|
Getting your Trinity Audio player ready...
|
Universalkomposite [29,39] stellen heute das „Arbeitspferd“ in der zahnärztlichen Praxis dar: ästhetische Frontzahnversorgungen, funktionsstabile Seitenzahnversorgungen, angenehmes Handling. Im Portfolio aller namhaften Hersteller findet sich hierzu ein Produktangebot. Ob es sich hierbei um die meist angebotenen fünf Universalfarben (Ceram.X Spectra ST/Dentsply Sirona [39,44], Admira Fusion 5/VOCO, Gaenial A’Chord/GC [49]), acht Universalfarben (Filtek Universal/Solventum [45,46]) oder lediglich um drei Farben (Venus Diamond und Venus Pearl PURE/Kulzer [52], Filtek Easy Match/Solventum, Simplishade Universal/Kerr) handelt: Allen ist gemein, dass sie sehr gute, vorhersehbare ästhetische Ergebnisse liefern – und in klassischer 2-mm-Inkrementtechnik verarbeitet werden müssen.
Dem begegnen Bulkfill-Komposite [38] als eine wertvolle Alternative für den Seitenzahnbereich mit Durchhärtungstiefen von in der Regel 4 mm. Die manchmal ausgelobten 5 mm Durchhärtungstiefe halten entweder einer wissenschaftlichen Untersuchung hierzu nicht stand [105] oder sind durch ein Sternchen ergänzt, bei dem als Fußnote eine sekundäre Härtung über die approximale Flanke gefordert wird. Die Vorteile einer erhöhten Inkrement-Schichtstärke liegen auf der Hand: Eine definitive Vereinfachung des Applikationsprotokolls, weniger mögliche Fehlerquellen bei der Verbindung der einzelnen Inkremente wie eine potenzielle Reduktion des Risikos einer Kontamination und von Lufteinschlüssen sowie eine erkennbare Zeitersparnis bei der Verwendung von Bulkfill-Kompositen.
Diese Erkenntnis war bereits 2016 der Konsens auf dem Northern Light Meeting an der Dalhousie University in Halifax, Nova Scotia, Kanada [https://oasisdiscussions.ca/2017/06/07/csbf/], welches die Bulkfill-Komposite zum Kernthema hatte. Hickel et al. publizierten die Ergebnisse dann 2018 auf Deutsch [66]. Seit jenem zitierten Northern Light-Meeting wurden zahlreiche Metaanalysen zum Thema Bulkfill-Komposite veröffentlicht: Bereits 2016, im Jahr des besagten Northern Light Meetings, publizierten Schwendicke et al. [91] eine allgemeine Übersicht zu Kompositen im Journal of Dental Research. Die Autoren bezeichneten hinsichtlich der Überlebensrate bei Kaudruck-belasteten Restaurationen konventionelle oder Bulkfill-Komposite als am geeignetsten: Bulkfill-Komposite wurden bereits damals mit den konventionellen Kompositen auf eine Stufe gestellt.
Eine reine in vitro-Betrachtung der Thematik – dafür die ausführlichste, bis dahin publizierte – kam 2017 [105]. Hier wurden primär Durchhärtung, Randdichtigkeit und physikalische Eigenschaften betrachtet. Die Untersuchung attestierte den Bulkfill-Kompositen eine durchwegs funktionelle und gute bis sehr gute Performance – im direkten Vergleich zu klassischen Kompositen z.T. mit geringerem Schrumpfungsstress und damit eine geringere Belastung des adhäsiven Verbundes. Weitere Metaanalysen folgten noch im selben Jahr [19], 2018 [71], 2019 [21, 102, 106], 2020 [2], 2021 [114], 2022 [14, 65, 103] und 2023 [81, 92, 98]. 2024 wurde eine neue S3-Leitlinie zu direkten Kompositrestaurationen an bleibenden Zähnen im Front- und Seitenzahnbereich veröffentlicht [DGZ, DGZMK: S3-Leitlinie „Direkte Kompositrestaurationen an bleibenden Zähnen im Front- und Seitenzahnbereich“, Langfassung, Version 2.0, 2024, AWMF-Registriernummer: 083-028, https://www.awmf.org/leitlinien/detail/ll/083-028.html, (Zugriff am: 07.05.2024)]. Neu aufgenommen wurde eine Bewertung von Bulkfill-Kompositen. Zu der Aussage, dass Bulk-Fill-Komposite bis zu einer Tiefe von 4 mm mit Polymerisationsgeräten entsprechender Leistung sicher auspolymerisiert werden können, ergab sich ein starker Konsens.
