Anzeige

Implantologie in Bildern

Metallfrei verschraubte Zirkonabutments auf Zirkonimplantaten

Die 60-jährige Patientin kam mit der Bitte einer kompletten Neuversorgung in unsere Praxis. Im Oberkiefer wünschte sie eine Prothese gaumenfrei, wie sie es bei ihrer Freundin gesehen hatte. Im Unterkiefer wollte sie möglichst alles festsitzend versorgt haben. Ein weiterer Wunsch war die absolute Metallfreiheit ihres Zahnersatzes.

. Dr. Michael Leistner
.
.

Die Knochensituation im Oberkiefer war ausreichend für 4 Implantate zwischen 13 und 23 (2 x Zeramex XT 4,2/10 mm und 2 x 4,2/12 mm). Die Freiendsituation im Unterkiefer wurde mit 2 Implantaten im 3. Quadranten gelöst (2 x Zeramex XT 4,2/10 mm). Für den restlichen Unterkiefer war eine festsitzende Brücke von 34, 33, 32, 44, 46 auf 47 geplant. Da neu und seit diesem Zeitpunkt verfügbar, kamen verschraubte Docklocs® Zirkon Abutments aus Zirkonkeramik zum Einsatz.

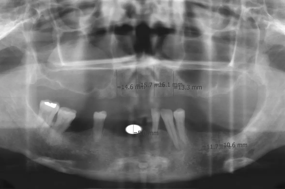
Abb. 1: OPG vor Behandlungsbeginn. Dr. Michael Leistner
Abb. 1: OPG vor Behandlungsbeginn.
Abb. 2: Nach Implantation im Oberkiefer. Dr. Michael Leistner
Abb. 2: Nach Implantation im Oberkiefer.
Abb. 3: Nach Implantation im Unterkiefer. Dr. Michael Leistner
Abb. 3: Nach Implantation im Unterkiefer.
Abb. 4: Oberkiefer vor Implantatinsertion. Dr. Michael Leistner
Abb. 4: Oberkiefer vor Implantatinsertion.
Abb. 5: Minimalinvasives Vorgehen mit Stanze. Dr. Michael Leistner
Abb. 5: Minimalinvasives Vorgehen mit Stanze.
Abb. 6: Nach Stanzung. Dr. Michael Leistner
Abb. 6: Nach Stanzung.
Abb. 7: Entnahme des ausgestanzten Zahnfleisches. Dr. Michael Leistner
Abb. 7: Entnahme des ausgestanzten Zahnfleisches.
Abb. 8: Freigelegter Knochen. Dr. Michael Leistner
Abb. 8: Freigelegter Knochen.
