Für die hier dargestellte Meisterarbeit liegt folgende Ausgangssituation vor: Im Oberkiefer ist der Zahn 17 noch erhalten, die Zähne 16, 13, 24 und 25 wurden präpariert. Die Schaltlücke 14 bis 15, die Frontzahnlücke 12 bis 23 und der Freiendsattel 25 und 26 sind zu ersetzen. Bei der Arbeitsplanung liegt der Fokus auf gutem Halt, perfekter Passung und Individualität.
Die präparierten Zähne lassen dabei viele Möglichkeiten offen, was letztlich zu der Idee führt, verschiedene Verankerungselemente mit Parallelpassung zu verwenden. So entstand der Entwurf einer Kombiarbeit aus festsitzendem und herausnehmbarem Zahnersatz. Vorgesehen ist im Einzelnen folgende Versorgung: Zahn 16 erhält eine EMF-Vollgusskrone mit Schubverteilungsarm, Interlockfräsung und mesialem SD-Geschiebe.
Das Primärteil über Zahn 13 wird ein Teleskop, während die beiden Stümpfe 24 und 25 mit in Keramik teilverblendeten Kronen versorgt werden. Distal kommen ein MK1-Riegel sowie 2 Kronen mit Schubverteilungsarmen und Interlockfräsungen zum Einsatz. Die Zähne 14–15, 12–23 und 26–27 erhalten eine grazile Modellgusslösung.
Modellation der Primärteile
Nach der Kieferrelationsbestimmung erfolgt eine Modellanalyse, um die rar gesäten Anhaltspunkte durch den einzigen vollanatomisch verbliebenen Zahn 17 mit weiteren Orientierungshilfen zu ergänzen. Ich entscheide mich zur Voraufstellung der Front mit Kunststoffzähnen (Abb. 1 und Abb. 2), was das Übertragen von Relationen wie Zahnbogen und Zahnform auf die zu modellierenden Primärteile – insbesondere in Bezug auf Zahn 24 und 25 – vereinfacht.
Michelle Wegerle
Michelle Wegerle
Die Bisshöhe ist durch den noch vorhandenen Zahn 17 vordefiniert. Nach dem Käppchenziehen starte ich mit der Modellation des 6ers. Ich wende die Aufwachstechnik nach Peters an.
Auf diese Weise werden ausreichend Freiräume für die Kieferbewegungen geschaffen. Zuerst gilt es, die Kontakte der Arbeitshöcker aufzuwachsen, dann die bukkalen Höcker. Um mich an die Dimension und Ausdehnung heranzutasten, beachte ich die Dimension des 7ers (der 6er ist deutlich größer), die Position des Antagonisten im Unterkiefer und die Ausdehnung auf dem Situationsmodell.
Auch die Kaufläche wird nicht einzig nach Lehrbuch modelliert, sondern an die gegebene Situation angepasst. Eine regelmäßige Kontrolle der Kieferbewegungen erleichtert Freiräume einzuschätzen und verhindert ein Wegbrechen der Modellation. Steht diese und sind alle Feinheiten eingearbeitet, geht es an die Modellation der verblockten Kronen auf 24 und 25.
Auch hier richte ich mich möglichst nach den Gegebenheiten und der Voraufstellung der Frontzähne. Um später keine Kompromisse eingehen zu müssen, kalkuliere ich die geplante Keramik bereits mit der Voraufstellung in einem schönen Zahnbogen mit ein und modelliere zudem die beiden Kronen vollanatomisch, selbst wenn später die vestibulären Flächen wieder reduziert werden. Nur so ist es möglich, die ganze Anatomie richtig zu beurteilen.
Michelle Wegerle
So bekommt die Keramik später besseren Halt. Für das Primärteleskop auf Zahn 13 wird ebenfalls ein Käppchen gezogen und eine Mindeststärke von 0,5–1 mm aufgetragen. Die nächsten Schritte sollten möglichst zeitnah erfolgen.
Wachs hat die Eigenschaft, beim Erkalten oder längerer Standzeit zu schrumpfen. So kann ein kleiner Spalt zwischen Kronenrand und Präparationsrand entstehen. Um das zu vermeiden, sollte möglichst schnell gearbeitet werden.
Michelle Wegerle
Im nächsten Schritt wird das Modell entsprechend der Einschubrichtung ausgerichtet. Idealerweise so, dass der Patient die Sekundärkonstruktion leicht herauslösen kann. In der eingestellten Einschubrichtung müssen das vorgefertigte Geschiebe- und Riegelteil mittig auf dem Kieferkamm angesetzt werden, da später noch Sekundärteil und Kunststoffverblendung hinzukommen.
