Im Zeitalter zunehmender chronischer systemischer Erkrankungen durch proentzündliche Aktivierung des Immunsystems rücken auch die Implantatmaterialien Titandioxid und Zirkondioxid in den Fokus der Betrachtung. Es werden die inzwischen bekannten möglichen immunologischen und toxikologischen Pathomechanismen dargestellt.
Titan und Zirkon gehören im Periodensystem der Elemente der Gruppe der Übergangsmetalle an, allerdings unterscheiden sich die physikochemischen Eigenschaften sowohl der Metalle als auch die ihrer Oxyde wesentlich.
Während Titan im biologischen System in Abhängigkeit von der Oberflächenmorphologie mehr oder weniger der Tribocorrosion unterliegt und in der Folge immunologische und toxikologische Reaktionen auslösen kann, zeichnet sich das vollkommen oxidierte und gesinterte Implantatmaterial Zirkondioxid durch bessere Korrosionsresistenz aus und besitzt aufgrund dessen eine höhere biologische Verträglichkeit [1].
Passivierung durch Titanoxidschicht
Implantate aus Reintitan mit rauen Oberflächen gelten als biokompatibel und finden nicht nur in der dentalen Implantologie, sondern auch zunehmend in der Orthopädie Anwendung. Mit der weltweit stetig wachsenden Anzahl inserierter Titanimplantate steigt allerdings auch die Rate sich entwickelnder Gewebeentzündungen um das Implantat. Der Periimplantitis wird in der wissenschaftlichen Literatur zunehmend Aufmerksamkeit geschenkt, gleichwohl die Angaben zur Prävalenz auch erheblich schwanken. Die in einer Metaanalyse gewichteten Mittelwerte betragen für die periimplantäre Mucositis 43 % und für die Periimplantitis 22 % [2]. Es besteht eine Korrelation von Periimplantitisprävalenz und verkürzter Implantat-Funktionszeit.
Marginaler Knochenabbau
Da die periimplantäre Osseointegration als eine immunologisch modulierte Interaktion mit dem implantären Fremdmaterial gesehen wird, bedeutet der marginale Knochenabbau den Verlust des „foreign body equilibrium“, einer ausgeglichenen, balancierten Fremdkörperreaktion [3]. Die prädisponierenden Faktoren für eine periimplantäre Entzündung oder einen daraus resultierenden Implantatverlust sind hinreichend beschrieben worden. Neben Knochenqualität, Art des Implantatsystems, Fehlpositionierung und Fehlbelastung des Implantates, Immunkompetenz des Patienten sowie negativen Gewohnheiten wie Rauchen wird in erster Linie der Biofilmausbildung als mikrobielle Ursache für eine periimplantäre Entzündung eine ursächliche Bedeutung beigemessen.
Vor- und Nachteile von Titan
Als ein sehr oxidationsfreudiges Metall bildet Titan im physiologischen Milieu Oxidschichten auf seiner Oberfläche aus, die zur Passivierung führen und vor Korrosion schützen [4]. Einerseits fördert die Rauigkeit der Oberfläche die Osseointegration, anderseits begünstigt sie aber auch einen Partikelabrieb [5].
Bereits die mechanische Reibung beim Inserieren eines Implantates als auch Mikrobewegungen bei der Belastung führen zum Partikelabrieb der im Nanometerbereich liegenden dünnen Oxidschicht. Weitere Partikelabsiedlung resultiert aus den Mikrobewegungen am Implantat-Abutment-Interface. Dies führt zu einer Partikeldissemination in umliegende und auf dem Blut- und Lymphweg in entferntere Gewebe und Organe.
