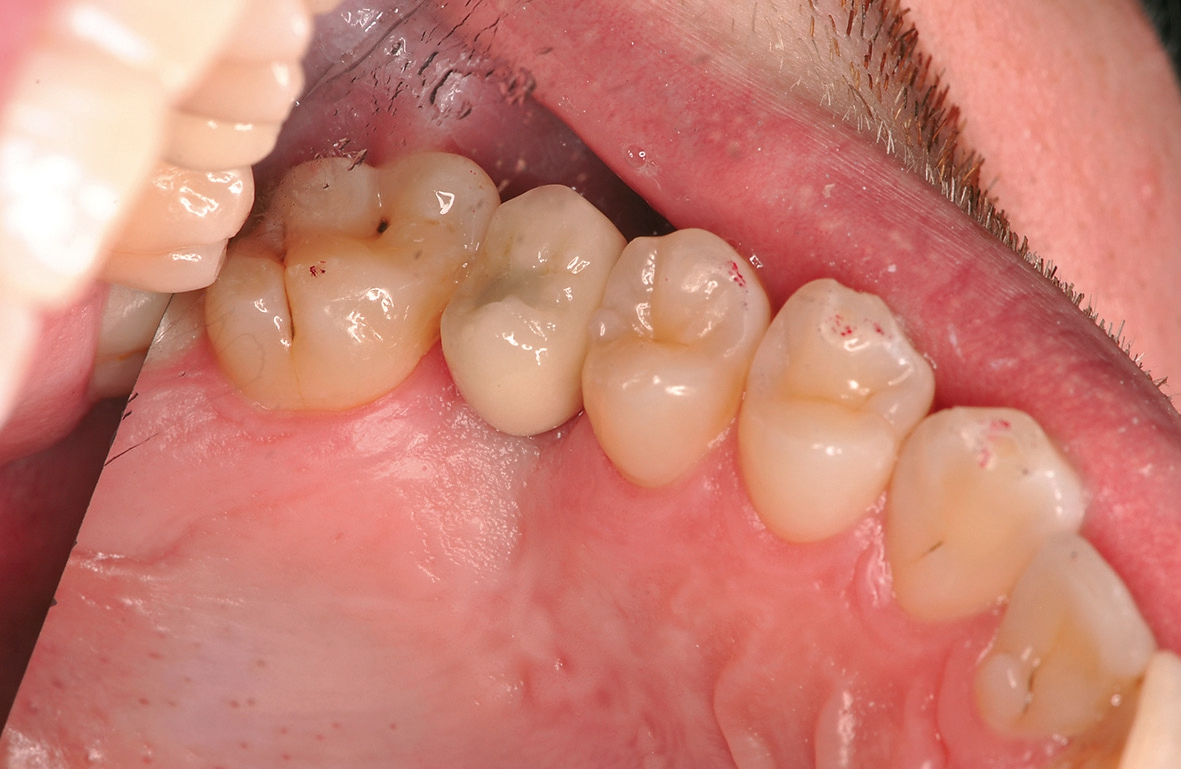
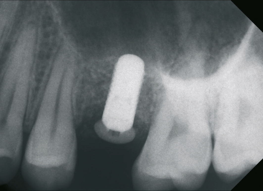
Nach einer sechsmonatigen Einheilzeit wurde das Implantat freigelegt und die Fixierungskappe entfernt. Es folgte die handfeste Insertion des Healingabutments. Das Healingabutment wurde für drei Wochen getragen, um das Emergenzprofil zu formen. Nach Ausformung des Emergenzprofils wurde das Healingabutment temporär für die Implantatabformung entfernt und der Abformpfosten eingeschraubt und radiologisch auf Passgenauigkeit kontrolliert (Abb. 22). Die offene Abformung erfolgte mittels individuellem Abformlöffel und Vinyl-Polyether-Silikon. Es wurde eine verschraubbare Krone aus Lithium-Disilikat-Glaskeramik (IPS e-max CAD, Ivoclar Vivadent, FL-Schaan) angefertigt und mit 20 Ncm festgeschraubt. Die Schraube im Schraubenkanal wurde mit einem Schaumstoffpellet isoliert und der Kanal mit niedrig viskösem Kunststoff versiegelt (Abb. 23).
