Zirkondioxidversorgungen haben sich in den vergangenen Jahren stetig von reinen Kronen- und Brückengerüstmaterialien zu hochwertigen und hochästhetischen Monomaterialen entwickelt [43,70]: monolithisch, bemalt oder auch verblendet. Die Anwendungsindikationen sind so vielseitig wie noch nie [56,57,58]. Selbst Sofortversorgungen sind bei entsprechender Laborausstattung in der Praxis möglich [62]. Neben der klassischen Anwendung in der Kronen- und Brückentechnik wird dieser Restaurationswerkstoff somit auch für minimalinvasivere, volladhäsive Restaurationen wie Teilkronen und Veneers interessant.
Was sagt die Leitlinie?
Leider würdigt die aktuelle und bis zum Jahre 2026 noch gültige Leitlinie zu vollkeramischen Kronen und Brücken* weder Teilkronen noch Inlays, Onlays, Repositionsonlays und Veneers, obwohl gerade die adhäsiv befestigte Teilkrone zu der Kernkompetenz im Bereich der vollkeramischen Restauration schlechthin gehört [24,25].
Hinsichtlich vollkeramischer Restaurationen, bei denen der zu versorgende Zahn vorab nicht zirkumferent beschliffen werden muss, äußert sich die Leitlinie lediglich zu vollkeramischen, einflügeligen Adhäsivbrücken:Bei der aktuellen Studienlage empfiehlt die Leitlinie vollkeramische einflügelige Adhäsivbrücken allerdings nur für den Schneidezahnbereich – Zirkonoxidkeramik ist hier das Material der Wahl. Die Literatur hierzu ist über mehrere Jahrzehnte hin sehr aussagekräftig, eindeutig und lässt keinen Zweifel an dem adhäsiven Befestigungspotenzial von Zirkonoxid und der Stabilität zirkonoxidbasierter Adhäsivbrücken [20,21,28,35,36,38,44,45,67]. Somit können zirkonoxidbasierte Adhäsivbrücken zum Ersatz von Schneidezähnen definitiv als eine sehr erfolgreiche Therapieoption angesehen werden.
Bezüglich Seitenzahnklebebrücken wird hingegen empfohlen, diese noch nicht anzuwenden [12,51] – obwohl eine hierzu zitierte Quelle [12] nach einem 5-jährigen Beobachtungsintervall die Ergebnisse als „ermutigend“ bezeichnet [12]. Da die ansonsten publizierten Daten hierzu vorrangig Case Reports sind [49], macht es zurzeit durchaus noch Sinn, hier den Empfehlungen der S3-Leitlinie zu folgen.
Entgegen den zahlreich publizierten positiven Studien zur adhäsiven Anbindung an Zirkonoxid [1,13,60,65] scheint noch etwas Skepsis gegenüber dem Potenzial einer volladhäsiven Anbindung von Zirkonoxid an ein Befestigungskomposit vorzuherrschen. Greift man aber auf die (bereits weiter oben zitierten) positiven Erfahrungen mit der Verklebung eines Klebeflügels, der zusätzlich die Belastung des anhängenden Brückengliedes mitträgt, an die palatinale Klebefläche eines Schneidezahnes auf, so stellt sich die berechtigte Frage, warum dies am selben Zahn auf der Labialfläche nicht genauso funktionieren sollte. Hier fallen kaum Gegenargumente ein.
Viel berechtigter wäre hingegen die Frage, warum überhaupt Zirkonoxid? Schließlich steht mit Lithiumdisilikat ein hervorragendes und topästhetisches sowie stabiles indirektes Restaurationsmaterial zur Verfügung [3 bis 5,14,16,17,23,29 bis 31,39,42,55,63]. Dennoch gibt es Indikationen, bei denen ein Quäntchen mehr Stabilität von Vorteil wäre und deswegen gewünscht wird. Zum anderen ist es bei sehr unterschiedlichen labialen Schichtdicken der indirekten Versorgungen laborseitig manchmal einfacher, durch die entsprechende Gerüstgestaltung eine adäquate optische Tiefenwirkung zu erzielen. Hier kommt es mit Sicherheit aber auch auf den jeweiligen Zahntechniker bzw. die Zahntechnikerin an – schließlich sind alle Keramiktechniker Künstler, die ihre individuellen Erfahrungen und Vorlieben haben. Deswegen ist es ratsam, die Technikerin oder den Techniker stets in die Entscheidungsfindung der Materialauswahl mit einzubeziehen.