Der Vorgang der Bio-Tribokorrosion wird als ein kombinierter mechanischer und chemischer bzw. elektrochemischer Prozess in biologischen Geweben betrachtet. Mechanischer Abrieb und korrosive Prozesse verstärken sich dabei gegenseitig. Der Vergleich verschiedener Implantatoberflächen ergab eine unterschiedliche Gewebebelastung mit Titannanopartikeln in Abhängigkeit von Merkmalen wie Rauigkeit und mechanischer Verbundstabilität der aufgebrachten Oberfläche. Bereits am Tag nach der Implantatinsertion in den Kieferknochen der Versuchstiere waren Partikel im periimplantären Gewebe nachweisbar. Die Autoren schlussfolgern, dass mit der Zeit eine kritische Partikelbeladung im periimplantären Gewebe erfolgen könne, die eine Schädigung der Osteoblasten zur Folge habe [6].
Bereits in den frühen Jahren der wissenschaftlichen Implantologie gab es Untersuchungen zum Partikelnachweis in Geweben und Organen nach Implantatinsertion in den Kieferknochen und auch nach orthopädischem Gelenkersatz [7,8].
Untersuchungen im Tiermodell zeigten, dass sich Titanpartikel (NP, MP) unterschiedlicher Größe und Menge im Gewebe um Einheilkappen während der Phase der Osseointegration anreichern [9]. Die Untersucher zogen den Schluss, dass die biologischen Langzeiteffekte durch Partikelbeladung der periimplantären Mukosa den Implantaterfolg beeinträchtigen könnten. In Präparaten mit immunhistochemischer Färbung (CD 68) konnten sie mit energie- disperser Röntgentechnik (EDX) zeigen, dass sich die Titanpartikel sowohl in der Nähe von Makrophagen befanden, sich aber auch mit Titanpartikeln beladene Makrophagen im Granulationsgewebe um gelockerte Implantate darstellen ließen [10].
Inflammation durch Makrophagenaktivierung
Titan hat aufgrund seiner im Gegensatz zu anderen Metallen herausragenden Oxidationsfähigkeit in der Regel kein allergisierendes Potenzial, da es nicht als Ion, sondern als partikuläre Struktur in Geweben vorliegt und damit unter physiologischen Bedingungen primär keine T-lymphozytäre Reaktion auslöst. Wenn sich allerdings im Titan verunreinigende Metalle oder Legierungsbestandteile wie Nickel, Vanadium, Aluminium oder andere befinden, kann eine Sensibilisierung auf diese Metalle erfolgen (Abb. 1).
Dr. Jacobi-Gresser
Aufgrund des Partikelreizes wird stattdessen das monozytäre Abwehrsystem aktiviert. Dieser Vorgang führt zur Ausschüttung von proentzündlichen Zytokinen wie Tumornekrosefaktor-a (TNF-a) und Interleukin-1b (IL-1b) durch Aktivierung der Monozyten/Makrophagen. Der Pathomechanismus des Knochenabbaus durch die proinflammatorischen Zytokine TNF-a und IL-6 aufgrund von Makrophagenaktivierung durch Titanpartikel aus Implantaten ist beschrieben [11,12]. Das Ausmaß der Aktivierung humaner Makrophagen wurde in-vitro gemessen und korreliert zum Ausmaß der gefundenen Zytokinausschüttung. Makrophagen reagieren nach Kontakt mit Titanoxidpartikeln mit einer Ausschüttung der proentzündlichen Zytokine TNF-a und lL-1 was, u.a. analog zur Pathogenese der Parodontitis, eine Osteoklastenaktivierung und damit einhergehend eine Osteolyse zur Folge hat [13]. Titanoxidpartikel zeigen im Vergleich mit anderen Oxidpartikeln aus Aluminium- oder Zirkonkeramik eine deutlich höhere immunstimulative Potenz [14]. Toxikologische Auswirkungen von Titan sind vielfach beobachtet worden und in einem Review zusammenfassend beschrieben [15]. Diese finden sich nicht nur begrenzt im lokalen periimplantären Bereich, sondern auch systemisch. Hohe Titanakkumulationen im Zusammenhang mit Titanimplantaten konnten in Hautanhangsgebilden wie Nägeln gefunden werden und nachweislich als Ursache beim yellow nail syndrome detektiert werden [16]. In Kenntnis der Tribocorrosion werden diverse Anstrengungen unternommen, die Titanimplantatoberfläche durch bioaktive Beschichtungen zu verbessern und korrosionsresistenter zu machen (Abb. 2).