Warum überhaupt Bulkfill-Materialien? Über die letzten zwei Jahrzehnte wurden die direkten Kompositversorgungen immer größer und auch tiefer [33–35]. Je mehr Volumen somit in eine Kavität gepackt wird, desto kritischer werden physikalische Eigenschaften wie Durchhärtungstiefe und Schrumpfungsstress. Deswegen haben Bulkfill-Materialien bei den kleinen, flachen Kavitäten der 90er-Jahre noch keinen Sinn gemacht, durchaus aber in der heutigen Zeit, in der die Kompositanwendung lediglich durch die Kontaminationskontrolle, die Approximalkontakt-Gestaltungsmöglichkeiten und den Spaß, das Geschick und die Vorliebe des/der Behandelnden limitiert sind. Aufgrund der einheitlichen Ergebnisse der vielen vorliegenden Metaanalysen und Reviewarbeiten aus den letzten zehn Jahren kann die Verwendung von Bulkfill-Kompositen auf diesem hohen Niveau aus Metaanalysen und der Leitlinie bei korrekter Verarbeitung auf jeden Fall als sicher und langzeitstabil angesehen werden.
Die Weiterentwicklung der Bulkfill-Materialien lief dann mehr in Richtung Handling und Ästhetik. Hierbei standen aber vorrangig Bulk-Flowables und dort primär der Ein-Farben-Ansatz im Vordergrund [48,50,51]. Einen Ein-Farb-Ansatz bei pastösen Bulkfill-Materialien, musste man sich bislang zwischen der Verwendung klassischer Universalkomposite und deren Limitation auf 2 mm Schichtstärke und der Verwendung bewährter Bulkfill-Seitenzahnkomposite (Filtek ONE/Solventum, Tetric EvoCeram Bulkfill/Ivoclar) entscheiden.
Der nächste große Coup im Sinne der Vereinfachung der Vorratshaltung, ohne den Zwang, Kompromisse eingehen zu müssen und ohne Aufteilung in Universal- und Bulkfill-Komposit, gelang zeitgleich der Ivoclar und VOCO zur IDS 2025: Beide Hersteller stellten ein neues, auf fünf Farben basierendes Universalkomposit vor, das bei den üblichen Polymerisationszeiten uneingeschränkt (VOCO) bzw. nahezu uneingeschränkt (Ivoclar) in 4-mm-Schichten angewendet werden kann und somit 1:1 vergleichbar zu den meisten Bulkfill-Kompositen eingesetzt werden kann. Während Ivoclar ihr Tetric EvoCeram Bulkfill durch Tetric Plus ersetzt, ergänzt bei VOCO das neue GrandioSO Unlimited deren Produktportfolio. Hier entstand nun erstmal die neue, wahrlich „hybride“ Indikation eines Universalkomposits, das zeitgleich mit den Ansprüchen an ein Universalkomposit als pragmatische Bulkfill-Applikationsvariante in 4-mm-Schichten Anwendung finden kann. In dem vorliegenden Beitrag wird das neue GrandioSO Unlimited sowohl im Seitenzahnbereich als auch im Frontzahnbereich genauer unter die Lupe genommen und in seiner Anwendung an neun klinischen Fällen vorgestellt.
