|
Getting your Trinity Audio player ready...
|
Mit dem Fortschritt der digitalen Technologien hat die Dentalfotografie an Bedeutung gewonnen. Sie ermöglicht es Zahnärzten und -ärztinnen, den Zustand der Patientinnen und Patienten detailliert zu analysieren und Behandlungspläne zu erstellen, selbst ohne deren direkte physische Anwesenheit.
Die intraorale und extraorale Fotografie lässt sich in zwei Hauptkategorien unterteilen:
Klinische Fotografie
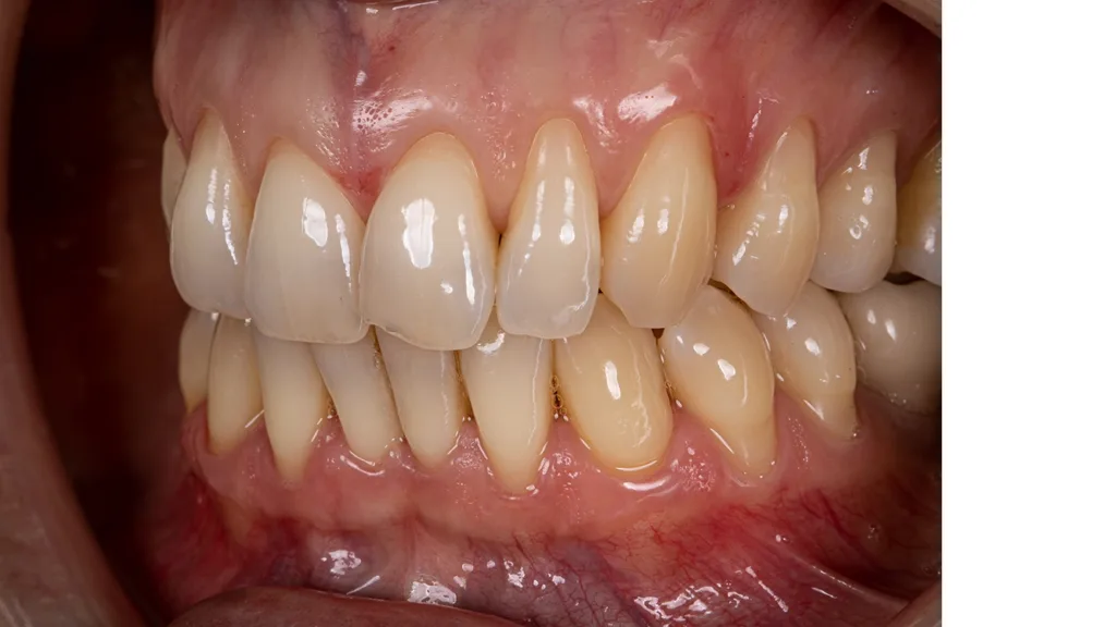
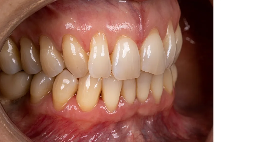
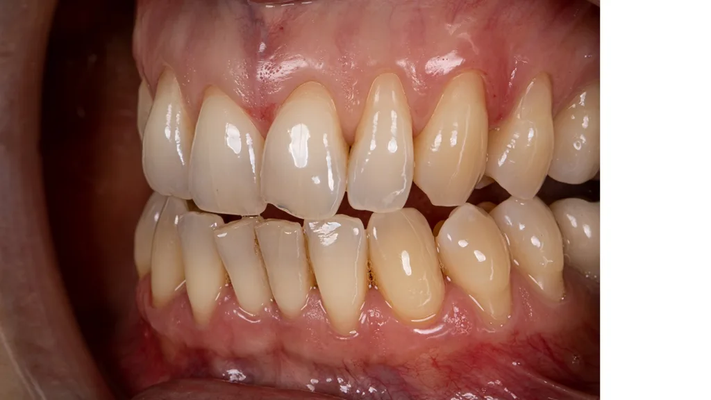
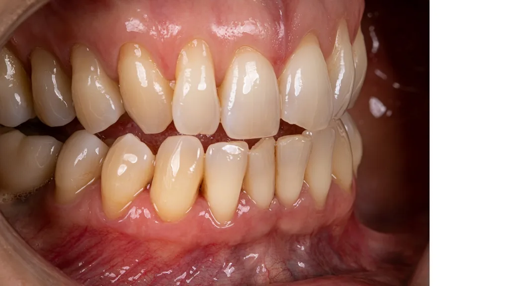
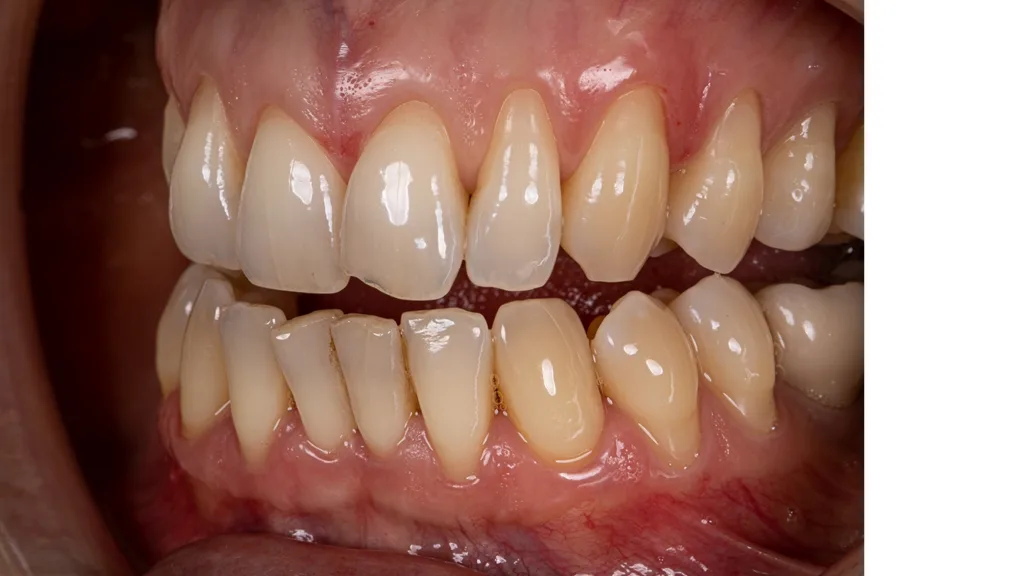