Die aktuelle Leitlinie trifft leider zu monolithischen Restaurationen aus 4Y- und 5-TZP-Zirkonoxidkeramikenwegen fehlender klinischer Daten noch keine Aussage. Damit hinkt sie der klinischen Realität leider etwas hinterher: Klinisch eignen sich diese Materialien im Praxisalltag bereits hervorragend für Einzelzahnversorgungen in Form von Teilkronen und Veneers.
Adhäsive Befestigung indirekter zirkonoxidbasierter Restaurationen
Neben der Stabilität des Restaurationsmaterials selbst ist natürlich die Qualität des adhäsiven Verbundes und hier speziell die korrekte Vorbehandlung der indirekten Restauration [19] und des Zahnes essenziell. Als Goldstandard für die Verklebung gilt seit jeher das volladhäsive Befestigungssystem Panavia – in all seinen Varianten [2,27,36,37,67] bis hin zur jüngsten „5. Generation“, dem Panavia V5 [7,41,46,52,54,59,64].
Das Geheimnis des Erfolges der Klebung an Zirkonoxid heißt hierbei MDP (Methacryloyloxydecyldihydrogenphosphat) [1,9,13,40,60,61,65,68,69]: Das 1981 von Kuraray entwickelte Haftmolekül, das in allen Kuraray-Adhäsiven und inzwischen auch (nach Ablauf der Patente) in den Universaladhäsiven und Universalprimern enthalten ist [10,22,26,65]. Bei genauerer Betrachtung der Literatur fällt allerdings auf, dass zumindest hinsichtlich der Dentinhaftung die Bindungsleistung von MDP sehr stark von dessen Reinheitsgrad abhängt. Aus der oben bereits zitierten Arbeit von Yoshihara et al. [69] wird deutlich, dass das von Kuraray synthetisierte „Original“-MDP den höchsten Reinheitsgrad aufweist und demzufolge auch weniger hydrolyseanfällig ist: Dieses MDP wies in der Untersuchung die meisten Einlagerungen von MDP-Ca-Salzen im Kollagengerüst des Dentins auf und zeigte sich infolgedessen im Vergleich zu den beiden anderen untersuchten MDP-Derivaten als am langzeitstabilsten. Inwieweit der Reinheitsgrad des MDPs auch die Haftung an Zirkonoxid beeinflusst, wurde allerdings bislang noch nicht untersucht.
Somit kann das adhäsive Befestigungspotenzial von Zirkonoxid bei Anwendung MDP-haltiger Befestigungssysteme definitiv bestätigt und dieses adhäsive Befestigungsprozedere als sicher in den klinischen Alltag implementierbar definiert werden.
Die beiden im Folgenden vorgestellten klinischen Fälle demonstrieren die klinische Anwendung von zirkonoxidbasierten Veneers und Teilkronen im Frontzahnbereich. Sie zeigen zudem das ästhetische Potenzial dieser Alternative zu glasbasierten Teilkronen im Frontzahnbereich auf. In Abhängigkeit von der individuellen klinischen Behandlungssituation wurde in den beiden Fällen ein optimales klinisches Befestigungsprozedere gewählt: im ersten Fall eine rein lichthärtende Befestigung, im zweiten Fall eine klassische dualhärtende Befestigung.
