Laut statistischem Bundesamt (DESTATIS Stand 17.2.2022) liegt die Lebenserwartung für Männer bei 78,8 Jahren und bei Frauen bei ca. 83,5 Jahren. Laut der deutschen Mundgesundheitsstudie V (DMS V) haben jüngere Senioren (65-74 Jahre) im Durchschnitt heute noch 16,9 eigene Zähne und damit verbunden auch den Wunsch nach festsitzendem Zahnersatz wie Kronen, Brücken oder Implantaten.
Mit zunehmendem Alter nehmen allerdings auch die Anzahl der regelmäßig eingenommenen Medikamente und Erkrankungen zu. Damit gehen auch mögliche Komplikationen und Risiken bei zahnärztlich-chirurgischen und implantologischen Eingriffen einher. Folgender Artikel soll einen Überblick über mögliche Risikopatienten in der täglichen Praxis geben und jeweils anhand eines konkreten Patientenfalls ein möglichst praxisnahes, aber dennoch evidenzbasiertes Komplikationsmanagement vermitteln.
Patientenfall Antikoagulantien
Ein männlicher, 68-jähriger Patient stellte sich vier Tage nach Extraktion der Zähne 12 und 13 in unserer Sprechstunde vor. Allgemeinanamnestisch besteht eine dauerhafte Antikoagulationstherapie mit ASS 100 als Primärprophylaxe. Intraoperativ und direkt postoperativ stellten sich keine schwerwiegenden Blutungen dar. Besondere Maßnahmen zur Vermeidung von Blutungskomplikationen wurden durch den Hauszahnarzt nicht vorgenommen.
Abbildung 1 zeigt den Patienten vier Tage postoperativ mit ausgeprägtem Hämatom infraorbital, bukkal bis submandibulär rechtsseits. Klinisch stellte sich die Schwellung und das Hämatom weich, nicht druckdolent und nicht überwärmt dar. Bei Vorstellung in unserer Sprechstunde bestand keine akute Blutung. Mit dem Patienten wurde ein konservatives Vorgehen mit ausreichender Analgesie, Kühlung und weicher Kost besprochen. Bei Nahtentfernung zeigte sich die Schwellung und das Hämatom deutlich rückläufig.
Dr. Tröltzsch
Antikoagulierte Patienten
Laut aktueller Literatur werden in Deutschland ca. 1 % der Bevölkerung (etwa 1 Million Menschen) mit einer dauerhaften Antikoagulationstherapie behandelt, am häufigsten mit Phenprocoumon [30,40]. Gerade bei dauerhafter Antikoagulationstherapie in der Anamnese stellt das Gerinnungsmanagement prä-, peri- und postoperativ einen entscheidenden Faktor für den Erfolg der Behandlung dar, da auftretende Blutungen zu schweren Komplikationen führen können.
Vorliegender Beitrag soll einen Überblick über die häufigsten Medikationen von antikoagulierten Patienten und deren Management in der täglichen Praxis geben. Indikationen für die Einnahme antikoagulierender Medikamente sind Vorhofflimmern, die koronare Herzkrankheiten, tiefe Beinvenenthrombosen und mechanische Herzklappen, außerdem werden Antikoagulanzien zur Prävention von thromboembolischen Ereignissen und bei operativen Eingriffen am Herzen verschrieben [10]. Die antikoagulative Therapie besteht im Wesentlichen aus drei großen Medikamentengruppen.
Thrombozytenaggregationshemmer
Hier sind vor allem Acetylsalicylsäure (Aspirin®) im Rahmen von Primär- und Sekundärprophylaxen, Clopidogrel (Plavix®) und Ticagrelor (Brilique®) zu nennen. Bei Monotherapie mit einem der genannten Präparate und bei „komprimierbaren“ zahnärztlich-chirurgischen Eingriffen sollte die Therapie weitergeführt werden, da sonst das Risiko eines kardiovaskulären Ereignisses circa um den Faktor 3 ansteigt.
Besteht allerdings eine Dual- oder sogar Tripletherapie, wie nach Stentimplantation oder akutem Koronarsyndrom, sind elektive zahnärztlich-chirurgische Eingriffe möglichst zu vermeiden und auf den Zeitraum nach Absetzen der Dual- oder Tripletherapie zu verschieben. Bei dringend notwendigen Eingriffen oder in Notfällen ist mit einem deutlich erhöhten Blutungsrisiko zu rechnen, wofür ggf. eine Überweisung an eine Fachklinik in Erwägung gezogen werden sollte [2,16,24].