Dr. Jacobi-Gresser
Die Bildung der Zytokine TNF-a und IL-1 hat nicht nur lokale, sondern auch systemische Auswirkungen. Als proentzündliche „Alarmzytokine“ lösen sie komplexe Immunreaktionen aus. Diese Zytokin-vermittelten Effekte dienen einer effizienten Immunantwort bei der Gefahrenabwehr im Organismus. Dies ist sehr sinnvoll bei einer bakteriellen oder viralen Infektion, indem die krankmachende Noxe durch Lyse beseitigt wird; sie ist aber nicht zielführend bei einer andauernden Titanoxidpartikel-induzierten Immunreaktion. Physiologischerweise reagieren Makrophagen nach Kontakt mit Titanpartikeln mit Freisetzung der genannten proentzündlichen Zytokine, wobei das Ausmaß individuell verschieden ist. Die Grundlage für gesteigerte Immunreaktionen auf Titanoxidpartikel scheint sehr komplex zu sein, vermutlich sind hieran individuelle Veränderungen (Polymorphismen) der Zytokinproduzierenden Gene, vor allem der Schlüsselzytokine wie Tumornekrosefaktor-a, Interleukin-1 und Interleukin-1-Rezeptorantagonist, aber auch weiterer immunregulierender Gene, beteiligt. Es gibt Hinweise darauf, dass eine Kombination mehrerer genetischer Risikofaktoren die proentzündlichen Immunreaktionen begünstigen und damit eine langfristige Integration von Titanimplantaten gefährden können [17-19].
Da es sich um einen äußerst komplexen und kontrovers diskutierten Sachverhalt handelt, sind weitere Studien unter Berücksichtigung synergistischer Effekte zwischen verschiedenen Polymorphismen und dem Einfluss epigenetischer und weiterer extrinsischer Faktoren notwendig, um mögliche Clustereffekte zu evaluieren.
Zirkonoxidimplantate in klinischer Bewährung
Die Zahl inserierter Zirkonoxidimplantate nimmt seit der Markteinführung Ende der 1990er Jahre beständig zu, erreicht heute aber erst einen geschätzten Anteil von ca. 3–5 % an der Gesamtzahl aller inserierten dentalen Implantate weltweit [20]. Diese Tendenz ist dem zunehmenden Vertrauen in den Werkstoff, der Weiterentwicklung von Einteiligkeit zur Zweiteiligkeit der Implantatsysteme und der optimierten Verbindung der Aufbaustrukturen auf den keramischen Implantaten geschuldet.
Ein in den frühen Jahren der Keramikimplantologie vor allem bei den Aluminiumoxidimplantaten beobachtetes Bruchereignis ist bei den weiterentwickelten keramischen Werkstoffen (Y-TZP, ATZ) eher selten, wurde allerdings bei Y-TZP-Implantaten der ersten Generation aufgrund von Verwendung durchmesserreduzierter Implantate, aggressiver Oberflächenbehandlung (Alu-Pulverstrahlen) in der Herstellung, Fehlbelastung bei ungünstiger Implantat-Kronen-Achse, bei okklusaler Überbelastung und bei Bruxismus beobachtet [21].
In dynamischen Belastungsversuchen und Tests zur hydrothermalen Alterung von ATZ-Implantaten konnte eine zu Titanimplantaten vergleichbar hohe Frakturresistenz (> 1.100 N), eine geringe Ausdehnung der monoclinen Phase-Schicht an der Oberfläche und keinerlei Veränderung der Oberflächenrauhigkeit festgestellt werden [22].
Die Erfolgsrate für die Zirkonoxidimplantate der neuen Generation ist vergleichbar mit der bei Titanimplantaten [23-26]. Einteilige Zirkonoxidimplantate zeigen in klinischen Untersuchungsreihen hinsichtlich ihrer Osseointegrationsfähigkeit im Vergleich zu Titanimplantaten nicht nur ebenso gute Erfolge, sondern sie haben auch noch Vorteile in Bezug auf die Weichgewebeakzeptanz [27].