Fall 1: Volladhäsive Befestigung von zirkonoxidbasierten Kantenschutzveneers auf den Zähnen 12 bis 22
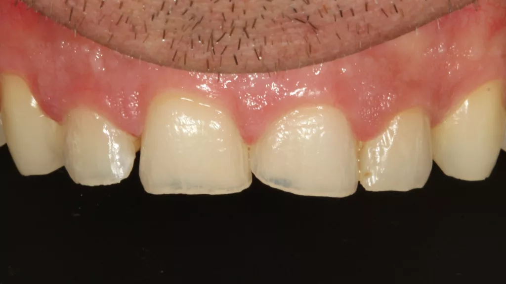
Der 50-jährige Patient stellte sich mit dem Wunsch nach einer Veneerversorgung seiner Oberkieferschneidezähne vor: Sie waren inzisal abradiert und deutlich zu kurz. Die klinisch-funktionsanalytische Befundung zeigte sehr schnell die Ursache des Problems: eine in früheren Jahren parafunktionsbedingt massiv abgesunkene Vertikale mit der Abrasion der Schneidekanten als sekundärer Folge. Dem Patienten wurde erklärt, dass vor einer möglichen Frontzahnrestauration entweder eine prothetische Anhebung der Vertikaldimension erforderlich sei oder alternativ eine kieferorthopädische Vorbehandlung. Unter Berücksichtigung der weiteren Vorbefunde erschien die kieferorthopädische Vorbehandlung als sinnvollere Behandlungsoption und wurde dem Patienten dementsprechend empfohlen.
Der Patient folgte der Empfehlung und wurde zunächst für eine Dauer von 14 Monaten kieferorthopädisch behandelt. Die kieferorthopädische Versorgung erfolgte im Oberkiefer und Unterkiefer mit einer Multibracket-Apparatur. Unterstützend wurde die Unterkieferfront gegen eine skelettale Verankerung intrudiert. Vorübergehend wurde bewusst ein frontoffener Biss produziert, der aber gewährleistete, dass palatinal ausreichend Platz für die nachfolgende restaurative Versorgung gegeben war. Regelmäßig wurde das zur Verfügung stehende Platzangebot zur Fassung der inzisal/palatinalen Defekte in enger Abstimmung mit den behandelnden Kieferorthopädinnen überprüft und soweit nachjustiert, bis genügend Platz für die erforderliche Einfassung der inzisalen Palatinaldefekte gegeben war.
Nach dem erfolgreichen Abschluss der kieferorthopädischen Therapie stellte sich der Patient erneut zur finalen Rehabilitation seiner Frontzähne vor (Abb. 1 und 2). Die Präparation musste etwas ausgeprägter erfolgen als ursprünglich geplant: Labial-approximal lösten sich bei der Präparation viele Schmelzprismenareale, was wahrscheinlich in der jahrzehntelangen parafunktionalen Überbelastung seine Ursache hat. Somit musste die Präparation stellenweise in das Dentin ausgedehnt werden. Grundsätzlich kommen 4Y- und 5-TZP-Zirkonoxidkeramiken mit deutlich geringeren Schichtstärken aus. Wobei die sich daraus ergebende Notwendigkeit der volladhäsiven Verankerung im Dentin für kein modernes adhäsives Befestigungssystem mehr ein Problem darstellt.


Nach einer konventionellen Abformung mit einem besonders reißfesten Silikonmaterial (Aquasil Ultra+, Dentsply Sirona) und einer klassischen Modellerstellung ging es im Labor erst einmal digital weiter: Nach dem Scan der Modelle (ceramill map 600, Amann Girrbach) erfolgte das Fräsen der Zirkonoxidteilkronen/-veneers, die später diskret mit der Noritake CZR-Verblendkeramik verblendet wurden.
Nach der Einprobe der fertiggestellten Arbeit (unter Zuhilfenahme einer Try-in-Paste) und der ästhetischen Akzeptanz der Restauration durch den Patienten erfolgte zunächst die Vorbehandlung der Veneers [16,19]: Diese wurden inzisal mit einem lichthärtenden, gummielastischen Material für Provisorien (Clip, VOCO), das in einem Pinselhalter eingebracht wurde, fixiert. Dies erlaubt eine optimale Vorbehandlung, ohne die Teilkrone in der Hand halten zu müssen. Bei der Verklebung von Vollzirkon sind ähnlich wie bei der Glaskeramikbefestigung Fallstricke zu umgehen – wenn auch zum Teil andere: Bei der Reinigung des Werkstückes empfiehlt sich entweder eine spezielle Reinigungspaste (z.B. Ivoclean, Ivoclar [47] bzw. Katana Cleaner, Kuraray) oder ein nochmaliges Abstrahlen der bereits im Labor mit 50µm abgestrahlten Zirkonoxidklebeflächen.