Vitamin-K-Antagonisten
Der Hauptvertreter dieser Gruppe ist das Cumarinderivat Phenprocoumon (Marcumar®). Auch hier ist mit einem erhöhten Blutungsrisiko zu rechnen. Laut aktueller Leitlinie können zahnärztlich-chirurgische Eingriffe wie Zahnextraktionen, Osteotomien, Implantationen oder Weichgewebseingriffe unter laufender Therapie stattfinden. Eine vorherige INR Kontrolle und ggf. Zielwert-Einstellung auf INR unter 3,0 ist mit dem behandelnden Facharzt abzusprechen. Ein „Bridging“ mit Heparin ist nicht mehr indiziert, da sich in aktuellen Studien ein noch höheres Blutungsrisiko bei Umstellung auf oder Absetzen des Heparins gezeigt hat [2,16,24].
Neue/direkte orale Antikoagulantien (NOAK/DOAK)
Seit einigen Jahren werden die neuen oralen Antikoagulanzien („NOAKs“) als Alternative zu den Cumarinen verschrieben. Zu den mittlerweile als DOAKs (direkte orale Antikoagulanzien) bezeichneten Faktor Xa-Inhibitoren zählen Dabigatran (Pradaxa®), Rivaroxaban (Xarelto®), Apixaban (Eliquis ®) und Edoxaban (Lixiana®).
Vorteil der „NOAKs“ ist die stark vereinfachte Dosierung (keine individuelle Dosierung und somit keine Bestimmung des Quick/INR-Wertes notwendig) und die bessere Steuerbarkeit durch eine geringere Halbwertszeit. Dennoch ist hier unter laufender Therapie ein generell hohes Blutungs- und Nachblutungsrisiko bei zahnärztlich-chirurgischen Eingriffen zu erwarten [2,16,24]. Oftmals ist hier ein Pausieren der Therapie unter Absprache mit dem behandelnden Haus- oder Facharzt aufgrund der kurzen Halbwertszeiten gut steuer- und zum OP-Tag hin koordinierbar.
Vor allen geplanten chirurgischen Eingriffen und Implantationen bzw. Augmentationen ist eine ausführliche Anamnese obligat. In Bezug auf die Antikoagulantien ist hier neben der Art des Antikoagulantiums auch die Einnahmefrequenz und die Dosierung von Bedeutung. Vor Eingriffen mit hohem Blutungsrisiko, wie z. B. Implantationen und großen Augmentationen wird empfohlen, mit dem jeweiligen Haus- oder Facharzt Rücksprache über den geplanten Eingriff zu halten und im Sinne einer Nutzen-Risiko-Analyse ein mögliches Pausieren der NOAKs/DOAKs zu besprechen [2,16,19,24]. Bei Gerinnungshemmung mit Vit-K-Antagonisten sollte die Medikation beibehalten werden und ein INR Monitoring (INR 2,0-3,0) in Absprache mit dem behandelnden Kollegen erfolgen [24].
Wichtig ist eine präoperative Aufklärung des Patienten über ein erhöhtes Nachblutungsrisiko und Verhaltensmaßnahmen bei Blutungen nach geplanten oralchirurgischen Eingriffen. Während des operativen Eingriffs wird ein adrenalinhaltiges Anästhetikum empfohlen, auch wenn es nach der Operation bei Nachlassen der Adrenalinwirkung zu einem sogenannten Rebound, einer Nachblutung, kommen kann.
Intraoperativ sollte auf eine möglichst atraumatische, schonende Operations- und Extraktionstechnik geachtet und lokale blutstillende Maßnahmen wie Kompression mit Tupfer und ein dichter, spannungsfreier Wundverschluss durchgeführt werden. Außerdem können intraoperativ hämostyptische Maßnahmen, wie z. B. Tabotamp® eine sehr gute blutstillende Wirkung erreichen [2]. Gegebenenfalls können präoperativ Verbandplatten angefertigt werden, um möglichen Nachblutungen vorzubeugen [16,24]. Diese können mit einem Tiefziehgerät einfach im Labor hergestellt werden.
Eine besonders gute Kompressionswirkung kann durch zusätzliches Einbringen von Tamponaden unter die Verbandplatte erzielt werden. Gegebenenfalls können auch Teilprothesen zu Verbandplatten umgearbeitet werden, die allerdings nur durch vorherige Unterfütterung von Nutzen sind. Im zahnlosen Kiefer ist eine Versorgung mit einer Verbandplatte allerdings nur mit Schraubenfixierung sinn- und wirkungsvoll.
