Die Einführung ästhetischer Zirkoniumdioxid-Produkte hat den Bereich der Frontzahnästhetik revolutioniert, in dem zuvor das Vollkeramikmaterial Lithiumdisilikat dominierte. Ursprünglich wurde das neue Material aufgrund seiner inhärenten Eigenschaften im Frontzahnbereich geschichtet oder als Gerüst für Seitenzahnrestaurationen eingesetzt. Um jedoch Komplikationen wie z.B. Absplitterungen, Frakturen oder Delaminationen der mit Glaskeramik verblendeten Gerüste zu vermeiden, nahm die Nachfrage nach Vollzirkoniakronen zu. Dies führte zur Einführung der 1. Generation monolithischer Zirkoniumdioxidkronen mit 3 mol% Yttriumoxid (3Y-TZP) [1].
Diese Produkte bieten nicht nur eine höhere Biegefestigkeit, sondern benötigen auch einen geringeren Substanzabtrag bei gleichzeitigem Erhalt der natürlichen Zahnfarbe. Die Verwendung von Zirkoniumdioxid ist sowohl in der Zahnmedizin als auch in der Zahntechnik von Vorteil, da es sowohl die Farbgebung und Verblendung wie aber auch die Befestigung durch die Möglichkeit der Zementierung vereinfacht [14].
Monolithische Zirkoniumdioxidrestaurationen galten aufgrund ihrer Opazität in der ersten Generation zunächst als ästhetisch inakzeptabel, obwohl sie hervorragende mechanische und physikalische Eigenschaften besitzen. Durch die Einführung verschiedener Zirkoniamaterialien – insbesondere von mehrschichtigem Zirkoniumdioxid– hat sich die Transluzenz von Zirkoniumdioxid jedoch signifikant verbessert [4].
Zirkoniumdioxid (auch Zirkonia genannt) zeigt eine polymorphe Umwandlung mit 3 verschiedenen Phasen, die temperaturabhängig sind: der monoklinen Phase (m-ZrO₂) bis 1170 °C, der tetragonalen Phase (t-ZrO₂) von 1170 °C bis 2370 °C und der kubischen Phase (c-ZrO₂) oberhalb von 2370 °C. Um die tetragonale und die kubische Phase von Zirkoniumdioxid bei Raumtemperatur zu stabilisieren, wird Yttrium zugesetzt. Eine als 3Y-TZP (3 mol% Yttrium-stabilisiertes tetragonales polykristallines Zirkonoxid) bezeichnete Zusammensetzung besteht ausschließlich aus der tetragonalen Phase. Obwohl es eine beeindruckende Festigkeit aufweist, ist es aufgrund großer Opazität nicht für ästhetische Anwendungen geeignet. Mit steigendem Yttriumoxid-Gehalt nimmt die Transluzenz des Zirkoniumdioxids zu, wie an 5Y-TZP zu erkennen ist, das 5 mol% Yttriumoxid enthält und nur zu 50% in der tetragonalen Phase vorliegt. Dadurch bietet es eine deutlich höhere Transluzenz, was jedoch auf Kosten der mechanischen Festigkeit geht. Demgegenüber bietet 4Y-TZP, das zu 75% aus der tetragonalen Phase besteht, einen ausgewogenen Kompromiss zwischen Transluzenz und Festigkeit [14].
Mehrschichtiges Zirkonia
Derzeit wird mehrschichtiges Zirkoniumdioxid in 2 Hauptkategorien eingeteilt: monophasisch und multiphasisch [4]. Während die monophasische Variante aus einer einzigen Zirkoniaphase besteht, verfolgt die neueste Generation IPS e.max® ZirCAD Prime (Ivoclar) einen anderen Ansatz: Dieses Produkt kombiniert auf besondere Weise 2 verschiedene Phasen des Zirkoniumdioxids – es handelt sich um eine Mischung aus 3Y-TZP und 5Y-TZP. Es wurde entwickelt, um die Festigkeit der 3Y-TZP-Dentinschicht mit der attraktiven Ästhetik der 5Y-TZP-Inzisalschicht zu verbinden. Eine Gradienten-Technologie sorgt für einen nahtlosen Übergang zwischen diesen beiden Zirkoniumdioxidwerkstoffen. Das Ergebnis ist trotzdem eine beeindruckende Biegefestigkeit von 1200 MPa im Dentinbereich [5].
Das 2. Produkt dieser Familie, IPS e.max® ZirCAD Prime Esthetic, weist mit einer Inzisalschicht aus 5Y-TZP und einer Dentinschicht aus 4Y-TZP eine etwas geringere Biegefestigkeit von 850 MPa auf. Dies wird jedoch dadurch ausgeglichen, dass Kronen mit verbesserter Transluzenz gefertigt werden können [6].
Die Eigenschaften und Möglichkeiten der Materialien sollen 3 Fallbeispiele präsentieren. Der 1. Fall veranschaulicht die Anwendung von IPS e.max® ZirCAD Prime.
Der 2. und 3. Fall werden in den kommenden Ausgaben des Zahntechnik Magazins vorgestellt.
