Im Hinblick auf schnelle Knochenregeneration gilt autologer Knochen als Goldstandard in der Therapie [2]. Jedoch sind hiermit Komplikationen an der Entnahmestelle und Schmerzen für den Patienten verbunden [3, 4]. Limitationen ergeben sich ferner in der Quantität von gewonnenem Knochen und unkontrollierter Resorption von autologen Knochenblöcken [5]. Um die Limitationen von autologem Knochengewebe zu überwinden, wurde in Kooperation mit Dr. Orcan Yüksel und botiss biomaterials die Technik mit allogenen prozessierten Knochenringen weiterentwickelt. Seit 2013 steht dem Anwender ein prozessierter gefriergetrockneter Knochenring aus spongiösem, humanem Knochen zur Verfügung (maxgraft® bonering, botiss biomaterials, Berlin, Vertrieb Deutschland durch Straumann Deutschland GmbH). Durch die Prozessierung bleibt die natürliche Knochenstruktur und mineralisiertes humanes Kollagen erhalten, das für optimale Knochenregeneration und Biokompatibilität sorgt. Nach Implantation wird das Transplantat schrittweise in körpereigenes Knochengewebe umgebaut.
Im vorliegenden Fall wurde die Augmentation mit maxgraft® bonering durchgeführt. Hierbei besteht der Vorteil in der Vermeidung der zweiten Entnahmestelle mit assoziierten Schmerzen und Komplikationen.
Ausgangssituation
50 Jahre alte Patientin, Nicht-Raucherin ohne größere Risikofaktoren. Die radiologischen Aufnahmen zeigten insuffiziente Versorgung der maxillaren Frontzähne (11, 12, 21 und 22) mit Lockerungsgrad 3 und Knochenabbau bis in das obere Wurzeldrittel (Abb. 1).



Behandlungsplan
Nach Extraktion aller vier Schneidezähne (Abb. 2 und 3) zeigte sich ein massiver Knochendefekt mit Verlust der bukkalen Wand (Abb. 4). Der Behandlungsplan sah eine Augmentation und Sofortimplantation mittels Knochenringtechnik der Zähne 12 und 22 vor. Die Extraktionsalveolen der Zähne 11 und 12 sollten mit Knochen-Schleimhaut-Transplantaten aus der tuber maxillae erhalten werden, da zwischen Implantat und ovate Pontik nach Socket Preservation in der Regel eine schönere Papille zu erwarten ist.
Ablauf der Behandlung
Nach Extraktion der Zähne 12, 22, 11, 21 wurde mit dem Behandlungsprotokoll für maxgraft® bonering begonnen. Nach Pilotbohrung zur Festlegung der Implantatposition wurde mit einem 6 mm Trepan die Augmentationsstelle des maxgraft® bonerings vorbereitet (Abb. 5). Danach folgte das Planieren des Ringbettes mit einem 6 mm Planator, um ein flaches Ringbett zu generieren (Abb. 6).




Anschließend wurde das Implantatbett durch den Ring vorbereitet und ein Straumann Bone Level Tapered (BLT) Implantat ø 3,3 mm gesetzt (Abb. 7 und 8). Insgesamt erfolgte die Implantation von zwei maxgraft® bonerings 6 mm und zwei Straumann BLT Implantat ø 3,3 mm 10 mm (Abb. 9). Zur Unterstützung der Weichgewebeheilung wurde platelet-rich fibrin (PRF) aus dem Blut der Patientin gewonnen (Abb. 10). Das PRF wurde sowohl in Verbindung mit dem Knochenersatzmaterial (cerabone®) (Abb. 11), als auch als Membran über der Barrieremembran (Jason® membrane) (Abb. 12) eingesetzt. Zum Erhalt der 1er Schneidezähne wurde eine Socket Preservation mit einem Knochen-Schleimhaut-Transplantat aus der tuber maxillae durchgeführt (Abb. 14 und 15). Explantation erfolgte mithilfe eines 6er Trepans rechts und links aus dem Kieferkamm (Abb. 14).




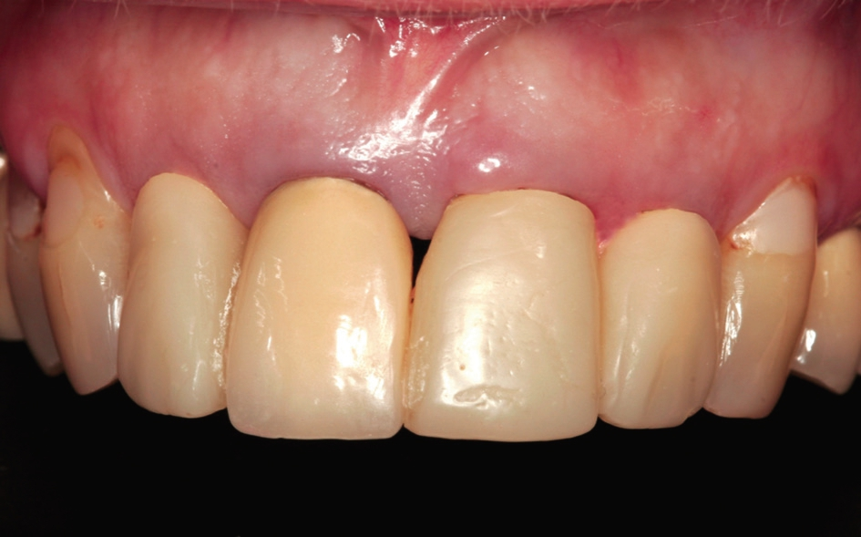
Ergebnis
Das post-operative Follow-up zeigte eine komplikationslose Heilung. Sechs Monate nach der Operation wurde das Re-entry durchgeführt und Gingiva-Former eingesetzt (Abb. 19). Die provisorische Brücke zeigte ästhetische Ergebnisse bereits sechs Monate nach Operation (Abb. 20). Das Röntgenbild zeigte stabile Knochenverhältnisse (Abb. 21).


Fazit
Die Knochenringtechnik mit allogenem Knochenersatzmaterial (maxgraft® bonering) ist eine geeignete Variante zur Augmentation von dreidimensionalen Defekten. Ebenso stellt sie eine geeignete Alternative zur Entnahme von autologem Knochen und Blockaugmentationen dar. Dabei wird dem Patienten die Entnahmestellenmorbidität erspart und darüber hinaus die Behandlungszeit verkürzt. Gleichzeitig ist die Patientenakzeptanz hoch wegen der schnelleren Versorgung des Patienten mit finaler Prothetik. Entscheidende Faktoren für den Erfolg der Augmentation stellen ausreichende Weichgewebemobilisation sowie spannungsfreie und speicheldichte Nähte dar [6] (Abb. 13, 17 und 18).


Bildquellen sofern nicht anders deklariert: Unternehmen, Quelle oder Autor/-in des Artikels
Entdecke CME Artikel






Keine Kommentare.