Entscheidet man sich für das nochmalige Abstrahlen (wie hier) muss sehr sorgfältig darauf geachtet werden, die gesamte Klebefläche suffizient abzustrahlen. Im Gegensatz zur Ätzung mit der roten (oder gelben) Flusssäure bei Glaskeramiken hat man beim Abstrahlen keine so gute visuelle Kontrolle über die punktgenaue Applikation. Zur besseren Visualisierung der abzustrahlenden Klebefläche und zur Kontrolle, ob alle Klebeflächen erreicht worden sind, erfolgte deswegen die farbliche Markierung der abzustrahlenden Fläche mit einem Permanentmarker (Abb. 3, persönliche Empfehlung von Prof. Dr. M. Kern, Kiel).


Das Abstrahlen mit Al2O3 bzw. einer tribochemischen Silikatisierung (CoJet, 3M) sind essenziell, um einen suffizienten Haftverbund zur Zirkonoxidkeramik zu etablieren [19,33]. Um alle verbliebenen Al2O3-Partikel zu entfernen, wird anschließend eine Reinigung im Ultraschallbad für 10Min. empfohlen [48]. Im Gegensatz zum alleinigen Abstrahlen mit unbeschichtetem Al2O3 ergibt eine tribochemische Silikatisierung mit siliziumbeschichtetem Al2O3-Strahlgut in einer Korngröße von 30 bis 50µm mit einem Druck von 1 bis 2bar (CoJet) nochmals bessere Haftwerte an Zirkonoxid [6,8] und wurde demzufolge in diesem Fall angewendet. Dies folgt zudem der Empfehlung von Inokoshi und van Meerbeek [34] zu einem optimalen Vorgehen, wenn maximale Adhäsionskraft gefordert ist.
Im nächsten Schritt erfolgt die Applikation eines MDP-/Silanhaltigen Universalprimers (Abb. 4) [34]. Es existiert genügend Evidenz aus der Literatur, die derartigen Universalprimern den besten verbundsteigernden Effekt zu Zirkonoxid bescheinigt [32,66]. Der hier verwendete MDP-/Silanhaltige Clearfil Ceramic Primer Plus (Kuraray) wirkte im Anschluss 60Sek. auf der Klebefläche ein (Abb. 4). Der verbliebene Überschuss und das Lösungsmittel wurden mit dem Luftbläser sorgfältig verblasen. Mit diesem Schritt war die Vorbehandlung der Teilkronen bzw. des „360-Grad-Veneers“ abgeschlossen. Alle genannten Vorbehandlungsmaßnahmen erfolgten chairside und für jeden Zahn einzeln.

Die Kontaminationskontrolle ist bei der adhäsiven Befestigung essenziell [53]. Das einfachste Tool – gerade bei Veneerversorgungen – ist hierzu die Kofferdamisolierung (Abb. 5). Der jeweils zu versorgende Zahn wurde mit einer flügellosen Zahnhalsklammer (Ivory 212) separat isoliert und damit zervikal optimal dargestellt (Abb. 5).

Zur Reinigung der Zahnoberfläche erfolgte hier ebenfalls ein Abstrahlen – allerdings mit 50µm Al2O3 (Rondoflex KaVo). Approximal sind 2 getrennte, unter den Klammerflügeln durchgeschlaufte Frasaco-Streifen eingebracht (Abb. 5): Diese verhindern ein ungewolltes Abstrahlen der Nachbarzähne oder der gerade an den Nachbarzähnen eingesetzten Veneers und erleichtern zudem später die approximale Versäuberung nach Herausziehen derselben nach der Veneerplatzierung. Nach gründlichem Abspülen mit Wasser erfolgte die Schmelzätzung für 30Sek., ein nochmaliges gründliches Abspülen und die Applikation des Panavia Tooth Primers (Kuraray) mit einer Einwirkzeit von 20Sek.