Michelle Wegerle
Beim nächsten Schritt ist Fingerspitzengefühl gefragt: Die Fräsflächen, der Schubverteilungsarm sowie die Interlockfräsungen sind in das Wachs einzuarbeiten. Wichtig ist hierbei, dass man die Einschubrichtung keinesfalls ändert, sonst lässt sich die Arbeit später nicht eingliedern. Ich habe für mich festgestellt, dass es am einfachsten ist, zuerst die Interlockfräsungen anzubringen und dann von dort ausgehend die Flächen der Schubverteilungsarme.
Am Ende sollte die Interlockfräsung mindestens 0,5 mm tief sein – noch besser aber sind 1 mm und mehr. Sehr dünne Fräsungen lassen sich später schwer aufpassen und neigen zum „Kippeln“. Die endgültige Tiefe richtet sich jedoch immer nach der Kronenwanddicke.
Diese darf nach dem Fräsen nicht zu dünn werden. Es empfiehlt sich, die Übergänge von der Interlockfräsung zur Parallelfläche gleich abzurunden, um ein Aufpassen ohne scharfe Kanten zu ermöglichen. Als letzter Schritt an der Geschiebekrone wird oberhalb der Parallelfläche eine kleine Stufe parallel eingearbeitet sowie ein kleines Näpfchen oberhalb der Interlockfräsungen.
Das Näpfchen dient als zusätzliche Abstützung und bildet einen passgenauen Abschluss der Interlockfräsung. Die Parallelfläche sollte dennoch, je nach Möglichkeit, eine Höhe von 3 mm nicht unterschreiten. Im nächsten Schritt wird das konfektionierte Riegel-Kunststoffteil distal der verblockten Kronen 24 und 25 angebracht (Abb. 6 und 7).
Michelle Wegerle
Michelle Wegerle
Mithilfe des passenden Halters lässt sich das Kunststoffteil an die richtige Stelle führen. Es sollte mindestens nach der Kieferkammmitte ausgerichtet sein, besser ist es jedoch, wenn man eine genauere Position durch den zukünftigen Kunststoffzahn ermittelt. Den Riegel gilt es möglichst so auszurichten, dass die Patrize in der fertigen Arbeit palatinal nicht weit aus der Zahnform heraussteht oder hineinrutscht.
Ist das Kunststoffteil an der richtigen Position fixiert, kann die Fräsung der Parallelfläche und der Interlockfräsung erfolgen. Dabei geht man genauso vor wie bei der Fräsung an der Geschiebekrone.
Michelle Wegerle
Dabei wird die Stufe bereits so ausgearbeitet, dass es einen schönen Verlauf entsprechend dem Stumpf und der Gingiva gibt. Vestibulär wird die Fräsfläche nach Möglichkeit bis in den zervikalen Bereich gezogen, damit nach der Verblendung kein Metallrand sichtbar bleibt. Der Teleskopdeckel wird so reduziert, dass genug Platz zum Antagonisten im Gegenkiefer entsteht.
Im gleichen Zug können die Kanten zwischen Teleskopdeckel und Fräsfläche leicht gebrochen werden. Um ein optimales Gussergebnis zu erreichen, sollte man beim Teleskop, aber auch bei den Kronen, die Mindeststärke von 0,5 mm nicht unterschreiten.
Nach einer abschließenden Kontrolle der Ränder stifte ich die Kronen an und bette sie ein. Das Einbettmasseverhältnis richtet sich dabei nach dem jeweiligen Material und der gewünschten Stumpfpassung. In diesem Fall verwende ich beim Schleuderguss eine edelmetallfreie Legierung.
Nach dem Ausbetten müssen die Kronen und das Teleskop gründlich abgestrahlt und von der Oxydschicht befreit werden. Der nächste Schritt ist elementar und daher besonders präzise auszuführen. Geschieht dies nicht, lassen sich die Primärteile im Mund nicht in der richtigen Position reponieren und die Arbeit würde den Biss anheben.
Mit einem feinen Rosenbohrer ziehe ich die Kanten in den Kroneninnenseiten nach und eliminiere störende Bläschen vom Guss. Bei korrekt gewählter Expansion lassen sich die Kronen leicht auf die Stümpfe aufpassen. Sitzen sie richtig, gilt es den Kronenrand mit Bedacht anzufinieren.
