Zur Schaffung eines ausreichend dimensionierten Implantatlagers können Knochendefekte bei diesen Patienten mit autologen Knochenblöcken, Knochenersatzmaterial oder einer Kombination der beiden Verfahren rekonstruiert werden. Bei einer ungenügenden Restknochenhöhe im Oberkiefer-Seitenzahnbereich ist häufig eine Sinusbodenelevation indiziert, um die Implantate primärstabil und sicher im Knochen verankern zu können [3, 9]. Im vorliegenden Fallbeispiel erfolgte die chirurgische Vorbehandlung unter Berücksichtigung des „Biologischen Konzepts“ nach Khoury – einer chirurgischen Kombination von autologen Knochenblöcken und der Applikation partikulierter autologer Knochenspäne [6, 7].
Die Prävention einer möglichen Periimplantitis nach vorausgegangener Parodontitis besteht zunächst in der Beseitigung sämtlicher Konkremente und der Schaffung einer optimalen Hygienefähigkeit der verbleibenden Restzähne und des Zahnersatzes. Darüber hinaus muss in einer ausreichend langen Vorbehandlungszeit die Compliance zur adäquaten Mundhygiene des Patienten sichergestellt werden. Dies ist eine conditio sine qua non zur Entscheidung für eine festsitzende, prothetische, implantatgetragene Versorgung. Sind diese Voraussetzungen nicht erfüllbar, sollte auf eine herausnehmbare Implantatversorgung ausgewichen werden, die eine bessere Reinigungsmöglichkeit ermöglicht. Unter Umständen muss gänzlich auf eine implantatprothetische Versorgung verzichtet werden [4].
Ziel ist es, ein langzeitstabiles und ästhetisch zufriedenstellendes Ergebnis für den Patienten zu erzielen. Der folgende Fallbericht beschreibt die Möglichkeit der Herstellung einer „herausnehmbaren Brücke“ in Form einer Steg-Riegel-Konstruktion auf Implantaten. Ein Vorteil dieser Versorgungsform ist die Kombination ausgezeichneter Hygienefähigkeit mit einer guten Phonetik ? ein Punkt, der häufig erst Beachtung findet, wenn die Phonetik nach Eingliederung des definitiven Zahnersatzes eingeschränkt ist.
Fallbericht: Anamnese und Ausgangssituation
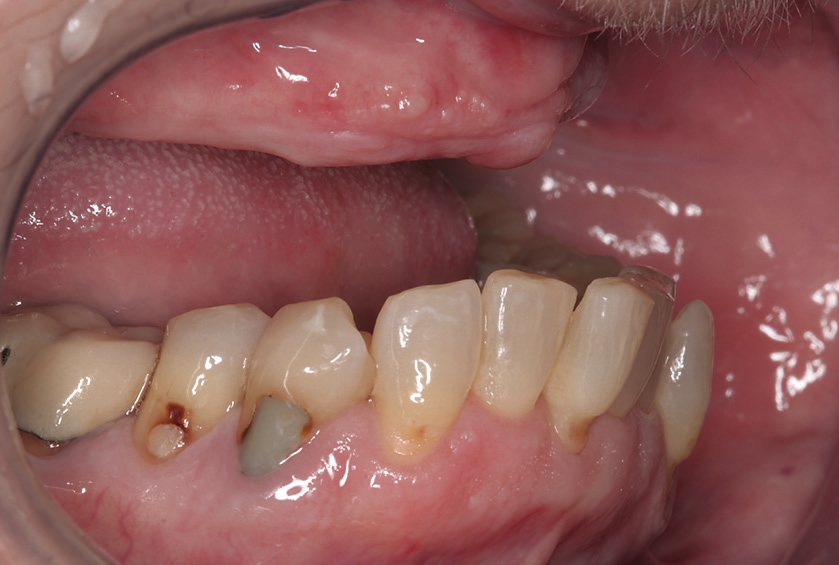
Der vorliegende Fall beschreibt die orale Rehabilitation einer 65 Jahre alten Patientin im Oberkiefer (Abb. 1 und 2). Der atrophierte Oberkiefer weist eine sagittale Stufe zum Unterkiefer auf. Dies macht eine komplett festsitzende Versorgung von vorneherein schwer umsetzbar. Die Patientin wünschte sich dennoch einen ästhetisch ansprechenden Zahnersatz und eine langzeitstabile Lösung. Die konservierende Behandlung des Unterkiefers wurde im Rahmen der ganzheitlichen Sanierung von uns ebenfalls geplant und durchgeführt.