Fall 1: Absplitterung
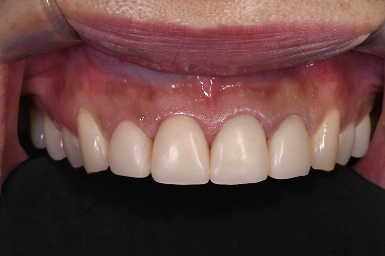
Kim und ParkEin 36-jähriger Patient kam in die Praxis und äußerte Bedenken bezüglich der Metallkeramikkronen (VMK) auf seinen mittleren und seitlichen Oberkieferschneidezähnen. Der vorrangige Anlass für den Eingriff war bei ihm eine kürzlich aufgetretene Absplitterung am Zahn 11. Hinzu kam seine Unzufriedenheit mit der Gesamtästhetik. Die Kronen waren nicht kongruent mit der Zahnfleisch-Architektur; außerdem wies das Zahnfleisch selbst deutliche Anzeichen einer Entzündung auf. Dies äußerte sich durch Schwellungen, fehlende Tüpfelung und eine untypische rötlich-blaue Färbung. Ästhetisch störend waren zudem die opake Färbung der Krone und der unschöne dunkle Schatten des darunter liegenden Metallgerüstes am Gingivarand (Abb. 1).
Planung
Kim und ParkZu Beginn der Behandlung musste zunächst eine provisorische Krone angefertigt werden. Diese diente nicht nur als Vorlage für die endgültige Restauration, sondern war auch für die ästhetische Beurteilung von entscheidender Bedeutung [3]. Die Bedeutung der Wiederherstellung der Gingivakontur in ästhetischen Bereichen wird durch eine Studie von M.F. Liebart hervorgehoben. Diese zeigt auf, dass bei 43,57% von 576 Patienten beim Lächeln das Zahnfleisch sichtbar ist [9]. Um hochwertige endgültige Restaurationen zu erzielen, die Gesundheit der Gingiva wiederherzustellen und ihre Kontur zu verfeinern, ist die Verwendung hochwertiger provisorischer Restaurationen unerlässlich [10]. Ein weiterer Grund für provisorische Kronen ist, dass sie dem Patienten bei längerer Behandlungsdauer eine vorübergehende Lösung bieten, insbesondere mit Blick auf mögliche Erfordernisse wie Wurzelkanalbehandlungen oder Stumpfaufbauten (Abb. 2).
Bei den neuen Kronen fiel die Wahl auf Vollkeramik. Da der Patient zu Bruxismus neigte, fiel aufgrund der Festigkeit des Materials die Wahl auf IPS e.max® ZirCAD Prime.
Klinische Behandlung
Nach Entfernung der Metallkeramikkronen (VMK) wurden die Pfeilerzähne in Bezug auf Vitalität und eventuell noch vorhandene Karies untersucht. Es wurde festgestellt, dass alle Pfeilerzähne nicht vital und wurzelbehandelt waren. Besonders die Zähne 21 und 22 wiesen im Gegensatz zu den Zähnen 11 und 12 Verfärbungen auf (Abb. 3).
Eine unzureichende axiale Reduktion der ursprünglichen Pfeilerzähne führte zu einer Überkonturierung der Metallkeramikkronen. Diese wurde als wahrscheinlicher Faktor im Zusammenhang mit der festgestellten Gingivaentzündung und dem Verlust der Tüpfelung identifiziert. Die Krone an Zahn 12 war verglichen mit Zahn 22 kürzer, sodass ein ungünstiger Gesamteindruck durch den Kronenrandverlauf entstanden war (Abb. 4).
Kim und Park
Kim und ParkFür eine optimale Lösung wurden die Ränder so modifiziert, dass sie leicht infragingival zu liegen kamen. Anschließend wurden provisorische Kronen aus Polymethylmethacrylat (PMMA) hergestellt und ihre Ränder sorgfältig poliert.
Bei der Herstellung dieser provisorischen Kronen kam es darauf an, ein optimales Emergenzprofil herzustellen, das die Gingivakontur unterstützt. Eine zu ausgeprägte Kontur kann zu Gingivarezessionen führen, wohingegen sich in einer zu flachen Kontur Speisereste festsetzen können. Der Biotyp des Gewebes – ob dick oder dünn – war für diese Anpassungen entscheidend [12]. Unter Berücksichtigung all dieser Faktoren wurde die zervikale Kontur des PMMA schrittweise unterfüttert und in der Mundhöhle über mehrere Wochen angepasst. In jedem Fall sollte aber die biologische Breite nicht verletzt werden.
Nachdem mit den provisorischen Kronen ein positives Ergebnis erzielt worden war (Abb. 4), wurden die endgültigen Kronen angefertigt. Die korrekte Verwendung von PMMA trägt dazu bei, Gingivarezessionen zu verhindern und schräg stehende sowie scharfkantige Pfeilerzähne zu restaurieren [7].
Die schrittweise Verwendung dieses Materials diente dazu, die Interdentalpapillen zu rekonstruieren und für einen geeigneten Zahnzwischenraum mit korrektem Kontaktpunkt und idealer Kontur zu sorgen [16].