Zusammenfassung und Kurzinfo zum Vorgehen bei Patienten mit dauerhafter Antikoagulation
Folgende Tabelle gibt eine Übersicht über die gängigsten Antikoagulantien mit Wirkmechanismus und das notwendige präoperative Management vor Augmentation bzw. Implantation [2,24]:
Dr. Tröltzsch
Patientenfall Bisphosphonate
Eine weibliche, 72-jährige Patientin stellte sich acht Wochen nach Extraktion des Zahnes 44 alio loco in unserer Sprechstunde vor. Allgemeinanamnestisch besteht eine dauerhafte antiresorptive Therapie mit Bisphosphonaten für mehr als zehn Jahre zur Behandlung einer Osteoporose. Der operative Eingriff erfolgte ohne antibiotische Abschirmung. Klinisch zeigte sich in regio 44 vestibulär freiliegender Knochen.
Beschwerden gab die Patientin keine an. Nach ausführlicher Aufklärung der Patientin erfolgte eine chirurgische Wundrevision mit Abtragung des nekrotischen Knochens und spannungsfreier plastischer Deckung. Eine antibiotische Abschirmung erfolgte vom Zeitpunkt der Vorstellung bis zehn Tage postoperativ. Bei Nahtentfernung zeigten sich reizfreie Wundverhältnisse (Abb. 2).
Bisphosphonate und medikamentenassoziierte Osteonekrose des Kiefers
Laut Arzneimittelreport werden in Deutschland rund 156 Millionen definierte Tagesdosen Bisphosphonate und 37,9 Millionen definierte Tagesdosen Denosumab verschrieben. Somit sind vermutlich in der täglichen Praxis mehrere Patienten einer dauerhaften antiresorptiven Therapie unterzogen [40]. Grundsätzlich unterliegt das Knochengewebe einem kontinuierlichen Umbauprozess durch Osteolyse und Knochenneubildung.
Hierbei sorgt ein komplexes Wechselspiel zwischen Osteoklasten und Osteoblasten für einen reibungslosen Ablauf. Sowohl alle Bisphosphonate als auch Denosumab beeinflussen die gleichen Zielzellen, die Osteoklasten. Bisphosphonate als Derivat des Pyrophosphats sind saure Verbindungen, die in stickstoffhaltige (Alendronat, Pamidronat) und stickstofffreie (Clodronat, Etidronat) unterschieden werden. Sie entfalten ihre Wirkung nur in den Resorptionslakunen der Osteoklasten, was sowohl bei den stickstoffreichen als auch stickstofffreien Bisphosphonaten zu einer initialen Hemmung
der osteoklastischen Knochenresorption, später zu einer Hemmung der Knochenneubildung und damit zu einer Hemmung des Knochenumbaus führt [16,24]. Denosumab als monoklonaler Antikörper verhindert die Bildung und Aktivierung von Osteoklasten über eine Verhinderung der Interaktion von RANKL mit RANK [16]. Bisphosphonate werden in der Regel oral oder intravenös appliziert und binden an das Hydroxylapatit des Knochens. Bei geringer Plasmahalbwertszeit verbleiben sie allerdings sehr lange im Knochen, in der Regel mehrere Jahre [8,24].
Denosumab als monoklonaler humaner Antikörper hat eine deutlich kürzere Halbwertszeit, hier wird in der Literatur eine Halbwertszeit von mehreren Wochen beschrieben [8,24]. Unerwünschte Nebenwirkungen bei dauerhafter antiresorptiver Therapie sind gastrointestinale Störungen, lokale Erosionen/Ulzerationen der Ösophagus Schleimhaut und der Mundschleimhaut, Kopfschmerzen sowie muskoskelettale Schmerzen. Auch kommt es unter Umständen zu aseptischen Knochennekrosen oder atypischen Frakturen [16]. Klinisch stellen sich diese durch freiliegenden nekrotischen Knochen (länger als acht Wochen) und den klassischen Entzündungszeichen der angrenzenden Weichgewebe (Calor, Rubor, Tumor, Dolor, Functio laesa) dar [8,24]. Möglicherweise tritt auch ein sogenanntes Vincent-Symptom auf, eine Einschränkung der Funktion des Nervus alveolaris inferior [12].
Besonderes Risiko für die Entstehung medikamentenassoziierter Kiefernekrosen des Kiefers stellen dentogene Infektionen dar. Daher sollte vor Beginn der antiresorptiven Therapie eine umfangreiche zahnärztliche Untersuchung und ggf. alle notwendigen konservierenden und chirurgischen Maßnahmen durchgeführt werden [8,24]. Bei vergangener oder laufender antiresorptiver Therapie lassen sich drei Risikogruppen einteilen:
- Niedriges Risikoprofil bei Patienten mit Osteoporose und Bisphosphonat-Therapie (oral oder i.v.) oder Denosumab Medikation.