Planung und Vorbehandlung

Die Primärverblockung der Implantate gewährleistet eine optimale funktionelle Kraftübertragung. Die Verriegelung der „herausnehmbaren Brücke“ gibt dem Patienten ein sicheres Gefühl und verhindert Abzugskräfte bei eckzahngeführtem Zahnersatz und damit Mikrobewegungen, die später zu einem Friktionsverlust der Arbeit führen könnten. Außerdem kann die psychologische Herausforderung, einen „herausnehmbaren Zahnersatz“ zu tragen, durch die in die Arbeit integrierten Riegel minimiert werden [8].
Wichtig sind bei dieser Art der Versorgung die exakte Planung der Behandlungsschritte und eine ideale Zusammenarbeit zwischen dem Implantologen, dem Prothetiker und dem Labor. Im vorliegenden Fall fiel die Wahl auf einen im CAD/CAM-Verfahren industriell gefrästen Steg, da dieser bei sorgfältiger Übertragung der Mundsituation auf die Arbeitsmodelle mittels Abformung und Bissregistrierung eine präzise Passung und einen spannungsfreien Sitz gewährleistet. Mit Hilfe der CAD/CAM-Technologie haben wir die Möglichkeit, dem Patienten eine äußerst präzise und langzeitstabile prothetische Lösung anzubieten und dennoch die Kosten in einem überschaubaren Rahmen zu halten.
Die präimplantologische Behandlung bestand in der Sanierung insuffizienter konservierender Versorgungen und einer Parodontalbehandlung, um mögliche Infektionsquellen am Restzahnbestand zu entfernen.
Während der gesamten Behandlungsdauer von 8 Monaten trug die Patientin die vorige Prothese, unterbrochen von entsprechenden Karenzzeiten während der Einheilzeiten.
Chirurgische Maßnahmen
Der chirurgische Behandlungsteil bestand aus drei Eingriffen im Abstand von jeweils etwa drei Monaten. Im ersten Eingriff wurden die augmentativen Maßnahmen im atrophierten Oberkiefer (Abb. 4) nach retromolarer Knochenentnahme aus dem rechten Unterkiefer (Abb. 5 bis 7) in horizontaler und vertikaler Dimension vorgenommen. Dazu wurde der Kiefer durch das Anbringen von autologen Knochenblöcken nach dem biologischen Konzept lateral verbreitert. Mittels der Schalentechnik werden dabei die Blöcke auf Distanz gesetzt und der Zwischenraum mit autologen Knochenpartikeln gefüllt (Abb. 8 und 10). Durch die Partikulierung des Knochens wird die Oberfläche vergrößert und es kann eine bessere Revaskularisierung des augmentierten Bereichs erfolgen [5].






Zudem war beidseitig eine Sinusbodenelevation notwendig (Abb. 9), die mittels lateralen Zugangs durchgeführt wurde. Eine entstandene Perforation wurde vernäht und mit einer Kollagenmembran abgedeckt (Abb. 11). In der sogenannten Schichttechnik werden bei der Sinuselevation im kaudalen Bereich autologe Knochenpartikel eingebracht, so dass die Implantate später etwa 10 mm im Eigenknochen stehen. Im kranialen Bereich wird langsam resorbierendes Knochenersatzmaterial (Symbios®, DENTSPLY Sirona, Mannheim) eingebracht. Diese dünne Schicht Biomaterial schützt vor Resorptionen durch den Druck in der Kieferhöhle. Auch auf der linken Seite des Oberkiefers wurde der Kieferkamm lateral augmentiert (Abb. 12 und 13). Das Konzept der Schichttechnik beim Sinuslift dient der Verkürzung der Behandlungszeit, so dass die Implantate schon nach einem früheren Zeitpunkt inseriert werden können. Die Insertion der Implantate ist nach dem hier vorgestellten Konzept bereits nach drei bis vier Monaten möglich im Vergleich zu 7 bis 8,5 Monaten beim Einsatz von reinem Biomaterial und gleichzeitiger geringer Restknochenhöhe [13]. Die Abdeckung des Sinusfensters erfolgte mit einer nicht resorbierbaren Membran aus Reintitan (FRIOS® BoneShield, DENTSPLY Implants, Mannheim) bevor der Verschluss des augmentierten Bereiches durch den Mukoperiostlappen erfolgt.