Abb. 9: Vorbohren mit dem Rosendrill. Dr. Michael Leistner
Abb. 9: Vorbohren mit dem Rosendrill.
Abb. 11: Einstecken einer Depth gauge, zur besseren Findung der Parallelität. Dr. Michael Leistner
Abb. 11: Einstecken einer Depth gauge, zur besseren Findung der Parallelität.
Abb. 12: Mit dem Extensions Drill wird die Implantatalveole auf die richtige Größe gebracht. Dr. Michael Leistner
Abb. 12: Mit dem Extensions Drill wird die Implantatalveole auf die richtige Größe gebracht.
Abb. 13: Vorbereiten weiterer Implantatalveolen. Dr. Michael Leistner
Abb. 13: Vorbereiten weiterer Implantatalveolen.
Abb. 14: Vorschneiden des Gewindes mit einem Gewindeschneider (50 N/cm Drehmoment). Dr. Michael Leistner
Abb. 14: Vorschneiden des Gewindes mit einem Gewindeschneider (50 N/cm Drehmoment).
Abb. 15. Einbringen von Antibiotika in die Alveole. Dr. Michael Leistner
Abb. 15. Einbringen von Antibiotika in die Alveole.
Abb. 16: Manuelles Eindrehen des Implantates. Dr. Michael Leistner
Abb. 16: Manuelles Eindrehen des Implantates.
Abb. 17: Nachziehen mit dem Drehmomentschlüssel (max. 35 N/cm). Dr. Michael Leistner
Abb. 17: Nachziehen mit dem Drehmomentschlüssel (max. 35 N/cm).
Abb. 18: Eindrehen der Healing Caps. Dr. Michael Leistner
Abb. 18: Eindrehen der Healing Caps.
Abb. 19: Nach drei Monaten Einheilzeit, Entnahme der Healing Caps und Aufsetzen der Abdruckpfosten. Dr. Michael Leistner
Abb. 19: Nach drei Monaten Einheilzeit, Entnahme der Healing Caps und Aufsetzen der Abdruckpfosten.
Abb. 20: Individueller Abdruck über die Abdruckpfosten. Dr. Michael Leistner
Abb. 20: Individueller Abdruck über die Abdruckpfosten.
Abb. 21: Ausgehärteter Abdruck. Dr. Michael Leistner
Abb. 21: Ausgehärteter Abdruck.