Fallbeispiele
Fall 1: Austausch einer Kompositrestauration im Rahmen einer Bisshebung in direkter Technik
Bei der 42-jährigen Patientin war aufgrund massiver parafunktionaler Schäden und damit einhergehendem Verlust der Vertikaldimension eine Bisshebung erforderlich. Nach eingehenden Voruntersuchungen (die Patientin war inzwischen funktionsstabil) wurden die drei Therapieoptionen indirekte Kauflächen-Onlays, semidirekte Technik mit Übertragung einer auf einem Diagnostikmodell in Wachs gestalteten Kaufläche mittels eines transparenten Silikonschlüssels oder der direkte Aufbau im Mund ausführlich vorgestellt, Vor- und Nachteile erörtert, erklärt und abgewogen. Die Patientin entschied sich für den direkten Aufbau mit Komposit, was für sie auch die einfachste und kostengünstigste Variante darstellte, da im Gegensatz zu den anderen beiden Alternativen keine Laborkosten anfielen. Selbst bei der bewährten und von Attin und Blunck [4–6,90,101] in über 100 Hands-on-Kursen verbreiteten semi-direkten Technik fallen aufgrund des enormen Aufwandes des Kauflächen-Wax-ups und der Herstellung vieler Übertragungs-Silikonschienen nicht unerhebliche Laborkosten an, die der/die Patient/-in schlussendlich (im Gegensatz zu einer indirekten Okklusal-Onlay-Versorgung) später nicht im Munde trägt.
Die Patientin erhielt einen Kostenvoranschlag über Mehrkosten-Kompositrestaurationen und zusätzlich eine Honorarvereinbarung auf den Steigerungsfaktor 5,0. Dieser lag in der Vorhersehbarkeit des überdurchschnittlich hohen Schwierigkeitsgrades und Zeitaufwandes begründet, da die Okklusion sehr feinfühlig und eventuell in mehreren Folgesitzungen feinadjustiert werden muss. In dem Zahn 37 befand sich eine ältere, insuffiziente Amalgamfüllung, die klinisch eindeutig eine Austauschindikation aufwies. Die Abbildung 1 zeigt die unter FACE-Light [17] vollständig exkavierten, mit Kofferdam isolierten Kavitäten an den Zähnen 37 und 36. Aufgrund der Freiendsituation des distalen Kavitätenanteils des Zahnes blieb zur Formung nur eine zirkuläre, anatomisch geformte Tofflemire-Matrize 1001 C (Kerr Hawe SA, Bioggio, Schweiz). Die adhäsive Versorgung beider Kavitäten erfolgte über ein Zwei-Schritt-Universaladhäsiv (G2-BOND Universal, GC Corp., Tokyo, Japan [16,20,101,104,112,113]).
C-P ErnstAls Restaurationskomposit kam erstmals das „trocken“ zu werden, eine kaum vorhandene Klebrigkeit am Instrument und eine hervorragende Adaptation an den Kavitätenwänden. Am Zahn 36 erfolgte der Aufbau durch die Modellation einer einzigen, horizontal aufgebrachten Portion Komposit. Auf eine farbliche Charakterisierung der Fissuren wurde bewusst verzichtet: Neben dem doch sehr seltenen, diesbezüglich vorhandenen Patientenwunsch zeigt sich doch eine potenzielle Gefahrenstelle gerade bei dunklen Malfarben. Das Polymerisationslicht durchdringt diese nicht so gut, was wiederum zu einer ungünstigeren Aushärtung und in Folge zu einer reduzierten kohäsiven Stabilität der Gesamtrestauration führen kann. Die Publikation von Pucci et al. [86] zeigte eine Bruchfestigkeit von lediglich 11 und 10 MPa bei einer braunen bzw. schwarzen Malfarbe – bei 29 MPa in der Kontrollgruppe und 20 bzw. 24 MPa bei zwei weißen Malfarben. Die Abbildung 2 verdeutlicht das Ergebnis bei einer weiteren Adjustierung der Kaufläche nach einer Woche.