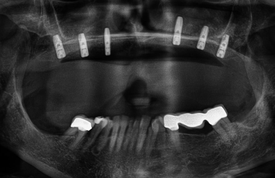
Vor dem zweiten OP-Eingriff nach 4 Monaten wurde im Labor eine Bohrschablone angefertigt. Zudem wurde ein DVT angefertigt, um im Sinne eines Backward planning die ideale Implantatposition planen zu können. Bei Eröffnung des augmentierten Kieferbereiches zeigte sich im augmentierten Bereich eine gute Regeneration und Revaskularisierung des Knochens (Abb. 14 bis 17). Sechs Implantate konnten somit in den augmentierten Bereich (Astratech EV®, DENTSPLY Sirona, Mannheim) mit ausreichender Länge und Durchmesser in Form einer gleichmäßigen Pfeilerverteilung in den Kieferknochen Inseriert werden (Abb. 18).




Den dritten und letzten chirurgischen Behandlungsschritt stellte die Freilegung der Implantate und Versorgung mit Gingivaformern dar. In diesem Fall wurde ein apikaler Verschiebelappen [5] präpariert, um den ursprünglichen anatomischen Verlauf der mukogingivalen Grenze wieder herzustellen und einstrahlende Bänder im periimplantären Bereich zu vermeiden (Abb. 19 bis 21). Nach 14 Tagen zum Zeitpunkt der Nahtentfernung sieht das Gewebe gewöhnlicherweise noch etwas „wild“ aus, weswegen man mit der Abformung besser 3 bis 4 Wochen nach der Freilegung warten sollte.


Abformung und Modellherstellung
Nach vollständiger Abheilung und Anbringen der Repositions- Übertragungsaufbauten konnten die Implantate im Sinne einer Primärabformung mittels eines konfektionierten Löffels geschlossen abgeformt werden (Abb. 22). Darüber hinaus wurde eine Vorbissnahme genommen, so dass basierend auf diesen Unterlagen im Labor die Sekundärabformung als Pick-Up Abformung vorbereitet werden konnte. Hierzu erfolgte im Labor die Verbindung der Abformpfosten auf dem ersten Arbeitsmodell mit starrem Kunststoffmaterial, welcher in der Folge dann wieder getrennt wurde. Intraoral wurde dieser Trennspalt dann wieder mittels starren Kunststoffmaterials verbunden, so dass eine hohe Präzision der Abformung durch die Versteifung zwischen den Implantatpfeilern gewährleistet werden konnte (Abb. 23). Zudem erfolgte die Herstellung einer verschraubten Bissnahme, welche gerade bei grossspannigen Arbeiten ein späteres Einschleifen der Arbeit erleichtert (Abb. 24). Die Abformung wurde mit einem Polyethermaterial (Impregum, 3M ESPE, Seefeld) ausgeführt, welches sich durch eine sehr gute Formstabilität und gute Rückstellfähigkeit bei kurzer Abbindezeit auszeichnet. Im Labor wurde aus diesen Unterlagen ein Meistermodell mit Gingivamaske hergestellt und eine erste Zahnaufstellung angefertigt.


Ästhetikanprobe und Stegherstellung
In der nächsten Sitzung wurde dem Patienten eine verschraubbar gestaltete Wachsaufstellung eingesetzt und Zahnform, Zahnstellung sowie Mittellinie und Profil begutachtet und mit dem Patienten besprochen. Bei dieser ersten Anprobe ist die Verschraubung der Zahnschablone ausgesprochen wichtig, um ein unbemerktes Verrutschen der Schablone im Mund zu vermeiden und eine sichere Fixierung zu gewährleisten.

