|
Getting your Trinity Audio player ready...
|
Fallbeispiel
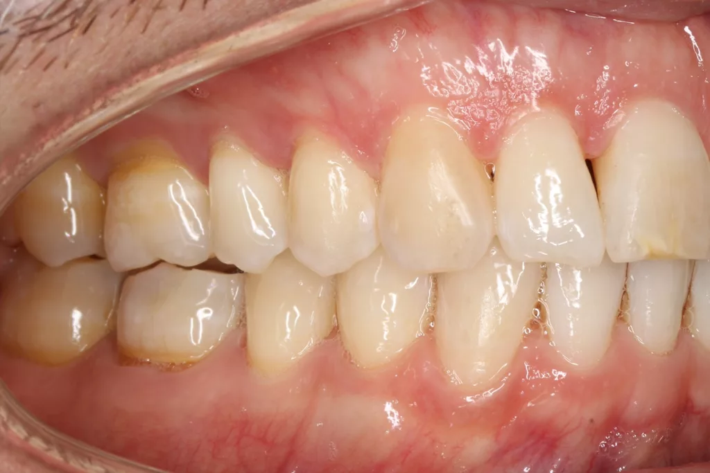
Der Patient stellte sich mit den folgenden Symptomen vor: Er beschrieb das Gefühl, nicht genug Platz für seinen Unterkiefer in der sagittalen Ebene zu haben und hatte sich angewöhnt, seine Unterkieferfront stetig gegen die Oberkieferfront zu drücken. Dies beschrieb er als „sehr unangenehm und anstrengend”. Bei Palpation war der M. masseter druckdolent, hypertroph und erhärtet.
Die aktive Mundöffnung lag bei 38 mm, passiv ließ sich das auf 42 mm erweitern. Es gab statische Frontzahnkontakte in zentrischer Relation. Die Inklination der Oberkieferinzisivi war größer als 90° im Verhältnis zur Okklusionsebene. Es waren bereits eine deutliche Attrition im Bereich der Schneidekanten der Oberkieferfront sowie eine Protrusion der Unterkieferinzisivi aufgrund von tertiärem Engstand zu verzeichnen.
Klinische Fallplanung
Zunächst wurde der Patient mit dem TRIOS 4 Scanner intraoral gescannt. Es wurden 8 kieferorthopädische Fotos aufgenommen. Diese Daten wurden unter kieferorthopädischen, funktionalen und ästhetischen Aspekten analysiert [1–4] und in das ClearCorrect Portal hochgeladen, wo wenige Tage später eine Fallplanung vorgeschlagen wurde.
Das Hauptziel war es, die Oberkieferfront, die aufgrund des tertiären Engstandes retrudiert war, wieder aufzurichten sowie durch die Retrusion und Intrusion der Unterkieferfront so viel Overjet zu schaffen, dass der Unterkiefer durch Autorotation in eine bequemere Position gelangen kann. Gleichzeitig wurde durch bukkalen Wurzeltorque der oberen Prämolaren der Oberkiefer leicht expandiert, um einen ästhetischen Bukkalkorridor zu erlangen und dem Unterkiefer etwas mehr Platz in der Transversalen zu gewähren [4] (Abb. 1).
Kieferorthopädisches Vorgehen
Die ersten Aligner wurden eingesetzt. Es waren insgesamt 19 Aligner-Sets für die erste Phase der Behandlung vorgesehen. ASR wurde in Höhe von 2,4 mm im Unterkiefer appliziert, um genug Overjet durch Retrusion der Unterkieferfront zu gewährleisten und gleichzeitig den Frontzahnengstand zu beheben.
Der Oberkiefer benötigte nicht mehr als 0,5 mm ASR. Es wurden vertikale Attachments auf 14, 13, 21, 24, 25, 33, 31, 32 angebracht, um Rotationen und bukkalen Wurzeltorque der Inzisivi und Prämolaren zu ermöglichen, wodurch der Zahnbogen wieder als Ganzes aufgerichtet werden sollte. Es wurde nur ein horizontales Attachment auf 31 appliziert, um dessen Intrusion zu erleichtern (Abb. 2).