Eine prospektive randomisierte klinische Vergleichsstudie von zweiteiligen Zirkonoxid- und Titanimplantaten als Einzelzahnersatz an einer kleinen Kohorte (14 Zr- und 14 Ti-Implantate) ergab nach einem Zeitraum von 80 Monaten keine signifikanten Unterschiede in Bezug auf Belastungsstabilität in Funktion und untersuchte parodontale Marker [28].
Bakterien und Materialpartikel als Trigger für Periimplantitis
Die Bedeutung der oralen mikrobiellen Belastung als synergistischer Faktor zur Partikel-induzierten Aktivierung der Inflammasom- Kaskade in den Makrophagen wurde beschrieben. Die Aktivierung der Inflammasome führt zur Bildung des proentzündlichen Zytokins IL-1 b. In-vivo- und in-vitro-Studien belegen die verminderte Biofilmausprägung an der Zirkonoberfläche im Vergleich zu der des Titans [29,30]. Die Biofilmakkumulation wird beeinflusst durch Oberflächenmerkmale der eingebrachten Materialien, wie ihre chemische Zusammensetzung, Beschichtung und deren Rauigkeit sowie der freien Oberflächenenergie [31]. Die mikrobielle Belastung im Mundraum fördert die Korrosionstendenz an der Titanimplantatoberfläche zusätzlich. Dieser milieuverändernde mikrobielle Einfluss durch parodontale Frühkolonisierer zeigt sich in einer Entwicklung zur Mucositis- und Periimplantitis und hat zudem zur Folge, dass die Oberflächenkorrosion am Titanimplantat getriggert wird und vermehrt Metallabsiedlungen entstehen [32]. Korrosionsprozesse wiederum führen zu einer Verschiebung des Mikrobioms von der „gesunden“ diversifizierten zur pathologischen weniger diversifizierten Keimbeladung. Die Menge an Titankorrosionsprodukten im periimplantären Gewebe und der Periimplantitis korrelieren nachweislich [33,34].
Im entzündeten periimplantären Gewebe wurden 8-fach höhere Partikelmengen gefunden als um „gesunde“ Implantate, die keine oder eine geringe Partikellast aufwiesen. Die Autoren schlussfolgern, dass diese Befunde eine Assoziation von Korrosionsprodukten und Periimplantitis bestätigen und die Rolle von Korrosionsprodukten auf die Modifizierung der periimplantären Mikrobiomstruktur und -diversifität bekräftigen. Wenn auch der Einfluss der mikrobiellen Kontamination der Implantatoberfläche auf die periimplantäre Entzündung nicht zu leugnen ist, unterscheidet sich die Periimplantitis in ihrer Komplexität von einer Parodontitis aufgrund von zusätzlichen Korrosionsprodukten des Implantatmaterials, welche durch leicht saure pH-Verhältnisse und Bakterien-LPS getriggert wird [35].
Präklinische und klinische Untersuchungen zu parodontologischen Parametern um „gesunde“ Titan- und Zirkonimplantate zeigen in Bezug auf die Sulcustiefen statistisch signifikante Unterschiede [36,37]. Die Werte erweisen sich sowohl im Tiermodell als auch beim Patienten höher bei den Titanimplantaten im Vergleich zu den Zirkonoxidimplantaten. Erfahrungsgemäß ist eine Sulcus-Sondierung am Zirkonoxidimplantat allerdings aufgrund der dichten fibrösen Gewebestruktur erschwert (Abb. 3).
Dr. Jacobi-Gresser
Lipopolysacharide (LPS) in Bakterienmembranen der Parodontopathogenen als auch Titanpartikel stimulieren Inflammasome in den Makrophagen (Abb. 4) und verursachen eine IL-1b-Ausschüttung. Der Effekt der Stimulation durch Titanpartikel war bei LPS-exponierten (Aa, Pg, e.coli) Makrophagen verstärkt. Titan- Ionen allein führen nicht zur Transkription der Inflammasome. Die in periimplantären Geweben gefundenen Ti-Mengen waren ausreichend um die IL-1b-Ausschüttung in-vitro zu stimulieren [38,39].