- Mittleres Risikoprofil bei Patienten mit zusätzlichen Risikofaktoren oder Therapie mit Antiresorptiva für Prävention skelettbezogener Komplikationen bei Tumorerkrankung und i.v. Bisphosphonat-Medikation.
- Hohes Risikoprofil bei Patienten mit therapeutisch onkologischer Indikation und monatlicher i.v. Bisphosphonat-Medikation oder Denosumab-Medikation.
Prophylaxe und Therapie in der täglichen Praxis
Vor Beginn der antiresorptiven Therapie sollte eine Vorstellung beim Hauszahnarzt erfolgen und ein ausführlicher zahnärztlicher Befund erhoben werden. Anschließend sollte die Mundhygiene des Patienten optimiert werden, alle möglichen konservierenden Maßnahmen durchgeführt und nicht erhaltenswerte Zähne extrahiert werden [8,24]. Gegebenenfalls ist eine prothetische Anpassung des Zahnersatzes zu erwägen, um mögliche Prothesendruckstellen zu vermeiden [8].
Unter laufender antiresorptiver Therapie sollte – wenn möglich – auf elektive invasive/chirurgische Maßnahmen verzichtet werden. Ziel aller Maßnahmen sollte es sein, das Risiko für eine mögliche AR-ONJ patientenspezifisch möglichst niedrig zu halten [8]. Nach Abschluss der Fokussanierung sollte der Patient zu Beginn der antiresorptiven Therapie patientenindividuell und risikoadaptiert in ein festes Recallprogramm eingegliedert werden [8]. Sollte es doch zu einer Entstehung einer medikamentenassoziierten Kiefernekrose kommen, stellen die gängigen radiologischen Techniken (OPG, DVT, CT) das Mittel der Wahl zur Diagnostik einer medikamentenassoziierten Kiefernekrose dar [8,24].
Entsprechend der „American Association of Oral and Maxillofacial Surgeons“ (AAOMS) werden folgende Stadien der medikamentenassoziierten Knochennekrosen des Kiefers unterschieden [8,13,24]:
- Stadium 0: Keine klinischen Anzeichen für nekrotischen Knochen, aber unspezifische Symptomatik und/oder radiologische Hinweise.
- Stadium 1: Exponierter oder sondierbarer, nekrotischer Knochen in asymptomatischen Patienten ohne Anzeichen einer Infektion.
- Stadium 2: Exponierter oder sondierbarer, nekrotischer Knochen in symptomatischen Patienten (Schmerzen, Rötung) mit Anzeichen einer Infektion.
- Stadium 3: Exponierter oder sondierbarer, nekrotischer Knochen in symptomatischen Patienten (Schmerzen, Rötung) mit Anzeichen einer Infektion und einem oder mehrerer folgender Symptome:
– Exponierter nekrotischer Knochen, der sich auf benachbarte Regionen (Kieferhöhle, Jochbein, Unterkieferbasis) ausbreitet
– pathologische Frakturen
– extraorale Fisteln
– Mund-Antrum-Verbindungen.
Entsprechend der AAOMS wird eine chirurgische Intervention erst ab Stadium 2 empfohlen. Die Stadien 0 und 1 können konservativ mit Spülungen und ggf. Antibiotikatherapie behandelt werden. Allerdings gilt es zu bedenken, dass nekrotischer Knochen nicht wieder vital wird und somit eine dauerhafte Infektionsquelle darstellt. In neueren Studien konnte deshalb auch gezeigt werden, dass nach chirurgischer Intervention, auch in den Stadien 0 und 1, eine deutlich höhere Heilungsrate verzeichnet werden konnte als bei rein konservativer Therapie [4,24,38]. Bei notwendiger chirurgischer Intervention sind drei wesentliche Maßnahmen zur Prävention von Kiefernekrosen einzuhalten [24]:
- Atraumatische Operationstechnik
- Glättung scharfer Knochenkanten im Sinne einer modellierenden Osteotomie
- Primär plastische Deckung und spannungsfreie Naht
- Prolognierte perioperative antibiotische Abschirmung (1 g Amoxicillin 1-1-1 oder 600 mg Clindamycin 1-1-1; beginnend einem Tag präoperativ)
- Orale flüssige oder passierte Kostform.