Bei Veneers sowie Teilkronen im Frontzahnbereich bietet sich bei Materialstärken von bis zu 2mm eine rein lichthärtende Befestigung an: Die rein lichthärtende Befestigung von dünnen vollkeramischen Restaurationen ist eine sehr gut handhabbare Option und wird dementsprechend empfohlen [50]. Diese 2mm Schichtstärkengrenze wird so von den meisten Herstellern rein lichthärtender Befestigungsmaterialien in ihren Gebrauchsanweisungen herausgestellt (z.B.: https://www.kuraraynoritake.eu/de/panavia-veneer, https://www.ivoclar.com/de).
Bedingungen für eine suffiziente Lichtpolymerisation prüfen
Voraussetzung ist natürlich eine suffiziente Lichtpolymerisation. In dem o.g. Beitrag [50] wird bei der rein lichthärtenden Befestigung von Lithiumdisilikat-Teilkronen (im Seitenzahnbereich!) eine Polymerisation von 2 x 20Sek. aus 4 Richtungen empfohlen. Dies wäre durchaus auch bei Teilkronen und Veneers im Frontzahnbereich zu empfehlen, um eine möglichst vollständige Polymerisation des Befestigungskomposits sicherzustellen. Nur so kann die physikalische Leistungsfähigkeit des Befestigungskomposits und damit des gesamten adhäsiven Verbundes vollständig ausgespielt werden. Um eine Überhitzung der Pulpa zu vermeiden, sollte bei langen Polymerisationszeiten mit Hochleistungslichtgeräten allerdings eine zeitgleiche Kühlung (am besten mit dem Luftpüster) erfolgen, und zwar aus der dem Lichtaustrittsfenster gegenüberliegenden Richtung oder auch parallel zum Lichtleiter.
Man muss berücksichtigen, dass selbst dünnste Schichten transluzenter Keramik die Lichttransmission signifikant reduzieren. In einem einfachen Radiometer-Versuchsaufbau [11] reduzierte sich die Lichtleistung von 1.065mW/cm2 bei einer zwischen Lichtaustrittsfenster und Radiometersensor platzierten 0,4mm dünnen e.max LT A2-Keramikscheibe bereits um 30% auf 778 mW/cm2. Bei 0,7mm Schichtstärke ergab sich eine Reduktion um 45% auf 616 mW/cm2 und bei einer 1,5mm dicken e.max LT-Scheibe der hellen Farbe A2 sogar eine Reduktion um 67% auf 388 mW/cm2. Werden nun Zirkonoxidkeramiken eingesetzt, hängt es sehr stark davon ab, ob es als reines transluzentes Monoblockmaterial eingesetzt wird oder ob ein opakeres und verblendetes Käppchenmaterial verwendet wird. Da sich dann die Lichttransmissionsfähigkeit der Keramik nochmals deutlich verschlechtern würde, ist im Zweifelsfall auf deutlich extendierte Polymerisationszeiten Wert zu legen (natürlich immer unter Berücksichtigung eines parallelen Kühlungsbedarfes).
Die wie im vorliegenden Fall verwendete Kombination aus diskret mit der Noritake CZR-Keramik verblendeten, transluzenten Zirkonoxid (Katana STML) ergab die Möglichkeit einer ästhetischen Individualisierung in Kombination mit ausreichender Lichttransmission für die ausgewählte rein lichthärtende Befestigung. Dabei kam Panavia Veneer LC (Kuraray) zur Anwendung. Über die Try-in-Paste wurde schon bei der Einprobe die Farbe „Universal“ ausgewählt: Eine wirklich gute Universalfarbe (im wahrsten Sinne aller Worte), die in 99% aller klinischen Fälle die erwünschte, ästhetische Farbwirkung garantiert – vorausgesetzt, eine sehr gute Zahntechnikerin war vorab am Werk. Im Gegensatz zu Panavia V5 ist Panavia Veneer LC rein lichthärtend.