Abb. 22: Mit aufgeschraubten Labor-Analogen. Dr. Michael Leistner
Abb. 22: Mit aufgeschraubten Labor-Analogen.
Abb. 23: Das Meistermodell. Dr. Michael Leistner
Abb. 23: Das Meistermodell.
Abb. 24: Die Docklocs® Zirkon Abutments aus Zirkondioxid mit Vicarbo-Schraube. Dr. Michael Leistner
Abb. 24: Die Docklocs® Zirkon Abutments aus Zirkondioxid mit Vicarbo-Schraube.
Abb. 25: Aufgeschraubte „Snap-on“-Attachments auf dem Modell. Dr. Michael Leistner
Abb. 25: Aufgeschraubte „Snap-on“-Attachments auf dem Modell.
Abb. 26: In frontaler Ansicht. Dr. Michael Leistner
Abb. 26: In frontaler Ansicht.
Abb. 27: Mit aufgesteckten Matrizengehäusen. Dr. Michael Leistner
Abb. 27: Mit aufgesteckten Matrizengehäusen.
Abb. 28: Wachsbissschablone über den Docklocs. Dr. Michael Leistner
Abb. 28: Wachsbissschablone über den Docklocs.
Abb. 29: Fertige Brücken im Unterkiefer. Dr. Michael Leistner
Abb. 29: Fertige Brücken im Unterkiefer.
Abb. 30: Fertige Brücken im Unterkiefer von lingual. Dr. Michael Leistner
Abb. 30: Fertige Brücken im Unterkiefer von lingual.
Abb. 31: Wachsbissnahme nach eingegliederter Unterkieferversorgung. Dr. Michael Leistner
Abb. 31: Wachsbissnahme nach eingegliederter Unterkieferversorgung.
Abb. 32: Eingeschraubte Docklocs. Dr. Michael Leistner
Abb. 32: Eingeschraubte Docklocs.
Abb. 33: Wachsanprobe. Dr. Michael Leistner
Abb. 33: Wachsanprobe.
Abb. 34: Wachsanprobe in situ. Dr. Michael Leistner
Abb. 34: Wachsanprobe in situ.
Abb. 35: Digitale Darstellung der Platzverhältnisse zwischen Docklocs, PEEK-Gerüst und Zähnen. Dr. Michael Leistner
Abb. 35: Digitale Darstellung der Platzverhältnisse zwischen Docklocs, PEEK-Gerüst und Zähnen.
Abb. 36: Freigestelltes PEEK-Gerüst. Dr. Michael Leistner
Abb. 36: Freigestelltes PEEK-Gerüst.