Zusammenfassung und Kurzinfo zur Therapie von Patienten während und nach antiresorptiver Therapie
In diesem Abschnitt wurde speziell auf Patienten mit Bisphosphonaten eingegangen. Patienten vor und nach Chemotherapie oder Radiatio fallen ebenfalls in die Gruppe der Patienten mit deutlich erhöhtem Risiko einer Osteonekrose. Diese sind ebenfalls in enger Abstimmung mit dem behandelnden Facharzt zu therapieren.
Wenn möglich sollte vor Beginn der Chemotherapie oder Radiatio eine umfangreiche Fokussanierung und eine Einbindung in einen engmaschigen Recall erfolgen [22]. Entsprechend der Patienten mit dauerhafter antiresorptiver Therapie oder Bisphosphonaten in der Anamnese sollte eine präoperative Antibiose erfolgen, die bis zum Abklingen von Entzündungszeichen, mindestens bis zum Zeitpunkt der Nahtentfernung, beibehalten werden sollte. Ergänzend sei hier erwähnt, dass je nach Lage des Bestrahlungsfeldes ggf. ein Schleimhautretraktor oder Fluoridierungsschienen vom Hauszahnarzt angefertigt werden können [22].
Zusammenfassend stellt die AR-ONJ oder auch medikamentenassoziierte Kiefernekrose eine schwere Nebenwirkung für den Patienten dar. Deshalb sollte vor Beginn einer antiresorptiven Therapie eine ausführliche zahnärztliche Diagnostik und ggf. umfangreiche Fokussanierung erfolgen. Ein besonderes Augenmerk sollte ebenfalls auf die Einbindung des Patienten in ein individuelles und risikoadaptiertes Recallprogramm gelegt werden. Alle operativen Eingriffe unter und nach antiresorptiver Therapie sollten kritisch auf ihre Indikation hin geprüft und unter Einhaltung strenger, oben genannter Infektions- und Wundheilungs-Kautelen durchgeführt werden.
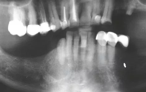
Patientenfall Diabetes mellitus
Es stellte sich eine 54-jährige Patientin mit einer extraoralen Fistel regio mentalis rechts in unserer Sprechstunde vor. Allgemeinanamnestisch bestand ein schlecht eingestellter Diabetes mellitus Typ II (HbA1c: 10,9). Klinisch zeigte sich intraoral ein tief zerstörter und auf Gingiva-Niveau frakturierter Zahn 43. Im Orthopantomogramm zeigte sich eine ausgedehnte Osteolyse regio 43. Nach ausführlicher Aufklärung der Patientin erfolgte die operative Entfernung des Zahnes 43 und entsprechende Zystektomie unter peri- und postoperativer antibiotischer Abschirmung mit Amoxicillin 1000 mg 1-1-1. Der Fistelgang nach extraoral wurde kürettiert und zum Teil exzidiert. An den postoperativen Nachkontrollen zeigte sich die Wundheilung regelrecht. Der extraorale Fistelgang heilte vollständig ab (Abb. 3-5).
Dr. Tröltzsch
Dr. Tröltzsch
Dr. Tröltzsch
Diabetes mellitus
Diabetes mellitus (Zuckerkrankheit) ist ein Überbegriff für verschiedene Stoffwechselerkrankungen, welche zu einer Erhöhung des Blutzuckerspiegels führen. In Deutschland wurde an etwa 7,2 % der Bevölkerung (4,6 Millionen) zwischen 18 und 79 Jahren ein Diabetes mellitus diagnostiziert, bei weiteren ca. 2,0 % der Erwachsenen wird von einem noch unentdeckten Diabetes ausgegangen. Typ-1 Diabetes (ca. 10 % der Diabetiker) ist eine Autoimmunkrankheit, welche durch Zerstörung der insulinproduzierenden Betazellen im endokrinen Anteil der Pankreas einen absoluten Insulinmangel hervorrufen.
Typ-1 Diabetes betrifft vor allem Kinder, Jugendliche und junge Erwachsene und bedarf einer lebenslangen Insulintherapie. Typ-2 Diabetes (ca. 90% der Diabetiker) ist gekennzeichnet durch eine Insulinresistenz und im späteren Verlauf durch eine gestörte Insulinsekretion. Die Betazellen im Pankreas geben das Insulin nach Mahlzeiten zu langsam ab. Risikofaktoren sind Bewegungsmangel und Übergewicht.
Außerdem ist die Gestationsdiabetes (Schwangerschaftsdiabetes, bei ca. 4 % der Schwangeren) zu erwähnen, welche durch eine in der Schwangerschaft auftretende Glukosetoleranzstörung gekennzeichnet ist und welche das Risiko für eine spätere Entwicklung eines Typ-2 Diabetes erhöht. Therapeutisch werden gegen die Typ-2 Diabetes orale Antidiabetika (z. B. Metformin, Pioglitazon) in Kombination mit einer Insulintherapie angewandt.