C-P ErnstFall 2: Neuversorgung eines unteren zweiten Molaren vor Implantation regio 46
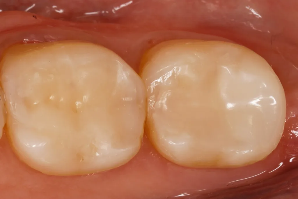
Bei der 55-jährigen Patientin ist eine implantatprothetische Lückenversorgung in regio 46 geplant. Zuvor sollte eine insuffiziente Kompositrestauration an Zahn 47 ausgetauscht werden. Dies erfolgte in nahezu identischer Vorgehensweise wie bei Fall 1: Die komplett exkavierte Kavität (Abb. 3) wurde mit einem Gruppenkofferdam isoliert, mit einer zirkulären, anatomisch geformten Tofflemire-Matrize eingeschalt (Abb. 4), adhäsiv in der selektiven Schmelzätztechnik mit dem Zwei-Schritt-Universaladhäsiv versiegelt und mit GrandioSO Unlimited aufgebaut. Anstelle von zwei horizontalen Inkrementen erfolgte der Aufbau über zwei gegenübergestellte, schräg diagonale Inkremente. Diese meist zu favorisierende Kompositapplikationstechnik [99] war problemlos in lediglich zwei Inkrementen möglich, da die Kavitätentiefe nirgendwo tiefer als 4 mm war. Ein zusätzliches Flowable fand keine Anwendung. Die Abbildung 5 zeigt die fertig versorgte Kavität bei einer Nachkontrolle nach vier Wochen.
Fall 3: Austausch einer insuffizienten Amalgamfüllung an einem oberen ersten Molaren
Bei dem 75-jährigen Patienten fiel bei einer Routinekontrolle die randkariöse, insuffiziente Amalgamfüllung in Zahn 26 auf (Abb. 6). Nach FACE-unterstützter Exkavation zeigte sich ein zentral stark verfärbtes, aber hartes und nicht mehr auf Fluoreszenz ansprechendes Dentin ohne jegliche Pulpa-Expos (Abb. 7). Aufgrund der etwas eingeschränkten Compliance des Patienten erfolgte auch hier die Versorgung unter Kofferdam, da nur so eine ungewollte Zungenbewegung effektiv unterbunden werden konnte. Auch hier fiel die Wahl auf das Zwei-Schritt-Universaladhäsiv, welches wieder in der selektiven Schmelzätztechnik (37,5% Gel Etchant, Kerr, Orange, CA, USA) angewendet worden war. Die Abbildung 8 zeigt die ausgearbeitete und polierte Versorgung des Zahnes unter Einfassung des distopalatinalen Höckers. Als Farbe kam hier die A3 von GrandioSO Unlimited zur Anwendung. Das Material wurde in insgesamt drei Inkrementen eingebracht, modelliert und mit einem Hochleistungs-Lichtpolymerisationsgerät (Elipar Deep Cure, 1.500 mW/cm Solventum, Seefeld) polymerisiert. Die Ausmodellation des Höckers und des großen Kauflächenareals verlief aufgrund der sehr angenehmen Konsistenz des Materials problemlos. Sehr entgegen kam hier die lange Verarbeitungszeit des Kompositmaterials.