In der Vorbehandlungsphase wurde zudem vor der endgültigen Abformung an den Zähnen 21 und 22 ein Bleaching durchgeführt.
Anfertigung der Kronen im Labor
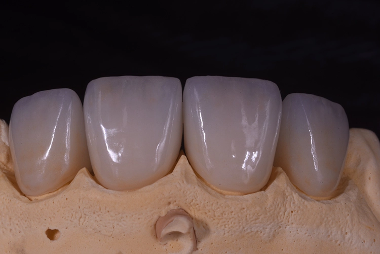
Für die Herstellung der Kronen wurde IPS e.max® ZirCAD Prime zusammen mit dem Schichtkeramikmaterial IPS e.max® Ceram (beides Ivoclar) verwendet.Aufgrund der Bruxismusneigung des Patienten und früherer Keramikfrakturen bei Metallkeramikrestaurationen entschied man sich, die Palatinalfläche unverblendet zu belassen; vestibulär wurde das Zirkoniagerüst verblendet.
Beim Aufbauprozess wurde die Dentinschicht aufgetragen und danach Mamelon-Pulver (lachsfarben) zur weiteren Charakterisierung der Mamelonform nach dem Cut-back angewendet. Anschließend wurden Opal Effect 1 und Transpa Insical 1 (beides Ivoclar) verwendet, um den Inzisalbereich zu schichten und zu brennen. Eine 2. Schicht mit Opal Effect 1 (Ivoclar) sollte die Kronen konturieren. Im mesialen und distalen Bereich der Kronen wurde Opal Effect 2 aufgetragen. Zuletzt sorgte das Auftragen von Glasurpaste und -flüssigkeit für ein glänzendes Finish, das mechanisch poliert wurde, um das gewünschte Ergebnis zu erzielen (Abb. 5 bis 13).
Kim und Park
Kim und Park
Kim und Park
Kim und Park
Kim und Park
Kim und Park
Kim und Park
Kim und Park
Kim und ParkErgebnis
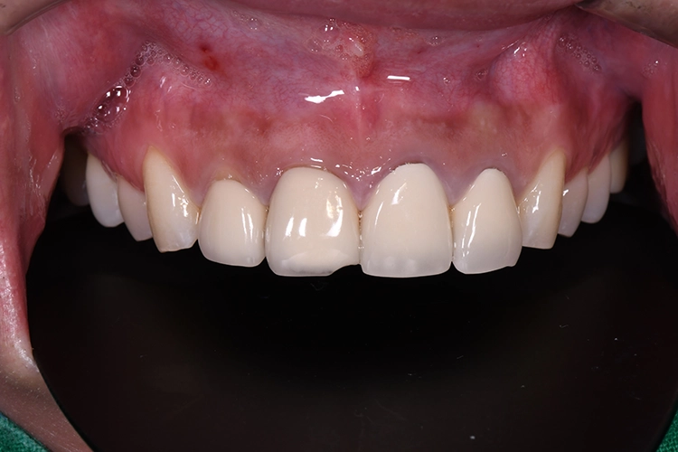
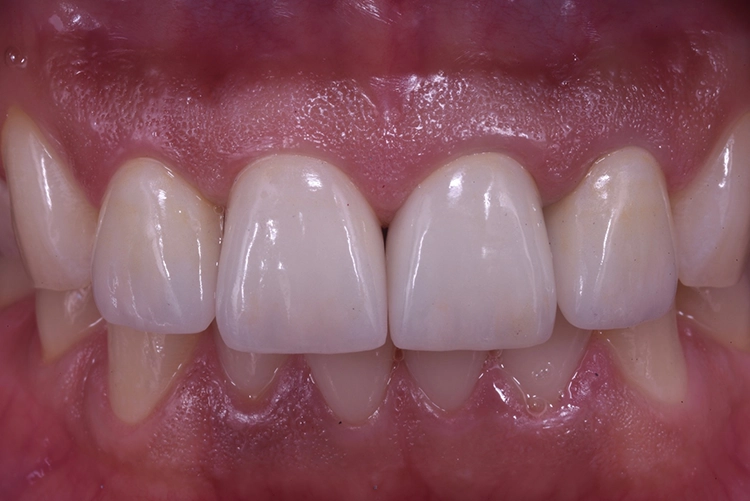
Die Kronen ergaben ein optisch ansprechendes Ergebnis, das nahtlos mit der gesunden rosafarbenen Gingiva harmonierte und nicht den dunklen Farbton aufwies, der oft mit Kronen in Verbindung gebracht wird. Außerdem wurde eine ideale Gingivastruktur erreicht, die durch markante Gingivaränder, interdentale Furchen und konische interdentale Papillen gekennzeichnet ist [2]. Aufgrund ihrer hohen Festigkeit ist davon auszugehen, dass die Kronen dem Bruxismus des Patienten standhalten und sowohl Haltbarkeit als auch Langlebigkeit gewährleistet sind (Abb. 14 bis 18).
Kim und Park
Kim und Park
Kim und Park
Kim und Park
Kim und Park
Kim und Park
Entdecke CME Artikel 





Keine Kommentare.