Bei einer primären endodontischen Behandlung sind Erfolgsquoten bis 98,1 % [1] erreichbar. Somit sollte die hochwertige endodontische Therapie heute zum Standardspektrum zahnärztlicher Therapie gehören und ist, wie viele Studien mittlerweile belegen, den Erfolgsraten in der Implantologie zumindest ebenbürtig. Iqbal und Kim zeigten in ihrer Metaanalyse über Einzelzahnversorgungen für primäre endodontische Eingriffe oder implantologische Versorgungen annähernd gleiche Erfolgsquoten von 94 % bzw. 95 % [2]. Auch Doyle et al. konnten für beide Behandlungsmodalitäten eine identische Überlebensrate von 93,9 % nachweisen, wobei die Implantat-Gruppe eine höhere Anzahl von zusätzlichen Interventionen benötigte [3].
Die qualitative Ausführung der endodontischen Therapie spielt eine ausschlaggebende Rolle, denn es gibt auch Studien, die bei bis zu 52 % der bereits endodontisch behandelten Zähne eine apikale Parodontitis feststellten [4]. Kirkevang et al. zeigten zudem, dass der koronalen Restauration eine entscheidende Funktion zukommt [5]. Der Erhalt eines Zahnes mit einer pulpalen Erkrankung erfordert deshalb typischerweise die endodontische Behandlung und eine permanente koronale Restauration. Bei einer nicht erfolgreichen Primärbehandlung oder einer Reinfektion des Kanalsystems sind in der Regel eine nichtchirurgische Revisionsbehandlung oder eine chirurgische Intervention nötig. Neuere Metaanalysen konnten für die nichtchirurgische Revisionsbehandlung Erfolgsraten von 76,6 % [6] bis 78 % [7] belegen. Im Vergleich zu der chirurgischen Intervention spricht für eine orthograde Revisionsbehandlung die langfristig bessere Erfolgsquote [7].
Faktoren, die die Erfolgsquote beeinflussen können, sind u. a. das Behandlungsprotokoll, die präoperative periapikale Diagnose und auch die Erfahrung des Behandlers [8]. Ng et al. zeigten in ihrem Review als wichtigste Punkte für den Behandlungserfolg die periapikale Diagnose, die Größe einer Läsion, die Länge der Wurzelfüllung und die Qualität der koronalen Restauration auf [9]. Ferner wurden präoperative Komplikationen wie z. B. Perforationen, aber auch möglicherweise die Anzahl der Sitzungen genannt [10]. Durch den konsequenten Einsatz moderner Technik kann die Erfolgsrate endodontischer Revisionen auf 90,4 % gesteigert werden [8]. So kann das dentale Operationsmikroskop dem Behandler das Auffinden zusätzlicher Kanäle erleichtern [11], die Ultraschallanwendung die antimikrobielle Wirkung von Ca(OH)2 verbessern [12], beim Entfernen frakturierter Instrumente helfen [13] oder die desinfizierende Wirkung von NaOCl steigern [14]. Ein weiteres modernes Hilfsmittel bei der nichtchirurgischen Revisionsbehandlung sind maschinelle Feilen, die eine schnellere und gründlichere Entfernung von altem Obturationsmaterial erlauben [15,16].
Neues System für Revisionen
Komet hat aktuell sein Endodontie-Sortiment mit dem Endo ReStart-System zur Unterstützung bei endodontischen Revisionsbehandlungen erweitert. Die Feilen arbeiten sehr sanft, lassen sich zielgenau in altem Obturationsmaterial kontrollieren und sorgen für einen guten Abtransport des entfernten Materials nach koronal.
Das System besteht aus zwei Feilen: dem 15 mm langen Endo ReStart-Opener mit Taper .10 und einer ISO-Größe von 030 sowie der in 21 mm und 25 mm Länge erhältlichen Endo ReStart-Feile. Diese besitzt bei einer ISO-Größe von 025 einen Taper .05. Während der Endo ReStart-Opener sehr effizient und sicher bei der Entfernung von Obturationsmaterial im koronalen Drittel eingesetzt werden kann, wird im mittleren und apikalen Drittel das Obturationsmaterial mit den Endo ReStart-Feilen entfernt. Beide Instrumente verfügen über eine spezielle Spitzengeometrie („safe activity“), die eine sehr gute Kontrolle im Kanal ermöglicht. Die Feilen werden idealerweise bei einer Umdrehungszahl von 300 Upm und einem Drehmoment von 1,8 Ncm in Vollrotation eingesetzt. In unserer Praxis werden die Feilen ohne Lösungsmittel verwendet. Takahashi et al. zeigten, dass eine Entfernung des alten Obturationsmaterials ohne Lösungsmittel schneller zu erreichen ist [17]. Den Einsatz und das mögliche Endergebnis nach weiterer Aufbereitung zeigen beispielhaft die im Folgenden beschriebenen Patientenfälle.
Fall 1
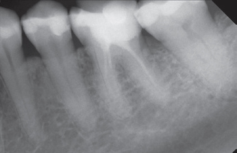
Eine 52-jährige Patientin wurde vom Hauszahnarzt mit der Bitte überwiesen, vor geplanter prothetischer Versorgung eine endodontische Revisionstherapie am Zahn 36 durchzuführen (Abb. 1). Der Zahn reagierte auf die Sensibilitätsprüfung mit CO2-Schnee negativ, auf Perkussion stark positiv. Die endodontische Diagnose lautete: Pulpastatus: pulpless and infected; periapikaler Status: symptomatic apical periodontitis.