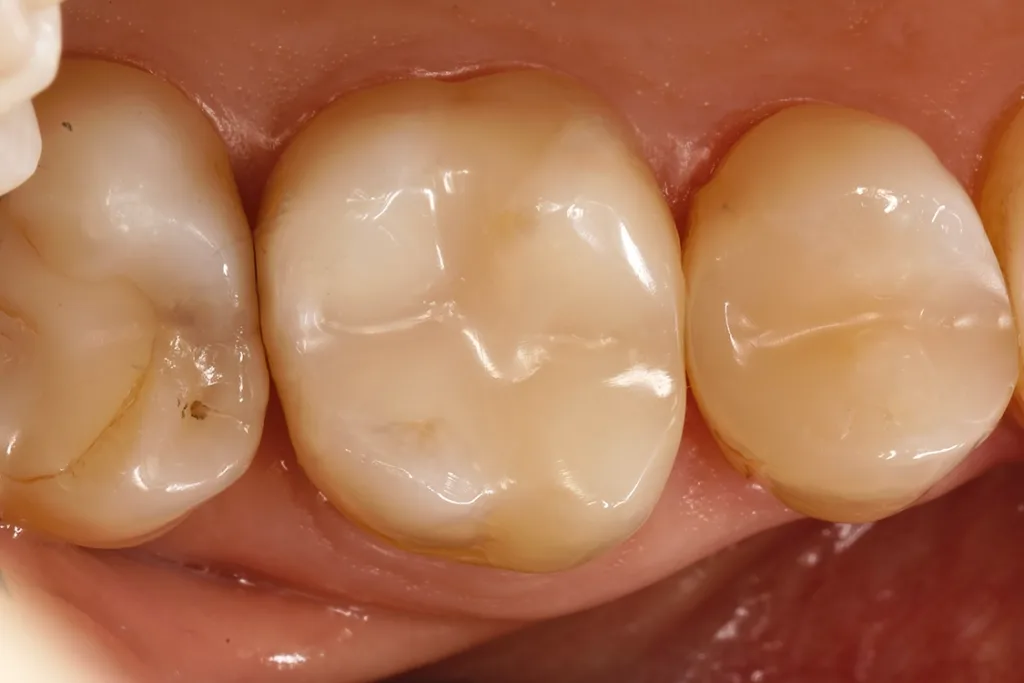
Fall 4: Austausch einer insuffizienten Amalgamfüllung am Zahn 16
Eine identische Versorgungsindikation wie in Fall 3 ergab sich im vorliegenden Fall einer 59-jährigen Patientin. Auch hier war eine großflächige ältere Amalgamfüllung mit Sekundärkaries auszutauschen. Nach ebenfalls FACE-unterstützter Kariesexkavation und Nachpräparation der Kavitätenränder konnte die om-Kavität eingeschalt werden. Zum Einsatz kam hier das neue HALO-Teilmatrizensystem der Fa. Ultradent (Ultradent Products Inc., South Jordan, UT, USA). Es ähnelt sehr dem bewährten Strata-G und Fusion-Teilmatrizen der Fa. Garrison (Garrison Dental Solutions, Spring Lake, MI, USA) mit dem entscheidenden Unterschied, dass die Randleiste weiter eingezogen ist und sich damit der Randleistenbereich noch einfacher gestalten lässt. Für die 0,038 mm „dünne“ Stärke ist die Firm-Matrizenvariante erstaunlich stabil.
Übernommen von Garrison wurde leider auch die unnötige Lasche, deren primäre Aufgabe es ist, die Sicht auf den Approximalkontakt zu erschweren. Wenn sie stört, kann sie aber mit einer Schere einfach abgeschnitten werden. Der zu dem System passende Spannring ähnelt dem Palodent-Spannring (Dentsply Sirona), ist aber größer, lässt sich deswegen sehr gut und übersichtlich platzieren (am besten mit der Palodent-Spannzange, Dentsply Sirona) und erlaubt eine sehr gute Separation sowie Übersichtlichkeit (Abb. 9). Approximal zervikal abgedichtet und separiert wurde mit einem Garrison Fusion Kunststoffkeilchen.
C-P ErnstAufgrund der hier gegenüber den ersten beiden Fällen deutlich einfacheren Kontaminationskontrolle konnte auf die Verwendung eines Kofferdamspanngummis verzichtet werden. Auch wenn bei der Verwendung der Kofferdamisolierung tendenziell bessere Ergebnisse im Seitenzahnbereich zu erwarten sind [63], steht generell die Frage der suffizienten Kontaminationskontrolle im Vordergrund. Diese sicherzustellen ist die vorrangige Aufgabe der/des Behandelnden und kann durchaus eine individuelle Einzelfallentscheidung darstellen. Ist die Kontaminationskontrolle auch ohne Kofferdam gut beherrschbar, findet man keinen Unterschied in der Überlebensrate der Restaurationen im direkten Vergleich mit/ohne Kofferdam, wie eine schon im Jahr 2000 publizierte retrospektive Zehnjahresuntersuchung zeigen konnte [87].