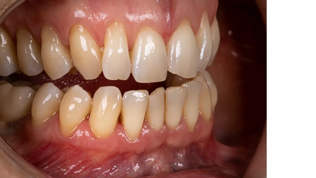
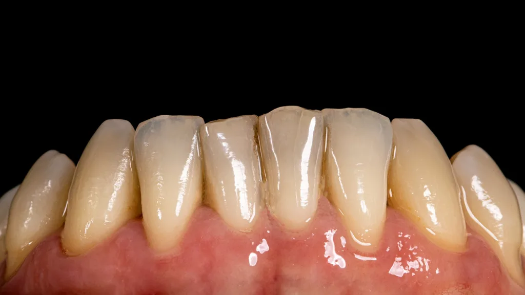
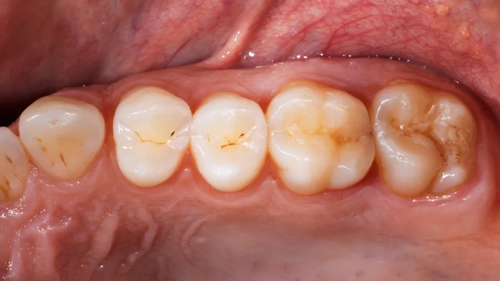
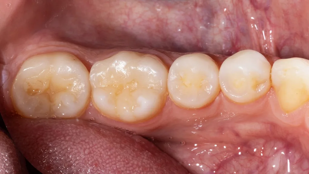
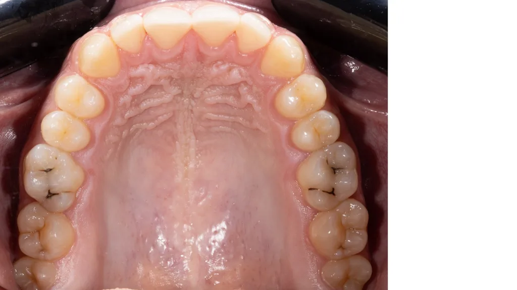
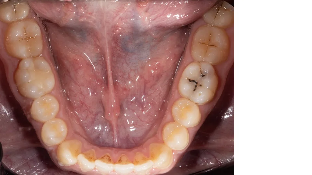
Bei der klinischen Fotografie liegt der Fokus auf intraoralen Aufnahmen, insbesondere in den engen Bereichen der Mundhöhle wie den hinteren Zähnen (Abb. 37–43). Diese Aufnahmen sind oft eine Herausforderung und finden Anwendung in den Bereichen Endodontie, Implantologie und Chirurgie. Um eine gleichmäßige Ausleuchtung der Mundhöhle zu gewährleisten, wird empfohlen, Dentalspiegel, Retraktoren und einen Ringblitz zu verwenden.