Dr. Jacobi-Gresser
Eine Evaluation von diversen Inflammations-Markern im Gewebe um Implantateinheilkappen aus Titan im Vergleich zu Zirkonoxid ergaben einen signifikant höheren Nachweis von diversen Entzündungsparametern bei Verwendung von Titan in Bezug auf alle untersuchten Marker [40]. Deutlich erhöhte systemische Marker für silent inflammation-Prozesse fanden sich bei Patienten mit Titanimplantaten Grad 5 (Titanlegierung Ti-Al6-V4), die mehr als 10 Jahre in situ waren in Kombination mit Amalgamfüllungen im Vergleich zur Kontrollgruppe ohne Implantat und Füllungen und auch zur Patientengruppe mit Amalgamfüllungen aber ohne Implantate [41].
aMMP-8 und Calprotectin als Entzündungsfrühmarker
Die aktivierte Matrix-Metalloproteinase-8 gilt als eine der destruktivsten Kollagenasen bei Parodontitis und Periimplantitis. Sie hat Bedeutung als Früherkennungsmarker bei Parodontitis und Periimplantitis. Ergebnisse einer aMMP-8-Studie an Patienten mit Titan- oder Zirkonabutments im Split-Mouth-Design zeigten, dass sich die aMMP-8-Werte als Ausdruck einer Kollagenolyse zu jedem der Messzeitpunkte als statistisch signifikant niedriger im Gewebe um Zirkonabutments im Vergleich zu den Werten um Titanaufbauten erwiesen [42].
Bisher unveröffentlichte Ergebnisse von Untersuchungsreihen der Autorin zur Entzündungsreduktion bei Biofilm-initiierter Parodontitis und auch Periimplantitis durch den Einsatz natürlicher ätherischer Ölmischungen zeigten in Laboranalysen eine deutliche Abnahme der aMMP-8-Werte als Ausdruck einer effektiven antientzündlichen Wirkung. Dieser Effekt ist inzwischen in der eigenen Klientel auch für den noch frühzeitiger gebildeten parodontalen Entzündungsmarker Calprotectin bestätigt. Die eigene über 10-jährige klinische Erfahrung bestätigt die stabilen entzündungsfreien periimplantären Weichgewebeverhältnisse und die geringere Inzidenz einer Periimplantitis um zweiteilige ATZ-Implantate. Periimplantitiden konnten beobachtet werden bei Verbleib von Kleberresten nach Einbringen von Abutment und Krone oder auch bei Titanpartikelbelastung im Gewebe nach Verlust eines Titanimplantates und Reimplantation eines Zirkonoxidimplantates an gleicher Stelle oder in unmittelbarer Umgebung. Analysen zur Struktur und Reinheit von Keramikimplantatoberflächen wurden an vier verschiedenen Y-TZP-Implantaten und einem ATZ-Implantat durchgeführt. Alle Systeme unterschieden sich in der Oberflächenmorphologie und wiesen keinerlei Verunreinigungen auf, die Anlass zu unerwünschten immunologischen Reaktionen geben könnten [43].
In der Literatur werden neben den Vorteilen von Zirkonoxid-Implantaten in der ästhetischen Zone aufgrund der hellen Farbe, die geringere Biofilmadhäsion in in-vitro- und in-vivo-Studien [44-46] und die höhere Korrosionsfestigkeit gegenüber dem Implantatwerkstoff Titan hervorgehoben [1].
