Alles begann an einem nass-grauen Herbsttag 2023 im Spessart. Die Zeitplanung für diesen Fall und diese Patientin stand und schien perfekt: zuerst die Abformung im März, dann die Rohbrandeinprobe und schließlich die Fertigstellung vor den Osterfeiertagen.
Dann war es endlich so weit: Patientin Julia war aufgeregt, sie wollte schon fast wieder kneifen. Zahntechniker Romeo spürte dies, denn instinktiv schickte er ihr noch am Vorabend eine einfühlsame SMS: „Morgen 9 Uhr Zahnarzttermin“. Am Morgen noch schnell den PC hochfahren und schauen, was es Neues gibt … es dauert … nichts geht, der Cursor lässt sich nicht bewegen. Jetzt wird es Zeit zu gehen. Ein „Neustart“ muss her. Wenn ich zurückkomme, wird wohl wieder alles laufen wie geschmiert. Ab ins Auto, nach einer Ehrenrunde um die Praxis finde ich sie auch wieder.
Julia ist noch nicht da, das ist gut für den Eindruck, den ich hinterlassen möchte. Schließlich betritt sie das Wartezimmer, ein Patient nach dem anderen wird in die Behandlungszimmer verteilt. Wir sind mit 20 Minuten Verspätung noch im Toleranzbereich. Ich meine, einen etwas spöttischen Ton zu hören, als der Zahnarzt meint: „Ah, mit seelischem Beistand, zum Händchenhalten.“ Damit spielt er auf meine ihm ungewohnte Anwesenheit an.

Julia hatte tatsächlich Angst – Angst, noch einen weiteren Zahn zu verlieren. Es soll gut werden, lange halten und gesund soll es auch sein. Meiner Bitte, ich würde die Farbe gerne vor der Präparation nehmen, wird entgegnet: „Ich spritze ein, dann können Sie die Farbe nehmen und die Assistentin macht Alginatabformungen.“ Und schon ist er weg. Ich hole den Farbring raus und schieße ein Foto. Es ist A3,5. Eigentlich A4 mit ein bisschen Schneide von A3. Die Kompositfüllung vorher war A4 ohne Schneide (Abb. 1).
Abenteuer Abformung
Die Löffel werden ausgepackt, ein Rimlocklöffel ist mit von der Partie. Das freut den engagierten Zahntechniker und ich zeige diese Freude in der Hoffnung, dass die Assistentin noch weitere aus der Schublade zaubert. Leider nicht – es folgen die mit den 1.000 kleinen Löchern! „Nehmen Sie die Abdrücke mit ins Labor?“, fragt sie mich. „Ja, deswegen bin ich da.“ „Wir gießen sie immer selbst aus.“ „Ja, aber jetzt kann ich sie ja gleich mitnehmen (einen Superhartgips verwenden, unter Vakuum anmischen, auf einem Rüttler blasenfrei ausgießen, in einem Sockelformer aushärten und anschließend gleich trimmen). Ansonsten müsste ich noch einmal kommen.
Machen Sie bitte für mich auch eine Abformung des Oberkiefers.“ „Sie meinen zwei? Eine für unser Provisorium und für was ist die zweite?“ „Ja, einfach nur als Situationsmodell.“ „Gießen Sie das auch aus?“ „Ja.“ „Den Gegenkiefer auch?“ „Ja, und die Präparationsabformung nehme ich auch mit.“ Die Dame von der Anmeldung mit dem Headset stürmt herein. „Sollen wir die Abformungen ausgießen?“ „Nein, ich nehme alle drei Abformungen mit und gieße sie im Labor aus.“ Und schon ist sie weg. Dann kommt sie wieder, bringt eine Abformung zurück. „Die gießen Sie aus?“, fragt sie mich unschuldig. „Ja klar, ich nehme dann gleich alles mit.“ Dann ist sie wieder verschwunden und wir sind fertig.
Ich muss den Raum verlassen, denn der Zahnarzt möchte allein bohren. Bevor ich ins Wartezimmer gehe und meinen Koffer zusammenpacke, eine letzte Frage: „Entschuldigen Sie, einen Gesichtsbogen brauchen wir nicht, oder?“ Den hatte ich vorsorglich eingepackt, aber hier geht es ziemlich flott zu. Mit einer Verwunderung in der Stimme kommt das Feedback: „Nein, für einen 4er machen wir das nicht.“ Ich brauche das auch nicht, denke ich mir und verdrücke mich zum Entspannen in den nun gänzlich leeren Wartebereich. Nach einer Stunde zwanzig kommt Julia vollkommen desorientiert durch die Türe und lädt mich zu ihrem Geburtstag ein. Die Türe wird erneut aufgerissen, die Dame mit dem Headset reicht mir hastig eine Tüte mit Abformungen und den Auftragszettel (Abb. 2).