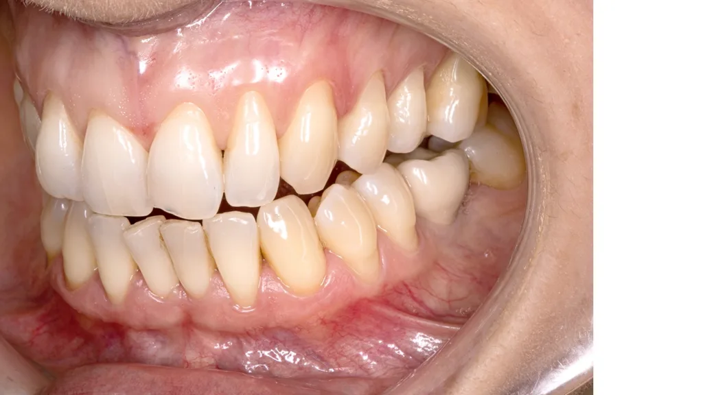
Häufige Fehler bei der intraoralen Fotografie sind ein falscher Winkel (Abb. 44) und eine falsche Rahmung (Abb. 45), die zu verzerrten Darstellungen führen. Zudem können Unterbelichtung (Abb. 46) und Überbelichtung (Abb. 47) die Bildqualität beeinträchtigen, indem Details verloren gehen oder überstrahlt werden. Extraorale Ansichten helfen, das Gesichtsprofil einzuordnen und auch Lachlinien zu überprüfen (Abb. 48–51). Einer der häufigsten Fehler in der extraoralen Fotografie ist eine seitlich abweichende Kopfhaltung, die für die Dokumentation unbedingt vermieden werden sollte (Abb. 52).
Prothetische/kosmetische Fotografie
Die prothetische/kosmetische Fotografie kombiniert intraorale und extraorale Aufnahmen, um eine umfassende Dokumentation sowohl der ästhetischen als auch der funktionalen Merkmale der Zähne zu erhalten. Diese Art der Fotografie ist besonders wichtig für prothetische Restaurationen wie Implantate, Veneers und Kronen sowie für kosmetische Behandlungen wie Bleaching. Hierbei kommen Zahnspiegel, Retraktoren und Kontrastplatten zum Einsatz, unterstützt durch seitliche Blitze oder Ringblitze in Kombination mit kleinen Softboxen oder Kreuzpolarisationsfiltern. Diese Ausrüstung ermöglicht es, die spezifischen Farbmerkmale und Oberflächendetails der Zähne optimal darzustellen.
Künstlerische Porträtfotografie
„Ein Porträt entsteht nicht in der Kamera, sondern auf beiden Seiten davon.“ – Edward Steichen
Die künstlerische Porträtfotografie ist eine wunderbare Möglichkeit, die Persönlichkeit einer Person oder Gruppe durch gezielten Einsatz von Licht, Hintergründen und Posen einzufangen. Obwohl sie kein Teil der Dentalfotografie ist, kann sie angehende Fotografen motivieren und inspirieren. Porträts können sowohl künstlerisch als auch geschäftlich genutzt werden. Eine der grundlegendsten und effektivsten Beleuchtungstechniken in der Porträtfotografie ist die sogenannte Dreipunktbeleuchtung, die aus drei verschiedenen Lichtquellen besteht: Hauptlicht, Fülllicht und Gegenlicht. Das Hauptlicht, auch Key Light genannt, wird schräg vor dem Motiv positioniert und sorgt für die grundlegende Ausleuchtung. Es verleiht dem Motiv Form und hebt besondere Merkmale hervor. Abstand und Winkel des Lichts steuern dabei die Tiefe der Schatten und die Lichtintensität.