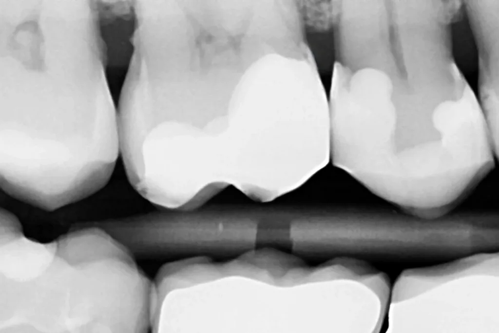
Die Versorgung des recht großen und tiefen Defektes erfolgte identisch zu den vorangegangenen Fällen mit einem Zwei-Schritt-Universaladhäsiv unter selektiver Schmelzätzung. GrandioSO Unlimited wurde hier erneut in der Farbe A1 angewendet, obwohl der Zahn tendenziell eine A2-Farbe aufwies. Die Verwendung der A1 war der zu diesem Zeitpunkt bereits verbrauchten A2-Farbe geschuldet. Da die A2 die am häufigsten verkaufte und damit auch verwendete Kompositfarbe darstellt, ist diese dementsprechend am schnellsten bei Intro-Kits aufgebraucht. Die in diesem Fall eingesetzte, etwas zu helle A1-Farbe passt sich dennoch erstaunlich gut der übrigen Zahnhartsubstanz an und ergab ein ansprechendes und völlig unauffälliges ästhetisches Erscheinungsbild, mit dem die Patientin auch sehr zufrieden war (Abb. 10). Dies war im vorliegenden Fall der Verwendung der deutlich dunkleren A3-Farbe vorzuziehen. Aufgrund der unklaren Befundungslage der mesialen Randleiste des Zahnes 17 wurde im Anschluss eine Bissflügel Röntgenaufnahme zur Kariesdiagnostik an Zahn 17 angefertigt. Hier zeigte sich keine Auffälligkeit in Form einer radiologisch erkennbaren Karies (Abb. 11). Die Patientin wurde zur sorgfältigen Zahnseidenanwendung instruiert, die Bedeutung einer fluoridhaltigen Zahnpasta betont und aufgrund der radiologisch feststellbaren Konkremente zur intensiveren Mundhygiene Aufklärung ein PZR-Termin vereinbart. Beeindruckend ist zudem die sehr hohe Röntgenopazität des GrandioSO Unlimited-Restaurationsmaterials im Zahn 16.
Zwischenbetrachtung zur Anwendung im Seitenzahnbereich
Haptische und visuelle Aspekte eines Komposits können schnell erfasst und beurteilt werden: Hier überzeugt das neue Universalkomposit mit 4 mm Schichtstärke sowohl vom Handling her als auch von der Ästhetik. Sicherlich finden sich viele klinische Anwendungsbeispiele zu Seitenzahn-Kompositversorgungen mit nochmals deutlich ansprechenderen ästhetischen Ergebnissen – aber wahrscheinlich nicht in zwei bis drei Inkrementen und ohne jegliche zusätzliche Effekt- oder Schmelzmassen. Die Frage sei erlaubt, ob derartig komplexe ästhetische Behandlungsprozedere im Seitenzahnbereich tatsächlich von Patienten/-innen bemerkt und gewürdigt würden. Ziel sollte sein, dass die direkte Kompositrestauration im Alltag im Sprechabstand nicht als Restauration erkannt wird. Diesen Anspruch erfüllen aber heutzutage nahezu auch alle Bulkfill-Komposite. Daher gilt es, vorab das Anspruchsdenken des/der Patienten/-in auszuloten und eine vernünftige und seinen/ihren Wünschen entsprechende Restauration anzufertigen und nicht in eine „Esthetic Overdentistry“ zu verfallen. Wer dennoch auf Farbakzentuierungen und Schmelz-Effektmassen Wert legt, dem bietet sich ein sehr breites Spektrum an bewährten, hochästhetischen Materialien unterschiedlichster Hersteller.
Für die Fälle 2 bis 4 waren inkl. Hygienephase jeweils 45 Minuten Behandlungszeit eingeplant; der Steigerungsfaktor in der Honorarvereinbarung zur Mehrkostenvereinbarung wurde entsprechend auf den erforderlichen mittleren Praxis-Stunden-Satz angepasst. Die Versorgung der Zähne 37 und 36 aus Fall 1 erfolgte zusammen mit einer zeitgleichen Versorgung aller unteren Molaren und Prämolaren im Rahmen einer direkten Bisshebung. Hierfür waren für den gesamten Unterkiefer zwei Stunden Behandlungszeit eingeplant.