Ich erfahre, dass die Rohbrandeinprobe gestrichen ist, weil da die Praxis im Urlaub ist. „Vor den Osterferien?“, frage ich. Keine Antwort. Ich schweige, denn ich denke etwas langsam und sorgfältig und ich möchte mir erst einmal das Modell ansehen. Die Abformung ist sehr interessant. Bukkal geht es tief, da eine Füllung an dieser Stelle war, aber palatinal hört sie auf Gingivahöhe auf. Um Impregum zu sparen, wurde erst eine Art Korrekturabformung aus additionsvernetztem Knetsilikon hergestellt – sehr interessant. Ich hätte gerne nicht nur eine Rohbrandeinprobe, sondern auch eine Gerüsteinprobe, denn ich will ja, dass es passt. Was soll’s, ohne diese Termine spare ich wenigstens CO2.

Julia und ich schreiten durch die Türe und stehen nun direkt im Mittelpunkt des kleinen Eingangsbereichs, weil genau hier die Garderobe platziert ist. Dieser Platz ist strategisch genial: Hier muss jeder vorbei. So kommt es, dass sich der Chef prompt in jenem Moment ebenfalls vorbeiquetschen muss. „Ach bitte, die Präparation endet palatinal genau mit der Gingiva.“ (Abb. 3) „Ich diskutiere nicht mit Ihnen über die Präparation. So wie’s ist, ist es.“ Eine ausführlichere Nachfrage hätte auch keine genauere Antwort gebracht, eher nur Ärger provoziert.
Manche Zahnheilkundler wollen tatsächlich mit mir das Modell diskutieren. Aber es sieht hier stressig aus. Vor allem, weil die Patienten gleich ganz früh zur selben Zeit kommen. Anscheinend versteht hier niemand, warum Julia so einen großen Aufwand für ihre Prämolaren betreibt, obwohl sie bereit ist, viel Geld dafür auszugeben. Julia verriet mir anschließend, dass der Zahnarzt sie fragte, ob wir beide ein Paar seien. Ja, so viel Aufwand für einen kleinen Menschenzahn. Es ist schon mein zweiter Besuch in der Praxis deswegen. Vielleicht sollte ich doch über die Einladung zum Geburtstag nachdenken?
Technische Tücken
Ab ins Auto. Hier in der Gegend gibt es eine gute Metzgerei. Ein Brötchen mit Schnitzel gönne ich mir sofort, mein erstes Frühstück. Endlich bin ich wieder in meinem Labor. Den PC streichle ich liebevoll über das Touchpad und er wacht auf … und … und … ich kann mich nicht anmelden. Ich bringe die Abformungen in die Gipsküche und streichle zwischendurch den PC und es tut sich … nichts. Also schaue ich mir den Auftragszettel an. Auch hier: nichts, nur der Name der Patientin, den ich ja schon kannte. Ich schaue mir die Tüte mit dem Fleisch noch einmal genauer an, vielleicht ist da doch ein zweites Brötchen drin? Auch nichts, nur auf dem Kassenbon steht ein Leberkäsweck Pizza – den hatte ich aber nicht bestellt? Es ist 11:25 Uhr und ich habe heute noch nichts geschafft. Nicht einmal E-Mails konnte ich abrufen und auch nicht den Anrufbeantworter abhören. Denn es ist hier alles digital.
Nach 3 Stunden 28 Minuten freue ich mich über ein erstes Lebenszeichen meines PCs. Er fordert mich auf, mich anzumelden, mein Passwort einzugeben. Firefox kann geöffnet werden. Vier Fenster mit 104 Tabs starten und ich beginne, mich bei den verschiedensten Portalen neu einzuloggen. Um 11:58 Uhr bin ich damit fertig.