Die Farben (und die korrespondierenden Try-in-Pasten) entsprechen der bekannten Farbauswahl von Panavia V5 – mit einer Ausnahme: Verständlicherweise fehlt die rein selbsthärtende Farbe „Opaque“. Somit ähnelt Panavia Veneer LC vom Anwendungskomfort den bekannten ästhetischen lichthärtenden Befestigungsmaterialien wie Variolink Esthetic LC, RelyX Veneer oder Caliba Veneer – mit einer kleinen Ausnahme: Die aus dem Panavia-V5-System bekannte „Touch-Cure-Technologie“ des Tooth Primers ist gemäß Herstellerangaben auch hier aktiv und in der Lage, die Polymerisation des lichthärtenden Panavia Veneer LC an der Grenzfläche zu initiieren. Somit ist doch „etwas Dualhärtung“ in dem Produkt integriert. Dennoch bleiben (laut Herstellerangaben) bei 8.000 Lux Umgebungslichtstärke entspannte 200Sek. zur Positionierung und Überstandsentfernung. Eine Tack-Cure-Option mit 1Sek. Belichtungszeit ist ebenso vorgesehen.
Obwohl die Tack-Cure-Variante eine valide Option darstellt, wurde hier die Überstandsentfernung klassisch mithilfe eines Modellierspates und eines Bonding-Pinsels präferiert. Nach der Platzierung des Veneers ließ sich der Applikator durch ein leichtes Drehen gut entfernen. Idealerweise verbleibt das Clip in dem Pinselhalter. Das Optrasculpt Modellierinstrument (Ivoclar) mit dem großen Schaumstoffeinsatz übernimmt dann sofort die Positionierung und Fixierung. Durch die immer noch approximal fixierten Frasaco-Streifen wird eine Kontamination der benachbarten Klebeflächen vermieden. Die Überstandsentfernung des Panavia Veneer LC erfolgt entspannt mithilfe eines Modellierspates, Schaumstoffpets und eines (neuen!) Bonding-Pinsels. Ist der herausquellende Überstand entfernt, bleibt die korrekt in Position sitzende Schale mit dem Optrasculpt Instrument fixiert, während die andere freie Hand beide Frasaco-Streifen einzeln nach labial herauszieht. Dies versäubert hervorragend approximal [16].
Aufgrund der Stärke des nun fehlenden Frasaco-Streifens kann sich die Schale noch einmal etwas weiter in ihre eigentliche, finale Position nachsetzen. In der Regel quillt dann nochmals ein wenig Befestigungskomposit aus dem Fügespaltbereich heraus. Dieser wird erneut mit einem Bonding-Pinsel aufgenommen und die Situation durch sofortige Lichthärtung fixiert. Dann kann das Optrascult Fixierinstrument entfernt, Glyceringel auf den Fügespalt aufgebracht werden und die endgültige Lichthärtung kann starten: Die Polymerisation erfolgt mit einem Hochleistungs-LED-Polymerisationsgerät (1.500 mW/cm2, Elipar Deep Cure, 3M) für 60Sek. aus labialer und nochmals für 60Sek. aus palatinaler Richtung unter der erwähnten zeitgleichen Kühlung mit dem Luftpüster.