Rebecca KomischkeNach 19 Aligner-Stufen wurden alle bisherigen Attachments entfernt und für die Revision gescannt, um etwas mehr Overjet zu schaffen. Weitere 11 Aligner-Sets wurden geplant und vom Patienten getragen. Um Zahn 11 körperlich besser bewegen zu können, wurde ein 3 x 1 mm horizontales Attachment angebracht.
Weitere 0,9 mm ASR wurden im Unterkiefer durchgeführt, um die Unterkieferfront weiter zu retrudieren. Im Oberkiefer wurde lediglich 0,3 mm ASR zwischen Zahn 11 und 21 appliziert, um das verbleibende schwarze Dreieck zu schließen.
Die Revision sollte nie als Fehlversagen eingeordnet werden, sondern vielmehr als Möglichkeit, ein hundertprozentiges kieferorthopädisches Ergebnis für die Behandler/-innen und Patienten/-innen zu erreichen. Des Weiteren wurde in der Revisionsphase ein Bleaching durchgeführt, um ein ästhetischeres Ergebnis hinsichtlich der Zahnfarbe zu bewirken [5,6].
Ergebnis
Schon während der Initialphase der Behandlung gab der Patient an, dass sich sein Biss viel besser anfühle. Durch das seitliche Anheben des Bisses um 1,52 mm aufgrund der okklusalen Sperrung der Aligner verspürte der Patient sofortige Erleichterung. Nach der Revision hatte der Patient eine perfekte „Envelope of Function“, und die drei goldenen Regeln der Okklusion [8] sind in vollem Umfang umgesetzt worden:
- gleichmäßige statische Kontakte in zentrischer Relation (aber keine Frontzahnkontakte)
- sofortiges Disokkludieren der Seitenzähne bei der Protrusion