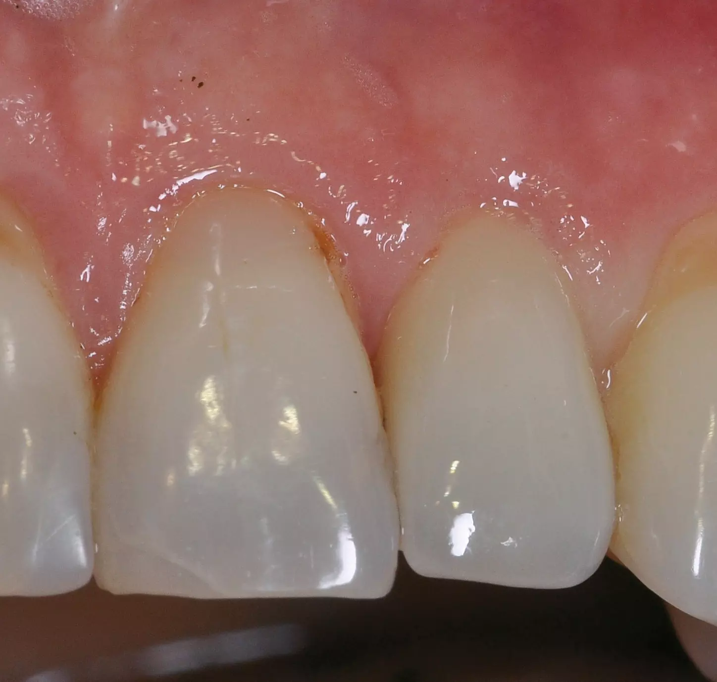
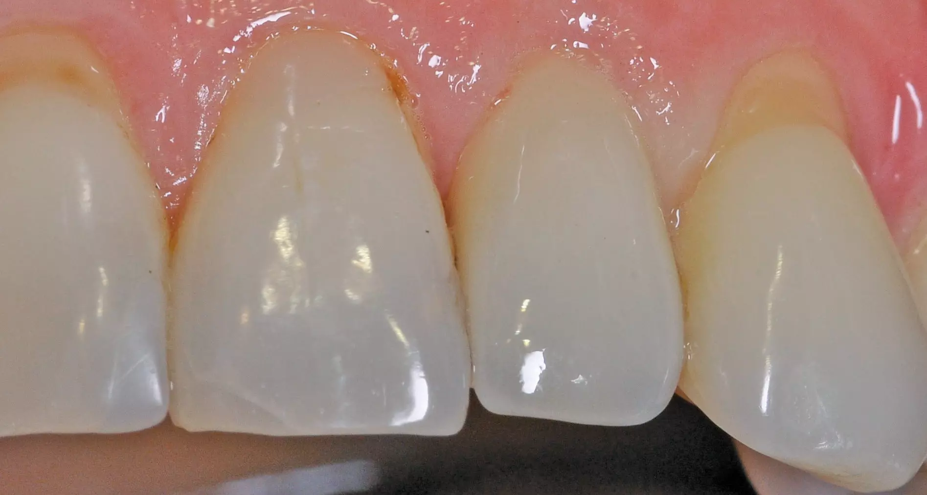
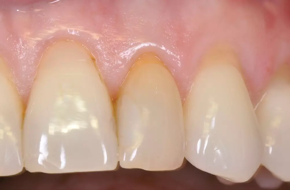
Augenscheinlich sind die ästhetischen Vorteile des Zirkonoxid-Implantatwerkstoffes im Vergleich zum Titan insbesondere in der anterioren ästhetischen Zone bei Patienten mit dünner Gingiva unter 2 mm [47] (Abb. 5–8).
Dr. Jacobi-Gresser
Dr. Jacobi-Gresser
Dr. Jacobi-Gresser
Dr. Jacobi-Gresser
Gewebeuntersuchungen an Zirkonoxidimplantaten
Bei der Implantatfreilegung gewonnene humane Gewebe um eingeheilte ATZ-Implantate weisen ein feinpartikuläres, gleichmäßig verteiltes Material auf, zeigten eine epitheliale Hyperplasie, fibröse Strukturen, Immunzellen und dichte Zellinfiltrate ohne Nachweis von Fremdkörperriesenzellen. Die histologischen Befunde unterscheiden sich grundlegend von jenen um Titanimplantate, die eine lockere Gewebestruktur, fokale Anhäufungen von Titanpartikeln unterschiedlicher Form- und Größe mit stärkeren Makrophagenund Lymphozyteninfiltrationen als auch eine höhere Anzahl an Blutgefäßen aufweisen [9]. Neben diversen in der EDS-Analyse nachgewiesenen Elementen fällt die Häufung von Aluminium auf, welches neben einer ubiquitären Verbreitung in unserer Umwelt auch bis zu 20 % in der ATZ-Zirkonoxidkeramik vorhanden ist [48]. Aluminium konnte im Rahmen dieser Untersuchungsreihe allerdings in geringer Menge auch im Gewebe gesunder Probanden ohne Implantate nachgewiesen werden. Weitere Elemente, wie z. B. Gold, Silber, Palladium, Titan, die nicht aus den Zirkonoxidimplantaten abgesiedelt sein können, sind auf die prothetischen Versorgungen zurückzuführen, die sich über Jahre in der Mundhöhle befunden haben oder noch befinden (Abb. 9–11).