Er darf nicht zu kurz geraten. Denn bereits ein minimaler Spalt kann dazu führen, dass die eingeklebte bzw. zementierte Krone durch den permanenten Speichelfluss im Mund „unterspült“ wird und somit Karies begünstigt. Nach dem Ausarbeiten und Angummieren der Kronenränder überprüfe ich zuerst die Approximalkontakte und die Okklusion.
Dies erlaubt, die genauen Platzverhältnisse einschätzen und gegebenenfalls nacharbeiten zu können. Danach wird alles, außer den Parallelflächen, so weit ausgearbeitet, dass lediglich die Politur aussteht. Das hat einen entscheidenden Vorteil: Die im nächsten Schritt nachzufräsenden Parallelflächen können nicht versehentlich beschädigt werden.
Um alle Primärkronen mit der gleichen Einschubrichtung nachfräsen zu können, werden sie am besten mithilfe eines Telemasters auf Kunststoffstümpfe umgesetzt. So bleibt das Meistermodell sauber und ganz. Wichtig ist auch hier, dass die vorher bereits eingestellte Einschubrichtung weiterhin Verwendung findet. Die Fräsflächen, aber auch die Interlockfräsungen, Stufen und Verbinder zum Geschiebe und Riegel müssen parallel sein.
Beim Teleskop ist darauf zu achten, dass die Mindeststärke von 0,3 mm bestehen bleibt. Zum Schluss gilt es lediglich noch, die Kanten von Fräsfläche zur Okklusionsfläche vorsichtig abzurunden. So lässt sich das Sekundärteil wunderbar eingliedern.
Michelle Wegerle
Alle Primärteile sitzen perfekt auf den Stümpfen. Die Okklusion stimmt.
Modellation des Sekundärgerüsts
Es folgt die Fertigung der Sekundärkonstruktion – ein Modellgussobjekt mit Geschiebe, Riegel und Einstückguss. Damit sich am Ende alles perfekt eingliedern lässt, heißt es hier besonders präzise zu arbeiten. Anhand der Arbeitsplanung entwerfe ich zuerst das Sekundärteil und zeichne es auf dem Modell an.
Dabei achte ich darauf, die Arbeit möglichst grazil zu gestalten. Ich entscheide mich für ein schmales Transversalband und einen brückengliedartigen Frontzahnverbinder. Zusammen bringt diese Konstruktion Stabilität und verhindert das einseitige Einsinken des Sattels in die Gingiva oder ein Verdrehen der Sekundärkonstruktion bei Kaubelastung.
Um das Einbettmassemodell herstellen zu können, bereite ich zuerst das Meistermodell vor. Die Sattelanteile werden ausgeblockt und Riegel, Geschiebe sowie Teleskop so ausgewachst, dass die Funktionen gewährleistet werden und sich keine Dubliermasse in den Zwischenräume absetzen kann. Die Parallelflächen müssen unbedingt sauber und frei von Wachs bleiben.
Nach dem Dublieren wird ein Einbettmassemodell hergestellt. Das Primärteleskop sollte, entsprechend der Stumpfgröße, mit einer anderen Expansion ausgegossen werden als die restliche Modellgussarbeit. Hierfür wird eine Einbettmasse verwendet, die genau auf die Größe des Teleskops abgestimmt werden kann.
Erfahrungsgemäß hat sie eine deutlich höhere Expansion als die Einbettmasse für den Modellguss. Genaue Werte sind aber nicht verallgemeinernd festzulegen, da die benötigte Expansion abhängig von Hersteller, Metall, Ofentemperaturen und Anrührzeiten ist. Das gewährleistet eine gute Passung.
Als Nächstes modelliere ich die Schubverteilungsarme und Sekundärteile über dem Geschiebe, dem Riegel und dem Teleskop. Die Retention sowie das Transversalband werden ganz klassisch mittels vorgefertigter Wachsschablonen gefertigt und an die Situation individuell angepasst. Anhand der Voraufstellung lässt sich im Frontzahnbereich eine grazile, brückengliedartige Kragenfassung modellieren, die die Zahnform dezent untermalt.
Bei der Modellation über den Geschiebe- und Riegelteilen wird ebenfalls mithilfe der voraufgestellten Kunststoffzähne die Zahnform vervollständigt. Das Ziel ist es, eine optimale natürliche Zahnform zu erreichen. Dementsprechend werden die Abschlusskanten so gelegt, dass auch hier die Ausdehnung der Zähne und deren Form Beachtung findet.