Im Anschluss an die Aufklärung über die Behandlungsoptionen wünschte die Patientin die endodontische Revisionsbehandlung. Nach intraligamentärer Anästhesie und Applikation von Kofferdam wurde unter dem OP-Mikroskop (OMS2350, Zumax Medical, Jiangsu/China) die Zugangskavität mit dem Diamantinstrument 15802* und anschließend dem EndoGuard (H269QGK*) angelegt. Die Darstellung des Pulpenkammerbodens und der Kanalorificien mit dem alten Obturationsmaterial erfolgte mit extralangen Rosenbohrern EndoTracer* (Abb. 2). Bei der intrakanalären Diagnostik konnte zudem in der distalen Wurzel ein zweites, bei der Primärbehandlung nicht aufbereitetes Kanalsystem dargestellt werden. Im koronalen Drittel wurde das alte Füllmaterial mit dem Endo ReStart-Opener (RE10L15*) entfernt, im mittleren und apikalen Drittel mit der Endo ReStart- Feile (RE05L21*), beides jeweils bei 300 Upm und einem Drehmoment von 1,8 Ncm ohne Einsatz eines Lösungsmittels. Die restliche Entfernung und das Sondieren der Kanalsysteme wurde mit Handfeilen bis zur ISO-Größe 012 (17525*) vorgenommen. Die Länge der Kanalsysteme wurde durch Handfeilen mit dem EndoPilot mobil endometrisch bestimmt (EP0013*). Es erfolgten die maschinelle Etablierung eines Gleitpfades mit dem PathGlider (PG03L25*) und die Aufbereitung der Kanalsysteme unter kontinuierlicher Spülung mit 6 % NaOCl (CanalPro NaOCl, Coltène/ Whaledent, Langenau). Die durch apikales Messen bestimmte Größe der Kanalsysteme ergab in den mesialen Kanalsystemen eine notwendige Aufbereitung bis zur ISO-Größe 035 und in den distalen Kanalsystemen bis zur ISO-Größe 045. Mechanisch aufbereitet wurde mit den F360-Feilen (F04L25*) im EndoPilot mobil bei 1,8 Ncm und 350 Upm (Abb. 3).


Jedes Kanalsystem wurde anschließend chemisch mit Canal-Pro NaOCl und jeweils 3 x 30 Sekunden mit der Spülspitze SF65 (4615*) schallaktiviert gereinigt. Die letzte aktivierte Spülsequenz wurde mit 17 % EDTA (CanalPro EDTA, Coltène/ Whaledent) durchgeführt. Danach wurden die Kanalsysteme mit den zum F360-System passenden Papierspitzen (PPF04*) getrocknet. Die Obturation der Kanalsysteme wurde in einer Hybridtechnik mittels „continuous wavetechnique“ (Downpack) und „Multi-Fill-Technik“ (Backfill) mit zum F360-System passender Guttapercha (GPF04*) und einem Sealer auf Epoxid-Polymer-Basis durchgeführt (Easy- Seal*) (Abb. 4). Die temporäre koronale Restauration des Zahnes erfolgte mit einem dualhärtenden Komposit (Dentin-Bond Evo/DentinBuild Evo opakweiß*). Die röntgenologische Kontrolle zeigte eine dichte Versiegelung des kompletten Kanalsystems (Abb. 5a u. b) und die Patientin wurde zur weiteren prothetischen Therapie an den Hauszahnarzt zurücküberwiesen.
Fall 2
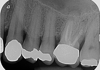
Ein 54-jähriger Patient wurde vom Hauszahnarzt mit der Bitte überwiesen, vor geplanter prothetischer Neuversorgung eine endodontische Revisionstherapie am Zahn 26 durchzuführen (Abb. 6). Der Zahn reagierte auf die Sensibilitätsprüfung mit CO2-Schnee negativ, auf Perkussion unauffällig. Die endodontische Diagnose lautete: Pulpastatus: pulpless and infected; periapikaler Status: asymptomatic apical periodontitis.