Dr. Alevizakos
Dr. Alevizakos
Dr. Alevizakos
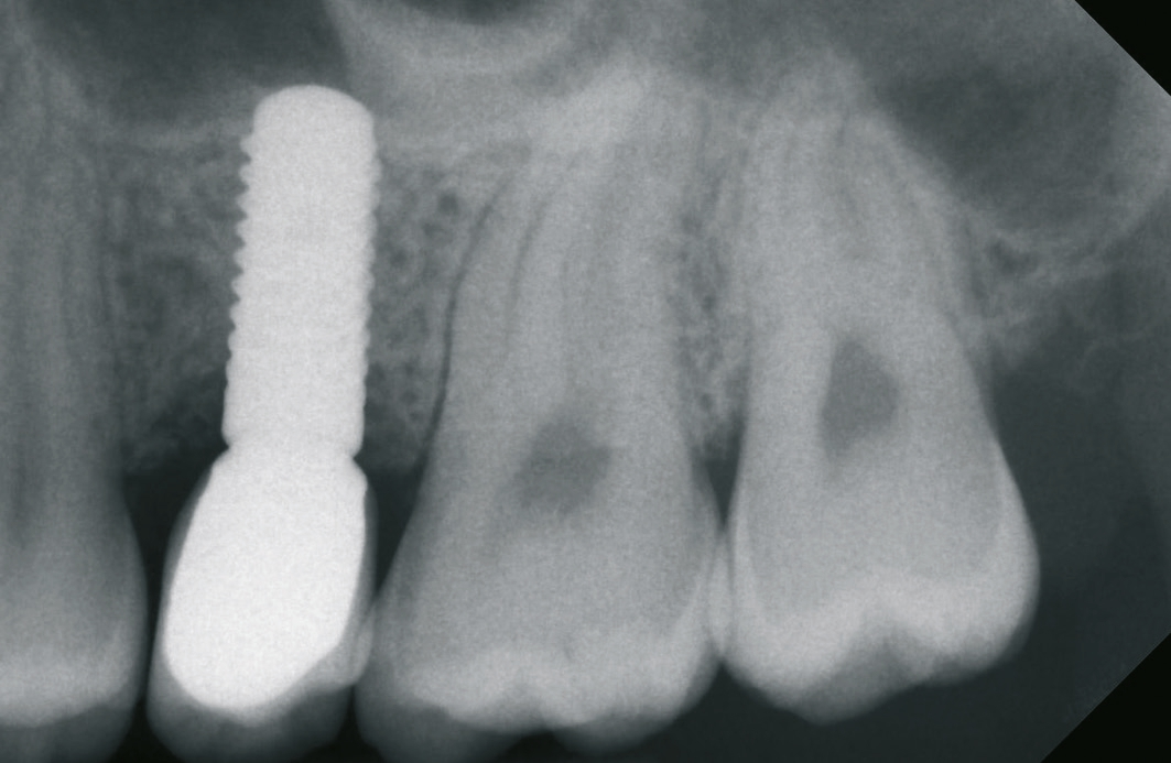
Eine Verlaufskontrolle acht Monate nach Versorgung des Implantats zeigte keine Veränderungen und somit stabile Verhältnisse (Abb. 24).
Diskussion
Zur vertikalen und horizontalen Kieferkammaugmentation gibt es mehrere Methoden mit unterschiedlicher Erfolgswahrscheinlichkeit und Schwierigkeitsgraden für den Operateur [9-14]. Die Augmentation mittels der Knochenringtechnik ist eine relativ einfach zu erbringende Leistung, die aufgrund der möglichen simultanen Implantatinsertion die Behandlungszeit deutlich verkürzt [8,9]. Zudem zeigen Studien eine gute Prognose für diese Art der Kieferkammaugmentation [8,15]. Die übliche Gewinnung von Knochenringen ist die Entnahme aus der Kinnregion des selbigen Patienten [16]. Der hier verwendete Knochenring entstammt Spenderknochen, wodurch eine sonst durchgeführte Entnahme von Eigenknochen sowie die damit einhergehenden möglichen Komplikationen entfallen [17].
In dem hier vorgestellten Fall wurde der eingebrachte Knochenring in den Sinus gedrängt, um wie ein interner Sinuslift zur Aufnahme und Stabilisierung eines sonst zu langen und dadurch in die Kieferhöhle ragenden Implantats genutzt zu werden.
Schlussfolgerung
Die hier angewandte Methode scheint eine Möglichkeit zu sein, den Indikationsbereich des allogenen Knochenrings zu vergrößern. Für eine gesicherte Prognose dieser Methode sind weitere Fälle dieser Art notwendig, die im Rahmen einer randomisierten klinischen Studie untersucht werden müssen.
Näheres zu den Autoren des Fachbeitrages: Ass.-Prof. Dr. med dent. Vasilios Alevizakos, Prof. Dr. Constantin von SeeBildquellen sofern nicht anders deklariert: Unternehmen, Quelle oder Autor/-in des Artikels
Entdecke CME Artikel





Keine Kommentare.