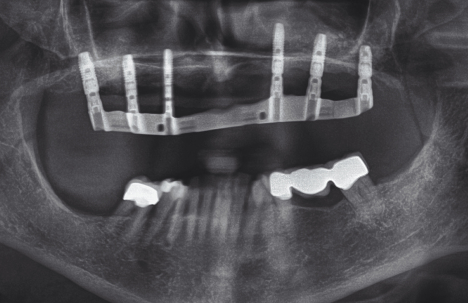
Im vorgestellten Fall wurde der Steg aus Titan gefertigt. Zurück im Praxislabor wird der fertige Steg bei perfekter Passung auf dem Meistermodell verschraubt und darauf die endgültige Sekundär- und Tertiärstruktur angefertigt. Bei dem hier vorgestellten Patientenfall wurde das Sekundärgerüst herkömmlich gegossen (Brealloy, Bredent GmbH, Senden) und die Arbeit mit lichthärtendem Kunststoff und Konfektionszähnen komplettiert, wobei die Ästhetikanprobe unverändert übernommen wurde.
Eingliederung der fertigen Arbeit
Die Passung der definitiven Restauration wurde im Mund des Patienten mithilfe des Sheffield-Testes überprüft, mit dem die Passgenauigkeit einer primär verblockten Mesio-Struktur überprüft werden kann. Hierbei wird nach Aufsetzen der Mesio-Struktur jede einzelne Halteschraube separat angezogen, ohne die jeweils anderen zu aktivieren. Dies dient der exakten Überprüfung einer präzisen Passung, da bei ungenügender Passgenauigkeit bei Anziehen nur einer Schraube eine Kippung und Spaltbildung am Gerüst auftreten würde, welche röntgenologisch zu erkennen ist.
Nachdem die Passung und Ästhetik der fertigen Arbeit erneut von Behandler und Patientin überprüft worden waren, konnte die Arbeit definitiv eingesetzt werden (Abb. 26 und 27). Anschließend wurde die Patientin in den Gebrauch der Riegelvorrichtung eingewiesen sowie über die Mund- und Prothesenpflegemaßnahmen aufgeklärt (Abb. 28). Durch die Einbindung des Patienten in ein halbjährliches Recallprogramm kann in regelmäßigen Abständen der Sitz der Konstruktion und der periimplantäre Zustand überprüft werden.



Diskussion
Großflächige Knochendefekte im parodontal vorgeschädigten Gebiss stellen chirurgische und prothetische Herausforderungen an den implantologischen Behandler [14, 2]. Im vorgestellten Fall erfolgte die Therapie der ausgedehnten Knochendefekte im Oberkiefer nach dem „biologischen Konzept“. Dabei werden die Knochenblöcke nach Entnahme entsprechend modifiziert und ausgedünnt. Die in der Dicke reduzierten Knochenscheiben werden auf Distanz gesetzt und der Zwischenraum zum Kieferkamm mit autologen Knochenpartikeln gefüllt [6, 7]. Nach vollständiger Abheilung des augmentierten Gebietes und Schaffung eines suffi zienten Knochenangebotes erfolgt die Implantation in möglichst gleichmäßiger Verteilung, um ein gutes Unterstützungspolygon und damit eine gute Kraftverteilung zu erreichen.
Durch die heute verfügbaren CAD/CAM-Techniken und die damit einhergehende Präzision, ist die Steg-Riegel- Versorgung eine attraktive Alternative zur Versorgung des unbezahnten Oberkiefers auf Implantaten. Diese herausnehmbare Versorgung bietet gegenüber festsitzenden prothetischen Lösungen eine Reihe von Vorteilen. So ist die parodontale Hygienefähigkeit an allen Implantaten gegeben, was sich insbesondere bei nicht vollständig erhaltbarer Patientencompliance positiv auswirkt. Darüber hinaus ist eine einfache, extraorale Reparaturmöglichkeit des Zahnersatzes gegeben.
Zahnarzt und Zahntechniker können bei zentral gefrästen CAD/CAM-Gerüsten zwischen Titan oder Kobalt-Chrom-Legierung wählen. Bei der gewählten Konstruktion entfällt durch die Verschraubung des Zahnersatzes die Notwendigkeit einer Zementierung, was das klinische Risiko einer Periimplantitis durch im periimplantären Bereich belassene Zementreste minimiert.
Bei reduziertem Material- und Zeitaufwand gegenüber dem herkömmlichen Gussverfahren ist es möglich, bei gleichzeitig höherer Präzision passgenaue Ergebnisse selbst bei komplexen Arbeiten zu erhalten, die sich über den gesamten Kiefer erstrecken. Das Gefüge der gefrästen Stege stellt sich als homogene Struktur dar; es entfällt die Lunker- und Korngrößenproblematik.
Zusammenfassung
Die in dem vorliegenden Patientenfall gewählte Implantatversorgung in Form einer Steg-Riegel-Prothese, kann auch im hochatrophierten Kiefer ästhetische Ansprüche von Patienten berücksichtigen, sofern chirurgisch die entsprechenden Voraussetzungen geschaffen wurden. Durch die Fertigung der prothetischen Suprakonstruktion im industriellen CAD/CAM-Verfahren ist eine hohe Präzision erreichbar. So können herausnehmbare Konstruktionen mit guter Hygienefähigkeit und ausgezeichneter Passung gefertigt werden. Diese industrielle Fertigung liefert auch bei komplexen Konstruktionen passgenaue Ergebnisse bei reduziertem Zeit- und Materialaufwand.
Bildquellen sofern nicht anders deklariert: Unternehmen, Quelle oder Autor/-in des Artikels
Entdecke CME Artikel






Keine Kommentare.