Dr. Jacobi-Gresser
Dr. Jacobi-Gresser
Dr. Jacobi-Gresser
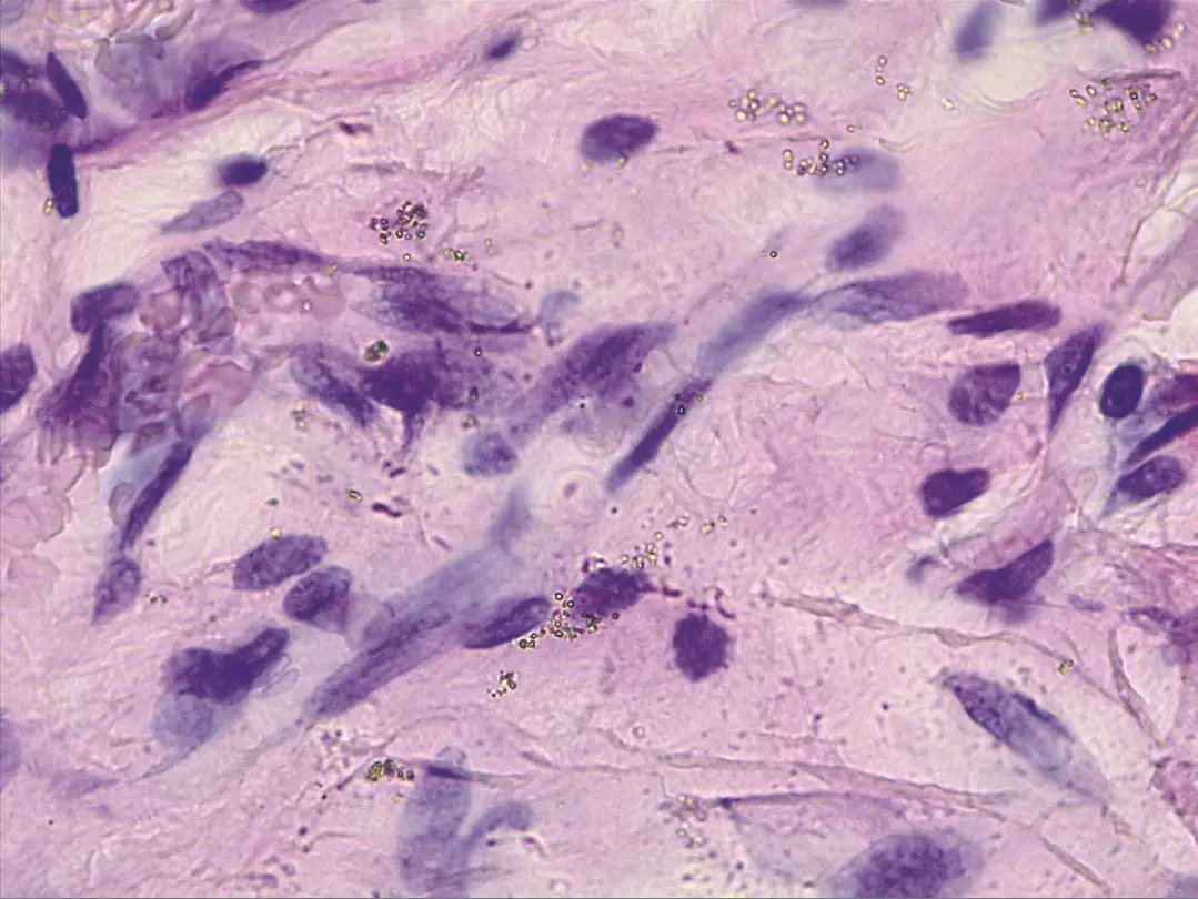
Studien an der Universität Buenos Aires zu periimplantären Gewebeproben aus der Nackenhaut der Wistar-Ratte, in die ATZ-Implantatscheiben implantiert und nach 6 Monaten freigelegt worden waren, wurden geteilt und einerseits einer histologischen Untersuchung und der Evaluation von Partikeln unterzogen (EDS) und andererseits spektrometrisch (ICPMS) zur Darstellung von Elementen wie Aluminiumund Zirkonium analysiert. Neben dem histologischen Nachweis von Aluminium- und Zirkonoxidpartikeln zwischen Zellen aber auch intrazellulär im Makrophagen konnte eine signifikant höhere Anzahl von Mastzellen im Vergleich zu gesunden Kontrollgeweben dargestellt werden [49] (Abb. 12).
Dr. Jacobi-Gresser
Aktuelle Daten aus einer Vergleichsstudie im Tiermodell zur Partikeldissemination um Schraubenimplantate in der Maxilla von Minischweinen nach einer 12-wöchigen Liegezeit ergaben eine mehr als doppelt so hohe Materialbeladung des periimplantären Gewebes bei Titan- im Vergleich zu Y-TZP-Implantaten. Die jeweils maximale Anreicherung fand sich im Bereich der äußeren Schraubengewindespitzen; dies lässt auf eine durch mechanische Reibung (Tribosion) beim Inserieren verursachte Absiedlung von Mikro- und Nanopartikel schließen. Die toxische Auswirkung auf Zellen und die Schädigung ihrer DNA war bei Zirkonoxid signifikant geringer als jene von Titan in humanen Zellen gemessenen und lag unterhalb des als toxisch geltenden Bereichs [50]. In einer komparativen Studie, die neben