Die gerade im Fall 3 sehr dunklen, tiefen Zahnareale wurden äußerst zuverlässig optisch abgedeckt, ein Durchscheinen ist nicht zu erkennen; das Material erscheint sogar ein wenig zu opak, was den optischen Gesamteindruck aber keinesfalls beeinträchtigt. Bei einer derartigen Opazität stellt sich die berechtigte Frage, inwieweit dies mit der beworbenen Durchhärtungstiefe von 4 mm zusammenpasst. Der Hersteller erklärt hierzu, dass die Durchhärtung durch eine Änderung des Lichtbrechungsindexes der Harzmatrix nach der Lichtpolymerisation bewirkt wird: Im unpolymerisierten Zustand ist das Material transluzenter, ermöglicht somit eine gute Lichttransmission in die Tiefe. Im polymerisierten Zustand wirkt das Material durch die Änderung des Lichtbrechungsindexes opaker. Diese Technik des Abstimmens des Lichtbrechungsindexes auf den Füllkörper und in Folge auf die Lichttransmission in die Tiefe ist nicht komplett neu. Die Ivoclar bewirbt ihr Tetric Powerfill mit dem dort als Assencio-Technik bezeichneten, identischen – das Material erscheint opaker. Hilfreich wäre es natürlich, wenn die herstellerinternen Daten zur Durchhärtung durch weitere externe Daten von anerkannten Hochschulen bestätigt werden könnten. Hier wäre VOCO gefordert, externe, unter klinisch realistischen Szenarien durchgeführte Durchhärtungsuntersuchungen [18,30,31,89] nachzuliefern.
Grundsätzlich sollte immer auf eine suffiziente Lichtpolymerisation geachtet werden, denn sie ist der Garant für die Langlebigkeit der Restauration. Das lernen wir seit Jahrzehnten von Professor Richard Price, der unermüdlich auf die Bedeutung der Lichtpolymerisation hinweist, diese durch Studien belegt und praxisnahe, sehr gut reproduzierbare Anwendungstipps veröffentlicht [41,54,82–85,96,97]. In den vorliegenden Fällen wurden zur Sicherstellung einer ausreichenden Lichtpolymerisation alle Einzelinkremente für jeweils 20 s mit einem Hochleistungs-Lichtpolymerisationsgerät (Elipar Deep Cure, 1.500 mW/cm2, Solventum, Seefeld) ausgehärtet. Nach Abnahme der Matrizen erfolgte zusätzlich eine Nachpolymerisation über jede approximale Flanke und nochmals aus okklusaler Richtung auf die Randleiste gerichtet. Mit diesem Prozedere kann bei jedem Komposit eine suffiziente Lichtpolymerisation sichergestellt und damit eine gute Langzeitprognose erwartet werden.
Fazit
Das neue Universalkomposit mit 4 mm Durchhärtungstiefe zeigte sich in der Anwendung im Seitenzahnbereich erstaunlich vielseitig. Das Handling überzeugte auf breiter Ebene: Eine sehr lange Verarbeitungszeit ohne jegliche Anzeichen von „Trocken-werden“, jenem Phänomen, das ein Material weißlich-bröselig erscheinen lässt, wenn man es zu lange herummanipuliert. Eine angenehme, wachsartige Konsistenz erleichtert Applikation und Modellation, gleichzeitig ist es standfest und wenig klebrig – somit ein rundum guter Universalist. Etwas ungewöhnlich ist anfangs die Blisterverpackung der Compules, deren Notwendigkeit die VOCO-F&E mit dem strikten Vermeiden einer Wasseraufnahme/-abgabe bei sehr hoher oder geringer Luftfeuchtigkeit erklärt, was bei derart hoch gefüllten Kompositen zu Beeinträchtigungen der Verarbeitungsfähigkeit führen kann. Das neue Universalkomposit mit 4 mm Aushärtungspotenzial stellt auf jeden Fall eine Bereicherung des bisherigen Produktportfolios aus hochwertigen Universalkompositen dar und ist ein weiterer Schritt in Richtung Vereinfachung und Reduktion des Lagerhaltungsaufwandes. Weiterführende Untersuchungen gerade zur Durchhärtung, aber auch klinische Studien zur Anwendung im Front- und Seitenzahnbereich wären sicherlich interessant für eine abschließende Gesamtbeurteilung. Der vorliegende Beitrag kann das Material somit nur hinsichtlich seiner klinischen Anwendung beurteilen, wobei hier das Votum eindeutig positiv ausfällt.
Entdecke CME Artikel














Keine Kommentare.