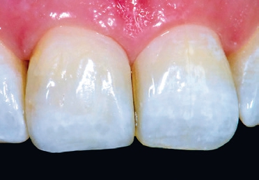
Grundsätzlich erzeugen transluzente Schichten gräuliche Farbbereiche. Dies wird durch eine geringere Füllung von reflektierenden Füllkörpern bewirkt. Durch transluzente Schichtbereiche wird eine räumliche Tiefe vermittelt. Eine höhere Reflexionskraft wird von weißlich reflektierenden Füllkörpern in der Matrix erzeugt. Um eine individuelle Gestaltung der vestibulären Füllungsbereiche zu ermöglichen, können ungleich gefüllte Flowfarben direkt auf der Füllungsoberfläche oder in einem Dappenglas gemischt werden. Dabei ist darauf zu achten, dass unterschiedliche Trübungsgrade entstehen, um ein Wechselspiel von hell und gräulich wirkenden Bereichen erzielen zu können. Um einzelne Areale zu akzentuieren, kann auch ein reines Weiß (Baseliner, Venus Diamond-Flow, Kulzer) in transluzente Flowschichten eingearbeitet werden. So werden weiße Wolken oder schleierartige Verziehungen auf der Oberfläche geschaffen. Um dagegen die als Perikymatien bekannten, weißen Linien auf der Oberfläche zu gestalten, empfiehlt sich der direkte Auftrag des Materials mit der Sondenspitze. Werden dabei mit geringstem Materialauftrag noch wellenartige Bewegungen ausgeführt, erscheint das Ergebnis wesentlich natürlicher.
Das Cut-back
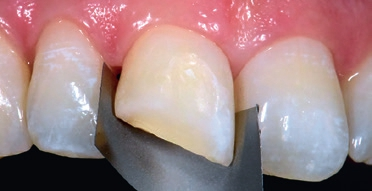
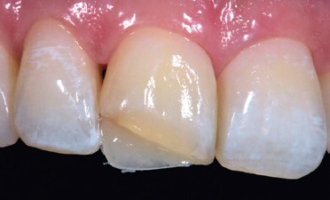
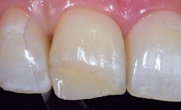
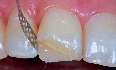
Soll ein bestimmter Bereich korrigiert werden, kann das entsprechende Areal durch einfachen Rückschliff reduziert werden. Das anschließende Abstrahlen mit Aluminiumoxid ist sinnvoll, da eine mikroretentive Oberfläche den Haftverbund mit dem nachfolgend aufgeschichteten Komposit wesentlich verbessert. Die aufgeraute Oberfläche kann zusätzlich mit Ätzgel gereinigt werden, bevor sie mit einem adäquaten Universaladhäsiv (iBond Universal, Kulzer) weiter konditioniert wird. Die darauffolgende korrigierende Überschichtung mit einem oder unterschiedlich eingefärbten Flow erleichtert durch dessen Fließfähigkeit einen kontrollierten Auftrag mit einer möglichst blasenfreien Schicht. Um dies zu erreichen, empfiehlt es sich, mit der Sondenspitze im Material zu verbleiben, um es ohne weiteres Eintauchen (cave: Einbringen von Luftblasen) zu verteilen.
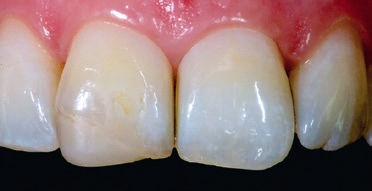
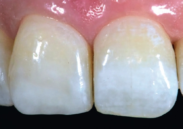
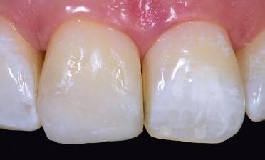
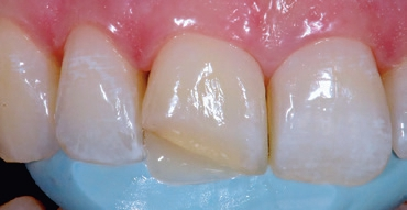
Die Neuanfertigung eines distalen Kantenaufbaus am rechten Schneidezahn wird im Folgenden anhand eines Fallbeispiels mittels Bildunterschriften erklärt. Die Gestaltung der weißlichen Bereiche, wie sie im inzisalen Drittel des Nachbarzahnes zu sehen sind, wird nach dem oben beschriebenen Verfahren dargestellt.
Patientenfall
Ulf Krueger-Janson
Ulf Krueger-Janson
Ulf Krueger-Janson
Ulf Krueger-Janson
Ulf Krueger-Janson
Ulf Krueger-Janson
Ulf Krueger-Janson
Ulf Krueger-Janson
Ulf Krueger-Janson
Ulf Krueger-Janson
Ulf Krueger-Janson
Ulf Krueger-Janson
Fazit
Hochästhetische Versorgungen zeichnen sich durch die Gestaltung einer passenden Form und Farbe aus. Durch das Cut-back- Verfahren können bestimmte Bereiche exakt nachgebildet werden. Das Verfahren ist einfach, effektiv und perfektioniert das Gesamtergebnis.
Bildquellen sofern nicht anders deklariert: Unternehmen, Quelle oder Autor/-in des Artikels
Entdecke CME Artikel





Keine Kommentare.