Das glykierte Hämoglobin (HbA1c-Wert, „Blutzuckergedächtnis“) gilt als Langzeitparameter für die metabolische Einstellung des Blutzuckerspiegels. Der HbA1c-Wert sollte bei bekanntem Diabetes mellitus in dreimonatigen Abständen kontrolliert werden, er gibt den Zuckergehalt im Blut der letzten sechs bis zwölf Wochen wider. Die Norm für Gesunde liegt bei unter 6,5 % (< 48 mmol/mol), für gut eingestellt Diabetiker bei 6,5 bis 7,5 % (48 – 58 mmol/mol).
Der Diabetiker in der Zahnarztpraxis
Der Diabetiker ist in der zahnärztlichen Praxis aufgrund der eingeschränkten Immunkompetenz als Risikopatient einzustufen. Durch die chronisch erhöhten Blutzuckerwerte kommt es zu Polyneuropathie und mikro- und makroangiopathischen Gefäßkomplikationen, welche das Auftreten von KHK mit Herzinfarkt, Schlaganfall und Niereninsuffizienz verstärken [15,23,34].
Diabetes gehört zu den relativen Adrenalinkontraindikationen. Adrenalin ist ein Insulinantagonist und kann so die Insulinsekretion verringern, was den Blutzuckerspiegel ansteigen lässt (akute Hyperglykämie). Im Zweifel soll ein adrenalinreduziertes Lokalanästhetikum verwendet werden oder ganz auf den Vasokonstriktor verzichtet werden (z. B. durch Verwendung von Ultracain® D ohne Adrenalin) [33]. Eingriffe sollen unmittelbar nach dem Frühstück bzw. nach Insulininjektion vorgenommen werden. Für den behandelnden Zahnarzt ist der HbA1c-Wert vor größeren chirurgischen Eingriffen oder Parodontaltherapien zur postoperativen Risikoeinschätzung zu erfragen.
Elektive Eingriffe sollten bei schlecht eingestellten Diabetikern (HbA1c > 7,5 %, Blutzuckerwert > 250 mg/dl) verschoben werden. Der behandelnde Zahnarzt hat die Pflicht, den Patienten über den Einfluss des Diabetes mellitus auf die Mundgesundheit aufzuklären. Grundlage einer jeden Therapie ist eine genaue Patientenanamnese mit Medikation. Bei Diabetikern werden regelmäßige zahnärztliche Kontrolluntersuchungen und professionelle Zahnreinigungen (PZR) empfohlen.
Durch engmaschige Recalls wird die Mundhygiene optimiert und ein Bewusstsein für die möglichen Auswirkungen der Diabetes auf die Mundgesundheit geschaffen. Durch die hoch frequentierte Konsultation des Zahnarztes hat dieser auch die Pflicht, Patienten über Risikofaktoren, Prophylaxe und zur Therapie einer Diabetes mellitus aufzuklären. Wichtige Säulen in der Diabetestherapie sind regelmäßige körperliche Aktivitäten und die richtige Ernährung, welche auf reduzierten Zuckerkonsum, der Frequenz der Nahrungsaufnahme und fettarmen Mahlzeiten beruhen. Der Zahnarzt steht in der Verantwortung, einen Diabetes möglicherweise frühzeitig zu erkennen und den Hausarzt zu konsolidieren.
Orale Manifestationen
Diabetiker leiden häufiger an Wundheilungsstörungen nach Operationen. Eine antibiotische Abschirmung kann bei Maßnahmen, welche zu einer Bakteriämie führen (z. B. chirurgische Eingriffe), in Einzelfällen unter Kenntnis der metabolischen Kontrolle sinnvoll sein [11]. Außerdem leiden Diabetiker häufiger an Mundtrockenheit (Xerostomie), welche das Entzündungsrisiko steigert [21]. Die erhöhte Kariesprävalenz bei Diabetikern beruht neben der Mundtrockenheit auch auf erhöhten Glukosewerten im Speichel und im Sulkusfluid und der erhöhten Frequenz der Nahrungsaufnahme.
Auch ist das Risiko für Wurzelkaries erhöht [14]. Weitere orale Manifestationen können persistierende Ulzerationen, das Burning-Mouth-Syndrom, Candidiasis, Leukoplakien, Erythroplakien, Prothesenstomatitis und eine erhöhte Infektionsneigung sein [3,26]. Diabetes mellitus und Parodontitis beeinflussen sich gegenseitig negativ [7]. Das für den Diabetiker um den Faktor 3 erhöhte Risiko, an einer Parodontitis zu erkranken beruht auf der Ablagerung von Endprodukten aus dem Zuckerstoffwechsel (advanced glycation endproducts, AGE) in die Gingiva und ins Parodont, welche für die chronische Entzündung mit verantwortlich sind.