- freie Envelope of Function
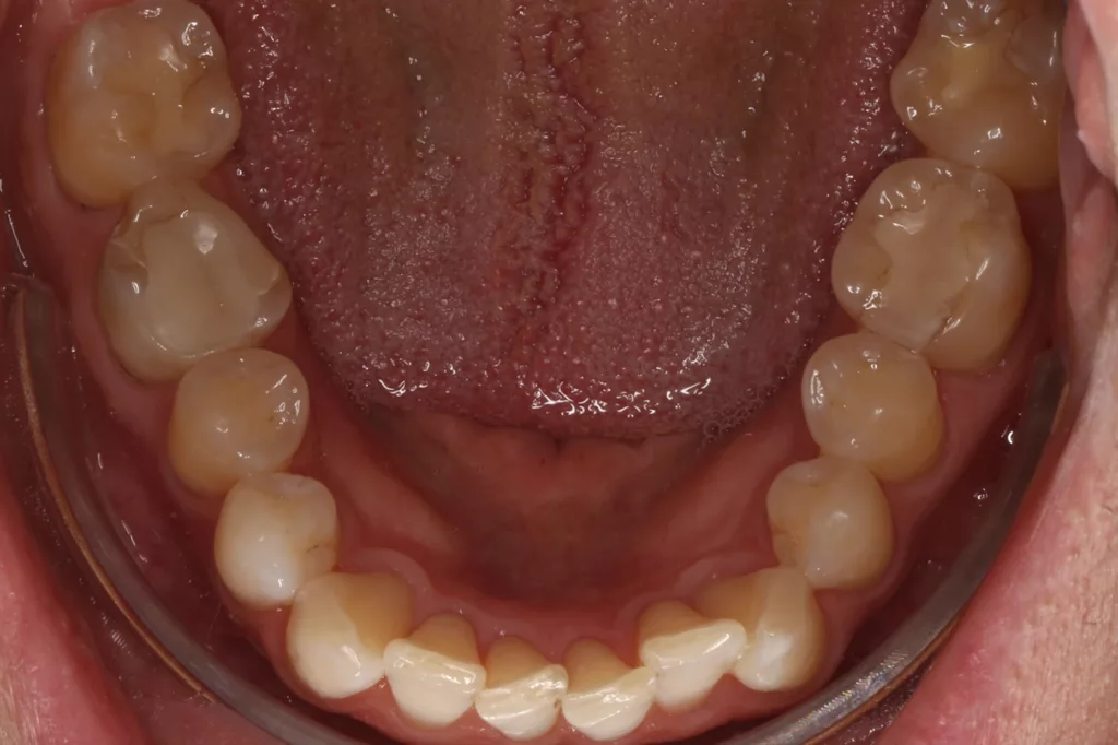
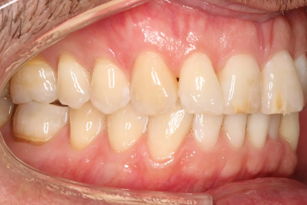
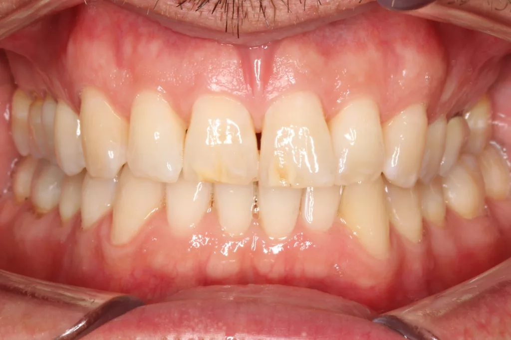
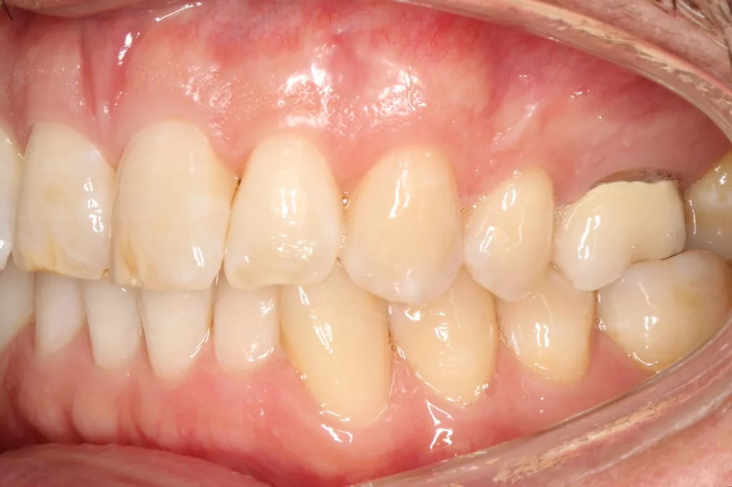
Dadurch war der Patient funktionell rehabilitiert, was eine Entlastung des Kiefergelenks sowie der Kaumuskulatur zur Folge hatte [9]. Gleichzeitig wurden die inzisalen Schmelzkanten durch die freie Envelope of Function vor übermäßiger Attrition geschützt [7]. Die aktive Mundöffnung stieg auf 42 mm, passiv auf 50mm (Abb. 3–5).
Diskussion und Fazit
Wie Quereshi und Ruiz sehr ausdrücklich beschrieben haben, kann die freie Envelope of Function nicht ignoriert werden [7,8]. Wenn wir als Behandelnde in jedem Aspekt unseres täglichen Tuns diesem Prinzip folgen, können Kiefergelenk, Kaumuskulatur und die inzisalen Schneidekanten dauerhaft geschützt werden.
Das Verständnis hilft uns auch, wenn wir kleine Frontzahnrestaurationen mit Komposit, aber auch große prothetische Maßnahmen durchführen, um diese möglichst langlebig zu gestalten. Eine Aligner-Therapie vor der konservierenden oder prothetischen Wiederherstellung der Frontzahnsubstanz kann helfen, lebenslange ästhetische und funktionelle Ergebnisse zu gewährleisten. Bei jüngeren Patienten/-innen, kann eine rechtzeitige Therapie vor Attrition schützen und somit aufwendige Restaurationen vermeiden, wenn früh genug erkannt wird, dass die freie Envelope of Function nicht gegeben ist.
Entdecke CME Artikel



















Keine Kommentare.