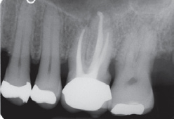
Nach Aufklärung des Patienten über die Behandlungsoptionen entschied er sich für die endodontische Revisionsbehandlung. Nach Infiltrationsanästhesie und Applikation von Kofferdam wurde unter dem OP-Mikroskop die Zugangskavität mit dem Diamantinstrument 15802 und anschließend dem EndoGuard angelegt. Die Darstellung des Pulpenkammerbodens und der Kanalorificien mit dem alten Obturationsmaterial erfolgte mit extralangen Rosenbohrern (Abb. 7).
Bei der intrakanalären Diagnostik konnte zudem in der mesiobukkalen Wurzel ein zweites, bei der Primärbehandlung nicht aufbereitetes Kanalsystem, dargestellt werden. Das alte Füllmaterial wurde im koronalen Drittel mit dem Endo Restart-Opener entfernt, im mittleren und apikalen Drittel mit der Endo Restart-Feile, beides jeweils bei 300 Upm und einem Drehmoment von 1,8 Ncm ohne Einsatz eines Lösungsmittels. Die restliche Entfernung und das Sondieren der Kanalsysteme wurden mit Handfeilen bis zur ISO-Größe 012 vorgenommen. Die Länge der Kanalsysteme wurde durch Handfeilen mit dem EndoPilot mobil endometrisch bestimmt. Es erfolgte die maschinelle Etablierung eines Gleitpfades mit dem PathGlider und die Aufbereitung der Kanalsysteme unter kontinuierlicher Spülung mit 6 % NaOCl. Die durch apikales Messen bestimmte Größe der Kanalsysteme ergab sowohl in den bukkalen Kanalsystemen als auch im palatinalen Kanalsystem eine notwendige Aufbereitung bis zur ISO-Größe 045.
Mechanisch aufbereitet wurde mit den F360-Feilen im Endo- Pilot mobil bei 1,8 Ncm und 350 Upm (Abb. 8). Jedes Kanalsystem wurde anschließend chemisch mit CanalPro NaOCl und jeweils 3 x 30 Sekunden mit der Spülspitze SF65 schallaktiviert gereinigt. Die letzte aktivierte Spülsequenz wurde mit 17 % EDTA durchgeführt. Danach wurden die Kanalsysteme mit den zum System passenden Papierspitzen getrocknet. Die Obturation der Kanalsysteme wurde in einer Hybridtechnik mittels „continuous wave-technique“ (Downpack) und „Multi-Fill-Technik“ (Backfill) mit zum System passender Guttapercha und einem Sealer auf Epoxid-Polymer-Basis durchgeführt (Abb. 9).


Die temporäre koronale Restauration des Zahnes erfolgte mit einem dualhärtenden Komposit. Die röntgenologische Kontrolle zeigte eine dichte Versiegelung des kompletten Kanalsystems (Abb. 10). Der Patient wurde zur weiteren prothetischen Therapie an den Hauszahnarzt zurücküberwiesen.
Fazit
Ziel einer Revision ist die direkte und möglichst vollständige Entfernung des im Wurzelkanal vorhandenen Materials. Das NiTi-Revisionsfeilensystem Endo ReStart löst diese Aufgabe offensiv und gleichzeitig kontrolliert in wenigen Arbeitsschritten. Meine Erfahrung: Der Endo ReStart- Opener entfernt mühelos die Wurzelfüllung im koronalen Drittel, die Endo ReStart-Feile für die tieferen Anteile findet mit dem konstanten Taper .05 eine gute Balance zwischen Stabilität und Flexibilität, entfernt also Füllungen selbst aus gekrümmten Wurzelkanälen. Damit bietet das System eine ganz neue Qualität beim Herausfördern des Materials aus dem Kanal.
* Hersteller: Komet Dental, Lemgo
Bildquellen sofern nicht anders deklariert: Unternehmen, Quelle oder Autor/-in des Artikels
Entdecke CME Artikel




Keine Kommentare.