Die Zeit läuft, für diese Krone haben sich jetzt schon genau 560 Minuten summiert, und zwar bis zum Modell. Der Vorwall verrät es: Mein Versprechen gegenüber der Patientin, eine richtig tolle Krone zu schichten, werde ich wohl nicht einhalten können (Abb. 4). Wäre vielleicht ohnehin etwas überzogen, allerdings würde es mir Freude bereiten.

Der Termin für die Rohbrandeinbrobe wurde ohnehin gestrichen. Es ist wohl zu unwirtschaftlich, für eine einzelne Krone ordentlich zu arbeiten. In diesem Fall für Julias Krönung, für ihren 4er, für den sie sich so etwas Besonderes gewünscht hatte. Ach was soll’s, machen wir die Krone halt gleich fertig (Abb. 5). Das dachte sich wohl auch die Assistentin, denn wenn sie sagt, dass die Rohbrandeinprobe gestrichen wird, meint sie wohl, dass gleich die Fertigstellung erfolgen soll. Es sollte also eigentlich der Termin mit der Fertigstellung wegfallen. Tja, in Zukunft hake ich besser lange nach, bis ich ein konkretes Datum bekomme.
Die Krönung
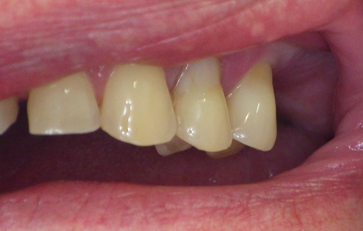
Die Osterzeit ist angebrochen und der Urlaub brachte die ersehnte Erholung. Das Leben fängt neu an und Julia hat ihren großen Tag. Der Zahnarzt öffnet die Tür mit Elan und das Erste, was er sagt und auch tut: „Dann schaue ich mir mal meine Präparation an. Oh, Sie haben es ja doch gleich fertig gemacht.“ Etwas verlegen antworte ich, denn ich bin es als Handwerksmeister gewohnt, mich dem Akademiker unterzuordnen: „Ja, ich dachte mir, ich mache es gleich fertig, da es sich nun schon seit November hinzieht …“ Dass ich ihm die Arbeit schon hinschmeißen wollte, verkneife ich mir aus finanztaktischen Gründen.
Es ist vollbracht, die Krone ist zementiert. Klassisch mit Harvard-Zement, genial einfach und der Biss wurde sogar in einer aufrechten (Sitz-)Position eingeschliffen (Abb. 6). Die durch das Schleifen entstandenen Sollbruchstellen wurden anschließend gummipoliert. Dorsal fehlen die Molaren, die Rohbrandeinprobe fehlte und auch sonst …

Vom ersten Treffen in der Praxis bis zur Erstellung der Monatsrechnung (korrekt Sammelaufstellung) sind über 22 Arbeitsstunden ins Land gegangen, das 97%ige Edelmetall schlägt mit seiner zweimaligen Preisanpassung seit der Angebotserstellung mit 97,40 €/gr. zu Buche. Man moniert, dass 1.000 € schon ein stolzer Preis seien für ein Kassenkrönchen. Wenn ich mir die undefinierte Präparationsgrenze, den geringen Platz für die Verblendung und des Metallgerüstes (zusammen 1 mm) ansehe, dann fände ich für diesen Fall eine digitale Abformung auch ausreichend und eine monolithisch gefräste Krone zweckmäßig für diesen devitalen Zahn.
Dem Behandler drücke ich noch einen Flyer von meinem OK-4er im Wald in die Hand, bevor er verschwindet. Denn die Verwunderung über den Aufwand für einen Prämolaren ist in der Praxis groß und sollte noch lange Eindruck hinterlassen. So passt dazu das Denkmal im Wald mit entsprechender Erläuterung über die Funktion, Bedeutung und Wichtigkeit dieses einzigartigen Zahnes des Kauorgans.
Montagfrüh, kaum war der letzte Zementrestkrümel ausgespuckt, kommt ein Anruf aus der Zahnarztpraxis. Die Rechnung soll ich schon mal vorab per Fax schicken, damit sie diese gleich fertig machen können.
Ja, natürlich, wird erledigt.
Keine Kommentare.