Andersrum senkt eine bestehende Parodontitis die Insulinwirksamkeit und verstärkt somit den bestehenden Diabetes mellitus. Diabetiker weisen höhere Sondierungstiefen und mehr klinischen Attachmentverlust als Nichtdiabetiker auf [18]. Zahlreiche Studien belegen den Zusammenhang zwischen parodontaler Risikoerhöhung und metabolischer Kontrolle [5,9,28,31]. Der Zusammenhang spiegelt sich in einer Korrelation zwischen HbA1c-Wert und Taschensondierungstiefe wider, so sind parodontale Destruktion und Zahnverlust bei nicht gut eingestellten Diabetikern deutlich erhöht [17].
Gleichzeitig kann durch eine Parodontaltherapie der HbA1c-Wert um 0,4 % angehoben werden. Es konnte in Studien gezeigt werden, dass bei gut eingestellten Diabetikern mit einem ähnlichen Therapieerfolg nach Parodontalbehandlung zu rechnen ist wie bei Nichtdiabetikern [6,39]. So können unentdeckte Diabetiker, z. B. durch Nichtansprechen auf eine Parodontaltherapie oder allein durch den Zahnstatus, erkannt werden. Eine regelmäßige Kontrolle des HbA1c-Wertes sowie eine strikte Mundhygiene bzw. Parodontaltherapie und ein engmaschiger Recall (alle drei Monate) ist bei Diabetikern unerlässlich.
Hierbei wird eine Reinigung des kompletten Mundraumes erreicht und der Patient bekommt eine individuelle Mundhygieneinstruktion, welche er in der häuslichen Zahn- und Mundpflege umsetzen kann. So wird einer Verschlechterung beider Krankheitsbilder entgegengewirkt. Bei Diabetikern ist das Risiko für die Entwicklung einer Periimplantitis erhöht [25]. Weiteres konnte eine enge Korrelation zwischen schlecht eingestellten Diabetikern und der Implantverlustrate, welche bei Diabetikern um etwa 2,75-fach erhöht ist, gestellt werden. Durch den reduzierten Knochenstoffwechsel ist die Implantateinheilung verzögert und das Risiko von Implantatfrühverlusten erhöht [29].
Hypoglykämie
Eine häufige Komplikation des Diabetes mellitus auf dem zahnärztlichen Behandlungsstuhl ist die Hypoglykämie (Blutzuckerwerte von < 70 mg/dl), welche durch zu geringe Nahrungszufuhr oder körperliche Anstrengung auftritt. Präoperativ kann es daher hilfreich sein, über ein Blutzuckermessgerät (POC-Analysegerät) den aktuellen Blutzuckerwert zu bestimmen und so z. B. eine Hypoglykämie während der Zahnbehandlung zu vermeiden.
Symptome können von Schwäche- und Schweißausbrüchen mit Zittern, Schwitzen, Tachykardie, Blässe im Gesicht bis hin zu Kopfschmerzen und Bewusstseinsverlust reichen. Als Sofortmaßnahme gilt die Gabe von oralem Traubenzucker oder Fruchtsaft, außerdem soll der Blutzucker mit einem Blutzuckermessgerät gemessen und beobachtet werden. Bei gestörtem Bewusstsein (hypoglykämischer Schock) sind Notfallmaßnahmen und die sofortige Alarmierung eines Notarztes unerlässlich [20].
Zusammenfassung und Kurzinfo zur Therapie von Patienten mit Diabetes mellitus
Zusammenfassend sollte bei zahnärztlich-chirurgischen Eingriffen, Implantationen und Augmentationen eine prophylaktische Antibiotikagabe (single shot präoperativ) gegeben werden und eine antiseptische Mundspüllösung verwendet werden. Eingriffe bei Diabetikern sollten, wenn möglich morgens nach dem Frühstück und mit Anästhetika ohne Adrenalinzusatz durchgeführt werden. Insgesamt zeigen augmentative Verfahren und Implantatüberlebensraten bei Diabetikern keine schlechteren Langzeitergebnisse als bei gesunden Patienten. Allerdings sollten aufwendige augmentative Eingriff möglichst zweizeitig in Bezug auf die Implantation erfolgen.