Michelle Wegerle
Mit ihm lassen sich glatte Übergänge erreichen, ohne dass die Gefahr besteht, das Einbettmassemodell zu beschädigen. Um Lunker zu vermeiden, empfiehlt es sich, mit mehreren „verlorenen Köpfen“ zu arbeiten.
Ausarbeiten der Sekundärkonstruktion
Das Ausarbeiten der gesamten Sekundärkonstruktion stellt eine Herausforderung dar. Im Einzelnen arbeite ich jedes Element für sich aus und passe es den Primärkonstruktionen auf. Die Parallelflächen müssen präzise in ihrer Endposition sitzen und dürfen an keinem Punkt stören oder „hakeln“.
Sind alle einzelnen Elemente aufgepasst, müssen sie zusammen auf dem Modell aufgepasst werden. Das Sekundärteil muss leicht über die Primärteile gleiten. Die Gusskanäle trenne ich für das finale Ausarbeiten ab, da sie der Arbeit während des Aufpassens Stabilität verleihen und Rotationen im Transversalband oder an einzelnen Aufgängen verhindern.
Die Metallübergänge werden anfiniert und die Ränder sorgfältig ausgearbeitet. Vor dem Gummieren und Polieren ist darauf zu achten, dass die Geschiebe- und Riegelpatrize problemlos in das Sekundärteil einzuführen sind. Die Verriegelung muss in korrekter Position leicht zu schließen und zu öffnen sein.
Zur Fertigstellung der Sekundärkonstruktion wird die Geschiebepatrize in diese hineingeklebt und die Riegeltrommel verlötet. Die Konstruktion muss sich leichtgängig eingliedern, präzise schließen und stabil sitzen, ohne zu schaukeln.
Die Kunststoffarbeit
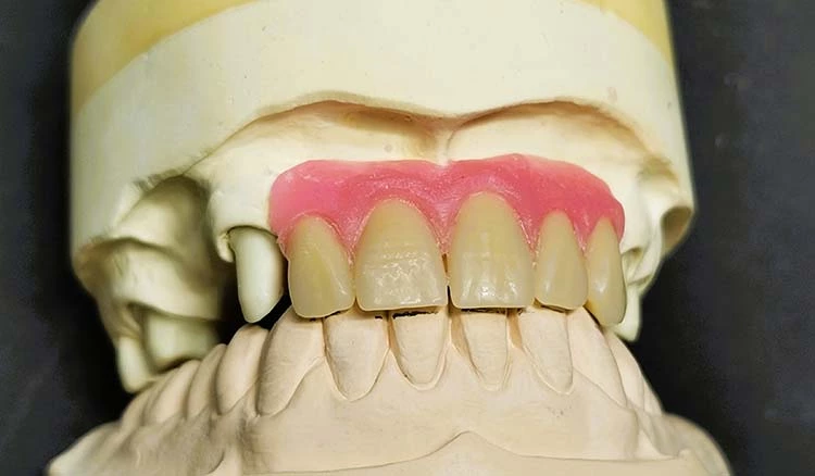
Die finalen Schritte lassen einen gewissen Spielraum für Individualität. Natürlich muss eine Arbeit in erster Linie immer funktional gestaltet sein, doch auch die Ästhetik ist nicht zu vernachlässigen. Daher habe ich mich für eine möglichst grazile Kunststoffarbeit entschieden, die wenig flächendeckende und rosafarbene Kunststoffbereiche zeigt.
Die gesamte Frontzahnlücke wird nur zahnfarben und ohne rosafarbene Anteile umgesetzt. So kann sie ähnlich wie eine Keramikbrücke wirken. Im Seitenzahnbereich wird allein der Freiendsattel bei 25/26 mit rosafarbenem Kunststoff umgesetzt.
Die Kunststoffzähne werden so aufgestellt und ausmodelliert, dass sie der alten Zahnstellung entsprechen. Eine gewisse Individualität erreicht man durch minimales Kippen oder Drehen einzelner Zähne in ihrer Achse. Nach letzter Kontrolle im Artikulator lassen sich nun die Vorwälle anfertigen.
Alle Zähne, die nur mit zahnfarbenem, lichthärtendem Kunststoff festzusetzen sind, erhalten dabei im zervikalen Bereich einen klassischen Vorwall (Fixierung), der restliche Bereich wird mit einem transparenten Vorwall abgedeckt. Der transparente Vorwall ist hier von Bedeutung, damit das Komposit durch den Vorwall und die Zähne hindurch unter Licht aushärten kann. Vorbereitend wird das Sekundärgerüst entsprechend der Zahnfarbe A3 mit einer deckenden Schicht Opaker abgedeckt und die Zähne, gesäubert und angestrahlt, in den Vorwällen fixiert.