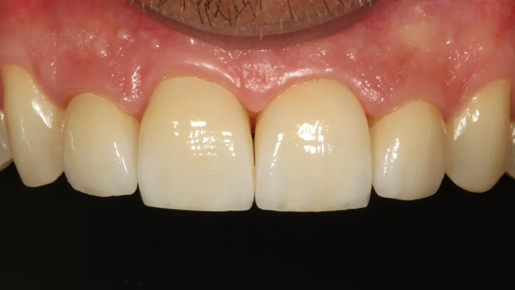
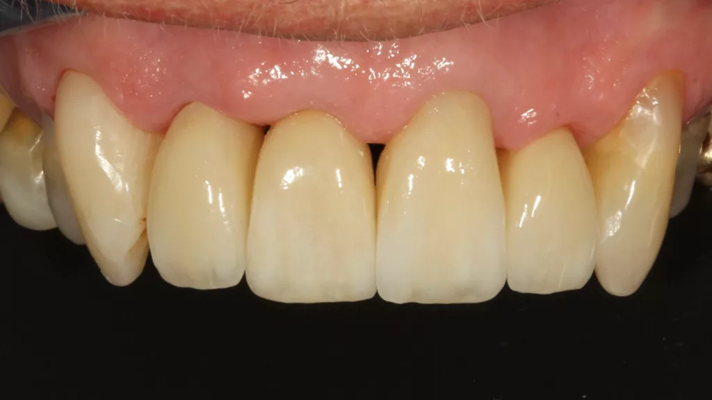
Die Abbildungen 6 bis 8 zeigen die volladhäsiv befestigten Zirkonoxidveneers/-teilkronen bei einer Kontrolluntersuchung nach 2 Monaten und die Abbildung 9 das nun deutlich entspanntere und glücklichere neue Lächeln des hochzufriedenen Patienten. Im direkten Vergleich zu Abbildung 1 fällt der enorme Längengewinn der Schneidezähne positiv auf: Dies wurde ausschließlich kieferorthopädisch-restaurativ erreicht und nicht über Parodontalchirurgie!




In den Abbildungen 6 bis 9 sind zudem noch diskrete Kompositaufbauten der Eckzähne erkennbar: Diese wurden in der Präparationssitzung angefertigt und garantierten die Wiederherstellung einer suffizienten Eckzahnführung, die durch die jahrzehntelangen Parafunktionen verloren ging. Der Aufbau parafunktional geschädigter, abradierter Eckzähne funktioniert hervorragend in direkter Technik mit Komposit [15].
Fall 2: Volladhäsive zirkonoxidbasierte Veneers auf den Zähnen 12 bis 22 als Alternative zur kieferorthopädischen Behandlung
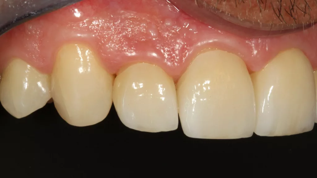
Die 70-jährige Patientin stellte sich mit dem Wunsch eines zahnmedizinischen Ausgleichs der Kulissenstellung ihrer Oberkieferfrontzähne vor. Der Engstand störte sie seit Jahrzehnten. Da neben den insuffizienten Zahnhalsfüllungen kaum nennenswerte Zahnhartsubstanzdefekte zu verzeichnen waren, wurde zunächst eine kieferorthopädische Behandlungslösung angedacht. Aufgrund der vorliegenden – für eine kieferorthopädische Behandlung als kritisch angesehene – Parodontalsituation wurde von einer kieferorthopädischen Behandlung der (noch gut festen Zähne) seitens der Kieferorthopädin dringend abgeraten. Somit blieb nur die restaurative Veneerversorgung der Frontzähne.
Die Präparation beschränkte sich primär auf eine diskrete labiale Reduktion im Zahnschmelz und auf eine approximale Separation, um eine labial-inzisale Einschubrichtung zu ermöglichen. Gemeinsam mit der Zahntechnikerin wurde als Restaurationsmaterial erneut eine verblendete Zirkonoxidkeramik festgelegt: So konnte durch unterschiedlich dicke Gerüstunterbauten eine für alle Zähne gleichmäßige Verblendschichtstärke erzielt werden, was es deutlich vereinfachte, die gewünschte ästhetische Gesamtwirkung zu erreichen. Die zahntechnische Ausfertigung folgte im Prinzip dem unter Fall 1 vorgestellten Laborprozedere: Nach der konventionellen Abformung (Aquasil Ultra+, Dentsply Sirona), Modellerstellung, Scan und Fräsen der Zirkonoxidveneergerüste (ebenfalls Katana STML), wurden diese im Nachgang mit der Noritake CZR Verblendkeramik (Kuraray) verblendet.