Das Fülllicht wird auf der gegenüberliegenden Seite des Hauptlichts platziert und reduziert die durch das Hauptlicht erzeugten Schatten. Je nach Intensität eliminiert das Fülllicht entweder die Schatten vollständig oder schwächt sie nur ab. In manchen Fällen kann ein Reflektor anstelle einer zweiten Lichtquelle verwendet werden, um die gleiche Wirkung zu erzielen.
Das Gegenlicht, auch Haarlicht genannt, wird hinter dem Motiv eingesetzt, um es vom Hintergrund abzuheben und Details wie die Haare hervorzuheben. Es kann zusätzlich genutzt werden, um künstlerische Effekte wie Lichtreflexionen zu erzeugen. In der Porträtfotografie werden häufig zwei Beleuchtungsstile verwendet: die High-Key- und die Low-Key-Beleuchtung. Die High-Key-Technik erzeugt helle, schattenfreie Bilder, bei denen der Hintergrund oft heller als das Motiv ist. Hier kommen alle drei Lichtquellen der Dreipunktbeleuchtung zum Einsatz, um ein gleichmäßig ausgeleuchtetes Bild zu schaffen (Abb. 53).
Im Gegensatz dazu setzt die Low-Key-Beleuchtung starke Kontraste und betont Schatten sowie dunkle Bereiche. Bei dieser Technik wird oft nur eine Lichtquelle verwendet, um einen dramatischen und intensiven Effekt zu erzielen, bei dem das Motiv vor einem dunklen Hintergrund besonders hervorsticht (Abb. 54). Neben der richtigen Beleuchtung spielt auch der Bildausschnitt eine wichtige Rolle. In der Porträtfotografie kann dieser den gesamten Körper, Teile des Körpers – wie unterhalb des Knies, die Mitte des Oberschenkels, die Taille oder die Schultern – umfassen oder sich auf Nahaufnahmen konzentrieren (Abb. 55).
Dentale Produktfotografie
Die Produktfotografie ist eine Form der kommerziellen Fotografie, deren Ziel es ist, ein Produkt optimal darzustellen. Hierfür müssen Faktoren wie Ausrüstung, Beleuchtung, Hintergrundmaterialien, Fokus, Tiefenschärfe, Kamerawinkel und Nachbearbeitung sorgfältig berücksichtigt werden. Es gibt viele Arten der Produktfotografie – von einfachen Studioaufnahmen über Produktfotos in Aktion, Gruppenbilder bis hin zu Aufnahmen von Verpackungen oder Kunstwerken. Sie sind sowohl online als auch in gedruckten Katalogen weit verbreitet, wobei der Druckbereich in den vergangenen Jahren zurückgegangen ist.
In der Dentalbranche hat die Fotografie von Dentalprodukten eine neue Bedeutung gewonnen (Laborfotografie), insbesondere durch die Verbreitung in sozialen Medien wie Facebook, Instagram und Pinterest. Es gibt zwei Hauptkategorien: die Fotografie von Laborfällen (Abb. 56) und die Fotografie industrieller Dentalprodukte (Abb. 57), oft kombiniert mit Laborarbeiten, um das Produkt und dessen Ergebnisse zu zeigen (Abb. 58).
Oft sieht man hervorragende Laborarbeiten, die jedoch durch mäßige bis schlechte Fotos nicht richtig zur Geltung kommen. Das liegt häufig nicht an der Ausrüstung, sondern an einer falschen Platzierung, Beleuchtung oder dem Kamerawinkel. Andererseits kann auch eine durchschnittliche Arbeit mit dem richtigen Setup beeindruckend dargestellt werden. Ein gutes Foto ist die beste Visitenkarte eines Unternehmens.