Abb. 37: Platzierung der Gehäuse auf dem Modell. Dr. Michael Leistner
Abb. 37: Platzierung der Gehäuse auf dem Modell.
Abb. 38: Aufgesetztes PEEK-Gerüst. Dr. Michael Leistner
Abb. 38: Aufgesetztes PEEK-Gerüst.
Abb. 39: Darstellung der Platzverhältnisse von frontal. Dr. Michael Leistner
Abb. 39: Darstellung der Platzverhältnisse von frontal.
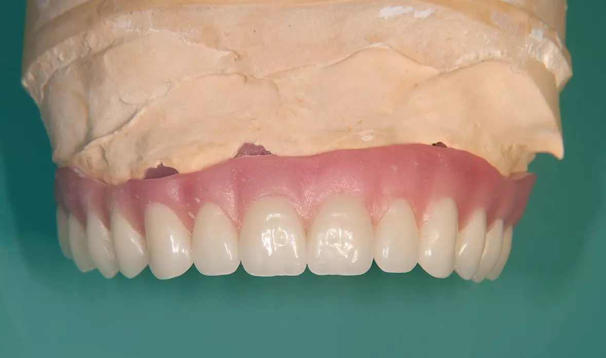
Abb. 40: Fertige Prothese. Dr. Michael Leistner
Abb. 40: Fertige Prothese.
Abb. 41: Im PEEK-Gerüst ausgesparte Stellen für die Matrizengehäuse. Dr. Michael Leistner
Abb. 41: Im PEEK-Gerüst ausgesparte Stellen für die Matrizengehäuse.
Abb. 42: Docklocs-Abutments mit Eindrehinstrument. Dr. Michael Leistner
Abb. 42: Docklocs-Abutments mit Eindrehinstrument.
Abb. 43: Eingesetzte Matrizengehäuse mit Isolierringen (wichtig vor dem Einkleben). Dr. Michael Leistner
Abb. 43: Eingesetzte Matrizengehäuse mit Isolierringen (wichtig vor dem Einkleben).
Abb. 44: Fertige Prothese im Mund. Dr. Michael Leistner
Abb. 44: Fertige Prothese im Mund.
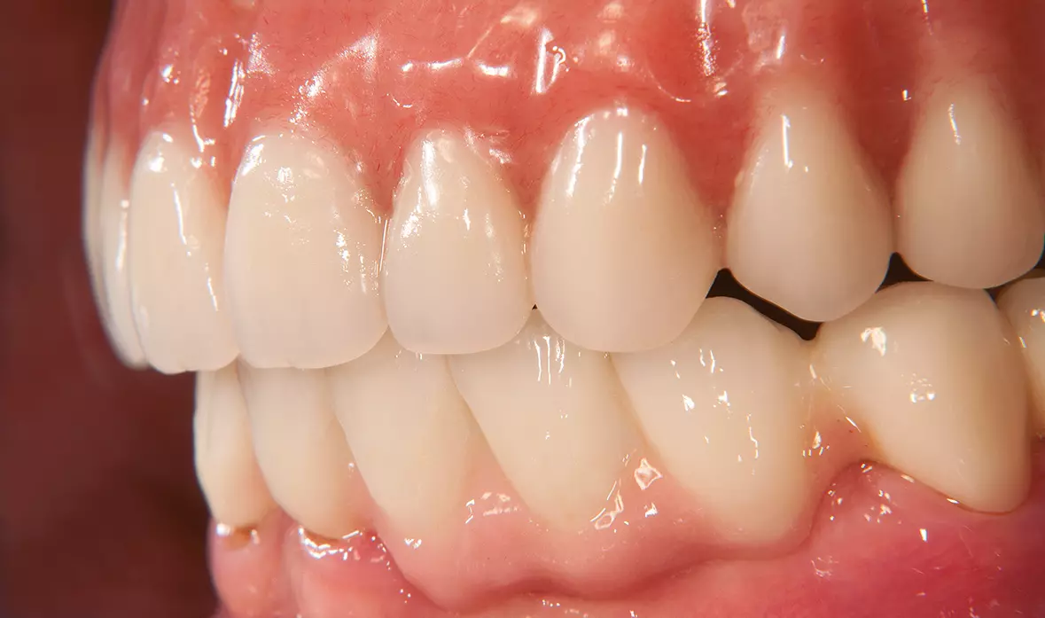
Abb. 45: Laterale Ansicht. Dr. Michael Leistner
Abb. 45: Laterale Ansicht.
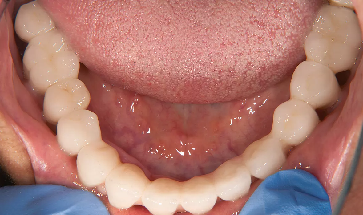
Abb. 46: Unterkieferversorgung. Dr. Michael Leistner
Abb. 46: Unterkieferversorgung.
Abb. 47: Gaumenfreiheit im Oberkiefer. Dr. Michael Leistner
Abb. 47: Gaumenfreiheit im Oberkiefer.
Abb. 48: Lippenbild. Dr. Michael Leistner
Abb. 48: Lippenbild.
Abb. 49: Lippenbild. Dr. Michael Leistner
Abb. 49: Lippenbild.
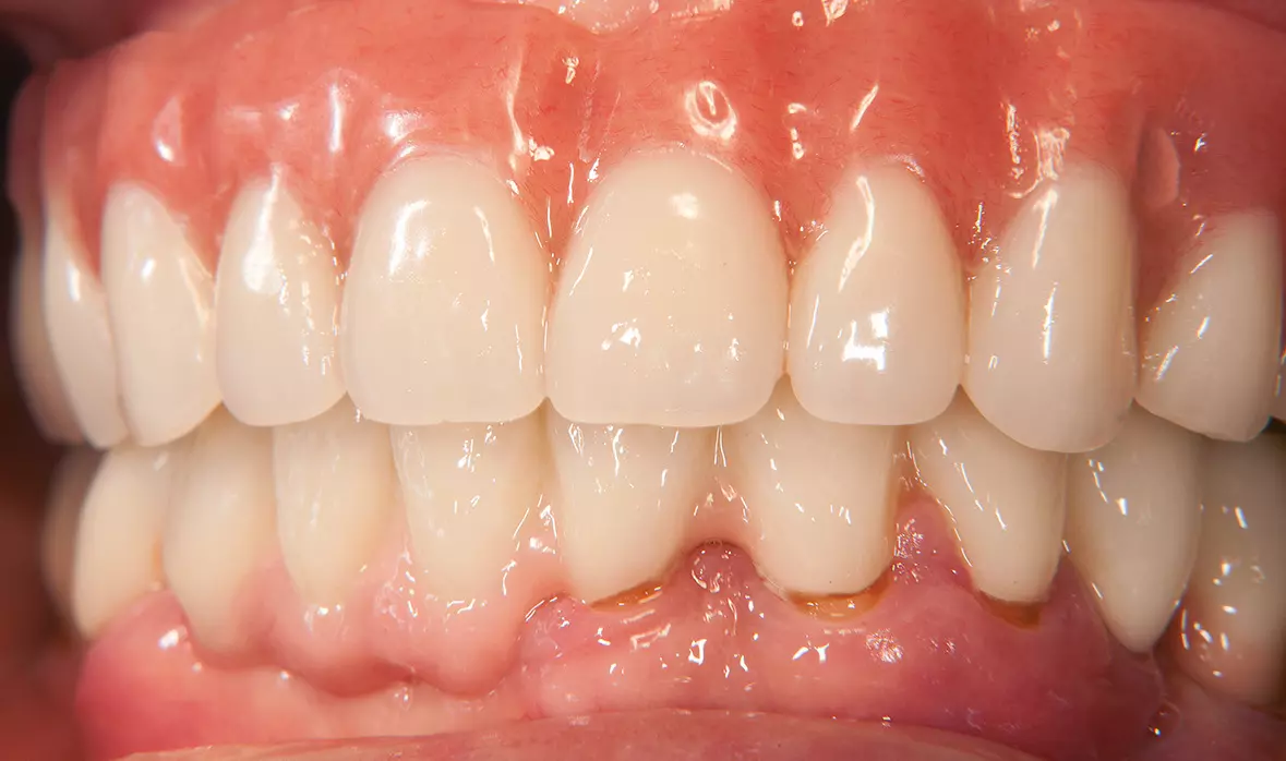
Abb. 50: Ein natürliches Lachen. Dr. Michael Leistner
Abb. 50: Ein natürliches Lachen.

Bildquellen sofern nicht anders deklariert: Unternehmen, Quelle oder Autor/-in des Artikels

Anzeige

Kommentare

Keine Kommentare.

Anzeige