immunologisch-entzündlichen Parametern die toxikologischen Auswirkungen von Nano-/Mikropartikellast im Gewebe untersuchte, war eine verstärkte Bildung von freien Radikalen (ROS) bei Titanpartikeln im Vergleich zu Zirkonoxidpartikeln zu finden [51].
Fazit
Weitere systemische Belastungen durch oral eingebrachte Metalle, aber auch durch andere zahnärztliche Werkstoffe, können einen entzündlichen Dauerreiz für das Immunsystem darstellen. Schon die Reduktion von oralen Metallen und deren negativen Auswirkungen durch den überlegten Einsatz moderner Hochleistungskeramiken kann eine Entlastung des Immunsystems bewirken. Hierzu zählt auch der bevorzugte Einsatz von Zirkondioxid als Implantatmaterial und als Werkstoff in der prothetischen Rehabilitation.
In präklinischen und klinischen Studien zeichnen sich Zirkonoxidimplantate durch gute Osseointegration, gute Materialstabilität, gute immunologische und toxikologische Verträglichkeit, gute Hartund Weichgewebestabilität und optimale Ästhetik aus. Reversibel verschraubbare zweiteilige Implantatsysteme erlauben eine Erweiterung der prothetischen Indikationsbereiche über den Einzelzahnund Brückenersatz hinaus und ermöglichen hybridprothetischen Ersatz mit Teleskopen und Locatoren als Verbindungselemente. Für die Beurteilung eines Langzeiterfolges und assoziierter biologischer Komplikationen über 10 Jahre hinaus stehen entsprechende wissenschaftliche Studien für Zirkonoxidimplantate noch aus.
Bildquellen sofern nicht anders deklariert: Unternehmen, Quelle oder Autor/-in des Artikels
Entdecke CME Artikel





Keine Kommentare.