Aufgrund der an dem Zahn 11 labialen Wandstärke deutlich über 2mm kam hier eine rein lichthärtende Befestigung nicht infrage. Die Wahl fiel stattdessen auf das bewährte [7,27,41,46,52,54,59,64] dualhärtende volladhäsive Befestigungssystem Panavia V5 (Kuraray), da hier ein suffizientes Selbsthärtungspotenzial gefragt war. Auf eine ausschließliche Lichttransmission durch den Zahn hindurch bei Polymerisation von palatinal sollte man sich eher nicht verlassen. Bei den anderen Zähnen (12, 21 und 22) lagen zwar nur sehr dünne Keramikschichtstärken vor, die die Verwendung von z.B. Panavia Veneer LC ermöglicht hätten, bei behandlungsgleicher Versorgung mehrerer Frontzähne ist aber oft die Verwendung des identischen Befestigungsmaterials in der Präferenz des Anwenders.
Das Einsetzprozedere unterschied sich im weiteren Verlauf nicht von dem in Fall 1 beschriebenen: Auch hier wurde jede Schale einzeln einprobiert, vorbehandelt, eingesetzt und ausgehärtet. Dieses (zwar zeitaufwändigere, aber strukturierte) Vorgehen verhindert, dass es zu Passungsproblemen nachfolgender Schalen kommt, falls doch unbemerkt etwas Befestigungskomposit verbleibt. Dass zeitgleiche Einsetzen von 4 Schalen ist zwar generell möglich, erscheint dennoch aber gerade aufgrund des kleinen Zeitfensters zur Entfernung der Überstände etwas „sportlich ambitioniert“.
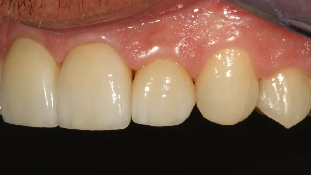
Die Abbildungen 11 und 12 zeigen die fertiggestellte Arbeit: Dem Wunsch der Patientin nach einer „Begradigung“ ihrer Schneidezähne konnte über die adhäsiv-restaurative Therapie vollumfänglich entsprochen werden – in diesem Fall auch ohne kieferorthopädische Vorbehandlung. An die neue Situation mit der verdickten Schneidekante des Zahnes 11 hatte sie sich bereits nach einer Woche Tragezeit komplett gewöhnt. Die Patientin schätzte zudem die Unterstützung der Lippe. Der in der Abbildung 10 erkenntliche Zahnhalsdefekt wurde mit einer Kompositfüllung versorgt.



Fazit
Zirkonoxid eignet sich genauso wie Lithiumdisilikat für hochästhetische Veneers und Teilkronen im Frontzahnbereich. Das adhäsive Befestigungspotenzial ist definitiv gegeben und in der Literatur hinlänglich belegt. Der Vorteil von Zirkonoxid (als Monomaterial oder verblendet) liegt primär in der etwas höheren Stabilität des Materials, was eventuell auftretende kohäsive Materialfrakturen bei starker Belastung durch Parafunktionen eher unwahrscheinlich erscheinen lassen.
Hinsichtlich des adhäsiven Befestigungsprozederes stehen wie bei glasbasierten Keramiken zwei verschiedene Aushärtungsmodi zur Verfügung: rein lichthärtend und dualhärtend (wobei hier eher von Selbsthärtung mit zusätzlicher Lichthärtungsoption gesprochen werden sollte [18]). Bei der Auswahl entscheidend ist die Einschätzung der Lichttransmission durch die Keramik: Bestehen Zweifel an einem suffizienten Polymerisationspotenzial bei rein lichthärtenden Materialien, sollte zur dualhärtenden Option gegriffen werden.
*Die S3-Leitlinie „Vollkeramische Kronen und Brücken ist online einzusehen: https://register.awmf.org/assets/guidelines/083-012l_S3_Vollkeramische_Kronen_Brücken_2021-06.pdf
Die Behandlung der von Prof. Dr. Claus-Peter Ernst vorgestellten Fälle erfolgte gemeinsam mit Stefanie Tröge, Zahntechnikerin, und Dr. Christine Nauth, Fachzahnärztin für Kieferorthopädie.
Keine Kommentare.