Vor dem Fixieren mit dem Komposit ist es wichtig, die Geschiebe- und Riegelmechanik auszublocken. Keinesfalls soll Kunststoff in die feine Mechanik gelangen. Es empfiehlt sich, die freien Metallbereiche mit etwas Vaseline zu schützen, damit der Kunststoff dort ganz leicht abgeknipst werden kann, ohne die polierten Flächen mit dem Fräser wieder zu zerkratzen. Mittels einer Mischkanüle lässt sich das lichthärtende Komposit auf die Zähne auftragen.
Dabei empfiehlt es sich, davon auch etwas unter dünne Bereiche und Ränder zu geben sowie insgesamt ein wenig mehr aufzutragen. Besonders diese filigranen Bereiche werden sonst nicht von dem eher zähflüssigen Komposit ausgefüllt. Idealerweise drückt sich so beim Ansetzen des Vorwalls etwas Komposit heraus – somit auch kleine Bläschen – und es müssen bestenfalls keine Blasen von Hand aufgetragen werden.
Nach dem vollständigen Aushärten im Lichthärtegerät empfiehlt es sich, den Vorwall noch nicht zu entfernen oder die Arbeit vom Modell zu nehmen. Ich reduziere ihn lediglich so weit, dass er am Freiendsattel richtig ansetzen kann. So lassen sich leichte Differenzen zwischen den verschiedenen Schritten in der Fertigstellung verhindern und die gesamte Arbeit kann anschließend grob ausgearbeitet werden.
Kunststofffahnen werden verschliffen und die grobe Form hergestellt. Lässt sich die Arbeit einfach eingliedern und sitzt sie schaukelfrei, kann man die konfektionierten Zähne individualisieren. Oft bietet es sich an, erneut Leisten aufzutragen oder Höckerspitzen auf Kontakt zu bringen.
Beim Individualisieren ergibt sich so relativ viel Spielraum, ohne die Funktion zu beeinträchtigen. Wichtig ist, dass die Übergänge von Metall zu Kunststoff glatt ausgearbeitet sind und die Zahnform im Ganzen erhalten bleibt. Um eine einheitliche Farbgebung zu erhalten, können die konfektionierten Zähne individualisiert werden.
Dabei sollte sich auch unbedingt nach der Keramikverblendung gerichtet werden. Die Zähne sollten sich ähneln, aber nicht identisch wirken. Werden Vollzähne und Schalen verwendet, gilt es besonderes Augenmerk auf die jeweiligen Farbnuancen zu legen.
Beeinflusst durch verbleibende Schalenstärke, Opakerfarbe und Platzverhältnisse kann es hier zu unerwünschten Abweichungen kommen. Eine nachträgliche Individualisierung schafft dann Abhilfe. Vor dem weiteren Finalisieren muss nun noch in die Verblendung an 26 – dem Riegel – ein kleines Loch gebohrt werden.
Michelle Wegerle
Wird die Verblendung über dem Riegel gegen eine etwas stärkere Lichtquelle gehalten, lässt sich die korrekte Position des Lochs gut bestimmen und durch einen Rosenbohrer öffnen. Im Idealfall verläuft die Öffnung dabei nach innen hin konisch zu, sodass der Patient eine gute Führung für sein Werkzeug hat. Abschließend werden die Übergänge nochmals gummiert und auf Rauigkeiten kontrolliert.
Bei Passung auf dem Modell dürfen keine scharfen Kanten zu fühlen sein. Für eine saubere Kunststoffpolitur empfehle ich, zuerst alle Metallteile nochmals auf Hochglanz zu polieren und die Arbeit gründlich zu reinigen. Die Kunststoffbereiche werden je nach Vorliebe zuerst am Poliermotor vorpoliert und dann mit dem Handstück sowie einer Ziegenhaarbürste und einer Schwabbel auf Hochglanz gebracht.
Michelle Wegerle
Michelle Wegerle
Michelle Wegerle
Fazit
Die fertige Arbeit macht nun auf dem Modell einen guten Eindruck und wird den Zahnarzt sowie den Patienten überzeugen. Schon auf den ersten Blick ist die individuelle, brückengliedartige Frontzahnversorgung so gestaltet, dass sie sich perfekt in den Patientenmund einfügt.
Michelle Wegerle
Bildquellen sofern nicht anders deklariert: Unternehmen, Quelle oder Autor/-in des Artikels
Entdecke CME Artikel




Keine Kommentare.