Patientenfall Allergien
Das Bild 6 zeigt eine 69-jährige Patientin mit ausgeprägtem Quincke Ödem der Oberlippe nach Einnahme eines Penicillins. Zudem zeigte sich eine Quaddelbildung am Körperstamm mit ausgeprägtem Juckreiz. Die Antibiotikatherapie wurde sofort beendet und die Patientin stationär aufgenommen. Es erfolgte eine intravenöse Therapie mit Antihistaminika und Glukokortikoiden zur Behandlung der Typ-1-Reaktion. Unter dieser Therapie zeigte sich ein rascher Rückgang der Beschwerden, sodass die medikamentöse Behandlung ausgeschlichen werden konnte.
Dr. Tröltzsch
Allergien
Patienten und das zahnmedizinische Behandlungsteam sind im täglichen Praxisalltag einer Vielfalt von Materialien ausgesetzt, die allergische Reaktionen auslösen können. Von den vier bekannten Allergietypen spielen in der zahnärztlichen Praxis zwei eine Rolle.
Die Typ-IV-Reaktion, welche zellulär durch sensibilisierte T-Lymphozyten vermittelt wird, tritt als Kontaktdermatitis auf. Die Ursache für die allergische Kontaktdermatitis ist der Kontakt mit Allergenen, welche eine überschießende, spezifische Reaktion des Immunsystems auslösen. Auslösende Stoffe sind z. B. das in Kunststoffen vorkommende Polymethylmethacrylat (PMMA), Füllungsmaterialien wie Bis-GMA oder UDMA sowie Latex.
Symptome hierfür sind Hautjucken, Urtikaria oder Ödeme auf den Lippen [35,36]. Die Häufigkeit des allergischen Kontaktekzems wird mit 2-8 % angegeben [32]. Bei längerem Kontakt kann es zu Symptomen an den oberen Atemwegen (Rhinitis) oder an den unteren Atemwegen (allergisches Asthma) kommen. Die Typ-I-Reaktion (Soforttyp) wird in der zahnärztlichen Praxis durch Stoffe wie Natriumdisulfide oder Paraben (beide in Lokalanästhesie vorhanden), Penicillinen oder Nickel hervorgerufen.
Diese durch Immunglobulin-E-(IgE-) mit Mediatoren wie Interleukin-4, Histamin, Bradykinin und Serotonin vermittelte Sofortreaktion kann leichte Symptome wie Übelkeit, Kopfschmerzen, Juckreiz und Hypersekretion der Schleimhäute hervorrufen. In schwereren Fällen kann es zu Atembeschwerden (Bronchospasmus durch Kontraktion der glatten Muskulatur) kommen. Auch durch Allergien ausgelöste Schwellungen in Mundboden, Zunge und Rachen können zu einem inspiratorischen Stridor oder Schluckbeschwerden führen.
Die Maximalform der Typ-1-Reaktion ist der anaphylaktische Schock [37]. Bei einem anaphylaktischen Schock kommt es zu einem sich verstärkenden Prozess, welcher in seiner Maximalform zu einem Kreislaufversagen führen kann und somit tödlich enden kann. Bei Verdacht auf Anaphylaxie ist der Rettungsdienst zu rufen, außerdem soll der Patient je nach Zustand gelagert werden (Schocklage, stabile Seitenlage). Bis zum Eintreffen des Notarztes soll ein i.v.-Zugang zur Gabe von Volumen (Natriumchlorid) gelegt und Notfallmedikamente (Antihistaminikum, Glukokortikoid) verabreicht werden [27].
Grundlage einer jeden zahnärztlichen Behandlung ist eine sorgfältige Anamnese des Patienten, bei der nach Allergien oder Unverträglichkeiten gefragt wird. Bei Unsicherheiten von Seiten des Patienten in Bezug auf eine Verträglichkeit soll das potenzielle Allergen gemieden werden. Bei der mit einer Prävalenz von 8-12 % angegebenen Allergie gegen Penicilline soll der Wirkstoff sofort abgesetzt und gegebenenfalls durch ein Ausweichantibiotikum (z. B. Clindamycin) ersetzt werden [1]. Zur Verifizierung einer potentiellen Allergie soll ein spezialisierter Allergologe konsolidiert werden. Dieser kann durch sorgfältige Diagnostik wie Blutuntersuchungen (Nachweis von Antikörpern im Serum) oder Tests an der Haut (Provokationstests) Allergene identifizieren.
Näheres zu den Autoren des Fachbeitrages: Markus GoglBildquellen sofern nicht anders deklariert: Unternehmen, Quelle oder Autor/-in des Artikels
Entdecke CME Artikel






Keine Kommentare.