In der Fotografie sollte man immer mit einem kleinen Storyboard arbeiten: Was ist das Objekt? Was ist das Ziel? Wie soll es fotografiert werden (Technik und Beleuchtung)? Erst dann kommt der Klick. Beispielsweise könnte das Thema eine Keramikbrücke mit Zahnfleisch sein. Dabei sollte man zunächst entscheiden, ob die Farbdetails oder die morphologische Oberfläche hervorgehoben werden sollen. Die richtige Wahl von Kameraeinstellungen, Beleuchtungsintensität und Kamerawinkel ist entscheidend (Abb. 59).
Die Dentalproduktfotografie findet in mehreren Bereichen Anwendung. Sie wird zur Dokumentation von Laborarbeiten genutzt, indem Arbeitsschritte detailliert festgehalten werden (Abb. 60), und zur Archivierung fertiger Laborprojekte (Abb. 61). Zudem spielt sie eine wichtige Rolle bei Werbung und Marketing für Labore und die Dentalindustrie. Darüber hinaus kann sie auch als Ausdruck von Kunst eingesetzt werden, um ästhetische Aspekte von Dentalprodukten kreativ darzustellen.
Für die Produktfotografie ist eine gewisse Ausrüstung unverzichtbar: Im Bereich Licht sind ein Studioblitz mit drahtlosem Sender, ein Systemblitz und Dauerlicht-LEDs essenziell. Um das Licht optimal zu lenken und zu streuen, werden Softboxen und Reflektoren als Lichtmodifikatoren eingesetzt. Bei den Objektiven sind das Makroobjektiv mit 100 mm oder 60 mm Brennweite und einem Vergrößerungsverhältnis von 1:1 sowie das Supermakroobjektiv mit einem Vergrößerungsverhältnis von 2:1 bis 5:1 entscheidend für detailreiche Aufnahmen. Zusätzlich spielt das Zubehör eine wichtige Rolle, um die Kamera und das Licht stabil und flexibel zu positionieren. Dazu gehören ein Stativ für Kamera und Lichter, ein Kugelkopf für das Stativ, Hintergrundmaterial (in Weiß, Schwarz oder Grau), ein Haltearm oder Flexi, verschiedene Klemmen, eine Makrofotografieschiene für die Focus-Stacking-Technik, Verlängerungsrohre als Alternative für Super-Makro-Bilder und Klebepaste für die Fixierung von Objekten.
Fazit
Die Frage, ob Dentalfotografie ein nützliches Werkzeug ist oder nicht, lässt sich definitiv mit „Ja“ beantworten. Dokumentation, Archivierung, Kommunikation, Werbung und Recherche durch Fotografie sind nur einige der wertvollen Informationen, die sie uns in unserer täglichen Arbeit liefert.
Das Erlernen der Dentalfotografie erfordert drei Dinge: Ausdauer, Geduld und Zeit zum Üben. Wiederholbarkeit mag langweilig erscheinen, aber in der Dentalfotografie führt sie zu besseren Ergebnissen und spart wertvolle Zeit. Die Technik, die ich in der Fotografie und damit auch in der Dentalfotografie anwende, besteht darin, die Beleuchtung zu steuern und alle ihre Eigenschaften optimal zu nutzen. Man muss das Licht zuerst lernen und verstehen, um es schließlich kontrollieren zu können. In der Dentalfotografie, wie auch in diesem Artikel, wurden 95% der Bilder mit den gleichen Kameraeinstellungen aufgenommen. Diese Methode wähle ich, um mich auf die Beleuchtung zu konzentrieren und nicht auf die Kamera, die letztlich nur das aufzeichnet, was das Auge sieht.
Ihr eigenes Labor-Produktfoto ist die beste Visitenkarte. Nutzen Sie Ihre Kreativität, um aus dem einfachsten Produkt eine fantastische Komposition zu machen. Und vergessen Sie nicht: „Für gute Fotos gibt es keine Regeln, es gibt nur gute Fotos … Ihre eigenen Fotos.“
Erfahren Sie mehr zum Thema Dentalfotografie: Dentalfotografie – Werkzeug oder Luxus? | Dentalwelt
Entdecke CME Artikel











































Keine Kommentare.